MENINGITIS
CARLOS J. PECH LUGO R2MI
BIBLIOGRAFIA
• Acute bacterial meningitis in adults. Fiona McGill, Robert S Heyderman, Stavros Panagiotou, Allan RTunkel,Tom
Solomon. The Lancet S0140-6736(16)30654-7.. June 2, 2016.
• ESCMID guideline: diagnosis and treatment of acute bacterial meningitis. D. van de Beek, C. Cabellos, O. Dzupova
et al. Clinical Microbiology and Infection, Volume 22 Number S3, May 2016.
• Pathogenesis of Bacterial Meningitis: from bacteraemia to neuronal injury. Kwang Sik Kim. Nature Reviews,
Neuroscience. Volume 4 | May 2003 |.
• Bacterial Meningitis in the United States 1998–2007. Michael C.Thigpen, M.D., Cynthia G. Whitney, M.D. N Engl J
Med 364;21. May 26, 2011.
• Community-Acquired Bacterial Meningitis in Adults. Diederik van de Beek, M.D., Ph.D., Jan de Gans, M.D. N Engl
J Med 354;1. January 5, 2006.
• Nosocomial Bacterial Meningitis Diederik van de Beek, M.D., Ph.D., James M. Drake, M.B. N Engl J Med 362;2.
January 14, 2010
• The role of serum procalcitonin in the diagnosis of bacterial meningitis in adults: a systematic review and meta-
analysis Jens Vikse, Brandon Michael Henry. International Journal of Infectious Diseases 38 (2015) 68–76.
• Adjunctive dexamethasone in bacterial meningitis: a meta-analysis of individual patient data. Diederik van de
Beek,Jeremy J Farrar, Jan de Gans. Lancet Neurol 2010; 9: 254–63.
BIBLIOGRAFIA
• Viral meningitis. Sarah A E Logan, Eithne MacMahon. British Medical Journal 2008;336:36-40.
• Meningitis aséptica en la población adulta. Etiología y utilidad de las técnicas moleculares en el manejo clínico del
paciente. Laura Florén-Zabalaa, Francisco Javier Chamizo-Lópeza. Enfermedades Infecciosas y Microbiología
Clinica. 2012;30(7):361–366.
• Viral meningoencephalitis: a review of diagnostic methods and guidelines for management. I. Steinera,b, H.
Budkac, A. Chaudhuri et al. European Journal of Neurology 2010, 17: 999–1009.
• Viral encephalitis in adults. Stephen J Gluckman, MD. Up to Date. Mar 21, 2016.
• Tuberculous meningitis: advances in diagnosis and treatment. M. E.Török. British Medical Bulletin, 2015, 113:117–
131.
• Meningitis tuberculosa: claves para su diagnóstico y propuestas terapéuticas. Martín Lasso B. Rev Chil Infect
2011; 28 (3): 238-247.
• Tuberculous meningitis: more questions, still too few answers. Guy EThwaites, Ronald vanToorn, Johan
Schoeman. Lancet Neurol 2013; 12: 999–1010.
• Intensified Antituberculosis Therapy in Adults withTuberculous Meningitis. A. Dorothee Heemskerk, M.D.,
Nguyen D. Bang, Ph.D. et al. N Engl J Med 2016;374:124-34.
HISTORIA
1805 Fiebre
purpúrica
maligna
1836 Seis casos de
hidrocefalia aguda
en niños
1887 Rich y
McCordock
demostraron M.
Tuberculosis en
muestras encefálicas.
1910 77 de 78 niños fallecieron.
en el B.C Hospital por
Haemophilus influenzae
1882 Se describió a
la bacteria
responsable de
tuberculosis
1887 Se describió al
meningococo
1913 Simon Felxner
reporta tratamiento
exitoso con antisuero
meningococo equino.
DEFINICION
MENINGITIS
Inflamación de las meninges (signos y
síntomas asociados) con presencia de
un número anormal de células en el
LCR
MENINGITIS ASÉPTICA
Presencia de síndrome meníngeo y
pleocitosis linfocitaria en LCR sin
desarrollo bacteriano en cultivos.
ENCEFALITIS
Inflamación del parénquima cerebral
que causa alteración del estado
mental temprana con/sin signos de
focalización.
MENINGO-ENCEFALITIS
Afección del sistema nervioso central
con características de afectación
encefálica y meníngea.
EPIDEMIOLOGÍA
• Se reportan a nivel mundial 1.2 millones de casos al año.
• Streptococcus pneumoniae y Neisseria meningitidis responsables del 80% de
los casos.
• 1-6 casos por 100,000 habitantes (USA, UK, Europa).
• 1000 casos por 100,000 habitantes (Sahel).
• Reducción de mortalidad e incidencia dramática en décadas pasadas.
• 135,000 muertes al año mundialmente.
• Secuelas neurológicas en 21 – 28% de los sobrevivientes.
• LA meningitis por tuberculosis afecta de manera principal en niños y
pacientes conVIH no tratados.
• MTb representa alrededor del 5% de los casos deTb extrapulmonar.
• El pico de incidencia es en <4 años de edad.
• en 2010 se estimaron 8.8 millones de nuevos casos.
• Se reportaron en el mismo año 1.45 millones de muertes.
• La vacuna BCG ha demostrado protección contra formas diseminadas y
meningitis porTb.
TUBERCULOSIS
VIRAL
• Como consecuencia de la vacunación ha cambiado la epidemiología.
• Más común en niños (219/100 000)
• Enterovirus, herpesvirus y arbovirus con mayor incidencia
• Incidencia anual de 2.4 – 15 casos por 100 000 habitantes.
• 85% debida a Enterovirus, 14% por Herpesvirus y <1% arbovirus.
EPIDEMIOLOGÍA
CLASIFICACIÓN
Procedencia
Adquirida en la
comunidad
Nosocomial
Etiología
Bacteriana
Viral
Temporalidad
Aguda
Subaguda
Crónica
Recurrente
FISIOPATOLOGÍA
Colonización de la
mucosa
Invasión del espacio
intravascular
Sobrevivencia/multiplicación
Efectos indeseables de la activación de
los mecanismos de defensa
Componente vasogenico
Componente transependimario
Componente citotóxico
b) Isquemia y citotoxicidad.
1.- hiperemia
2.- disminucion del flujo
EDEMA CEREBRAL
AUMENTO DE LCR
AUMENTO DE PRESION INTRACRANEAL
ALTERACIONES PRIMARIAS DEL FLUJO SANGUINEOCEREBRAL
Edema cerebral vasogénico Edema cerebral citotóxico
Infartos venosos y arteriales
24-48 hrs
Inoculación directa del virus o después del contacto con terminaciones
nerviosas libres en sitios especializados
DISEMINACION HEMATOGENA.
Gastrointestinal: Placas de Peyer. Sistema reticuloendotelial
VIREMIA AL SNC
Adhesión:
-glóbulos rojos: paramoxivirus
Y togavirus
-glóbulos blancos: sarampión
MENINGITISVIRAL
REPLICA LOCAL DEVIRUS. TRANSPORTADOS PORAXONES
MEDULA ESPINAL
HIPOTÁLAMO
TALLO CEREBRAL
Meningitis tuberculosa
• Tres procesos patologicos principales:
• Exudado tuberculoso
• Granulomas/Tuberculomas
• Vasculitis obliterativa
Interacción dinámica entre mycobacterias y
macrófagos y formación de granulomas
M. Tuberculosis inicia la formación del
granuloma a través de la quimiotaxis de
macrófagos no infectados hacia los macrófagos
infectados, linfocitos T, neutrófilos y cel asesinas
naturales
Una vez infectados los macrófagos abandonan
el granuloma y llegan por vía hematógena a
sitios distantes y formar un nuevo sitio de
infección
Meningitis tuberculosa
Lesión redondeada intraparenquimatosa, similar a tumoración, formado
por escasos bacilos y tejido de granulación
Usualmente múltiples y en ocasiones solitario, mide en promedio 2 – 12
mm de diámetro
Si es de mayor tamaño se comporta como una lesión ocupativa con
focalización
En países subdesarrollados corresponden 5-30% de las lesiones ocupativas
intracraneales
DIAGNÓSTICO
CLÍNICO
Alteración
del estado
mental
Rigidez de
cuello
Fiebre
Cefalea
<50%
>95%
• Kerning’s y Brudzinski’s; sensibilidad > 95%, especificidad <5%.
• Acentuación de cefalea por sacudida; sensibilidad 97%, especificidad 60%
• Las convulsiones, déficits neurológicos focales (incluyendo parálisis de
nervios craneales) y papiledema puede estar presentes de manera temprana
o tardía.
• Las convulsiones se presentaron en 15-30% con meningitis por neumococo
• La pérdida de audición como complicación tardía.
• Papiledema se observó en < 5% de los casos
• Pacientes con Listeria meningitis con tendencia incrementada a tener
convulsiones y déficits focales neurológicos de manera temprana, y un
porcentaje también con presencia de rombemcefalitis.
• Neisseria meningitis puede causar manifestaciones dérmicas como
petequias y púrpura palpable. El rash se presentó de un 11-26% de los
pacientes y de esos 75-92% se asoció a meningococo.
• Artritis ocurre en algunos pacientes; fue diagnosticada en 48% con N.
meningitidis
Meningitis porTuberculosis
Sensibilidad 86-98% y
especificidad de 68-88%.
TheVietnam Dagnostic Rule
LABORATORIO
El estudio inicial obligado para diagnóstico de meningitis es el examen del LCR
CONTRAINDICACIONES
• El riesgo de herniación cerebral puede reducirse haciendo un adecuado tamizaje.
• La toma de imágenes se ha asociado a un retraso en inicio de antibióticos =
aumento de secuelas y mortalidad.
Convulsiones recién
aparición
Déficits
neurológicos focales
Alteración severa
del estado mental
Estado de
inmunocompromiso
severo
• Otras contraindicaciones incluyen alteraciones de estado coagulación,
infecciones del sitio de punción e inestabilidad del paciente.
LABORATORIO
• Niveles elevados de proteína, disminúídos de glucosa y pleocitosis presente
en >90% de meingitis bacteriana.
• Si la PL es retrasada,TERAPIA EMPÍRICA debe ser iniciada.
TINCIÓN DE GRAM
• Tinción Gram tiene 60-90% sensibilidad y >97% especificidad si se toma
antes de AMB
• Positiva en 10-15% de pacientes con cultivo negativo.
DiplococosG(+) sugieren infección
por neumococo
DiplococosG(-) sugieren infección
por meningococo
Cocobacilos pequeños pleomórficos
G(-) sugieren H. influenzae
Bacilos y cocobacilos G(+) sugieren
infección por L. monocytogenes
EXAMENES COMPLEMENTARIOS
CULTIVOS
• Cultivo de LCR
• Es positivo hasta en 85% sin toma de AMB previo.
• Disminuye la tasa de positividad hasta 66% conAMB.
• Hemocultivo
• Mayor rentabilidad si LCR no esta disponible.
• Positivo de un 60 – 90% de los casos.
• Disminuye la tasa de positividad un 10-20% conAMB.
TEST RAPIDOS
• Deteccion de antigenos por aglutinacion con Latex.
• No se recomiendan, estudios indican que no modifican la decision de inicio
de AMB, asi como tambien presencia de muchos falsos positivos.
• Inmunocromatografia para S. pneumoniae tiene sensibilidad 100% y
especificidad de >99%.
• No disponible en todos los centros.
Amplificacion de ADN
• PCR tiene sensibilidad del 92% y especificidad del 100%.
• Loop mediated isothermal amplification (LMIA):
• Resultado < 2 horas.
• N. meningitidis,S. pneumoniae, H. influenzae y M. tuberculosis.
• VPP 100%VPN 97%.
LACTATO
• Disponioble ampliamente, bajo costo y rapidez de resultado.
• 2 meta analisis demostraron que tiene mas valor que celularidad aunque es
menos exacto en conjunto con otras enfermedades del SNC como
convulsiones, masas ocupativas no asociadas, etcetera.
• Sensibilidad 93% y especificidad de 96% para diferenciar meningitis
bacteriana de viral ( antes de toma de AMB)
Marcadores sericos de inflamacion
• PCR
• Valor corte 40mg/L
• 93% sensible y 100% especifico.
• Procalcitonina
• Valor corte 0.25ng/ml
• 87% sensible y 94% especifico.
Meningitis viral
• Para aproximacion inicial se realizanTest’s en LCR por medio de PCR.
Meningitis porTuberculosis
• HIPONATREMIA
presente >50% de
los pacientes.
• Punciones
lumbares
seriadas por 3
dias aumenta
positividad.
• BARR (+) en 58-
71% de los casos.
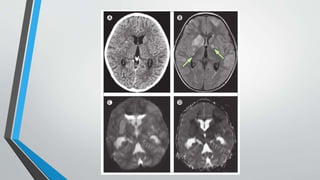
IMAGEN
• Convencionalmente no utiles para diagnostico en etiologias virales y
bacterianas.
• TUBERCULOSIS:
• TAC se puede observar exudados hiperdensos basales, engrosamiento de meninges.
• Hasta en 30% de pacientes puede ser NORMAL.
• RNM superior aTAC.
• Pueden detectarse zonas de infarto tempranos.
• Con Gadolinio pueden demostrarse tuberculomas presentes en hasta 75% de
pacientes.
• Las anomalias mas comunes por este metodo son: engrosamiento de las meninges e
hidrocefalea.
TRATAMIENTO
MENINGITIS BACTERIANA
MENINGITISVIRAL
MENINGITIS PORTUBERCULOSIS
TERAPIA CON ESTEROIDES
• La terapia adjunta con Dexametasona disminuye la mortalidad hasta un
34% en algunas series.
• En otras series se ha visto disminucion de secuelas neurologicas.
• Estos beneficios se observaron en meningitis producida por S. pneumoniae
y en menor medida las producidas por N. meningitidis.
• En areas con alta prevalencia de infeccion porVIH y desnutricion no hay
beneficio.
• No hubo incremento de riesgo de sangrado con terapia adjunta.
PAUTAS DE ADMINISTRACION
Paises desarrollados 0.15mg/Kg x 4 dias
Paises en desarrollo 0.4mg/Kg x 4 dias
Dosis estandar (UK) 10mg c/6hrs x 4 dias
PRONOSTICO
Meningitis

Meningitis

  • 1.
  • 2.
    BIBLIOGRAFIA • Acute bacterialmeningitis in adults. Fiona McGill, Robert S Heyderman, Stavros Panagiotou, Allan RTunkel,Tom Solomon. The Lancet S0140-6736(16)30654-7.. June 2, 2016. • ESCMID guideline: diagnosis and treatment of acute bacterial meningitis. D. van de Beek, C. Cabellos, O. Dzupova et al. Clinical Microbiology and Infection, Volume 22 Number S3, May 2016. • Pathogenesis of Bacterial Meningitis: from bacteraemia to neuronal injury. Kwang Sik Kim. Nature Reviews, Neuroscience. Volume 4 | May 2003 |. • Bacterial Meningitis in the United States 1998–2007. Michael C.Thigpen, M.D., Cynthia G. Whitney, M.D. N Engl J Med 364;21. May 26, 2011. • Community-Acquired Bacterial Meningitis in Adults. Diederik van de Beek, M.D., Ph.D., Jan de Gans, M.D. N Engl J Med 354;1. January 5, 2006. • Nosocomial Bacterial Meningitis Diederik van de Beek, M.D., Ph.D., James M. Drake, M.B. N Engl J Med 362;2. January 14, 2010 • The role of serum procalcitonin in the diagnosis of bacterial meningitis in adults: a systematic review and meta- analysis Jens Vikse, Brandon Michael Henry. International Journal of Infectious Diseases 38 (2015) 68–76. • Adjunctive dexamethasone in bacterial meningitis: a meta-analysis of individual patient data. Diederik van de Beek,Jeremy J Farrar, Jan de Gans. Lancet Neurol 2010; 9: 254–63.
  • 3.
    BIBLIOGRAFIA • Viral meningitis.Sarah A E Logan, Eithne MacMahon. British Medical Journal 2008;336:36-40. • Meningitis aséptica en la población adulta. Etiología y utilidad de las técnicas moleculares en el manejo clínico del paciente. Laura Florén-Zabalaa, Francisco Javier Chamizo-Lópeza. Enfermedades Infecciosas y Microbiología Clinica. 2012;30(7):361–366. • Viral meningoencephalitis: a review of diagnostic methods and guidelines for management. I. Steinera,b, H. Budkac, A. Chaudhuri et al. European Journal of Neurology 2010, 17: 999–1009. • Viral encephalitis in adults. Stephen J Gluckman, MD. Up to Date. Mar 21, 2016. • Tuberculous meningitis: advances in diagnosis and treatment. M. E.Török. British Medical Bulletin, 2015, 113:117– 131. • Meningitis tuberculosa: claves para su diagnóstico y propuestas terapéuticas. Martín Lasso B. Rev Chil Infect 2011; 28 (3): 238-247. • Tuberculous meningitis: more questions, still too few answers. Guy EThwaites, Ronald vanToorn, Johan Schoeman. Lancet Neurol 2013; 12: 999–1010. • Intensified Antituberculosis Therapy in Adults withTuberculous Meningitis. A. Dorothee Heemskerk, M.D., Nguyen D. Bang, Ph.D. et al. N Engl J Med 2016;374:124-34.
  • 4.
    HISTORIA 1805 Fiebre purpúrica maligna 1836 Seiscasos de hidrocefalia aguda en niños 1887 Rich y McCordock demostraron M. Tuberculosis en muestras encefálicas. 1910 77 de 78 niños fallecieron. en el B.C Hospital por Haemophilus influenzae 1882 Se describió a la bacteria responsable de tuberculosis 1887 Se describió al meningococo 1913 Simon Felxner reporta tratamiento exitoso con antisuero meningococo equino.
  • 6.
    DEFINICION MENINGITIS Inflamación de lasmeninges (signos y síntomas asociados) con presencia de un número anormal de células en el LCR MENINGITIS ASÉPTICA Presencia de síndrome meníngeo y pleocitosis linfocitaria en LCR sin desarrollo bacteriano en cultivos. ENCEFALITIS Inflamación del parénquima cerebral que causa alteración del estado mental temprana con/sin signos de focalización. MENINGO-ENCEFALITIS Afección del sistema nervioso central con características de afectación encefálica y meníngea.
  • 7.
    EPIDEMIOLOGÍA • Se reportana nivel mundial 1.2 millones de casos al año. • Streptococcus pneumoniae y Neisseria meningitidis responsables del 80% de los casos. • 1-6 casos por 100,000 habitantes (USA, UK, Europa). • 1000 casos por 100,000 habitantes (Sahel). • Reducción de mortalidad e incidencia dramática en décadas pasadas. • 135,000 muertes al año mundialmente. • Secuelas neurológicas en 21 – 28% de los sobrevivientes.
  • 8.
    • LA meningitispor tuberculosis afecta de manera principal en niños y pacientes conVIH no tratados. • MTb representa alrededor del 5% de los casos deTb extrapulmonar. • El pico de incidencia es en <4 años de edad. • en 2010 se estimaron 8.8 millones de nuevos casos. • Se reportaron en el mismo año 1.45 millones de muertes. • La vacuna BCG ha demostrado protección contra formas diseminadas y meningitis porTb. TUBERCULOSIS
  • 9.
    VIRAL • Como consecuenciade la vacunación ha cambiado la epidemiología. • Más común en niños (219/100 000) • Enterovirus, herpesvirus y arbovirus con mayor incidencia • Incidencia anual de 2.4 – 15 casos por 100 000 habitantes. • 85% debida a Enterovirus, 14% por Herpesvirus y <1% arbovirus.
  • 11.
  • 13.
  • 14.
  • 15.
    Colonización de la mucosa Invasióndel espacio intravascular Sobrevivencia/multiplicación
  • 18.
    Efectos indeseables dela activación de los mecanismos de defensa Componente vasogenico Componente transependimario Componente citotóxico b) Isquemia y citotoxicidad. 1.- hiperemia 2.- disminucion del flujo EDEMA CEREBRAL AUMENTO DE LCR AUMENTO DE PRESION INTRACRANEAL ALTERACIONES PRIMARIAS DEL FLUJO SANGUINEOCEREBRAL Edema cerebral vasogénico Edema cerebral citotóxico Infartos venosos y arteriales 24-48 hrs
  • 19.
    Inoculación directa delvirus o después del contacto con terminaciones nerviosas libres en sitios especializados DISEMINACION HEMATOGENA. Gastrointestinal: Placas de Peyer. Sistema reticuloendotelial VIREMIA AL SNC Adhesión: -glóbulos rojos: paramoxivirus Y togavirus -glóbulos blancos: sarampión MENINGITISVIRAL REPLICA LOCAL DEVIRUS. TRANSPORTADOS PORAXONES MEDULA ESPINAL HIPOTÁLAMO TALLO CEREBRAL
  • 20.
    Meningitis tuberculosa • Tresprocesos patologicos principales: • Exudado tuberculoso • Granulomas/Tuberculomas • Vasculitis obliterativa
  • 21.
    Interacción dinámica entremycobacterias y macrófagos y formación de granulomas M. Tuberculosis inicia la formación del granuloma a través de la quimiotaxis de macrófagos no infectados hacia los macrófagos infectados, linfocitos T, neutrófilos y cel asesinas naturales Una vez infectados los macrófagos abandonan el granuloma y llegan por vía hematógena a sitios distantes y formar un nuevo sitio de infección Meningitis tuberculosa
  • 22.
    Lesión redondeada intraparenquimatosa,similar a tumoración, formado por escasos bacilos y tejido de granulación Usualmente múltiples y en ocasiones solitario, mide en promedio 2 – 12 mm de diámetro Si es de mayor tamaño se comporta como una lesión ocupativa con focalización En países subdesarrollados corresponden 5-30% de las lesiones ocupativas intracraneales
  • 23.
  • 24.
  • 25.
    • Kerning’s yBrudzinski’s; sensibilidad > 95%, especificidad <5%. • Acentuación de cefalea por sacudida; sensibilidad 97%, especificidad 60%
  • 26.
    • Las convulsiones,déficits neurológicos focales (incluyendo parálisis de nervios craneales) y papiledema puede estar presentes de manera temprana o tardía. • Las convulsiones se presentaron en 15-30% con meningitis por neumococo • La pérdida de audición como complicación tardía. • Papiledema se observó en < 5% de los casos • Pacientes con Listeria meningitis con tendencia incrementada a tener convulsiones y déficits focales neurológicos de manera temprana, y un porcentaje también con presencia de rombemcefalitis. • Neisseria meningitis puede causar manifestaciones dérmicas como petequias y púrpura palpable. El rash se presentó de un 11-26% de los pacientes y de esos 75-92% se asoció a meningococo. • Artritis ocurre en algunos pacientes; fue diagnosticada en 48% con N. meningitidis
  • 28.
  • 29.
    Sensibilidad 86-98% y especificidadde 68-88%. TheVietnam Dagnostic Rule
  • 30.
    LABORATORIO El estudio inicialobligado para diagnóstico de meningitis es el examen del LCR
  • 31.
    CONTRAINDICACIONES • El riesgode herniación cerebral puede reducirse haciendo un adecuado tamizaje. • La toma de imágenes se ha asociado a un retraso en inicio de antibióticos = aumento de secuelas y mortalidad. Convulsiones recién aparición Déficits neurológicos focales Alteración severa del estado mental Estado de inmunocompromiso severo • Otras contraindicaciones incluyen alteraciones de estado coagulación, infecciones del sitio de punción e inestabilidad del paciente.
  • 32.
    LABORATORIO • Niveles elevadosde proteína, disminúídos de glucosa y pleocitosis presente en >90% de meingitis bacteriana. • Si la PL es retrasada,TERAPIA EMPÍRICA debe ser iniciada.
  • 33.
    TINCIÓN DE GRAM •Tinción Gram tiene 60-90% sensibilidad y >97% especificidad si se toma antes de AMB • Positiva en 10-15% de pacientes con cultivo negativo. DiplococosG(+) sugieren infección por neumococo DiplococosG(-) sugieren infección por meningococo Cocobacilos pequeños pleomórficos G(-) sugieren H. influenzae Bacilos y cocobacilos G(+) sugieren infección por L. monocytogenes
  • 34.
  • 35.
    CULTIVOS • Cultivo deLCR • Es positivo hasta en 85% sin toma de AMB previo. • Disminuye la tasa de positividad hasta 66% conAMB. • Hemocultivo • Mayor rentabilidad si LCR no esta disponible. • Positivo de un 60 – 90% de los casos. • Disminuye la tasa de positividad un 10-20% conAMB.
  • 36.
    TEST RAPIDOS • Deteccionde antigenos por aglutinacion con Latex. • No se recomiendan, estudios indican que no modifican la decision de inicio de AMB, asi como tambien presencia de muchos falsos positivos. • Inmunocromatografia para S. pneumoniae tiene sensibilidad 100% y especificidad de >99%. • No disponible en todos los centros.
  • 37.
    Amplificacion de ADN •PCR tiene sensibilidad del 92% y especificidad del 100%. • Loop mediated isothermal amplification (LMIA): • Resultado < 2 horas. • N. meningitidis,S. pneumoniae, H. influenzae y M. tuberculosis. • VPP 100%VPN 97%.
  • 38.
    LACTATO • Disponioble ampliamente,bajo costo y rapidez de resultado. • 2 meta analisis demostraron que tiene mas valor que celularidad aunque es menos exacto en conjunto con otras enfermedades del SNC como convulsiones, masas ocupativas no asociadas, etcetera. • Sensibilidad 93% y especificidad de 96% para diferenciar meningitis bacteriana de viral ( antes de toma de AMB)
  • 39.
    Marcadores sericos deinflamacion • PCR • Valor corte 40mg/L • 93% sensible y 100% especifico. • Procalcitonina • Valor corte 0.25ng/ml • 87% sensible y 94% especifico.
  • 40.
    Meningitis viral • Paraaproximacion inicial se realizanTest’s en LCR por medio de PCR.
  • 41.
    Meningitis porTuberculosis • HIPONATREMIA presente>50% de los pacientes. • Punciones lumbares seriadas por 3 dias aumenta positividad. • BARR (+) en 58- 71% de los casos.
  • 42.
    IMAGEN • Convencionalmente noutiles para diagnostico en etiologias virales y bacterianas. • TUBERCULOSIS: • TAC se puede observar exudados hiperdensos basales, engrosamiento de meninges. • Hasta en 30% de pacientes puede ser NORMAL. • RNM superior aTAC. • Pueden detectarse zonas de infarto tempranos. • Con Gadolinio pueden demostrarse tuberculomas presentes en hasta 75% de pacientes. • Las anomalias mas comunes por este metodo son: engrosamiento de las meninges e hidrocefalea.
  • 44.
  • 45.
  • 48.
  • 49.
  • 52.
    TERAPIA CON ESTEROIDES •La terapia adjunta con Dexametasona disminuye la mortalidad hasta un 34% en algunas series. • En otras series se ha visto disminucion de secuelas neurologicas. • Estos beneficios se observaron en meningitis producida por S. pneumoniae y en menor medida las producidas por N. meningitidis. • En areas con alta prevalencia de infeccion porVIH y desnutricion no hay beneficio. • No hubo incremento de riesgo de sangrado con terapia adjunta.
  • 53.
    PAUTAS DE ADMINISTRACION Paisesdesarrollados 0.15mg/Kg x 4 dias Paises en desarrollo 0.4mg/Kg x 4 dias Dosis estandar (UK) 10mg c/6hrs x 4 dias
  • 54.

Notas del editor

  • #5 Mejor ejemplo del efecto de introducción a antimicrobianos
  • #8 Primero H. Influenza pero cambio por vacunación a S. Pneumonae 1-2 casos en reino unido y europa 1-6 casos en Estados Unidos
  • #10 La mayoría de estudios en adultos se han realizado en brotes por enterovirus. Herpesvirus (tipo 1, 2,3 VVZ, VEB) Enterovirus (Echovirus, Cocksakie)
  • #12 G.00-G.03 Neumococica, estafilococcica y estreptocócica. G.00.0 H. influenza
  • #14 Recurrente.  Meningitis tratada y que luego de un período vuelve a aparecer a pesar de haber tenidobuen esquema.  Tipo TB o fungica  Subaguda.  Cuadrosquetienenunaduracióndesde3-7díashasta3semanas  Crónica.  Cuadrosquetienenduraciónmásde4semanas
  • #16 COLONIZACIÓN DE MUCOSA
  • #17 Colonización de la mucosa (1), invasion del torrente sanguíneo (2), sobrevivencia y multiplicación (3) causando altos niveles de bacteremia que permiten el paso de la barrera hemato encefálica (4), invadiendo lasz meninges y el Sistema nervioso central(5). Subsecuentemente la cantidad de bacterias puede producer aumento de permeabilidad de la barrera hematoencefálica; 6) y pleocitosis (7), llevando a edema y aumento de presión intracraneal(8), con la subsecuente liberación de components proinflamatorios de células blancas infiltradas y células sanguíneas (9). Finalmente, este procceso lleva a lesion neuronal.(10).
  • #18 La colonización por pneumococo es alcanzada por varios mecanismos. La cápsula opaca de la bacteria previene la eliminación por sIgA de la nasofaringe (1). La liberación de la toxina PLY de la bacteria lisada reduce la contractilidad ciliar de la vía aérea superior (2) mientras la glicosilación del moco reduce la actividad ciliar aún más (3). La carga negativa de la cápsula, se opone a la carga negativa del áciso sialico en el moco(4), adicionalmente, la variación de la fase de la cápsula de opaco a transparente permite la adhesión de moléculas para unirse al epitelio (5). La invasión del neumococo en el torrente sanguíneo es alcanzado por mecanismos transcitótica o paracelular (6) y la degradación de las células en la matriz extracelular (7) Poseriormente el neumococo ingresa al sistema nervioso central siguiendo mecanismos similares a los de la vía aérea (8,9,10). El mecanismo de ingreso del meningococo es similar al del neumococo por sIgA (11). LA secreción de endotoxinas (12) y sacáridos capsulares (13) así como el pili del microorganismo (14) permite a la bacteria para unirse a las células epiteliales; la invasión del torrente sanguíneo es alcanzada por la encapsulación de la bacteria por los fagocitos (15). La bacteria ingresa al torrente sanguíneo y posteriormente invade el sistema nervioso transcelularmente o paracelularmente así como por medio de fibronectina o laminina (16). Para ambos microorganismos la barrera hemato encefálica es rota y las citosinas y células blancas cruzan esta misma, iniciando de manera secundaria respuesta inflamatoria, con la consiguiente elevación de la presión intracraneal y lisis de la bacteria promueven creación de radicales libres con lo cual lleva a estrés oxidativo y daño neuronal.
  • #21 EXUDADO TUBERCULOSO: Puede obstruir flujo de LCR causando hidrocefalea GRANULOMAS pueden coalescer formando tuberculomas o abscesos VASCULITIS OBLITERATIVA que puede causar infartos con sindrome respectivo
  • #25 Ausencia de tres, excluye diagnóstico con sensibilidad 99% Alteración del estado mental = Glasgow <14 La meningitis puede presentarse como una enfermedad aguda fulminante que avanza rápidamente en pocas horas, o como una infección subaguda que empeora progresivamente en varios días. En mas de 95% de los pacientes presentan alteración del estad mental que puede oscilar desde : Letargo Coma Nauseas Vómitos En el 20 a 40% de los pacientes las convulsiones forman parte del cuadro clínico inicial. Suelen deberse a isquemia o infarto arterial focal, o pueden ser causados por hiponatremia o anoxia cerebral Es la causa principal de obnubilación y coma . Los signos de aumento de la IPC son disminución o deterioro del nivel de conciencia, Papiledema, pupilas dilatadas y parálisis del 6to par craneal. Comienza en la forma de maculopápulas eritematosas difusas que se asemejan al exantema vírico, pero las lesiones cutáneas de la meningococemia rápidamente se transforman en petequias. __ ausente en paciente comatoso: HSA TETANOS, INFECCION ASOCIADA A FIEBRE ALTA.
  • #26 Maniobra de acentuaciónd e cefalea parece ser la mejor para diagnósico de meningitis, se acentua cefalea por movimiento horizontal de la cabeza a velocidad de 2-3 veces por segundo
  • #27 ROMBENCEFALITIS = (ataxia, parálisis de nervios craneales y/o mistagmus).
  • #29 La diferencia principal entre meningitis de etiologías bacteriana o viral es la PERSISTENCIA Duración de síntomas >6 días.
  • #30 The Vietnam diagnostic rule Criterios de ingreso ADULTO >15 años y proporción glucosa CSF/Plasma <0.5 Recuento de leucocitos > o < 900 o 750 células Proporción de neutrófilos > o < 75% o 90%
  • #31  Niveles elevados de proteína, niveles disminuidos de glucosa y pleocitosis están presentas en >90% meningitis bacteriana. La concentración de lactato tiene sensibilidad 93% y especificidad de 96% para diferenciar meningitis bacteriana de viral ( antes de toma de AMB). Cultivo de LCR es positivo en 60-90% de los casos , con toma de AMB disminuye de 10-20%. Tinci´pn Gram tiene 60-90% sensibilidad y >97% especificidad si se toma antes de AMB En pacientes con LCR negativo y Gram negativo la PCR tiene valor aditivo para identificaci´pn de patógeno. La aglutinación por látex incrementa mínimo el diagnósitco de meningitis bacteriuana.
  • #32 Estado severo de alteración mental = Glasgow <10 Estado de inmunocompromiso severo = receptor de trasplate de órganos, portadores de VIH En ausencia de las características mencionadas NO SE RECOMIENDA realizar estudios de imágenes antes de PL
  • #33  Si la puncion fue traumatica, existe la regla de restar 1 celula blanca por cada 500-1500 celulas rojas. LCR normal= < 50mg/dl de proteina; Glucosa LCR/suero >0.6; celulas <5 por micromol y lactato < 3.5 mEq/L.
  • #34 Diplococos G(+) sugieren infección por neumococo Diplococos G(-) sugieren infección por meningococo Cocobacilos pequeños pleomórficos sugieren H. influenzae Bacilos y cocobacilos G(+) sugieren infección por L. monocytogenes
  • #35 Latex, inmunocromatografia, PCR pueden proveer de informacion adicional especialmente cuando el examen de LCR no puede ser posible o esta contraindicado.
  • #39 Posterior a toma de Amb disminuye sensibilidad hasta 49%
  • #51 No hay estudios comparativos entre eficacia de dexametasona y prednisolomna para manejo de Tb meningea.
  • #53 Se debe de suspender si la meningitis no es de etiologia bacteriana, igual si lel patogeno es diferente a H. Influenzae o S. pneumoniae Debe ser administrado 15-20 minutos antes del AMB, si se ha dado AMB puede iniciarse dentro de primeras 4 horas posterior a su administracion