SERVICIO DE URGENCIAS
20/09/2025
NOMBRE:MARTINEZ SANCHEZ IVAN
NSS:3906871557 1M1987OR
URGENCIAS A
Edad: 32 AÑOS
Comorbilidades: NINGUNA
Fecha de la lesión: 13/09/25
Mecanismo de lesión: ACCIDENTE EN MOTOCICLETA
Laboratorios: DENTRO DE NORMALIDAD
Valoraciones: NA
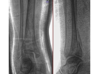
Diagnósticos: FRACTURA DIAFISIARIA TERCIO MEDIO DE TIBIA DERECHA EXPUESTA GA II AO 42A1C
Cirugía Proyectada: ASEO QUIRURGICO+ DESBRIDAMIENTO + REDUCCION CERRADA VS ABIERTA CON FIJACION INTERNA CON
COLOCACION DE FIJADORES EXTERNOS VS DCP 4.5 MM A TIBIA DERECHA
Material OSS Solicitado: NA
NOMBRE:TOLENTINO CRUCES JORGE ALEXANDER
NSS:3008870166 3M2014OR
URGENCIAS A
Edad: 10 AÑOS
Comorbilidades: NINGUNA
Fecha de la lesión: 13/09/25
Mecanismo de lesión: CAIDA DE TRAMPOLIN
Laboratorios: DENTRO DE NORMALIDAD
Valoraciones: NA
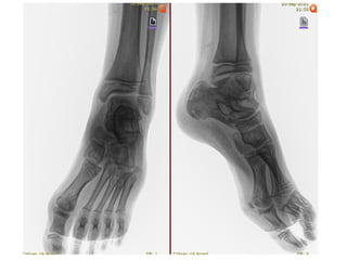
Diagnósticos: FRACTURA DE LA BASE DEL 5TO MTT DE PIE DERECHO (JONES)
Cirugía Proyectada: REDUCCION CERRADA VS ABIERTA FIJACION PERCUTANEA A BASE DE 5TO MTT DE PIE DERECHO
Material OSS Solicitado: NA
NOMBRE:PALACIOS HERRERA HECTOR
NSS:4299810635 1M1981OR
URGENCIAS A
Edad: 44 AÑOS
Comorbilidades: NINGUNA
Fecha de la lesión: 20/09/25
Mecanismo de lesión: INVERSION FORZADA DE TOBILLO IZQUIERDO
Laboratorios: DENTRO DE NORMALIDAD
Valoraciones: NA
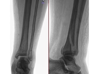
Diagnósticos: FRACTURA UNIMALEOLAR B DE WEBER + LESIÓN DE LA SINDESMOSIS DE TOBILLO IZQUIERDO
Cirugía Proyectada: REDUCCION ABIERTA Y FIJACION INTERNA CON COLOCACION DE PLACA TERCIO DE TUBO A MALEOLO LATERAL +
COLOCACION DE TORNILLO SITUACIONAL A TOBILLO IZQUIERDO
Material OSS Solicitado: PLACA TERCIO CAÑA
NOMBRE:AYALA ROSALES JESSICA
NSS:1316987898 1F1998ES
URGENCIAS A
Edad: 26 AÑOS
Comorbilidades: NINGUNA
Fecha de la lesión: 18/09/25
Mecanismo de lesión: INVERSION FORZADA DE TOBILLO IZQUIERDO
Laboratorios: DENTRO DE NORMALIDAD
Valoraciones: NA
Diagnósticos: FRACTURA UNIMALEOLAR B DE WEBER + LESIÓN DE LA SINDESMOSIS DE TOBILLO IZQUIERDO
Cirugía Proyectada: REDUCCION ABIERTA Y FIJACION INTERNA CON COLOCACION DE PLACA TERCIO DE TUBO A MALEOLO LATERAL +
COLOCACION DE TORNILLO SITUACIONAL A TOBILLO IZQUIERDO
Material OSS Solicitado: PLACA TERCIO CAÑA
NOMBRE:VELA FRANCO MARGARITA
NSS:1784600999 5F1960PE
URGENCIAS A
Edad: 65 AÑOS
Comorbilidades: NINGUNA
Fecha de la lesión: 20/09/25
Mecanismo de lesión: INVERSION FORZADA DE TOBILLO DERECHO
Laboratorios: DENTRO DE NORMALIDAD
Valoraciones: NA
Diagnósticos: FRACTURA LUXACION TRIMALEOLAR B DE WEBER TOBILLO DERECHO (YA REDUCIDO)
Cirugía Proyectada: REDUCCION ABIERTA Y FIJACION INTERNA CON TERCIO DE TUBO A MALEOLO LATERAL + TORNILLO DE
COMPRESIONA MALEOLO MEDIAL + TERCIO DE TUBO A MALEOLO POSTERIOR + TORNILLO SITUACIONAL +
REVISION DE SINDESMOSIS A TOBILLO DERECHO
Material OSS Solicitado: PLACA TERCIO CAÑA
NOMBRE:DE LA CRUZ OLMOS FERNANDO
NSS:3912930099 1M1993OR
URGENCIAS A
Edad: 32 AÑOS
Comorbilidades: NINGUNA
Fecha de la lesión: 13/09/25
Mecanismo de lesión: CONTUSION DIRECTA EN REGION POSTERIOR DISTAL DE PIERNA IZQUIERDA
Laboratorios: DENTRO DE NORMALIDAD
Valoraciones: NA
Diagnósticos: ROTURA DE TENDON CALCANEO IZQUIERDO
Cirugía Proyectada: PLASTIA TERMINO TERMINAL DE TENDÓN CALCANEO IZQUIERDO
Material OSS Solicitado: NA
NOMBRE:LOPEZ GOMEZ CECILIA
NSS:7623610167 1F1961OR
URGENCIAS A
Edad: 64 AÑOS
Comorbilidades: NINGUNA
Fecha de la lesión: 20/09/25
Mecanismo de lesión: CAIDA DE PROPIO PLANO DE SUSTENTACION
Laboratorios: DENTRO DE NORMALIDAD
Valoraciones: NA
Diagnósticos: FRACTURA DIAFISIARIA DE 4TO MTC Y FRACTURA DE LA BASE DEL 5TO MTC MANO IZQUIERDA
Cirugía Proyectada: REDUCCION CERRADA Y FIJACION PERCUTANEA CON CLAVILLOS K A 4TO Y 5TO MTC MANO IZQUIERDA
Material OSS Solicitado: CLAVILLOS K
NOMBRE:GARCIA CASTRO ABDI ISRAEL SANTIAGO
NSS:2007800269 3M2015OR
URGENCIAS A
Edad: 10 AÑOS
Comorbilidades: NINGUNA
Fecha de la lesión: 20/09/25
Mecanismo de lesión: SUBITO
Laboratorios: DENTRO DE NORMALIDAD
Valoraciones: NA
Diagnósticos: ARTRITIS REACTIVA PB ARTRITIS SEPTICA DE CODO IZQUIERDO
Cirugía Proyectada: PUNCION BAJO SEDACION VS ARTROTOMIA EVACUADORA DE CODO IZQUIERDO
Material OSS Solicitado: CLAVILLOS K
NOMBRE: ROMERO LARIOS MARIA DEL CARMEN
NSS: 4588654054 2F1968OR
URG A
Edad: 57 AÑOS
Comorbilidades: DM II
Fecha de la lesión: 18/09/25
Mecanismo de lesión: INVERSION FORZADA
Laboratorios: EN ORDEN
Valoraciones: NA
Diagnósticos: FRACTURA UNIMALEOLAR DE TOBILLO DERECHO WEBER B
Cirugía Proyectada: RAFI
Material OSS Solicitado:
NOMBRE: BALTAZAR JUAREZ OFELIA
NSS: 01794924611 5F1949PE
URG A
Edad: 76 AÑOS
Comorbilidades: NA
Fecha de la lesión: 19/09/2025
Mecanismo de lesión: CAIDA DE SU PLANO DE SUSTENTACION CON CARGA AXIAL
Laboratorios: EN ORDEN
Valoraciones: NA
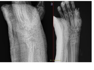
Diagnósticos: FRACTURA RADIOCUBITAL DISTAL IZQUIERDA FRYKMAN VIII
Cirugía Proyectada: REDUCCION ABIERTA CON FIJACION EXTERNA CON COLOCACION DE PEQUEÑOS FIJADORES EXTERNOS
Material OSS Solicitado: FIJADORES EXTERNOS
NOMBRE: ROSAS OLMEDO BERENICE
3095620304 / 5F1962PE
URGENCIAS A
Edad: 63 AÑOS
Comorbilidades: DM2
Fecha de la lesión: 18/09/25
Mecanismo de lesión: APLASTAMIENTO CON PUERTA DE 2DO DEDO MANO DERECHA
Laboratorios: DENTRO DE NORMALIDAD
Valoraciones: NA
Diagnósticos: FRACTURA DE FALANGE MEDIA DE SEGUNDO DEDO DE MANO DERECHA
Cirugía Proyectada: REDUCCION CERRADA Y FIJACION PERCUTANEA DE FALANGE MEDIA DE SEGUNDO DEDO DE MANO DERECHA
CON CLAVILLOS K
Material OSS Solicitado: CLAVILLOS K
NOMBRE: APRESA MENDEZ VALERIA
4611930427 / 1F1993OR
URGENCIAS A
Edad: 32 AÑOS
Comorbilidades: NINGUNA
Fecha de la lesión: 14/09/25
Mecanismo de lesión: CONTUSION DIRECTA MANO DERECHA
Laboratorios: DENTRO DE NORMALIDAD
Valoraciones: NA
Diagnósticos: FRACTURA DIAFISARIOA TERCIO DISTAL DE QUINTO METACARPIANO MANO DERECHA
Cirugía Proyectada: REDUCCIÓN ABIERTA Y FIJACIÓN PERCUTÁNEA CON CLAVILLOS K A QUINTO METACARPIANO MANO DERECHA
Material OSS Solicitado: CLAVILLOS K
CENSO URGENCIAS ........................pptx

CENSO URGENCIAS ........................pptx

  • 1.
  • 2.
    NOMBRE:MARTINEZ SANCHEZ IVAN NSS:39068715571M1987OR URGENCIAS A Edad: 32 AÑOS Comorbilidades: NINGUNA Fecha de la lesión: 13/09/25 Mecanismo de lesión: ACCIDENTE EN MOTOCICLETA Laboratorios: DENTRO DE NORMALIDAD Valoraciones: NA Diagnósticos: FRACTURA DIAFISIARIA TERCIO MEDIO DE TIBIA DERECHA EXPUESTA GA II AO 42A1C Cirugía Proyectada: ASEO QUIRURGICO+ DESBRIDAMIENTO + REDUCCION CERRADA VS ABIERTA CON FIJACION INTERNA CON COLOCACION DE FIJADORES EXTERNOS VS DCP 4.5 MM A TIBIA DERECHA Material OSS Solicitado: NA
  • 5.
    NOMBRE:TOLENTINO CRUCES JORGEALEXANDER NSS:3008870166 3M2014OR URGENCIAS A Edad: 10 AÑOS Comorbilidades: NINGUNA Fecha de la lesión: 13/09/25 Mecanismo de lesión: CAIDA DE TRAMPOLIN Laboratorios: DENTRO DE NORMALIDAD Valoraciones: NA Diagnósticos: FRACTURA DE LA BASE DEL 5TO MTT DE PIE DERECHO (JONES) Cirugía Proyectada: REDUCCION CERRADA VS ABIERTA FIJACION PERCUTANEA A BASE DE 5TO MTT DE PIE DERECHO Material OSS Solicitado: NA
  • 7.
    NOMBRE:PALACIOS HERRERA HECTOR NSS:42998106351M1981OR URGENCIAS A Edad: 44 AÑOS Comorbilidades: NINGUNA Fecha de la lesión: 20/09/25 Mecanismo de lesión: INVERSION FORZADA DE TOBILLO IZQUIERDO Laboratorios: DENTRO DE NORMALIDAD Valoraciones: NA Diagnósticos: FRACTURA UNIMALEOLAR B DE WEBER + LESIÓN DE LA SINDESMOSIS DE TOBILLO IZQUIERDO Cirugía Proyectada: REDUCCION ABIERTA Y FIJACION INTERNA CON COLOCACION DE PLACA TERCIO DE TUBO A MALEOLO LATERAL + COLOCACION DE TORNILLO SITUACIONAL A TOBILLO IZQUIERDO Material OSS Solicitado: PLACA TERCIO CAÑA
  • 9.
    NOMBRE:AYALA ROSALES JESSICA NSS:13169878981F1998ES URGENCIAS A Edad: 26 AÑOS Comorbilidades: NINGUNA Fecha de la lesión: 18/09/25 Mecanismo de lesión: INVERSION FORZADA DE TOBILLO IZQUIERDO Laboratorios: DENTRO DE NORMALIDAD Valoraciones: NA Diagnósticos: FRACTURA UNIMALEOLAR B DE WEBER + LESIÓN DE LA SINDESMOSIS DE TOBILLO IZQUIERDO Cirugía Proyectada: REDUCCION ABIERTA Y FIJACION INTERNA CON COLOCACION DE PLACA TERCIO DE TUBO A MALEOLO LATERAL + COLOCACION DE TORNILLO SITUACIONAL A TOBILLO IZQUIERDO Material OSS Solicitado: PLACA TERCIO CAÑA
  • 11.
    NOMBRE:VELA FRANCO MARGARITA NSS:17846009995F1960PE URGENCIAS A Edad: 65 AÑOS Comorbilidades: NINGUNA Fecha de la lesión: 20/09/25 Mecanismo de lesión: INVERSION FORZADA DE TOBILLO DERECHO Laboratorios: DENTRO DE NORMALIDAD Valoraciones: NA Diagnósticos: FRACTURA LUXACION TRIMALEOLAR B DE WEBER TOBILLO DERECHO (YA REDUCIDO) Cirugía Proyectada: REDUCCION ABIERTA Y FIJACION INTERNA CON TERCIO DE TUBO A MALEOLO LATERAL + TORNILLO DE COMPRESIONA MALEOLO MEDIAL + TERCIO DE TUBO A MALEOLO POSTERIOR + TORNILLO SITUACIONAL + REVISION DE SINDESMOSIS A TOBILLO DERECHO Material OSS Solicitado: PLACA TERCIO CAÑA
  • 13.
    NOMBRE:DE LA CRUZOLMOS FERNANDO NSS:3912930099 1M1993OR URGENCIAS A Edad: 32 AÑOS Comorbilidades: NINGUNA Fecha de la lesión: 13/09/25 Mecanismo de lesión: CONTUSION DIRECTA EN REGION POSTERIOR DISTAL DE PIERNA IZQUIERDA Laboratorios: DENTRO DE NORMALIDAD Valoraciones: NA Diagnósticos: ROTURA DE TENDON CALCANEO IZQUIERDO Cirugía Proyectada: PLASTIA TERMINO TERMINAL DE TENDÓN CALCANEO IZQUIERDO Material OSS Solicitado: NA
  • 14.
    NOMBRE:LOPEZ GOMEZ CECILIA NSS:76236101671F1961OR URGENCIAS A Edad: 64 AÑOS Comorbilidades: NINGUNA Fecha de la lesión: 20/09/25 Mecanismo de lesión: CAIDA DE PROPIO PLANO DE SUSTENTACION Laboratorios: DENTRO DE NORMALIDAD Valoraciones: NA Diagnósticos: FRACTURA DIAFISIARIA DE 4TO MTC Y FRACTURA DE LA BASE DEL 5TO MTC MANO IZQUIERDA Cirugía Proyectada: REDUCCION CERRADA Y FIJACION PERCUTANEA CON CLAVILLOS K A 4TO Y 5TO MTC MANO IZQUIERDA Material OSS Solicitado: CLAVILLOS K
  • 16.
    NOMBRE:GARCIA CASTRO ABDIISRAEL SANTIAGO NSS:2007800269 3M2015OR URGENCIAS A Edad: 10 AÑOS Comorbilidades: NINGUNA Fecha de la lesión: 20/09/25 Mecanismo de lesión: SUBITO Laboratorios: DENTRO DE NORMALIDAD Valoraciones: NA Diagnósticos: ARTRITIS REACTIVA PB ARTRITIS SEPTICA DE CODO IZQUIERDO Cirugía Proyectada: PUNCION BAJO SEDACION VS ARTROTOMIA EVACUADORA DE CODO IZQUIERDO Material OSS Solicitado: CLAVILLOS K
  • 18.
    NOMBRE: ROMERO LARIOSMARIA DEL CARMEN NSS: 4588654054 2F1968OR URG A Edad: 57 AÑOS Comorbilidades: DM II Fecha de la lesión: 18/09/25 Mecanismo de lesión: INVERSION FORZADA Laboratorios: EN ORDEN Valoraciones: NA Diagnósticos: FRACTURA UNIMALEOLAR DE TOBILLO DERECHO WEBER B Cirugía Proyectada: RAFI Material OSS Solicitado:
  • 20.
    NOMBRE: BALTAZAR JUAREZOFELIA NSS: 01794924611 5F1949PE URG A Edad: 76 AÑOS Comorbilidades: NA Fecha de la lesión: 19/09/2025 Mecanismo de lesión: CAIDA DE SU PLANO DE SUSTENTACION CON CARGA AXIAL Laboratorios: EN ORDEN Valoraciones: NA Diagnósticos: FRACTURA RADIOCUBITAL DISTAL IZQUIERDA FRYKMAN VIII Cirugía Proyectada: REDUCCION ABIERTA CON FIJACION EXTERNA CON COLOCACION DE PEQUEÑOS FIJADORES EXTERNOS Material OSS Solicitado: FIJADORES EXTERNOS
  • 22.
    NOMBRE: ROSAS OLMEDOBERENICE 3095620304 / 5F1962PE URGENCIAS A Edad: 63 AÑOS Comorbilidades: DM2 Fecha de la lesión: 18/09/25 Mecanismo de lesión: APLASTAMIENTO CON PUERTA DE 2DO DEDO MANO DERECHA Laboratorios: DENTRO DE NORMALIDAD Valoraciones: NA Diagnósticos: FRACTURA DE FALANGE MEDIA DE SEGUNDO DEDO DE MANO DERECHA Cirugía Proyectada: REDUCCION CERRADA Y FIJACION PERCUTANEA DE FALANGE MEDIA DE SEGUNDO DEDO DE MANO DERECHA CON CLAVILLOS K Material OSS Solicitado: CLAVILLOS K
  • 24.
    NOMBRE: APRESA MENDEZVALERIA 4611930427 / 1F1993OR URGENCIAS A Edad: 32 AÑOS Comorbilidades: NINGUNA Fecha de la lesión: 14/09/25 Mecanismo de lesión: CONTUSION DIRECTA MANO DERECHA Laboratorios: DENTRO DE NORMALIDAD Valoraciones: NA Diagnósticos: FRACTURA DIAFISARIOA TERCIO DISTAL DE QUINTO METACARPIANO MANO DERECHA Cirugía Proyectada: REDUCCIÓN ABIERTA Y FIJACIÓN PERCUTÁNEA CON CLAVILLOS K A QUINTO METACARPIANO MANO DERECHA Material OSS Solicitado: CLAVILLOS K