OJO
AGENDA
01
03 04
02
Generalidades Embriología
Anatomía Histología
Generalidades
01
Óragno sensorial complejo, provee el sentido de la vista
Capacidad de seguir el deplazamiento de objetos en
movimiento
Capacidad de proteger, mantener, outorreparar y limpiar el
sistema óptico
Córnea y cristalino del ojo campturan y enfocan la luz
Embriología
02
PRIMORDIUM ÓPTICO
Foseta óptica –vesícula óptica
primaria.
Cúpula óptica y fisura
embrionaria
Aparato visual esencial
Se invagina y se forma la vesícula
cristaliniana
Se forma una capa epitelial
continua
Aporta elementos de nutrición,
soporte y protector
Ectodermo Neural Ectodermo de Superficie
Mesodermo
Vesículas Ópticas
Esférica, situada en ambos lados del
primordium encefálico.
En su porción distal por ectodermo de
superficie y del otro lado del
mesodermo.
Entre la 4ta y 7ma semana.
Invaginación que afecta a la zona en
contacto con el ectodermo de
superficie
Formando la vesícula cristaliniana
Zona proximal continua elogándose y se
forma la fisura embrionaria.
Fisura embrionaria desde el anillo de la
cúpula óptica hasta la pared lateral
del encéfalo y revestida por
mesodermo adyacente.
Primaria Secundaria
Cierre la fisura Embrionaria
Entre la 7-8 semanas
Iniciando en porción medial y se dirige con rapidez hacia el anillo de la cúpula
Se forma pliegues y sufre una eversión.
Placa y vesícula Critaliniana
Se forma la placa cristaliniana, en que se engruesa la vesícula óptica primaria.
Se invagina y se forma la foseta cristaliniana (fóvea lentis) y se forma la vesícula.
Ectodermo de
superficie
• Cristalino
• Epitelio corneal
• Epitelio conjuntival y de la glándula lagrimal
• Epitelio de los párpados, pestañas, glándulas de meibomio
• Revestimiento epitelial de las vías lagrimales
Ectodermo
neural
• Retina
• Epitelio pigmentario de la retina
• Epitelio de los procesos ciliares
• Epitelio que cubre la superficie posterior del iris
• Músculos esfínter y dilatador del iris
• Nervio óptico
• Parte del cuerpo vítreo
Ectodermo
Neural + de
superficie
• Parte del cuerpo vítreo
• Ligamento suspensorio del cristalino
Mesodermo
Paraaxial
• Vasos sanguíneos
• Esclera
• Músculo ciliar
• Endotelio de la cornea
• Estroma del iris
• Músculatura extrínseca
• Grasa, ligamentos
• Tejido conectivo del párpado superior
Mesodermo
visceral
• Pared inferior y externa de la órbita
• Tejido conectivo del párpado inferior
ANATOMÍA
03
 Órgano par
 Mide 25 mm de diámetro
 Sostenido por la cavidad
orbitaria ósea
 Sostenido por 6 músculos
extrínsecos, que controlan el
movimiento.
 Músculos extra-oculares para
que se mueva simétricamente
 Una capa de tejido adiposo para
amortiguar el movimiento dentro
de la órbita.
MÚSCULOS
4 músculos rectos
● El músculo recto inferior puede guiar el
ojo hacia abajo: bajar la mirada
● El músculo recto superior puede guiar el
ojo hacia arriba: elevar nuestros ojos
● El músculo recto interno puede guiar el
ojo a la aducción de la nariz
● El músculo recto lateral puede guiar el
ojo a la vez: el secuestro.
2 músculos oblicuos
• El músculo oblicuo inferior: Este es el más
corto de los músculos extraoculares.
Permite una orientación del ojo hacia la sien
y mirada fija elevada.
• El músculo oblicuo superior: Este es el más
largo de los músculos extraoculares.
Permite una orientación del ojo para la nariz
y bajar la mirada.
GLOBO OCULAR
Capa externa
Esclera: porción blanca
Córnea: porción transparente
Coroides
Cuerpo ciliar
Iris
Capa interna
Epitelio pigmentario externo
Retina nerviosa interna está en
continuidad con SNC por el
nervio óptico
Epitelio del cuerpo ciliar y del iris
Túnica fibrosa /
Esclerocórnea Túnica vascular / Uvea
RETINA
PARTE INTERNA DEL OJO
CÁMARA
ANTERIOR
CÁMARA
POSTERIOR
CÁMARA
VÍTREA
CÁMARA ANTERIOR
● Entre la córnea y el iris
● Contiene el humor acuoso
● Iris
○ Controla la cantidad de luz que ingresa al
ojo abriendo y cerrando la pupila
○ Utiliza músculos para cambiar el tamaño de
la pupila, para controlar la cantidad de luz
que ingresa al ojo
■ Dilatando
■ Cotrayéndola
CÁMARA POSTERIOR
● Entre iris y el cristalino
● La luz pasa a través de la pupila al cristalino
● Cristalino es muy elástico, que permite enfocar
objetos a distancias variables
● Contracción o la relajación de los músculos del
cristalino cambia de forma.
● Contiene el humor acuoso
CÁMARA VÍTREA
● Entre cristalino y retina nerviosa
● 2/3 posteriores cubierta por una capa de células
nerviosas que convierten la luz en impulsos
nerviosos.
● Fibras nerviosas de la retina se fusionan para
formar nervio óptico.
● Mácula, da una visión central y definida, lo que
esta enfrente.
● Vasos sanguíneos, vena y arteria retinianas, lo
que se extiende a lo largo del nervio óptico y
salen por la parte posterior del ojo
● Contiene de humor vítreo
HISTOLOGÍA
04
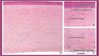
Túnica fibrosa / Esclerocórnea
CÓRNEA
○ Epitelio corneal
■ Epitelio plano estratificado sin estrato córneo
○ Membrana de Bowman
○ Estroma corneal
○ Membrana de Descement
○ Endotelio corneal
Túnica fibrosa / Esclerocórnea
Bembrana de Bowman
○ Bembrana basal anterior
○ Entre el epitelio corneal y
estroma corneal
○ Barrera contra la
diseminación de
infecciones
○ No se regenera
○ Constituida por fibras de
colágeno V, VI, III, I
Estroma Corneal
○ Sustancia propia
○ Formada por laminillas,
que consta de haces
paralelas de fibrillas de
colágeno (I, III, V y VI)
Túnica fibrosa / Esclerocórnea
Bembrana de Descemet
○ Bembrana basal posterior
○ Separa el endotelio corneal
de la estroma corneal
contigua.
○ Se regenera con rapidez
○ Se engruesa con la edad
Endotelio Corneal
○ Capa simple de células
aplanadas que tapiza la
superficie de la córnea que
limita la cámara anterior.
○ Intercambio metabólico
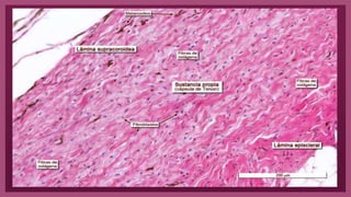
Túnica fibrosa / Esclerocórnea
ESCLERA
○ Capa fibrosa gruesa que contiene haces de colágeno tipo I y
entre ellas red de fibras elásticas.
○ Se divide en 3 capas de límites poco definidos
■ Lámina epiescleral (epiesclera): capa externa de tejido
conjuntivo laxo continua de tejido adiposo.
■ Sustancia propia / esclera propiamente dicha / cápsula de
Tenon: fascia conjuntiva que reviste el globo ocular,
formada de fibras de colágeno gruesas.
■ Lámina supracoroides / lámina fusca: superficie interna de la
esclera, contiene fibras de colágeno más delgadas y fibras
elásticas.
Túnica vascular / Úvea
IRIS
○ Límite anterior del cuerpo ciliar y está adherido a la esclera por
detrás del límite esclerocorneal.
○ Estroma de tejido conjuntivo muy vascularizado
○ Porción basal de las células mioepiteliales, posee evaginaciones
y se extienden en forma radial y en conjunto forman el MÚSCLO
DILATADOR DE LA PUPILA DEL IRIS.
○ Tamaño de la pupila, controlado por la contracción de músculos
esfínter y dilatador de la pupila
■ Músculo esfínter de la pupila: banda circular de células
musculares lisas.
Túnica fibrosa / Esclerocórnea
Cuerpo ciliar
○ Se extiende posterolateteralmente
○ Se divide por un estroma y un epitelio
○ El estroma se divide en dos:
■ Capa externa de musculo liso, músculo ciliar
■ Región vascular interna
Proceso ciliar
○ Engrosamientos de la región vascular interna del cuerpo ciliar
○ Cubierto con una doble capa de células epiteliales cilíndricas:
■ Secreción de humor acuoso
■ Participación en la barrera hematoacuasa
■ Secreción y anclaje de las fibras zonulares
Túnica fibrosa / Esclerocórnea
Coroides
○ Porción que cubre la retina
○ Se distinguen 4 capas:
■ Lámina supracoroides o epicoroides: formada de fibras de colágeno
y elásticas, entre la coroides y la esclerótica
■ Sustancia propia (capa vascular): Contiene denso reticulado de
arteriolas, vénulas y pequeñas venas.
■ Capa coriocapilar, lámina vascular interna: red capilar densa, irriga
la parte periférica de la retina.
■ Membrana de Bruch; lámina delgada y hialina, membrana basal que
pertenece al epitelio pigmentario.
CAPA INTERNA - RETINA
● Capa más interna del globo ocular
● Esta compuesta por 2 capas básicas:
○ Pars pigmentosa o capa pigmentaria:
○ Pars nervosa o capa neural: contiene los fotorreceptores
sensibles a la luz. Se distinguen 2 regiones
■ Región no fotosensible (porción no visual): reviste la
superficie interna del cuerpo ciliar y superficie posterior del
iris.
■ Región fotosensible (porción óptica): reviste la superficie
interna del ojos, excepto donde es perforada por el nervio
óptico.
CAPAS DE LA RETINA
Epitelio
Pigmentario
(EPR)
• Capa externa
• Una sola capa
de células
cúbicas
Capa de conos y
bastones
• Contiene los
segmentos
externo e interno
de las células
fotorreceptores
Membrana
limitante externa
• Límite apical de
las células de
Müller
Capa nuclear
externa
• Contiene los
cuerpos
celulares
(núcleos) de los
conos y los
bastones
CAPAS DE LA RETINA
Capa plexiforme
externa
• Evaginaciones
de los conos y
bastones y las
evaginaciones
de las células
horizontales,
células
amacrinas, y las
neuronas
bipolares
Capa nuclear
interna
• Contiene los
cuerpos
celulares
(núcleos) de las
células
horizontales,
amacrinas,
bipolares y de
Müller
Capa plexiforme
interna
• Se encuentran
evaginaciones
de las células
horizontales,
amacrinas,
bipolares y
ganglionares
que establecen
sinapsis entre
sí.
Capa ganglionar
• Contiene
cuerpos
celulares
(núcleos) de las
células
ganglionares
CAPAS DE LA RETINA
Capa de fibras del
nervio óptico
• Formada por las
evaginaciones
axónicas de las
células ganglionares
que salen de la retina
hacia el cerebro
Membrana limitante
interna
• Compuesta por
lámina basal de las
células Müller
CRISTALINO
• Estructura bicovexa, avascular y transparente
• Suspendido de los bordes del cuerpo ceiliar por las
fibras zonulares.
• 3 componentes principales:
• Cápsula del cristalino: lámina basal producida por
las células del epitelio anterior.
• Epitelio subcapsular: capa cúbica de células
epiteliales del critalino solo en la superficie
anterior del cristalino.
• Fibras del cristalino (células fibrosas del
cristalino): derivan células del cristalino
ANEXOS
Conjuntiva
• Reviste el espacio entre la superficie
interna de los párpados y la superficie
anterior del globo ocular
• Epitelio cilíndrico estratificado, que
contiene células caliciformes
Párpado
• Protege al globo ocular
• 4 tipos de glándulas
• Glandulas tarsales (glándulas de
Meibomio)
• Glándulas sebáceas de las
pestañas
• Glándulas apocrinas
• Glándulas lagrimales accesorias
CONJUNTIVA
LENGUA
EMBRIOLOGIA
Epitelio de la lengua tiene doble origen, ectodérmico o bucal y endodérmico o faríngeo
Porción bucal comprende los dos tercios anteriores y la porción faríngea el tercio
posterior.
A la quinta semana por la cara interna de los arcos mandibulares se observan dos
engrosamientos laterales:
• Protuberancias linguales laterales y un tubérculo impar y medio, la cual estos 3
forman el primer arco.
• Detrás del tubérculo impar, se encuenta la COPULA que resulta el segundo arco
branquial y dará lugar a la raíz de la lengua.
• Eminencia hipobranquial, se desarrolla a partir del tercer y cuarto arco
Branquial
EMBRIOLOGIA
Crecimiento de la protuberancias, linguales laterales, se fusionan para formar 2 tercias
anteriores o cuerpo de la lengua
La mucosa que cubre el cuerpo de la lengua, proviene del primer arco faríngeo
Extremo posterior de la lengua y la epiglotis se desarrollan a partir del cuarto arco
faríngeo.
ANATOMIA
Constituida por una raíz, cuerpo y vértice.
Fija a la mandíbula y hueso hioides
Numerosos músculos intrínsecos lo que da la forma y
movilidad
Dos tipos de músculo
Músculos intrínsecos: modifican la estructura de la
lengua
Músculo longitudinal superior
Músculo longitudinal inferior
Músculo vertical
Músculo transverso
Músculo extrínsecos: fuera de la lengua y encargados
que la lengua se mueva
Geniogloso
Hiogloso
Estilogrloso
Palatogloso
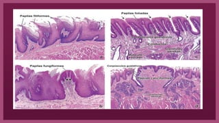
HISTOLOGÍA
Filiforme
• Más pequeñas y
abundantes.
• Epitelio estratificado
plano muy cornificado
Fungiformes
• Se encuentran
dispersas
• Corpúsculos
gustativos
Caliciforme
• Grandes
• Se encuentra la
mucosa
• Epitelio
estratificado plano
• Conductos de las
glándulas salivales
linguales vacían su
secreción serosa
en la base del
surco
Caliciforme
• Crestas bajas
paralelas
separadas por
hendiduras
profundas de la
mucosa.
OJO y LENGUA 1.pptx
OJO y LENGUA 1.pptx

OJO y LENGUA 1.pptx

  • 1.
  • 2.
  • 3.
  • 4.
    Óragno sensorial complejo,provee el sentido de la vista Capacidad de seguir el deplazamiento de objetos en movimiento Capacidad de proteger, mantener, outorreparar y limpiar el sistema óptico Córnea y cristalino del ojo campturan y enfocan la luz
  • 5.
  • 6.
    PRIMORDIUM ÓPTICO Foseta óptica–vesícula óptica primaria. Cúpula óptica y fisura embrionaria Aparato visual esencial Se invagina y se forma la vesícula cristaliniana Se forma una capa epitelial continua Aporta elementos de nutrición, soporte y protector Ectodermo Neural Ectodermo de Superficie Mesodermo
  • 7.
    Vesículas Ópticas Esférica, situadaen ambos lados del primordium encefálico. En su porción distal por ectodermo de superficie y del otro lado del mesodermo. Entre la 4ta y 7ma semana. Invaginación que afecta a la zona en contacto con el ectodermo de superficie Formando la vesícula cristaliniana Zona proximal continua elogándose y se forma la fisura embrionaria. Fisura embrionaria desde el anillo de la cúpula óptica hasta la pared lateral del encéfalo y revestida por mesodermo adyacente. Primaria Secundaria
  • 8.
    Cierre la fisuraEmbrionaria Entre la 7-8 semanas Iniciando en porción medial y se dirige con rapidez hacia el anillo de la cúpula Se forma pliegues y sufre una eversión. Placa y vesícula Critaliniana Se forma la placa cristaliniana, en que se engruesa la vesícula óptica primaria. Se invagina y se forma la foseta cristaliniana (fóvea lentis) y se forma la vesícula.
  • 9.
    Ectodermo de superficie • Cristalino •Epitelio corneal • Epitelio conjuntival y de la glándula lagrimal • Epitelio de los párpados, pestañas, glándulas de meibomio • Revestimiento epitelial de las vías lagrimales Ectodermo neural • Retina • Epitelio pigmentario de la retina • Epitelio de los procesos ciliares • Epitelio que cubre la superficie posterior del iris • Músculos esfínter y dilatador del iris • Nervio óptico • Parte del cuerpo vítreo Ectodermo Neural + de superficie • Parte del cuerpo vítreo • Ligamento suspensorio del cristalino
  • 10.
    Mesodermo Paraaxial • Vasos sanguíneos •Esclera • Músculo ciliar • Endotelio de la cornea • Estroma del iris • Músculatura extrínseca • Grasa, ligamentos • Tejido conectivo del párpado superior Mesodermo visceral • Pared inferior y externa de la órbita • Tejido conectivo del párpado inferior
  • 11.
  • 14.
     Órgano par Mide 25 mm de diámetro  Sostenido por la cavidad orbitaria ósea  Sostenido por 6 músculos extrínsecos, que controlan el movimiento.  Músculos extra-oculares para que se mueva simétricamente  Una capa de tejido adiposo para amortiguar el movimiento dentro de la órbita.
  • 15.
    MÚSCULOS 4 músculos rectos ●El músculo recto inferior puede guiar el ojo hacia abajo: bajar la mirada ● El músculo recto superior puede guiar el ojo hacia arriba: elevar nuestros ojos ● El músculo recto interno puede guiar el ojo a la aducción de la nariz ● El músculo recto lateral puede guiar el ojo a la vez: el secuestro. 2 músculos oblicuos • El músculo oblicuo inferior: Este es el más corto de los músculos extraoculares. Permite una orientación del ojo hacia la sien y mirada fija elevada. • El músculo oblicuo superior: Este es el más largo de los músculos extraoculares. Permite una orientación del ojo para la nariz y bajar la mirada.
  • 17.
    GLOBO OCULAR Capa externa Esclera:porción blanca Córnea: porción transparente Coroides Cuerpo ciliar Iris Capa interna Epitelio pigmentario externo Retina nerviosa interna está en continuidad con SNC por el nervio óptico Epitelio del cuerpo ciliar y del iris Túnica fibrosa / Esclerocórnea Túnica vascular / Uvea RETINA
  • 18.
    PARTE INTERNA DELOJO CÁMARA ANTERIOR CÁMARA POSTERIOR CÁMARA VÍTREA
  • 19.
    CÁMARA ANTERIOR ● Entrela córnea y el iris ● Contiene el humor acuoso ● Iris ○ Controla la cantidad de luz que ingresa al ojo abriendo y cerrando la pupila ○ Utiliza músculos para cambiar el tamaño de la pupila, para controlar la cantidad de luz que ingresa al ojo ■ Dilatando ■ Cotrayéndola
  • 20.
    CÁMARA POSTERIOR ● Entreiris y el cristalino ● La luz pasa a través de la pupila al cristalino ● Cristalino es muy elástico, que permite enfocar objetos a distancias variables ● Contracción o la relajación de los músculos del cristalino cambia de forma. ● Contiene el humor acuoso
  • 21.
    CÁMARA VÍTREA ● Entrecristalino y retina nerviosa ● 2/3 posteriores cubierta por una capa de células nerviosas que convierten la luz en impulsos nerviosos. ● Fibras nerviosas de la retina se fusionan para formar nervio óptico. ● Mácula, da una visión central y definida, lo que esta enfrente. ● Vasos sanguíneos, vena y arteria retinianas, lo que se extiende a lo largo del nervio óptico y salen por la parte posterior del ojo ● Contiene de humor vítreo
  • 22.
  • 23.
    Túnica fibrosa /Esclerocórnea CÓRNEA ○ Epitelio corneal ■ Epitelio plano estratificado sin estrato córneo ○ Membrana de Bowman ○ Estroma corneal ○ Membrana de Descement ○ Endotelio corneal
  • 24.
    Túnica fibrosa /Esclerocórnea Bembrana de Bowman ○ Bembrana basal anterior ○ Entre el epitelio corneal y estroma corneal ○ Barrera contra la diseminación de infecciones ○ No se regenera ○ Constituida por fibras de colágeno V, VI, III, I Estroma Corneal ○ Sustancia propia ○ Formada por laminillas, que consta de haces paralelas de fibrillas de colágeno (I, III, V y VI)
  • 25.
    Túnica fibrosa /Esclerocórnea Bembrana de Descemet ○ Bembrana basal posterior ○ Separa el endotelio corneal de la estroma corneal contigua. ○ Se regenera con rapidez ○ Se engruesa con la edad Endotelio Corneal ○ Capa simple de células aplanadas que tapiza la superficie de la córnea que limita la cámara anterior. ○ Intercambio metabólico
  • 27.
    Túnica fibrosa /Esclerocórnea ESCLERA ○ Capa fibrosa gruesa que contiene haces de colágeno tipo I y entre ellas red de fibras elásticas. ○ Se divide en 3 capas de límites poco definidos ■ Lámina epiescleral (epiesclera): capa externa de tejido conjuntivo laxo continua de tejido adiposo. ■ Sustancia propia / esclera propiamente dicha / cápsula de Tenon: fascia conjuntiva que reviste el globo ocular, formada de fibras de colágeno gruesas. ■ Lámina supracoroides / lámina fusca: superficie interna de la esclera, contiene fibras de colágeno más delgadas y fibras elásticas.
  • 29.
    Túnica vascular /Úvea IRIS ○ Límite anterior del cuerpo ciliar y está adherido a la esclera por detrás del límite esclerocorneal. ○ Estroma de tejido conjuntivo muy vascularizado ○ Porción basal de las células mioepiteliales, posee evaginaciones y se extienden en forma radial y en conjunto forman el MÚSCLO DILATADOR DE LA PUPILA DEL IRIS. ○ Tamaño de la pupila, controlado por la contracción de músculos esfínter y dilatador de la pupila ■ Músculo esfínter de la pupila: banda circular de células musculares lisas.
  • 33.
    Túnica fibrosa /Esclerocórnea Cuerpo ciliar ○ Se extiende posterolateteralmente ○ Se divide por un estroma y un epitelio ○ El estroma se divide en dos: ■ Capa externa de musculo liso, músculo ciliar ■ Región vascular interna Proceso ciliar ○ Engrosamientos de la región vascular interna del cuerpo ciliar ○ Cubierto con una doble capa de células epiteliales cilíndricas: ■ Secreción de humor acuoso ■ Participación en la barrera hematoacuasa ■ Secreción y anclaje de las fibras zonulares
  • 36.
    Túnica fibrosa /Esclerocórnea Coroides ○ Porción que cubre la retina ○ Se distinguen 4 capas: ■ Lámina supracoroides o epicoroides: formada de fibras de colágeno y elásticas, entre la coroides y la esclerótica ■ Sustancia propia (capa vascular): Contiene denso reticulado de arteriolas, vénulas y pequeñas venas. ■ Capa coriocapilar, lámina vascular interna: red capilar densa, irriga la parte periférica de la retina. ■ Membrana de Bruch; lámina delgada y hialina, membrana basal que pertenece al epitelio pigmentario.
  • 38.
    CAPA INTERNA -RETINA ● Capa más interna del globo ocular ● Esta compuesta por 2 capas básicas: ○ Pars pigmentosa o capa pigmentaria: ○ Pars nervosa o capa neural: contiene los fotorreceptores sensibles a la luz. Se distinguen 2 regiones ■ Región no fotosensible (porción no visual): reviste la superficie interna del cuerpo ciliar y superficie posterior del iris. ■ Región fotosensible (porción óptica): reviste la superficie interna del ojos, excepto donde es perforada por el nervio óptico.
  • 39.
    CAPAS DE LARETINA Epitelio Pigmentario (EPR) • Capa externa • Una sola capa de células cúbicas Capa de conos y bastones • Contiene los segmentos externo e interno de las células fotorreceptores Membrana limitante externa • Límite apical de las células de Müller Capa nuclear externa • Contiene los cuerpos celulares (núcleos) de los conos y los bastones
  • 40.
    CAPAS DE LARETINA Capa plexiforme externa • Evaginaciones de los conos y bastones y las evaginaciones de las células horizontales, células amacrinas, y las neuronas bipolares Capa nuclear interna • Contiene los cuerpos celulares (núcleos) de las células horizontales, amacrinas, bipolares y de Müller Capa plexiforme interna • Se encuentran evaginaciones de las células horizontales, amacrinas, bipolares y ganglionares que establecen sinapsis entre sí. Capa ganglionar • Contiene cuerpos celulares (núcleos) de las células ganglionares
  • 41.
    CAPAS DE LARETINA Capa de fibras del nervio óptico • Formada por las evaginaciones axónicas de las células ganglionares que salen de la retina hacia el cerebro Membrana limitante interna • Compuesta por lámina basal de las células Müller
  • 43.
    CRISTALINO • Estructura bicovexa,avascular y transparente • Suspendido de los bordes del cuerpo ceiliar por las fibras zonulares. • 3 componentes principales: • Cápsula del cristalino: lámina basal producida por las células del epitelio anterior. • Epitelio subcapsular: capa cúbica de células epiteliales del critalino solo en la superficie anterior del cristalino. • Fibras del cristalino (células fibrosas del cristalino): derivan células del cristalino
  • 45.
    ANEXOS Conjuntiva • Reviste elespacio entre la superficie interna de los párpados y la superficie anterior del globo ocular • Epitelio cilíndrico estratificado, que contiene células caliciformes Párpado • Protege al globo ocular • 4 tipos de glándulas • Glandulas tarsales (glándulas de Meibomio) • Glándulas sebáceas de las pestañas • Glándulas apocrinas • Glándulas lagrimales accesorias
  • 46.
  • 48.
  • 49.
    EMBRIOLOGIA Epitelio de lalengua tiene doble origen, ectodérmico o bucal y endodérmico o faríngeo Porción bucal comprende los dos tercios anteriores y la porción faríngea el tercio posterior. A la quinta semana por la cara interna de los arcos mandibulares se observan dos engrosamientos laterales: • Protuberancias linguales laterales y un tubérculo impar y medio, la cual estos 3 forman el primer arco. • Detrás del tubérculo impar, se encuenta la COPULA que resulta el segundo arco branquial y dará lugar a la raíz de la lengua. • Eminencia hipobranquial, se desarrolla a partir del tercer y cuarto arco Branquial
  • 50.
    EMBRIOLOGIA Crecimiento de laprotuberancias, linguales laterales, se fusionan para formar 2 tercias anteriores o cuerpo de la lengua La mucosa que cubre el cuerpo de la lengua, proviene del primer arco faríngeo Extremo posterior de la lengua y la epiglotis se desarrollan a partir del cuarto arco faríngeo.
  • 51.
    ANATOMIA Constituida por unaraíz, cuerpo y vértice. Fija a la mandíbula y hueso hioides Numerosos músculos intrínsecos lo que da la forma y movilidad Dos tipos de músculo Músculos intrínsecos: modifican la estructura de la lengua Músculo longitudinal superior Músculo longitudinal inferior Músculo vertical Músculo transverso Músculo extrínsecos: fuera de la lengua y encargados que la lengua se mueva Geniogloso Hiogloso Estilogrloso Palatogloso
  • 52.
    HISTOLOGÍA Filiforme • Más pequeñasy abundantes. • Epitelio estratificado plano muy cornificado Fungiformes • Se encuentran dispersas • Corpúsculos gustativos Caliciforme • Grandes • Se encuentra la mucosa • Epitelio estratificado plano • Conductos de las glándulas salivales linguales vacían su secreción serosa en la base del surco Caliciforme • Crestas bajas paralelas separadas por hendiduras profundas de la mucosa.

Notas del editor

  • #7 La formación los ojos es cerca de la extremidad anterior de la placa neural, cuando se forma la foseta óptica. Este proceso participan 3 capas embrionarias. El Ectodermo Neural (que forma el aparato visual esencial). El ectodermo Neural de la foseta óptica se transforma en la vesícula óptica primaria, la cual al invaginarse desarrolla la cúpula óptica y la fisura embrionaria, cuyo cierre completa el proceso fundamental de desarrollo de este órgano y lo prepara para la diferenciación final de la retina (5-6 semanas postfecundación). El Ectodermo de Superficie. También se invagina y forma la vesícula cristaliniana. Sobre ella el Ectodermo de Superficie se cierra y forma una capa epitelial continua. El Mesodermo. Aporta los elementos de nutrición, de soporte y protectoras, así como el aparato motor.
  • #16 Dentro de la cavidad del hueso de la órbita, el globo ocular se mantiene y se pone en movimiento por los músculos oculomotores
  • #18 El ojo tiene tres capas principales. Estas capas yacen planas una contra la otra y forman el globo ocular. La capa interna es la retina, la cual recubre los dos tercios posteriores del globo ocular. La retina consiste en dos capas: la retina sensitiva, la cual contiene células nerviosas que procesan la información visual y la envían al cerebro; y el epitelio pigmentario retiniano (RPE, por sus siglas en inglés), el cual se halla entre la retina sensitiva y la pared del ojo.
  • #30 tamaño de la pupila es controlado por la contracción de los músculos esfínter de la pupila y dilatador de la pupila. El proceso de adaptación (aumento o disminución del tamaño de la pupila) asegura que sólo la cantidad apropiada de luz entre en el ojo. Dos músculos participan activamente en la adaptación
  • #32 Porción anterior del iris carece de revestimiento epitelial, parte posterior esta pigmentada y le da color a los ojos
  • #33 Epitelio pigmentario del iris, se componene de dos capas de células productoras de melanina
  • #34 Se compone de tres capas celulares que son de aspecto y origen distintos. Estas capas están separadas por dos membranas importantes que aparecen homogéneas cuando se miran con
  • #36 Cuerpo cieliar contiene prlongaciones que se encargan de producir humor acuoso
  • #40 La disposición y las asociaciones específcas de los núcleos y las evaginaciones de estas células específcas hacen que la retina esté organizada en diez capas que se identifcan con el microscopio óptico
  • #46 La conjuntiva o conjuntiva del ojo, es una membrana mucosa transparente que limita tanto la cara interna de los párpados como la cara anterior del globo ocular (excepto la córnea) o esclera. Esta permite que el párpado se mueva suave y libremente sobre el ojo, manteniéndolo húmedo y protegiéndolo de lesiones por contacto.
  • #48 Biopsia de excisión conjuntival (A). Epitelio plano estratificado no queratinizado, con áreas de acantosis (B), múltiples zonas de proliferación de epitelio superficial con queratinización (C y D), respetando la membrana basal, y presentando cambios de degeneración elastótica en el estroma.  
  • #53 SE CONFORMAN DE 4 TIPOS DE PAPILAS