Incrustar presentación
Descargar para leer sin conexión

















































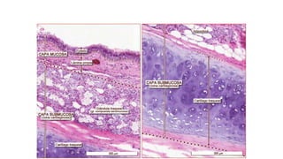
SISTEMA REPRODUCTOR MASCULINO, Aparato respiratorio, Sistema reproductor masculino histologia ii (1),Sistema reproductor masculino histologia ii (1),Sistema reproductor masculino histologia ii (1)SISTEMA REPRODUCTOR MASCULINO, Aparato respiratorio, Sistema reproductor masculino histologia ii (1),Sistema reproductor masculino histologia ii (1),Sistema reproductor masculino histologia ii (1)
















































