Incrustar presentación
Descargar para leer sin conexión




















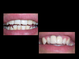
El documento describe el proceso de implante unitario en el sector anterior de la boca de un paciente. Incluye la reconstrucción del ángulo tras un traumatismo, la fabricación de una llave de silicona provisional, la colocación de un implante Avinent Hexagono interno, la confección de un pilar provisional y de un perfil de emergencia, la realización de un coping de cubeta cerrada y la fabricación y cementado de pilares y coronas de cerámica luego de 7 semanas.



















