Incrustar presentación
Descargar para leer sin conexión
















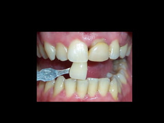
Este documento habla sobre el proceso de fabricación de una corona dental, incluyendo la toma de impresiones, la selección del color, el uso de silano para la adhesión y el cementado final bajo luz para asegurar el ajuste correcto.















