MEMBRAN
A CELULAR
DRA SADY
ARZAMENDIA
La membrana celular, también conocida como membrana
plasmática, es una estructura delgada que rodea a la célula y
separa su interior del entorno externo.
Está compuesta principalmente por una bicapa de fosfolípidos y
proteínas, y su función principal es regular el paso de sustancias
hacia adentro y afuera de la célula, actuando como una barrera
selectiva.
ORGANIZACI
ÓN GENERAL
La membrana celular, también conocida
como membrana plasmática, es una
estructura dinámica, delgada y flexible.
Rodea todas las células y actúa como
una barrera selectiva entre el medio
intracelular y el extracelular.
Regula el intercambio de sustancias,
permite la comunicación celular y
mantiene la homeostasis.
COMPOSICIÓN QUÍMICA
• Lípidos (40-50%): Mayormente fosfolípidos, además de colesterol y
glucolípidos.
• Proteínas (40-55%): Pueden ser integrales (transmembrana) o periféricas.
• Carbohidratos (5-10%): Unidos a lípidos (glucolípidos) o proteínas
(glucoproteínas), conforman el glucocálix.
CARACTERÍSTICA
S PRINCIPALES: Bicapa lipídica: Dos capas de fosfolípidos con sus cabezas
hidrofílicas orientadas hacia afuera (agua) y colas hidrofóbicas hacia
adentro.
Proteínas embebidas: Como un "mosaico" dentro del mar de lípidos.
Pueden moverse lateralmente.
Fluidez: La membrana no es rígida. Sus componentes pueden
moverse, lo que le da flexibilidad y dinamismo.
Asimetría: La composición de lípidos y proteínas no es igual en
ambas capas.
Autoensamblaje: La bicapa se forma espontáneamente en ambientes
acuosos debido a las propiedades de los fosfolípidos.
ESTRUCTURA
BICAPA LIPÍDICA:
• La membrana celular está formada por dos capas de moléculas de
lípidos (fosfolípidos) dispuestas con sus cabezas hidrofílicas
(atractivas al agua) hacia afuera y sus colas hidrofóbicas (repelentes
al agua) hacia adentro, creando una barrera que separa el interior y
exterior celular.
• Los fosfolípidos son un tipo de lípidos que forman parte de las
membranas celulares y son esenciales para la estructura y función de
las células. Se caracterizan por tener una cabeza polar (hidrofílica) y
dos colas no polares (hidrofóbicas), lo que les permite formar
bicapas en las membranas.
FOSFOLIPIDOS
FOSFOLIPIDOS
ESTRUCTURA
• Un fosfolípido consta de una molécula de glicerol, dos ácidos grasos
y un grupo fosfato unido a un grupo polar variable (como colina,
serina o etanolamina).
• La cabeza polar (grupo fosfato y grupo R) es hidrofílica, atraída por
el agua.
• Las colas no polares (ácidos grasos) son hidrofóbicas, repelen el
agua.
PROTEÍNAS:
• Proteínas incrustadas en la bicapa lipídica desempeñan diversas
funciones, como el transporte de moléculas, la señalización celular y
la adhesión a otras células.
TIPOS DE PROTEINAS
• Proteínas integrales:
• Cruzan la bicapa lipídica y pueden ser transmembrana (atraviesan ambas capas) o monotópicas
(se unen a un solo lado).
• Proteínas periféricas:
• Se adhieren a la membrana de forma temporal, interactuando con proteínas integrales o
lípidos.
GLÚCIDOS:
• Pequeñas cantidades de carbohidratos también se
encuentran en la membrana, principalmente unidos a
lípidos y proteínas, formando glucolípidos y glucoproteínas
que participan en el reconocimiento celular y la
señalización.
TIPOS DE GLÚCIDOS
Glicolípidos:
• Glúcidos unidos a lípidos, principalmente en la capa externa de la membrana.
Glicoproteínas:
• Glúcidos unidos a proteínas, también presentes en la capa externa de la membrana.
Glicanos:
• Cadenas de azúcares que pueden ser lineales o ramificadas y que están unidas a
proteínas o lípidos.
FUNCIONES DE LA MEMBRANA CELULAR
Transporte de
sustancias (pasivo
y activo).
Comunicación
celular mediante
receptores.
Reconocimiento
celular
(importante en
inmunidad).
Soporte
estructural al
citoesqueleto.
Adhesión celular
en tejidos.
Reacciones
enzimáticas
localizadas.
FUNCIONES
DE LA
MEMBRANA
CELULAR
•Barrera selectiva:
Controla el paso de sustancias, permitiendo la entrada de nutrientes y la
salida de desechos, y regulando el equilibrio iónico.
•Reconocimiento celular:
Las glucoproteínas y glucolípidos de la membrana participan en la
identificación de otras células, permitiendo la comunicación intercelular y la
formación de tejidos.
•Transporte:
Las proteínas de membrana facilitan el transporte de moléculas específicas a
través de la membrana, ya sea por difusión simple, transporte activo o
mediado por proteínas transportadoras.
•Señalización:
Las proteínas receptoras de membrana detectan señales del entorno y las
transmiten al interior de la célula, desencadenando respuestas celulares.
•Mantenimiento de la forma celular:
La membrana celular ayuda a definir la forma de la célula y a mantener su
integridad estructural.
RESUMEN
FINAL
Elemento Función Principal
Fosfolípidos Estructura básica, barrera selectiva
Proteínas Transporte, comunicación, anclaje
Carbohidratos Reconocimiento y protección (glucocálix)
Colesterol Estabilidad y fluidez
LA CUBIERTA CELULAR O PARED CELULAR
• La cubierta celular se refiere a las estructuras externas a la
membrana plasmática, que protegen, reconocen y permiten la
interacción celular. Esta cubierta varía entre células animales,
vegetales, bacterianas y otras.
ESTRUCTURA
• La cubierta celular puede incluir, según el tipo de célula:
• 🧱 a) En células animales:
• Glucocálix: Capa delgada y rica en carbohidratos ubicada en la superficie externa de la membrana
plasmática.
• 🌱 b) En células vegetales:
• Pared celular: Capa rígida fuera de la membrana plasmática, compuesta principalmente por celulosa.
• 🦠 c) En células procariotas (bacterias):
• Pared celular: Estructura gruesa compuesta por peptidoglicano.
• Cápsula (en algunas): Estructura gelatinosa externa a la pared.
FUNCIONES
Función Descripción
Protección
Frente a daños mecánicos, químicos y
biológicos. Evita la deshidratación.
Reconocimiento celular
Interacción con otras células,
especialmente el glucocálix. Importante
en inmunidad.
Adhesión
Permite que células se adhieran a
superficies o entre sí.
Soporte estructural
Especialmente en células vegetales y
bacterianas. Mantiene la forma.
Intercambio selectivo
Participa indirectamente en la regulación
del paso de sustancias.
Formación de tejidos
Permite la unión y organización de
células en tejidos.
Evasión del sistema inmune
En bacterias, la cápsula puede ayudar a
evitar la fagocitosis.
RESUMEN POR TIPO DE CÉLULA
Tipo de célula Cubierta Composición Función principal
Animal Glucocálix
Glicoproteínas y
glicolípidos
Reconocimiento y
protección
Vegetal Pared celular Celulosa, pectinas Soporte y protección
Bacteriana Pared celular + cápsula
Peptidoglicano /
polisacáridos
Protección y evasión
inmune
DIFERENCIACIONES DE LA MEMBRANA
CELULAR
Son regiones de la
membrana plasmática
que presentan
modificaciones
estructurales
especializadas para
cumplir diferentes
funciones.
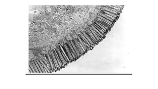
01
Un típico ejemplo lo
ofrecen las células del
epitelio intestinal,
donde la membrana
plasmática presenta
sectores bien
diferenciados.
02
La membrana apical que
está en contacto con la luz
del intestino, presenta las
microvellosidades, que
son diferenciaciones
especializadas en la
absorción de alimentos,
agua y nutrientes.
03
Las membranas laterales y
la membrana basal
presentan diferentes
estructuras que sirven
para unir células contiguas
entre sí o para unir células
con la matriz extracelular.
04
MEMBRANA APICAL
• Es la superficie libre de la célula que está en contacto con la luz
(interior) de un órgano o cavidad. Posee estructuras especializadas:
• a) Microvellosidades
• Prolongaciones cilíndricas pequeñas y numerosas.
• Formadas por actina.
• Aumentan la superficie de absorción.
• Localizadas en células del intestino (borde en cepillo).
• b) Estereocilios
• Prolongaciones largas, delgadas y móviles, similares a microvellosidades pero más largas.
• También formadas por actina, pero no tienen movimiento activo (no son cilios verdaderos).
• Función: absorción y sensibilidad mecánica (ej. epidídimo y oído interno).
MICROVELLOSIDADES
• Son prolongaciones delgadas, digitiformes, dispuestas como pliegues y
proyectadas desde la superficie apical de la célula hacia el lumen del intestino.
• Su función es aumentar la superficie efectiva expuesta sin aumentar el volumen
de la célula
• Optimizan la absorción de sustancias.
• En su interior presentan un citoesqueleto donde predominan los
microfilamentos de actina.
ESTEREOCILIOS
• Los estereocilios son proyecciones citoplasmáticas largas y no móviles,
similares a pelos, que se encuentran en la superficie de ciertas células,
especialmente en el oído interno y el epidídimo. En el oído interno, son
cruciales para la audición y el equilibrio, ya que actúan como mecanosensores
que convierten las vibraciones mecánicas en señales eléctricas. En el epidídimo,
participan en la absorción de líquido y la maduración de los espermatozoides.
MEMBRANA LATERAL
• Es la región que conecta células adyacentes. Posee uniones
intercelulares que mantienen la cohesión y comunicación:
a) Uniones estrechas (zonula occludens)
•Sellan el espacio entre células.
•Impiden el paso de sustancias entre células.
b) Uniones adherentes (zonula adherens)
•Anclan el citoesqueleto de una célula a otra.
•Dan resistencia mecánica.
c) Desmosomas o hemidesmosomas (macula adherens)
•Puntos de anclaje entre células.
•Proporcionan fuerza de adhesión.
d) Uniones comunicantes (gap o nexos)
•Canales que permiten el paso de iones y pequeñas moléculas.
•Permiten la comunicación intercelular.
UNIONES ESTRECHAS
• Son zonas de contacto muy íntimo que crean un cierre
hermético en forma de anillo.
• Su función primordial es impedir la difusión de agua y solutos
por el espacio intersticial, de modo que todo el intercambio
se produzca únicamente a través de la membrana apical del
epitelio.
• Estructuralmente se produce por un entramado de proteínas
de membrana entre las cuales la más importante es la
ocludina.
UNIONES ADHERENTES
• Son puntos de unión entre las membranas laterales de células contiguas.
• Otorgan a los tejidos resistencia mecánica, cohesión, y en algunos elasticidad.
• Están formados por dos placas proteicas ubicadas en la cara citoplasmática de cada una de
las membranas plasmáticas.
• Desde el citoplasma confluyen y se anclan a cada una de estas placas, filamentos del
citoesqueleto.
• Completan la estructura una serie de glucoproteinas, las cadherinas, que parten desde
dichas placas, atraviesan la membrana plasmática hacia el espacio extracelular, donde se
unen a otras cadherinas provenientes de la célula contigua
EN LAS UNIONES ADHERENTES LOS FILAMENTOS DEL CITOESQUELETO SON MICROFILAMENTOS DE
ACTINA.
EN LOS DESMOSOMAS LOS FILAMENTOS DEL CITOESQUELETO SON FILAMENTOS INTERMEDIOS DE
QUERATINA.
UNIONES GAP
• Se trata de estructuras proteicas que comunica células contiguas.
• Son similares a canales o tubos hexagonales, y reciben el nombre de conexones.
• Formados por una proteína llamada
• conexina.
• Estos canales pueden abrirse y cerrarse de forma independiente.
• Permiten el intercambio entre células de iones y pequeñas moléculas como
azúcares y nucleótidos.
MEMBRANA BASAL
• Es la región de la célula que contacta con la lámina basal
(estructura extracelular de soporte). Se observan:
• a) Invaginaciones basales
• Pliegues que aumentan la superficie de la membrana basal.
• Asociadas con mitocondrias cercanas.
• Función: transporte activo intenso, como en túbulos renales.
• b) Hemidesmosomas
• Estructuras que anclan la célula al tejido subyacente (lámina basal).
• Similares a desmosomas pero unidos a la matriz extracelular.
• Función: adhesión fuerte al sustrato.
INVAGINACIONES
• Las invaginaciones celulares son pliegues o hundimientos de la
membrana celular hacia el interior de la célula. Estas estructuras
pueden ocurrir de forma natural como parte de procesos celulares
normales, o pueden ser inducidas por factores externos o artefactos
de laboratorio.
HEMIDESMOSOMAS
• Son uniones de anclaje entre las células y la matriz extracelular.
• Son parecidos a la mitad de un desmosoma, de ahí su nombre.
• Las proteínas que se proyectan hacia la matriz son las integrinas (en lugar de las cadherinas), y
se unen a componentes de la matriz extracelular como el colágeno o la laminina.
• Hacia el citoplasma participan filamentos intermedios.
¿QUÉ ES EL RECICLAJE DE MEMBRANA?
Es el proceso dinámico por el cual
los componentes de la membrana
plasmática (lípidos, proteínas y
receptores) son retirados,
transportados, modificados y
reutilizados o degradados,
permitiendo:
Renovar componentes
viejos o dañados.
Reorganizar la
membrana según las
condiciones celulares.
Controlar la cantidad de
receptores o
transportadores en
superficie.
ETAPAS PRINCIPALES DEL RECICLAJE DE MEMBRANA
1. Endocitosis
Porción de la
membrana se invagina
y forma vesículas que
ingresan al citoplasma.
Tipos:
Pinocitosis: ingestión
de líquidos.
Fagocitosis: ingestión
de partículas grandes.
Endocitosis mediada
por receptores: muy
selectiva.
2. Formación de endosomas
Las vesículas se fusionan con
endosomas tempranos, donde
se clasifican los componentes.
Se decide si serán:
Reciclados de
nuevo a la
membrana.
Dirigidos a la
degradación.
3. Reciclaje o degradación Vías posibles:
Reciclaje rápido: retorno directo a la
membrana.
Reciclaje lento: pasa por endosomas tardíos y
luego regresa.
Degradación: se fusiona con lisosomas donde
se destruyen los componentes.
FUNCIONES DEL RECICLAJE DE LA MEMBRANA
Función Descripción
Renovación Reemplazo de proteínas y lípidos dañados o viejos
Regulación Control del número de receptores en la superficie
Adaptación Respuesta a estímulos externos
Economía celular
Reutilización de materiales sin necesidad de sintetizar
nuevos
Participación en señalización Controla la disponibilidad de receptores
TRANSPORTE DE
SUSTANCIAS A
TRAVÉS DE LA
MEMBRANA
CELULAR
LA MEMBRANA PLASMÁTICA REGULA EL INTERCAMBIO DE
SUSTANCIAS ENTRE EL INTERIOR Y EL EXTERIOR DE LA CÉLULA.
ESTOS MOVIMIENTOS PUEDEN SER:
A. TRANSPORTE PASIVO (Sin gasto de
energía)
Ocurre a favor del gradiente de concentración
(de más a menos), y no requiere ATP.
1. Difusión simple
• Paso directo de moléculas
pequeñas o lipofílicas (O , CO ,
₂ ₂
gases, hormonas lipídicas).
• A través de la bicapa lipídica.
2. Difusión facilitada
• Utiliza proteínas transportadoras
o canales.
• Para moléculas grandes o polares
(ej. glucosa, aminoácidos).
• No requiere energía, pero sí
proteínas específicas.
3. Canales iónicos
• Proteínas transmembrana que
permiten el paso de iones (Na ,
⁺
K , Cl , Ca² ).
⁺ ⁻ ⁺
• Pueden ser:
• Controlados por voltaje (dependen
del potencial eléctrico).
• Controlados por ligandos (activados
por moléculas señal).
B. TRANSPORTE
ACTIVO (CON GASTO
DE ENERGÍA)
OCURRE EN CONTRA
DEL GRADIENTE DE
CONCENTRACIÓN
(DE MENOS A MÁS) Y
REQUIERE ATP.
Bombas
Proteínas que utilizan ATP
para mover iones o
moléculas.
Ejemplo: bomba
sodio-potasio
(Na /K )
⁺ ⁺ :
Saca 3 Na y entra
⁺
2 K por cada ATP.
⁺
Mantiene el
potencial de
membrana y
equilibrio osmótico.
ENDOCITOSIS (ENTRADA A LA CÉLULA)
La membrana envuelve partículas y forma una vesícula hacia el
interior.
• Tipos:
• Fagocitosis: “comer” partículas grandes (ej. bacterias).
• Pinocitosis: “beber” líquidos o solutos.
• Endocitosis mediada por receptores: muy selectiva.
EXOCITOSIS (SALIDA DESDE LA CÉLULA)
Vesículas se fusionan con la membrana y liberan su contenido al exterior.
• Ejemplos:
• Secreción de hormonas, enzimas o neurotransmisores.
• Eliminación de desechos.
• https://youtu.be/lLooHkggI4s
GRACIAS

MEMBRANA CELULAR O MEMBRANA PLASMATICA pptx

  • 1.
  • 2.
    La membrana celular,también conocida como membrana plasmática, es una estructura delgada que rodea a la célula y separa su interior del entorno externo. Está compuesta principalmente por una bicapa de fosfolípidos y proteínas, y su función principal es regular el paso de sustancias hacia adentro y afuera de la célula, actuando como una barrera selectiva.
  • 4.
    ORGANIZACI ÓN GENERAL La membranacelular, también conocida como membrana plasmática, es una estructura dinámica, delgada y flexible. Rodea todas las células y actúa como una barrera selectiva entre el medio intracelular y el extracelular. Regula el intercambio de sustancias, permite la comunicación celular y mantiene la homeostasis.
  • 5.
    COMPOSICIÓN QUÍMICA • Lípidos(40-50%): Mayormente fosfolípidos, además de colesterol y glucolípidos. • Proteínas (40-55%): Pueden ser integrales (transmembrana) o periféricas. • Carbohidratos (5-10%): Unidos a lípidos (glucolípidos) o proteínas (glucoproteínas), conforman el glucocálix.
  • 6.
    CARACTERÍSTICA S PRINCIPALES: Bicapalipídica: Dos capas de fosfolípidos con sus cabezas hidrofílicas orientadas hacia afuera (agua) y colas hidrofóbicas hacia adentro. Proteínas embebidas: Como un "mosaico" dentro del mar de lípidos. Pueden moverse lateralmente. Fluidez: La membrana no es rígida. Sus componentes pueden moverse, lo que le da flexibilidad y dinamismo. Asimetría: La composición de lípidos y proteínas no es igual en ambas capas. Autoensamblaje: La bicapa se forma espontáneamente en ambientes acuosos debido a las propiedades de los fosfolípidos.
  • 7.
  • 8.
    BICAPA LIPÍDICA: • Lamembrana celular está formada por dos capas de moléculas de lípidos (fosfolípidos) dispuestas con sus cabezas hidrofílicas (atractivas al agua) hacia afuera y sus colas hidrofóbicas (repelentes al agua) hacia adentro, creando una barrera que separa el interior y exterior celular.
  • 9.
    • Los fosfolípidosson un tipo de lípidos que forman parte de las membranas celulares y son esenciales para la estructura y función de las células. Se caracterizan por tener una cabeza polar (hidrofílica) y dos colas no polares (hidrofóbicas), lo que les permite formar bicapas en las membranas. FOSFOLIPIDOS
  • 10.
  • 11.
    ESTRUCTURA • Un fosfolípidoconsta de una molécula de glicerol, dos ácidos grasos y un grupo fosfato unido a un grupo polar variable (como colina, serina o etanolamina). • La cabeza polar (grupo fosfato y grupo R) es hidrofílica, atraída por el agua. • Las colas no polares (ácidos grasos) son hidrofóbicas, repelen el agua.
  • 13.
    PROTEÍNAS: • Proteínas incrustadasen la bicapa lipídica desempeñan diversas funciones, como el transporte de moléculas, la señalización celular y la adhesión a otras células.
  • 14.
    TIPOS DE PROTEINAS •Proteínas integrales: • Cruzan la bicapa lipídica y pueden ser transmembrana (atraviesan ambas capas) o monotópicas (se unen a un solo lado). • Proteínas periféricas: • Se adhieren a la membrana de forma temporal, interactuando con proteínas integrales o lípidos.
  • 17.
    GLÚCIDOS: • Pequeñas cantidadesde carbohidratos también se encuentran en la membrana, principalmente unidos a lípidos y proteínas, formando glucolípidos y glucoproteínas que participan en el reconocimiento celular y la señalización.
  • 19.
    TIPOS DE GLÚCIDOS Glicolípidos: •Glúcidos unidos a lípidos, principalmente en la capa externa de la membrana. Glicoproteínas: • Glúcidos unidos a proteínas, también presentes en la capa externa de la membrana. Glicanos: • Cadenas de azúcares que pueden ser lineales o ramificadas y que están unidas a proteínas o lípidos.
  • 20.
    FUNCIONES DE LAMEMBRANA CELULAR Transporte de sustancias (pasivo y activo). Comunicación celular mediante receptores. Reconocimiento celular (importante en inmunidad). Soporte estructural al citoesqueleto. Adhesión celular en tejidos. Reacciones enzimáticas localizadas.
  • 21.
    FUNCIONES DE LA MEMBRANA CELULAR •Barrera selectiva: Controlael paso de sustancias, permitiendo la entrada de nutrientes y la salida de desechos, y regulando el equilibrio iónico. •Reconocimiento celular: Las glucoproteínas y glucolípidos de la membrana participan en la identificación de otras células, permitiendo la comunicación intercelular y la formación de tejidos. •Transporte: Las proteínas de membrana facilitan el transporte de moléculas específicas a través de la membrana, ya sea por difusión simple, transporte activo o mediado por proteínas transportadoras. •Señalización: Las proteínas receptoras de membrana detectan señales del entorno y las transmiten al interior de la célula, desencadenando respuestas celulares. •Mantenimiento de la forma celular: La membrana celular ayuda a definir la forma de la célula y a mantener su integridad estructural.
  • 22.
    RESUMEN FINAL Elemento Función Principal FosfolípidosEstructura básica, barrera selectiva Proteínas Transporte, comunicación, anclaje Carbohidratos Reconocimiento y protección (glucocálix) Colesterol Estabilidad y fluidez
  • 23.
    LA CUBIERTA CELULARO PARED CELULAR • La cubierta celular se refiere a las estructuras externas a la membrana plasmática, que protegen, reconocen y permiten la interacción celular. Esta cubierta varía entre células animales, vegetales, bacterianas y otras.
  • 24.
    ESTRUCTURA • La cubiertacelular puede incluir, según el tipo de célula: • 🧱 a) En células animales: • Glucocálix: Capa delgada y rica en carbohidratos ubicada en la superficie externa de la membrana plasmática. • 🌱 b) En células vegetales: • Pared celular: Capa rígida fuera de la membrana plasmática, compuesta principalmente por celulosa. • 🦠 c) En células procariotas (bacterias): • Pared celular: Estructura gruesa compuesta por peptidoglicano. • Cápsula (en algunas): Estructura gelatinosa externa a la pared.
  • 26.
    FUNCIONES Función Descripción Protección Frente adaños mecánicos, químicos y biológicos. Evita la deshidratación. Reconocimiento celular Interacción con otras células, especialmente el glucocálix. Importante en inmunidad. Adhesión Permite que células se adhieran a superficies o entre sí. Soporte estructural Especialmente en células vegetales y bacterianas. Mantiene la forma. Intercambio selectivo Participa indirectamente en la regulación del paso de sustancias. Formación de tejidos Permite la unión y organización de células en tejidos. Evasión del sistema inmune En bacterias, la cápsula puede ayudar a evitar la fagocitosis.
  • 27.
    RESUMEN POR TIPODE CÉLULA Tipo de célula Cubierta Composición Función principal Animal Glucocálix Glicoproteínas y glicolípidos Reconocimiento y protección Vegetal Pared celular Celulosa, pectinas Soporte y protección Bacteriana Pared celular + cápsula Peptidoglicano / polisacáridos Protección y evasión inmune
  • 28.
    DIFERENCIACIONES DE LAMEMBRANA CELULAR
  • 29.
    Son regiones dela membrana plasmática que presentan modificaciones estructurales especializadas para cumplir diferentes funciones. 01 Un típico ejemplo lo ofrecen las células del epitelio intestinal, donde la membrana plasmática presenta sectores bien diferenciados. 02 La membrana apical que está en contacto con la luz del intestino, presenta las microvellosidades, que son diferenciaciones especializadas en la absorción de alimentos, agua y nutrientes. 03 Las membranas laterales y la membrana basal presentan diferentes estructuras que sirven para unir células contiguas entre sí o para unir células con la matriz extracelular. 04
  • 31.
    MEMBRANA APICAL • Esla superficie libre de la célula que está en contacto con la luz (interior) de un órgano o cavidad. Posee estructuras especializadas:
  • 32.
    • a) Microvellosidades •Prolongaciones cilíndricas pequeñas y numerosas. • Formadas por actina. • Aumentan la superficie de absorción. • Localizadas en células del intestino (borde en cepillo). • b) Estereocilios • Prolongaciones largas, delgadas y móviles, similares a microvellosidades pero más largas. • También formadas por actina, pero no tienen movimiento activo (no son cilios verdaderos). • Función: absorción y sensibilidad mecánica (ej. epidídimo y oído interno).
  • 33.
    MICROVELLOSIDADES • Son prolongacionesdelgadas, digitiformes, dispuestas como pliegues y proyectadas desde la superficie apical de la célula hacia el lumen del intestino. • Su función es aumentar la superficie efectiva expuesta sin aumentar el volumen de la célula • Optimizan la absorción de sustancias. • En su interior presentan un citoesqueleto donde predominan los microfilamentos de actina.
  • 35.
    ESTEREOCILIOS • Los estereociliosson proyecciones citoplasmáticas largas y no móviles, similares a pelos, que se encuentran en la superficie de ciertas células, especialmente en el oído interno y el epidídimo. En el oído interno, son cruciales para la audición y el equilibrio, ya que actúan como mecanosensores que convierten las vibraciones mecánicas en señales eléctricas. En el epidídimo, participan en la absorción de líquido y la maduración de los espermatozoides.
  • 37.
    MEMBRANA LATERAL • Esla región que conecta células adyacentes. Posee uniones intercelulares que mantienen la cohesión y comunicación:
  • 38.
    a) Uniones estrechas(zonula occludens) •Sellan el espacio entre células. •Impiden el paso de sustancias entre células. b) Uniones adherentes (zonula adherens) •Anclan el citoesqueleto de una célula a otra. •Dan resistencia mecánica. c) Desmosomas o hemidesmosomas (macula adherens) •Puntos de anclaje entre células. •Proporcionan fuerza de adhesión. d) Uniones comunicantes (gap o nexos) •Canales que permiten el paso de iones y pequeñas moléculas. •Permiten la comunicación intercelular.
  • 40.
    UNIONES ESTRECHAS • Sonzonas de contacto muy íntimo que crean un cierre hermético en forma de anillo. • Su función primordial es impedir la difusión de agua y solutos por el espacio intersticial, de modo que todo el intercambio se produzca únicamente a través de la membrana apical del epitelio. • Estructuralmente se produce por un entramado de proteínas de membrana entre las cuales la más importante es la ocludina.
  • 41.
    UNIONES ADHERENTES • Sonpuntos de unión entre las membranas laterales de células contiguas. • Otorgan a los tejidos resistencia mecánica, cohesión, y en algunos elasticidad. • Están formados por dos placas proteicas ubicadas en la cara citoplasmática de cada una de las membranas plasmáticas. • Desde el citoplasma confluyen y se anclan a cada una de estas placas, filamentos del citoesqueleto. • Completan la estructura una serie de glucoproteinas, las cadherinas, que parten desde dichas placas, atraviesan la membrana plasmática hacia el espacio extracelular, donde se unen a otras cadherinas provenientes de la célula contigua
  • 43.
    EN LAS UNIONESADHERENTES LOS FILAMENTOS DEL CITOESQUELETO SON MICROFILAMENTOS DE ACTINA.
  • 44.
    EN LOS DESMOSOMASLOS FILAMENTOS DEL CITOESQUELETO SON FILAMENTOS INTERMEDIOS DE QUERATINA.
  • 45.
    UNIONES GAP • Setrata de estructuras proteicas que comunica células contiguas. • Son similares a canales o tubos hexagonales, y reciben el nombre de conexones. • Formados por una proteína llamada • conexina. • Estos canales pueden abrirse y cerrarse de forma independiente. • Permiten el intercambio entre células de iones y pequeñas moléculas como azúcares y nucleótidos.
  • 47.
    MEMBRANA BASAL • Esla región de la célula que contacta con la lámina basal (estructura extracelular de soporte). Se observan:
  • 48.
    • a) Invaginacionesbasales • Pliegues que aumentan la superficie de la membrana basal. • Asociadas con mitocondrias cercanas. • Función: transporte activo intenso, como en túbulos renales. • b) Hemidesmosomas • Estructuras que anclan la célula al tejido subyacente (lámina basal). • Similares a desmosomas pero unidos a la matriz extracelular. • Función: adhesión fuerte al sustrato.
  • 49.
    INVAGINACIONES • Las invaginacionescelulares son pliegues o hundimientos de la membrana celular hacia el interior de la célula. Estas estructuras pueden ocurrir de forma natural como parte de procesos celulares normales, o pueden ser inducidas por factores externos o artefactos de laboratorio.
  • 51.
    HEMIDESMOSOMAS • Son unionesde anclaje entre las células y la matriz extracelular. • Son parecidos a la mitad de un desmosoma, de ahí su nombre. • Las proteínas que se proyectan hacia la matriz son las integrinas (en lugar de las cadherinas), y se unen a componentes de la matriz extracelular como el colágeno o la laminina. • Hacia el citoplasma participan filamentos intermedios.
  • 53.
    ¿QUÉ ES ELRECICLAJE DE MEMBRANA? Es el proceso dinámico por el cual los componentes de la membrana plasmática (lípidos, proteínas y receptores) son retirados, transportados, modificados y reutilizados o degradados, permitiendo: Renovar componentes viejos o dañados. Reorganizar la membrana según las condiciones celulares. Controlar la cantidad de receptores o transportadores en superficie.
  • 54.
    ETAPAS PRINCIPALES DELRECICLAJE DE MEMBRANA 1. Endocitosis Porción de la membrana se invagina y forma vesículas que ingresan al citoplasma. Tipos: Pinocitosis: ingestión de líquidos. Fagocitosis: ingestión de partículas grandes. Endocitosis mediada por receptores: muy selectiva.
  • 55.
    2. Formación deendosomas Las vesículas se fusionan con endosomas tempranos, donde se clasifican los componentes. Se decide si serán: Reciclados de nuevo a la membrana. Dirigidos a la degradación.
  • 56.
    3. Reciclaje odegradación Vías posibles: Reciclaje rápido: retorno directo a la membrana. Reciclaje lento: pasa por endosomas tardíos y luego regresa. Degradación: se fusiona con lisosomas donde se destruyen los componentes.
  • 57.
    FUNCIONES DEL RECICLAJEDE LA MEMBRANA Función Descripción Renovación Reemplazo de proteínas y lípidos dañados o viejos Regulación Control del número de receptores en la superficie Adaptación Respuesta a estímulos externos Economía celular Reutilización de materiales sin necesidad de sintetizar nuevos Participación en señalización Controla la disponibilidad de receptores
  • 58.
    TRANSPORTE DE SUSTANCIAS A TRAVÉSDE LA MEMBRANA CELULAR
  • 59.
    LA MEMBRANA PLASMÁTICAREGULA EL INTERCAMBIO DE SUSTANCIAS ENTRE EL INTERIOR Y EL EXTERIOR DE LA CÉLULA. ESTOS MOVIMIENTOS PUEDEN SER: A. TRANSPORTE PASIVO (Sin gasto de energía) Ocurre a favor del gradiente de concentración (de más a menos), y no requiere ATP.
  • 60.
    1. Difusión simple •Paso directo de moléculas pequeñas o lipofílicas (O , CO , ₂ ₂ gases, hormonas lipídicas). • A través de la bicapa lipídica.
  • 61.
    2. Difusión facilitada •Utiliza proteínas transportadoras o canales. • Para moléculas grandes o polares (ej. glucosa, aminoácidos). • No requiere energía, pero sí proteínas específicas.
  • 62.
    3. Canales iónicos •Proteínas transmembrana que permiten el paso de iones (Na , ⁺ K , Cl , Ca² ). ⁺ ⁻ ⁺ • Pueden ser: • Controlados por voltaje (dependen del potencial eléctrico). • Controlados por ligandos (activados por moléculas señal).
  • 64.
    B. TRANSPORTE ACTIVO (CONGASTO DE ENERGÍA) OCURRE EN CONTRA DEL GRADIENTE DE CONCENTRACIÓN (DE MENOS A MÁS) Y REQUIERE ATP. Bombas Proteínas que utilizan ATP para mover iones o moléculas. Ejemplo: bomba sodio-potasio (Na /K ) ⁺ ⁺ : Saca 3 Na y entra ⁺ 2 K por cada ATP. ⁺ Mantiene el potencial de membrana y equilibrio osmótico.
  • 67.
    ENDOCITOSIS (ENTRADA ALA CÉLULA) La membrana envuelve partículas y forma una vesícula hacia el interior. • Tipos: • Fagocitosis: “comer” partículas grandes (ej. bacterias). • Pinocitosis: “beber” líquidos o solutos. • Endocitosis mediada por receptores: muy selectiva.
  • 69.
    EXOCITOSIS (SALIDA DESDELA CÉLULA) Vesículas se fusionan con la membrana y liberan su contenido al exterior. • Ejemplos: • Secreción de hormonas, enzimas o neurotransmisores. • Eliminación de desechos.
  • 71.
  • 72.