TEJIDO
CONECTIVO
Daniela Jurado 252047
Daniela Carrasco 236728
Ximena Torres 245053
Gael Murillo 239402
Rodrigo Rojas 243763
TEJIDO CONECTIVO
El tejido conjuntivo está compuesto por células y una matriz
extracelular con fibras y sustancias especializadas. Forma un
compartimento continuo en el cuerpo y cumple diversas
funciones según su composición.
TEJIDO CONECTIVO
EMBRIONARIO
El mesénquima embrionario da origen a los tejidos conjuntivos del
cuerpo.
Proviene del mesodermo, excepto en la cabeza, donde deriva del
ectodermo a través de las células de la cresta neural.
La proliferación y migración de estas células forman el mesénquima,
un tejido conjuntivo primitivo.
Mesénquima: Está compuesto por pequeñas células fusiformes
conectadas en una red tridimensional mediante uniones de
hendidura. Su espacio extracelular contiene una sustancia
fundamental viscosa.
Tejido conjuntivo mucoso: Se encuentra en el cordón umbilical y
tiene una matriz extracelular gelatinosa rica en ácido hialurónico,
conocida como gelatina de Wharton. Contiene células fusiformes
similares a fibroblastos, con evaginaciones citoplasmáticas
difíciles de observar en tinciones de rutina.
Clasificación
Fibras de colágeno delgadas
Su matriz extracelular tiene
abundante sustancia fundamental
Muy vascularizado: facilita el
intercambio de oxigeno y sustancias
con las células y otros tejidos
Tejido conectivo laxo
Debajo de epitelios que
tapizan superficie
externa del cuerpo y que
revisten superficies
internas
Rodea vasos sanguineos
Forma capsula que
rodea glandulas
Ubicación
Funciones:
Intercambio de nutrientes/
oxigeno (capilares y tejido)
Desecho metobolicos las
celulas a la sangre
Sustancia fundamental
Los nutrientes salen de los
capilares se disuelven en la
sustancia fundamental
Viajan a traves de ella
hasta llegar a las celulas
del tejido
Nutricion
Van en sentido contrario
Desde las celulas a la sustancia
fundamental
Ingresan nuevamente a la
sangre Eliminacdos a traves de
organos (Higado, Rinones)
Desechos Metabolicos
Dióxido de carbono (CO₂)
Respiracion celular
Urea
Descomposicion de
proteinas
Moléculas viajan en la sustancia
fundamental
Alcanzan una célula
Se unen a receptores específicos en la
membrana celular
Se activan vías de señalización que pueden:
✅Estimular el crecimiento celular
(cicatrización).
✅Regular la inflamación (atraer células del
sistema inmune).
Comunicacion celular (señales
quimicas)
Primera línea de defensa cuando un
patógeno entra en el organismo.
Contiene células del sistema inmune
( macrófagos, mastocitos y linfocitos)
Sitio donde ocurren reacciones
inflamatorias
Relación con el sistema
inmune
TEJIDO CONECTIVO DENSO
Tipos
Regular
irregular
Mayor cantidad de fibras
de colageno
Tejido mas resistente
Debido a su baja
vascularización, las
lesiones tardan mucho
en sanar
Tejido conjuntivo denso
irregular
No modelado
Fibras organizadas en
distintas direcciones
Ofrece resistencia a la tensión
en múltiples direcciones.
Ubicación
Dermis reticular de la
piel
Cápsula de órganos
(hígado, riñón)
Envolturas de cartílago y
hueso (pericondrio y
periostio).
Tejido conjuntivo denso
regular
Modelado
Fibras en una sola direccion
Muy juntas para ofrecer la mayor
resistencia posible
Proporciona resistencia en una
sola dirección (tensión
unidireccional).
Ubicación
Tendones
Ligamentos
Aponeurosis
.
Son el tipo de fibra más abundante en el tejido conjuntivo.
Son flexibles y presentan resistencia tensora notoria.
Los colágenos fibrilares incluyen las moléculas de colágeno
tipos I, II, III, XI y XXIV. Estos tipos se caracterizan por
presentar repeticiones ininterrumpidas de glicina-prolina-
hidroxiprolina y se aglomeran para formar fibrillas con
bandas de 68 nm
FIBRAS DE COLÁGENO
FIBRAS DE COLÁGENO
FIBRAS DE COLÁGENO
FIBRAS DE COLÁGENO
Fibras reticulares
Brindan soporte estructural y participan en la
cicatrización.
Formados por colágeno tipo III, creando redes
delgadas y ramificadas.
No visibles en H&E, pero si con tinciones PAS y plata
Generada por fibroblastos, excepto en nervios y
células musculares lisas en vasos y tubo digestivo
Fibras elásticas
Permiten que los tejidos se estiren y regresen a su forma
original
Son sintetizados por fibroblastos, células de músculo liso y
endoteliales
Estan formados por elastina y microfibrillas de fibrilina
La elastina contiene desmosina y isodesmosina, que
forman enlaces covalentes
Su biosíntesis es similar a la del colágeno, comienza con la
traducción de tropoelastina en el RER y su secreción
extracelular
Formación de fibras
MATRIZ
EXTRACELULAR
Red estructural que rodea y sustenta las células dentro del tejido
conectivo. Contiene múltiples fibras como las de colágeno, que se
forman a partir de proteínas. También contiene proteoglucanos,
glucoproteínas multiahesivas y glucosaminoglucanos, siendo
estos 3 últimos parte de la sustancia fundamental.
Proporciona sostén, fuerza tensora al tejido, funciona como
barrera y ayuda a la regulación metabólica.
Polisacáridos. Las células del tejido
conectivo, Carga negativa por grupo
sulfato y carboxilo, lo que lo ayuda a
su fácil decoloración.
Rápida difusión de moléculas
hidrosolubles.
Glucosaminoglucanos
Sustancia viscosa y transparente
resbalosa al tacto y con bastante
agua.
Se compone principalmente de
proteoglucanos,
glucosaminoglúcanos y
glucoproteínas multiadhesivas.
Sustancia
fundamental
GAG se une a proteínas centrales,
formando porteoglucanos. GAG se
extienden de forma similar a cerdas
de un cepillo.
Proteínas en la MEC que ayudan a su
estabilización y vinculación con la superficie
celular. Interactuan con receptores de la
superficie celular, como integrinas. Sirven en
movimiento y migración de células, así como la
proliferación. Se divide en fibronectina (la más
común, actúan con superficie celular), laminina
(presente en láminas basales), tenascina
(cicatrización de heridas y uniones músculo-
tendinosas) y osteopontina ( MEC ósea).
Glucoproteínas
multiadhesivas
Proteoglucanos
Suelen mostrar poco movimiento y se consideran como residentes
permanentes de tejido.
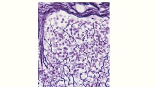
Fibroblastos
Macrófagos
Adipocitos
Mastocitos
Células madre adultas
CÉLULAS RESIDENTES
Encargados de la síntesis de las
fibras de colágeno, elásticas y
reticulares, así como hidratos de
carbono de sustancia
fundamental.
Se ubican cerca de las fibras de
colágeno. Se ve poco el núcleo.
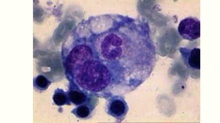
FIBROBLASTOS
Histiocitos. Derivan de
monocitos, los cuales migran
desde el torrente sanguíneo hacia
el tejido conjuntivo, donde se
diferencian en macrófagos.
Solo se identifican con actividad
fagocítica. Núcleo hendido.
MACRÓFAGOS
Ovoides con núcleo esferoidal y
un citoplasma lleno de gránulos
basófilados. Se observan con
colorantes básicos. Surge de
célula madre hematopoyética.
Superficie llena de receptores Fc
que se fijan a anticuerpos.
MASTOCITOS
Se diferencian a partir de las células
madre mesenquimatosas y
acumulan lípidos de forma gradual
en su citoplasma. Se localizan por
todo el tejido conjuntivo laxo como
células individuales.
ADIPOCITOS
Dépositos de células denominados
células madre adultas. Se encuentran en
sitios específicos, los nichos. Dentro de
estos estan las células madre tisulares
que estan en regiones como tubo
digestivo, estómago.
CÉLULAS MADRE
Consiste principalmente en células que han emigrado hacia el tejido desde la
sangre en respuesta a estímulos específico.
Linfocitos
Células plasmáticas
Neutrófilos
Eosinófilos
Basófilos
Monocitos
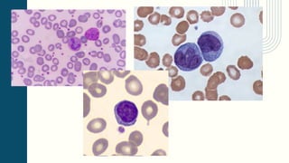
CÉLULAS ERRANTES O TRANSITORIAS
LINFOCITOS T
Caracterizadas por la presencia de
proteínas marcadoras CD2, CD3,
CD5 y CD7, y de receptores de
linfocitos T.
Tienen una larga vida útil y son
electoras de la inmunidad
mediada por célula.
LINFOCITOS B
Caracterizadas por la presencia de
proteínas CD9, CD19 y CD20, y de
las IgM e IgD.
Reconocen a los antígenos,
tienen una vida variable y son
efectoras de la inmunidad
mediada por anticuerpo.
LINFOCITOS NK
Son linfocitos no T y no B que
expresan las proteínas CD16,
CD56 y CD94, que no se
encuentran en otros linfocitos.
No producen Ig ni expresan TCR
en su superficie.
No son específicos de antígeno.
Destruyen las células infectadas
por virus y alguías células
neoplásticas por medio de un
mecanismo citotóxico.
Gracias!

Tejido conectivo presentacion de las generalidades

  • 1.
    TEJIDO CONECTIVO Daniela Jurado 252047 DanielaCarrasco 236728 Ximena Torres 245053 Gael Murillo 239402 Rodrigo Rojas 243763
  • 2.
    TEJIDO CONECTIVO El tejidoconjuntivo está compuesto por células y una matriz extracelular con fibras y sustancias especializadas. Forma un compartimento continuo en el cuerpo y cumple diversas funciones según su composición.
  • 3.
    TEJIDO CONECTIVO EMBRIONARIO El mesénquimaembrionario da origen a los tejidos conjuntivos del cuerpo. Proviene del mesodermo, excepto en la cabeza, donde deriva del ectodermo a través de las células de la cresta neural. La proliferación y migración de estas células forman el mesénquima, un tejido conjuntivo primitivo.
  • 4.
    Mesénquima: Está compuestopor pequeñas células fusiformes conectadas en una red tridimensional mediante uniones de hendidura. Su espacio extracelular contiene una sustancia fundamental viscosa. Tejido conjuntivo mucoso: Se encuentra en el cordón umbilical y tiene una matriz extracelular gelatinosa rica en ácido hialurónico, conocida como gelatina de Wharton. Contiene células fusiformes similares a fibroblastos, con evaginaciones citoplasmáticas difíciles de observar en tinciones de rutina. Clasificación
  • 6.
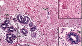
    Fibras de colágenodelgadas Su matriz extracelular tiene abundante sustancia fundamental Muy vascularizado: facilita el intercambio de oxigeno y sustancias con las células y otros tejidos Tejido conectivo laxo
  • 8.
    Debajo de epiteliosque tapizan superficie externa del cuerpo y que revisten superficies internas Rodea vasos sanguineos Forma capsula que rodea glandulas Ubicación
  • 10.
    Funciones: Intercambio de nutrientes/ oxigeno(capilares y tejido) Desecho metobolicos las celulas a la sangre Sustancia fundamental
  • 11.
    Los nutrientes salende los capilares se disuelven en la sustancia fundamental Viajan a traves de ella hasta llegar a las celulas del tejido Nutricion
  • 12.
    Van en sentidocontrario Desde las celulas a la sustancia fundamental Ingresan nuevamente a la sangre Eliminacdos a traves de organos (Higado, Rinones) Desechos Metabolicos Dióxido de carbono (CO₂) Respiracion celular Urea Descomposicion de proteinas
  • 13.
    Moléculas viajan enla sustancia fundamental Alcanzan una célula Se unen a receptores específicos en la membrana celular Se activan vías de señalización que pueden: ✅Estimular el crecimiento celular (cicatrización). ✅Regular la inflamación (atraer células del sistema inmune). Comunicacion celular (señales quimicas)
  • 14.
    Primera línea dedefensa cuando un patógeno entra en el organismo. Contiene células del sistema inmune ( macrófagos, mastocitos y linfocitos) Sitio donde ocurren reacciones inflamatorias Relación con el sistema inmune
  • 15.
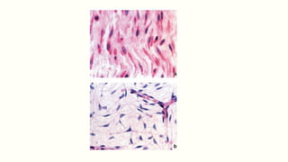
    TEJIDO CONECTIVO DENSO Tipos Regular irregular Mayorcantidad de fibras de colageno Tejido mas resistente Debido a su baja vascularización, las lesiones tardan mucho en sanar
  • 16.
    Tejido conjuntivo denso irregular Nomodelado Fibras organizadas en distintas direcciones Ofrece resistencia a la tensión en múltiples direcciones.
  • 17.
    Ubicación Dermis reticular dela piel Cápsula de órganos (hígado, riñón) Envolturas de cartílago y hueso (pericondrio y periostio).
  • 18.
    Tejido conjuntivo denso regular Modelado Fibrasen una sola direccion Muy juntas para ofrecer la mayor resistencia posible Proporciona resistencia en una sola dirección (tensión unidireccional).
  • 19.
  • 20.
    Son el tipode fibra más abundante en el tejido conjuntivo. Son flexibles y presentan resistencia tensora notoria. Los colágenos fibrilares incluyen las moléculas de colágeno tipos I, II, III, XI y XXIV. Estos tipos se caracterizan por presentar repeticiones ininterrumpidas de glicina-prolina- hidroxiprolina y se aglomeran para formar fibrillas con bandas de 68 nm FIBRAS DE COLÁGENO
  • 21.
  • 22.
  • 23.
  • 24.
    Fibras reticulares Brindan soporteestructural y participan en la cicatrización. Formados por colágeno tipo III, creando redes delgadas y ramificadas. No visibles en H&E, pero si con tinciones PAS y plata Generada por fibroblastos, excepto en nervios y células musculares lisas en vasos y tubo digestivo
  • 26.
    Fibras elásticas Permiten quelos tejidos se estiren y regresen a su forma original Son sintetizados por fibroblastos, células de músculo liso y endoteliales Estan formados por elastina y microfibrillas de fibrilina La elastina contiene desmosina y isodesmosina, que forman enlaces covalentes Su biosíntesis es similar a la del colágeno, comienza con la traducción de tropoelastina en el RER y su secreción extracelular
  • 28.
  • 30.
    MATRIZ EXTRACELULAR Red estructural querodea y sustenta las células dentro del tejido conectivo. Contiene múltiples fibras como las de colágeno, que se forman a partir de proteínas. También contiene proteoglucanos, glucoproteínas multiahesivas y glucosaminoglucanos, siendo estos 3 últimos parte de la sustancia fundamental. Proporciona sostén, fuerza tensora al tejido, funciona como barrera y ayuda a la regulación metabólica.
  • 31.
    Polisacáridos. Las célulasdel tejido conectivo, Carga negativa por grupo sulfato y carboxilo, lo que lo ayuda a su fácil decoloración. Rápida difusión de moléculas hidrosolubles. Glucosaminoglucanos Sustancia viscosa y transparente resbalosa al tacto y con bastante agua. Se compone principalmente de proteoglucanos, glucosaminoglúcanos y glucoproteínas multiadhesivas. Sustancia fundamental
  • 32.
    GAG se unea proteínas centrales, formando porteoglucanos. GAG se extienden de forma similar a cerdas de un cepillo. Proteínas en la MEC que ayudan a su estabilización y vinculación con la superficie celular. Interactuan con receptores de la superficie celular, como integrinas. Sirven en movimiento y migración de células, así como la proliferación. Se divide en fibronectina (la más común, actúan con superficie celular), laminina (presente en láminas basales), tenascina (cicatrización de heridas y uniones músculo- tendinosas) y osteopontina ( MEC ósea). Glucoproteínas multiadhesivas Proteoglucanos
  • 33.
    Suelen mostrar pocomovimiento y se consideran como residentes permanentes de tejido. Fibroblastos Macrófagos Adipocitos Mastocitos Células madre adultas CÉLULAS RESIDENTES
  • 34.
    Encargados de lasíntesis de las fibras de colágeno, elásticas y reticulares, así como hidratos de carbono de sustancia fundamental. Se ubican cerca de las fibras de colágeno. Se ve poco el núcleo. FIBROBLASTOS Histiocitos. Derivan de monocitos, los cuales migran desde el torrente sanguíneo hacia el tejido conjuntivo, donde se diferencian en macrófagos. Solo se identifican con actividad fagocítica. Núcleo hendido. MACRÓFAGOS Ovoides con núcleo esferoidal y un citoplasma lleno de gránulos basófilados. Se observan con colorantes básicos. Surge de célula madre hematopoyética. Superficie llena de receptores Fc que se fijan a anticuerpos. MASTOCITOS
  • 35.
    Se diferencian apartir de las células madre mesenquimatosas y acumulan lípidos de forma gradual en su citoplasma. Se localizan por todo el tejido conjuntivo laxo como células individuales. ADIPOCITOS Dépositos de células denominados células madre adultas. Se encuentran en sitios específicos, los nichos. Dentro de estos estan las células madre tisulares que estan en regiones como tubo digestivo, estómago. CÉLULAS MADRE
  • 36.
    Consiste principalmente encélulas que han emigrado hacia el tejido desde la sangre en respuesta a estímulos específico. Linfocitos Células plasmáticas Neutrófilos Eosinófilos Basófilos Monocitos CÉLULAS ERRANTES O TRANSITORIAS
  • 39.
    LINFOCITOS T Caracterizadas porla presencia de proteínas marcadoras CD2, CD3, CD5 y CD7, y de receptores de linfocitos T. Tienen una larga vida útil y son electoras de la inmunidad mediada por célula. LINFOCITOS B Caracterizadas por la presencia de proteínas CD9, CD19 y CD20, y de las IgM e IgD. Reconocen a los antígenos, tienen una vida variable y son efectoras de la inmunidad mediada por anticuerpo. LINFOCITOS NK Son linfocitos no T y no B que expresan las proteínas CD16, CD56 y CD94, que no se encuentran en otros linfocitos. No producen Ig ni expresan TCR en su superficie. No son específicos de antígeno. Destruyen las células infectadas por virus y alguías células neoplásticas por medio de un mecanismo citotóxico.
  • 46.