MÓDULO 5: FUNDAMENTOS Y TÉCNICAS DE ANÁLISIS HEMATOLÓGICOS
             ACTIVIDAD 6.7: FISIOLOGÍA LEUCOCITARIA – ALTERACIONES
                                  LEUCOCITARIAS
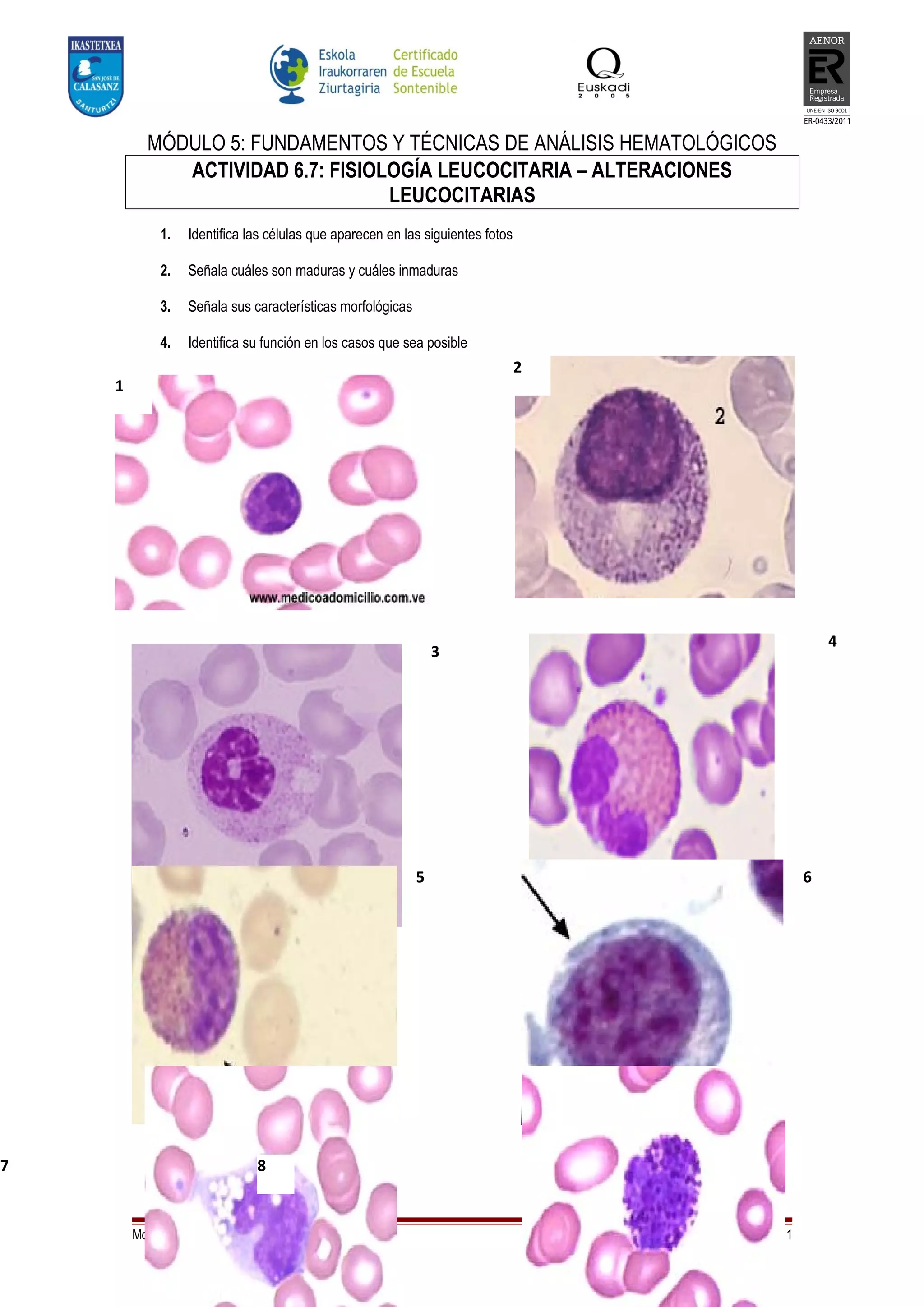
            1.   Identifica las células que aparecen en las siguientes fotos

            2.   Señala cuáles son maduras y cuáles inmaduras

            3.   Señala sus características morfológicas

            4.   Identifica su función en los casos que sea posible
                                                                               2
    1




                                                                                                  4
                                                               3




                                                           5                                  6




7                            8



        Mod_5_Act_6.7                                                              Página 1
9                         10




        5.   Busca en internet la imagen de un linfoblasto, un linfocito, una célula plasmática, un mastocito, un
             monoblasto, un promonocito y de un monocito. Señala sus características así como su función en el caso
             de las células maduras.




        6.   Sabiendo que todas las células que aparecen en la imagen pertenecen a la misma serie. Identifícalas




    Mod_5_Act_6.7                                                                                            Página 2
7.   Señala las alteraciones que se observan en las siguientes fotos y relacionada con una patología



                                                                        3
1
                                               2


                                                                            4                                             5   6


                                                    8.


                                                   Identifica la célula
             que señalada en la imagen y nombra las patologías en las que aparece




    Mod_5_Act_6.7                                                                                              Página 3

A6.7_m5

  • 1.
    MÓDULO 5: FUNDAMENTOSY TÉCNICAS DE ANÁLISIS HEMATOLÓGICOS ACTIVIDAD 6.7: FISIOLOGÍA LEUCOCITARIA – ALTERACIONES LEUCOCITARIAS 1. Identifica las células que aparecen en las siguientes fotos 2. Señala cuáles son maduras y cuáles inmaduras 3. Señala sus características morfológicas 4. Identifica su función en los casos que sea posible 2 1 4 3 5 6 7 8 Mod_5_Act_6.7 Página 1
  • 2.
    9 10 5. Busca en internet la imagen de un linfoblasto, un linfocito, una célula plasmática, un mastocito, un monoblasto, un promonocito y de un monocito. Señala sus características así como su función en el caso de las células maduras. 6. Sabiendo que todas las células que aparecen en la imagen pertenecen a la misma serie. Identifícalas Mod_5_Act_6.7 Página 2
  • 3.
    7. Señala las alteraciones que se observan en las siguientes fotos y relacionada con una patología 3 1 2 4 5 6 8. Identifica la célula que señalada en la imagen y nombra las patologías en las que aparece Mod_5_Act_6.7 Página 3