Incrustar presentación
Descargar para leer sin conexión






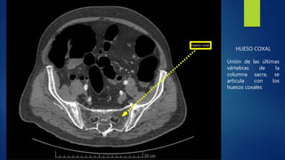
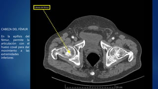
El documento describe brevemente cinco partes del cuerpo humano: el hígado, el riñón derecho, la articulación costovertebral, el hueso coxal y la cabeza del fémur. Se proporciona una función clave de cada parte del cuerpo.





