Malformaciones
congénita de rodilla
Introducción
• Son todas aquellas deformidades que producen una
angulación de la rodilla más allá de los límites normales, dolor
crónico, impotencia funcional.
• Tanto en plano anteroposterior como lateral del miembro.
• Obedece a diferentes causas de tipo fisiológica, congénita o
adquirida.
• La rodilla, además de afectar la longitud de la extremidad,
también puede estar implicada en la alineación de la
extremidad.
 En todos los grupos de edad, los problemas de
la rodilla conforman una cuarta parte de las
dolencias musculoesqueléticas. En niños, las
enfermedades de la rodilla son
sustancialmente menos comunes, pero
aumentan en frecuencia durante la
adolescencia.
 Meniscos discoides
 Hiperextensión y luxación congénita de la rodilla
 Luxación congénita de la rótula
 Ausencia congénita de la rótula
 Alteraciones del eje
 Tibia vara o deformidad de Blount
 Meniscos discoides
 Hiperextensión y luxación congénita de la rodilla
 Luxación congénita de la rótula
 Ausencia congénita de la rótula
 Alteraciones del eje
 Tibia vara o deformidad de Blount
Menisco externo:
anomalías congénitas.
Mega cuernos Meniscos discoides
 La incidencia en niños no se
conoce porque la mayoría
son asintomáticos
 Bilateral en el 25%
 Etiología: falta de
reabsorción de la porción
central del menisco durante
el desarrollo embrionario
Menisco discoide
Artrografía de meniscos discoides
Menisco discoide completo
Resección del menisco en su
totalidad, en la época en que
se realizaban meniscectomías
totales
Artrografía de meniscos discoides
Meniscos discoides dilacerados o partidos
 Meniscos discoides
 Hiperextensión y luxación congénita de la rodilla
 Luxación congénita de la rótula
 Ausencia congénita de la rótula
 Alteraciones del eje
 Tibia vara o deformidad de Blount
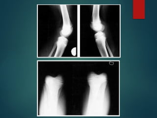
Hiperextensión y luxación
congénita de la rodilla
 La hiperextensión es solo el menor de los grados de
la anomalía
-1º o hiperextensión congénita
-2º o ídem + subluxación anterior de la tibia sobre el
fémur.
-3º o ídem + luxación anterior de la tibia sobre el
fémur.
 El interés en esta
entidad patológica
se centra en su
escasa incidencia y
por lo tanto la
escasa experiencia
existente en su
manejo.
 Incidencia muy rara (1,7 por 100000
nacidos vivos)
 Mujeres: 3/1
 Aislada o asociada
- luxación de cadera (45%)
- pie zambo (31%)
- Luxación congénita de codo (10%)
- Fisura palatina y labio leporino
- Espina bífida
- Hidrocefalia
- Sd de Down
- Criptorquidia
- Angiomas
- Parálisis facial
- Ano imperforado
se han propuesto varias teorías
 Traumatismos perinatales
 Modelación fetal
 Hipoplasia y atenuación del ligamento cruzado anterior
 Contractura del cuádriceps
 Isquemia intrauterina
 Factores hereditarios
Ex. clínico
 Diagnostico sencillo donde se aprecia
hiperextensión
marcada de la rodilla en contraposición con la
postura habitual en flexión
 Limitación de la flexión e inestabilidad lateral
 En recurvatum, la rótula se sitúa mas arriba en la tróclea y fuera
de la flexión, se orienta sobre la cara externa lo que puede
producir una sub luxación
 Antes de considerar una rodilla recurvatum, es necesario precisar
el bloqueo “normal” (5-15°) de la rodilla en extensión.
Rx
 En las rx laterales =
desplazamiento parcial
(subluxación) o luxación
completa de la tibia sobre el
fémur
 En las rx AP = subluxación lateral
o rotatoria asociada con
deformidad en valgo
 Hipoplasia o ausencia de los
centros de osificación
 TAC y RMN en casos severos y
planificación preoperatoria
Tratamiento
 Depende de la severidad de la deformidad y la edad.
 Se debe comenzar lo mas pronto posible,
preferiblemente al nacimiento
 En RN con hiperextensión y subluxación leve a
moderada yesos seriados en flexión c/2 semanas, (vs
rehabilitación continua)
 90° flexión en las primeras 6 semanas luego se pueden
utilizar ortesis o arnés de Pavlik para mantener la flexión
de la rodilla
 Cuando la luxación o subluxación no puede reducirse de forma
cerrada suele ser necesaria la cirugía
 Debe realizarse antes de la deambulación (6 meses)
 Liberación de las estructuras que se oponen a la reducción y
alargamiento del tendón del cuádriceps
 Osteotomías femorales y tibiales en niños mayores
 En el paciente adulto con una luxación congénita de la rodilla
inveterada la cirugía es la opción mas frecuente
Tratamiento Quirúrgico
 Meniscos discoides
 Hiperextensión y luxación congénita de la rodilla
 Luxación congénita de la rótula
 Ausencia congénita de la rótula
 Alteraciones del eje
 Tibia vara o deformidad de Blount
Luxación congénita de
rótula
Poco frecuente y de difícil
diagnóstico precoz,
diferenciándose de otras
formas de luxación por ser
permanentes, no reductibles
por maniobras manuales y
provocar en su evolución
natural una deformidad
grave y progresiva de la
rodilla.
Clínica y ex fisico
 marcha dificultosa por la deformidad de la
rodilla.
 A la exploración llama la atención la ausencia
del contorno rotuliano en el surco intercondíleo y
su localización en la cara lateral
 Osificación de la rótula hasta los 2 a 3 años
 Sospechar de luxación en un lactante, cuando tiene
una deformidad fija en flexión de la rodilla y rotación
lateral externa excesiva de la tibia.
 Puede palparse los cóndilos femorales, la rótula
puede localizarse por encima de la cabeza del
peroné
TRATAMIENTO
 Liberación lateral extensa,
Imbricación medial, la
transferencia del semitendinoso a
la rotula como una rienda
 Transferencia del tendón rotuliano
 Transferencia de la TAT
 Técnica de Curtis y
Fisher. Para liberar la
capsula anterior medial
y lateral del
mecanismo del
cuádriceps
 Meniscos discoides
 Hiperextensión y luxación congénita de la rodilla
 Luxación congénita de la rótula
 Ausencia congénita de la rótula
 Alteraciones del eje
 Tibia vara o deformidad de Blount
Ausencia congénita de
rotula
Síndrome uña – rótula
 Displasia rara, 4
características
- Displasia de las uñas de los
dedos de las manos
- Ausencia dela rótula,
- Luxaciones de la cabeza
del radio
- Cuernos iliacos
 Meniscos discoides
 Hiperextensión y luxación congénita de la rodilla
 Luxación congénita de la rótula
 Ausencia congénita de la rótula
 Alteraciones del eje
 Tibia vara o deformidad de Blount
Alteraciones del eje
• Desde que los niños empiezan a
caminar y hasta
aproximadamente los 2 años de
edad, las piernas suelen tener
forma de paréntesis o
arqueadas, fenómeno
llamado genu varo.
• A partir de los 3 años, las piernas
acostumbran a adoptar una
forma de x, conocido con el
nombre de genu valgo. Se
mantiene habitualmente hasta
los 7 o 8 años, edad en que las
piernas vuelven a su posición
normal.
• Por ello, a partir de los ocho
años cualquier posición en varo
o en valgo es anormal.
RN -> Varo fisiológico: 10-15°
18 meses-> neutralización de angulación
2-3 años -> valgo fisiológico: 15°
A partir de los 8 años -> 7-8° normal
Genu Valgum
 Desviación del miembro inferior que se
observa en un plano frontal.
 Es el desplazamiento interno de la rodilla, el
eje longitudinal del fémur está en aducción y
el de la tibia en abducción, formando entre
los 2 un ángulo abierto hacia fuera
 “PATA DE CATRE”
 La rodilla forma un ángulo abierto hacia el
exterior que es patológico cuando es de 170º.
 Si el espacio intermaleolar excede de los 5cm
se puede confirmar un genu valgum.
Clasificación de Morley
Examen físico
 Fatiga rápida.
 Dolor frente a la tracción o la presión.
 Hiperextensión del ligamento lateral
interno.
 Sintomatología en el menisco interno.
 Hinchazón.
 Crepitación.
 Posible combinación con coxa vara.
 Escoliosis (en caso de genus valgus
unilateral).
 Afecciones de los pies (pie valgo y
plano)
tratamiento
 El tratamiento conservador
ortopédico es con férulas
correctoras durante la noche.
Con distancias intermaleolares
menores a 7,5 cm el tratamiento
conservador da buenos
resultados.
 Puede aplicarse
simultáneamente la fisioterapia, y
cuando se hayan quitado las
férulas, el tratamiento
fisioterapéutico será exclusivo.
 Si fracasa el tratamiento
conservador, se deberá recurrir a
la cirugía.
Grapado hemiepifisiario
Es una epifisiodesis
temporal con grapas
metálicas que detienen
el crecimiento fisiario
medial permitiendo que
el lado contrario de la
fisis crezca normalmente
y la extremidad recobre
la alineación.
Hemicondrodiastasis
Se realiza con ayuda de un
fijador externo, una
distracción cerrada gradual
y asimétrica de los
cartílagos fisiarios para
corregir la deformidad
angular.
Osteotomías
Procedimiento agresivo del tx
definitivo de la deformidad
angular.
Para la consolidación
necesita inmovilización
externa u osteosintesis interna.
Genu Varo
 Desviación interna de la rodilla, en la
cual la porción de la extremidad distal a
la rodilla se desvía hacia la línea media
 Rodillas arqueadas (“De vaquero”)
 Este padecimiento se denomina de
manera común, pierna en arco.
 “CHUECO”
Ex. físico
 separación de ambos cóndilos femorales internos es mas de 6
cm (3 o 4 dedos del examinador), se puede indicar que estamos
hablando de un paciente con Genu varum
 Durante el segundo y tercer año
de vida el ángulo evoluciona a un
valgo marcado alcanzando un
máximo de 12º alrededor de los 3-
4 años.
 Desde los 4 años nuevamente
evoluciona hacia la corrección
hasta los 7-10 años de edad, en
que alcanza los valores normales
adultos de 4º a 6º de valgo en
hombre y 8º a 9º en la mujer.
Causas
 Genu Varo Fisiológico
 El más frecuente
 Bilateral
 Hasta los 30 meses
aproximadamente
 6 cm de separación IC (3 dedos del
examinador)
 Genu varo Patológico
 Traumático
 Infeccioso
 Enfermedad de Blount
 Síndrome de Fanconi
 Tumoral
 Acondroplásico
 Metabólico
Tratamiento
 Debe ser conservador
ortopédico y fisioterapéutico.
 Las indicaciones de
tratamiento fisioterapéutico
son las mismas que para el
genu valgum, pero en sentido
corrector naturalmente
opuesto.
 Tx quirúrgico en adultos.
 Meniscos discoides
 Hiperextensión y luxación congénita de la rodilla
 Luxación congénita de la rótula
 Ausencia congénita de la rótula
 Alteraciones del eje
 Tibia vara o deformidad de Blount
Deformidad de Blount
 Alteración del eje de la
extremidad inferior producto
de una tibia vara proximal
 Producto del cierre precoz
de la fisis proximal medial
 Puede ser uni o bilateral
 1937 – Blount
- “osteocondrosis deformans tibiae”
- Descripción de deformidades
características
- Identifica formas precoz y tardía
 1964 – Langrnskiöld
- diseña sistema de clasificación y
pronostico
Tipos
epidemiología
 Prevalencia
- no esta clara
- estimada en < 1 % en EEUU
 Factores de riesgo
- Obesidad
- sexo femenino
- raza: negra
- inicio de marcha precoz (<1año)
fisiopatología
 Alteraciones de la porción medial de la fisis tibial
proximal.
 Inhibición relativa de la porción posteromedial del
cartilago de crecimiento:
- Varo
- Antecurvatum
- Rotación interna
Clínica
 Habitualmente asintomático
 Ex Físico
- Genu varo exacerbado al
pararse en un pie
- Prominencia palpable en
borde medial de la metáfisis
proximal de la tibia
- Torsión tibia interna
- Bilateral 50%
 Distorsión epifisio – fisio –
metafisiaria (patognomónico)
Clasificación de
Langrnskiöld
tratamiento
 Ortopedico
Menores de 3 años
- Tipos 1 y 2
Ferulas
- Eficacia no bien determinada
- Buen resultado aparentemente
en unilaterales
- Malos resultados en obesos y
bilaterales
- Duración 2 años
Quirugico
- > 3 años
- Estadios 3,4,5,6 (<3años)
- Falla de tratamiento ortopedico
Alternativas
-osteotomía
Epifisiodesis
Modulación del crecimiento
 Osteotomía oblicua tibial
proximal de RAB
 Green Chevron
 Modulación del
crecimiento
 Meniscos discoides
 Hiperextensión y luxación congénita de la rodilla
 Luxación congénita de la rótula
 Ausencia congénita de la rótula
 Alteraciones del eje
 Tibia vara o deformidad de Blount
Gracias…

clase.pptxXD RODKDDKDDKKDKDKDKDKDDKDKDKDKKDDKD

  • 1.
  • 2.
    Introducción • Son todasaquellas deformidades que producen una angulación de la rodilla más allá de los límites normales, dolor crónico, impotencia funcional. • Tanto en plano anteroposterior como lateral del miembro. • Obedece a diferentes causas de tipo fisiológica, congénita o adquirida. • La rodilla, además de afectar la longitud de la extremidad, también puede estar implicada en la alineación de la extremidad.
  • 3.
     En todoslos grupos de edad, los problemas de la rodilla conforman una cuarta parte de las dolencias musculoesqueléticas. En niños, las enfermedades de la rodilla son sustancialmente menos comunes, pero aumentan en frecuencia durante la adolescencia.
  • 4.
     Meniscos discoides Hiperextensión y luxación congénita de la rodilla  Luxación congénita de la rótula  Ausencia congénita de la rótula  Alteraciones del eje  Tibia vara o deformidad de Blount
  • 5.
     Meniscos discoides Hiperextensión y luxación congénita de la rodilla  Luxación congénita de la rótula  Ausencia congénita de la rótula  Alteraciones del eje  Tibia vara o deformidad de Blount
  • 6.
  • 7.
     La incidenciaen niños no se conoce porque la mayoría son asintomáticos  Bilateral en el 25%  Etiología: falta de reabsorción de la porción central del menisco durante el desarrollo embrionario
  • 8.
  • 9.
    Artrografía de meniscosdiscoides Menisco discoide completo Resección del menisco en su totalidad, en la época en que se realizaban meniscectomías totales
  • 10.
    Artrografía de meniscosdiscoides Meniscos discoides dilacerados o partidos
  • 12.
     Meniscos discoides Hiperextensión y luxación congénita de la rodilla  Luxación congénita de la rótula  Ausencia congénita de la rótula  Alteraciones del eje  Tibia vara o deformidad de Blount
  • 13.
    Hiperextensión y luxación congénitade la rodilla  La hiperextensión es solo el menor de los grados de la anomalía -1º o hiperextensión congénita -2º o ídem + subluxación anterior de la tibia sobre el fémur. -3º o ídem + luxación anterior de la tibia sobre el fémur.
  • 15.
     El interésen esta entidad patológica se centra en su escasa incidencia y por lo tanto la escasa experiencia existente en su manejo.
  • 16.
     Incidencia muyrara (1,7 por 100000 nacidos vivos)  Mujeres: 3/1  Aislada o asociada - luxación de cadera (45%) - pie zambo (31%) - Luxación congénita de codo (10%) - Fisura palatina y labio leporino - Espina bífida - Hidrocefalia - Sd de Down - Criptorquidia - Angiomas - Parálisis facial - Ano imperforado
  • 17.
    se han propuestovarias teorías  Traumatismos perinatales  Modelación fetal  Hipoplasia y atenuación del ligamento cruzado anterior  Contractura del cuádriceps  Isquemia intrauterina  Factores hereditarios
  • 18.
    Ex. clínico  Diagnosticosencillo donde se aprecia hiperextensión marcada de la rodilla en contraposición con la postura habitual en flexión  Limitación de la flexión e inestabilidad lateral
  • 20.
     En recurvatum,la rótula se sitúa mas arriba en la tróclea y fuera de la flexión, se orienta sobre la cara externa lo que puede producir una sub luxación
  • 21.
     Antes deconsiderar una rodilla recurvatum, es necesario precisar el bloqueo “normal” (5-15°) de la rodilla en extensión.
  • 23.
    Rx  En lasrx laterales = desplazamiento parcial (subluxación) o luxación completa de la tibia sobre el fémur  En las rx AP = subluxación lateral o rotatoria asociada con deformidad en valgo  Hipoplasia o ausencia de los centros de osificación  TAC y RMN en casos severos y planificación preoperatoria
  • 24.
    Tratamiento  Depende dela severidad de la deformidad y la edad.  Se debe comenzar lo mas pronto posible, preferiblemente al nacimiento  En RN con hiperextensión y subluxación leve a moderada yesos seriados en flexión c/2 semanas, (vs rehabilitación continua)  90° flexión en las primeras 6 semanas luego se pueden utilizar ortesis o arnés de Pavlik para mantener la flexión de la rodilla
  • 27.
     Cuando laluxación o subluxación no puede reducirse de forma cerrada suele ser necesaria la cirugía  Debe realizarse antes de la deambulación (6 meses)  Liberación de las estructuras que se oponen a la reducción y alargamiento del tendón del cuádriceps  Osteotomías femorales y tibiales en niños mayores  En el paciente adulto con una luxación congénita de la rodilla inveterada la cirugía es la opción mas frecuente
  • 29.
  • 30.
     Meniscos discoides Hiperextensión y luxación congénita de la rodilla  Luxación congénita de la rótula  Ausencia congénita de la rótula  Alteraciones del eje  Tibia vara o deformidad de Blount
  • 31.
    Luxación congénita de rótula Pocofrecuente y de difícil diagnóstico precoz, diferenciándose de otras formas de luxación por ser permanentes, no reductibles por maniobras manuales y provocar en su evolución natural una deformidad grave y progresiva de la rodilla.
  • 32.
    Clínica y exfisico  marcha dificultosa por la deformidad de la rodilla.  A la exploración llama la atención la ausencia del contorno rotuliano en el surco intercondíleo y su localización en la cara lateral
  • 33.
     Osificación dela rótula hasta los 2 a 3 años  Sospechar de luxación en un lactante, cuando tiene una deformidad fija en flexión de la rodilla y rotación lateral externa excesiva de la tibia.  Puede palparse los cóndilos femorales, la rótula puede localizarse por encima de la cabeza del peroné
  • 34.
    TRATAMIENTO  Liberación lateralextensa, Imbricación medial, la transferencia del semitendinoso a la rotula como una rienda  Transferencia del tendón rotuliano  Transferencia de la TAT
  • 35.
     Técnica deCurtis y Fisher. Para liberar la capsula anterior medial y lateral del mecanismo del cuádriceps
  • 37.
     Meniscos discoides Hiperextensión y luxación congénita de la rodilla  Luxación congénita de la rótula  Ausencia congénita de la rótula  Alteraciones del eje  Tibia vara o deformidad de Blount
  • 38.
    Ausencia congénita de rotula Síndromeuña – rótula  Displasia rara, 4 características - Displasia de las uñas de los dedos de las manos - Ausencia dela rótula, - Luxaciones de la cabeza del radio - Cuernos iliacos
  • 40.
     Meniscos discoides Hiperextensión y luxación congénita de la rodilla  Luxación congénita de la rótula  Ausencia congénita de la rótula  Alteraciones del eje  Tibia vara o deformidad de Blount
  • 41.
  • 42.
    • Desde quelos niños empiezan a caminar y hasta aproximadamente los 2 años de edad, las piernas suelen tener forma de paréntesis o arqueadas, fenómeno llamado genu varo. • A partir de los 3 años, las piernas acostumbran a adoptar una forma de x, conocido con el nombre de genu valgo. Se mantiene habitualmente hasta los 7 o 8 años, edad en que las piernas vuelven a su posición normal. • Por ello, a partir de los ocho años cualquier posición en varo o en valgo es anormal.
  • 43.
    RN -> Varofisiológico: 10-15° 18 meses-> neutralización de angulación 2-3 años -> valgo fisiológico: 15° A partir de los 8 años -> 7-8° normal
  • 45.
    Genu Valgum  Desviacióndel miembro inferior que se observa en un plano frontal.  Es el desplazamiento interno de la rodilla, el eje longitudinal del fémur está en aducción y el de la tibia en abducción, formando entre los 2 un ángulo abierto hacia fuera  “PATA DE CATRE”  La rodilla forma un ángulo abierto hacia el exterior que es patológico cuando es de 170º.  Si el espacio intermaleolar excede de los 5cm se puede confirmar un genu valgum.
  • 46.
  • 47.
    Examen físico  Fatigarápida.  Dolor frente a la tracción o la presión.  Hiperextensión del ligamento lateral interno.  Sintomatología en el menisco interno.  Hinchazón.  Crepitación.  Posible combinación con coxa vara.  Escoliosis (en caso de genus valgus unilateral).  Afecciones de los pies (pie valgo y plano)
  • 50.
    tratamiento  El tratamientoconservador ortopédico es con férulas correctoras durante la noche. Con distancias intermaleolares menores a 7,5 cm el tratamiento conservador da buenos resultados.  Puede aplicarse simultáneamente la fisioterapia, y cuando se hayan quitado las férulas, el tratamiento fisioterapéutico será exclusivo.  Si fracasa el tratamiento conservador, se deberá recurrir a la cirugía.
  • 51.
    Grapado hemiepifisiario Es unaepifisiodesis temporal con grapas metálicas que detienen el crecimiento fisiario medial permitiendo que el lado contrario de la fisis crezca normalmente y la extremidad recobre la alineación.
  • 52.
    Hemicondrodiastasis Se realiza conayuda de un fijador externo, una distracción cerrada gradual y asimétrica de los cartílagos fisiarios para corregir la deformidad angular.
  • 53.
    Osteotomías Procedimiento agresivo deltx definitivo de la deformidad angular. Para la consolidación necesita inmovilización externa u osteosintesis interna.
  • 54.
    Genu Varo  Desviacióninterna de la rodilla, en la cual la porción de la extremidad distal a la rodilla se desvía hacia la línea media  Rodillas arqueadas (“De vaquero”)  Este padecimiento se denomina de manera común, pierna en arco.  “CHUECO”
  • 55.
    Ex. físico  separaciónde ambos cóndilos femorales internos es mas de 6 cm (3 o 4 dedos del examinador), se puede indicar que estamos hablando de un paciente con Genu varum
  • 57.
     Durante elsegundo y tercer año de vida el ángulo evoluciona a un valgo marcado alcanzando un máximo de 12º alrededor de los 3- 4 años.  Desde los 4 años nuevamente evoluciona hacia la corrección hasta los 7-10 años de edad, en que alcanza los valores normales adultos de 4º a 6º de valgo en hombre y 8º a 9º en la mujer.
  • 58.
    Causas  Genu VaroFisiológico  El más frecuente  Bilateral  Hasta los 30 meses aproximadamente  6 cm de separación IC (3 dedos del examinador)  Genu varo Patológico  Traumático  Infeccioso  Enfermedad de Blount  Síndrome de Fanconi  Tumoral  Acondroplásico  Metabólico
  • 59.
    Tratamiento  Debe serconservador ortopédico y fisioterapéutico.  Las indicaciones de tratamiento fisioterapéutico son las mismas que para el genu valgum, pero en sentido corrector naturalmente opuesto.  Tx quirúrgico en adultos.
  • 60.
     Meniscos discoides Hiperextensión y luxación congénita de la rodilla  Luxación congénita de la rótula  Ausencia congénita de la rótula  Alteraciones del eje  Tibia vara o deformidad de Blount
  • 61.
    Deformidad de Blount Alteración del eje de la extremidad inferior producto de una tibia vara proximal  Producto del cierre precoz de la fisis proximal medial  Puede ser uni o bilateral
  • 62.
     1937 –Blount - “osteocondrosis deformans tibiae” - Descripción de deformidades características - Identifica formas precoz y tardía  1964 – Langrnskiöld - diseña sistema de clasificación y pronostico
  • 63.
  • 64.
    epidemiología  Prevalencia - noesta clara - estimada en < 1 % en EEUU  Factores de riesgo - Obesidad - sexo femenino - raza: negra - inicio de marcha precoz (<1año)
  • 65.
    fisiopatología  Alteraciones dela porción medial de la fisis tibial proximal.  Inhibición relativa de la porción posteromedial del cartilago de crecimiento: - Varo - Antecurvatum - Rotación interna
  • 66.
    Clínica  Habitualmente asintomático Ex Físico - Genu varo exacerbado al pararse en un pie - Prominencia palpable en borde medial de la metáfisis proximal de la tibia - Torsión tibia interna - Bilateral 50%
  • 67.
     Distorsión epifisio– fisio – metafisiaria (patognomónico)
  • 69.
  • 71.
    tratamiento  Ortopedico Menores de3 años - Tipos 1 y 2 Ferulas - Eficacia no bien determinada - Buen resultado aparentemente en unilaterales - Malos resultados en obesos y bilaterales - Duración 2 años
  • 72.
    Quirugico - > 3años - Estadios 3,4,5,6 (<3años) - Falla de tratamiento ortopedico Alternativas -osteotomía Epifisiodesis Modulación del crecimiento
  • 73.
     Osteotomía oblicuatibial proximal de RAB
  • 74.
  • 75.
  • 76.
     Meniscos discoides Hiperextensión y luxación congénita de la rodilla  Luxación congénita de la rótula  Ausencia congénita de la rótula  Alteraciones del eje  Tibia vara o deformidad de Blount
  • 77.