DESVIACIONES ANGULARES
DISMETRÍA DE LAS
EEII
GENU VALGO
GENU VARO
T R A U M AT O L O G Í A Y O R T O P E D I A
PA L O M A J A N E T H H E R N Á N D E Z C H Á V E Z G P O . 9
GENU VARO – GENU VALGO
• Son cuadros patológicos que afectan la
alineación de las rodillas, y cada uno es
contrario al otro, provienen de las palabras
tomadas del latín:
• “Genu”, significa rodilla.
• “Varo” es al alejamiento de los miembros de
la línea media del cuerpo.
• “Valgo” es el acercamiento de los mismos.
VARO
VALGO
GENU-VARO
Es el desplazamiento externo de la rodilla, el eje
longitudinal del fémur está en abducción y la tibia en
aducción formando ambos un ángulo abierto hacia
adentro.
GENU VARO
“Rodillas en
paréntesis”
 Informar a los
padres
 3-6 meses revisión
GENU VARO = “Rodillas arqueadas”
“ENFERMEDAD DE BLOUNT
TIBIA VARA”
• Es un trastorno del desarrollo
caracterizado por una alteración de la
osificación endocondral de la parte
medial de la fisis (cartílago de
crecimiento) tibial proximal que causa
deformidades multiplanares del
inferior.
GENU VARO
ENFERMEDAD DE BLOUNT- TIBIA VARA
FACRORES DE RIESGO:
• Multifactorial. 
• Obesidad infantil.
• Bipedestación precoz(<1año)
• Genético.
• Sexo: femenino.
• Predisposición en niños de raza negra,
hispanos y en los de ascendencia
escandinava.
Mecánica - Genético
• No resuelve como en GV fisiológico.
• Deformidad progresiva con desviaciones de la
marcha, discrepancia de longitud de los miembros
y artritis prematura de la rodilla.
FISIOPATOLOGIA
ENFERMEDAD DE BLOUNT- TIBIA VARA
FISIOPATOLOGIA
ENFERMEDAD DE BLOUNT- TIBIA VARA
Factor mecánico:
• Bipedestación precoz
• sobrepeso.
• Por exceso de fuerzas compresivas causan inhibición del
crecimiento de la fisis.
• Alteración estructural y funcional de condrocitos:
• Desorden estructural del cartílago, condrocitos
hipertróficos.
• Remplazo de cartílago por tejido fibroso.
• Pueden presentar sinostosis.
• Retardo de la osificación epifisiaria
• Muslos gordos
• Marcha en abducción
• Mayor Genu varo
REDUCE EL
CONTENIDO
MINERAL ÓSEO
FISIOPATOLOGIA
ENFERMEDAD DE BLOUNT
TIBIA VARA
• Etiología desconocida
Diversos factores:
• Genéticos
• Humorales
• Biomecánicos
• ambientales
…que controlan el crecimiento fisario e influyen en el
desarrollo de la alineación normal del miembro inferior.
CLASIFICACIÓN:
• Antes de los 4 años
• Deambulación precoz (9-10 meses)
• Bilateral en un 50-75%
• Señal de alarma no hay un
desarrollo normal G. varo-valgo
• Asintomática.
• CLINICA:
• Genu varo exacerbado.
• Prominencia palpable en la
cara medial proximal de la
tibia.
• Torcion interna
BLOUNT INFANTIL O DE INICO PRECOZ:
BLOUNT ADOLESCENTE: >10 años
• Unilateral (80%)
• Discrepancia de longitud.
• Dolor e inestabilidad en rodilla.
• Alteración del fémur distal
• Varo
• Deformidad de la tibia
• Obesidad, raza negra.
BLOUNT DE INICIO
TARDIO: >4
años
CLASIFICACIÓN:
BLOUNT JUVENIL: 4-10 años
• Poco frecuente
• Simetrico (bilateral) y severo
• Punto intermedio B. infantil –
adolescente
• RX-compromiso fisiario “mas severo”
Ad.
• Epifisis menos comprometida Infantil
IMAGENOLOGÍA
• Tele-radiografia EEII
• Evaluar bilateralidad y
simetría
• Grado de angulación
Se deben solicitar radiografías de
ambas rodillas en proyección
anteroposterior y lateral, así como
una telerradiografía.
 HALLAZGO PATOGNOMÓNICO
* Distorsión epifisio-fisio-
metafisiaria
ÁNGULO METAFISIARIO-DIAFISIARIO
MEDICIÓN.
ÁNGULO ENTRE LA LÍNEA QUE
CONECTA LOS PICOS METAFISARIOS
LÍNEA PERPENDICULAR AL EJE
LONGITUDINAL DE LA TIBIA
CLASIFICACIÓN DE LANGENSKIÓLD
LEVE
SEVERO
SINOSTOSIS
TIBIAL
TRATAMIENTO
ORTOPEDICO
• BLOUNT INFANTIL:
• Niños menores de 2-3 años con
estadios 1-2.
• Resolución espontánea en el 1 0 0
% de los casos del tipo 1
• 75% de los casos en los tipos 2 y 3.
• Ortesis de EEII de descarga del
compartimento medial de la rodilla
hasta que esta tenga un eje valgo,
aunque su eficacia no está
demostrada
TRATAMIENTO
QUIRURGICO
OSTEOTOMIA ALTA DE TIBIA
• Metodo de elección
• Corregir: varo, antecurvatum y RI
• Tasa de recurrencia baja si se realiza
antes de los 4 años
>10
AÑOS
TRATAMIENTO
QUIRURGICO
TRATAMIENTO
QUIRURGICO
GENU-VARO
Es el desplazamiento externo de la rodilla, el eje
longitudinal del fémur está en abducción y la tibia en
aducción formando ambos un ángulo abierto hacia
adentro.
GENU VALGO
DEL DESARROLLO
• Esta deformidad aparece a partir de los 3 años de
edad.
• Antes de alcanzar el eje en valgo fisiológico se
produce un valgo máximo de unos 15°
• Disminuye ligeramente hasta alcanzar los valores
normales en tomo a los 8 años.
• En el 95% de los casos mejorará de forma
espontánea.
• >10 AÑOS
• Dolor en la cara anterior de la rodilla
• Dificultad al correr
• Inestabilidad rotuliana (↑ Tendencia de la rótula a
luxarse).
INDICACIONES DE TRATAMIENTO
LAS ORTESIS  No han demostrado
utilidad para la corrección del eje.
TRATAMIENTO Qx
• >10 años
• Genu valgo persistente.
• Distancia intermaleolar superior a 8
cm
• Ángulo femorotibial de más de 15 °
TRATAMIENTO QX
TRATAMIENTO QX
GENU VALGO
DISMETRÍA DE LOS.
MIEMBROS
Diferencia o discrepancia en la longitud de las
extremidades:
Por exceso: Hipermetría. Congénitas
Por defecto: Hipometría. Adquiridas
10% de los individuos "normales",
sin patologías ni discapacidades,
presenta una diferencia de longitud
<10mm
Cuando es muy pequeña apenas
se aprecia y el cuerpo lo resuelve por
sí mismo adaptándose al
desequilibrio
Pero si es mayor de 1cm, necesita
tratamiento ya que trae
consecuencias ascendentes:
• Tobillo
• Rodilla
• Cadera
• Desequilibrio en la pelvis
CAUSAS CONGÉNITAS:
LA HIPOPLASIA PERONEA
O HEMIMELIA FIBULAR
Discreto acortamiento del peroné hasta su completa
ausencia.
Aplasias o hipoplasias del peroné se acompañan a
menudo de:
• Acortamiento tibial
• Pies en valgo o equino
• Sinostosis del tarso.
• Los casos severos pueden acompañarse también
de acortamiento del fémur.
CAUSAS CONGÉNITAS:
HEMIHIPERTROFIA
Consiste en el sobre-crecimiento de un
hemicuerpo, en forma parcial o completa.
En ausencia de: desordenes neurológicos,
endocrinos, vasculares u otro, por lo que es
un diagnóstico de exclusión.
Manifestación es evidente desde el
nacimiento, pero su severidad se desarrolla
paulatinamente.
Se asocia a defectos congénitos:
• Retraso mental
• Alteraciones renales
• Neoplásicas (tumor de Wilms, el
carcinoma adrenal y el hepatoblastoma)
Causa es desconocida, hay evidencias de
alteración multifactorial que incluyen
desórdenes embriológicos y
cromosómicos.
Dx. diferencial fundamental de este
trastorno es la HEMIATROFIA DE ORIGEN
NEUROLÓGICO, por lo que es necesario un
exhaustivo y completo análisis desde el
punto de vista neurológico en todos estos
pacientes
• Desorden congénito caracterizado
por malformaciones capilares,
linfáticas o mixtas.
• Asociadas a hipertrofia ósea y/o de
tejidos blandos que ocasionan
anisomelias.
• No hay predilección raza ni género en
su presentación y su causa es
desconocida.
• Con un importante componente
embriológico en su patogénesis.
CAUSAS CONGÉNITAS:
EL SÍNDROME KLIPPEL-
TRENAUNAY-WEBER
Las alteraciones conllevan:
• Aumento de flujo sanguíneo que origina
hipertrofia de la fisis
• Aparición de nevus
• Várices superficiales en respuesta a
hipoplasia del sistema venoso profundo
• Estasia venosa  hipertrofia del
segmento comprometido.
• Alteraciones habitualmente unilaterales.
CAUSAS ADQUIRIDAS:
SECUELA DE
TRAUMATISMOS
• Los traumatismos y sus secuelas son
causas frecuentes de anisomelia.
• En lesiones epifisio-metafisiarias, el
acortamiento está dado por la presencia
de fracturas tipo:Salter-Harris III, IV y
V
• Reparan con puentes óseos a nivel de
la fisis y generan desviaciones de ejes
de los huesos comprometidos e incluso
de la extremidad.
CAUSAS ADQUIRIDAS:
INFECCIONES
Las infecciones
osteoarticulares pueden alterar
las zonas del crecimiento a
través de diversos mecanismos:
• Localización de bacterias en
la microcirculación ósea
• Desprendimiento epifisiario
• Favoreciendo la aparición de
fracturas.
Las artritis sépticas afectan de
manera variable el cartílago de
crecimiento, originando asimetrías
y alteraciones en el eje axial, de
mayor severidad en recién nacidos
con artritis séptica de
Cadera.
• Diáfisis de los huesos largos, las
osteomielitis A.leves.
• Fisis, los acortamientos pueden
ser más significativos.
PÚRPURA DE APARICIÓN FULMINANTE, YA
QUE SU COMPORTAMIENTO SÉPTICO
MICROTROMBÓTICO-MICROEMBÓLICO
PUEDEDESEMBOCAR EN AMPUTACIONES
CAUSAS ADQUIRIDAS:
TUMORES
• Los tumores de origen
cartilaginoso y carácter benigno
(encondromas, encondromatosis
múltiple).
• Pueden originar Deformaciones
óseas y anisomelia cuando se
localizan cerca de la fisis.
• Pueden tener también
transformación maligna.
• Otros tumores; pueden estimular
el crecimiento temporal de una
extremidad (el osteoma osteoide)
• Retrasar el crecimiento óseo
como sucede tras la
administración de corticoides en
los quistes óseos.
CASO CLÍNICO
https://www.secot.es/visor/caso.php?id=268&Anual=2012
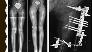
A)Tele-Rx de los miembros inferiores
Preoperatoria en la que se aprecia el valgo
bilateral, con ejes mecánicos que pasan por
la zona +3; los ángulos anatómicos
femorotibiales son de 29,3º en el miembro
inferior derecho y de 29,8º en la izquierdo.
A B
B)Tele-Rx de los miembros inferiores 1 año
después de la cirugía en la que se aprecian
las placas en “8” en ambos fémures. Los
ejes mecánicos pasan a través de la zona
+1/+2, y los ángulos anatómicos
femorotibiales están corregidos (8,3º el
derecho y 9,5º el izquierdo).
29,3º 29,8º 8,3º 9,5º
BIBLOGRAFIA
• https://www.secot.es/visor/caso.php?id=268&Anual=2012

Genu valgo

  • 1.
  • 2.
    GENU VALGO GENU VARO TR A U M AT O L O G Í A Y O R T O P E D I A PA L O M A J A N E T H H E R N Á N D E Z C H Á V E Z G P O . 9
  • 3.
    GENU VARO –GENU VALGO • Son cuadros patológicos que afectan la alineación de las rodillas, y cada uno es contrario al otro, provienen de las palabras tomadas del latín: • “Genu”, significa rodilla. • “Varo” es al alejamiento de los miembros de la línea media del cuerpo. • “Valgo” es el acercamiento de los mismos. VARO VALGO
  • 4.
    GENU-VARO Es el desplazamientoexterno de la rodilla, el eje longitudinal del fémur está en abducción y la tibia en aducción formando ambos un ángulo abierto hacia adentro.
  • 5.
    GENU VARO “Rodillas en paréntesis” Informar a los padres  3-6 meses revisión
  • 6.
    GENU VARO =“Rodillas arqueadas”
  • 8.
    “ENFERMEDAD DE BLOUNT TIBIAVARA” • Es un trastorno del desarrollo caracterizado por una alteración de la osificación endocondral de la parte medial de la fisis (cartílago de crecimiento) tibial proximal que causa deformidades multiplanares del inferior. GENU VARO
  • 9.
    ENFERMEDAD DE BLOUNT-TIBIA VARA FACRORES DE RIESGO: • Multifactorial.  • Obesidad infantil. • Bipedestación precoz(<1año) • Genético. • Sexo: femenino. • Predisposición en niños de raza negra, hispanos y en los de ascendencia escandinava. Mecánica - Genético • No resuelve como en GV fisiológico. • Deformidad progresiva con desviaciones de la marcha, discrepancia de longitud de los miembros y artritis prematura de la rodilla.
  • 10.
  • 11.
    FISIOPATOLOGIA ENFERMEDAD DE BLOUNT-TIBIA VARA Factor mecánico: • Bipedestación precoz • sobrepeso. • Por exceso de fuerzas compresivas causan inhibición del crecimiento de la fisis. • Alteración estructural y funcional de condrocitos: • Desorden estructural del cartílago, condrocitos hipertróficos. • Remplazo de cartílago por tejido fibroso. • Pueden presentar sinostosis. • Retardo de la osificación epifisiaria • Muslos gordos • Marcha en abducción • Mayor Genu varo REDUCE EL CONTENIDO MINERAL ÓSEO
  • 12.
    FISIOPATOLOGIA ENFERMEDAD DE BLOUNT TIBIAVARA • Etiología desconocida Diversos factores: • Genéticos • Humorales • Biomecánicos • ambientales …que controlan el crecimiento fisario e influyen en el desarrollo de la alineación normal del miembro inferior.
  • 14.
    CLASIFICACIÓN: • Antes delos 4 años • Deambulación precoz (9-10 meses) • Bilateral en un 50-75% • Señal de alarma no hay un desarrollo normal G. varo-valgo • Asintomática. • CLINICA: • Genu varo exacerbado. • Prominencia palpable en la cara medial proximal de la tibia. • Torcion interna BLOUNT INFANTIL O DE INICO PRECOZ:
  • 15.
    BLOUNT ADOLESCENTE: >10años • Unilateral (80%) • Discrepancia de longitud. • Dolor e inestabilidad en rodilla. • Alteración del fémur distal • Varo • Deformidad de la tibia • Obesidad, raza negra. BLOUNT DE INICIO TARDIO: >4 años CLASIFICACIÓN: BLOUNT JUVENIL: 4-10 años • Poco frecuente • Simetrico (bilateral) y severo • Punto intermedio B. infantil – adolescente • RX-compromiso fisiario “mas severo” Ad. • Epifisis menos comprometida Infantil
  • 20.
    IMAGENOLOGÍA • Tele-radiografia EEII •Evaluar bilateralidad y simetría • Grado de angulación Se deben solicitar radiografías de ambas rodillas en proyección anteroposterior y lateral, así como una telerradiografía.  HALLAZGO PATOGNOMÓNICO * Distorsión epifisio-fisio- metafisiaria
  • 21.
    ÁNGULO METAFISIARIO-DIAFISIARIO MEDICIÓN. ÁNGULO ENTRELA LÍNEA QUE CONECTA LOS PICOS METAFISARIOS LÍNEA PERPENDICULAR AL EJE LONGITUDINAL DE LA TIBIA
  • 22.
  • 24.
    TRATAMIENTO ORTOPEDICO • BLOUNT INFANTIL: •Niños menores de 2-3 años con estadios 1-2. • Resolución espontánea en el 1 0 0 % de los casos del tipo 1 • 75% de los casos en los tipos 2 y 3. • Ortesis de EEII de descarga del compartimento medial de la rodilla hasta que esta tenga un eje valgo, aunque su eficacia no está demostrada
  • 25.
    TRATAMIENTO QUIRURGICO OSTEOTOMIA ALTA DETIBIA • Metodo de elección • Corregir: varo, antecurvatum y RI • Tasa de recurrencia baja si se realiza antes de los 4 años >10 AÑOS
  • 26.
  • 27.
  • 28.
    GENU-VARO Es el desplazamientoexterno de la rodilla, el eje longitudinal del fémur está en abducción y la tibia en aducción formando ambos un ángulo abierto hacia adentro.
  • 30.
    GENU VALGO DEL DESARROLLO •Esta deformidad aparece a partir de los 3 años de edad. • Antes de alcanzar el eje en valgo fisiológico se produce un valgo máximo de unos 15° • Disminuye ligeramente hasta alcanzar los valores normales en tomo a los 8 años. • En el 95% de los casos mejorará de forma espontánea. • >10 AÑOS • Dolor en la cara anterior de la rodilla • Dificultad al correr • Inestabilidad rotuliana (↑ Tendencia de la rótula a luxarse).
  • 33.
    INDICACIONES DE TRATAMIENTO LASORTESIS  No han demostrado utilidad para la corrección del eje. TRATAMIENTO Qx • >10 años • Genu valgo persistente. • Distancia intermaleolar superior a 8 cm • Ángulo femorotibial de más de 15 °
  • 34.
  • 35.
  • 36.
  • 38.
  • 39.
    Diferencia o discrepanciaen la longitud de las extremidades: Por exceso: Hipermetría. Congénitas Por defecto: Hipometría. Adquiridas 10% de los individuos "normales", sin patologías ni discapacidades, presenta una diferencia de longitud <10mm Cuando es muy pequeña apenas se aprecia y el cuerpo lo resuelve por sí mismo adaptándose al desequilibrio Pero si es mayor de 1cm, necesita tratamiento ya que trae consecuencias ascendentes: • Tobillo • Rodilla • Cadera • Desequilibrio en la pelvis
  • 41.
    CAUSAS CONGÉNITAS: LA HIPOPLASIAPERONEA O HEMIMELIA FIBULAR Discreto acortamiento del peroné hasta su completa ausencia. Aplasias o hipoplasias del peroné se acompañan a menudo de: • Acortamiento tibial • Pies en valgo o equino • Sinostosis del tarso. • Los casos severos pueden acompañarse también de acortamiento del fémur.
  • 42.
    CAUSAS CONGÉNITAS: HEMIHIPERTROFIA Consiste enel sobre-crecimiento de un hemicuerpo, en forma parcial o completa. En ausencia de: desordenes neurológicos, endocrinos, vasculares u otro, por lo que es un diagnóstico de exclusión. Manifestación es evidente desde el nacimiento, pero su severidad se desarrolla paulatinamente. Se asocia a defectos congénitos: • Retraso mental • Alteraciones renales • Neoplásicas (tumor de Wilms, el carcinoma adrenal y el hepatoblastoma) Causa es desconocida, hay evidencias de alteración multifactorial que incluyen desórdenes embriológicos y cromosómicos. Dx. diferencial fundamental de este trastorno es la HEMIATROFIA DE ORIGEN NEUROLÓGICO, por lo que es necesario un exhaustivo y completo análisis desde el punto de vista neurológico en todos estos pacientes
  • 43.
    • Desorden congénitocaracterizado por malformaciones capilares, linfáticas o mixtas. • Asociadas a hipertrofia ósea y/o de tejidos blandos que ocasionan anisomelias. • No hay predilección raza ni género en su presentación y su causa es desconocida. • Con un importante componente embriológico en su patogénesis. CAUSAS CONGÉNITAS: EL SÍNDROME KLIPPEL- TRENAUNAY-WEBER Las alteraciones conllevan: • Aumento de flujo sanguíneo que origina hipertrofia de la fisis • Aparición de nevus • Várices superficiales en respuesta a hipoplasia del sistema venoso profundo • Estasia venosa  hipertrofia del segmento comprometido. • Alteraciones habitualmente unilaterales.
  • 44.
    CAUSAS ADQUIRIDAS: SECUELA DE TRAUMATISMOS •Los traumatismos y sus secuelas son causas frecuentes de anisomelia. • En lesiones epifisio-metafisiarias, el acortamiento está dado por la presencia de fracturas tipo:Salter-Harris III, IV y V • Reparan con puentes óseos a nivel de la fisis y generan desviaciones de ejes de los huesos comprometidos e incluso de la extremidad.
  • 45.
    CAUSAS ADQUIRIDAS: INFECCIONES Las infecciones osteoarticularespueden alterar las zonas del crecimiento a través de diversos mecanismos: • Localización de bacterias en la microcirculación ósea • Desprendimiento epifisiario • Favoreciendo la aparición de fracturas. Las artritis sépticas afectan de manera variable el cartílago de crecimiento, originando asimetrías y alteraciones en el eje axial, de mayor severidad en recién nacidos con artritis séptica de Cadera. • Diáfisis de los huesos largos, las osteomielitis A.leves. • Fisis, los acortamientos pueden ser más significativos. PÚRPURA DE APARICIÓN FULMINANTE, YA QUE SU COMPORTAMIENTO SÉPTICO MICROTROMBÓTICO-MICROEMBÓLICO PUEDEDESEMBOCAR EN AMPUTACIONES
  • 46.
    CAUSAS ADQUIRIDAS: TUMORES • Lostumores de origen cartilaginoso y carácter benigno (encondromas, encondromatosis múltiple). • Pueden originar Deformaciones óseas y anisomelia cuando se localizan cerca de la fisis. • Pueden tener también transformación maligna. • Otros tumores; pueden estimular el crecimiento temporal de una extremidad (el osteoma osteoide) • Retrasar el crecimiento óseo como sucede tras la administración de corticoides en los quistes óseos.
  • 51.
  • 52.
  • 55.
    A)Tele-Rx de losmiembros inferiores Preoperatoria en la que se aprecia el valgo bilateral, con ejes mecánicos que pasan por la zona +3; los ángulos anatómicos femorotibiales son de 29,3º en el miembro inferior derecho y de 29,8º en la izquierdo. A B B)Tele-Rx de los miembros inferiores 1 año después de la cirugía en la que se aprecian las placas en “8” en ambos fémures. Los ejes mecánicos pasan a través de la zona +1/+2, y los ángulos anatómicos femorotibiales están corregidos (8,3º el derecho y 9,5º el izquierdo). 29,3º 29,8º 8,3º 9,5º
  • 58.