Incrustar presentación



































































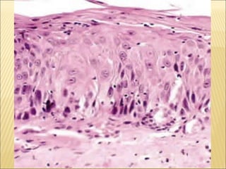
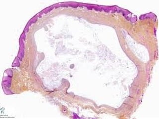
El documento describe la derivación y funciones del tejido epitelial. El tejido epitelial deriva del ectodermo, mesodermo intraembrionario y endodermo intraembrionario. Sus funciones principales son el sostén, protección, absorción, reabsorción, captar estímulos y secreción.


































































