Hemorragias de la primera
mitad del embarazo
Ponente:Dra. Valdovinos Guevara Jessica Jaqueline R1 GyO
Titular: Dr. Razo Solano Rubén
ABORTO
Definición Epidemiología Clasificación
clínica
1 2 3
Diagnóstico Tratamiento
4 5
Objetivos
●Conocer las patologías que son parte de las hemorragias de la
primera mitad del embarazo
●Conocer las definiciones establecidas para el aborto
●Reconocer la clasificación clínica de aborto
●Manejar y reconocer los datos ultrasonográficos de aborto
●Aplicar las terapéuticas establecidas internacionalmente ante
los diferentes tipos de aborto
Es aquella ocurrida antes de las 22 semanas
de gestación.
500.000 muertes maternas
35% hemorragias posparto
19% toxemias
13% aborto
9% distocia
¼ parte de las pacientes puede cursar con
hemorragia de la primera mitad del
embarazo (25%)
Espectro clínico: sangrado transvaginal,
dolor de tipo cólico, modificaciones
cervicales
Hemorragia de la primera mitad del embarazo
Guevara- Ríos, E., (2010). Hemorragias de la primera mitad del embarazo. Revista
Peruana de Ginecología y Obstetricia, 56(1), 10-17.
Pérdida involuntaria o provocada de la gestación, menor a 22 semanas de gestación
o con un feto con un peso menor de 500 gramos
Definición
1
Pérdida espontánea del embarazo antes de que el feto alcance la viabilidad.
Incluye todas las pérdidas de embarazos desde el momento de la
concepción hasta las 24 semanas de gestación.
Embarazo intrauterino no viable con un saco gestacional vacío o un saco gestacional
que contiene un embrión o feto sin actividad cardíaca fetal dentro de las primeras 12
6/7 semanas de gestación.
Guía de Práctica Clínica Diagnóstico y Tratamiento del Aborto Espontáneo, Manejo Inicial de Aborto Recurrente IMSS-088-08, México; Instituto
Mexicano del Seguro Social, 2009. Disponible en: https://www.imss.gob.mx/sites/all/statics/guiasclinicas/088GER.pdf / Early pregnancy loss
Practice bulletin 200 [Internet]. Acog.org. 2018 [citado el 8 de marzo de 2025]. Disponible en:
https://www.acog.org/clinical/clinical-guidance/practice-bulletin/articles/2018/11/early-pregnancy-loss
01 50-70% embarazos
30% fallas de implanttación,
30% preclínicos, 10% clínicos
02 80% tempranos
Menos de las 12 SDG
03
20% son tardíos
Mayor a 14 SDG
04
Extremos de la
vida
Más común en mujeres
adolescents y >40 años
Epidemiología
2
Guía de Práctica Clínica Diagnóstico y Tratamiento del Aborto Espontáneo, Manejo Inicial de Aborto Recurrente IMSS-088-08, México; Instituto
Mexicano del Seguro Social, 2009. Disponible en: https://www.imss.gob.mx/sites/all/statics/guiasclinicas/088GER.pdf
Factores de riesgo
2.1
Alteraciones
cromosómicas
Trisomía 16 (la más
común)
Trisomías 22, 15, 21 y 13
Edad materna,
enfermedades crónico-
degenerativas,
inmunológicas,
malformaciones uterinas
Aumenta la probabilidad
de otro aborto en un 5%
Factores maternos
Antecedente
aborto previo
20-30 años: 9-17% / 30-35 años:
30%/ 35-40 años 40%/ >45 años:
80%
Guía de Práctica Clínica Diagnóstico y Tratamiento del
Aborto Espontáneo, Manejo Inicial de Aborto
Recurrente IMSS-088-08, México; Instituto Mexicano del
Seguro Social, 2009. Disponible en:
https://www.imss.gob.mx/sites/all/statics/guiasclinica
s/088GER.pdf
Cunningham FG, Larry C Gilstrap III, Hauth JC, Leveno KJ, Wenstrom KD, Gant NF. Williams obstetricia. Nueva
York, NY, Estados Unidos de América: McGraw-Hill; 2020 /
Amenaza de aborto
0
1
02 Aborto en evolución
03
Aborto inminente
04 Aborto diferido
Clasificación clínica
3
Sangrado, sin cambios cervicales, con o sin
dolor abdominal
A lo anterior, se agregan cambios cervicales
Ya no hay vitalidad fetal, pero no se han
desarrollado los mecanismos para la expulsión
del feto
Hay ruptura de las membranas
Cunningham FG, Larry C Gilstrap III, Hauth JC, Leveno KJ, Wenstrom KD, Gant NF. Williams obstetricia. Nueva York, NY, Estados Unidos de
América: McGraw-Hill; 2020/ Guía de Práctica Clínica Diagnóstico y Tratamiento del Aborto Espontáneo, Manejo Inicial de Aborto
Recurrente IMSS-088-08, México; Instituto Mexicano del Seguro Social, 2009. Disponible en:
https://www.imss.gob.mx/sites/all/statics/guiasclinicas/088GER.pdf
Aborto incompleto 05
06 Aborto completo
07
Aborto séptico
Clasificación clínica
3
Se localizan restos en cavidad uterina y canal
vaginal. El endometrio mide >15mm
Expulsión total del producto, el endometrio
mide <15mm
Ya hay datos de SRIS
Pérdida gestacional recurrente: Pérdida de 2 o más gestaciones <10sdg
Cunningham FG, Larry C Gilstrap III, Hauth JC, Leveno KJ, Wenstrom KD, Gant NF. Williams obstetricia. Nueva York, NY, Estados Unidos de
América: McGraw-Hill; 2020/ Guía de Práctica Clínica Diagnóstico y Tratamiento del Aborto Espontáneo, Manejo Inicial de Aborto
Recurrente IMSS-088-08, México; Instituto Mexicano del Seguro Social, 2009. Disponible en:
https://www.imss.gob.mx/sites/all/statics/guiasclinicas/088GER.pdf
Guía de Práctica Clínica Diagnóstico y Tratamiento del Aborto Espontáneo, Manejo Inicial de Aborto
Recurrente IMSS-088-08, México; Instituto Mexicano del Seguro Social, 2009. Disponible en:
https://www.imss.gob.mx/sites/all/statics/guiasclinicas/088GER.pdf
HC y exploración
física
Especuloscopía
A
USG
endo/abdominal
Debe repetirse 7-10 días
despues para valorar
viabilidad/explusión de
restos
Diagnóstico
4
B
>1500mUI se puede ver el saco
gestacional/ saco vitelino visible
hasta las 5.5SDG/ Actividad
cardíaca fetal 6-6.5SDG
Guía de Práctica Clínica Diagnóstico y Tratamiento del Aborto Espontáneo, Manejo Inicial de Aborto Recurrente IMSS-088-08, México;
Instituto Mexicano del Seguro Social, 2009. Disponible en: https://www.imss.gob.mx/sites/all/statics/guiasclinicas/088GER.pdf
Gamez W. Protocolo: Pérdida gestacional precoz [Internet]. Medicina Fetal Barcelona. 2024 [citado el 8 de
marzo de 2025]. Disponible en: https://fetalmedicinebarcelona.org/protocolos/protocolo-perdida-gestacional-
precoz/
Prager S, Micks E, Dalton V. Pregnancy loss
(miscarriage): Ultrasound diagnosis [Internet].
Uptodate.com. 2024 [citado el 8 de marzo de
2025]. Disponible en:
https://www.uptodate.com/contents/pregnancy
-loss-miscarriage-ultrasound-diagnosis?
search=first%20trimestrer%20pregnancy
%20loss&topicRef=5442&source=see_link
Expectante
Amenaza de
aborto
A Ambulatorio
Mefepristona/misoprostol
Tratamiento
5
B
Quirúrgico
AMEU / LUI
C
Gamez W. Protocolo: Pérdida gestacional precoz [Internet]. Medicina Fetal Barcelona. 2024 [citado el 8 de marzo de 2025]. Disponible en:
https://fetalmedicinebarcelona.org/protocolos/protocolo-perdida-gestacional-precoz/ Guía de Práctica Clínica Diagnóstico y Tratamiento del Aborto
Espontáneo, Manejo Inicial de Aborto Recurrente IMSS-088-08, México; Instituto Mexicano del Seguro Social, 2009. Disponible en:
https://www.imss.gob.mx/sites/all/statics/guiasclinicas/088GER.pdf
Tratamiento expectante
Relativo durante
48 horas, no
actividad sexual
01
Natural 200-400
mg c/12hrs hasta
las 12sdg (VO) o
hasta las 16.6
(vaginal)
En px con Rh (-) si tx qx,
pérdidas espontáneas
>8sdg, persistencia de
restos
Atropina,
escopolaminas,
hioscinas, beta
agonistas
Progesterona
02 Tocolíticos
03 Reposo
04
Gammaglobulina
anti D
Seguimiento en 7-10 días en su centro de salud
Gamez W. Protocolo: Pérdida gestacional precoz [Internet]. Medicina Fetal Barcelona. 2024 [citado el 8 de marzo de 2025]. Disponible en:
https://fetalmedicinebarcelona.org/protocolos/protocolo-perdida-gestacional-precoz/ Guía de Práctica Clínica Diagnóstico y Tratamiento del Aborto
Espontáneo, Manejo Inicial de Aborto Recurrente IMSS-088-08, México; Instituto Mexicano del Seguro Social, 2009. Disponible en:
https://www.imss.gob.mx/sites/all/statics/guiasclinicas/088GER.pdf
Tratamiento ambulatorio
De acuerdo al esquema
de la FIGO
01
200mg V.O 24/ 36-
48hrs antes del
misoprostol
Sangrado excesivo >2
toallas/ hora en 2
horas /Dolor que no
cede tras la expulsión
600mg 30-40
minutos antes del
misoprostol. Se
puede repetir
cada 6-8hrs por 3
días
Mifepristona
03 Ibuprofeno
02 Misoprostol
04 DATOS DE ALARMA
Gamez W. Protocolo: Pérdida gestacional precoz [Internet]. Medicina Fetal Barcelona. 2024 [citado el 8 de marzo de 2025]. Disponible en:
https://fetalmedicinebarcelona.org/protocolos/protocolo-perdida-gestacional-precoz/ Guía de Práctica Clínica Diagnóstico y Tratamiento del Aborto
Espontáneo, Manejo Inicial de Aborto Recurrente IMSS-088-08, México; Instituto Mexicano del Seguro Social, 2009. Disponible en:
EA misoprostol: Sangrado abundante, dolor abdominal, GI, Fiebre hasta 38.5°, exantema/ prurito en palmas y plantas
Sospecha de infección
CI misoprostol
Sangrado excesivo
Tratamiento quirúrgico
Maduración cervical
previa: 400mcg
misoprostol vaginal (2-
4horas antes)
/mifepristona 200mg
36-48hrs
Profilaxis antibiótica:
cefazolina 3g IV +
metronidazol 500mg IV
antes de la inducc.
anestésica
Gamez W. Protocolo: Pérdida gestacional precoz [Internet]. Medicina Fetal Barcelona. 2024 [citado el 8 de marzo de 2025]. Disponible en:
https://fetalmedicinebarcelona.org/protocolos/protocolo-perdida-gestacional-precoz/ Guía de Práctica Clínica Diagnóstico y Tratamiento del Aborto
Espontáneo, Manejo Inicial de Aborto Recurrente IMSS-088-08, México; Instituto Mexicano del Seguro Social, 2009. Disponible en:
Aspiración manual endouterina
Altura uterina <11cm
Dilatación cervical <1cm
Aborto séptico hasta 6-8
hrs después del tx
antibiótico
INDICACIONES
Guía de Práctica Clínica Diagnóstico y Tratamiento del Aborto Espontáneo, Manejo Inicial de Aborto Recurrente IMSS-088-08, México; Instituto
Mexicano del Seguro Social, 2009. Disponible en: https://www.imss.gob.mx/sites/all/statics/guiasclinicas/088GER.pdf
Aspiración manual endouterina
Aspirador
Manual de doble válvula
Cánulas flexinles y
adaptadores para las
mismas
INSTRUMENTOS
Levy, D., Lukin, G., & Messina, A. (2021). Aspiración manual endouterina. Org.ar. https://redaas.org.ar/wp-content/uploads/Nota_tecnica_2_AMEU.pdf
Bombin, M., Mercado, J., Zúñiga, J., Encalada, D., & Ávila, J. (2019). Aspiración manual endouterina (AMEU): Revisión de la literatura y estudio de serie
de casos. Revista Chilena de Obstetricia y Ginecologia, 84(6), 460–468. https://doi.org/10.4067/s0717-75262019000600460
Aspiración manual endouterina
1. Profilaxis antibiótica:
200mg doxicilina / 500mg
axitromicina /500mg
metronidazol
2. Preparación cervical:
misoprostol 400mcg SL 2 horas
antes del procedimiento
3. Manejo del dolor: AINES
30.45 min antes + bloqueo
paracervical
PROFILAXIS ANTIBIÓTICA
Levy, D., Lukin, G., & Messina, A. (2021). Aspiración manual endouterina. Org.ar. https://redaas.org.ar/wp-content/uploads/Nota_tecnica_2_AMEU.pdf
Bombin, M., Mercado, J., Zúñiga, J., Encalada, D., & Ávila, J. (2019). Aspiración manual endouterina (AMEU): Revisión de la literatura y estudio de serie
de casos. Revista Chilena de Obstetricia y Ginecologia, 84(6), 460–468. https://doi.org/10.4067/s0717-75262019000600460
Aspiración manual endouterina
1. Vaciamiento de la vejiga
2. Examen bimanual para corroborar
situación del útero y altura uterina
3. Cargar una jerinfa de 20ml con
lidocaína al 1%
4. Colcación de espéculo y asepsia del
cuello uterino
5. Colocación 1-2ml de anestésico en
hora 6 si AVF o 12 si RVF
6. Bloqueo paracervical 2,4,8.10 sobre la
union de la mucosa vaginal y la cervical
e introducir la aguja a 2-5mm de
profundidad
PREVIO AL AMEU
Levy, D., Lukin, G., & Messina, A. (2021). Aspiración manual endouterina. Org.ar. https://redaas.org.ar/wp-content/uploads/Nota_tecnica_2_AMEU.pdf
Bombin, M., Mercado, J., Zúñiga, J., Encalada, D., & Ávila, J. (2019). Aspiración manual endouterina (AMEU): Revisión de la literatura y estudio de serie
de casos. Revista Chilena de Obstetricia y Ginecologia, 84(6), 460–468. https://doi.org/10.4067/s0717-75262019000600460
Aspiración manual endouterina
1. Oprimir botones del aspirador hacia adentro y hacia
adelante
2. Cargar el aspirador tirando del embolo hacia atrás para
formar el vacio
3. Introducir la cánula a utilizar suavemente en el cervix y
desplazarla hacia adentro de la cavidad hasta tocar el
fondo
4. Unir el aspirador con la cánula sosteniendo la misma
5. Liberar el vacío oprimiendo los botones y la aspiración
comenzará de inmediato
6. Evacuar el contenido girando cuidadosa y lentamente la
cánula a 180° en cada dirección
7. Si el aspirador se llena, separar el aspirador de la cánula
y dejar la cánula en el úero
8. Vaciar el aspirador en un recipiente apropiado
PREPARACIÓN DEL AMEU
Levy, D., Lukin, G., & Messina, A. (2021). Aspiración manual endouterina. Org.ar. https://redaas.org.ar/wp-content/uploads/Nota_tecnica_2_AMEU.pdf
Bombin, M., Mercado, J., Zúñiga, J., Encalada, D., & Ávila, J. (2019). Aspiración manual endouterina (AMEU): Revisión de la literatura y estudio de serie
de casos. Revista Chilena de Obstetricia y Ginecologia, 84(6), 460–468. https://doi.org/10.4067/s0717-75262019000600460
Aspiración manual endouterina
Legrado uterino instrumentado
Altura uterina >12cm
Dilatación cervical >1cm
Aborto séptico hasta 6-8
hrs después del tx
antibiótico
INDICACIONES
Cooper, D. B., & Menefee, G. W. (2025). Dilation and curettage. En StatPearls. StatPearls Publishing
Legrado uterino instrumentado
Dilatadores: hegar
Legras uterinas
INSTRUMENTAL
Cooper, D. B., & Menefee, G. W. (2025). Dilation and curettage. En StatPearls. StatPearls Publishing.
Legrado uterino instrumentado
TECNICA
Aborto séptico
T° >38°, malestar
general , salida de
material purulento,
hipotensión,
leucocitosis
Agentes: S.aureus, bacilos
gram -, cocos gram +
Tx: ingreso hospitalario,
fluídos, cultivo
Piperaciclina-tazobactam 4g IV cada 6hrs
Amoxiclav 875-125mg VO c/8 / Clindamicina
300mg c/ 8hs
Gamez W. Protocolo: Pérdida gestacional precoz [Internet]. Medicina Fetal Barcelona. 2024 [citado el 8 de marzo de 2025]. Disponible en:
https://fetalmedicinebarcelona.org/protocolos/protocolo-perdida-gestacional-precoz/ Guía de Práctica Clínica Diagnóstico y Tratamiento del Aborto
Espontáneo, Manejo Inicial de Aborto Recurrente IMSS-088-08, México; Instituto Mexicano del Seguro Social, 2009. Disponible en:
https://www.imss.gob.mx/sites/all/statics/guiasclinicas/088GER.pdf
Bibliografía
Gamez W. Protocolo: Pérdida gestacional precoz [Internet]. Medicina Fetal Barcelona. 2024 [citado el 8 de marzo de
2025]. Disponible en: https://fetalmedicinebarcelona.org/protocolos/protocolo-perdida-gestacional-precoz/
Guía de Práctica Clínica Diagnóstico y Tratamiento del Aborto Espontáneo, Manejo Inicial de Aborto
Recurrente IMSS-088-08, México; Instituto Mexicano del Seguro Social, 2009. Disponible en:
https://www.imss.gob.mx/sites/all/statics/guiasclinicas/088GER.pdf
Prager S, Micks E, Dalton V. Pregnancy loss (miscarriage): Ultrasound diagnosis [Internet]. Uptodate.com. 2024
[citado el 8 de marzo de 2025]. Disponible en:
https://www.uptodate.com/contents/pregnancy-loss-miscarriage-ultrasound-diagnosis?search=first%20trimestrer
%20pregnancy%20loss&topicRef=5442&source=see_link
Cunningham FG, Larry C Gilstrap III, Hauth JC, Leveno KJ, Wenstrom KD, Gant NF. Williams obstetricia. Nueva York,
NY, Estados Unidos de América: McGraw-Hill; 2020/
Guevara- Ríos, E., (2010). Hemorragias de la primera mitad del embarazo. Revista Peruana de Ginecología y
Obstetricia, 56(1), 10-17
Early pregnancy loss Practice bulletin 200 [Internet]. Acog.org. 2018 [citado el 8 de marzo de 2025]. Disponible en:
https://www.acog.org/clinical/clinical-guidance/practice-bulletin/articles/2018/11/early-pregnancy-loss
Cooper, D. B., & Menefee, G. W. (2025). Dilation and curettage. En StatPearls. StatPearls Publishing.
Levy, D., Lukin, G., & Messina, A. (2021). Aspiración manual endouterina. Org.ar.
https://redaas.org.ar/wp-content/uploads/Nota_tecnica_2_AMEU.pdf
Bombin, M., Mercado, J., Zúñiga, J., Encalada, D., & Ávila, J. (2019). Aspiración manual endouterina (AMEU):
Revisión de la literatura y estudio de serie de casos. Revista Chilena de Obstetricia y Ginecologia, 84(6),
460–468. https://doi.org/10.4067/s0717-75262019000600460

Hemorragia del primer trimestre (aborto)

  • 1.
    Hemorragias de laprimera mitad del embarazo Ponente:Dra. Valdovinos Guevara Jessica Jaqueline R1 GyO Titular: Dr. Razo Solano Rubén ABORTO
  • 2.
  • 3.
    Objetivos ●Conocer las patologíasque son parte de las hemorragias de la primera mitad del embarazo ●Conocer las definiciones establecidas para el aborto ●Reconocer la clasificación clínica de aborto ●Manejar y reconocer los datos ultrasonográficos de aborto ●Aplicar las terapéuticas establecidas internacionalmente ante los diferentes tipos de aborto
  • 4.
    Es aquella ocurridaantes de las 22 semanas de gestación. 500.000 muertes maternas 35% hemorragias posparto 19% toxemias 13% aborto 9% distocia ¼ parte de las pacientes puede cursar con hemorragia de la primera mitad del embarazo (25%) Espectro clínico: sangrado transvaginal, dolor de tipo cólico, modificaciones cervicales Hemorragia de la primera mitad del embarazo Guevara- Ríos, E., (2010). Hemorragias de la primera mitad del embarazo. Revista Peruana de Ginecología y Obstetricia, 56(1), 10-17.
  • 5.
    Pérdida involuntaria oprovocada de la gestación, menor a 22 semanas de gestación o con un feto con un peso menor de 500 gramos Definición 1 Pérdida espontánea del embarazo antes de que el feto alcance la viabilidad. Incluye todas las pérdidas de embarazos desde el momento de la concepción hasta las 24 semanas de gestación. Embarazo intrauterino no viable con un saco gestacional vacío o un saco gestacional que contiene un embrión o feto sin actividad cardíaca fetal dentro de las primeras 12 6/7 semanas de gestación. Guía de Práctica Clínica Diagnóstico y Tratamiento del Aborto Espontáneo, Manejo Inicial de Aborto Recurrente IMSS-088-08, México; Instituto Mexicano del Seguro Social, 2009. Disponible en: https://www.imss.gob.mx/sites/all/statics/guiasclinicas/088GER.pdf / Early pregnancy loss Practice bulletin 200 [Internet]. Acog.org. 2018 [citado el 8 de marzo de 2025]. Disponible en: https://www.acog.org/clinical/clinical-guidance/practice-bulletin/articles/2018/11/early-pregnancy-loss
  • 6.
    01 50-70% embarazos 30%fallas de implanttación, 30% preclínicos, 10% clínicos 02 80% tempranos Menos de las 12 SDG 03 20% son tardíos Mayor a 14 SDG 04 Extremos de la vida Más común en mujeres adolescents y >40 años Epidemiología 2 Guía de Práctica Clínica Diagnóstico y Tratamiento del Aborto Espontáneo, Manejo Inicial de Aborto Recurrente IMSS-088-08, México; Instituto Mexicano del Seguro Social, 2009. Disponible en: https://www.imss.gob.mx/sites/all/statics/guiasclinicas/088GER.pdf
  • 7.
    Factores de riesgo 2.1 Alteraciones cromosómicas Trisomía16 (la más común) Trisomías 22, 15, 21 y 13 Edad materna, enfermedades crónico- degenerativas, inmunológicas, malformaciones uterinas Aumenta la probabilidad de otro aborto en un 5% Factores maternos Antecedente aborto previo 20-30 años: 9-17% / 30-35 años: 30%/ 35-40 años 40%/ >45 años: 80% Guía de Práctica Clínica Diagnóstico y Tratamiento del Aborto Espontáneo, Manejo Inicial de Aborto Recurrente IMSS-088-08, México; Instituto Mexicano del Seguro Social, 2009. Disponible en: https://www.imss.gob.mx/sites/all/statics/guiasclinica s/088GER.pdf
  • 8.
    Cunningham FG, LarryC Gilstrap III, Hauth JC, Leveno KJ, Wenstrom KD, Gant NF. Williams obstetricia. Nueva York, NY, Estados Unidos de América: McGraw-Hill; 2020 /
  • 9.
    Amenaza de aborto 0 1 02Aborto en evolución 03 Aborto inminente 04 Aborto diferido Clasificación clínica 3 Sangrado, sin cambios cervicales, con o sin dolor abdominal A lo anterior, se agregan cambios cervicales Ya no hay vitalidad fetal, pero no se han desarrollado los mecanismos para la expulsión del feto Hay ruptura de las membranas Cunningham FG, Larry C Gilstrap III, Hauth JC, Leveno KJ, Wenstrom KD, Gant NF. Williams obstetricia. Nueva York, NY, Estados Unidos de América: McGraw-Hill; 2020/ Guía de Práctica Clínica Diagnóstico y Tratamiento del Aborto Espontáneo, Manejo Inicial de Aborto Recurrente IMSS-088-08, México; Instituto Mexicano del Seguro Social, 2009. Disponible en: https://www.imss.gob.mx/sites/all/statics/guiasclinicas/088GER.pdf
  • 10.
    Aborto incompleto 05 06Aborto completo 07 Aborto séptico Clasificación clínica 3 Se localizan restos en cavidad uterina y canal vaginal. El endometrio mide >15mm Expulsión total del producto, el endometrio mide <15mm Ya hay datos de SRIS Pérdida gestacional recurrente: Pérdida de 2 o más gestaciones <10sdg Cunningham FG, Larry C Gilstrap III, Hauth JC, Leveno KJ, Wenstrom KD, Gant NF. Williams obstetricia. Nueva York, NY, Estados Unidos de América: McGraw-Hill; 2020/ Guía de Práctica Clínica Diagnóstico y Tratamiento del Aborto Espontáneo, Manejo Inicial de Aborto Recurrente IMSS-088-08, México; Instituto Mexicano del Seguro Social, 2009. Disponible en: https://www.imss.gob.mx/sites/all/statics/guiasclinicas/088GER.pdf
  • 11.
    Guía de PrácticaClínica Diagnóstico y Tratamiento del Aborto Espontáneo, Manejo Inicial de Aborto Recurrente IMSS-088-08, México; Instituto Mexicano del Seguro Social, 2009. Disponible en: https://www.imss.gob.mx/sites/all/statics/guiasclinicas/088GER.pdf
  • 12.
    HC y exploración física Especuloscopía A USG endo/abdominal Deberepetirse 7-10 días despues para valorar viabilidad/explusión de restos Diagnóstico 4 B >1500mUI se puede ver el saco gestacional/ saco vitelino visible hasta las 5.5SDG/ Actividad cardíaca fetal 6-6.5SDG Guía de Práctica Clínica Diagnóstico y Tratamiento del Aborto Espontáneo, Manejo Inicial de Aborto Recurrente IMSS-088-08, México; Instituto Mexicano del Seguro Social, 2009. Disponible en: https://www.imss.gob.mx/sites/all/statics/guiasclinicas/088GER.pdf
  • 13.
    Gamez W. Protocolo:Pérdida gestacional precoz [Internet]. Medicina Fetal Barcelona. 2024 [citado el 8 de marzo de 2025]. Disponible en: https://fetalmedicinebarcelona.org/protocolos/protocolo-perdida-gestacional- precoz/
  • 14.
    Prager S, MicksE, Dalton V. Pregnancy loss (miscarriage): Ultrasound diagnosis [Internet]. Uptodate.com. 2024 [citado el 8 de marzo de 2025]. Disponible en: https://www.uptodate.com/contents/pregnancy -loss-miscarriage-ultrasound-diagnosis? search=first%20trimestrer%20pregnancy %20loss&topicRef=5442&source=see_link
  • 16.
    Expectante Amenaza de aborto A Ambulatorio Mefepristona/misoprostol Tratamiento 5 B Quirúrgico AMEU/ LUI C Gamez W. Protocolo: Pérdida gestacional precoz [Internet]. Medicina Fetal Barcelona. 2024 [citado el 8 de marzo de 2025]. Disponible en: https://fetalmedicinebarcelona.org/protocolos/protocolo-perdida-gestacional-precoz/ Guía de Práctica Clínica Diagnóstico y Tratamiento del Aborto Espontáneo, Manejo Inicial de Aborto Recurrente IMSS-088-08, México; Instituto Mexicano del Seguro Social, 2009. Disponible en: https://www.imss.gob.mx/sites/all/statics/guiasclinicas/088GER.pdf
  • 17.
    Tratamiento expectante Relativo durante 48horas, no actividad sexual 01 Natural 200-400 mg c/12hrs hasta las 12sdg (VO) o hasta las 16.6 (vaginal) En px con Rh (-) si tx qx, pérdidas espontáneas >8sdg, persistencia de restos Atropina, escopolaminas, hioscinas, beta agonistas Progesterona 02 Tocolíticos 03 Reposo 04 Gammaglobulina anti D Seguimiento en 7-10 días en su centro de salud Gamez W. Protocolo: Pérdida gestacional precoz [Internet]. Medicina Fetal Barcelona. 2024 [citado el 8 de marzo de 2025]. Disponible en: https://fetalmedicinebarcelona.org/protocolos/protocolo-perdida-gestacional-precoz/ Guía de Práctica Clínica Diagnóstico y Tratamiento del Aborto Espontáneo, Manejo Inicial de Aborto Recurrente IMSS-088-08, México; Instituto Mexicano del Seguro Social, 2009. Disponible en: https://www.imss.gob.mx/sites/all/statics/guiasclinicas/088GER.pdf
  • 18.
    Tratamiento ambulatorio De acuerdoal esquema de la FIGO 01 200mg V.O 24/ 36- 48hrs antes del misoprostol Sangrado excesivo >2 toallas/ hora en 2 horas /Dolor que no cede tras la expulsión 600mg 30-40 minutos antes del misoprostol. Se puede repetir cada 6-8hrs por 3 días Mifepristona 03 Ibuprofeno 02 Misoprostol 04 DATOS DE ALARMA Gamez W. Protocolo: Pérdida gestacional precoz [Internet]. Medicina Fetal Barcelona. 2024 [citado el 8 de marzo de 2025]. Disponible en: https://fetalmedicinebarcelona.org/protocolos/protocolo-perdida-gestacional-precoz/ Guía de Práctica Clínica Diagnóstico y Tratamiento del Aborto Espontáneo, Manejo Inicial de Aborto Recurrente IMSS-088-08, México; Instituto Mexicano del Seguro Social, 2009. Disponible en:
  • 19.
    EA misoprostol: Sangradoabundante, dolor abdominal, GI, Fiebre hasta 38.5°, exantema/ prurito en palmas y plantas
  • 20.
    Sospecha de infección CImisoprostol Sangrado excesivo Tratamiento quirúrgico Maduración cervical previa: 400mcg misoprostol vaginal (2- 4horas antes) /mifepristona 200mg 36-48hrs Profilaxis antibiótica: cefazolina 3g IV + metronidazol 500mg IV antes de la inducc. anestésica Gamez W. Protocolo: Pérdida gestacional precoz [Internet]. Medicina Fetal Barcelona. 2024 [citado el 8 de marzo de 2025]. Disponible en: https://fetalmedicinebarcelona.org/protocolos/protocolo-perdida-gestacional-precoz/ Guía de Práctica Clínica Diagnóstico y Tratamiento del Aborto Espontáneo, Manejo Inicial de Aborto Recurrente IMSS-088-08, México; Instituto Mexicano del Seguro Social, 2009. Disponible en:
  • 21.
    Aspiración manual endouterina Alturauterina <11cm Dilatación cervical <1cm Aborto séptico hasta 6-8 hrs después del tx antibiótico INDICACIONES Guía de Práctica Clínica Diagnóstico y Tratamiento del Aborto Espontáneo, Manejo Inicial de Aborto Recurrente IMSS-088-08, México; Instituto Mexicano del Seguro Social, 2009. Disponible en: https://www.imss.gob.mx/sites/all/statics/guiasclinicas/088GER.pdf
  • 22.
    Aspiración manual endouterina Aspirador Manualde doble válvula Cánulas flexinles y adaptadores para las mismas INSTRUMENTOS Levy, D., Lukin, G., & Messina, A. (2021). Aspiración manual endouterina. Org.ar. https://redaas.org.ar/wp-content/uploads/Nota_tecnica_2_AMEU.pdf Bombin, M., Mercado, J., Zúñiga, J., Encalada, D., & Ávila, J. (2019). Aspiración manual endouterina (AMEU): Revisión de la literatura y estudio de serie de casos. Revista Chilena de Obstetricia y Ginecologia, 84(6), 460–468. https://doi.org/10.4067/s0717-75262019000600460
  • 23.
    Aspiración manual endouterina 1.Profilaxis antibiótica: 200mg doxicilina / 500mg axitromicina /500mg metronidazol 2. Preparación cervical: misoprostol 400mcg SL 2 horas antes del procedimiento 3. Manejo del dolor: AINES 30.45 min antes + bloqueo paracervical PROFILAXIS ANTIBIÓTICA Levy, D., Lukin, G., & Messina, A. (2021). Aspiración manual endouterina. Org.ar. https://redaas.org.ar/wp-content/uploads/Nota_tecnica_2_AMEU.pdf Bombin, M., Mercado, J., Zúñiga, J., Encalada, D., & Ávila, J. (2019). Aspiración manual endouterina (AMEU): Revisión de la literatura y estudio de serie de casos. Revista Chilena de Obstetricia y Ginecologia, 84(6), 460–468. https://doi.org/10.4067/s0717-75262019000600460
  • 24.
    Aspiración manual endouterina 1.Vaciamiento de la vejiga 2. Examen bimanual para corroborar situación del útero y altura uterina 3. Cargar una jerinfa de 20ml con lidocaína al 1% 4. Colcación de espéculo y asepsia del cuello uterino 5. Colocación 1-2ml de anestésico en hora 6 si AVF o 12 si RVF 6. Bloqueo paracervical 2,4,8.10 sobre la union de la mucosa vaginal y la cervical e introducir la aguja a 2-5mm de profundidad PREVIO AL AMEU Levy, D., Lukin, G., & Messina, A. (2021). Aspiración manual endouterina. Org.ar. https://redaas.org.ar/wp-content/uploads/Nota_tecnica_2_AMEU.pdf Bombin, M., Mercado, J., Zúñiga, J., Encalada, D., & Ávila, J. (2019). Aspiración manual endouterina (AMEU): Revisión de la literatura y estudio de serie de casos. Revista Chilena de Obstetricia y Ginecologia, 84(6), 460–468. https://doi.org/10.4067/s0717-75262019000600460
  • 25.
    Aspiración manual endouterina 1.Oprimir botones del aspirador hacia adentro y hacia adelante 2. Cargar el aspirador tirando del embolo hacia atrás para formar el vacio 3. Introducir la cánula a utilizar suavemente en el cervix y desplazarla hacia adentro de la cavidad hasta tocar el fondo 4. Unir el aspirador con la cánula sosteniendo la misma 5. Liberar el vacío oprimiendo los botones y la aspiración comenzará de inmediato 6. Evacuar el contenido girando cuidadosa y lentamente la cánula a 180° en cada dirección 7. Si el aspirador se llena, separar el aspirador de la cánula y dejar la cánula en el úero 8. Vaciar el aspirador en un recipiente apropiado PREPARACIÓN DEL AMEU Levy, D., Lukin, G., & Messina, A. (2021). Aspiración manual endouterina. Org.ar. https://redaas.org.ar/wp-content/uploads/Nota_tecnica_2_AMEU.pdf Bombin, M., Mercado, J., Zúñiga, J., Encalada, D., & Ávila, J. (2019). Aspiración manual endouterina (AMEU): Revisión de la literatura y estudio de serie de casos. Revista Chilena de Obstetricia y Ginecologia, 84(6), 460–468. https://doi.org/10.4067/s0717-75262019000600460
  • 26.
  • 27.
    Legrado uterino instrumentado Alturauterina >12cm Dilatación cervical >1cm Aborto séptico hasta 6-8 hrs después del tx antibiótico INDICACIONES Cooper, D. B., & Menefee, G. W. (2025). Dilation and curettage. En StatPearls. StatPearls Publishing
  • 28.
    Legrado uterino instrumentado Dilatadores:hegar Legras uterinas INSTRUMENTAL Cooper, D. B., & Menefee, G. W. (2025). Dilation and curettage. En StatPearls. StatPearls Publishing.
  • 29.
  • 30.
    Aborto séptico T° >38°,malestar general , salida de material purulento, hipotensión, leucocitosis Agentes: S.aureus, bacilos gram -, cocos gram + Tx: ingreso hospitalario, fluídos, cultivo Piperaciclina-tazobactam 4g IV cada 6hrs Amoxiclav 875-125mg VO c/8 / Clindamicina 300mg c/ 8hs Gamez W. Protocolo: Pérdida gestacional precoz [Internet]. Medicina Fetal Barcelona. 2024 [citado el 8 de marzo de 2025]. Disponible en: https://fetalmedicinebarcelona.org/protocolos/protocolo-perdida-gestacional-precoz/ Guía de Práctica Clínica Diagnóstico y Tratamiento del Aborto Espontáneo, Manejo Inicial de Aborto Recurrente IMSS-088-08, México; Instituto Mexicano del Seguro Social, 2009. Disponible en: https://www.imss.gob.mx/sites/all/statics/guiasclinicas/088GER.pdf
  • 31.
    Bibliografía Gamez W. Protocolo:Pérdida gestacional precoz [Internet]. Medicina Fetal Barcelona. 2024 [citado el 8 de marzo de 2025]. Disponible en: https://fetalmedicinebarcelona.org/protocolos/protocolo-perdida-gestacional-precoz/ Guía de Práctica Clínica Diagnóstico y Tratamiento del Aborto Espontáneo, Manejo Inicial de Aborto Recurrente IMSS-088-08, México; Instituto Mexicano del Seguro Social, 2009. Disponible en: https://www.imss.gob.mx/sites/all/statics/guiasclinicas/088GER.pdf Prager S, Micks E, Dalton V. Pregnancy loss (miscarriage): Ultrasound diagnosis [Internet]. Uptodate.com. 2024 [citado el 8 de marzo de 2025]. Disponible en: https://www.uptodate.com/contents/pregnancy-loss-miscarriage-ultrasound-diagnosis?search=first%20trimestrer %20pregnancy%20loss&topicRef=5442&source=see_link Cunningham FG, Larry C Gilstrap III, Hauth JC, Leveno KJ, Wenstrom KD, Gant NF. Williams obstetricia. Nueva York, NY, Estados Unidos de América: McGraw-Hill; 2020/ Guevara- Ríos, E., (2010). Hemorragias de la primera mitad del embarazo. Revista Peruana de Ginecología y Obstetricia, 56(1), 10-17 Early pregnancy loss Practice bulletin 200 [Internet]. Acog.org. 2018 [citado el 8 de marzo de 2025]. Disponible en: https://www.acog.org/clinical/clinical-guidance/practice-bulletin/articles/2018/11/early-pregnancy-loss Cooper, D. B., & Menefee, G. W. (2025). Dilation and curettage. En StatPearls. StatPearls Publishing. Levy, D., Lukin, G., & Messina, A. (2021). Aspiración manual endouterina. Org.ar. https://redaas.org.ar/wp-content/uploads/Nota_tecnica_2_AMEU.pdf Bombin, M., Mercado, J., Zúñiga, J., Encalada, D., & Ávila, J. (2019). Aspiración manual endouterina (AMEU): Revisión de la literatura y estudio de serie de casos. Revista Chilena de Obstetricia y Ginecologia, 84(6), 460–468. https://doi.org/10.4067/s0717-75262019000600460

Notas del editor

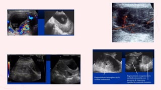
  • #15 Aborto diferido: imagen superior izquierda: al doppler color no se aprecia vascularidad y no hay FCF Imagen superior derecha: restos ovulares Imagen inferior izquierda: aborto en evolución, se ve apertura cervical y presencia de saco
  • #24 Dosis máxima lidocaína: 4.5mg/kg o 200mg en total
  • #25 Dosis máxima lidocaína: 4.5mg/kg o 200mg en total
  • #26 Dosis máxima lidocaína: 4.5mg/kg o 200mg en total