Incrustar presentación
Descargar para leer sin conexión














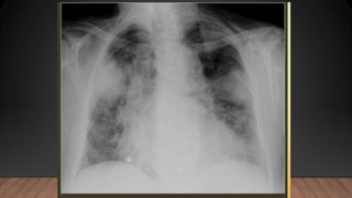
La neumonía causa un cuadro de condensación pulmonar producida por un exudado inflamatorio y proceso infeccioso que puede ser lobar, segmentario, intersticial, redondo o cavitario, siendo la forma lobar o alveolar la más común.













