Biología Humana Tejidos  Magíster Norma González 2011
células: bloques de armado básico de los tejidos tejidos: conjuntos organizados de células que funcionan en forma colectiva órgano: unidad formada por distintos tejidos que realizan una actividad coordinada sistemas de órganos: órganos que trabajan juntos en forma integrada y realizan una función particular
Un tejido es: Conjunto organizado de células que funcionan en forma colectiva.  (Ross)  Grupos de células y los materiales que las rodean y funcionan de manera conjunta para cumplir un papel específico.  (Tortora y Derrikson)
Cuatro tejidos básicos Tejido epitelial Tejido conectivo Tejido muscular Tejido nervioso
Tejido epitelial
Epitelios simples Epitelio plano simple
Epitelios simples Epitelio cúbico simple Epitelio cilíndrico simple
Epitelio cilíndrico simple Epitelio seudoestratificado Epitelios simples
Epitelios estratificados Epitelio plano estratificado Epitelio cilíndrico estratificado Epitelio cúbico estratificado
Epitelios estratificados Epitelio de transición
Epitelios glandulares Glándulas endocrinas Glándulas exocrinas
Tejido conectivo
Tejido conectivo areolar= tejido conectivo laxo Tejido adiposo
 
Tejido conectivo denso regular Tejido conectivo denso irregular
Tejido conectivo reticular
Tejido conectivo elástico
Tejido cartilaginoso hialino
Tejido cartilaginoso fibroso
Tejido cartilaginoso elástico
Tejido óseo  hueso
 
 
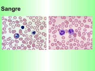
Sangre
Tejido muscular
 
Tejido nervioso
Neurona
células de Purkinje  neuronas de la retina neuronas ganglionares
Células de Schwann Células satélite Células de la glía en el SNC

Tejidos 2011 aula virtual

Notas del editor

  • #15 Unexpected evidence for active brown adipose tissue in adult humans Jan Nedergaard, Tore Bengtsson, and Barbara Cannon AJP – Endo 2007