ABSCESO
HEPATICO
DRA. MIRNA JAEL QUISPE YUJRA
MR- MEDICINA INTERNA
DEFINICION
El Absceso Hepático (AH) se define como una
colección de pus rodeada de una cápsula fibrosa,
localizada en el hígado, resultante de cualquier
proceso infeccioso con destrucción de
parénquima y estroma hepático.
EPIDEMIOLOGIA
Representa el absceso visceral más frecuente. La
incidencia del AH piógeno varía de 1,1 a 2,3 casos
por 100.000 habitantes / año, sin embargo la del
absceso amebiano se estima de 0,1 por 100.000
habitantes/año.
- Inflamación purulenta circunscrita del parénquima hepático
-
-HISTORIA:
-pasado( joven apendicitis complicada-pileflebitis)
-actual ( desconocidos vs ancianos con
proceso biliar )
-COMPROMISO
-INMUNE ( DM, desnutrición, neoplasias mg ,
alcohol, tto esteroideo)
-PREDISPONE ( cirugía biliar o endoscópica
previa)
EPIDEMIOLOGIA
PRONOSTICO
El AH es una situación clínica grave, con una mortalidad entre el 0 y el
15% en los países desarrollados, que , sin embargo, alcanza el 100% en
pacientes no tratados.
Hay factores asociados a mayor mortalidad como por ejemplo la
necesidad de drenaje abierto, enfermedad maligna subyacente o las
infecciones debidas a gérmenes anaerobios.
ETIOPATOGENIA
Desde el punto de vista
etiopatogénico, los gérmenes pueden
invadir el hígado a través de
diferentes vías. Se distinguen 6 vías
de diseminación mas frecuentes
Biliar (40,1%)
Causada por litiasis biliar, procesos agudos (piocolecistos),
Coledocolitiasis con colangitis, estenosis o neoplasia,
mediante colangitis ascendente.
Portal (16,1%)
Secundario a procesos como:
Apendicitis complicadas (pileflebitis): complicación caracterizada por
ser una trombosis séptica de la vena porta.
Diverticulitis o enfermedad inflamatoria intestinal, comprometiendo la
circulación venosa portal.
Infección por contiguidad desde
una estructura vecina (5,8%),
Como la vesícula o colon, con extensión directa al
hígado (translocación bacteriana) o infección por
vecindad.
OTRAS
- Diseminación hematógena por bacteriemias
de cualquier foco (7,3%).
- Traumatismos hepáticos (4,5%).
- Criptogénicas (26,2%) cuando a pesar de un
estudio completo no se encuentra el origen
del absceso.
Localización: Absceso hepático del lóbulo
derecho, Absceso hepático del lóbulo
izquierdo.
Número: Único o múltiple.
Tamaño: En centímetro, un absceso de más
de 10 cm Se considera grande.
MICROBIOLOGÍA
Según el microorganismo que lo produce, lo
clasificaremos en:
- Bacteriano o Piógeno (AHP).
- Amebiano (AHA): por colonización hepática por
trofozoitos de Entamoeba histolytica a través de la
circulación portal.
- Micótico (AHM).
- Tuberculoso (AHT).
ABSCESOS
PIOGENOS
Epidemiología
Incidencia 0,29 – 1,47%.
Edad > 50 años.
Hombre = mujer.
Compromiso > lóbulo derecho Múltiples 50%.
Mortalidad 6, 5%
PATOGENIA
Biliar.
Pileflebitis portal
Trauma.
Bacteremia.
Criptogénico Iatrogénica.
ETIOLOGIA
Tres grupos de bacterias:
Cocos Gram + (estafilococos, estreptococos)
Eneterobacterias (E. coli, Klebsiella, enterobacter, Proteus)
Anaerobios (B. fragilis y Clostridium)
Polimicrobianos 40 – 60%.
Mas frecuentes: E. coli, Klebsiella pneumoniae,
Enterococo.
Diabéticos – SIDA – Qx Hongos.
Odontológico – Endocarditis Estafilococos
 Síntoma tardio es dolor en HD, más habitual en
abscesos solitarios grandes.
 En 30-60% de los pacientes hay hepatomegalia
 En 50% hay sensibilidad hepatica
 Tambien puede manifestar ictericia
MANIFESTACIONES
CLINICAS
Fiebre y
escalofrios
Sudacion
profusa
Nausea y
vomito
Anorexia
CUADRO
CLÍNICO
Black SM, Prabhakaran S, Vickers S. Liver Abscess. In: Shackelford’s Surgery of the Alimentary Tract. Peters
JH, Matthews JB, McFadden DW,Pemberton JH editors. 7th Ed. Philadelphia: Elsevier Saunders; 2013. p. 1464 –78.
LABORATORIOS
 Leucocitosis con neutrofilia. Anemia
normocitica.
 VSG y Proteína C Reactiva.
 Fosfatasa Alcalina elevadas (70 – 90%).
Prolongación del TP. Hiperbilirrubinemia 50%.
 AST elevada 45%.
 Hemocultivos positivos 30 – 50%
IMAGENOLOGIA
Rx simple de abdomen:
- Niveles Hidroaéreos dentro del
absceso.
- Elevación del hemidiafragma derecho.
- Derrame pleural.
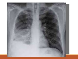
IMAGENOLOGÍA
Rx. Tórax:
Presentan alteraciones en el 50% de
los afectados:
• infiltrado basal.
• derrame pleural.
• atelectasias planas.
• elevación del hemidiafragma
derecho.
Black SM, Prabhakaran S, Vickers S. Liver Abscess. In: Shackelford’s Surgery of the Alimentary Tract. Peters
JH, Matthews JB, McFadden DW,Pemberton JH editors. 7th Ed. Philadelphia: Elsevier Saunders; 2013. p. 1464 –78.
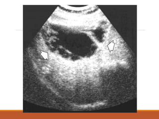
IMAGENOLOGÍA
USG Abdominal:
• Detecta lesiones mayores de 1 cm
hasta en el 90% de los casos.
•Bajo costo y sirve como guía en la
punción - aspiración de los mismos.
•Desventajas:
- No visualiza el domo del lóbulo hepático
derecho
- No detecta abscesos microscópicos
múltiples, tampoco abscesos pequeños
en hígado graso.
- Es operador dependiente.
The Evolving Nature of Hepatic Abscess: A Review, J Clinical and Translational Hepatology. 2016 Jun 28; 4(2): 158–168.
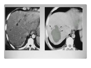
IMAGENOLOGÍA
TAC:
•Método de elección para detectar
lesiones hepáticas
• Visualiza el hígado en su totalidad.
• TAC con técnica helicoidal trifásica
detecta lesiones de 0.5 cm.
• Permite observar abscesos en hígado
graso y tiene una sensibilidad y
especificidad del 95%.
The Evolving Nature of Hepatic Abscess: A Review, J Clinical and Translational Hepatology. 2016 Jun 28; 4(2): 158–168.
Catalano, O. et al. Am. J. Roentgenol. 2004;182:447-450
--39-year-old woman with right upper quadrant pain and leukocytosis
IMAGENOLOGÍA
ABSCESO HEPÁTICO
The Evolving Nature of Hepatic Abscess: A Review, J Clinical and Translational Hepatology. 2016 Jun 28; 4(2): 158–168.
TRATAMIENTO
 Individualizarse.
Punción: cultivo y antibiograma.
Antibióticos + drenaje percutáneo guiado por
ECO o TAC en un 75 – 90% de los casos.
ANTIBIOTICOTERAPIA
-Las pautas de tratamiento antimicrobiano utilizada con
mas frecuencia consisten en la asociación de una
cefalosporina de tercera generación (cefotaxima,
ceftriaxona) con metronidazol o monoterapia con un
carbapenem o piperazilina- tazobactam
Diagnosis and management of complicated intra-abdominal infection in adults and children: guidelines
by the Surgical Infection Society and the Infectious Diseases Society of America, Solomkin JS, et al.
Clin Infect Dis. 2010.
Tiempo de tratamiento
Sin drenaje se puede prolongar por 4-6 semanas , tratamiento parenteral de 2
semanas seguido de un tratamiento mas prolongado (4-6 semanas) de terapia.
Cambiando a antibióticos orales cuando la respuesta al tratamiento es
adecuada.
En caso de contar con cultivo y antibiograma cambiar esquema de acuerdo a
este
DRENAJE PERCUTANEO
Es el tratamiento de elección por ser minimante
invasivo con éxito entre el 85 – 90 %
Indicaciones:
- Abscesos > 3 cms.< 5 cc / 24 hs.
Complicaciones:
- Obstrucción.
- Hemorragia.
- Sepsis.
- Ubicación inadecuada.
DRENAJE PERCUTANEO
Considerar falla:
- si no hay mejoría del
cuadro
- Condición empeora luego de 72
horas del drenaje.
- Si el absceso recurre a pesar de
un adecuado drenaje inicial.
- Considerar insertar un 2º
catéter de drenaje.
Therapy of Liver Abscesses, Viszeralmedizin GI Medicine and Surgery. 2014 Oct; 30(5): 334–341.
DRENAJE QUIRURGICO
Falla del antibioticoterapia + drenaje percutáneo.
Peritonitis.
Patología quirúrgica asociada. Abscesos
tabicados.
Abscesos de gran viscosidad.
Abscesos múltiples y grandes (> 6 cms). Abscesos en
lóbulo izquierdo.
FACTORES DE MAL
PRONOSTICO
Edad > 60 años.
Urea > 20 mgr/dl.
Creatinina > 2 mgr/dl.
Bilirrubina total > 2 mgr/dl.
Albúmina < 2,5 gr/dl.
Comorbilidades y patologías concomitantes
ABSCESO
AMIBIANO
ABSCESO HEPÁTICO AMIBIANO
• Manifestación extra intestinal más común de la
amebiasis (Entamoeba histolytica)
• Infesta casi al 10% de la población mundial,
aproximadamente 40 a 50 millones de personas al
año.
• Es una de las causas más frecuentes de muerte por
parasitosis en el mundo en países subdesarrollados.
• Ocurre en el 3 a 7 % de los pacientes con amebiasis.
Rafael Aguirre Rivero, Diagnóstico y tratamiento actual del abdomen agudo, 2ª Ed. 2011, Edit. Alfil: 142–170.
EPIDEMIOLOGIA
Países tropicales y áreas endémicas. Relación
hombre / mujer 10 : 1.
Edad promedio 18 – 50 años. Principal
localización lóbulo derecho.
FACTORES DE RIESGO
Países en vías de desarrollo. Pobreza.
Déficit de condiciones socio-sanitarias.
Viaje a áreas endémicas (2 – 5 meses hasta 12
años.)
Hacinamiento.
Homosexualidad.
FISIOPATOLOGÍA
• La ruta de acceso es por el sistema
venoso portal o por extensión directa o
diseminación linfática a partir de la
mucosa colónica.
• Inicialmente los trofozoítos se agrupan
en focos rodeados de células
inflamatorias.
• Luego hay formación de granulomas
con necrosis de licuefacción central y
fibrosis periportal.
• Finalmente se constituye la cavidad
donde los trofozoítos se encuentran en
la periferia y el contenido es un líquido
espeso color chocolate.
FISIOPATOLOGÍA
Después de la infección, el
quiste de la amiba pasa a
través del tracto
gastrointestinal y se
convierte en trofozoíto en el
colon; puede invadir la
mucosa colónica y producir
las típicas úlceras en “botón
de camisa”.
FISIOPATOLOGÍA
Amebomas: Estas lesiones
presentan un engrosamiento
fibroso de la pared intestinal
que impide la salida de las
amibas a la luz intestinal.
Los trofozoítos quedan
dentro de estas lesiones, en
donde, debido a la actividad
de la inmunidad celular, hay
linfocitos T, macrófagos,
células gigantes, por lo que
son consideradas como
lesiones granulomatosas.
HISTOLOGIA
HEPATOCITOS MUERTOS, RESTOS CELULARES
TEJIDO CONECTIVO
TROFOZOITOS
CELULAS INFLAMATORIAS
COLOR ESPEZO
COLOR MARRON
INODORO
PASTA DE ANCHOAS
PRESENTACION CLINICA
Antecedente de amibiasis intestinal 1/3 de los casos.
-Aguda ( 2 sem)- periodo latencia ( ¿años?)
- Aguda: < 10 días de sintomatología ( + frec)
- Crónica: > 2 semanas hasta 6 meses
• Dolor abdominal 92%/ fiebre 90%/ MEG, sdme
constitucional ( 39%) Síntomas ≈ a AHP pero más graves
•Formas subagudas o indolentes
•Derrame pleural
•Hepatomegalia 62%/• Ictericia 22%
Fiebre y
escalofrio
s
Dolor en
hipocondrio
derecho
Perdida
de peso
Nausea
y
Vomito
Hepato
megalia
Anorexia
-Dx: -Sospecha clínica
-Analitica
Leucocitosis/anemia microcítica hipocrómico.
-↑ FA(76%)/ Hipoalbuminemia
- Si ↑ BLR , AST y ALT ( riesgo deruptura)
49
LABORATORIOS
-Sospecha clínica
-Analitica
Leucocitosis/anemia microcítica hipocrómico.
-↑ FA (76%)/ Hipoalbuminemia
- Si ↑ BLR , AST y ALT ( riesgo deruptura)
DETECCION DE ANTICUERPOS
Aparecen entre el 7° y 10° día en el 90 – 100%
después del inicio de los síntomas.
Métodos:
- Hemaglutinación Indirecta
- ELISA S 95% E 100%
- Electroinmunoforesis.
- Inmunodifusión.
Varios años 5 - 6
6 – 12 meses
IMAGENOLOGÍA
Rx. Tórax:
• infiltrado basal.
• derrame pleural.
• atelectasias planas.
• elevación del hemidiafragma derecho.
IMAGENOLOGÍA
El ultrasonido hepático es el procedimiento
inicial de elección y el más económico;
cuenta con la mayor utilidad global, pues,
además de poder diagnosticar o descartar
enfermedad biliar asociada, es capaz de
detectar casi 100% de los AHA, aunque
puede fallar en la detección de algunos
abscesos del lóbulo derecho.
El aspecto habitual de estas lesiones es una
imagen hipoecoica,
redonda u oval, sin ecos de pared.
IMAGENOLOGÍA
La TAC es el método más seguro de diagnóstico, notablemente superior
en su rendimiento al USG. En la tomografía las lesiones regularmente
aparecen como imágenes bien definidas y de baja densidad.
El estudio está indicado cuando existe duda diagnóstica, por sospecha
de proceso neoplásico, así como en los estadios tempranos del absceso
o en caso de complicaciones.
GAMMAGRAFIA CON tc 99
Permite diferenciar entre absceso:
Amebiano: frio o hipocaptante
Piogeno : Caliente
COMPLICACIONES
Sobreinfección 2,5%.
Ruptura dentro del peritoneo 2 – 7%.
Amebiasis pleuropulmonar 10 – 20%.
Pericarditis y taponamiento cardiaco.
Ruptura hacia otros órganos.
Diseminación hemática.
TRATAMIENTO
TRATAMIENTO
Diagnosis and management of complicated intra-abdominal infection in adults and children: guidelines by the Surgical
Infection Society and the Infectious Diseases Society of America, Solomkin JS, et al. Clin Infect Dis. 2010.
TRATAMIENTO
PRONOSTICO
Bueno.
Resolución por imágenes 6 meses.
- Rápida 3 meses 1/3 de los casos.
- Gradual 12 meses 60% de los casos.
- Rápida inicial y luego persistencia de la cavidad
> 19 meses 6%
Mortalidad < 1%.
FACTORES DE MAL
PRONOSTICO
Múltiples abscesos. Encefalopatía.
Volumen del Bilirrubina > 3,5
absceso > 500 ml. mgrs / dl.
Derrame pleural derecho Albúmina < 2 grs /dl.
O elevación del hemidiafragma HB < 8 mg/dl
Diabetes mellitus
PREVENCION
No existen fármacos profilácticos.
Medidas de saneamiento ambiental.
Modificación de las prácticas sexuales. Vacuna.
COMPARATIVA
Christians KK, Pitt HA, Hepatic abscess and cystic disease of the liver. In: Maingot´s abdominal
operations. Zinner MJ, Ashle SW,Zinner MJ, Ashle SW,12th Ed. Boston, MS. McGraw-Hill; 2013 p. 901 - 925.
33
ABSCESO PIOGENO AMEBIANO
Historia Patología biliar…. Viaje-diarrea
Nº múltiple único
Localización Cualquier lóbulo LHD , alto
Presentación Subaguda Aguda
Dx Eco o TAC
aspiración( espeso-purulento-oloroso )
Serologia -
Eco o TAC
Aspirado pasta anchoas
inodoro
serología +
Leucocitosis Elevada Moderada
Hemocultivo
Cultivo absceso
Positivo
Positivo
Negativo
Negativo
TTO: Ab iv +/-drenaje Metronid + paramomicina
ABSCESO HEPATICO
absceso hepatico jael.pptx

absceso hepatico jael.pptx

  • 1.
    ABSCESO HEPATICO DRA. MIRNA JAELQUISPE YUJRA MR- MEDICINA INTERNA
  • 2.
    DEFINICION El Absceso Hepático(AH) se define como una colección de pus rodeada de una cápsula fibrosa, localizada en el hígado, resultante de cualquier proceso infeccioso con destrucción de parénquima y estroma hepático.
  • 3.
    EPIDEMIOLOGIA Representa el abscesovisceral más frecuente. La incidencia del AH piógeno varía de 1,1 a 2,3 casos por 100.000 habitantes / año, sin embargo la del absceso amebiano se estima de 0,1 por 100.000 habitantes/año.
  • 4.
    - Inflamación purulentacircunscrita del parénquima hepático - -HISTORIA: -pasado( joven apendicitis complicada-pileflebitis) -actual ( desconocidos vs ancianos con proceso biliar ) -COMPROMISO -INMUNE ( DM, desnutrición, neoplasias mg , alcohol, tto esteroideo) -PREDISPONE ( cirugía biliar o endoscópica previa) EPIDEMIOLOGIA
  • 5.
    PRONOSTICO El AH esuna situación clínica grave, con una mortalidad entre el 0 y el 15% en los países desarrollados, que , sin embargo, alcanza el 100% en pacientes no tratados. Hay factores asociados a mayor mortalidad como por ejemplo la necesidad de drenaje abierto, enfermedad maligna subyacente o las infecciones debidas a gérmenes anaerobios.
  • 6.
    ETIOPATOGENIA Desde el puntode vista etiopatogénico, los gérmenes pueden invadir el hígado a través de diferentes vías. Se distinguen 6 vías de diseminación mas frecuentes
  • 7.
    Biliar (40,1%) Causada porlitiasis biliar, procesos agudos (piocolecistos), Coledocolitiasis con colangitis, estenosis o neoplasia, mediante colangitis ascendente.
  • 8.
    Portal (16,1%) Secundario aprocesos como: Apendicitis complicadas (pileflebitis): complicación caracterizada por ser una trombosis séptica de la vena porta. Diverticulitis o enfermedad inflamatoria intestinal, comprometiendo la circulación venosa portal.
  • 9.
    Infección por contiguidaddesde una estructura vecina (5,8%), Como la vesícula o colon, con extensión directa al hígado (translocación bacteriana) o infección por vecindad.
  • 10.
    OTRAS - Diseminación hematógenapor bacteriemias de cualquier foco (7,3%). - Traumatismos hepáticos (4,5%). - Criptogénicas (26,2%) cuando a pesar de un estudio completo no se encuentra el origen del absceso.
  • 11.
    Localización: Absceso hepáticodel lóbulo derecho, Absceso hepático del lóbulo izquierdo. Número: Único o múltiple. Tamaño: En centímetro, un absceso de más de 10 cm Se considera grande.
  • 12.
    MICROBIOLOGÍA Según el microorganismoque lo produce, lo clasificaremos en: - Bacteriano o Piógeno (AHP). - Amebiano (AHA): por colonización hepática por trofozoitos de Entamoeba histolytica a través de la circulación portal. - Micótico (AHM). - Tuberculoso (AHT).
  • 13.
  • 14.
    Epidemiología Incidencia 0,29 –1,47%. Edad > 50 años. Hombre = mujer. Compromiso > lóbulo derecho Múltiples 50%. Mortalidad 6, 5%
  • 15.
  • 16.
    ETIOLOGIA Tres grupos debacterias: Cocos Gram + (estafilococos, estreptococos) Eneterobacterias (E. coli, Klebsiella, enterobacter, Proteus) Anaerobios (B. fragilis y Clostridium) Polimicrobianos 40 – 60%. Mas frecuentes: E. coli, Klebsiella pneumoniae, Enterococo. Diabéticos – SIDA – Qx Hongos. Odontológico – Endocarditis Estafilococos
  • 17.
     Síntoma tardioes dolor en HD, más habitual en abscesos solitarios grandes.  En 30-60% de los pacientes hay hepatomegalia  En 50% hay sensibilidad hepatica  Tambien puede manifestar ictericia MANIFESTACIONES CLINICAS Fiebre y escalofrios Sudacion profusa Nausea y vomito Anorexia
  • 18.
    CUADRO CLÍNICO Black SM, PrabhakaranS, Vickers S. Liver Abscess. In: Shackelford’s Surgery of the Alimentary Tract. Peters JH, Matthews JB, McFadden DW,Pemberton JH editors. 7th Ed. Philadelphia: Elsevier Saunders; 2013. p. 1464 –78.
  • 19.
    LABORATORIOS  Leucocitosis conneutrofilia. Anemia normocitica.  VSG y Proteína C Reactiva.  Fosfatasa Alcalina elevadas (70 – 90%). Prolongación del TP. Hiperbilirrubinemia 50%.  AST elevada 45%.  Hemocultivos positivos 30 – 50%
  • 20.
    IMAGENOLOGIA Rx simple deabdomen: - Niveles Hidroaéreos dentro del absceso. - Elevación del hemidiafragma derecho. - Derrame pleural.
  • 21.
    IMAGENOLOGÍA Rx. Tórax: Presentan alteracionesen el 50% de los afectados: • infiltrado basal. • derrame pleural. • atelectasias planas. • elevación del hemidiafragma derecho. Black SM, Prabhakaran S, Vickers S. Liver Abscess. In: Shackelford’s Surgery of the Alimentary Tract. Peters JH, Matthews JB, McFadden DW,Pemberton JH editors. 7th Ed. Philadelphia: Elsevier Saunders; 2013. p. 1464 –78.
  • 23.
    IMAGENOLOGÍA USG Abdominal: • Detectalesiones mayores de 1 cm hasta en el 90% de los casos. •Bajo costo y sirve como guía en la punción - aspiración de los mismos. •Desventajas: - No visualiza el domo del lóbulo hepático derecho - No detecta abscesos microscópicos múltiples, tampoco abscesos pequeños en hígado graso. - Es operador dependiente. The Evolving Nature of Hepatic Abscess: A Review, J Clinical and Translational Hepatology. 2016 Jun 28; 4(2): 158–168.
  • 26.
    IMAGENOLOGÍA TAC: •Método de elecciónpara detectar lesiones hepáticas • Visualiza el hígado en su totalidad. • TAC con técnica helicoidal trifásica detecta lesiones de 0.5 cm. • Permite observar abscesos en hígado graso y tiene una sensibilidad y especificidad del 95%. The Evolving Nature of Hepatic Abscess: A Review, J Clinical and Translational Hepatology. 2016 Jun 28; 4(2): 158–168.
  • 28.
    Catalano, O. etal. Am. J. Roentgenol. 2004;182:447-450 --39-year-old woman with right upper quadrant pain and leukocytosis
  • 29.
    IMAGENOLOGÍA ABSCESO HEPÁTICO The EvolvingNature of Hepatic Abscess: A Review, J Clinical and Translational Hepatology. 2016 Jun 28; 4(2): 158–168.
  • 30.
    TRATAMIENTO  Individualizarse. Punción: cultivoy antibiograma. Antibióticos + drenaje percutáneo guiado por ECO o TAC en un 75 – 90% de los casos.
  • 31.
    ANTIBIOTICOTERAPIA -Las pautas detratamiento antimicrobiano utilizada con mas frecuencia consisten en la asociación de una cefalosporina de tercera generación (cefotaxima, ceftriaxona) con metronidazol o monoterapia con un carbapenem o piperazilina- tazobactam
  • 32.
    Diagnosis and managementof complicated intra-abdominal infection in adults and children: guidelines by the Surgical Infection Society and the Infectious Diseases Society of America, Solomkin JS, et al. Clin Infect Dis. 2010.
  • 33.
    Tiempo de tratamiento Sindrenaje se puede prolongar por 4-6 semanas , tratamiento parenteral de 2 semanas seguido de un tratamiento mas prolongado (4-6 semanas) de terapia. Cambiando a antibióticos orales cuando la respuesta al tratamiento es adecuada. En caso de contar con cultivo y antibiograma cambiar esquema de acuerdo a este
  • 34.
    DRENAJE PERCUTANEO Es eltratamiento de elección por ser minimante invasivo con éxito entre el 85 – 90 % Indicaciones: - Abscesos > 3 cms.< 5 cc / 24 hs. Complicaciones: - Obstrucción. - Hemorragia. - Sepsis. - Ubicación inadecuada.
  • 35.
    DRENAJE PERCUTANEO Considerar falla: -si no hay mejoría del cuadro - Condición empeora luego de 72 horas del drenaje. - Si el absceso recurre a pesar de un adecuado drenaje inicial. - Considerar insertar un 2º catéter de drenaje. Therapy of Liver Abscesses, Viszeralmedizin GI Medicine and Surgery. 2014 Oct; 30(5): 334–341.
  • 36.
    DRENAJE QUIRURGICO Falla delantibioticoterapia + drenaje percutáneo. Peritonitis. Patología quirúrgica asociada. Abscesos tabicados. Abscesos de gran viscosidad. Abscesos múltiples y grandes (> 6 cms). Abscesos en lóbulo izquierdo.
  • 37.
    FACTORES DE MAL PRONOSTICO Edad> 60 años. Urea > 20 mgr/dl. Creatinina > 2 mgr/dl. Bilirrubina total > 2 mgr/dl. Albúmina < 2,5 gr/dl. Comorbilidades y patologías concomitantes
  • 38.
  • 39.
    ABSCESO HEPÁTICO AMIBIANO •Manifestación extra intestinal más común de la amebiasis (Entamoeba histolytica) • Infesta casi al 10% de la población mundial, aproximadamente 40 a 50 millones de personas al año. • Es una de las causas más frecuentes de muerte por parasitosis en el mundo en países subdesarrollados. • Ocurre en el 3 a 7 % de los pacientes con amebiasis. Rafael Aguirre Rivero, Diagnóstico y tratamiento actual del abdomen agudo, 2ª Ed. 2011, Edit. Alfil: 142–170.
  • 40.
    EPIDEMIOLOGIA Países tropicales yáreas endémicas. Relación hombre / mujer 10 : 1. Edad promedio 18 – 50 años. Principal localización lóbulo derecho.
  • 41.
    FACTORES DE RIESGO Paísesen vías de desarrollo. Pobreza. Déficit de condiciones socio-sanitarias. Viaje a áreas endémicas (2 – 5 meses hasta 12 años.) Hacinamiento. Homosexualidad.
  • 42.
    FISIOPATOLOGÍA • La rutade acceso es por el sistema venoso portal o por extensión directa o diseminación linfática a partir de la mucosa colónica. • Inicialmente los trofozoítos se agrupan en focos rodeados de células inflamatorias. • Luego hay formación de granulomas con necrosis de licuefacción central y fibrosis periportal. • Finalmente se constituye la cavidad donde los trofozoítos se encuentran en la periferia y el contenido es un líquido espeso color chocolate.
  • 43.
    FISIOPATOLOGÍA Después de lainfección, el quiste de la amiba pasa a través del tracto gastrointestinal y se convierte en trofozoíto en el colon; puede invadir la mucosa colónica y producir las típicas úlceras en “botón de camisa”.
  • 44.
    FISIOPATOLOGÍA Amebomas: Estas lesiones presentanun engrosamiento fibroso de la pared intestinal que impide la salida de las amibas a la luz intestinal. Los trofozoítos quedan dentro de estas lesiones, en donde, debido a la actividad de la inmunidad celular, hay linfocitos T, macrófagos, células gigantes, por lo que son consideradas como lesiones granulomatosas.
  • 46.
    HISTOLOGIA HEPATOCITOS MUERTOS, RESTOSCELULARES TEJIDO CONECTIVO TROFOZOITOS CELULAS INFLAMATORIAS COLOR ESPEZO COLOR MARRON INODORO PASTA DE ANCHOAS
  • 47.
    PRESENTACION CLINICA Antecedente deamibiasis intestinal 1/3 de los casos. -Aguda ( 2 sem)- periodo latencia ( ¿años?) - Aguda: < 10 días de sintomatología ( + frec) - Crónica: > 2 semanas hasta 6 meses • Dolor abdominal 92%/ fiebre 90%/ MEG, sdme constitucional ( 39%) Síntomas ≈ a AHP pero más graves •Formas subagudas o indolentes •Derrame pleural •Hepatomegalia 62%/• Ictericia 22%
  • 48.
    Fiebre y escalofrio s Dolor en hipocondrio derecho Perdida depeso Nausea y Vomito Hepato megalia Anorexia
  • 49.
    -Dx: -Sospecha clínica -Analitica Leucocitosis/anemiamicrocítica hipocrómico. -↑ FA(76%)/ Hipoalbuminemia - Si ↑ BLR , AST y ALT ( riesgo deruptura) 49 LABORATORIOS -Sospecha clínica -Analitica Leucocitosis/anemia microcítica hipocrómico. -↑ FA (76%)/ Hipoalbuminemia - Si ↑ BLR , AST y ALT ( riesgo deruptura)
  • 50.
    DETECCION DE ANTICUERPOS Aparecenentre el 7° y 10° día en el 90 – 100% después del inicio de los síntomas. Métodos: - Hemaglutinación Indirecta - ELISA S 95% E 100% - Electroinmunoforesis. - Inmunodifusión. Varios años 5 - 6 6 – 12 meses
  • 51.
    IMAGENOLOGÍA Rx. Tórax: • infiltradobasal. • derrame pleural. • atelectasias planas. • elevación del hemidiafragma derecho.
  • 52.
    IMAGENOLOGÍA El ultrasonido hepáticoes el procedimiento inicial de elección y el más económico; cuenta con la mayor utilidad global, pues, además de poder diagnosticar o descartar enfermedad biliar asociada, es capaz de detectar casi 100% de los AHA, aunque puede fallar en la detección de algunos abscesos del lóbulo derecho. El aspecto habitual de estas lesiones es una imagen hipoecoica, redonda u oval, sin ecos de pared.
  • 53.
    IMAGENOLOGÍA La TAC esel método más seguro de diagnóstico, notablemente superior en su rendimiento al USG. En la tomografía las lesiones regularmente aparecen como imágenes bien definidas y de baja densidad. El estudio está indicado cuando existe duda diagnóstica, por sospecha de proceso neoplásico, así como en los estadios tempranos del absceso o en caso de complicaciones.
  • 54.
    GAMMAGRAFIA CON tc99 Permite diferenciar entre absceso: Amebiano: frio o hipocaptante Piogeno : Caliente
  • 55.
    COMPLICACIONES Sobreinfección 2,5%. Ruptura dentrodel peritoneo 2 – 7%. Amebiasis pleuropulmonar 10 – 20%. Pericarditis y taponamiento cardiaco. Ruptura hacia otros órganos. Diseminación hemática.
  • 56.
  • 57.
    TRATAMIENTO Diagnosis and managementof complicated intra-abdominal infection in adults and children: guidelines by the Surgical Infection Society and the Infectious Diseases Society of America, Solomkin JS, et al. Clin Infect Dis. 2010.
  • 58.
  • 59.
    PRONOSTICO Bueno. Resolución por imágenes6 meses. - Rápida 3 meses 1/3 de los casos. - Gradual 12 meses 60% de los casos. - Rápida inicial y luego persistencia de la cavidad > 19 meses 6% Mortalidad < 1%.
  • 60.
    FACTORES DE MAL PRONOSTICO Múltiplesabscesos. Encefalopatía. Volumen del Bilirrubina > 3,5 absceso > 500 ml. mgrs / dl. Derrame pleural derecho Albúmina < 2 grs /dl. O elevación del hemidiafragma HB < 8 mg/dl Diabetes mellitus
  • 61.
    PREVENCION No existen fármacosprofilácticos. Medidas de saneamiento ambiental. Modificación de las prácticas sexuales. Vacuna.
  • 62.
    COMPARATIVA Christians KK, PittHA, Hepatic abscess and cystic disease of the liver. In: Maingot´s abdominal operations. Zinner MJ, Ashle SW,Zinner MJ, Ashle SW,12th Ed. Boston, MS. McGraw-Hill; 2013 p. 901 - 925.
  • 63.
    33 ABSCESO PIOGENO AMEBIANO HistoriaPatología biliar…. Viaje-diarrea Nº múltiple único Localización Cualquier lóbulo LHD , alto Presentación Subaguda Aguda Dx Eco o TAC aspiración( espeso-purulento-oloroso ) Serologia - Eco o TAC Aspirado pasta anchoas inodoro serología + Leucocitosis Elevada Moderada Hemocultivo Cultivo absceso Positivo Positivo Negativo Negativo TTO: Ab iv +/-drenaje Metronid + paramomicina ABSCESO HEPATICO