ABSCESO HEPÁTICO
Lisseth Paola Villadiego Álvarez
Universidad de Sucre
Semestre VIII
Medicina del Adulto II
2014
ABSCESO HEPÁTICO
Colección localizada de pus en
el hígado, resultante de
cualquier proceso infeccioso
con destrucción del
parénquima y el estroma
hepático.
Bacteriano, parasitario o
micótico.
Clasificación
• Absceso hepático piógeno (AHP) el cual
tiende a ser polimicrobiano y es la forma más
frecuente en países desarrollados.
• Absceso hepático amebiano (AHA), causado
por el parásito E. histolytica.
• Absceso hepático fúngico (AHF),
principalmente causado por especies del hongo
Candida
Clasificación
• Localización: Absceso hepático del
lóbulo derecho, Absceso hepático del
lóbulo izquierdo
• Número: Único o múltiple
• Tamaño: En centímetro, un absceso de
más de 10 cms. Se considera grande.
Absceso piógeno
Se debe a una infección poli o mono microbiana por
gérmenes aerobios gramnegativos y anaerobios
grampositivos.
• Escherichia coli 66%
• Streptococcus milleri
• Streptococcus fecalis
• Klebsiella
• Proteus vulgaris
• Patógenos oportunistas como el estafilococo.
Absceso piógeno
 Mortalidad 40 %
 Países desarrollados
 11 casos por cada millón de hospitalizaciones
 6° y 7° década de vida
 Múltiple 50%
 2:1
Vías de diseminación
• BILIAR: (40%)
• PORTAL: (25%) trombosis de una aferencia
venosa portal en contacto con el foco infeccioso
primario que origina una bacteriemia y siembra
hepática.
• IDIOPÁTICOS: (20%)
• POR CONTIGUEDAD: (25%)
• LESIONES PENETRANTES O CONTUSAS
• VÍA LINFÁTICA
40% son monomicrobianos
40% son polimicrobianos
20% son negativos
DIAGNOSTICO
Fiebre (90%) Dolor en el cuadrante superior
derecho (60%) Escalofríos (41%). Ictericia
(30%). Hepatomegalia (30-60%)
Datos de laboratorio
• Leucocitosis neutrofilica (77%)
• ↑ de eritrosedimentación (VSG)
• ↑ Fosfatasa alcalina (90%)
• Son poco comunes las anomalías significativas en los
resultados de las pruebas restantes de función hepática.
• Hemocultivo positivo (50%)
Absceso Amebiano
• Relación hombre: mujer 9:1
• 3ra, 5ta década de la vida
• Es una entidad muy rara en países
desarrollados
• El tipo más común de absceso hepático
en todo el mundo.
• Entamoeba histolytica y Echinococcus
granulosus
• Multiplica y obstruye raíces
portales intrahepáticas
• Infarto de los hepatocitos.
Enzimas proteolíticas
• Abscesos de tamaño
variable y pueden ser
únicos o múltiples.
• Cara anterosuperior del
lóbulo hepático derecho,
cerca del diafragma,
porción central necrótica,
material purulento de color
pardo-rojizo, viscoso.
• “Pasta de anchoas o de
salsa de chocolate”
DIAGNOSTICO
• Fiebre >38,5º 1-2 semanas (77%)
• Dolor CSD (72%)
• Hepatomegalia (50%).
• Dolor toráxico (19%)
• Tos (16%)
• En tórax es frecuente encontrar hipomotilidad
diafragmática del lado derecho, submatidez y
disminución o abolición del ruido respiratorio
en el lado derecho.
Hallazgos de laboratorio
• Leucocitosis con aumento de PMN (80%)
• Fosfatasa Alcalina en suero aumentada (80%)
• VSG muy alta
• PCR positiva
• Hipoalbulinemia y anemia
• Prolongación del tiempo de protombina
• Anticuerpos fluorescentes contra E. histolytica
positivos
• Coprocultivo: E hystolitica/E. dispar
Es importante establecer la diferenciación
entre el absceso piógeno, que es de alta
mortalidad (hasta 40%) y con frecuencia
requiere drenaje, y el amebiano que debe
ser de nula mortalidad y raramente
requirió drenaje.
• edad >50 años, ictericia,
prurito, estado séptico y
shock, masa palpable,
hiperbilirrubinemia,
elevación de la fosfatasa
alcalina
absceso
piógeno
• raza hispánica (Mexicana),
viaje reciente a una región
endémica, dolor
abdominal, diarrea, dolor a
la palpación del abdomen
hepatomegalia y serología
amebiana positiva.
abscesos
amebianos
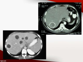
Hallazgos radiológicos
• RX DE ABDOMEN: Hepatomegalia, con joroba
diafragmática derecha y derrame pleural. Gas
dentro del absceso.
• ECOGRAFÍA: existen zonas hiperecógenas o
hipoecógenas heterogéneas mal definidas que
van tomando el aspecto de COLECCIÓN con
refuerzo posterior.
• TOMOGRAFÍA COMPUTADA: la lesión
hipodensa se halla rodeada por una envoltura
más o menos gruesa que se realza claramente
TRATAMIENTO
Además de una adecuada terapia
antibiótica, la mayoría requieren drenaje por
aguja o catéter y tratamiento de la
obstrucción si está presente
TRATAMIENTO
Absceso Piógeno
• La aspiración percutánea y cultivo del líquido aspirado
• Aminoglucósido + ceftriaxona (de 3ción) . Vs Gram
2 g diarios (50-100 mg/kg/día)
• Metronidazol + Clindamicina … Vs Anaerobios
30 – 50 mg/kg/día 300 mg/8horas
• Contenido viscoso
• Antibióticoterapia por 8 semanas
• Aspiración + antibioticoterapia iv eficacia en 80 a 90%
• Si fracasa el tto es quirúrgico
TRATAMIENTO
Absceso Amebiano
Metronidazol
• Vía oral: 2,400 gr. repartidos en 3 tomas por 10
días Tab 750mg)
• Vía intravenosa: 50O mg. I.V. c/8 horas por 10 días
• Con esta terapéutica se ha demostrado una
eficacia terapéutica de más del 96% de los casos.
En algunos casos, posterior a la administración de
metronidazol, según criterio del médico cuando se
considere que no ha habido una respuesta o hay
recidiva, se utiliza cloroquina (600 mg x 3 días y
posterior 300 mg. diarios durante 15 días).
TRATAMIENTO QUIRÚRGICO
• Punción evacuadora dirigida por ultrasonido. Los
criterios para efectuar este procedimiento son:
• Persistencia de la sintomatología de 5 a 7 días
después de administrar tratamiento médico.
• Proximidad del absceso a la pared del tórax o
elevación considerable del hemidiafragma
derecho, datos de irritación peritoneal; datos de
toxi infección grave y amenaza de ruptura del
absceso.
Cirugía a cielo abierto (laparotomía
exploradora). De acuerdo a criterio
médico, podría efectuarse en lugar de
la punción evacuadora del absceso de
acuerdo a los mismos criterios.
DIAGNÓSTICO DIFERENCIAL
1. Colecistitis aguda
2. Colangitis
3. Neoplasias primarias o metastásicas del
hígado (con o sin formación de absceso)
4. Quistes hepáticos
5. Quistes hidatídicos
Pronóstico y Complicaciones
• Shock séptico, infección secundaria a
otros órganos, perforación con peritonitis y
formación de fístulas. (50%)
• Pericarditis, hipotensión (50%)
• Dolor pleurítico, tos, disnea (6%)
• Lóbulo derecho con una supervivencia del
90%, la supervivencia para abscesos
múltiples es del 20%.

abscesoheptico-140226090626-phpapp01.pdf

  • 1.
    ABSCESO HEPÁTICO Lisseth PaolaVilladiego Álvarez Universidad de Sucre Semestre VIII Medicina del Adulto II 2014
  • 2.
    ABSCESO HEPÁTICO Colección localizadade pus en el hígado, resultante de cualquier proceso infeccioso con destrucción del parénquima y el estroma hepático. Bacteriano, parasitario o micótico.
  • 3.
    Clasificación • Absceso hepáticopiógeno (AHP) el cual tiende a ser polimicrobiano y es la forma más frecuente en países desarrollados. • Absceso hepático amebiano (AHA), causado por el parásito E. histolytica. • Absceso hepático fúngico (AHF), principalmente causado por especies del hongo Candida
  • 4.
    Clasificación • Localización: Abscesohepático del lóbulo derecho, Absceso hepático del lóbulo izquierdo • Número: Único o múltiple • Tamaño: En centímetro, un absceso de más de 10 cms. Se considera grande.
  • 5.
    Absceso piógeno Se debea una infección poli o mono microbiana por gérmenes aerobios gramnegativos y anaerobios grampositivos. • Escherichia coli 66% • Streptococcus milleri • Streptococcus fecalis • Klebsiella • Proteus vulgaris • Patógenos oportunistas como el estafilococo.
  • 6.
    Absceso piógeno  Mortalidad40 %  Países desarrollados  11 casos por cada millón de hospitalizaciones  6° y 7° década de vida  Múltiple 50%  2:1
  • 7.
    Vías de diseminación •BILIAR: (40%) • PORTAL: (25%) trombosis de una aferencia venosa portal en contacto con el foco infeccioso primario que origina una bacteriemia y siembra hepática. • IDIOPÁTICOS: (20%) • POR CONTIGUEDAD: (25%) • LESIONES PENETRANTES O CONTUSAS • VÍA LINFÁTICA
  • 8.
    40% son monomicrobianos 40%son polimicrobianos 20% son negativos
  • 9.
    DIAGNOSTICO Fiebre (90%) Doloren el cuadrante superior derecho (60%) Escalofríos (41%). Ictericia (30%). Hepatomegalia (30-60%) Datos de laboratorio • Leucocitosis neutrofilica (77%) • ↑ de eritrosedimentación (VSG) • ↑ Fosfatasa alcalina (90%) • Son poco comunes las anomalías significativas en los resultados de las pruebas restantes de función hepática. • Hemocultivo positivo (50%)
  • 11.
    Absceso Amebiano • Relaciónhombre: mujer 9:1 • 3ra, 5ta década de la vida • Es una entidad muy rara en países desarrollados • El tipo más común de absceso hepático en todo el mundo. • Entamoeba histolytica y Echinococcus granulosus
  • 12.
    • Multiplica yobstruye raíces portales intrahepáticas • Infarto de los hepatocitos. Enzimas proteolíticas • Abscesos de tamaño variable y pueden ser únicos o múltiples. • Cara anterosuperior del lóbulo hepático derecho, cerca del diafragma, porción central necrótica, material purulento de color pardo-rojizo, viscoso. • “Pasta de anchoas o de salsa de chocolate”
  • 13.
    DIAGNOSTICO • Fiebre >38,5º1-2 semanas (77%) • Dolor CSD (72%) • Hepatomegalia (50%). • Dolor toráxico (19%) • Tos (16%) • En tórax es frecuente encontrar hipomotilidad diafragmática del lado derecho, submatidez y disminución o abolición del ruido respiratorio en el lado derecho.
  • 14.
    Hallazgos de laboratorio •Leucocitosis con aumento de PMN (80%) • Fosfatasa Alcalina en suero aumentada (80%) • VSG muy alta • PCR positiva • Hipoalbulinemia y anemia • Prolongación del tiempo de protombina • Anticuerpos fluorescentes contra E. histolytica positivos • Coprocultivo: E hystolitica/E. dispar
  • 16.
    Es importante establecerla diferenciación entre el absceso piógeno, que es de alta mortalidad (hasta 40%) y con frecuencia requiere drenaje, y el amebiano que debe ser de nula mortalidad y raramente requirió drenaje.
  • 17.
    • edad >50años, ictericia, prurito, estado séptico y shock, masa palpable, hiperbilirrubinemia, elevación de la fosfatasa alcalina absceso piógeno • raza hispánica (Mexicana), viaje reciente a una región endémica, dolor abdominal, diarrea, dolor a la palpación del abdomen hepatomegalia y serología amebiana positiva. abscesos amebianos
  • 19.
    Hallazgos radiológicos • RXDE ABDOMEN: Hepatomegalia, con joroba diafragmática derecha y derrame pleural. Gas dentro del absceso. • ECOGRAFÍA: existen zonas hiperecógenas o hipoecógenas heterogéneas mal definidas que van tomando el aspecto de COLECCIÓN con refuerzo posterior. • TOMOGRAFÍA COMPUTADA: la lesión hipodensa se halla rodeada por una envoltura más o menos gruesa que se realza claramente
  • 20.
    TRATAMIENTO Además de unaadecuada terapia antibiótica, la mayoría requieren drenaje por aguja o catéter y tratamiento de la obstrucción si está presente
  • 21.
    TRATAMIENTO Absceso Piógeno • Laaspiración percutánea y cultivo del líquido aspirado • Aminoglucósido + ceftriaxona (de 3ción) . Vs Gram 2 g diarios (50-100 mg/kg/día) • Metronidazol + Clindamicina … Vs Anaerobios 30 – 50 mg/kg/día 300 mg/8horas • Contenido viscoso • Antibióticoterapia por 8 semanas • Aspiración + antibioticoterapia iv eficacia en 80 a 90% • Si fracasa el tto es quirúrgico
  • 22.
    TRATAMIENTO Absceso Amebiano Metronidazol • Víaoral: 2,400 gr. repartidos en 3 tomas por 10 días Tab 750mg) • Vía intravenosa: 50O mg. I.V. c/8 horas por 10 días • Con esta terapéutica se ha demostrado una eficacia terapéutica de más del 96% de los casos. En algunos casos, posterior a la administración de metronidazol, según criterio del médico cuando se considere que no ha habido una respuesta o hay recidiva, se utiliza cloroquina (600 mg x 3 días y posterior 300 mg. diarios durante 15 días).
  • 24.
    TRATAMIENTO QUIRÚRGICO • Punciónevacuadora dirigida por ultrasonido. Los criterios para efectuar este procedimiento son: • Persistencia de la sintomatología de 5 a 7 días después de administrar tratamiento médico. • Proximidad del absceso a la pared del tórax o elevación considerable del hemidiafragma derecho, datos de irritación peritoneal; datos de toxi infección grave y amenaza de ruptura del absceso.
  • 28.
    Cirugía a cieloabierto (laparotomía exploradora). De acuerdo a criterio médico, podría efectuarse en lugar de la punción evacuadora del absceso de acuerdo a los mismos criterios.
  • 32.
    DIAGNÓSTICO DIFERENCIAL 1. Colecistitisaguda 2. Colangitis 3. Neoplasias primarias o metastásicas del hígado (con o sin formación de absceso) 4. Quistes hepáticos 5. Quistes hidatídicos
  • 33.
    Pronóstico y Complicaciones •Shock séptico, infección secundaria a otros órganos, perforación con peritonitis y formación de fístulas. (50%) • Pericarditis, hipotensión (50%) • Dolor pleurítico, tos, disnea (6%) • Lóbulo derecho con una supervivencia del 90%, la supervivencia para abscesos múltiples es del 20%.