LA CÉLULA
GALILEO GALILEI: Primero en observarla en un
microscopio.
HOOKE: observo en un corcho celdillas y las llama
célula
VAN LEEUWENHOEK: vio animaculos muy pequeños
en el sarro, espermatozoides y bact
BROWN: 1820 el núcleo
SCHWANN: los animales y plantas están formados de
cels y productos celulares
VIRCHOW: donde hay una cel, tiene que haber existido
una anterior
TEORÍA CELULAR ACTUAL
• 1.Todos los organismos están formados por
células
• 2.Reacciones químicas de los seres vivos
tienen lugar dentro de la célula
• 3.Provienen de otras
• 4.Contiene información hereditaria y esta
pasa a las cels hijas
CELULA
En el cuerpo hay aprox. 50 millones de células
Su forma se relaciona con su función:
• Cels embrionarias: redondeadas
• Neuronas: estrelladas
• Epitelios: Geométrica
CARACTERISTICAS DE LA CELULA:
• Capacidad de replicarse a si misma
• Presencia de enzimas
• Unidad estructural y funcional de los seres
vivos, la parte mas pequeña que puede vivir
independientemente
• Elemento fundamental de los seres vivos
• Tiene una membrana que la rodea y la separa
del ambiente
El cuerpo esta formado por cels, sust
internas o extracelulares y líquidos
corporales.
Las cels establecen una estrecha relación
con el medio tanto funcional como
estructural.
El medio es la matriz extracelular,
proporciona transporte y facilita la nutrición
TIPOS DE CÉLULAS
• PROCARIOTAS
1. Muy pequeñas
2. Estructura interna simple rodeada por pared
celular dura
3. Interior relativamente homogéneo
4. ADN único, enrollado, adherido a membrana
plasmática y concentrado en nucleoide (no
núcleo)
• EUCARIOTAS
1. Mas grandes
2. Con organelas que proporcionan una
organización estructural y funcional
3. Translucidos
4. A veces adquieren el color de pigmentos
(hemoglobina)
COMPONENTES
núcleo
Membrana celular
citoplasma
PARED CELULAR
• Células vegetales
• Superficie externa dura
• De celulosa
• Producida por la célula
• Sostén del organismo vegetal
MEMBRANA PLASMÁTICA
Capa mas delgada que separa la materia
viva de la célula del medio externo
• 1.Aísla citoplasma
• 2.Regula intercambio de sustancias
esenciales entre citoplasma y medio
• 3.Comunicación con otras cels
• 4.Identifica cels pertenecientes a una espec
MEMBRANA PLASMÁTICA
COMPONENTES
• LÍPIDOS: 50% de masa de la membrana,
doble capa, fundamento estructural
• CARBOHIDRATOS: asociados a lípidos y
proteínas
• PROTEÍNAS: existen 4 tipos diferentes
1. Proteína de adherencia
2. Proteína de comunicación intracelular:
forma canal que conecta citoplasma
3. Proteína receptoras: anclaje para
hormonas, desencadena cambios en
actividad
4. Proteínas de reconocimiento: identifica a
la cel como no perteneciente al ser o que
si pertenece a este.
TIPOS DE MEMBRANA
PERMEABLE
SEMIPERMEABLE
IMPERMEABLE
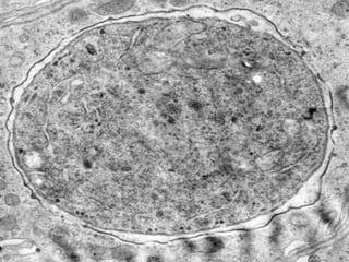
NÚCLEO CELULAR
Estructura + sobresaliente, es un centro de
control y por lo general es único.
FUNCIONES: Contiene ADN y tiene
influencia directa sobre las actividades del
citoplasma.
NUCLEO CELULAR
Esencial para la vida de las cels
Las cels que no tienen, no pueden tener
división celular
También tienen una actividad metabólica
limitada
Entre el núcleo y el citoplasma hay
intercambio constante de materiales
ENVOLTURA NUCLEAR
•Membrana doble de lípidos que rodea al
núcleo, hay proteínas.
•40 Mm. de grosor
•Cara interna se relaciona con cromatina y
material fibroso
•Cara externa con los ribosomas
•Su función es transferir materiales entre
núcleo y citoplasma a través de poros
CARIOPLASMA
• Solución semilíquida en la que están
suspendidos la cromatina y nucleolos
• Función: medio de difusión de
macromoléculas
CROMATINA
ADN y proteínas
Es la manifestación estructural de
cromosomas en la interfase
Nucleolo
• ARN y proteínas que se unen y forman
ribosomas
• Se encuentran libres o adheridos a la cara
interna de la envoltura nuclear
CITOPLASMA
Material dentro de la cel. Esta formado:
• Citosol: parte fluida, esta sostenido por una red
de micro filamentos llamado cito esqueleto.
Este de forma a la cel y es responsable de los
móv..
• Organelas: componentes estructurales de la cel,
separadas por membranas. Realizan reacciones
químicas por separado
• Inclusiones: acumulos inertes de productos
celulares
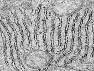
RETÍCULO
ENDOPLASMÁTICO RUGOSO
• Tubos y canales interconectados en el
citoplasma
• Ribosomas se adhieren a el
• Función: síntesis de proteína secretoria y su
segregación del resto del citoplasma
• Más donde se produce proteína
RETÍCULO
ENDOPLASMÁTICO LISO
• Se presentan en forma de tubulos, se pueden
ramificar y establecer conexión con RER y con el
aparato de golgi
• En las cels hepáticas algunos fármacos son
inactivados en el
• Funciones: 1) Síntesis de horm asteroideas
2) Absorción de lípidos en intestino
3) Retículo sarcoplasmatico (mm esquelético) tiene
función de contracción y regula concentración de
calcio
RIBOSOMAS
• Contienen ARN y proteína
• En ellos se agrupan aminoácidos para
formar proteínas
• Adheridos al RER o libres en citoplasma
• Formados por 2 subunidades de ARN y PT
• Se presentan en grupos unidos por un ARN
(se les llama polisomas)
• Se sintetizan en el núcleo y pasan al cito
• Su función es sintetizar las proteínas
APARATO DE GOLGHI
• Son sacos membranosos que cambian
continuamente su forma. Su Función es:
1. Recoger vesículas del RE, modificar sus
membranas y contenidos e incorporan
productos finales en vesículas de transp y
los llevan a otros sitios de la cel
(principalmente a la superficie celular)
2. Síntesis de productos de secreción
3. Formación de lisosomas
LISOSOMAS
• Sistema digestivo intracelular, degrada
material dentro y fuera de la cel
• Tipos-1.primarios- están en reposo
2.secundarios- participan en la digestión, se
forman por la unión de un primario con otro
cuerpo con membrana
• Contienen enzimas para digerir carbohidratos,
pt, ácidos nucleicos, lípidos y cels
• Tienen un papel importante en la defensa cel
por destruir bacterias y hongos
MITOCONDRIA
• Fuente de ATP que es la energía de la cel
• Concentran Ca
• Mantienen medio cálcico estable dentro del
citoplasma
• Número varía según la función metabólica de
la célula (hígado y estomago +)(linfocitos -)
• Membrana doble, capa ext lisa, int plegada
dentro de la mitocondria( crestas )
• Interna permeable al agua encargada de la
respiración cel, proceso del que obtiene E
MITOCONDRIA
• MEMBRANA INTERNA
20% lípidos
80% proteínas
• MEMBRANA EXTERNA
40% lípidos
60% proteínas
PEROXISOMAS
• Son sacos que contienen enzimas
relacionadas que descomponen ac.grasos y
aminoácidos
• Utiliza el peroxido de H transformado en
H2O y O. El O lo utiliza para descomponer
alcohol y toxinas
GLIOXISOMAS
• Llevan acabo el ciclo del glioxilato que
convierte las grasas en carbohidratos dentro
del metabolismo celular
HIDROGENASAS
• En células bacterianas
• Degradan acido piruvico que es una
molécula intermedia en la degradación de
azucares durante la respiración celular para
producir H
MICROTÚBULOS
• Estructuras delgadas, cilíndricas, no
ramificadas y huecos. Contienen tubulina
• Función:
1. Se cree que tienen una función esquelética
2. Movimiento celular
CENTRIOLOS
• Cerca del núcleo
• Cuando la cel no se esta dividiendo hay 2
centríolos y se llama diplosoma
• Son centros de organización microtubular
en la DC, se dividen y forman el huso
CILIOS
• Prolongaciones semejantes a pelos, muy
numerosas en vías respiratorias altas,
aparato reproductor masculino y femenino
• Movimiento
FLAGELOS
• Más largos y menor cantidad que los cilios
• Movimiento de la célula
• Mover fluidos sobre células estáticas
MICROFILAMENTOS
• Están en contacto con microtubulos
• Son proteínas contráctiles de actina y
miosina
• Su función es esquelética y movimiento
VACUOLAS
• Llena de fluido y rodeadas de una membrana
• Almacena aminoácidos, azucares y desechos
•Ayuda al crecimiento de la célula
•Elemento de sostén de la célula
CLOROPLASTOS
• Plantas
• Utilizan energía solar en la fotosíntesis
para producir ATP
•Rodeado por una doble membrana
LEUCOPLASTOS
•PLANTAS
•CENTROS DE ALMACEMANIENTO DE
ALMIDÓN
•PAPA Y YUCA
CROMOPLASTOS
• Carecen de clorofila
• Tiene carotenoides que son la base de los
colores amarillo y rojo en frutas y flores
INCLUSIONES
CITOPLASMÁTICAS
1. Grasa: segregada en el citoplasma como
vacuolas rodeadas de membrana y gotitas
que contienen grasas neutras, ac grasos y
colesterol
2. Carbohidratos: se absorben en el intestino
como glucosa que luego se polimeriza
hasta glucogeno para almacenarse en el
hígado
3. Pigmentos
• Exógenos: se forman fuera del cuerpo y
son luego introducidos a el ( carotenos,
polvos, tatuajes )
• Endogenos: se forman dentro del cuerpo
( melanina y hemoglobina )
• Cristales: se encuentran en algunas células
como en testículo
celula efectos, funciones e importancia.
celula efectos, funciones e importancia.
celula efectos, funciones e importancia.
celula efectos, funciones e importancia.
celula efectos, funciones e importancia.
celula efectos, funciones e importancia.
celula efectos, funciones e importancia.
celula efectos, funciones e importancia.

celula efectos, funciones e importancia.

  • 2.
    LA CÉLULA GALILEO GALILEI:Primero en observarla en un microscopio. HOOKE: observo en un corcho celdillas y las llama célula VAN LEEUWENHOEK: vio animaculos muy pequeños en el sarro, espermatozoides y bact BROWN: 1820 el núcleo SCHWANN: los animales y plantas están formados de cels y productos celulares VIRCHOW: donde hay una cel, tiene que haber existido una anterior
  • 4.
    TEORÍA CELULAR ACTUAL •1.Todos los organismos están formados por células • 2.Reacciones químicas de los seres vivos tienen lugar dentro de la célula • 3.Provienen de otras • 4.Contiene información hereditaria y esta pasa a las cels hijas
  • 5.
    CELULA En el cuerpohay aprox. 50 millones de células Su forma se relaciona con su función: • Cels embrionarias: redondeadas • Neuronas: estrelladas • Epitelios: Geométrica
  • 6.
    CARACTERISTICAS DE LACELULA: • Capacidad de replicarse a si misma • Presencia de enzimas • Unidad estructural y funcional de los seres vivos, la parte mas pequeña que puede vivir independientemente • Elemento fundamental de los seres vivos • Tiene una membrana que la rodea y la separa del ambiente
  • 7.
    El cuerpo estaformado por cels, sust internas o extracelulares y líquidos corporales. Las cels establecen una estrecha relación con el medio tanto funcional como estructural. El medio es la matriz extracelular, proporciona transporte y facilita la nutrición
  • 8.
    TIPOS DE CÉLULAS •PROCARIOTAS 1. Muy pequeñas 2. Estructura interna simple rodeada por pared celular dura 3. Interior relativamente homogéneo 4. ADN único, enrollado, adherido a membrana plasmática y concentrado en nucleoide (no núcleo)
  • 9.
    • EUCARIOTAS 1. Masgrandes 2. Con organelas que proporcionan una organización estructural y funcional 3. Translucidos 4. A veces adquieren el color de pigmentos (hemoglobina) COMPONENTES núcleo Membrana celular citoplasma
  • 12.
    PARED CELULAR • Célulasvegetales • Superficie externa dura • De celulosa • Producida por la célula • Sostén del organismo vegetal
  • 14.
    MEMBRANA PLASMÁTICA Capa masdelgada que separa la materia viva de la célula del medio externo • 1.Aísla citoplasma • 2.Regula intercambio de sustancias esenciales entre citoplasma y medio • 3.Comunicación con otras cels • 4.Identifica cels pertenecientes a una espec
  • 15.
    MEMBRANA PLASMÁTICA COMPONENTES • LÍPIDOS:50% de masa de la membrana, doble capa, fundamento estructural • CARBOHIDRATOS: asociados a lípidos y proteínas • PROTEÍNAS: existen 4 tipos diferentes
  • 16.
    1. Proteína deadherencia 2. Proteína de comunicación intracelular: forma canal que conecta citoplasma 3. Proteína receptoras: anclaje para hormonas, desencadena cambios en actividad 4. Proteínas de reconocimiento: identifica a la cel como no perteneciente al ser o que si pertenece a este.
  • 19.
  • 20.
    NÚCLEO CELULAR Estructura +sobresaliente, es un centro de control y por lo general es único. FUNCIONES: Contiene ADN y tiene influencia directa sobre las actividades del citoplasma.
  • 21.
    NUCLEO CELULAR Esencial parala vida de las cels Las cels que no tienen, no pueden tener división celular También tienen una actividad metabólica limitada Entre el núcleo y el citoplasma hay intercambio constante de materiales
  • 24.
    ENVOLTURA NUCLEAR •Membrana doblede lípidos que rodea al núcleo, hay proteínas. •40 Mm. de grosor •Cara interna se relaciona con cromatina y material fibroso •Cara externa con los ribosomas •Su función es transferir materiales entre núcleo y citoplasma a través de poros
  • 26.
    CARIOPLASMA • Solución semilíquidaen la que están suspendidos la cromatina y nucleolos • Función: medio de difusión de macromoléculas
  • 27.
    CROMATINA ADN y proteínas Esla manifestación estructural de cromosomas en la interfase
  • 29.
    Nucleolo • ARN yproteínas que se unen y forman ribosomas • Se encuentran libres o adheridos a la cara interna de la envoltura nuclear
  • 30.
    CITOPLASMA Material dentro dela cel. Esta formado: • Citosol: parte fluida, esta sostenido por una red de micro filamentos llamado cito esqueleto. Este de forma a la cel y es responsable de los móv.. • Organelas: componentes estructurales de la cel, separadas por membranas. Realizan reacciones químicas por separado • Inclusiones: acumulos inertes de productos celulares
  • 32.
    RETÍCULO ENDOPLASMÁTICO RUGOSO • Tubosy canales interconectados en el citoplasma • Ribosomas se adhieren a el • Función: síntesis de proteína secretoria y su segregación del resto del citoplasma • Más donde se produce proteína
  • 35.
    RETÍCULO ENDOPLASMÁTICO LISO • Sepresentan en forma de tubulos, se pueden ramificar y establecer conexión con RER y con el aparato de golgi • En las cels hepáticas algunos fármacos son inactivados en el • Funciones: 1) Síntesis de horm asteroideas 2) Absorción de lípidos en intestino 3) Retículo sarcoplasmatico (mm esquelético) tiene función de contracción y regula concentración de calcio
  • 37.
    RIBOSOMAS • Contienen ARNy proteína • En ellos se agrupan aminoácidos para formar proteínas • Adheridos al RER o libres en citoplasma • Formados por 2 subunidades de ARN y PT • Se presentan en grupos unidos por un ARN (se les llama polisomas) • Se sintetizan en el núcleo y pasan al cito • Su función es sintetizar las proteínas
  • 39.
    APARATO DE GOLGHI •Son sacos membranosos que cambian continuamente su forma. Su Función es: 1. Recoger vesículas del RE, modificar sus membranas y contenidos e incorporan productos finales en vesículas de transp y los llevan a otros sitios de la cel (principalmente a la superficie celular) 2. Síntesis de productos de secreción 3. Formación de lisosomas
  • 42.
    LISOSOMAS • Sistema digestivointracelular, degrada material dentro y fuera de la cel • Tipos-1.primarios- están en reposo 2.secundarios- participan en la digestión, se forman por la unión de un primario con otro cuerpo con membrana • Contienen enzimas para digerir carbohidratos, pt, ácidos nucleicos, lípidos y cels • Tienen un papel importante en la defensa cel por destruir bacterias y hongos
  • 44.
    MITOCONDRIA • Fuente deATP que es la energía de la cel • Concentran Ca • Mantienen medio cálcico estable dentro del citoplasma • Número varía según la función metabólica de la célula (hígado y estomago +)(linfocitos -) • Membrana doble, capa ext lisa, int plegada dentro de la mitocondria( crestas ) • Interna permeable al agua encargada de la respiración cel, proceso del que obtiene E
  • 45.
    MITOCONDRIA • MEMBRANA INTERNA 20%lípidos 80% proteínas • MEMBRANA EXTERNA 40% lípidos 60% proteínas
  • 47.
    PEROXISOMAS • Son sacosque contienen enzimas relacionadas que descomponen ac.grasos y aminoácidos • Utiliza el peroxido de H transformado en H2O y O. El O lo utiliza para descomponer alcohol y toxinas
  • 49.
    GLIOXISOMAS • Llevan acaboel ciclo del glioxilato que convierte las grasas en carbohidratos dentro del metabolismo celular
  • 50.
    HIDROGENASAS • En célulasbacterianas • Degradan acido piruvico que es una molécula intermedia en la degradación de azucares durante la respiración celular para producir H
  • 51.
    MICROTÚBULOS • Estructuras delgadas,cilíndricas, no ramificadas y huecos. Contienen tubulina • Función: 1. Se cree que tienen una función esquelética 2. Movimiento celular
  • 53.
    CENTRIOLOS • Cerca delnúcleo • Cuando la cel no se esta dividiendo hay 2 centríolos y se llama diplosoma • Son centros de organización microtubular en la DC, se dividen y forman el huso
  • 55.
    CILIOS • Prolongaciones semejantesa pelos, muy numerosas en vías respiratorias altas, aparato reproductor masculino y femenino • Movimiento
  • 57.
    FLAGELOS • Más largosy menor cantidad que los cilios • Movimiento de la célula • Mover fluidos sobre células estáticas
  • 59.
    MICROFILAMENTOS • Están encontacto con microtubulos • Son proteínas contráctiles de actina y miosina • Su función es esquelética y movimiento
  • 60.
    VACUOLAS • Llena defluido y rodeadas de una membrana • Almacena aminoácidos, azucares y desechos •Ayuda al crecimiento de la célula •Elemento de sostén de la célula
  • 63.
    CLOROPLASTOS • Plantas • Utilizanenergía solar en la fotosíntesis para producir ATP •Rodeado por una doble membrana
  • 66.
  • 67.
    CROMOPLASTOS • Carecen declorofila • Tiene carotenoides que son la base de los colores amarillo y rojo en frutas y flores
  • 69.
    INCLUSIONES CITOPLASMÁTICAS 1. Grasa: segregadaen el citoplasma como vacuolas rodeadas de membrana y gotitas que contienen grasas neutras, ac grasos y colesterol 2. Carbohidratos: se absorben en el intestino como glucosa que luego se polimeriza hasta glucogeno para almacenarse en el hígado
  • 70.
    3. Pigmentos • Exógenos:se forman fuera del cuerpo y son luego introducidos a el ( carotenos, polvos, tatuajes ) • Endogenos: se forman dentro del cuerpo ( melanina y hemoglobina ) • Cristales: se encuentran en algunas células como en testículo