La célula eucariota:
el núcleo celular
Núcleo
 Elemento director de todas las
funciones celulares
 Portador de los factores
hereditarios.
 Conservación del DNA
 Duplicación de la célula
 Síntesis de proteínas
 Existe una interdependencia
estrecha entre núcleo-citoplasma
 Se presenta en dos estadios
diferentes que depende de la fase
del ciclo celular: interfásico y
división
Núcleo: forma, tamaño y nº
 Forma:
– Generalmente esférico y de
posición central
– Puede variar en función de la
actividad biosintética y del
estado de diferenciación;
arriñonados, lobulados..
 Tamaño:
– Variable
– Existe una relación constante
entre
vol.nuclear/vol.citoplasma
(10% del volumen celular)
– Aumenta cuando la célula
entra en división debido a la
duplicación del material
genético.
 Nº:
– Generalmente uno/célula
– Existen células plurinucleadas
Nucleo ariñonado de monocito
Nucleo lobulado
de neutrofilo
Origen células plurinucleadas
Sincitio:
Unión de células uninucleadas (célula muscular
estriada)
Plasmodio:
División del núcleo sin división del citoplasma
(huevos de la mayoría de los insectos)
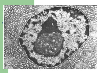
Estructura del núcleo interfásico
 Membrana nuclear
 Nucleoplasma
 Cromatina
 Nucleolo
Estructura
Membrana nuclear
 Barrera que regula el intercambio entre N-citoplasma
 Protege y aísla el material genético
 Origen:
– A partir del sistema de endomembranas (RER) tras la
mitosis manteniendo una continuidad con él.
– En su cara exterior existen ribosomas adheridos
 Estructura:
– Membrana doble, membrana nuclear externa e interna,
separadas entre sí por un espacio perinuclear interrumpida por
poros.
– Existe una conexión entre el lumen del RER y el espacio
perinuclear
Membrana nuclear y poros
Núcleo: Poro
 El poro nuclear tiene una estructura compleja formando el
llamado: complejo del poro
 Estructura:
– Anillos: estructuras anulares compuestas de ocho bloques
(proteínas) que se disponen en forma octogonal situadas en ambas
superficies , nuclear y en la citoplásmica
– Material anular amorfo: central
– Proteínas de anclaje: a la membrana externa e interna
– Componente fibrilar: proteínas que unen las estructuras anulares
– Lámina nuclear: componente fibrilar (filamentos intemedios)en la
cara interna de la membrana que regula las interacciones entre la
cromatina y la envoltura nuclear.
 Existen proteínas transportadoras: exportinas e inportinas, que
permiten el transporte a través del poro.
Membrana nuclear: poros
Poro nuclear
Detalle de los poros
 El nº de poros varía en función de la actividad
celular aumentando durante la actividad
trascripcional y en células poco diferenciadas
 Función:
– Permite el paso selectivo de sustancias entre núcleo y
citoplasma: ribonucleoproteínas, subunidades ribosómicas,
ARNm, ARNt..
– Permiten el paso libre de sustancias: iones, agua,
nucleótidos
Membrana nuclear: poros
 Medio interno acuoso, viscoso, que contiene la
cromatina, nucleolo.
 Aparece una serie de enzimas y proteínas
estructurales (DNA y RNA
polimerasas,histonas..) que se sintetizan en el
citoplasma siendo transportadas selectivamente
al núcleo. Ribonucleótidos
 Se encuentra la lámina nuclear (componente
fibrilar del citoesqueleto)
Nucleoplasma
Cromatina interfásica
 Constituye la expresión
citológica del material
genético
 Asociación del ADN-histonas
(nucleosoma); también
aparecen proteínas no
histónicas que intervienen en
la replicación, transcripción.
 Adosada a la lámina nuclear y
nucleolo e independiente
 Representa una respuesta a
la necesidad de condensar el
material genético
Estructura
de la
cromatina
 Existen dos formas: eucromatina y heterocromatina
– Heterocromatina (90%): representa estados de
hipercondensación, inactivos, no se transcriben.
– Se puede diferenciar dos tipos.
 Constitutiva:
– constituyen zonas vitales del cromosoma (telómeros, centrómeros,
organizador nucleolar).
– Existen zonas inactivadas (no existe trascripcion de ellas)
– Replicación tardía
– Contiene secuencias repetidas que podrían actuar como señales de
iniciación replicación o transcripción
 Facultativa:
– Solo se observa en ciertos tipos celulares o en ciertos momentos del
desarrollo.
– Responden a regiones que pueden ser inactivadas o activadas
permanentemente (cro.sexuales XX)
Cromatina
Cromatina
 Eucromatina (10%)
– Menos condensada
– Regiones activas
transcripcionales
 Estructura que aparece en el núcleo interfásico
 Presenta gran cantidad de ARN: constituye la fábrica
ribosomal
 Su función es la síntesis y ensamblaje de las
subunidades ribosómicas: Sintetiza los distintos tipos
de ARNr, ensamblándose a las proteínas ribosómicas
importadas del citoplasma formándose las subunidades
ribosómicas que saldrán a través de los poros.
 El tamaño está relacionado con la actividad celular y el
tipo de célula: normalmente las células con gran
actividad síntesis de proteínas está muy desarrollado
Nucleolo
Nucleolo
 Se forma a partir de los organizadores nucleolares de los
cromosomas que contienen genes repetidos dispuestos
en tandem para los ARNr (18, 28, 5,8s)
Nucleolo: estructura
 Se diferencian tres regiones.
– Centro fibrilar: se sitúan los genes que
codifican el ARNr (45s)
– Componente fibrilar denso: rodea al
fibrilar y a este nivel se produce la
transcripción de los genes
– Componente granular: donde se
ensamblan las subunidades
ribosómicas
El pocesamiento del primer ARNr transcrito 45s se produce a nivel
del nucleolo
Fabricación de ribosomas
Nucléolo
Cariotipo humano
Cariotipo de hámster
Síndrome de Down
Influencia de la edad materna
en el síndrome de Down
Cariotipo de un espermatozoide
Cromosoma
Cariotipo de una mujer
Cariotipo humano
Inversión
Tipos de cromosomas

La célula eucariota: el núcleo celular.ppt

  • 1.
    La célula eucariota: elnúcleo celular
  • 2.
    Núcleo  Elemento directorde todas las funciones celulares  Portador de los factores hereditarios.  Conservación del DNA  Duplicación de la célula  Síntesis de proteínas  Existe una interdependencia estrecha entre núcleo-citoplasma  Se presenta en dos estadios diferentes que depende de la fase del ciclo celular: interfásico y división
  • 3.
    Núcleo: forma, tamañoy nº  Forma: – Generalmente esférico y de posición central – Puede variar en función de la actividad biosintética y del estado de diferenciación; arriñonados, lobulados..  Tamaño: – Variable – Existe una relación constante entre vol.nuclear/vol.citoplasma (10% del volumen celular) – Aumenta cuando la célula entra en división debido a la duplicación del material genético.  Nº: – Generalmente uno/célula – Existen células plurinucleadas Nucleo ariñonado de monocito Nucleo lobulado de neutrofilo
  • 4.
    Origen células plurinucleadas Sincitio: Uniónde células uninucleadas (célula muscular estriada) Plasmodio: División del núcleo sin división del citoplasma (huevos de la mayoría de los insectos)
  • 5.
    Estructura del núcleointerfásico  Membrana nuclear  Nucleoplasma  Cromatina  Nucleolo
  • 6.
  • 8.
    Membrana nuclear  Barreraque regula el intercambio entre N-citoplasma  Protege y aísla el material genético  Origen: – A partir del sistema de endomembranas (RER) tras la mitosis manteniendo una continuidad con él. – En su cara exterior existen ribosomas adheridos  Estructura: – Membrana doble, membrana nuclear externa e interna, separadas entre sí por un espacio perinuclear interrumpida por poros. – Existe una conexión entre el lumen del RER y el espacio perinuclear
  • 9.
  • 10.
  • 11.
     El poronuclear tiene una estructura compleja formando el llamado: complejo del poro  Estructura: – Anillos: estructuras anulares compuestas de ocho bloques (proteínas) que se disponen en forma octogonal situadas en ambas superficies , nuclear y en la citoplásmica – Material anular amorfo: central – Proteínas de anclaje: a la membrana externa e interna – Componente fibrilar: proteínas que unen las estructuras anulares – Lámina nuclear: componente fibrilar (filamentos intemedios)en la cara interna de la membrana que regula las interacciones entre la cromatina y la envoltura nuclear.  Existen proteínas transportadoras: exportinas e inportinas, que permiten el transporte a través del poro. Membrana nuclear: poros
  • 12.
  • 13.
  • 14.
     El nºde poros varía en función de la actividad celular aumentando durante la actividad trascripcional y en células poco diferenciadas  Función: – Permite el paso selectivo de sustancias entre núcleo y citoplasma: ribonucleoproteínas, subunidades ribosómicas, ARNm, ARNt.. – Permiten el paso libre de sustancias: iones, agua, nucleótidos Membrana nuclear: poros
  • 15.
     Medio internoacuoso, viscoso, que contiene la cromatina, nucleolo.  Aparece una serie de enzimas y proteínas estructurales (DNA y RNA polimerasas,histonas..) que se sintetizan en el citoplasma siendo transportadas selectivamente al núcleo. Ribonucleótidos  Se encuentra la lámina nuclear (componente fibrilar del citoesqueleto) Nucleoplasma
  • 16.
    Cromatina interfásica  Constituyela expresión citológica del material genético  Asociación del ADN-histonas (nucleosoma); también aparecen proteínas no histónicas que intervienen en la replicación, transcripción.  Adosada a la lámina nuclear y nucleolo e independiente  Representa una respuesta a la necesidad de condensar el material genético
  • 17.
  • 18.
     Existen dosformas: eucromatina y heterocromatina – Heterocromatina (90%): representa estados de hipercondensación, inactivos, no se transcriben. – Se puede diferenciar dos tipos.  Constitutiva: – constituyen zonas vitales del cromosoma (telómeros, centrómeros, organizador nucleolar). – Existen zonas inactivadas (no existe trascripcion de ellas) – Replicación tardía – Contiene secuencias repetidas que podrían actuar como señales de iniciación replicación o transcripción  Facultativa: – Solo se observa en ciertos tipos celulares o en ciertos momentos del desarrollo. – Responden a regiones que pueden ser inactivadas o activadas permanentemente (cro.sexuales XX) Cromatina
  • 19.
    Cromatina  Eucromatina (10%) –Menos condensada – Regiones activas transcripcionales
  • 20.
     Estructura queaparece en el núcleo interfásico  Presenta gran cantidad de ARN: constituye la fábrica ribosomal  Su función es la síntesis y ensamblaje de las subunidades ribosómicas: Sintetiza los distintos tipos de ARNr, ensamblándose a las proteínas ribosómicas importadas del citoplasma formándose las subunidades ribosómicas que saldrán a través de los poros.  El tamaño está relacionado con la actividad celular y el tipo de célula: normalmente las células con gran actividad síntesis de proteínas está muy desarrollado Nucleolo
  • 21.
    Nucleolo  Se formaa partir de los organizadores nucleolares de los cromosomas que contienen genes repetidos dispuestos en tandem para los ARNr (18, 28, 5,8s)
  • 22.
    Nucleolo: estructura  Sediferencian tres regiones. – Centro fibrilar: se sitúan los genes que codifican el ARNr (45s) – Componente fibrilar denso: rodea al fibrilar y a este nivel se produce la transcripción de los genes – Componente granular: donde se ensamblan las subunidades ribosómicas El pocesamiento del primer ARNr transcrito 45s se produce a nivel del nucleolo
  • 23.
  • 24.
  • 25.
  • 26.
  • 27.
  • 28.
    Influencia de laedad materna en el síndrome de Down
  • 29.
    Cariotipo de unespermatozoide
  • 30.
  • 31.
  • 32.
  • 33.
  • 34.