Hay tuberculosis en el
colegio, ¿Qué hago?
Aránzazu Garza Espí
Lidia Cardiel Valiente
Centro de Salud Fuentes Norte
Mycobacterium tuberculosis
Transmisión vía respiratoria (pacientes bacilíferos)
Los niños no suelen ser
bacilíferos.
Incidencia mundial 2012:14/100,000
España 2012: 13,1/100,000
<15 años 2012: 5,4/100,000
Uno de los problemas sanitarios más importantes en
el mundo.
E. Rodríguez, S. Villarrubia, O. Díaz, O. Tello. Situación epidemiológica de la tuberculosis en España.
2012. Boletin epidemiológico semanal. 2013. Vol. 21. nº 11. 125-142
Problemas en edad pediátrica
Mayor probabilidad de progresión desde
infección a enfermedad, incluidas formas
graves y extrapulmonares.
Problemas
- Diagnósticos: discernir entre infección y
enfermedad.
- Terapéuticas: escasos estudios,
cumplimentación.
Caso Índice
Niño de 14 años ingresado en Hospital Infantil
Miguel Servet por tuberculosis pulmonar
bacilífera con clínica de tos de meses de
evolución….
Todo el mundo está muy preocupado. Acude la
madre de un niño del barrio de 10 años, que no
asistía al colegio de nuestro paciente, por si su hijo
padece esa enfermedad. Tras realizar una
anamnesis, el paciente se encuentra asintomático.
¿Qué debería hacer?
a) Realizamos prueba de Mantoux
b) Realizamos Rx tórax
c) a y b
d) Derivamos al Hospital para estudio.
e) no hacemos nada
Fisiopatología
Identificar contactos
Estudio contactos
1)Alta prioridad:
Contacto >6 horas/día
<5 años
Inmunodeprimidos
2) Prioridad media:
Contacto diario
< 6 horas
3) Baja prioridad:
Contacto esporádico
No diario
Acude al centro de salud, un compañero de la
misma clase. ¿Qué actuación se debería realizar?
a) Realizamos prueba de Mantoux
b) Realizamos Rx tórax
c) a y b
d) Derivamos al Hospital para estudio.
e) no hacemos nada
Mantoux
Administrar intradérmicamente
componentes antigénicos del bacilo
(PPD o derivado proteico
purificado)
Lectura 72 h:induración del
diámetro máximo transversal al eje
mayor del brazo
Estudio contactos
Interpretación Mantoux
Induración >5 mm Positivo si Induración >10 mm
Niños contacto íntimo caso
índice
Niños sospechosos de
enfermedad tuberculosa clínica
o radiológica
Inmunodeprimidos
Conversión reciente Mantoux
previamente negativo
Positivo siempreincluido:
Inmigrante
Cribado niño sano
Independiente vacunación BCG
Consenso SEIP-SENP sobre el diagnóstico de la tuberculosis en la edad pediátrica. An Pediatr (Barc).
2010;73(3):143.e1–143.e14
El resultado del Mantoux es negativo. ¿Qué
actuación está indicada acontinuación?
a) Rx tórax
b) No hacemos nada
c) Repetimos Mantoux 8-12 semanas
d) Instauramos tratamiento
de tuberculosis
En los contactos de un paciente bacilífero, en
quienes Mantoux salga negativo
Repetir en 8-12 semanas para descartar un
contacto muy reciente.
En la familia del caso índice, conviven 3 niños sanos
de edades entre los 23 meses y 6 años. La pediatra
realiza la prueba de Mantoux con resultado en todos
los casos >10 mm.
¿Qué deberíamos realizar a continuación?
a) Rx tórax
b) No hacemos nada, los pacientes no son
inmunodeprimidos
c) Derivamos al paciente para ingreso
d) Instauramos tratamiento
de tuberculosis
Radiografía tórax
Contactos íntimos: SIEMPRE
Independiente resultado Mantoux
Resto de casos: Mantoux +
Lactante 23 meses Niño de 5 años
Afectación parenquimatosa hiliar
izquierda.
Consolidación lobar superior incluida
língula
Niña 6 años
Consolidación lobar superior izquierda
Ante estos hallazgos radiológicos…..
a) es necesario tratamiento pero no realización de
más pruebas complementarias, es una
tuberculosis
b) Ingresamos para diagnostico microbiológico con
expectoración y tratamiento
c) Ingresamos para diagnostico microbiológico
mediante jugo gástrico y tratamiento
Radiología alterada
Estudios microbiológicos.
Estudio en jugo gástrico, 3 muestras en ayunas
mediante sonda nasogástrica en días consecutivos.
Sensibilidad 30-40%
Se realizará baciloscopia, cultivo y PCR
micobacterias
Resultados
• Baciloscopia directa (Ziehl-Neelsen) NoBAAR
• Baciloscopia tras descontaminación (Auramina): no BAAR
• Cultivo Micobacterias: Mycobacterium tuberculosis
• PCR Mycobacterium tuberculosis complex: Positiva
¿Qué tratamiento es el más indicado para estos
pacientes?
a) Isoniacida+Pirazinamina+ Rifampicina+
Etambutol 2 meses y Isonizida, Rifampicina,
durante 4 meses.
b) Isoniazida durante 2 meses
c) Isoniazida durante 9 meses.
Clasificar estadio enfermedad
Infección probable Contacto reciente TBC
Mantoux negativo
Asintomático
Infección TBC latente Mantoux +
Asintomático + Rx tórax
normal
Enfermedad TBC Dx certeza: cultivo/PCR
+ TBC
Dx sospecha:
clínica+Rx+analítica
Paciente pediátrico ENFERMO tuberculosis
2 meses Isoniacida+Pirazinamina+ Rifampicina+ Etambutol
Suspenderemos Etambutol si sensible
4 meses Isoniacida+Rifampicina
Efecto adverso más frecuente:
HEPATOTOXICIDAD
IsoniacidaAjustar dosis 5
mg/Kg/día
Acude un compañero de clase. Le hemos realizado
el Mantoux en el centro de salud y el resultado es
POSITIVO. Le realizamos la radiografía de tórax y
es normal. ¿Qué hacemos?
a) Piracinamida y Etambutol 2 meses + Isonizida,
Rifampicina, durante 6 meses.
b) Isoniazida durante 2 meses
c) Isoniazida durante 9 meses.
d) Nada
Clasificar estadio enfermedad
Infección probable Contacto reciente TBC
Mantoux negativo
Asintomático
Infección TBC latente Mantoux +
Asintomático + Rx tórax
normal
Enfermedad TBC Dx certeza: cultivo/PCR
+ TBC
Dx sospecha:
clínica+Rx+analítica
Paciente pediátrico TBC LATENTE:
9 meses Isoniazida 5-10 mg/Kg/día (12 m ID)
Pauta intermitente: No es fácil asegurar el
cumplimiento
 Isoniazida 15 mg/Kg/día x3 días semana (6-9 meses)
 El primer mes se hará de manera diaria.
Paciente pediátrico INFECCIÓN PROBABLE:
2 meses Isoniazida 5-10 mg/Kg/d (máx 300 mg/día)
Importancia
Primoinfección tuberculosa instaurar tratamiento evitar
progresión a enfermedad y formas graves diseminadas.
Papel pediatra atención primaria
Implicarse en búsqueda de contactos caso de TBC
Mantoux expuestos, profilaxis
Ayuda en el seguimiento del paciente en tratamiento
Informador sanitario pacientes bajo riesgo
Seguimiento
Cumplimiento
Efectos secundarios
Evaluar respuesta clínica y radiológica
1. Control médico mensual.
2. No analíticos excepto: mala evolución, toxicidad,
enfermedad hepática. (Valorar realizar cada 2 meses)
3. Rx tórax: 2 meses y final tratamiento
Si ha completado el tratamiento y
asintomático la persitencia alteraciones
radiológicas no implica mala evolución.
Resumen Algoritmo
CONTACTO TBC
Isoniazida 5-10 mg/Kg
2-3 meses
Isoniazida 5 -10 mg/Kg
9 meses
 A. Méndez Echevarría, F. Baquero-Artigao.Tuberculosis pulmonar. Pediatr Integral 2012; XVI(2):
149-155.
 D. Moreno-Pérez, A. Andrés Martín, N. Altet Gómez, F. Baquero-Artigao, A. Escribano Montaner, D.
Gómez-Pastrana Durán et al. Diagnóstico de la tuberculosis en la edad pediátrica. Documento de
consenso de la Sociedad Española de Infectologá Pediátrica (SEIP) y la Sociedad Española de
Neumología Pediátrica (SENP). An Pediatr (Barc). 2010;73(3):143.e1–143.e14.
 F. Teruel, J. Castilla, J. Hueto. Abordaje de la tuberculosis en Atención Primaria. Estudio de
contactos. An. Sist. Sanit. Navar. 2007; 30 (Supl. 2): 87-98.
 J. Uberos Fernández. Tuberculosis en pediatría: Revisión del protocolo de tratamiento. Bol. SPAO
2008; 2 (2)
 López-López AG, Garnica-Torrico F, Lopez-Montecinos M. Diagnóstico de tuberculosis pulmonar en
pediatría. Rev Méd-Cient “Luz Vida”. 2012;3(1):42-47.
 J. Pericas Bosch y grupo PrevInfad/PAPPS infancia y adolescencia. Cribado tuberculínico;
prevención de la tuberculosis. Rev Pediatr Aten Primaria. 2011; 13:611-28.
 A. Méndez Echevarría, M.J. Mellado Peña, F. Baquero Artigao, M.J. García Miguel. Protocolos
diagnóstico-terapéuticos de la AEP: Infectología pediátrica
 M.P. González Rodríguez. Tuberculosis pulmonar en la infancia. Pediatr Integral 2004;VIII(1):57-66.
 Grupo de trabajo de la Guía de Práctica Clínica sobre el Diagnóstico, el Tratamiento y la Prevención
de la Tuberculosis. Centro Cochrane Iberoamericano, coordinador. Guía de Práctica Clínica sobre el
Diagnóstico, el Tratamiento y la Prevención de la Tuberculosis. Plan de Calidad para el Sistema
Nacional de Salud del Ministerio de Sanidad, Política Social e Igualdad. Agència d´Informació,
Avaluació i Qualitat en Salut (AIAQS) de Cataluña; 2009.
 Grupo de trabajo de Tuberculosis de la Sociedad Española de Infectología Pediátrica. Documento de
consenso sobre el tratamiento de la tuberculosis pulmonar en niños. An Pediatr (Barc).
2007;66(6):597-602
 C. Figueras. Tuberculosis en el paciente pediátrico: protocolo diagnóstico-terapeutico y de
seguimiento epidemiológico. Unidad de patología infecciosa e inmunodeficiencias de pediatria.
Hospital Vall D’Hebron. Junio 2008.
 E. Rodríguez, S. Villarrubia, O. Díaz, O. Tello. Situación epidemiológica de la tuberculosis en España,
2012. Boletín epidemiológico semanal; Vol 21, No 11 (2013): Semanas 33-34-35-36.
http://revista.isciii.es/index.php/bes/article/view/821
tuberculosis.ppt

tuberculosis.ppt

  • 1.
    Hay tuberculosis enel colegio, ¿Qué hago? Aránzazu Garza Espí Lidia Cardiel Valiente Centro de Salud Fuentes Norte
  • 2.
    Mycobacterium tuberculosis Transmisión víarespiratoria (pacientes bacilíferos) Los niños no suelen ser bacilíferos. Incidencia mundial 2012:14/100,000 España 2012: 13,1/100,000 <15 años 2012: 5,4/100,000 Uno de los problemas sanitarios más importantes en el mundo. E. Rodríguez, S. Villarrubia, O. Díaz, O. Tello. Situación epidemiológica de la tuberculosis en España. 2012. Boletin epidemiológico semanal. 2013. Vol. 21. nº 11. 125-142
  • 3.
    Problemas en edadpediátrica Mayor probabilidad de progresión desde infección a enfermedad, incluidas formas graves y extrapulmonares. Problemas - Diagnósticos: discernir entre infección y enfermedad. - Terapéuticas: escasos estudios, cumplimentación.
  • 4.
    Caso Índice Niño de14 años ingresado en Hospital Infantil Miguel Servet por tuberculosis pulmonar bacilífera con clínica de tos de meses de evolución….
  • 6.
    Todo el mundoestá muy preocupado. Acude la madre de un niño del barrio de 10 años, que no asistía al colegio de nuestro paciente, por si su hijo padece esa enfermedad. Tras realizar una anamnesis, el paciente se encuentra asintomático. ¿Qué debería hacer? a) Realizamos prueba de Mantoux b) Realizamos Rx tórax c) a y b d) Derivamos al Hospital para estudio. e) no hacemos nada
  • 7.
  • 8.
    Estudio contactos 1)Alta prioridad: Contacto>6 horas/día <5 años Inmunodeprimidos 2) Prioridad media: Contacto diario < 6 horas 3) Baja prioridad: Contacto esporádico No diario
  • 9.
    Acude al centrode salud, un compañero de la misma clase. ¿Qué actuación se debería realizar? a) Realizamos prueba de Mantoux b) Realizamos Rx tórax c) a y b d) Derivamos al Hospital para estudio. e) no hacemos nada
  • 10.
    Mantoux Administrar intradérmicamente componentes antigénicosdel bacilo (PPD o derivado proteico purificado) Lectura 72 h:induración del diámetro máximo transversal al eje mayor del brazo Estudio contactos
  • 11.
    Interpretación Mantoux Induración >5mm Positivo si Induración >10 mm Niños contacto íntimo caso índice Niños sospechosos de enfermedad tuberculosa clínica o radiológica Inmunodeprimidos Conversión reciente Mantoux previamente negativo Positivo siempreincluido: Inmigrante Cribado niño sano Independiente vacunación BCG Consenso SEIP-SENP sobre el diagnóstico de la tuberculosis en la edad pediátrica. An Pediatr (Barc). 2010;73(3):143.e1–143.e14
  • 12.
    El resultado delMantoux es negativo. ¿Qué actuación está indicada acontinuación? a) Rx tórax b) No hacemos nada c) Repetimos Mantoux 8-12 semanas d) Instauramos tratamiento de tuberculosis
  • 13.
    En los contactosde un paciente bacilífero, en quienes Mantoux salga negativo Repetir en 8-12 semanas para descartar un contacto muy reciente.
  • 14.
    En la familiadel caso índice, conviven 3 niños sanos de edades entre los 23 meses y 6 años. La pediatra realiza la prueba de Mantoux con resultado en todos los casos >10 mm. ¿Qué deberíamos realizar a continuación? a) Rx tórax b) No hacemos nada, los pacientes no son inmunodeprimidos c) Derivamos al paciente para ingreso d) Instauramos tratamiento de tuberculosis
  • 15.
    Radiografía tórax Contactos íntimos:SIEMPRE Independiente resultado Mantoux Resto de casos: Mantoux +
  • 16.
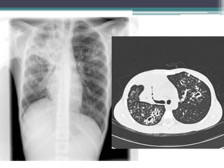
    Lactante 23 mesesNiño de 5 años Afectación parenquimatosa hiliar izquierda. Consolidación lobar superior incluida língula
  • 17.
    Niña 6 años Consolidaciónlobar superior izquierda
  • 18.
    Ante estos hallazgosradiológicos….. a) es necesario tratamiento pero no realización de más pruebas complementarias, es una tuberculosis b) Ingresamos para diagnostico microbiológico con expectoración y tratamiento c) Ingresamos para diagnostico microbiológico mediante jugo gástrico y tratamiento
  • 19.
    Radiología alterada Estudios microbiológicos. Estudioen jugo gástrico, 3 muestras en ayunas mediante sonda nasogástrica en días consecutivos. Sensibilidad 30-40% Se realizará baciloscopia, cultivo y PCR micobacterias
  • 20.
    Resultados • Baciloscopia directa(Ziehl-Neelsen) NoBAAR • Baciloscopia tras descontaminación (Auramina): no BAAR • Cultivo Micobacterias: Mycobacterium tuberculosis • PCR Mycobacterium tuberculosis complex: Positiva
  • 21.
    ¿Qué tratamiento esel más indicado para estos pacientes? a) Isoniacida+Pirazinamina+ Rifampicina+ Etambutol 2 meses y Isonizida, Rifampicina, durante 4 meses. b) Isoniazida durante 2 meses c) Isoniazida durante 9 meses.
  • 22.
    Clasificar estadio enfermedad Infecciónprobable Contacto reciente TBC Mantoux negativo Asintomático Infección TBC latente Mantoux + Asintomático + Rx tórax normal Enfermedad TBC Dx certeza: cultivo/PCR + TBC Dx sospecha: clínica+Rx+analítica
  • 23.
    Paciente pediátrico ENFERMOtuberculosis 2 meses Isoniacida+Pirazinamina+ Rifampicina+ Etambutol Suspenderemos Etambutol si sensible 4 meses Isoniacida+Rifampicina Efecto adverso más frecuente: HEPATOTOXICIDAD IsoniacidaAjustar dosis 5 mg/Kg/día
  • 24.
    Acude un compañerode clase. Le hemos realizado el Mantoux en el centro de salud y el resultado es POSITIVO. Le realizamos la radiografía de tórax y es normal. ¿Qué hacemos? a) Piracinamida y Etambutol 2 meses + Isonizida, Rifampicina, durante 6 meses. b) Isoniazida durante 2 meses c) Isoniazida durante 9 meses. d) Nada
  • 25.
    Clasificar estadio enfermedad Infecciónprobable Contacto reciente TBC Mantoux negativo Asintomático Infección TBC latente Mantoux + Asintomático + Rx tórax normal Enfermedad TBC Dx certeza: cultivo/PCR + TBC Dx sospecha: clínica+Rx+analítica
  • 26.
    Paciente pediátrico TBCLATENTE: 9 meses Isoniazida 5-10 mg/Kg/día (12 m ID) Pauta intermitente: No es fácil asegurar el cumplimiento  Isoniazida 15 mg/Kg/día x3 días semana (6-9 meses)  El primer mes se hará de manera diaria. Paciente pediátrico INFECCIÓN PROBABLE: 2 meses Isoniazida 5-10 mg/Kg/d (máx 300 mg/día)
  • 27.
    Importancia Primoinfección tuberculosa instaurartratamiento evitar progresión a enfermedad y formas graves diseminadas. Papel pediatra atención primaria Implicarse en búsqueda de contactos caso de TBC Mantoux expuestos, profilaxis Ayuda en el seguimiento del paciente en tratamiento Informador sanitario pacientes bajo riesgo
  • 28.
    Seguimiento Cumplimiento Efectos secundarios Evaluar respuestaclínica y radiológica 1. Control médico mensual. 2. No analíticos excepto: mala evolución, toxicidad, enfermedad hepática. (Valorar realizar cada 2 meses) 3. Rx tórax: 2 meses y final tratamiento Si ha completado el tratamiento y asintomático la persitencia alteraciones radiológicas no implica mala evolución.
  • 29.
    Resumen Algoritmo CONTACTO TBC Isoniazida5-10 mg/Kg 2-3 meses Isoniazida 5 -10 mg/Kg 9 meses
  • 30.
     A. MéndezEchevarría, F. Baquero-Artigao.Tuberculosis pulmonar. Pediatr Integral 2012; XVI(2): 149-155.  D. Moreno-Pérez, A. Andrés Martín, N. Altet Gómez, F. Baquero-Artigao, A. Escribano Montaner, D. Gómez-Pastrana Durán et al. Diagnóstico de la tuberculosis en la edad pediátrica. Documento de consenso de la Sociedad Española de Infectologá Pediátrica (SEIP) y la Sociedad Española de Neumología Pediátrica (SENP). An Pediatr (Barc). 2010;73(3):143.e1–143.e14.  F. Teruel, J. Castilla, J. Hueto. Abordaje de la tuberculosis en Atención Primaria. Estudio de contactos. An. Sist. Sanit. Navar. 2007; 30 (Supl. 2): 87-98.  J. Uberos Fernández. Tuberculosis en pediatría: Revisión del protocolo de tratamiento. Bol. SPAO 2008; 2 (2)  López-López AG, Garnica-Torrico F, Lopez-Montecinos M. Diagnóstico de tuberculosis pulmonar en pediatría. Rev Méd-Cient “Luz Vida”. 2012;3(1):42-47.  J. Pericas Bosch y grupo PrevInfad/PAPPS infancia y adolescencia. Cribado tuberculínico; prevención de la tuberculosis. Rev Pediatr Aten Primaria. 2011; 13:611-28.  A. Méndez Echevarría, M.J. Mellado Peña, F. Baquero Artigao, M.J. García Miguel. Protocolos diagnóstico-terapéuticos de la AEP: Infectología pediátrica  M.P. González Rodríguez. Tuberculosis pulmonar en la infancia. Pediatr Integral 2004;VIII(1):57-66.  Grupo de trabajo de la Guía de Práctica Clínica sobre el Diagnóstico, el Tratamiento y la Prevención de la Tuberculosis. Centro Cochrane Iberoamericano, coordinador. Guía de Práctica Clínica sobre el Diagnóstico, el Tratamiento y la Prevención de la Tuberculosis. Plan de Calidad para el Sistema Nacional de Salud del Ministerio de Sanidad, Política Social e Igualdad. Agència d´Informació, Avaluació i Qualitat en Salut (AIAQS) de Cataluña; 2009.  Grupo de trabajo de Tuberculosis de la Sociedad Española de Infectología Pediátrica. Documento de consenso sobre el tratamiento de la tuberculosis pulmonar en niños. An Pediatr (Barc). 2007;66(6):597-602  C. Figueras. Tuberculosis en el paciente pediátrico: protocolo diagnóstico-terapeutico y de seguimiento epidemiológico. Unidad de patología infecciosa e inmunodeficiencias de pediatria. Hospital Vall D’Hebron. Junio 2008.  E. Rodríguez, S. Villarrubia, O. Díaz, O. Tello. Situación epidemiológica de la tuberculosis en España, 2012. Boletín epidemiológico semanal; Vol 21, No 11 (2013): Semanas 33-34-35-36. http://revista.isciii.es/index.php/bes/article/view/821

Notas del editor

  • #29 >50 % de los niños no Rx normales al final del tratamiento lo que no significa una mala respuesta a la terapia establecida ni necesidad de prolongar más tiempo el tratamiento, si existió cumplimiento y el niño no tiene evidencia clínica de enfermedad.