Diagnóstico  de la tuberculosis en niños José T. Ramos  Servicio de Pediatría Hospital U. de Getafe  CS El Greco 29-marzo-2011
Introducción TBC presenta un  impacto muy importante en la salud mundial Prevalencia Gravedad, más en < 4 años e ID  Fácil diseminación Dificultad de diagnóstico , más en niños Latencia prolongada Sintomatología inespecífica Baja sensibilidad microbiológica Dificultad de tratamiento Tratamientos prolongados; falta de formulación ped. Resistencias
TB- pandemia global
TB- pandemia global  VIH- sindemia Globalmente 1/6  de nuevos diagnósticos de TBC son VIH+ “ 2 enfermedades-un paciente” estrategia de control OMS TB/HIV  http://www.who.int/tb/hiv
- > 9 x 10 6  casos en el mundo en 2008: Incidencia 139 / 100.000 hab. - Segunda causa de mortalidad de etiología infecciosa en el mundo - Asia y Africa: 86 %   - Europa gran variabilidad entre países - Europa: Prevalencia de Resistencia en nuevos Dx 14% - España: incidencia 18.4 /100.000 habitantes (30% inmigrantes) Casos de TB en España (2009) Impacto actual de TB en el mundo
 
Dx precoz Caso índice    8-12 casos secundarios  Caso 2º Enfermedad 10%   TBL 90% 5% primeros 2 años 5% Resto vida *  Descenso en incidencia: 13 CC.AA. (1998) tasa de incidencia: 38,4 casos/100.000 hab., variable entre CC.AA.       Incidencia actual 18.4 casos/ 100.000 habitantes * Aumento en la proporción de inmigrantes y TB resistente * 3 períodos de la vida asociados con riesgo de progresión:  - Infancia (sobre todo los 4 primeros años de vida),  - Entre los 15 y los 25 años y - Edad avanzada TB  epidemiología
Ordovas-Gabin N, Rev Esp Salud Pub 2007; 81:597
 
 
 
Casos de TBC infantil en la CAM en 2006
TB: factores de riesgo Máximo riesgo: 5 años tras la llegada al país Riesgo de enfermar sin QP según  edad : 1º año vida: 43% 1-5 años: 24% 11-15 años: 15% Condiciones vida,  hacinamiento, falta de higiene ,  dificultad acceso a  servicios salud, VIH Importancia  cribado del Mantoux   en población de riesgo
Definiciones Committe of Infectious Diseases AAP. Red Book. 2009 Mantoux:  test de la tuberculina IGRAs:  IF-   relase assay (prueba de liberación de IF-  ) Ambas indican posible infección con  M. tuberculosis  complex Contacto o exposición a TBC Aquél que se produce con persona con enfermedad TBC contagiosa; Mantoux/IGRAs, Rx tórax y clínica negativos  Infección TBC (latente) Individuo con Mantoux +, clínica y Rx tórax negativas  Enfermedad TBC.   ITBL con clínica y/o Rx tórax positivos TBC multirresistente (Multiply drug-resistant-MDR) Resistente, al menos, a INH y RFP TBC XDR :  TBC MDR + R ≥ 1 FQ + AMK, KNM o CPRM
Historia natural de la TBC en niños Exposición a TBC sin evidencia de infección Infección TBC latente Enfermedad TBC  Adolescentes y adultos: con frecuencia reactivación
El responsable del diagnóstico, del estudio de contactos de TB y cumplimiento terapéutico, no es el paciente ni sus padres...,  es el sistema sanitario Un diagnóstico de infección o  enfermedad tuberculosa en un  niño  es un  evento centinela  que representa la  transmisión reciente  de  M. tuberculosis  en la comunidad An Esp Ped 2000; 53: 449-57
Diagnóstico Historia de contacto u otros  factores epidemiológicos Signos y síntomas  clínicos  Alto índice de sospecha Positividad de pruebas inmunológicas:  Mantoux/IGRAs Alteraciones  radiológicas Detección  microbiológica
Diagnóstico de TBC DIRECTO Confirmación microbiológica   INDIRECTO Epidemiológico Clínico-radiológico PPD (Mantoux)
Rentabilidad pruebas diagnósticas Mantoux   (85-90%). Falsos + Baciloscopia de   jugo gástrico / esputo y cultivo de esputo/jugo gástrico (30%-40%) 80% en lactantes con enfermedad endobronquial avanzada Esputo inducido /aspirado nasofaríngeo = sensibilidad jugo gástrico  PCR en tejidos y fluidos (60%) Radiología  (75%) y TC (90%) -Zar HJ. The Lancet. 2005; 365:130-134 -Hatherill M. Arch Dis Child 2009;94:195-201 - Owens S. Arch Dis Child. 2007;92:693-6
Mantoux Derivado proteico purificado, filtrado del cultivo de  Mycobacterium tuberculosis,  esterilizado y concentrado Intradérmica, aguja calibre 26. 0,1 ml (2U de tuberculina PPD RT-23), pápula 6-10 mm Lectura: 48-72 h Reactividad a las 2-10 (3-4)  semanas de la infección  inicial Induración: en mm (no +/-)
Mantoux (PPD): 0,1 ml intradérmico: 2 UI-RT23
PPD (+):  >  5 mm en niños de riesgo  SEIP.An Esp Ped 2003;59:582 PPD (+):  >  10 mm en cualquier otro caso
Moreno D. An Esp Ped 2010; 4: 283e1-283e14 Documento de consenso SEIP 2010 AAP : 15 mm en niños sanos, sin FR, > 4 años
Mantoux: valor predictivo Falsos positivos Vacuna  BCG  (cepas atenuadas de  M. bovis ) Infección por  micobacterias atípicas Rotura de vaso o infección en la zona de inyección Falsos negativos (10-40%).   Individuo:  infecciones, vacunas virus vivos, depleción proteica, neoplasias, ID o IS, edad Tuberculina:  almacenamiento, contaminación Método de administración Lectura inadecuada
Cuándo realizar Mantoux?: Documento de consenso SEIP Moreno D. An Esp Ped 2010; 4: 283e1-283e14
Prevalencia de TB-latente en niños en España 2004  Málaga   2117  > 5  1.16  Del Río Camacho
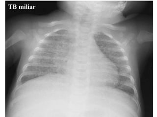
Rx tórax Niño: primoinfección. Patrón muy variable Adenopatías  hiliares ó mediastínicas: muy llamativas vs infiltrado Hiperinsuflación segmentaria y/o atelectasia (enfisema obstructivo <2 años)  Consolidación alveolar ó intersticial Derrame pleural  TBC miliar Adolescente: reactivación Cavitación Derrame pleural
TB miliar
 
 
 
 
TC  tórax  en la TB infantil ITBL (PPD positivo y asintomáticos)  50%-63% TC adenopatías ¿Qué significado tienen los ganglios  descubiertos en TC? ¿Son indicativos de enfermedad tuberculosa? ¿Hay indicación de tratamiento distinto? Considerar TC en <  2 años, contacto con TB-R,  o niños sintomáticos Moreno D. Anal Esp Ped 2010; 4: 283e1-283e14
TBC latente: PPD (+). Rx Tórax normal TBC activa: PPD (+).  Rx Tórax anormal o    clínica otra localización Diagnóstico Rx: Rx Tórax A-P y lateral: 10% PPD (+)   CT Tórax: No justificado habitualmente Broncoscopia fibro-óptica puede ser útil en algunos casos de  TBC:  establece compromiso bronquial, grado obstrucción, y necesidad de corticoides.   Diagnóstico de TB pulmonar
Macrófagos alveolares fagocitan  M.tuberculosis   Linfocitos T CD4 (Th1)   Natural Killer   IL-12 IFN-γ  IFN-γ   Nuevas técnicas diagnósticas para TBC Fisiopatología  de la infección TBC Inmunodiagnóstico :   producción de IFN-γ tras estímular linfocitos T con antígenos  ESPECÍFICOS  de  M. tuberculosis=  IGRAS (Interferón-   release assays) Ausentes en  M. bovis , en Bacilo de Calmette-Guérin (BCG) y mayoría de MA; excepción: M . kansasii, M. szulgai  y  M. marinum
Nuevas técnicas diagnósticas “in vitro”de TB. Tipos de IGRA: QuantiFERON-TB   ( Cellestis, Victoria y Australia ) Medición directa   T-SPOT.TB   (Oxford Immunotec, Oxford, UK) Medición a través de inmunofluorescencia
Sensibilidad Entre un 67%-87%  En caso de síntomas sugestivos un resultado (-) no excluye TB Especificidad QTF y ST 92%-100% PPD 56%-80% Especificidad superior a Mantoux No discrimina infección latente y enfermedad Faltan estudios en ID, para predecir progresión de ITBL a TB o para monitorización. También en < 4 años IGRAs
459 niños (318 no infectados, 73 ITBL y 68 ETB) Edad media 4,7± 3,6 años; 46% BCG 98% ETB QTF +; 99% no infectados presentaron QTF   Resultados discordantes:  ITBL (52%) vs niños no infectados o ETB (0,7%) (p<0,01).  92% discordantes fueron  Mantoux (+) y QTF (-) Porcentaje de niños con  ITBL   vacunados de   BCG   fue de un   76% en caso de QTF (–) vs 40% si QTF +  (p=0,003) Los casos de ITBL con QTF - presentaron <  induración (13 mm) que los de ITBL con QTF + (18 mm) (p<0,01)  Conclusiones : > % de  QTF -  en niños con  ITBL y BCG Utilidad QTF-TB gold test in tube en el diagnóstico de la ITBL y de enfermedad TBC en niños A. Méndez-Echevarría y Grupo colaborativo para el estudio del QF-TB Gold Test In Tube en niños.  Arch Dis Child 2011 (en prensa)
Características de IGRAs Ventajas Una sola visita:  resultado en 24 horas Interpretación  más objetiva  del resultado Control interno positivo y negativo Probablemente  más específico Mejor para infección por  MA y BCG Podría tener un papel en  monitorizar respuesta al tto Inconvenientes Coste : 30-40 vs 1  $. Laboratorio y  personal cualificado Resultados indeterminados Complementarios al Mantoux Podría ser superior en: vacunación reciente  BCG, ausencia de exposición a TBC,  sospecha  micobacteria atípica
Diagnóstico microbiológico Esputo espontáneo (3). Rara vez utilizado en pediatría Jugos gástricos (3). Aspirado en ayunas con niño aún en cama Confirmación microbiológica niños: 30-40%   Cultivo medio sólido: Resultado 4-6 semanas Cultivo medio líquido (Bactec): Aumenta rapidez: 2-3 sem PCR: Mayor rentabilidad con pruebas repetidas (3)   Específico   Sensibilidad similar o algo mayor que cultivo   Aumenta rapidez diagnóstica: < 7 días   Permite estudio de sensibilidad a INH y RIF
Esputo inducido   Esputo inducido  salino 3-5%  No requiere hospitalización Medidas de aislamiento No debe realizarse en el niño con compromiso respiratorio Un único procedimiento: rentabilidad similar a 3 jugos gástricos Owens S, Arch Dis Child 2007;92:693-6 Nuevos procedimientos diagnósticos en TBC pulmonar
Zar HJ, Lancet. 2005;365:130-34. Estudio prospectivo en 250 niños ingresados: sospecha TB pulmonar.  Edad: 1 mes -5 años (mediana 13 meses). Dx etiológico 25%  Comparación de 3  esputos inducidos y 3 aspirados gástricos  (en días consecutivos) en todos los pacientes Rentabilidad de cultivos y baciloscopia positivos  Esputo inducido: 22%  Aspirado gástrico: 16% (p:0.018) 1 esputo inducido: similar rentabilidad que 3 jugos gástricos Misma rentabilidad en niños VIH (+) y VIH (-) Esputo inducido en Dx de TBC pulmonar
Resultados 20 pacientes:  edad :mediana 74.5 meses (1 mes-14 años) 7 (35%): ≤ 5 años Procedencia:  Españoles: 9 (45%). Inmigrantes: 7 (35%) (2 Perú, 2 Ecuador, 1 Colombia, 1  Marruecos, 1 Costa de Marfil). Nacidos en España (padres inmigrantes) 4 (20%): 2 Marruecos, 1  Ucrania, 1  Ecuador.   Técnicas estudio microbiológico: 19 pacientes: 3 aspirados gástricos y 3 esputos inducidos  1 paciente: 2 esputos inducidos Experiencia con el esputo inducido en el diagnóstico de TB pulmonar en la infancia en el Hospital de Getafe.
Resultados:  Efectos 2º Técnica esputo inducido: 19 x3 + 1x2 : 59 procedimientos 5 pacientes (Enero 2007-Junio 2008): no recogidos posibles efectos 2º. 15 pacientes:  45 esputos inducidos Desaturación  ( SatO2≤92%): 2 procedimientos (4.4%): SatO2 85% y 87%  (sin necesidad de O2 suplementario) Epistaxis : 8 procedimientos (17.7%) Vómitos :   0 (náuseas en 3) Tos : 3 procedimientos (6.6%) Broncoespasmo : 0 Dificultades de la técnica : 1 (paso de la sonda)(2.2%). Esputo espontaneo :  4 Tolerancia de la prueba : mala en 4 procedimientos Niña de 34 días: no efectos 2º Niño de 9 años con derrame pleural: no efectos 2º Experiencia con el esputo inducido en el diagnóstico de TB pulmonar en la infancia en el Hospital de Getafe
Resultados 20 pacientes: 17  TBC pulmonar 17 pacientes diagnosticados de TB pulmonar: 1 solo se recogieron 2 esputos inducidos. Estudio comparativo rentabilidad diagnóstica  esputo inducido-aspirado gástrico: se incluyen los 16 pacientes con las dos técnicas (en 3 días consecutivos). Experiencia con el esputo inducido en el diagnóstico de TB pulmonar en la infancia en el Hospital de Getafe
Resultados Esputo inducido   1º muestra  3 (18.75%) 2º muestra  3 (18.75%) 3º muestra  3 (18.75%) Lavado gástrico   1º muestra  5 (31.25%) 2º muestra  3 (18.25%) 3º muestra  3 (18.25%) Rentabilidad acumulada de 1ºEI + 2ºEI: 4/16  (25%) Rentabilidad acumulada de 1º  EI +2ºEI +3º EI: 5/16  (31.25%) S:31.25 % (95%IC 11-58) Rentabilidad acumulada de 1ºJG + 2ºJG: 5/16  (31.25%) Rentabilidad acumulada de 1º JG +2ºJG +3º JG: 6/16  (37.5%) S:37.5%  (95%IC 15-64) Esputo inducido   + jugo gástrico  1º EI + 1ºJG  6 (37.5%) 2º EI + 2ºJG  5 (31.25%) 3º EI + 3ºJG  4 (25%) Rentabilidad acumulada de 1ºdía + 2ºdía: 7/16  (43.75%) Rentabilidad acumulada de 1º día +2ºdía +3º día: 8/16  (50%) S:50%  (95%IC 24.6-75.3) Experiencia con el esputo inducido en el diagnóstico de TB pulmonar en la infancia en el Hospital de Getafe
Conclusiones El esputo inducido es una prueba bien tolerada. La sensibilidad diagnóstica de 1 esputo inducido + 1 jugo gástrico realizados en el mismo día no es diferente a la de 3 jugos gástricos en 3 días consecutivos (37.5% vs 37.5). Existe  una tendencia  a una mayor sensibilidad diagnóstica de la realización en 2 días consecutivos de ambas técnicas sobre el jugo gástrico en 3 días consecutivos (43.75 vs 37.5%). El esputo inducido ha permitido el diagnóstico precoz de 3 pacientes (1 por baciloscopia y 2 por PCR). Experiencia con el esputo inducido en el diagnóstico de TB pulmonar en la infancia en el Hospital de Getafe
TUBERCULOSIS en niños  de origen extranjero   * Prevalencia e incidencia en aumento  * Importancia de cribado a todo inmigrante * Mayor riesgo de enfermedad extrapulmonar  * Vacunación con BCG: verificar escara * Posible riesgo de resistencias
Prevalencia en aumento *  1749 cepas años 1995-1997  INH:3.8%; RIF: 1.0%,     Martin Casabona N,  Med Clin (Barc). 2000 ;115:493-8  * Total 1083 cepas aisladas en 2006 procedentes de 120 laboratorios de microbiología de 16 comunidades  autónomas * Prevalencia de Resistencia INH: 4.9%  * Población inmigrante: 12% TB- Resistencias a INH en España Jimenez M, Rev Esp Quimiot 2008; 21: 22-5  Sería necesario comenzar actualmente con 4 fármacos Mellado MJ. An Pediatr (Barc) 2009;71(5):447-458
Algoritmo de manejo de contactos o TB en niños Mantoux  Exposición  Rx Tórax INH  3 meses y  Mantoux (+) (-) Cribado (-) (-) Stop INH (+) Mantoux  (+) (+) (-) Stop (-) (+) INH 9 meses Tratamiento 6 meses
TB en niños en hospital de  Getafe. n: 92 (1991-2010) Unidad MD de TB (2009) Pediatría Nº de casos de TB en tratamiento Año 2009/2010 4 Año 2010 6 Total 10 Evolución de los casos de TB Año 2009/2010 Tratamiento correcto 3/4 (75%) Perdido en seguimiento 1/4 (25%) Año 2010 Tratamiento correcto 2/6 (33,3%) Tratamiento actual 4/6 (66,7%)
GRACIAS POR VUESTRA ATENCIÓN

Diagnóstico de la tuberculosis en los niños

  • 1.
    Diagnóstico dela tuberculosis en niños José T. Ramos Servicio de Pediatría Hospital U. de Getafe CS El Greco 29-marzo-2011
  • 2.
    Introducción TBC presentaun impacto muy importante en la salud mundial Prevalencia Gravedad, más en < 4 años e ID Fácil diseminación Dificultad de diagnóstico , más en niños Latencia prolongada Sintomatología inespecífica Baja sensibilidad microbiológica Dificultad de tratamiento Tratamientos prolongados; falta de formulación ped. Resistencias
  • 3.
  • 4.
    TB- pandemia global VIH- sindemia Globalmente 1/6 de nuevos diagnósticos de TBC son VIH+ “ 2 enfermedades-un paciente” estrategia de control OMS TB/HIV http://www.who.int/tb/hiv
  • 5.
    - > 9x 10 6 casos en el mundo en 2008: Incidencia 139 / 100.000 hab. - Segunda causa de mortalidad de etiología infecciosa en el mundo - Asia y Africa: 86 % - Europa gran variabilidad entre países - Europa: Prevalencia de Resistencia en nuevos Dx 14% - España: incidencia 18.4 /100.000 habitantes (30% inmigrantes) Casos de TB en España (2009) Impacto actual de TB en el mundo
  • 6.
  • 7.
    Dx precoz Casoíndice  8-12 casos secundarios Caso 2º Enfermedad 10% TBL 90% 5% primeros 2 años 5% Resto vida * Descenso en incidencia: 13 CC.AA. (1998) tasa de incidencia: 38,4 casos/100.000 hab., variable entre CC.AA.   Incidencia actual 18.4 casos/ 100.000 habitantes * Aumento en la proporción de inmigrantes y TB resistente * 3 períodos de la vida asociados con riesgo de progresión: - Infancia (sobre todo los 4 primeros años de vida), - Entre los 15 y los 25 años y - Edad avanzada TB epidemiología
  • 8.
    Ordovas-Gabin N, RevEsp Salud Pub 2007; 81:597
  • 9.
  • 10.
  • 11.
  • 12.
    Casos de TBCinfantil en la CAM en 2006
  • 13.
    TB: factores deriesgo Máximo riesgo: 5 años tras la llegada al país Riesgo de enfermar sin QP según edad : 1º año vida: 43% 1-5 años: 24% 11-15 años: 15% Condiciones vida, hacinamiento, falta de higiene , dificultad acceso a servicios salud, VIH Importancia cribado del Mantoux en población de riesgo
  • 14.
    Definiciones Committe ofInfectious Diseases AAP. Red Book. 2009 Mantoux: test de la tuberculina IGRAs: IF-  relase assay (prueba de liberación de IF-  ) Ambas indican posible infección con M. tuberculosis complex Contacto o exposición a TBC Aquél que se produce con persona con enfermedad TBC contagiosa; Mantoux/IGRAs, Rx tórax y clínica negativos Infección TBC (latente) Individuo con Mantoux +, clínica y Rx tórax negativas Enfermedad TBC. ITBL con clínica y/o Rx tórax positivos TBC multirresistente (Multiply drug-resistant-MDR) Resistente, al menos, a INH y RFP TBC XDR : TBC MDR + R ≥ 1 FQ + AMK, KNM o CPRM
  • 15.
    Historia natural dela TBC en niños Exposición a TBC sin evidencia de infección Infección TBC latente Enfermedad TBC Adolescentes y adultos: con frecuencia reactivación
  • 16.
    El responsable deldiagnóstico, del estudio de contactos de TB y cumplimiento terapéutico, no es el paciente ni sus padres..., es el sistema sanitario Un diagnóstico de infección o enfermedad tuberculosa en un niño es un evento centinela que representa la transmisión reciente de M. tuberculosis en la comunidad An Esp Ped 2000; 53: 449-57
  • 17.
    Diagnóstico Historia decontacto u otros factores epidemiológicos Signos y síntomas clínicos Alto índice de sospecha Positividad de pruebas inmunológicas: Mantoux/IGRAs Alteraciones radiológicas Detección microbiológica
  • 18.
    Diagnóstico de TBCDIRECTO Confirmación microbiológica INDIRECTO Epidemiológico Clínico-radiológico PPD (Mantoux)
  • 19.
    Rentabilidad pruebas diagnósticasMantoux (85-90%). Falsos + Baciloscopia de jugo gástrico / esputo y cultivo de esputo/jugo gástrico (30%-40%) 80% en lactantes con enfermedad endobronquial avanzada Esputo inducido /aspirado nasofaríngeo = sensibilidad jugo gástrico PCR en tejidos y fluidos (60%) Radiología (75%) y TC (90%) -Zar HJ. The Lancet. 2005; 365:130-134 -Hatherill M. Arch Dis Child 2009;94:195-201 - Owens S. Arch Dis Child. 2007;92:693-6
  • 20.
    Mantoux Derivado proteicopurificado, filtrado del cultivo de Mycobacterium tuberculosis, esterilizado y concentrado Intradérmica, aguja calibre 26. 0,1 ml (2U de tuberculina PPD RT-23), pápula 6-10 mm Lectura: 48-72 h Reactividad a las 2-10 (3-4) semanas de la infección inicial Induración: en mm (no +/-)
  • 21.
    Mantoux (PPD): 0,1ml intradérmico: 2 UI-RT23
  • 22.
    PPD (+): > 5 mm en niños de riesgo SEIP.An Esp Ped 2003;59:582 PPD (+): > 10 mm en cualquier otro caso
  • 23.
    Moreno D. AnEsp Ped 2010; 4: 283e1-283e14 Documento de consenso SEIP 2010 AAP : 15 mm en niños sanos, sin FR, > 4 años
  • 24.
    Mantoux: valor predictivoFalsos positivos Vacuna BCG (cepas atenuadas de M. bovis ) Infección por micobacterias atípicas Rotura de vaso o infección en la zona de inyección Falsos negativos (10-40%). Individuo: infecciones, vacunas virus vivos, depleción proteica, neoplasias, ID o IS, edad Tuberculina: almacenamiento, contaminación Método de administración Lectura inadecuada
  • 25.
    Cuándo realizar Mantoux?:Documento de consenso SEIP Moreno D. An Esp Ped 2010; 4: 283e1-283e14
  • 26.
    Prevalencia de TB-latenteen niños en España 2004 Málaga 2117 > 5 1.16 Del Río Camacho
  • 27.
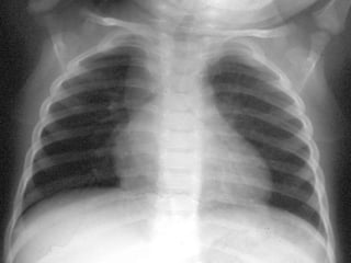
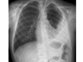
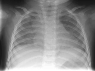
    Rx tórax Niño:primoinfección. Patrón muy variable Adenopatías hiliares ó mediastínicas: muy llamativas vs infiltrado Hiperinsuflación segmentaria y/o atelectasia (enfisema obstructivo <2 años) Consolidación alveolar ó intersticial Derrame pleural TBC miliar Adolescente: reactivación Cavitación Derrame pleural
  • 28.
  • 29.
  • 30.
  • 31.
  • 32.
  • 33.
    TC tórax en la TB infantil ITBL (PPD positivo y asintomáticos) 50%-63% TC adenopatías ¿Qué significado tienen los ganglios descubiertos en TC? ¿Son indicativos de enfermedad tuberculosa? ¿Hay indicación de tratamiento distinto? Considerar TC en < 2 años, contacto con TB-R, o niños sintomáticos Moreno D. Anal Esp Ped 2010; 4: 283e1-283e14
  • 34.
    TBC latente: PPD(+). Rx Tórax normal TBC activa: PPD (+). Rx Tórax anormal o clínica otra localización Diagnóstico Rx: Rx Tórax A-P y lateral: 10% PPD (+) CT Tórax: No justificado habitualmente Broncoscopia fibro-óptica puede ser útil en algunos casos de TBC: establece compromiso bronquial, grado obstrucción, y necesidad de corticoides. Diagnóstico de TB pulmonar
  • 35.
    Macrófagos alveolares fagocitan M.tuberculosis Linfocitos T CD4 (Th1) Natural Killer IL-12 IFN-γ IFN-γ Nuevas técnicas diagnósticas para TBC Fisiopatología de la infección TBC Inmunodiagnóstico : producción de IFN-γ tras estímular linfocitos T con antígenos ESPECÍFICOS de M. tuberculosis= IGRAS (Interferón-  release assays) Ausentes en M. bovis , en Bacilo de Calmette-Guérin (BCG) y mayoría de MA; excepción: M . kansasii, M. szulgai y M. marinum
  • 36.
    Nuevas técnicas diagnósticas“in vitro”de TB. Tipos de IGRA: QuantiFERON-TB ( Cellestis, Victoria y Australia ) Medición directa T-SPOT.TB (Oxford Immunotec, Oxford, UK) Medición a través de inmunofluorescencia
  • 37.
    Sensibilidad Entre un67%-87% En caso de síntomas sugestivos un resultado (-) no excluye TB Especificidad QTF y ST 92%-100% PPD 56%-80% Especificidad superior a Mantoux No discrimina infección latente y enfermedad Faltan estudios en ID, para predecir progresión de ITBL a TB o para monitorización. También en < 4 años IGRAs
  • 38.
    459 niños (318no infectados, 73 ITBL y 68 ETB) Edad media 4,7± 3,6 años; 46% BCG 98% ETB QTF +; 99% no infectados presentaron QTF Resultados discordantes: ITBL (52%) vs niños no infectados o ETB (0,7%) (p<0,01). 92% discordantes fueron Mantoux (+) y QTF (-) Porcentaje de niños con ITBL vacunados de BCG fue de un 76% en caso de QTF (–) vs 40% si QTF + (p=0,003) Los casos de ITBL con QTF - presentaron < induración (13 mm) que los de ITBL con QTF + (18 mm) (p<0,01) Conclusiones : > % de QTF - en niños con ITBL y BCG Utilidad QTF-TB gold test in tube en el diagnóstico de la ITBL y de enfermedad TBC en niños A. Méndez-Echevarría y Grupo colaborativo para el estudio del QF-TB Gold Test In Tube en niños. Arch Dis Child 2011 (en prensa)
  • 39.
    Características de IGRAsVentajas Una sola visita: resultado en 24 horas Interpretación más objetiva del resultado Control interno positivo y negativo Probablemente más específico Mejor para infección por MA y BCG Podría tener un papel en monitorizar respuesta al tto Inconvenientes Coste : 30-40 vs 1 $. Laboratorio y personal cualificado Resultados indeterminados Complementarios al Mantoux Podría ser superior en: vacunación reciente BCG, ausencia de exposición a TBC, sospecha micobacteria atípica
  • 40.
    Diagnóstico microbiológico Esputoespontáneo (3). Rara vez utilizado en pediatría Jugos gástricos (3). Aspirado en ayunas con niño aún en cama Confirmación microbiológica niños: 30-40% Cultivo medio sólido: Resultado 4-6 semanas Cultivo medio líquido (Bactec): Aumenta rapidez: 2-3 sem PCR: Mayor rentabilidad con pruebas repetidas (3) Específico Sensibilidad similar o algo mayor que cultivo Aumenta rapidez diagnóstica: < 7 días Permite estudio de sensibilidad a INH y RIF
  • 41.
    Esputo inducido Esputo inducido salino 3-5% No requiere hospitalización Medidas de aislamiento No debe realizarse en el niño con compromiso respiratorio Un único procedimiento: rentabilidad similar a 3 jugos gástricos Owens S, Arch Dis Child 2007;92:693-6 Nuevos procedimientos diagnósticos en TBC pulmonar
  • 42.
    Zar HJ, Lancet.2005;365:130-34. Estudio prospectivo en 250 niños ingresados: sospecha TB pulmonar. Edad: 1 mes -5 años (mediana 13 meses). Dx etiológico 25% Comparación de 3 esputos inducidos y 3 aspirados gástricos (en días consecutivos) en todos los pacientes Rentabilidad de cultivos y baciloscopia positivos Esputo inducido: 22% Aspirado gástrico: 16% (p:0.018) 1 esputo inducido: similar rentabilidad que 3 jugos gástricos Misma rentabilidad en niños VIH (+) y VIH (-) Esputo inducido en Dx de TBC pulmonar
  • 43.
    Resultados 20 pacientes: edad :mediana 74.5 meses (1 mes-14 años) 7 (35%): ≤ 5 años Procedencia: Españoles: 9 (45%). Inmigrantes: 7 (35%) (2 Perú, 2 Ecuador, 1 Colombia, 1 Marruecos, 1 Costa de Marfil). Nacidos en España (padres inmigrantes) 4 (20%): 2 Marruecos, 1 Ucrania, 1 Ecuador. Técnicas estudio microbiológico: 19 pacientes: 3 aspirados gástricos y 3 esputos inducidos 1 paciente: 2 esputos inducidos Experiencia con el esputo inducido en el diagnóstico de TB pulmonar en la infancia en el Hospital de Getafe.
  • 44.
    Resultados: Efectos2º Técnica esputo inducido: 19 x3 + 1x2 : 59 procedimientos 5 pacientes (Enero 2007-Junio 2008): no recogidos posibles efectos 2º. 15 pacientes: 45 esputos inducidos Desaturación ( SatO2≤92%): 2 procedimientos (4.4%): SatO2 85% y 87% (sin necesidad de O2 suplementario) Epistaxis : 8 procedimientos (17.7%) Vómitos : 0 (náuseas en 3) Tos : 3 procedimientos (6.6%) Broncoespasmo : 0 Dificultades de la técnica : 1 (paso de la sonda)(2.2%). Esputo espontaneo : 4 Tolerancia de la prueba : mala en 4 procedimientos Niña de 34 días: no efectos 2º Niño de 9 años con derrame pleural: no efectos 2º Experiencia con el esputo inducido en el diagnóstico de TB pulmonar en la infancia en el Hospital de Getafe
  • 45.
    Resultados 20 pacientes:17 TBC pulmonar 17 pacientes diagnosticados de TB pulmonar: 1 solo se recogieron 2 esputos inducidos. Estudio comparativo rentabilidad diagnóstica esputo inducido-aspirado gástrico: se incluyen los 16 pacientes con las dos técnicas (en 3 días consecutivos). Experiencia con el esputo inducido en el diagnóstico de TB pulmonar en la infancia en el Hospital de Getafe
  • 46.
    Resultados Esputo inducido 1º muestra 3 (18.75%) 2º muestra 3 (18.75%) 3º muestra 3 (18.75%) Lavado gástrico 1º muestra 5 (31.25%) 2º muestra 3 (18.25%) 3º muestra 3 (18.25%) Rentabilidad acumulada de 1ºEI + 2ºEI: 4/16 (25%) Rentabilidad acumulada de 1º EI +2ºEI +3º EI: 5/16 (31.25%) S:31.25 % (95%IC 11-58) Rentabilidad acumulada de 1ºJG + 2ºJG: 5/16 (31.25%) Rentabilidad acumulada de 1º JG +2ºJG +3º JG: 6/16 (37.5%) S:37.5% (95%IC 15-64) Esputo inducido + jugo gástrico 1º EI + 1ºJG 6 (37.5%) 2º EI + 2ºJG 5 (31.25%) 3º EI + 3ºJG 4 (25%) Rentabilidad acumulada de 1ºdía + 2ºdía: 7/16 (43.75%) Rentabilidad acumulada de 1º día +2ºdía +3º día: 8/16 (50%) S:50% (95%IC 24.6-75.3) Experiencia con el esputo inducido en el diagnóstico de TB pulmonar en la infancia en el Hospital de Getafe
  • 47.
    Conclusiones El esputoinducido es una prueba bien tolerada. La sensibilidad diagnóstica de 1 esputo inducido + 1 jugo gástrico realizados en el mismo día no es diferente a la de 3 jugos gástricos en 3 días consecutivos (37.5% vs 37.5). Existe una tendencia a una mayor sensibilidad diagnóstica de la realización en 2 días consecutivos de ambas técnicas sobre el jugo gástrico en 3 días consecutivos (43.75 vs 37.5%). El esputo inducido ha permitido el diagnóstico precoz de 3 pacientes (1 por baciloscopia y 2 por PCR). Experiencia con el esputo inducido en el diagnóstico de TB pulmonar en la infancia en el Hospital de Getafe
  • 48.
    TUBERCULOSIS en niños de origen extranjero * Prevalencia e incidencia en aumento * Importancia de cribado a todo inmigrante * Mayor riesgo de enfermedad extrapulmonar * Vacunación con BCG: verificar escara * Posible riesgo de resistencias
  • 49.
    Prevalencia en aumento* 1749 cepas años 1995-1997 INH:3.8%; RIF: 1.0%, Martin Casabona N, Med Clin (Barc). 2000 ;115:493-8 * Total 1083 cepas aisladas en 2006 procedentes de 120 laboratorios de microbiología de 16 comunidades autónomas * Prevalencia de Resistencia INH: 4.9% * Población inmigrante: 12% TB- Resistencias a INH en España Jimenez M, Rev Esp Quimiot 2008; 21: 22-5 Sería necesario comenzar actualmente con 4 fármacos Mellado MJ. An Pediatr (Barc) 2009;71(5):447-458
  • 50.
    Algoritmo de manejode contactos o TB en niños Mantoux Exposición Rx Tórax INH 3 meses y Mantoux (+) (-) Cribado (-) (-) Stop INH (+) Mantoux (+) (+) (-) Stop (-) (+) INH 9 meses Tratamiento 6 meses
  • 51.
    TB en niñosen hospital de Getafe. n: 92 (1991-2010) Unidad MD de TB (2009) Pediatría Nº de casos de TB en tratamiento Año 2009/2010 4 Año 2010 6 Total 10 Evolución de los casos de TB Año 2009/2010 Tratamiento correcto 3/4 (75%) Perdido en seguimiento 1/4 (25%) Año 2010 Tratamiento correcto 2/6 (33,3%) Tratamiento actual 4/6 (66,7%)
  • 52.

Notas del editor

  • #24 Moreno D. Anal Esp Ped 2010; 4: 283e1-283e14