Sistema Tegumentario
(Piel y sus anexos)
Membrana resistente y flexible que recubre toda la S C
y otros derivados especializados de la misma como son
(Pelo, uñas y glándulas sebáceas y sudoríparas)
❑ Mide de 1,6 a 1,9 m² y pesa 2 kg
❑ Organo sensitivo mas grande, para la recepción de
estímulos: Táctiles, Térmicos y Dolorosos
FUNCIONES DE LA PIEL
• EXCRECIÓN
• PROTECCIÓN
• METABOLICA
• INMUNITARIA
• SENSIBILIDAD
• IMPERMEABILIDAD
• TERMORREGULACIÓN
• ESTETICA, SOCIAL Y SEXUAL
Composición de la piel
❑ Consta de dos capas firmemente adheridas
entre sí con grosor de 0,5 – 4mm
❑ Epidermis: Epitelio especializado
derivado del ectodermo.
❑ Dermis: Tejido conectivo denso
derivado del mesodermo. También
llamado corion
❑ Hipodermis : Tejido conectivo laxo areolar
y/o adiposo ( Aponeurosis superficial)
Clasificación
❑ Se fundamenta sobre el grosor de la epidermis
Palma de las manos
❑ PIEL GRUESA
Planta de los pies
❑ PIEL FINA Resto de la S. C.
COMPONENTES ORIGEN
PIEL
EPIDERMIS ECTODERMO
DERMIS MESODERMO
ANEXOS
PELO ECTODERMO
GLÁNDULA
SUDORÍPARA
ECTODERMO
GLÁNDULA
SEBÁCEA
ECTODERMO
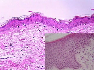
Epidermis
◼ Componente superficial de la piel
constituido de epitelio plano
estratificado queratinizado
◼ Incluye cuatro poblaciones de
células de procedencia distinta y
que se organizan en capas o
estratos:
◼ Estrato Germinativo o Basal
◼ Estrato Espinoso
◼ Estrato Granuloso
◼ Estrato Lúcido
◼ Estrato Córneo
CELULAS
DE LA
EPIDERMIS
❑Queratinocitos
❑Melanocitos
❑Células de Langerhans
❑Células de Merkel
QUERATINOCITOS
Célula predominante, que se organiza
estructuralmente en capas que reflejan
las etapas de la vida de la célula
◼ Proliferación
◼ Crecimiento
◼ Desplazamiento hacia fuera
◼ Diferenciación para producir
queratina
◼ Muerte y descamación
Sustituidas por nuevas células a
partir del estrato mas profundo
MELANOCITOS
• Células especializadas en producir melanina,
derivan del ectodermo
• Carecen de tonofilamentos, desmosomas y
hemidesmosomas y poseen prolongaciones
dendríticas
• Se encuentran dispersas entre los
queratinocitos del estrato germinativo y
espinoso, en los folículos pilosos y el tejido
conectivo dérmico
• Hay una relación funcional ordenada entre un
melanocito y un grupo de queratinocito (Unidad
Epidermis-Melanina). Secreción Citocrina
• Factores genéticos MSH, la Corticotropina,
los Estrógenos y Factores Ambientales (Rayos
Ultravioleta), estimulan la producción de
Melanina.
CÉLULAS DE LANGERHANS
• Aparecen como células claras
principalmente en el estrato
espinoso, con abundantes
prolongaciones dendríticas
• El citoplasma contiene inclusiones
en formas de bastoncillos o raquetas
“ Gránulos de Birberck”
•También se encuentran en la
mucosa bucal, esófago, vagina,
folículos pilosos, glándulas sebáceas,
apócrinas, timo y ganglio linfático
•Se consideran parte del Sistema de
Fagocitos Mononucleares
• Células de importancia
inmunológica
CÉLULAS DE MERKEL
◼ De amplia distribución en la
epidermis, localizadas en el estrato
germinativo o cerca de el, a menudo en
relación con terminaciones nerviosas
intraepiteliales
◼ Su citoplasma posee gránulos
concentrados en la región basal que se
relacionan con catecolaminas
◼ Posee tonofilamentos y desmosomas
◼ Participan en las actividades celulares
de captación y descarbolilzación de
precursores de amina (APUD)
◼ Mecanorreceptores
ESTRATOS
DE LA
EPIDERMIS
ESTRATO GERMINATIVO O BASAL
◼ Consta de una sola hilera
de células cilíndricas o
cúbicas que poseen
tonofibrillas
◼ Con actividad mitótica, dan
origen a nuevas células
que se desplazan hacia la
capa superior
ESTRATO ESPINOSO
◼ De gran actividad mitótica
◼ Incluye varias capas de células
poliédricas irregulares con superficie
cubierta de espinas o proyecciones
citoplásmicas cortas que se unen con
las vecinas “ Puentes intercelulares”
◼ Junto con el basal conforman el
Estrato de Malpighi, capa encargada
de la proliferación e inicio de
queratización
◼ Incluye Melanocitos, células de
Langerhans y Merkel
ESTRATO GRANULOSO
◼ Consta de tres a cinco capas de
células aplanadas con eje mayor
paralelo a la superficie de la piel
◼ Contiene gránulos de
queratohialina relacionado con la
formación de la queratina blanda
◼ Capa donde mueren las células
de la epidermis. Y a la que se debe
la impermeabilización de la piel al
agua
ESTRATO LÚCIDO
◼ Capa clara y translúcida de tres a
cinco células de profundidad que
se aplanan y agrupan en forma
compacta
◼ Contienen una sustancia
semilíquida “ queratohialina” y
gránulos de eleidina
ESTRATO CORNEO
◼ Formado por células claras,
muertas
◼ El núcleo falta y el citoplasma es
sustituido por queratina blanda
(Poco contenido de azufre)
◼ Estas células se descaman
continuamente y son sustituidas
por células nuevas
◼ A la parte mas superficial de este
se le denomina Estrato Separado
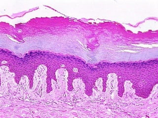
DERMIS
◼ Tejido Conectivo Denso de disposicion irregular,
subyacente a la epidermis. Tambien denominado Corion
◼ Su grosor varía entr 0,5 a 3mm o más
◼ Consta de dos capas
❑ Capa Papilar Papilas Vasculares
❑ Superficial y laxa Papilas Nerviosas
❑ Capa Reticular
❑ Profunda y densa
DERMIS PAPILAR
◼ Incluye crestas y papilas que
sobresalen a la epidermis
◼ Hay papilas nerviosas y
vasculares
◼ Esta formada por fibras
colágenas, reticulares y
elásticas dispuestas en una
red extensa
◼ Aquí las fibras reticulares se
organizan perpendicular a la
lámina basal de la epidermis
(Fibras de Anclaje)
DERMIS RETICULAR
◼ Principal lecho fibroso de la dermis
◼ Formada por fibras colágenas gruesas,
densas y entrelazadas; fibras
colágenas y reticulares
◼ La dirección predominante de las
fibras es paralela a la superficie
◼ En ella encontramos la Líneas de
Langer (de tensión)
◼ Contiene los anexos de la piel
◼ Posee fibroblastos y macrófagos
(Cromatóforos)
◼ Hay fibras musculares lisas (Músculos
Erectores del Pelo)
HIPODERMIS
◼ Capa subcutánea (Aponeurosis
Superficial)
◼ Aparece como una extensión
profunda de la dermis
◼ Forma un enlace entre la piel y
las aponeurosis musculares.
◼ Es de grosor variable
◼ Cuando presenta lobulillos de
grasa se denomina Panículo
Adiposo
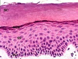
PIEL GRUESA
◼ La queratinización es un proceso continuo
◼ Se evidencian todos los estratos de la epidermis
◼ Localizadas en palmas de las manos y plantas
de los pies
◼ Su superficie libre muestra crestas observables
a simple vista (asas, espirales y arcos)
◼ En las palmas dichos dibujos constituyen la
base de las huellas para la identificación
◼ Su estrato córneo es tan grueso que posee un
estrato separado (placas celulares sin uniones)
PIEL FINA
◼ La queratinización es menos notable y no
es un proceso continuo
◼ El espesor de todas sus capas es menor
◼ Suele faltar el estrato lúcido
◼ El estrato espinoso es menos extenso
◼ El estrato granuloso consta de una a dos
hileras de células o pueden estar dispersas
◼ Se localiza en el resto del cuerpo
PIGMENTACIÓN DE LA PIEL
El color de la piel es dado por tres factores:
I. Caroteno: Pigmento exógeno de origen
vegetal. Se encuentra en el estrato córneo
II. Sangre: la gran irrigación de la dermis
vascular subyacente
III. Melanina: Producidas por los
melanocitos a nivel de la epidermis
Retomando
◼ Caroteno Amarillo: E. corneo y adipocitos de la
dermis e hipodermis
◼ Sangre Rojo: Dermis vascular subyacente
◼ Melanina Pardo: E. basal y espinoso
◼ Melanocitos Vesículas (melanosomas) melanina
- Unidad epidermis-melanina
◼ Factores HEREDITARIOS
HORMONALES
AMBIENTALES
ANEXOS
Anexos
➢ UÑAS
➢ PELOS
➢ GLÁNDULAS
SUDORÍPARAS Y
SEBÁCEAS
PELO
◼ Filamentos queratinizados elásticos que
aparecen a partir de la epidermis
◼ Consta de un tallo libre y una raiz incluida en
la piel
◼ La raiz está rodeada por un folículo piloso
tubular, que se desarrolla de la epidermis e
invade la dermis y la hipodermis. Su extremo
inferior se expande y forma el bulbo piloso
invaginado en la base por una papila conectiva
◼ Constituye junto con las glándulas sebáceas la
unidad pilosebácea
◼ El músculo erector del pelo son células del
músculo liso que se extienden de la mitad del
tallo del folículo piloso a la capa papilar de la
dermis
ESTRUCTURA DEL PELO
Consta de células epidérmicas dispuestas
en tres capas concéntricas
❑ Médula: Forma el eje central laxo
Contiene dos a tres capas de células
cúbicas con queratina blando
❑ Falta en los vellos, pelos del cuero
cabelludo y el pelo rubio
❑ Corteza: Representa la masa principal,
formada por células aplanadas y fusiformes
con queratina dura, gránulos de pigmento y
espacios aéreos entre ellas
❑ Cutícula: Capa mas superficial, con
células claras delgadas y cornificadas
Superpuestas a manera de tejas
ESTRUCTURA DEL FOLICULO PILOSO
❑ VAINA RADICULAR DÉRMICA EXTERNA
Deriva de la Dermis
❑ Capa Externa (Reticular de la Dermis)
❑ Capa Media (Papilar de la Dermis), mas gruesa
❑ Membrana vítrea (Lamina Basal), bajo la
Epidermis
❑ VAINA RADICULAR EPITELIAL INTERNA
Deriva de la Epidermis
❑ Componente Externo. Se continua con las
capas mas profundas de la Epidermis
❑ Componente Interno. Se continua con los
componentes mas superficiales de la Epidermis
❑ Capa de Henle
❑ Capa de Huxley
❑ Cutícula
Crecimiento del pelo
❑ Ocurre por la mitosis de las células indiferenciadas
epidérmicas y en la papila dérmica del folículo
❑ Consta de tres fases:
❑ Anágeno: Fase de crecimiento
❑ Catágeno: Fase de terminación
❑ Telógeno: Fase de reposo. Después de esta el pelo se
pierde y es sustituido periódicamente
❑ La actividad mitótica es estimulada por los
andrógenos e inhibida por los estrógenos
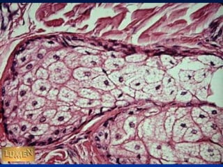
Glándulas Sebáceas
❑ Alveolares, de tipo holocrino, localizadas
en la dermis. Encápsulada por tejido
conectivo delgado
❑ Secretan una sustancia oleosa conocida
como sebo ( secreción aceitosa), que
conserva la flexibilidad de la piel. La
secreción es favorecida por el músculo
erector del pelo
❑ Estan conectadas a los folículos pilosos
formando la unidad pilosebácea
También llamado “folículo sebáceo”
❑ Su crecimiento es estimulado por los
andrógenos e inhibido por los estrógenos
Componentes de la Glándula
Sebácea
❑ ALVEOLOS: Revestido de un epitelio
estratificado que descansa en una delgada
lámina basal, cuya cara interna presenta una
sola hilera de células cúbicas pequeñas
❑ CONDUCTO: Amplio y corto
Revestido por un epitelio plano estratificado
Glándulas Sudoríparas
❑ Glándulas tubulares no ramificadas y enrolladas
Distribuidas en toda la piel excepto en el lecho
ungeal, borde de los labios, glande y en la
membrana del tímpano
❑ De amplia distribución, sobre todo en la palma de
las manos y planta de los pies
CLASIFICACION
COMPONENTES DEL SUDOR
◼ agua en un 95%, electrolitos (principalmente
NaCl) que constituyen el factor de hidratación
natural (FHN) responsable de la hidratación
cutánea. Además, ácido urocánico, que es un
filtro natural ayuda a protegernos de la radiación
solar.
Adicionalmente podremos encontrar algunos
fármacos que se excretan por el, y vitaminas
como el complejo B que se excreta en el sudor.
CLASIFICACIÓN
❑ Glándula Sudorípara
Ecrina
❑ Abundan en la totalidad
de la piel
❑ Glándula Sudorípara
Apocrina
❑ Axilas
❑ Areolas del pezón
❑ Region anal
Glándulas Sudoríparas Ecrinas
◼ Mas abundantes en las palmas y plantas
◼ Su porción secretoria
◼ Ubicada en la dermis profunda o hipodermis.
◼ Se organiza enrrollada formando una masa discreta
◼ Revestida de epitelio cilíndrico o cúbico simple
◼ La porción excretora
◼ Asciende hacia la epidermis en un trayecto sinuoso
enrollándose para llegar a la superficie libre (Poro
Sudoríparo)
◼ Revestida por un epitelio cúbico estratificado
Glándulas Sudoríparas Ecrinas
(Merocrinas)
◼ Son Exocrinas Tubulares Simples Enrolladas
◼ Participan en la regulación de la temperatura
corporal y se localizan en la dermis de la piel
◼ En los cortes histológicos, la glándula aparece
como una masa de túbulos secretores revestidos
de epitelio cúbico simple e intercalados con
porciones del conducto excretor, revestido de
epitelio cúbico estratificado
FUNCIONES
◼ Termorregulación
◼ Se manifiestan en la
tensión nerviosa en
palmas y plantas
Glándulas Sudoríparas Apócrinas
◼Pubis
◼Axila
◼Párpado
◼Areola del Pezón
◼Labios Mayores
◼Región Perianal
◼Conducto Auditivo Externo
Glándulas Sudoríparas Apócrinas
◼ Son glándulas mas grandes
◼ Producen una secreción mas espesa que el
sudor y se descompone con las bacterias
◼ Sus conductos desembocan en las partes
superiores de los folículos pilosos. Son mas
amplios
◼ En su porción secretoria los vértices
celulares se rompen y se muestran menos
enrolladas
◼ Estas empiezan a funcionar en la pubertad
Componentes de la Glándula
Sudorípara
❑ Porción secretora. Localizada en la dermis o hipodermis,
revestida de epitelio cilíndrico o cúbico simple,
constituido por dos tipos de células:
❑ Claras: También llamadas células principales. De tipo seroso.
❑ Oscuras. También llamadas células mucígenas. Producen una
glucoproteína mucoide
❑ Entre el epitelio secretorio y la lámina basal hay una capa de
células mioepiteliales
❑ Porción conductora. Asciende hacia la epidermis,
desemboca en un orificio pequeño llamado “poro
sudoríparo”
❑ Es delgado y está revestido por una doble capa de células
cúbicas
Uña
◼ Son placas de queratina dura
◼ Las uñas de las manos crecen cuatro
veces más rápido que las de los pies.
◼ Las uñas de las manos y de los pies
están compuestas de:
◼ Matriz o raíz. eta es la parte donde
crece la uña, situada bajo la piel en la
parte donde se origina la uña
◼ Eponiquio. Es la estrecha franja del
pliegue de la piel que parece terminar
en la base del cuerpo ungueal. Se llama
cutícula
◼ Paronniquio. Es la estrecha franja del
pliegue de la piel a los lados de la uña.
◼ Hiponiquio. Es el tejido ubicado
debajo del borde libre de la uña.
Constituye un sello impermeable que
protege el lecho ungueal de las
infecciones
❑Cuerpo ungueal. Es la estructura
córnea que normalmente
conocemos como uña; la porción
dura y translúcida compuesta de
queratina
❑Lecho ungueal. Es el tejido
conectivo adherente que se
encuentra debajo de la uña y
conecta con el dedo
❑Lúnula. Es la parte blanquecina
en forma de medialuna que se
observa casi siempre en la base del
cuerpo ungueal. No todos los dedos
la tienen visible. La lúnula es el
final de la matriz y, por lo tanto, la
parte visible de la uña viva
El resto del cuerpo ungueal se
compone de células muertas
APLICABILIDAD
DERMATITIS
HERIDAS
CICATRIZACIÓN
FOLICULITIS
ONICOMICOSIS
2. PIEL.pdf

2. PIEL.pdf

  • 9.
    Sistema Tegumentario (Piel ysus anexos) Membrana resistente y flexible que recubre toda la S C y otros derivados especializados de la misma como son (Pelo, uñas y glándulas sebáceas y sudoríparas) ❑ Mide de 1,6 a 1,9 m² y pesa 2 kg ❑ Organo sensitivo mas grande, para la recepción de estímulos: Táctiles, Térmicos y Dolorosos
  • 11.
    FUNCIONES DE LAPIEL • EXCRECIÓN • PROTECCIÓN • METABOLICA • INMUNITARIA • SENSIBILIDAD • IMPERMEABILIDAD • TERMORREGULACIÓN • ESTETICA, SOCIAL Y SEXUAL
  • 14.
    Composición de lapiel ❑ Consta de dos capas firmemente adheridas entre sí con grosor de 0,5 – 4mm ❑ Epidermis: Epitelio especializado derivado del ectodermo. ❑ Dermis: Tejido conectivo denso derivado del mesodermo. También llamado corion ❑ Hipodermis : Tejido conectivo laxo areolar y/o adiposo ( Aponeurosis superficial)
  • 16.
    Clasificación ❑ Se fundamentasobre el grosor de la epidermis Palma de las manos ❑ PIEL GRUESA Planta de los pies ❑ PIEL FINA Resto de la S. C.
  • 17.
    COMPONENTES ORIGEN PIEL EPIDERMIS ECTODERMO DERMISMESODERMO ANEXOS PELO ECTODERMO GLÁNDULA SUDORÍPARA ECTODERMO GLÁNDULA SEBÁCEA ECTODERMO
  • 18.
    Epidermis ◼ Componente superficialde la piel constituido de epitelio plano estratificado queratinizado ◼ Incluye cuatro poblaciones de células de procedencia distinta y que se organizan en capas o estratos: ◼ Estrato Germinativo o Basal ◼ Estrato Espinoso ◼ Estrato Granuloso ◼ Estrato Lúcido ◼ Estrato Córneo
  • 19.
  • 20.
    QUERATINOCITOS Célula predominante, quese organiza estructuralmente en capas que reflejan las etapas de la vida de la célula ◼ Proliferación ◼ Crecimiento ◼ Desplazamiento hacia fuera ◼ Diferenciación para producir queratina ◼ Muerte y descamación Sustituidas por nuevas células a partir del estrato mas profundo
  • 21.
    MELANOCITOS • Células especializadasen producir melanina, derivan del ectodermo • Carecen de tonofilamentos, desmosomas y hemidesmosomas y poseen prolongaciones dendríticas • Se encuentran dispersas entre los queratinocitos del estrato germinativo y espinoso, en los folículos pilosos y el tejido conectivo dérmico • Hay una relación funcional ordenada entre un melanocito y un grupo de queratinocito (Unidad Epidermis-Melanina). Secreción Citocrina • Factores genéticos MSH, la Corticotropina, los Estrógenos y Factores Ambientales (Rayos Ultravioleta), estimulan la producción de Melanina.
  • 22.
    CÉLULAS DE LANGERHANS •Aparecen como células claras principalmente en el estrato espinoso, con abundantes prolongaciones dendríticas • El citoplasma contiene inclusiones en formas de bastoncillos o raquetas “ Gránulos de Birberck” •También se encuentran en la mucosa bucal, esófago, vagina, folículos pilosos, glándulas sebáceas, apócrinas, timo y ganglio linfático •Se consideran parte del Sistema de Fagocitos Mononucleares • Células de importancia inmunológica
  • 23.
    CÉLULAS DE MERKEL ◼De amplia distribución en la epidermis, localizadas en el estrato germinativo o cerca de el, a menudo en relación con terminaciones nerviosas intraepiteliales ◼ Su citoplasma posee gránulos concentrados en la región basal que se relacionan con catecolaminas ◼ Posee tonofilamentos y desmosomas ◼ Participan en las actividades celulares de captación y descarbolilzación de precursores de amina (APUD) ◼ Mecanorreceptores
  • 24.
  • 25.
    ESTRATO GERMINATIVO OBASAL ◼ Consta de una sola hilera de células cilíndricas o cúbicas que poseen tonofibrillas ◼ Con actividad mitótica, dan origen a nuevas células que se desplazan hacia la capa superior
  • 26.
    ESTRATO ESPINOSO ◼ Degran actividad mitótica ◼ Incluye varias capas de células poliédricas irregulares con superficie cubierta de espinas o proyecciones citoplásmicas cortas que se unen con las vecinas “ Puentes intercelulares” ◼ Junto con el basal conforman el Estrato de Malpighi, capa encargada de la proliferación e inicio de queratización ◼ Incluye Melanocitos, células de Langerhans y Merkel
  • 27.
    ESTRATO GRANULOSO ◼ Constade tres a cinco capas de células aplanadas con eje mayor paralelo a la superficie de la piel ◼ Contiene gránulos de queratohialina relacionado con la formación de la queratina blanda ◼ Capa donde mueren las células de la epidermis. Y a la que se debe la impermeabilización de la piel al agua
  • 28.
    ESTRATO LÚCIDO ◼ Capaclara y translúcida de tres a cinco células de profundidad que se aplanan y agrupan en forma compacta ◼ Contienen una sustancia semilíquida “ queratohialina” y gránulos de eleidina
  • 29.
    ESTRATO CORNEO ◼ Formadopor células claras, muertas ◼ El núcleo falta y el citoplasma es sustituido por queratina blanda (Poco contenido de azufre) ◼ Estas células se descaman continuamente y son sustituidas por células nuevas ◼ A la parte mas superficial de este se le denomina Estrato Separado
  • 32.
    DERMIS ◼ Tejido ConectivoDenso de disposicion irregular, subyacente a la epidermis. Tambien denominado Corion ◼ Su grosor varía entr 0,5 a 3mm o más ◼ Consta de dos capas ❑ Capa Papilar Papilas Vasculares ❑ Superficial y laxa Papilas Nerviosas ❑ Capa Reticular ❑ Profunda y densa
  • 33.
    DERMIS PAPILAR ◼ Incluyecrestas y papilas que sobresalen a la epidermis ◼ Hay papilas nerviosas y vasculares ◼ Esta formada por fibras colágenas, reticulares y elásticas dispuestas en una red extensa ◼ Aquí las fibras reticulares se organizan perpendicular a la lámina basal de la epidermis (Fibras de Anclaje)
  • 34.
    DERMIS RETICULAR ◼ Principallecho fibroso de la dermis ◼ Formada por fibras colágenas gruesas, densas y entrelazadas; fibras colágenas y reticulares ◼ La dirección predominante de las fibras es paralela a la superficie ◼ En ella encontramos la Líneas de Langer (de tensión) ◼ Contiene los anexos de la piel ◼ Posee fibroblastos y macrófagos (Cromatóforos) ◼ Hay fibras musculares lisas (Músculos Erectores del Pelo)
  • 35.
    HIPODERMIS ◼ Capa subcutánea(Aponeurosis Superficial) ◼ Aparece como una extensión profunda de la dermis ◼ Forma un enlace entre la piel y las aponeurosis musculares. ◼ Es de grosor variable ◼ Cuando presenta lobulillos de grasa se denomina Panículo Adiposo
  • 36.
    PIEL GRUESA ◼ Laqueratinización es un proceso continuo ◼ Se evidencian todos los estratos de la epidermis ◼ Localizadas en palmas de las manos y plantas de los pies ◼ Su superficie libre muestra crestas observables a simple vista (asas, espirales y arcos) ◼ En las palmas dichos dibujos constituyen la base de las huellas para la identificación ◼ Su estrato córneo es tan grueso que posee un estrato separado (placas celulares sin uniones)
  • 38.
    PIEL FINA ◼ Laqueratinización es menos notable y no es un proceso continuo ◼ El espesor de todas sus capas es menor ◼ Suele faltar el estrato lúcido ◼ El estrato espinoso es menos extenso ◼ El estrato granuloso consta de una a dos hileras de células o pueden estar dispersas ◼ Se localiza en el resto del cuerpo
  • 39.
    PIGMENTACIÓN DE LAPIEL El color de la piel es dado por tres factores: I. Caroteno: Pigmento exógeno de origen vegetal. Se encuentra en el estrato córneo II. Sangre: la gran irrigación de la dermis vascular subyacente III. Melanina: Producidas por los melanocitos a nivel de la epidermis
  • 40.
    Retomando ◼ Caroteno Amarillo:E. corneo y adipocitos de la dermis e hipodermis ◼ Sangre Rojo: Dermis vascular subyacente ◼ Melanina Pardo: E. basal y espinoso ◼ Melanocitos Vesículas (melanosomas) melanina - Unidad epidermis-melanina ◼ Factores HEREDITARIOS HORMONALES AMBIENTALES
  • 43.
  • 44.
    Anexos ➢ UÑAS ➢ PELOS ➢GLÁNDULAS SUDORÍPARAS Y SEBÁCEAS
  • 45.
    PELO ◼ Filamentos queratinizadoselásticos que aparecen a partir de la epidermis ◼ Consta de un tallo libre y una raiz incluida en la piel ◼ La raiz está rodeada por un folículo piloso tubular, que se desarrolla de la epidermis e invade la dermis y la hipodermis. Su extremo inferior se expande y forma el bulbo piloso invaginado en la base por una papila conectiva ◼ Constituye junto con las glándulas sebáceas la unidad pilosebácea ◼ El músculo erector del pelo son células del músculo liso que se extienden de la mitad del tallo del folículo piloso a la capa papilar de la dermis
  • 48.
    ESTRUCTURA DEL PELO Constade células epidérmicas dispuestas en tres capas concéntricas ❑ Médula: Forma el eje central laxo Contiene dos a tres capas de células cúbicas con queratina blando ❑ Falta en los vellos, pelos del cuero cabelludo y el pelo rubio ❑ Corteza: Representa la masa principal, formada por células aplanadas y fusiformes con queratina dura, gránulos de pigmento y espacios aéreos entre ellas ❑ Cutícula: Capa mas superficial, con células claras delgadas y cornificadas Superpuestas a manera de tejas
  • 50.
    ESTRUCTURA DEL FOLICULOPILOSO ❑ VAINA RADICULAR DÉRMICA EXTERNA Deriva de la Dermis ❑ Capa Externa (Reticular de la Dermis) ❑ Capa Media (Papilar de la Dermis), mas gruesa ❑ Membrana vítrea (Lamina Basal), bajo la Epidermis ❑ VAINA RADICULAR EPITELIAL INTERNA Deriva de la Epidermis ❑ Componente Externo. Se continua con las capas mas profundas de la Epidermis ❑ Componente Interno. Se continua con los componentes mas superficiales de la Epidermis ❑ Capa de Henle ❑ Capa de Huxley ❑ Cutícula
  • 54.
    Crecimiento del pelo ❑Ocurre por la mitosis de las células indiferenciadas epidérmicas y en la papila dérmica del folículo ❑ Consta de tres fases: ❑ Anágeno: Fase de crecimiento ❑ Catágeno: Fase de terminación ❑ Telógeno: Fase de reposo. Después de esta el pelo se pierde y es sustituido periódicamente ❑ La actividad mitótica es estimulada por los andrógenos e inhibida por los estrógenos
  • 55.
    Glándulas Sebáceas ❑ Alveolares,de tipo holocrino, localizadas en la dermis. Encápsulada por tejido conectivo delgado ❑ Secretan una sustancia oleosa conocida como sebo ( secreción aceitosa), que conserva la flexibilidad de la piel. La secreción es favorecida por el músculo erector del pelo ❑ Estan conectadas a los folículos pilosos formando la unidad pilosebácea También llamado “folículo sebáceo” ❑ Su crecimiento es estimulado por los andrógenos e inhibido por los estrógenos
  • 56.
    Componentes de laGlándula Sebácea ❑ ALVEOLOS: Revestido de un epitelio estratificado que descansa en una delgada lámina basal, cuya cara interna presenta una sola hilera de células cúbicas pequeñas ❑ CONDUCTO: Amplio y corto Revestido por un epitelio plano estratificado
  • 59.
    Glándulas Sudoríparas ❑ Glándulastubulares no ramificadas y enrolladas Distribuidas en toda la piel excepto en el lecho ungeal, borde de los labios, glande y en la membrana del tímpano ❑ De amplia distribución, sobre todo en la palma de las manos y planta de los pies
  • 60.
  • 63.
    COMPONENTES DEL SUDOR ◼agua en un 95%, electrolitos (principalmente NaCl) que constituyen el factor de hidratación natural (FHN) responsable de la hidratación cutánea. Además, ácido urocánico, que es un filtro natural ayuda a protegernos de la radiación solar. Adicionalmente podremos encontrar algunos fármacos que se excretan por el, y vitaminas como el complejo B que se excreta en el sudor.
  • 65.
    CLASIFICACIÓN ❑ Glándula Sudorípara Ecrina ❑Abundan en la totalidad de la piel ❑ Glándula Sudorípara Apocrina ❑ Axilas ❑ Areolas del pezón ❑ Region anal
  • 66.
    Glándulas Sudoríparas Ecrinas ◼Mas abundantes en las palmas y plantas ◼ Su porción secretoria ◼ Ubicada en la dermis profunda o hipodermis. ◼ Se organiza enrrollada formando una masa discreta ◼ Revestida de epitelio cilíndrico o cúbico simple ◼ La porción excretora ◼ Asciende hacia la epidermis en un trayecto sinuoso enrollándose para llegar a la superficie libre (Poro Sudoríparo) ◼ Revestida por un epitelio cúbico estratificado
  • 67.
    Glándulas Sudoríparas Ecrinas (Merocrinas) ◼Son Exocrinas Tubulares Simples Enrolladas ◼ Participan en la regulación de la temperatura corporal y se localizan en la dermis de la piel ◼ En los cortes histológicos, la glándula aparece como una masa de túbulos secretores revestidos de epitelio cúbico simple e intercalados con porciones del conducto excretor, revestido de epitelio cúbico estratificado
  • 69.
    FUNCIONES ◼ Termorregulación ◼ Semanifiestan en la tensión nerviosa en palmas y plantas
  • 70.
    Glándulas Sudoríparas Apócrinas ◼Pubis ◼Axila ◼Párpado ◼Areoladel Pezón ◼Labios Mayores ◼Región Perianal ◼Conducto Auditivo Externo
  • 71.
    Glándulas Sudoríparas Apócrinas ◼Son glándulas mas grandes ◼ Producen una secreción mas espesa que el sudor y se descompone con las bacterias ◼ Sus conductos desembocan en las partes superiores de los folículos pilosos. Son mas amplios ◼ En su porción secretoria los vértices celulares se rompen y se muestran menos enrolladas ◼ Estas empiezan a funcionar en la pubertad
  • 74.
    Componentes de laGlándula Sudorípara ❑ Porción secretora. Localizada en la dermis o hipodermis, revestida de epitelio cilíndrico o cúbico simple, constituido por dos tipos de células: ❑ Claras: También llamadas células principales. De tipo seroso. ❑ Oscuras. También llamadas células mucígenas. Producen una glucoproteína mucoide ❑ Entre el epitelio secretorio y la lámina basal hay una capa de células mioepiteliales ❑ Porción conductora. Asciende hacia la epidermis, desemboca en un orificio pequeño llamado “poro sudoríparo” ❑ Es delgado y está revestido por una doble capa de células cúbicas
  • 77.
    Uña ◼ Son placasde queratina dura ◼ Las uñas de las manos crecen cuatro veces más rápido que las de los pies. ◼ Las uñas de las manos y de los pies están compuestas de: ◼ Matriz o raíz. eta es la parte donde crece la uña, situada bajo la piel en la parte donde se origina la uña ◼ Eponiquio. Es la estrecha franja del pliegue de la piel que parece terminar en la base del cuerpo ungueal. Se llama cutícula ◼ Paronniquio. Es la estrecha franja del pliegue de la piel a los lados de la uña. ◼ Hiponiquio. Es el tejido ubicado debajo del borde libre de la uña. Constituye un sello impermeable que protege el lecho ungueal de las infecciones
  • 78.
    ❑Cuerpo ungueal. Esla estructura córnea que normalmente conocemos como uña; la porción dura y translúcida compuesta de queratina ❑Lecho ungueal. Es el tejido conectivo adherente que se encuentra debajo de la uña y conecta con el dedo ❑Lúnula. Es la parte blanquecina en forma de medialuna que se observa casi siempre en la base del cuerpo ungueal. No todos los dedos la tienen visible. La lúnula es el final de la matriz y, por lo tanto, la parte visible de la uña viva El resto del cuerpo ungueal se compone de células muertas
  • 80.