Salvador sandovalHeriberto leyvaIvanamayaArturo supleeAparato Respiratorio
Compuesto por: Dos pulmones y vías aéreas que lo comunican con el exteriorFunciones principales:Conducción del aireFiltración del aireIntercambio de gases
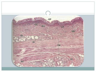
Cavidades NasalesVestíbuloSegmento respiratorioSegmento olfatorio
vestíbuloEpitelio: estratificado planoContiene: VibrisasGlándulas sebáceas
Segmento respiratorioEpitelio: seudoestratificado cilíndrico ciliadoContiene: cornetesCélulasCiliadasCaliciformesEn cepilloDe gránulos pequeñosbasalesNO HAY GLÁNDULAS SEBÁCEAS
Mucosa:
Segmento olfatorioSituado: techo de la cavidad nasalColor: pardo amarillentoCélulas:OlfatoriasDe sostén (sustentaculares)Células basalesCélulas en cepilloCarece de células caliciformes
Glándulas olfatoriasDe “Bowman”Dan una coloración pardo amarillentaSecreción: serosa
Senos paranasalesEpitelio: seudoestratificado cilíndrico ciliadoContiene: muchas células caliciformes
FARINGE
Localización
Funciones
DivisiónAmigalaFaringea
Profundo a Superficial
LARINGE
Localización y Función
PlieguesVocalesRepliegues de la mucosaLimites laterales del orifico glótico (rima glottidis)Ligamento de sostén y musculo esquelético (musculo vocal)Generan tensión para la apertura y cierre de la glotisMusculo extrínsecosDeglución
CartilagoTiroideoM. TiroaritenoideNodulosLinfaticosCartilagoCricoide
PlieguesVestibularesNo tienentejido muscular intrinsecoResonancia
RevestimientoEpitelio estratificado planoEpitelio seudoestratificado cilíndrico ciliadoTejido conjuntivo laringeoGlándulas mucoserosas
TRAQUEA
Localización
Funciones
EpitelioTraquealTipos CelularesCélulas ciliadasCélulas mucosasCélulas en cepilloCélulas de gránulos pequeñosCélulas basales
Células Ciliadas
Células Mucosas o Caliciformes
Células en Cepillo
Células de Gránulos Pequeños
Células Basales
Membrana BasalyLámina propia
Membrana basal.Debajo del epitelio traqueal..Aspecto vítreo u homogéneoesta compuesta por fibras colágenas densamente agrupadas.
Lamina propia..Aparece como una tejido conectivo..Contiene abundantes linfocitos:Tejido linfoide..Una membrana elastica define el limite entre la mucosa y la submucosa..La submucosa contienes grandes vas de distribucion..La adventicia capa externa…
Bronquios y bronquiolos.La tráquea se divide en dos ramas los bronquios..El bronquio izquierdo…al ingresar en los pulmones, los bronquios se transforman en …..
La pared de los bronquios:la mucosa.La muscular.La su mucosaLa capara cartilaginosaLa adventicia.
BronquiolosLos segmentos broncopulmonares se subdividen en lóbulos pulmonares.. Cada lóbulo es aireado por un bronquiolo..La acinos pulmonares…la unidad funcional mas pequeña de la estructura pulmonar e la unidad respiratoria..Los bronquiolos carecen de cartilagos y de glandulas.La celulas de clara…
Alvéolos
¿Qué son?La última etapa de la vía aérea (porción respiratoria)Sitio donde ocurre el intercambio gaseoso150 a 250 millones c/u, 75m2 Características…Poros alveolares (de Kohn)
BronquiolosConductos alveolaresSaco alveolarAlvéolosAlvéolosAlvéolos
Epitelio alveolarFunción defensiva y protectoraCompuesto por tres tipos de células:Células alveolares tipo ICélulas alveolares tipo IICélulas en cepillo
Células alveolares tipo INeumocitos tipo ICélulas planas95%Uniones ocluyentesNo se dividen
Células alveolares tipo IINeumocitos tipo II, células de los tabiquesCúbicasTendencias a acumularse en en las uniones septales5%Protruyen dentro del espacio alveolarCitoplasma aplical con cuerpos laminaresProgenitoras de células alveolares tipo I
Células en cepilloMás escasasReceptores verificadores de calidad de aire en los pulmones.
SurfactanteDisminuye tensión superficial y participa en eliminar material extraño;Dipalmiotilfosfatidilcolina (DPPC)Proteína surfactante AProteína surfactante BProteína surfactante CProteína surfactante D
Proteínas del surfactante (SP-#)Proteína surfactante ARegula homeostasis del surfactanteRespuesta inmunitariaProteína surfactante BCuerpo laminar -> surfactanteOrganizadoraProteína surfactante C1%Ayuda a SP-B y SP-C con la orientación de DPPCProteína surfactante DContra la defensa del huéspedRespuesta inflamatoriaJunto con SP-A, modula respuesta alérgica
Barrera HematogaseosaCélulas y sus productos por las cuales se da el intercambio alvéolo-capilarCapa de surfactante, célula epitelial tipo I y su lámina basal + célula endotelial capilar y su lámina basalEl tejido conjuntivo entre las láminas basales da el título de porción delgada o gruesa.
Macrófagos alveolaresEliminan partículas inhaladas en espacios alveolares y eritrocitos del tabiqueMonocitos de la sangre“células de polvo” y “células de la insuficiencia cardíaca”
Irrigación sanguíneaCirculación pulmonarIrriga los  capilares del tabique alveolarTronco pulmonarTrayecto definidoSe oxigena y es recogia por las venas pulmonaresCirculación BronquialArterias bronquialesIrriga todo menos alvéolos, bronquiolos,  y tejido conjuntivo de las paredes. Anastomosis entre pulmonar y bronquialVenas bronquiales
Vasos linfáticosDrenaje linfático dobleDrenaje de el parénquima pulmonar hasta el hilio.Grupo de vasos linfáticos que drenan la superficie del pulmón  que transucurre por el tejido conjuntivo de la pleura visceral.
InervaciónNo se ven los nervios en microscopioInervación simpática y parasimpática del sistema autónomo.Inervan músculo liso y alteran tamaño de los alvéolos

Aparato respiratorio2

Notas del editor

  • #15 Paso del aire y alimentos; camara de resonanciaparafoanacion
  • #16 Rinofaringe (nasofaringe), orofaringe y laringofaringe
  • #17 EEPNQ:expuestas a efectosabrasivos de alimentos; ESC: no expueso a abrasion
  • #24 A=cuerda vocal, b=cartilagoaritenoides, c=cartilagocricoides, d=glandulasmixtas
  • #35 Secretancatecolamina; produce hormonasserotonina, calcitonina y bombesina