TEMA 1
Análisis de imágenes citológicas del
aparato respiratorio.
1.1 Histología del aparato
respiratorio: vías respiratorias.
Pulmón.
Punto tomado de Dr. Jonatan Kasjan
Jefe de trabajos prácticos de histología normal
y ayudante anatomía patológica
UBA medicina
El aparato respiratorio está compuesto por
dos pulmones y una serie de vías aéreas que
los comunican con el exterior.
Este aparato cumple tres funciones
principales: conducción del aire, filtración
del aire e intercambio de gases
(hematosis).
El aire que pasa por la mucosa olfatoria de
las cavidades nasales transporta partículas
que estimulan los receptores del olfato.
La porción conductora del aparato
respiratorio está formada por las vías aéreas
que conducen a los sitios de respiración
dentro de los pulmones, donde ocurre el
intercambio gaseoso.
Se consideran vías aéreas superiores las
fosas nasales, la cavidad oral y la faringe.
Las vías aéreas inferiores son la laringe, la
tráquea y los bronquios.
 Dentro de los pulmones los bronquios
principales, también llamados bronquios fuente,
sufren una ramificación extensa para finalmente
dar origen a los bronquíolos de distribución.
 La porción respiratoria es la parte de la vía
aérea en la cual se produce el intercambio
gaseoso. Comprende secuencialmente las
estructuras siguientes:
• Bronquíolos respiratorios.
• Conductos alveolares.
• Sacos alveolares.
• Alvéolos.
El acondicionamiento ocurre en la porción
conductora del aparato respiratorio y
comprende el calentamiento, la
humectación y la eliminación de
partículas.
 Las secreciones mucosas y serosas
desempeñan un papel muy importante en el
proceso de acondicionamiento.
Estas secreciones humedecen el aire y
también atrapan las partículas que han
conseguido eludir los gruesos pelos cortos
especiales, llamados vibrisas, que hay en
las cavidades nasales.
Cavidades nasales
 Cada cavidad está comunicada por delante con
el exterior a través de las narinas (orificios del
vestíbulo de la nariz) y por detrás con la
rinofaringe a través de las coanas.
 El segmento olfatorio está situado en parte del
techo de cada cavidad nasal y está tapizado por
una mucosa olfatoria especializada.
 Las células olfatorias son neuronas bipolares
que ocupan todo el espesor del epitelio.
Senos paranasales
Son extensiones del segmento respiratorio
de la cavidad nasal y están tapizados por
epitelio seudoestratificado cilíndrico ciliado
con células caliciformes.
Reciben su nombre de acuerdo con el hueso
en el que están situados y por eso se
conocen como senos (o celdillas)
etmoidales, seno frontal, seno esfenoidal
y senos maxilares.
Senos paranasales
Faringe
 La faringe comunica las cavidades nasal y oral
con la laringe y el esófago.
 Permite el paso del aire y de los alimentos y actúa
como cámara de resonancia para la fonación.
 Se divide en 3 regiones: rinofaringe, orofaringe
y laringofaringe.
 La concentración de nódulos linfáticos en el límite
entre las paredes superior y posterior de la
rinofaringe recibe el nombre de amígdala
faríngea.
Laringe
Este segmento tubular del aparato
respiratorio está formado por placas
irregulares de cartílago hialino y elástico (la
epiglotis y las apófisis vocales de los
cartílagos aritenoides).
Además de servir como conducto para el
paso del aire la laringe es el órgano de la
fonación.
Los pliegues vocales, también conocidos
como cuerdas vocales verdaderas, son dos
repliegues de la mucosa que se proyectan
dentro de la luz de la laringe.
Tráquea
 La tráquea, un tubo corto y flexible (mide unos 2,5
cm de diámetro y más o menos 10 cm de longitud)
que permite el paso del aire y cuya pared
contribuye al acondicionamiento del aire inspirado,
se extiende desde la faringe hasta la mitad del
tórax, su extremo inferior se denomina carina y es
donde se divide en dos bronquios principales.
 La luz de la tráquea se mantiene abierta a causa
de la disposición de sus anillos cartilaginosos
incompletos.
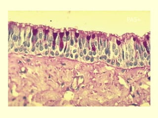
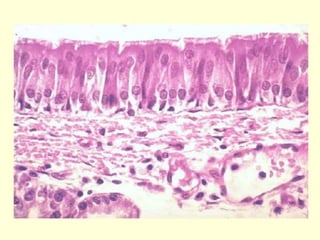
 La pared traqueal está compuesta por:
• Mucosa, compuesta por un epitelio
pseudoestratificado cilíndrico ciliado con células
caliciformes (epitelio respiratorio) y una lámina
propia con fibras elásticas abundantes.
• Submucosa, compuesta por un tejido conectivo
apenas más denso que el de la lámina propia.
• Capa cartilaginosa, compuesta por cartílagos
hialinos con forma de C.
• Adventicia, compuesta por un tejido conectivo
que adhiere la tráquea a las estructuras contiguas.
Esófago
Traquea
PAS+
Pulmones
Los pulmones son órganos pares ubicados
en la cavidad torácica, se encuentran
suspendidos por los bronquios principales y
los tallos vasculares.
Los pedículos pulmonares (bronquio,
arteria bronquial (rama de aorta y es
nutricia), arteria pulmonar (lleva sangre
venosa que viene del ventrículo derecho),
vena pulmonar, nervios (componentes
simpático y parasimpático del SNA que
modifican las dimensiones de las vías
aéreas) y vasos linfáticos).
 La superficie externa de los pulmones está
recubierta por una membrana serosa
denominada pleura visceral, esta se continúa a
nivel del hilio pulmonar con la pleura parietal
que tapiza por dentro la cavidad torácica.
 Entre ambas pleuras encontramos la cavidad
pleural, la cual contiene un líquido denominado
líquido pleural, el cual cumple con la función de
lubricar ambas pleuras y disminuir el rozamiento
con los movimientos respiratorios.
Bronquios
 La tráquea se divide en dos ramas que forman
los bronquios principales (primarios).
 Al introducirse en el hilio pulmonar cada
bronquio principal se divide en los bronquios
lobares (bronquios secundarios).
 El pulmón izquierdo está dividido en dos
lóbulos, mientras que el derecho lo está en tres.
Bronquios
 Mucosa, que está compuesta por un epitelio
seudo-estratificado cilíndrico con las mismas
células que tiene el epitelio traqueal. La lámina
propia es semejante a la de la tráquea pero su
cantidad disminuye en proporción al diámetro de
los bronquios.
 Muscular, que es una capa continua de músculo
liso en los bronquios mayores. En los bronquios
menores está más adelgazada y menos
organizada y puede aparecer discontinua a causa
de su trayecto espiralado.
 Submucosa, que permanece como un tejido conectivo
bastante laxo. En los bronquios hay glándulas que
siguen a las placas cartilaginosas, es decir que
aparecen en los mismos sectores bronquiales en los que
hay cartílago. Las glándulas bronquiales producen
mucina que, junto con la secretada por las células
caliciformes del epitelio de superficie, forma la capa
mucosa sobre la superficie luminal.
 Capa cartilaginosa, que consiste en placas
cartilaginosas discontinuas.
 Adventicia, que es un tejido conectivo de densidad
moderada que se continúa con el conectivo de las
estructuras contiguas.
Bronquios
Bronquíolos
Los bronquíolos son vías aéreas de
conducción que miden 1 mm de diámetro o
menos.
Los bronquíolos más grandes se conocen
como bronquíolo propiamente dicho y son
ramas de los bronquios segmentarios.
Estos conductos sufren ramificaciones
consecutivas para dar origen a los
bronquíolos terminales, que son más
pequeños y también se ramifican.
Por último, los bronquíolos terminales dan
origen a los bronquíolos respiratorios.
Bronquíolo, propiamente dicho
 Al principio tiene un epitelio seudoestratificado
cilíndrico ciliado que gradualmente se
transforma en un epitelio cilíndrico simple ciliado
conforme el conducto se estrecha.
 La pared del bronquíolo propiamente dicho tiene
muchas capas de músculo liso, el cual se
contrae tras de la preparación histológica y
genera la característica luz estrellada de este
bronquíolo.
 En los bronquíolos no hay glándulas subepite-
liales ni tampoco las placas cartilaginosas.
Bronquíolo terminal
Están revestidos por un epitelio cúbico
simple en el cual hay células de Clara
dispersas entre las células ciliadas.
La capa de músculo liso y el diámetro de
este bronquíolo es menor que en el
propiamente dicho y por lo tanto lo
característico frente al microscopio es ver
una estructura circular bien definida.
Bronquíolo respiratorio
Se caracteriza por tener su pared
bronquiolar interrumpida por alvéolos y es
aquí donde comienza el intercambio
gaseoso.
Marca el comienzo de la porción
respiratoria y el fin del sector de
conducción del aparato respiratorio.
Alvéolos
 Los alvéolos son los espacios aéreos terminales
del aparato respiratorio y las estructuras en las
que se produce el intercambio gaseoso entre el
aire y la sangre (hematosis).
 Cada alvéolo está rodeado por una red de
capilares que ponen la sangre muy cerca del aire
inspirado que está en la luz alveolar.
 En cada pulmón de adulto hay entre 150 y 250
millones de alvéolos; la extensión de su superficie
interna combinada es de alrededor de 75 m2, más
o menos las dimensiones de una cancha de tenis.
Los conductos alveolares son vías aéreas
alargadas que casi no tienen paredes sino
sólo alvéolos como sus límites periféricos.
Los sacos alveolares son espacios
rodeados por cúmulos de alvéolos. Los
alvéolos circundantes se abren hacia estos
espacios.
Los alvéolos están rodeados y separados
unos de otros por una finísima capa de tejido
conectivo (tabique alveolar) que contiene
capilares sanguíneos.
El epitelio alveolar
Las células alveolares de tipo I, también
conocidas como neumocitos de tipo I, son
células pavimentosas o planas muy delgadas
(con un espesor de 0,1 μm) que revisten la
mayor parte (95%) de la superficie de los
alvéolos.
Las células alveolares de tipo II, también
denominadas neumocitos de tipo II o
células de los tabiques, son células
secretoras (surfactante).
Surfactante pulmonar
 La capa del surfactante producido por las células
alveolares de tipo II reduce la tensión superficial
en la interfaz aire-epitelio. El agente más decisivo
para la estabilidad del espacio aéreo es un
fosfolípido específico llamado
dipalmitoilfosfatidilcolina (DPPC), que es la
causa de casi todas las propiedades reductoras
de la tensión superficial del surfactante.
 En los lactantes prematuros su disminución causa
el síndrome de distrés respiratorio (SDR)
neonatal o enfermedad de las membranas
hialinas (debido al aspecto histopatológico al
mirar este tejido pulmonar en el microscopio).
Macrófagos alveolares
 Los macrófagos alveolares o neumocitos tipo
III son singulares porque funcionan tanto en el
tejido conectivo del tabique como en el espacio
aéreo del alvéolo (no forman parte de la pared,
se desplazan libremente por el interior alveolar).
 En los espacios aéreos barren la superficie para
eliminar las partículas inhaladas, por ejemplo
polvo y polen, y este es el fundamento de uno
de sus nombres alternativos (células del polvo).
Barrera hematogaseosa
Bibliografía consultada
Finn Geneser. Histología. 3ª Edición 2000
Editorial Panamericana.
Ross MH-Pawlina. Histología Texto y Atlas
color con Biología Celular y Molecular. 5ª
Edición 2007 Editorial Panamericana.
Fawcett D.W. Tratado de Histología. 12ª
Edición 1995 Editorial Interamericana. Mc
Graw-Hill.
Manuales Micromeds Histología (Riobamba
781 1ºA, esquina Av. Córdoba).
2. Métodos de exploración y obtención de
muestras: cepillado. Broncoaspiración (BAS).
Lavado broncoalveolar (BAL). Esputo. Punción
• Existen métodos invasivos y no invasivos.
• El esputo es un método de obtención no invasivo, fácil de obtener y
barato, aunque con baja sensibilidad. No sirve como screening (se usa en
pacientes sintomáticos). Tiene mayor rentabilidad para neoplasias de
localización central y puede obtenerse de manera espontánea o inducido
(nebulización con agua o suero salino). Para que sea representativo de las
vías respiratorias bajas debemos observar un número significativo de
macrófagos alveolares (las células ciliadas proceden también de las vías
altas). Suele mostrar contaminación de células escamosas de la boca.
• El mejor material se obtiene nada más levantarse por la mañana mediante
tos profunda, habitualmente 3 días consecutivos.
• El procesamiento más habitual es en fresco mediante la técnica de pick
and smear (seleccionar material que no sea saliva y extender en portas). Si
no se puede, se recolecta en líquido conservador (tipo Saccomanno).
• Mediante broncoscopio flexible podemos obtener
muestras del árbol bronquial con visión directa de la
lesión mediante cepillado o broncoaspirado (BAS).
Este último se puede centrifugar y a partir de ahí hacer
extendidos, citología líquida o citobloque. El cepillado se
suele extender en portas o utilizar en citología líquida.
Habitualmente se obtienen ambas muestras, lo cual
aumenta la rentabilidad.
• En el lavado broncoalveolar (BAL) el broncoscopio se
enclava lo más distal posible, se instila suero salino y se
recoge el producto de este lavado. Se suele centrifugar
o usar citología líquida. Es muy útil para el estudio de
procesos funcionales de pulmón o infecciones
oportunistas en inmunocomprometidos (citomegalovirus,
pneumocystis, criptococo). También puede ser útil para
diagnóstico tumoral (p. ej., carcinoma bronquioalveolar).
• La punción transbronquial permite obtener
muestras de estructuras o lesiones pulmonares
paranquimatosas. Para el mediastino también
se puede usar la punción transesofágica. En
ambos casos se está usando cada vez más la
endoscopia.
• Podemos obtener muestras de masas
pulmonares, sobre todo si son periféricas, lejos
del alcance del broncoscopio, mediante punción
a través de la pared torácica (PAAF
percutánea) guiada habitualmente con control
por TC.
3. Patrones de normalidad en citología de
aparato respiratorio. Vías respiratorias.
Pulmón.
• En las muestras procedentes
de vías respiratorias mediante
cepillado o broncoaspirado
observamos grupos de
células columnares ciliadas,
en ocasiones con células
caliciformes entremezcladas.
También podemos observar
células sueltas, dependiendo
de lo vigoroso de la extensión.
• La relación núcleo/citoplasma está conservada y los
núcleos son ovales o redondeados con cromatina fina y
homogénea. La membrana nuclear es lisa y regular. Los
nucleolos no se ven o son pequeños.
• En muestras obtenidas de regiones alveolares
observamos macrófagos en cantidad variable (muy
abundantes en los BAL). Son células de citoplasma
amplio, con abundantes restos fagocitados. Los núcleos
son ovales o redondeados con nucleolos no atípicos. Se
suelen confundir con neumocitos de tipo II (citoplasma
más denso y no presencia de restos fagocitados).
• En ocasiones se observan elementos no celulares,
como las espirales de Curschmann, que son moco
espesado sin relevancia patológica; los cuerpos
ferruginosos de color azul con tinción de Perls,
frecuentes en la asbestosis; los cristales de Charcot-
Leyden, de color naranja intenso; los cuerpos de
psamoma, cuerpos amiláceos y contaminantes, como el
hongo Alternaria, polen o talco de los guantes.
Cristales de Charchot-Leyden Hongo Alternaria
Espirales de Curschmann Cuerpos ferruginosos
• Existen cambios celulares
benignos que pueden dificultar el
diagnóstico. En ocasiones se
observan células escamosas no
atípicas por contaminación oral del
esputo o de la broncoscopia. Si
existe inflamación, infartos
pulmonares, radio o quimioterapia,
pueden aparecer en los frotis
células con queratinización
citoplasmática y atipia nuclear que
no hay que confundir con
carcinoma epidermoide (evitar dar
un diagnóstico de malignidad sólo
con células queratinizadas).
Aquellas suelen conservar la
relación núcleo-citoplasma y los
núcleos suelen estar
hipercromáticos y degenerados, lo
que impide ver las características
de la cromatina.
Extensión insatisfactoria con
presencia de células escamosas
más oscuras por respuesta
inflamatoria
• Las células bronquiales también pueden reaccionar ante
diferentes estímulos (inflamación, radiación) con presencia de
agrandamiento nuclear, nucleolos grandes o multinucleación,
variación en el tamaño celular y/o nuclear
(anisocitosis/anisocariosis), llegando a formar en ocasiones grupos
grandes cohesivos de células conocidos como cuerpos de Creolá.
La presencia de cilios en estos grupos y una transición gradual de
cambios celulares permite diferenciarlos de una neoplasia maligna.
• La hiperplasia también puede afectar a las células caliciformes: no
confundir con adenocarcinomas mucinosos (núcleos aplanados
basales, sin atipia nuclear).
• Las células de reserva pueden
proliferar ante una agresión al
epitelio bronquial y sufrir cambios
hiperplásicos. El diagnóstico
diferencial principal es con el
carcinoma de célula pequeña (no
mitosis, no necrosis, menor suelta de
células y células de menor tamaño).
• En el caso de reepitelización de una
úlcera el epitelio presenta cambios
de reparación con núcleos grandes,
con gran nucleolo, y superpuestos.
• La hiperplasia de neumocitos de tipo
II se produce ante neumonía, infarto
pulmonar, daño alveolar difuso, etc.,
con núcleos grandes, nucleolos
prominentes, grupos
tridimensionales, etc. Todo ello
puede llevar a un adenocarcinoma,
aunque la diferencia con éste estriba
en que en un proceso agudo la atipia
desaparece al cabo de un mes.
4. Citología benigna no tumoral
• Las infecciones bacterianas no suelen
dar un patrón citológico característico.
La mayoría muestran extendidos con
abundantes leucocitos
polimorfonucleares neutrófilos y gran
cantidad de detritus celulares.
• En la neumonía bacteriana
representada en la imagen se aprecia
un corte histológico de alvéolos
pulmonares normales (arriba)
comparados con alvéolos durante una
neumonía. Se puede ver cómo están
llenos de células inflamatorias y de
abundante infiltrado.
• Una de las infecciones
bacterianas más frecuentes es
la tuberculosis. En ella se
observan granulomas
(agregados sincitiales de
histiocitos epitelioides), con
células gigantes multinucleadas
tipo Langhans y necrosis.
• Se puede demostrar la bacteria
mediante la técnica de Ziehl-
Neelsen o auramina
(fluorescencia) o mediante PCR
para detectar ADN.
• Hay que diferenciar la
tuberculosis de otras
enfermedades como
sarcoidosis o infecciones por
hongos.
L
• Las infecciones virales se suelen
reconocer por los cambios
producidos en el núcleo o en el
citoplasma de las células infectadas.
Los más característicos son:
– El herpes.
• Las células son grandes,
multinucleadas con amoldamiento de
los núcleos e inclusiones
intranucleares en “vidrio esmerilado”
o gran inclusión eosinófila con
condensación periférica de la
cromatina.
– El citomegalovirus (CMV).
• Se presenta con frecuencia en
lactantes por infección intrauterina o
en inmudodeprimidos tras un
trasplante.
• Se caracteriza por células grandes
con inclusiones eosinófilas
intranucleares de gran tamaño y
rodeadas por un halo claro.
– El adenovirus.
• Produce llamativas
inclusiones intranucleares de
tonalidad basófila.
– El virus sincitial
respiratorio.
• Provoca células
multinucleadas grandes, a
veces con inclusiones
intracitoplasmáticas
basófilas.
– El virus de la
parainfluenza.
• Produce pérdida de los cilios
del epitelio respiratorio y
muchas células columnares
contienen pequeños cuerpos
de inclusión eosinófilos
intracitoplasmáticos.
• Las infecciones fúngicas
más comunes son:
– La Candida spp., que se ven
con pseudohifas (no
tabicadas) y esporas como
en la citología vaginal.
Requieren correlación
clínica porque suelen ser
contaminantes de vías
respiratorias superiores.
– El Aspergillus spp., que
muestra hifas tabicadas más
gruesas ramificadas en
ángulo agudo. Pueden verse
conidios si la lesión está
oxigenada.
– El Mucor, menos frecuente
y más destructivo, con
hifas gruesas y ramificadas
en ángulo de 90º.
– El Cryptococcus
neoformans se observa en
inmunodeprimidos y es
pequeño, con cápsula
refráctil que se tiñe con
tinta china (suspensión de
partículas de carbono
coloidal) o PAS por su alto
contenido en
mucopolisacáridos.
– Menos frecuente en
nuestro medio es el
Histoplasma capsulatum,
levadura cuya forma
patógena es intracelular.
Tratamiento exitoso de mucormicosis rino-órbito-cerebral en un paciente trasplantado
renal de 33 años
• Las infecciones
protozoarias más
frecuentes son las
causadas por el
Pneumocystis jirovecii
(antes carinii), que suele
afectar a
inmunodeprimidos y se
suela asociar a la infección
por CMV. Se observan
exudados algodonosos en
ocasiones con forma de
molde alveolar. Con
técnica de plata se
observan los quistes en
forma de copa similar a
una pelota aplastada de
tenis de mesa. En tinción
de Papanicolau el
microorganismo presenta
autoflorescencia.
• Entre las
infecciones por
parásitos destaca la
equinococosis,
provocada por el
Echinococcus
granulosus, que
produce hidatidosis.
El hombre es
huésped
intermediario, en el
que se desarrolla la
tenia en estado de
larva, dando lugar al
quiste hidatídico en
hígado, pulmones,
etc., tras eclosionar
los huevos en el tubo
digestivo.
• Para terminar la citopatología benigna no tumoral hay
que citar la proteinosis alveolar. Es una patología
benigna no infecciosa que macroscópicamente muestra
un aspecto lechoso y que se diagnostica correctamente
en el BAL. Se produce una acumulación de surfactante
dentro de los alvéolos, que están llenos de un material
proteináceo granular. En citología se observan grumos
hialinos de material amorfo junto a macrófagos.
5. Citopatología tumoral: benigna y de
lesiones malignas. Inmunocitoquímica en el
cáncer de pulmón
• 5.1. Tumores benignos de pulmón.
– Tienen poca importancia en la práctica clínica, pero
conviene conocerlos para no confundirlos con
neoplasias malignas. Los más comunes son:
– El hamartoma pulmonar. Es el más frecuente y con
unas características citológicas fácilmente
reconocibles, puesto que se presenta como un bulto
redondo y solitario en la periferia del pulmón. Se
detecta por punción. Está constituido por epitelio
mezclado con celularidad mesenquimal (cartílago,
matriz hialina fibrilar o fibromixoide) y, en ocasiones,
adipocitos.
– El tumor de células granulares endobronquial (TCG) o
schwannoma es el representante pulmonar de un tumor benigno
que deriva de células de Schwann que puede aparecer en
muchos órganos. Son células de citoplasma grande, granular
eosinófilo, con núcleo sin atipia, que pueden confundirse con
macrófagos. A diferencia de éstos, expresan S100 (familia de
proteínas de bajo peso molecular).
– El tumor miofibroblástico inflamatorio está
constituido por células fusiformes típicamente
acompañadas por células inflamatorias
(plasmáticas, linfocitos, histiocitos).
5.2. El cáncer de pulmón
• Es uno de los más frecuentes en todo el mundo,
sobre todo en los países desarrollados por su
estrecha relación con el consumo de tabaco.
• Más del 90% de las neoplasias pulmonares
malignas pertenecen a cuatro grupos: el
adenocarcinoma, el carcinoma epidermoide
o escamoso, el carcinoma de célula grande y
el carcinoma de células pequeñas. El resto de
neoplasias son menos frecuentes y peor
reconocidas citológicamente.
• El adenocarcinoma es el tipo
histológico más frecuente (40% de
todos los cánceres de pulmón,
aproximadamente).
– Suele ser de localización periférica
y no suele dar síntomas.
– Forma glándulas, papilas,
micropapilas, acinos plana
monocapa o grupos
tridimensionales, con células
grandes de amplio citoplasma fino,
no denso como el epidermoide.
– Puede presentar vacuolas
intracitoplasmáticas.
– Los núcleos suelen ser excéntricos,
redondos con carioteca (membrana
nuclear) lisa o con aisladas
indentaciones profundas.
– La cromatina es fina, menos
hipercromática que el epidermoide y
con presencia de nucléolos grandes
y llamativos.
– Un subtipo del adenocarcinoma es el
adenocarcinoma bronquioloalveolar no
mucinoso o mucinoso. Es poco frecuente,
pero constituye la forma más común que
se presenta en pacientes que nunca
habían fumado en sus vidas, en mujeres
y asiáticos. Se define a un carcinoma
bronquioloalveolar como un carcinoma in
situ, es decir, no es un tumor invasivo
ni metastásico y se origina, como su
nombre indica, en una zona bastante
periférica del parénquima pulmonar, la
región terminal bronquioalveolar. A pesar
de que no invade otros tejidos, el
carcinoma bronquioloalveolar es un tumor
maligno y con frecuencia letal.
• Está constituido por placas de células
columnares que proliferan a lo largo del
marco de las paredes alveolares; más
pequeñas, con menor atipia, núcleos
uniformes, nucléolo pequeño, pliegues
nucleares o pseudoinclusiones. Se
pueden confundir con neumocitos tipo II
hiperplasiados o macrófagos, pero en
general son células bien diferenciadas. El
diagnóstico definitivo es histológico.
• El carcinoma epidermoide o
escamoso suele ser de localización
central con frecuente hemoptisis.
– Supone entre el 25 y el 30% de todos
los cánceres de pulmón y está muy
relacionado con el tabaquismo.
– Los bien diferenciados suelen
presentarse en forma de células
grandes poligonales, redondeados o en
renacuajo, con citoplasma denso bien
definido, en ocasiones intensamente
orangófilo si está queratinizado, de
bordes citoplasmáticos nítidos.
– Los núcleos suelen tener carioteca
irregular, cromatina grosera,
hipercromatismo, picnosis y sin
nucléolos llamativos.
– Los no diferenciados pueden disponerse
en grupos grandes de células no
queratinizadas, con núcleo voluminoso y
nucléolo prominente. El resto de
características celulares se pierden, por
lo que el diagnóstico diferencial con el
adenocarcinoma es difícil.
Carcinoma epidermoide queratinizante
en el pulmón
Carcinoma epidermoide en la cavidad
oral
• El carcinoma de célula grande:
– Representa aproximadamente un 10%
de los casos de cáncer de pulmón.
– Puede aparecer en cualquier parte del
pulmón y tiene a extenderse con
rapidez.
– No presenta diferenciación glandular o
escamosa, tanto morfológica como
inmunohistoquímicamente, por lo que
es un diagnóstico de exclusión. La
especificidad de esta neoplasia en
muestras citológicas o incluso biopsias
pequeñas es baja. Un subtipo dentro de
este grupo es el carcinoma
neuroendocrino de célula grande, que
muestra diferenciación neuroendocrina
(rosetas, empalizadas, moldeamiento
nuclear), necrosis, citoplasmas amplios
y nucléolos prominentes.
• El carcinoma de células pequeñas,
oat-cell o microcítico:
– Se relaciona con el tabaquismo y tiene gran
capacidad de metastatizar a otros órganos.
– Se estima que alrededor del 20% de los
cánceres de pulmón son de células
pequeñas.
– Es una neoplasia de alto grado, que suele
presentarse con masa mediastínica.
– A menudo se origina en los bronquios y
tienda a propagarse ampliamente.
– A diferencia de los anteriores, se trata
mediante quimioterapia.
– Está constituido por células de entre 7 y 21
micras (tamaño de 2-3 hematíes) que se
suelen disponer sueltas o en grupos poco
cohesivos, con abundante arrastre
cromatínico, alta relación núcleo-citoplasma,
frecuente amoldamiento nuclear por escaso
citoplasma, hipercromatismo o cromatina “en
sal y pimienta” con nucléolo invisible o de
pequeño tamaño. Suele haber abundantes
mitosis y acompañarse de fondo necrótico.
– En el esputo se dispone en ocasiones
formando regueros.
• Otros tipos:
– Los tumores neuroendocrinos de bajo grado (carcinoide,
carcinoide atípico) muestran células monomorfas fusiformes o
epitelioides, de núcleos redondo u oval, con cromatina “en sal y
pimienta”, sin necrosis y sin mitosis (a excepción del atípico).
Tanto los carcinoides como los carcinomas de células pequeñas
se consideran tumores con diferenciación neuroendocrina
(expresan sinaptofisina y cromogranina).
– Otros tumores primarios como el adenoide quístico o el
mucoepidermoide son neoplasias bronquiales, menos
frecuentes y citológicamente superponibles a las neoplasias de
glándulas salivales.
– Los linfomas primarios son raros y de bajo grado de la zona
marginal del tejido asociado a la mucosa bronquial. Están
constituidos por linfocitos pequeños, monomorfos y de escaso
citoplasma. Se diferencian de un carcinoma de célula pequeña
porque conservan un pequeño ribete de citoplasma basófilo, no
hacen grupos y tienen nucléolos pequeños. Además, expresan
CD45.
• Las metástasis pulmonares:
– Son frecuentes sobre todo en los estadios
finales de algunas neoplasias.
– Suelen ser lesiones múltiples.
– El adenocarcinoma suele ser el más
frecuente, de origen colónico, mama o
gastrointestinal. En cualquier caso, se debe
comparar la citología con muestras
histológicas o citológicas previas del tumor,
que junto con el uso de técnicas
complementarias, ayuda a confirmar el
origen primario o metastásico del tumor.
– Los tumores de mama o estómago suelen
presentarse con un patrón celular en anillo
de sello.
– En casos de origen tiroideo, renal u ovárico
se encuentra sin embargo un patrón de
morfología papilar.
– Si se observan células vacuoladas, con
citoplasma laxo y sobre todo se acompañan
de núcleos desnudos y vasos finos, hay que
pensar en un origen renal.
– Si observamos células fusiformes o
epitelioides, con citoplasmas amplios, núcleo
excéntrico con pseudoinclusiones, nucléolos
grandes y binucleaciones, habrá que pensar
en un melanoma.
Carcinoma gástrico con células en anillo
de sello
Patrón de células en anillo de sello
5.1. Inmunocitoquímica en los tumores
malignos
• El diagnóstico debe basarse siempre en primer lugar en las
características citológicas. No obstante, existen ocasiones en las
que el tumor es pobremente diferenciado o debemos descartar una
metástasis. En estos casos son de gran utilidad técnicas de
inmunocitoquímica. Como regla general:
– El adenocarcinoma pulmonar expresa citoqueratina 7, TTF-1 y napsina,
a excepción del adenocarcinoma mucinoso, que puede no expresar
TTF-1 y citoqueratina 7, pero que sí expresa citoqueratina 20, como el
carcinoma de colon.
– El carcinoma epidermoide expresa p63, citoqueratina 5/6 y p40.
– Los tumores neuroendocrinos deben expresar al menos dos de los
marcadores como sinaptofisina, cromogranina o CD56. También
expresan TTF-1.
– Los linfomas tendrán un patrón especial para cada grupo. En general la
expresión de antígeno leucocitario común (LCA, CD45) y la ausencia
de expresión de queratinas nos ayudarán a diferenciarlo de los
carcinomas.
– Las metástasis tendrán un patrón de anticuerpos que dependerá del
origen: de los más frecuentes, el adenocarcinoma de colon suele
expresar citoqueratina 20, CDX-2 y villina; y el melanoma expresará
S100, Melan A y HMB45.
Glosario
• Adenocarcinoma: neoplasia maligna de estirpe epitelial con
diferenciación glandular.
• Carcinoma epidermoide (escamoso): neoplasia maligna epitelial
similar al epitelio escamoso que recubre la piel y mucosas, con
puentes intercelulares y queratinización citoplasmática.
• Célula en anillo de sello: célula que, por la presencia de una
vacuola de moco intracitoplasmática que desplaza el núcleo a la
periferia, adopta una imagen similar a un anillo. Típica del
carcinoma de estómago difuso y lobulillar de mama.
• Linfoma: neoplasia maligna que tiene su origen en linfocitos con
afectación de ganglios linfáticos (adenopatías).
• Metástasis: presencia de células tumorales malignas en un órgano
alejado del origen tumoral.
• Moldeamiento nuclear: aposición de los núcleos de células con
escaso citoplasma, semejando un mosaico. Típico del carcinoma de
célula pequeña.

Tema 1. Aparato respiratorio

  • 1.
    TEMA 1 Análisis deimágenes citológicas del aparato respiratorio. 1.1 Histología del aparato respiratorio: vías respiratorias. Pulmón. Punto tomado de Dr. Jonatan Kasjan Jefe de trabajos prácticos de histología normal y ayudante anatomía patológica UBA medicina
  • 2.
    El aparato respiratorioestá compuesto por dos pulmones y una serie de vías aéreas que los comunican con el exterior. Este aparato cumple tres funciones principales: conducción del aire, filtración del aire e intercambio de gases (hematosis). El aire que pasa por la mucosa olfatoria de las cavidades nasales transporta partículas que estimulan los receptores del olfato.
  • 3.
    La porción conductoradel aparato respiratorio está formada por las vías aéreas que conducen a los sitios de respiración dentro de los pulmones, donde ocurre el intercambio gaseoso. Se consideran vías aéreas superiores las fosas nasales, la cavidad oral y la faringe. Las vías aéreas inferiores son la laringe, la tráquea y los bronquios.
  • 4.
     Dentro delos pulmones los bronquios principales, también llamados bronquios fuente, sufren una ramificación extensa para finalmente dar origen a los bronquíolos de distribución.  La porción respiratoria es la parte de la vía aérea en la cual se produce el intercambio gaseoso. Comprende secuencialmente las estructuras siguientes: • Bronquíolos respiratorios. • Conductos alveolares. • Sacos alveolares. • Alvéolos.
  • 6.
    El acondicionamiento ocurreen la porción conductora del aparato respiratorio y comprende el calentamiento, la humectación y la eliminación de partículas.  Las secreciones mucosas y serosas desempeñan un papel muy importante en el proceso de acondicionamiento. Estas secreciones humedecen el aire y también atrapan las partículas que han conseguido eludir los gruesos pelos cortos especiales, llamados vibrisas, que hay en las cavidades nasales.
  • 7.
    Cavidades nasales  Cadacavidad está comunicada por delante con el exterior a través de las narinas (orificios del vestíbulo de la nariz) y por detrás con la rinofaringe a través de las coanas.  El segmento olfatorio está situado en parte del techo de cada cavidad nasal y está tapizado por una mucosa olfatoria especializada.  Las células olfatorias son neuronas bipolares que ocupan todo el espesor del epitelio.
  • 9.
    Senos paranasales Son extensionesdel segmento respiratorio de la cavidad nasal y están tapizados por epitelio seudoestratificado cilíndrico ciliado con células caliciformes. Reciben su nombre de acuerdo con el hueso en el que están situados y por eso se conocen como senos (o celdillas) etmoidales, seno frontal, seno esfenoidal y senos maxilares.
  • 10.
  • 11.
    Faringe  La faringecomunica las cavidades nasal y oral con la laringe y el esófago.  Permite el paso del aire y de los alimentos y actúa como cámara de resonancia para la fonación.  Se divide en 3 regiones: rinofaringe, orofaringe y laringofaringe.  La concentración de nódulos linfáticos en el límite entre las paredes superior y posterior de la rinofaringe recibe el nombre de amígdala faríngea.
  • 12.
    Laringe Este segmento tubulardel aparato respiratorio está formado por placas irregulares de cartílago hialino y elástico (la epiglotis y las apófisis vocales de los cartílagos aritenoides). Además de servir como conducto para el paso del aire la laringe es el órgano de la fonación. Los pliegues vocales, también conocidos como cuerdas vocales verdaderas, son dos repliegues de la mucosa que se proyectan dentro de la luz de la laringe.
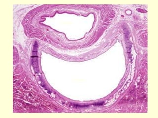
  • 13.
    Tráquea  La tráquea,un tubo corto y flexible (mide unos 2,5 cm de diámetro y más o menos 10 cm de longitud) que permite el paso del aire y cuya pared contribuye al acondicionamiento del aire inspirado, se extiende desde la faringe hasta la mitad del tórax, su extremo inferior se denomina carina y es donde se divide en dos bronquios principales.  La luz de la tráquea se mantiene abierta a causa de la disposición de sus anillos cartilaginosos incompletos.
  • 14.
     La paredtraqueal está compuesta por: • Mucosa, compuesta por un epitelio pseudoestratificado cilíndrico ciliado con células caliciformes (epitelio respiratorio) y una lámina propia con fibras elásticas abundantes. • Submucosa, compuesta por un tejido conectivo apenas más denso que el de la lámina propia. • Capa cartilaginosa, compuesta por cartílagos hialinos con forma de C. • Adventicia, compuesta por un tejido conectivo que adhiere la tráquea a las estructuras contiguas.
  • 16.
  • 20.
  • 21.
    Pulmones Los pulmones sonórganos pares ubicados en la cavidad torácica, se encuentran suspendidos por los bronquios principales y los tallos vasculares. Los pedículos pulmonares (bronquio, arteria bronquial (rama de aorta y es nutricia), arteria pulmonar (lleva sangre venosa que viene del ventrículo derecho), vena pulmonar, nervios (componentes simpático y parasimpático del SNA que modifican las dimensiones de las vías aéreas) y vasos linfáticos).
  • 22.
     La superficieexterna de los pulmones está recubierta por una membrana serosa denominada pleura visceral, esta se continúa a nivel del hilio pulmonar con la pleura parietal que tapiza por dentro la cavidad torácica.  Entre ambas pleuras encontramos la cavidad pleural, la cual contiene un líquido denominado líquido pleural, el cual cumple con la función de lubricar ambas pleuras y disminuir el rozamiento con los movimientos respiratorios.
  • 23.
    Bronquios  La tráquease divide en dos ramas que forman los bronquios principales (primarios).  Al introducirse en el hilio pulmonar cada bronquio principal se divide en los bronquios lobares (bronquios secundarios).  El pulmón izquierdo está dividido en dos lóbulos, mientras que el derecho lo está en tres.
  • 24.
    Bronquios  Mucosa, queestá compuesta por un epitelio seudo-estratificado cilíndrico con las mismas células que tiene el epitelio traqueal. La lámina propia es semejante a la de la tráquea pero su cantidad disminuye en proporción al diámetro de los bronquios.  Muscular, que es una capa continua de músculo liso en los bronquios mayores. En los bronquios menores está más adelgazada y menos organizada y puede aparecer discontinua a causa de su trayecto espiralado.
  • 25.
     Submucosa, quepermanece como un tejido conectivo bastante laxo. En los bronquios hay glándulas que siguen a las placas cartilaginosas, es decir que aparecen en los mismos sectores bronquiales en los que hay cartílago. Las glándulas bronquiales producen mucina que, junto con la secretada por las células caliciformes del epitelio de superficie, forma la capa mucosa sobre la superficie luminal.  Capa cartilaginosa, que consiste en placas cartilaginosas discontinuas.  Adventicia, que es un tejido conectivo de densidad moderada que se continúa con el conectivo de las estructuras contiguas.
  • 26.
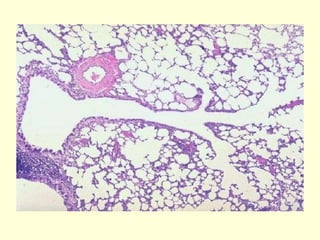
  • 29.
    Bronquíolos Los bronquíolos sonvías aéreas de conducción que miden 1 mm de diámetro o menos. Los bronquíolos más grandes se conocen como bronquíolo propiamente dicho y son ramas de los bronquios segmentarios. Estos conductos sufren ramificaciones consecutivas para dar origen a los bronquíolos terminales, que son más pequeños y también se ramifican. Por último, los bronquíolos terminales dan origen a los bronquíolos respiratorios.
  • 30.
    Bronquíolo, propiamente dicho Al principio tiene un epitelio seudoestratificado cilíndrico ciliado que gradualmente se transforma en un epitelio cilíndrico simple ciliado conforme el conducto se estrecha.  La pared del bronquíolo propiamente dicho tiene muchas capas de músculo liso, el cual se contrae tras de la preparación histológica y genera la característica luz estrellada de este bronquíolo.  En los bronquíolos no hay glándulas subepite- liales ni tampoco las placas cartilaginosas.
  • 33.
    Bronquíolo terminal Están revestidospor un epitelio cúbico simple en el cual hay células de Clara dispersas entre las células ciliadas. La capa de músculo liso y el diámetro de este bronquíolo es menor que en el propiamente dicho y por lo tanto lo característico frente al microscopio es ver una estructura circular bien definida.
  • 36.
    Bronquíolo respiratorio Se caracterizapor tener su pared bronquiolar interrumpida por alvéolos y es aquí donde comienza el intercambio gaseoso. Marca el comienzo de la porción respiratoria y el fin del sector de conducción del aparato respiratorio.
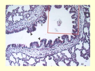
  • 41.
    Alvéolos  Los alvéolosson los espacios aéreos terminales del aparato respiratorio y las estructuras en las que se produce el intercambio gaseoso entre el aire y la sangre (hematosis).  Cada alvéolo está rodeado por una red de capilares que ponen la sangre muy cerca del aire inspirado que está en la luz alveolar.  En cada pulmón de adulto hay entre 150 y 250 millones de alvéolos; la extensión de su superficie interna combinada es de alrededor de 75 m2, más o menos las dimensiones de una cancha de tenis.
  • 42.
    Los conductos alveolaresson vías aéreas alargadas que casi no tienen paredes sino sólo alvéolos como sus límites periféricos. Los sacos alveolares son espacios rodeados por cúmulos de alvéolos. Los alvéolos circundantes se abren hacia estos espacios. Los alvéolos están rodeados y separados unos de otros por una finísima capa de tejido conectivo (tabique alveolar) que contiene capilares sanguíneos.
  • 43.
    El epitelio alveolar Lascélulas alveolares de tipo I, también conocidas como neumocitos de tipo I, son células pavimentosas o planas muy delgadas (con un espesor de 0,1 μm) que revisten la mayor parte (95%) de la superficie de los alvéolos. Las células alveolares de tipo II, también denominadas neumocitos de tipo II o células de los tabiques, son células secretoras (surfactante).
  • 45.
    Surfactante pulmonar  Lacapa del surfactante producido por las células alveolares de tipo II reduce la tensión superficial en la interfaz aire-epitelio. El agente más decisivo para la estabilidad del espacio aéreo es un fosfolípido específico llamado dipalmitoilfosfatidilcolina (DPPC), que es la causa de casi todas las propiedades reductoras de la tensión superficial del surfactante.  En los lactantes prematuros su disminución causa el síndrome de distrés respiratorio (SDR) neonatal o enfermedad de las membranas hialinas (debido al aspecto histopatológico al mirar este tejido pulmonar en el microscopio).
  • 46.
    Macrófagos alveolares  Losmacrófagos alveolares o neumocitos tipo III son singulares porque funcionan tanto en el tejido conectivo del tabique como en el espacio aéreo del alvéolo (no forman parte de la pared, se desplazan libremente por el interior alveolar).  En los espacios aéreos barren la superficie para eliminar las partículas inhaladas, por ejemplo polvo y polen, y este es el fundamento de uno de sus nombres alternativos (células del polvo).
  • 48.
  • 49.
    Bibliografía consultada Finn Geneser.Histología. 3ª Edición 2000 Editorial Panamericana. Ross MH-Pawlina. Histología Texto y Atlas color con Biología Celular y Molecular. 5ª Edición 2007 Editorial Panamericana. Fawcett D.W. Tratado de Histología. 12ª Edición 1995 Editorial Interamericana. Mc Graw-Hill. Manuales Micromeds Histología (Riobamba 781 1ºA, esquina Av. Córdoba).
  • 50.
    2. Métodos deexploración y obtención de muestras: cepillado. Broncoaspiración (BAS). Lavado broncoalveolar (BAL). Esputo. Punción • Existen métodos invasivos y no invasivos. • El esputo es un método de obtención no invasivo, fácil de obtener y barato, aunque con baja sensibilidad. No sirve como screening (se usa en pacientes sintomáticos). Tiene mayor rentabilidad para neoplasias de localización central y puede obtenerse de manera espontánea o inducido (nebulización con agua o suero salino). Para que sea representativo de las vías respiratorias bajas debemos observar un número significativo de macrófagos alveolares (las células ciliadas proceden también de las vías altas). Suele mostrar contaminación de células escamosas de la boca. • El mejor material se obtiene nada más levantarse por la mañana mediante tos profunda, habitualmente 3 días consecutivos. • El procesamiento más habitual es en fresco mediante la técnica de pick and smear (seleccionar material que no sea saliva y extender en portas). Si no se puede, se recolecta en líquido conservador (tipo Saccomanno).
  • 52.
    • Mediante broncoscopioflexible podemos obtener muestras del árbol bronquial con visión directa de la lesión mediante cepillado o broncoaspirado (BAS). Este último se puede centrifugar y a partir de ahí hacer extendidos, citología líquida o citobloque. El cepillado se suele extender en portas o utilizar en citología líquida. Habitualmente se obtienen ambas muestras, lo cual aumenta la rentabilidad. • En el lavado broncoalveolar (BAL) el broncoscopio se enclava lo más distal posible, se instila suero salino y se recoge el producto de este lavado. Se suele centrifugar o usar citología líquida. Es muy útil para el estudio de procesos funcionales de pulmón o infecciones oportunistas en inmunocomprometidos (citomegalovirus, pneumocystis, criptococo). También puede ser útil para diagnóstico tumoral (p. ej., carcinoma bronquioalveolar).
  • 54.
    • La puncióntransbronquial permite obtener muestras de estructuras o lesiones pulmonares paranquimatosas. Para el mediastino también se puede usar la punción transesofágica. En ambos casos se está usando cada vez más la endoscopia. • Podemos obtener muestras de masas pulmonares, sobre todo si son periféricas, lejos del alcance del broncoscopio, mediante punción a través de la pared torácica (PAAF percutánea) guiada habitualmente con control por TC.
  • 55.
    3. Patrones denormalidad en citología de aparato respiratorio. Vías respiratorias. Pulmón. • En las muestras procedentes de vías respiratorias mediante cepillado o broncoaspirado observamos grupos de células columnares ciliadas, en ocasiones con células caliciformes entremezcladas. También podemos observar células sueltas, dependiendo de lo vigoroso de la extensión.
  • 56.
    • La relaciónnúcleo/citoplasma está conservada y los núcleos son ovales o redondeados con cromatina fina y homogénea. La membrana nuclear es lisa y regular. Los nucleolos no se ven o son pequeños. • En muestras obtenidas de regiones alveolares observamos macrófagos en cantidad variable (muy abundantes en los BAL). Son células de citoplasma amplio, con abundantes restos fagocitados. Los núcleos son ovales o redondeados con nucleolos no atípicos. Se suelen confundir con neumocitos de tipo II (citoplasma más denso y no presencia de restos fagocitados). • En ocasiones se observan elementos no celulares, como las espirales de Curschmann, que son moco espesado sin relevancia patológica; los cuerpos ferruginosos de color azul con tinción de Perls, frecuentes en la asbestosis; los cristales de Charcot- Leyden, de color naranja intenso; los cuerpos de psamoma, cuerpos amiláceos y contaminantes, como el hongo Alternaria, polen o talco de los guantes.
  • 57.
    Cristales de Charchot-LeydenHongo Alternaria Espirales de Curschmann Cuerpos ferruginosos
  • 58.
    • Existen cambioscelulares benignos que pueden dificultar el diagnóstico. En ocasiones se observan células escamosas no atípicas por contaminación oral del esputo o de la broncoscopia. Si existe inflamación, infartos pulmonares, radio o quimioterapia, pueden aparecer en los frotis células con queratinización citoplasmática y atipia nuclear que no hay que confundir con carcinoma epidermoide (evitar dar un diagnóstico de malignidad sólo con células queratinizadas). Aquellas suelen conservar la relación núcleo-citoplasma y los núcleos suelen estar hipercromáticos y degenerados, lo que impide ver las características de la cromatina. Extensión insatisfactoria con presencia de células escamosas más oscuras por respuesta inflamatoria
  • 59.
    • Las célulasbronquiales también pueden reaccionar ante diferentes estímulos (inflamación, radiación) con presencia de agrandamiento nuclear, nucleolos grandes o multinucleación, variación en el tamaño celular y/o nuclear (anisocitosis/anisocariosis), llegando a formar en ocasiones grupos grandes cohesivos de células conocidos como cuerpos de Creolá. La presencia de cilios en estos grupos y una transición gradual de cambios celulares permite diferenciarlos de una neoplasia maligna. • La hiperplasia también puede afectar a las células caliciformes: no confundir con adenocarcinomas mucinosos (núcleos aplanados basales, sin atipia nuclear).
  • 60.
    • Las célulasde reserva pueden proliferar ante una agresión al epitelio bronquial y sufrir cambios hiperplásicos. El diagnóstico diferencial principal es con el carcinoma de célula pequeña (no mitosis, no necrosis, menor suelta de células y células de menor tamaño). • En el caso de reepitelización de una úlcera el epitelio presenta cambios de reparación con núcleos grandes, con gran nucleolo, y superpuestos. • La hiperplasia de neumocitos de tipo II se produce ante neumonía, infarto pulmonar, daño alveolar difuso, etc., con núcleos grandes, nucleolos prominentes, grupos tridimensionales, etc. Todo ello puede llevar a un adenocarcinoma, aunque la diferencia con éste estriba en que en un proceso agudo la atipia desaparece al cabo de un mes.
  • 61.
    4. Citología benignano tumoral • Las infecciones bacterianas no suelen dar un patrón citológico característico. La mayoría muestran extendidos con abundantes leucocitos polimorfonucleares neutrófilos y gran cantidad de detritus celulares. • En la neumonía bacteriana representada en la imagen se aprecia un corte histológico de alvéolos pulmonares normales (arriba) comparados con alvéolos durante una neumonía. Se puede ver cómo están llenos de células inflamatorias y de abundante infiltrado.
  • 62.
    • Una delas infecciones bacterianas más frecuentes es la tuberculosis. En ella se observan granulomas (agregados sincitiales de histiocitos epitelioides), con células gigantes multinucleadas tipo Langhans y necrosis. • Se puede demostrar la bacteria mediante la técnica de Ziehl- Neelsen o auramina (fluorescencia) o mediante PCR para detectar ADN. • Hay que diferenciar la tuberculosis de otras enfermedades como sarcoidosis o infecciones por hongos. L
  • 63.
    • Las infeccionesvirales se suelen reconocer por los cambios producidos en el núcleo o en el citoplasma de las células infectadas. Los más característicos son: – El herpes. • Las células son grandes, multinucleadas con amoldamiento de los núcleos e inclusiones intranucleares en “vidrio esmerilado” o gran inclusión eosinófila con condensación periférica de la cromatina. – El citomegalovirus (CMV). • Se presenta con frecuencia en lactantes por infección intrauterina o en inmudodeprimidos tras un trasplante. • Se caracteriza por células grandes con inclusiones eosinófilas intranucleares de gran tamaño y rodeadas por un halo claro.
  • 64.
    – El adenovirus. •Produce llamativas inclusiones intranucleares de tonalidad basófila. – El virus sincitial respiratorio. • Provoca células multinucleadas grandes, a veces con inclusiones intracitoplasmáticas basófilas. – El virus de la parainfluenza. • Produce pérdida de los cilios del epitelio respiratorio y muchas células columnares contienen pequeños cuerpos de inclusión eosinófilos intracitoplasmáticos.
  • 65.
    • Las infeccionesfúngicas más comunes son: – La Candida spp., que se ven con pseudohifas (no tabicadas) y esporas como en la citología vaginal. Requieren correlación clínica porque suelen ser contaminantes de vías respiratorias superiores. – El Aspergillus spp., que muestra hifas tabicadas más gruesas ramificadas en ángulo agudo. Pueden verse conidios si la lesión está oxigenada.
  • 66.
    – El Mucor,menos frecuente y más destructivo, con hifas gruesas y ramificadas en ángulo de 90º. – El Cryptococcus neoformans se observa en inmunodeprimidos y es pequeño, con cápsula refráctil que se tiñe con tinta china (suspensión de partículas de carbono coloidal) o PAS por su alto contenido en mucopolisacáridos. – Menos frecuente en nuestro medio es el Histoplasma capsulatum, levadura cuya forma patógena es intracelular.
  • 67.
    Tratamiento exitoso demucormicosis rino-órbito-cerebral en un paciente trasplantado renal de 33 años
  • 68.
    • Las infecciones protozoariasmás frecuentes son las causadas por el Pneumocystis jirovecii (antes carinii), que suele afectar a inmunodeprimidos y se suela asociar a la infección por CMV. Se observan exudados algodonosos en ocasiones con forma de molde alveolar. Con técnica de plata se observan los quistes en forma de copa similar a una pelota aplastada de tenis de mesa. En tinción de Papanicolau el microorganismo presenta autoflorescencia.
  • 69.
    • Entre las infeccionespor parásitos destaca la equinococosis, provocada por el Echinococcus granulosus, que produce hidatidosis. El hombre es huésped intermediario, en el que se desarrolla la tenia en estado de larva, dando lugar al quiste hidatídico en hígado, pulmones, etc., tras eclosionar los huevos en el tubo digestivo.
  • 70.
    • Para terminarla citopatología benigna no tumoral hay que citar la proteinosis alveolar. Es una patología benigna no infecciosa que macroscópicamente muestra un aspecto lechoso y que se diagnostica correctamente en el BAL. Se produce una acumulación de surfactante dentro de los alvéolos, que están llenos de un material proteináceo granular. En citología se observan grumos hialinos de material amorfo junto a macrófagos.
  • 71.
    5. Citopatología tumoral:benigna y de lesiones malignas. Inmunocitoquímica en el cáncer de pulmón • 5.1. Tumores benignos de pulmón. – Tienen poca importancia en la práctica clínica, pero conviene conocerlos para no confundirlos con neoplasias malignas. Los más comunes son: – El hamartoma pulmonar. Es el más frecuente y con unas características citológicas fácilmente reconocibles, puesto que se presenta como un bulto redondo y solitario en la periferia del pulmón. Se detecta por punción. Está constituido por epitelio mezclado con celularidad mesenquimal (cartílago, matriz hialina fibrilar o fibromixoide) y, en ocasiones, adipocitos.
  • 73.
    – El tumorde células granulares endobronquial (TCG) o schwannoma es el representante pulmonar de un tumor benigno que deriva de células de Schwann que puede aparecer en muchos órganos. Son células de citoplasma grande, granular eosinófilo, con núcleo sin atipia, que pueden confundirse con macrófagos. A diferencia de éstos, expresan S100 (familia de proteínas de bajo peso molecular).
  • 74.
    – El tumormiofibroblástico inflamatorio está constituido por células fusiformes típicamente acompañadas por células inflamatorias (plasmáticas, linfocitos, histiocitos).
  • 75.
    5.2. El cáncerde pulmón • Es uno de los más frecuentes en todo el mundo, sobre todo en los países desarrollados por su estrecha relación con el consumo de tabaco. • Más del 90% de las neoplasias pulmonares malignas pertenecen a cuatro grupos: el adenocarcinoma, el carcinoma epidermoide o escamoso, el carcinoma de célula grande y el carcinoma de células pequeñas. El resto de neoplasias son menos frecuentes y peor reconocidas citológicamente.
  • 76.
    • El adenocarcinomaes el tipo histológico más frecuente (40% de todos los cánceres de pulmón, aproximadamente). – Suele ser de localización periférica y no suele dar síntomas. – Forma glándulas, papilas, micropapilas, acinos plana monocapa o grupos tridimensionales, con células grandes de amplio citoplasma fino, no denso como el epidermoide. – Puede presentar vacuolas intracitoplasmáticas. – Los núcleos suelen ser excéntricos, redondos con carioteca (membrana nuclear) lisa o con aisladas indentaciones profundas. – La cromatina es fina, menos hipercromática que el epidermoide y con presencia de nucléolos grandes y llamativos.
  • 77.
    – Un subtipodel adenocarcinoma es el adenocarcinoma bronquioloalveolar no mucinoso o mucinoso. Es poco frecuente, pero constituye la forma más común que se presenta en pacientes que nunca habían fumado en sus vidas, en mujeres y asiáticos. Se define a un carcinoma bronquioloalveolar como un carcinoma in situ, es decir, no es un tumor invasivo ni metastásico y se origina, como su nombre indica, en una zona bastante periférica del parénquima pulmonar, la región terminal bronquioalveolar. A pesar de que no invade otros tejidos, el carcinoma bronquioloalveolar es un tumor maligno y con frecuencia letal. • Está constituido por placas de células columnares que proliferan a lo largo del marco de las paredes alveolares; más pequeñas, con menor atipia, núcleos uniformes, nucléolo pequeño, pliegues nucleares o pseudoinclusiones. Se pueden confundir con neumocitos tipo II hiperplasiados o macrófagos, pero en general son células bien diferenciadas. El diagnóstico definitivo es histológico.
  • 79.
    • El carcinomaepidermoide o escamoso suele ser de localización central con frecuente hemoptisis. – Supone entre el 25 y el 30% de todos los cánceres de pulmón y está muy relacionado con el tabaquismo. – Los bien diferenciados suelen presentarse en forma de células grandes poligonales, redondeados o en renacuajo, con citoplasma denso bien definido, en ocasiones intensamente orangófilo si está queratinizado, de bordes citoplasmáticos nítidos. – Los núcleos suelen tener carioteca irregular, cromatina grosera, hipercromatismo, picnosis y sin nucléolos llamativos. – Los no diferenciados pueden disponerse en grupos grandes de células no queratinizadas, con núcleo voluminoso y nucléolo prominente. El resto de características celulares se pierden, por lo que el diagnóstico diferencial con el adenocarcinoma es difícil. Carcinoma epidermoide queratinizante en el pulmón Carcinoma epidermoide en la cavidad oral
  • 81.
    • El carcinomade célula grande: – Representa aproximadamente un 10% de los casos de cáncer de pulmón. – Puede aparecer en cualquier parte del pulmón y tiene a extenderse con rapidez. – No presenta diferenciación glandular o escamosa, tanto morfológica como inmunohistoquímicamente, por lo que es un diagnóstico de exclusión. La especificidad de esta neoplasia en muestras citológicas o incluso biopsias pequeñas es baja. Un subtipo dentro de este grupo es el carcinoma neuroendocrino de célula grande, que muestra diferenciación neuroendocrina (rosetas, empalizadas, moldeamiento nuclear), necrosis, citoplasmas amplios y nucléolos prominentes.
  • 82.
    • El carcinomade células pequeñas, oat-cell o microcítico: – Se relaciona con el tabaquismo y tiene gran capacidad de metastatizar a otros órganos. – Se estima que alrededor del 20% de los cánceres de pulmón son de células pequeñas. – Es una neoplasia de alto grado, que suele presentarse con masa mediastínica. – A menudo se origina en los bronquios y tienda a propagarse ampliamente. – A diferencia de los anteriores, se trata mediante quimioterapia. – Está constituido por células de entre 7 y 21 micras (tamaño de 2-3 hematíes) que se suelen disponer sueltas o en grupos poco cohesivos, con abundante arrastre cromatínico, alta relación núcleo-citoplasma, frecuente amoldamiento nuclear por escaso citoplasma, hipercromatismo o cromatina “en sal y pimienta” con nucléolo invisible o de pequeño tamaño. Suele haber abundantes mitosis y acompañarse de fondo necrótico. – En el esputo se dispone en ocasiones formando regueros.
  • 83.
    • Otros tipos: –Los tumores neuroendocrinos de bajo grado (carcinoide, carcinoide atípico) muestran células monomorfas fusiformes o epitelioides, de núcleos redondo u oval, con cromatina “en sal y pimienta”, sin necrosis y sin mitosis (a excepción del atípico). Tanto los carcinoides como los carcinomas de células pequeñas se consideran tumores con diferenciación neuroendocrina (expresan sinaptofisina y cromogranina). – Otros tumores primarios como el adenoide quístico o el mucoepidermoide son neoplasias bronquiales, menos frecuentes y citológicamente superponibles a las neoplasias de glándulas salivales. – Los linfomas primarios son raros y de bajo grado de la zona marginal del tejido asociado a la mucosa bronquial. Están constituidos por linfocitos pequeños, monomorfos y de escaso citoplasma. Se diferencian de un carcinoma de célula pequeña porque conservan un pequeño ribete de citoplasma basófilo, no hacen grupos y tienen nucléolos pequeños. Además, expresan CD45.
  • 84.
    • Las metástasispulmonares: – Son frecuentes sobre todo en los estadios finales de algunas neoplasias. – Suelen ser lesiones múltiples. – El adenocarcinoma suele ser el más frecuente, de origen colónico, mama o gastrointestinal. En cualquier caso, se debe comparar la citología con muestras histológicas o citológicas previas del tumor, que junto con el uso de técnicas complementarias, ayuda a confirmar el origen primario o metastásico del tumor. – Los tumores de mama o estómago suelen presentarse con un patrón celular en anillo de sello. – En casos de origen tiroideo, renal u ovárico se encuentra sin embargo un patrón de morfología papilar. – Si se observan células vacuoladas, con citoplasma laxo y sobre todo se acompañan de núcleos desnudos y vasos finos, hay que pensar en un origen renal. – Si observamos células fusiformes o epitelioides, con citoplasmas amplios, núcleo excéntrico con pseudoinclusiones, nucléolos grandes y binucleaciones, habrá que pensar en un melanoma. Carcinoma gástrico con células en anillo de sello Patrón de células en anillo de sello
  • 85.
    5.1. Inmunocitoquímica enlos tumores malignos • El diagnóstico debe basarse siempre en primer lugar en las características citológicas. No obstante, existen ocasiones en las que el tumor es pobremente diferenciado o debemos descartar una metástasis. En estos casos son de gran utilidad técnicas de inmunocitoquímica. Como regla general: – El adenocarcinoma pulmonar expresa citoqueratina 7, TTF-1 y napsina, a excepción del adenocarcinoma mucinoso, que puede no expresar TTF-1 y citoqueratina 7, pero que sí expresa citoqueratina 20, como el carcinoma de colon. – El carcinoma epidermoide expresa p63, citoqueratina 5/6 y p40. – Los tumores neuroendocrinos deben expresar al menos dos de los marcadores como sinaptofisina, cromogranina o CD56. También expresan TTF-1. – Los linfomas tendrán un patrón especial para cada grupo. En general la expresión de antígeno leucocitario común (LCA, CD45) y la ausencia de expresión de queratinas nos ayudarán a diferenciarlo de los carcinomas. – Las metástasis tendrán un patrón de anticuerpos que dependerá del origen: de los más frecuentes, el adenocarcinoma de colon suele expresar citoqueratina 20, CDX-2 y villina; y el melanoma expresará S100, Melan A y HMB45.
  • 90.
    Glosario • Adenocarcinoma: neoplasiamaligna de estirpe epitelial con diferenciación glandular. • Carcinoma epidermoide (escamoso): neoplasia maligna epitelial similar al epitelio escamoso que recubre la piel y mucosas, con puentes intercelulares y queratinización citoplasmática. • Célula en anillo de sello: célula que, por la presencia de una vacuola de moco intracitoplasmática que desplaza el núcleo a la periferia, adopta una imagen similar a un anillo. Típica del carcinoma de estómago difuso y lobulillar de mama. • Linfoma: neoplasia maligna que tiene su origen en linfocitos con afectación de ganglios linfáticos (adenopatías). • Metástasis: presencia de células tumorales malignas en un órgano alejado del origen tumoral. • Moldeamiento nuclear: aposición de los núcleos de células con escaso citoplasma, semejando un mosaico. Típico del carcinoma de célula pequeña.