SISTEMA RESPIRATORIO
SIDENEI FONSECA /MEDICINA
EL APARATO RESPIRATORIO ESTÁ
CONSTITUIDO POR DOS PULMONES Y UNA
SERIE DE VÍAS AÉREAS QUE LOS
COMUNICA CON EL EXTERIOR
FUNCIONES DEL APARATO RESPIRATORIO
 CONDUCCIÓN DE AIRE
 FILTRACIÓN DEL AIRE
 INTERCAMBIO DE GASES
 FONACIÓN
 OLFATO
LAS VÍAS AÉREAS DEL APARATO RESPIRATORIO
ESTÁN DIVIDIDAS EN DOS PORCIONES
VÍA CONDUCTORA
 CAVIDAD NASAL
 FARINGE
 LARINGE
 TRÁQUEA
 BRONQUIOS
PRINCIPALES
 BRONQUIOLOS
TERMINALES O
CONDUCTORES
VIA RESPIRATÓRIA
 BRONQUIOLOS
RESPIRATORIOS
 CONDUCTOS
ALVEOLARES
 SACOS
ALVEOLARES
 ALVÉOLOS
NESTA VIA QUE
OCURRE
INTERCAMBIO
GASOSO
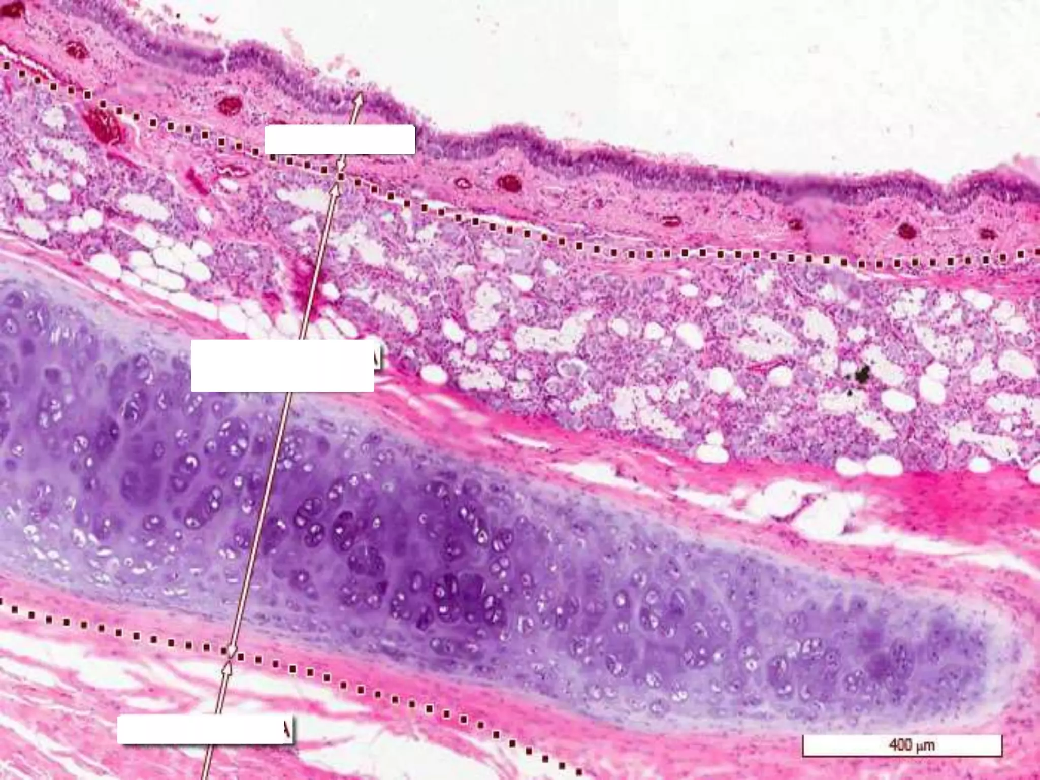
CAVIDADES NASAIS Y SENOS PARANASALES
SON CÁMARAS PARES DE LAS CAVIDADES
NASALES SE DIVIDEN EN VESTÍBULOS,
REGIONES RESPIRATORIAS Y REGIONES
OLFATORIAS.
VESTÍBULO
CONTIENE:
 EPITELIO ESTRATIFICADO
PLANO
 PELOS RÍGIDOS(VIBRISAS)
 GLÁNDULAS SEBÁCEAS
SEGMENTO RESPIRATORIO
CONTIENE
 EPITELIO SEUDOESTRATIFICADO CILÍNDRICO
CILIADO, QUE PRESENTAN LAS SIGUIENTES
CÉLULAS:
CÉLULAS CILIADAS
CÉLULAS CALICIFORMES
CÉLULAS EN CEPILLO
CÉLULAS DE GRÁNULOS PEQUEÑOS
CÉLULAS BASALES
 CORNETES, QUE TIENEN COMO FUNCIÓN AUMENTAR
LA EXTENSIÓN DE LA SUPERFICIE DE LA MUCOSA
RESPIRATORIO Y CAUSAR TURBULENCIA EN EL
FLUJO DE AÉREO
SEGMENTO OLFATORIO
CONTIENE:
 MUCOSA OLFATORIA
 EPITELIO OLFATORIO, QUE PRESENTAN LAS
SIGUIENTES CÉLULAS:
 CÉLULAS OLFATORIAS
 CÉLULAS DE SOSTÉN
 CÉLULAS EN CEPILLO
 CÉLULAS BASALES
 GLÁNDULAS DE BOWMAN: SON GLANDULAS
OLFATORIA QUE SON CARACTERÍSTICA DISTINTIVA
DE LA MUCOSA OLFATORIA, SON GLÁNDULAS
TUBULOALVEOLARES SEROSAS RAMIFICADAS QUE
ENVÍAN SUS SECRECIONES PROTEICAS HACIA LA
1. BULBO
OLFATORIO
2. PLACA
CRIBRIFORME
3. LAMINA
PROPRIA
4. EPITÉLIO
OLFATÓRIO
5. CÉLULAS
BASAIS
6. CÉLULAS DE
SUPORTE
SENOS PARANASALES
SON ESPACIOS LLENOS DE AIRE QUE SE
COMUNICAN CON LA CAVIDAD NASAL
ESTÁN TAPIZADOS POR UN EPITELIO
SEUDOESTRATIFICADO CILÍNDRICO CILIADO
CON CÉLULAS CALICIFORME
FARINGE
SE DIVIDE EN:
 RINOFARINGE:
NO ESTÁN SUFRIENDO EFECTOS ABRASIVOS
DE LOS ALIMENTOS.
ESTA REVESTIDA POR UN EPITELIO
SEUDOESTRATIFICADO CILÍNDRICO CILIADO
CON CÉLULAS CALICIFORMES.
ESTA COMUNICADA AL OÍDO MEDIO POR
MEDIO DE LAS TROMPAS DE EUSTAQUIO.
POSEÍ NÓDULOS LINFÁTICOS SITUADOS EN
LAS PAREDES SUPERIOR Y POSTERIOR,
DENOMINADOS AMÍGDALA FARÍNGEA.
 OROFARINGE Y LARINGOFARINGE:
ESTÁN SOBRE EFECTO ABRASIVOS DE LOS
LARINGE
 ES ÓRGANO QUE DA PASO AL AIRE Y
TAMBIÉN SIRVE PARA LA FONACIÓN
 CONTIENE GLÁNDULAS MUCOSEROSAS
MIXTAS
 SE DESCRIBE:
EPIGLOTIS:
TAPIZADO POR UN EPITELIO ESTRATIFICADO
PLANO
CUERDAS VOCALES, QUE SE DIVIDEN EN
DOS TIPOS:
VERDADERAS:
TAPIZADO POR UN EPITELIO ESTRATIFICADO
EPIGLOTIS
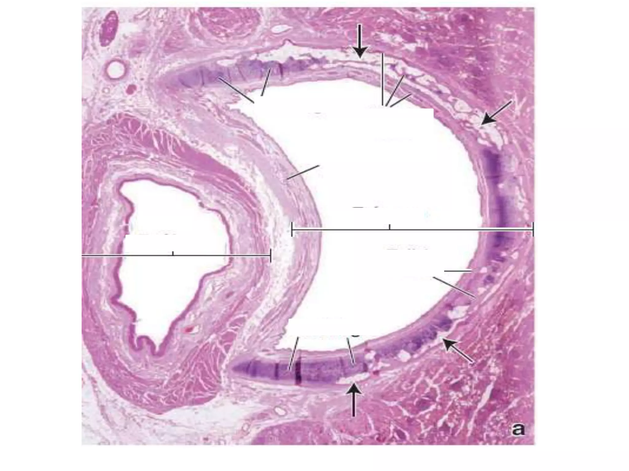
TRAQUEA
SIRVE PARA DAR PASO AL AIRE
LA PARED TRAQUEAL ESTÁ COMPUESTA
POR CUATRO CAPAS:
MUCOSA:
REVESTIDO POR UN EPITELIO
SEUDOESTRATIFICADO CILÍNDRICO CILIADO
CON CÉLULAS CALICIFORMES, QUE PRESENTA
LAS SIGUIENTES CÉLULAS:
CÉLULAS CILIADAS, QUE ACTÚA COMO UNA
BARREDORA MOCOCILIAR, VEN LA CUAL ELIMINA
PARTÍCULAS PEQUEÑAS
CÉLULAS MUCOSAS
CÉLULAS EN CEPILLO
CÉLULAS DE GRÁNULOS PEQUEÑOS
CÉLULAS BASALES
SUBMUCOSA
COMPUESTO POR UN TEJIDO CONJUNTIVO
LAXO
BRONQUIOS PRINCIPALES
 PRIMERAMENTE SE PRESENTAN EN NÚMERO DE DOS:
 BRONQUIO PRINCIPAL DERECHO
 BRONQUIO PRINCIPAL IZQUIERDO
 PRESENTA UNA ESTRUCTURA SIMILAR A DE LA
TRAQUEa, CON UN EPITELIO SEUDOESTRATIFICADO
CILÍNDRICO CILIADO CON CÉLULAS CALICIFORMES
 LOS BRONQUIOS PRINCIPALES DESPUÉS QUE
INGRESAN EN LOS PULMONES, CAMBIAN SUS ANILLOS
CARTILAGINOSOS POR PLACAS CARTILAGINOSAS
 CONFORME LOS BRONQUIOS EMPIEZAN A
SUBDIVIDIRSE Y RAMIFICARSE, CONSECUTIVAMENTE
SUS PLACAS CARTILAGINOSAS SE TORNAN CADA VEZ
MÁS PEQUEÑAS Y MENOS FRECUENTES. ESTAS
PLACAS POR FIN DESAPARECEN EN UN SITIO DONDE
BRONQUIOLOS TERMINALES O
CONDUCTORES
 SON LAS SEGMENTACIONES DE LA
SEGMENTACIONES BRONQUIALES
 PRESENTAN UN EPITELIO
SEUDOESTRATIFICADO CILÍNDRICO
CILIADO SIN CÉLULAS CALICIFORMES
 NO PRESENTAN NI PLACAS
CARTILAGINOSAS NI GLÁNDULAS
BRONQUIOLOS RESPIRATORIOS
SON LAS SEGMENTACIONES DE LOS
BRONQUIOLOS RESPIRATORIOS
PRESENTAN UN EPITELIO SIMPLES
CÚBICO
TIENEN COMO FUNCIÓN LA CONDUCCIÓN
DE AIRE Y EL INTERCAMBIO GASEOSO
LOS LOBULILLOS PULMONARES ESTÁN
FORMADOS POR LOS ÁCINOS
PULMONARES, QUE A SU VEZ ESTÁN
FORMADOS POR:
BRONQUIOLOS TERMINALES
BRONQUIOLOS RESPIRATORIOS
 ALVEOLOS
 LA UNIÓN DE UN SOLO BRONQUIOLO
 CONDUCTOS ALVEOLARES COMUNICA LOS
BRONQUIOLOS RESPIRATORIOS A LOS
ALVEOLOS Y SACO ALVEOLARES
CÉLULAS DE CLARA
PRESENTAN UN CONTORNO LISO CON UN
AMICE REDONDEADO O COMO UNA CÚPULA
QUE SE PROYECTA HACIA LA LUZ
ALVÉOLOS
ES EL SITIO DONDE OCURRE EL INTERCAMBIO
CASEOSO
ESTA TAPIZADO POR UN EPITELIO SIMPLES PLANO, QUE
A SU VEZ SE CONSTITUYE DE LAS SIGUIENTES
CÉLULAS:
 CÉLULAS ALVEOLARES TIPO I:
SON PRODUCIDAS POR LAS CÉLULAS ALVEOLARES TIPO II
NO SON CAPACES DE DIVIDIRSE
SON DE FORMA PLANA Y TAPIZAN LA MAYOR PARTE DE LA
SUPERFICIE ALVEOLAR
ESTÁN EN COMUNICACIÓN CON LAS CÉLULAS
ALVEOLARES VECINAS A TRAVÉS DE UNIONES
OCLUYENTES
 CÉLULAS ALVEOLARES TIPO II:
SON DE FORMA CÚBICA
SON CÉLULAS SECRETORAS DE LA SUSTANCIA
SURFACTANTE Y PROGENITORAS DE LAS CÉLULAS
SUSTANCIA SURFACTANTE
 ESTA PRODUCIDA POR LAS CÉLULAS
ALVEOLARES TIPO II
 TIENE COMO FUNCIÓN:
DISMINUIR LA TENSIÓN ALVEOLAR,
GRACIAS A UN FOSFOLÍPIDO LLAMADO
DIPALMITOILFOSFATIDILCOLINA
ELIMINAR MATERIAL EXTRAÑO A NIVEL
ALVEOLAR;
 LA SUSTANCIA SURFACTANTE ESTÁ
COMPUESTA POR PROTEÍNAS:
PROTEÍNA SURFACTANTE A
PROTEÍNA SURFACTANTE B
SUSTANCIA SURFACTANTE
PROTEÍNA SURFACTANTE A
ES LA PRINCIPAL PROTEÍNA DEL
SURFACTANTE;
REGULA LA PRODUCCIÓN DEL SURFACTANTE
POR LAS CÉLULAS ALVEOLARES TIPO II;
MODULA LAS RESPUESTAS INMUNES CONTRA
VIRUS BACTERIAS Y HONGOS;
PROTEÍNA SURFACTANTE B
ES RESPONSABLE DE LA ABSORCIÓN DEL
SURFACTANTE POR LA SUPERFICIE ALVEOLAR;
PROTEÍNA SURFACTANTE C
MANTIENE LA DELGADA PELÍCULA DENTRO DE
LOS ALVÉOLOS;
PROTEÍNA SURFACTANTE D
PARTICIPA EN UNA RESPUESTA INFLAMATORIA
LOCAL COMO CONSECUENCIA DE UNA LESIÓN
PULMONAR;
BARRERA HEMATOGASEOSA
SE ENCUENTRA EN EL TABIQUE ALVEOLAR
Y SE CLASIFICA EN DOS TIPOS DE
BARRERA:
BARRERA HEMATOGASEOSA DELGADA:
ES DONDE SE REALIZA MAYOR PARTE DEL
INTERCAMBIO GASEOSO Y CONSISTE EN:
FINA CAPA DE SURFACTANTE
UNA CÉLULA ALVEOLAR TIPO I Y SU LAMINA BASAL
UNA CÉLULA ENDOTELIAL CAPILAR Y SU LAMINA
BASAL
BARRERA HEMATOGASEOSA GRUESA:
ES EL SITIO DONDE SE ACUMULA LÍQUIDO
INTERSTICIAL
POROS ALVEOLARES DE KOHN
DIAGNOSTICO DE LAMINAS
SIDENEI FONSECA DOS SANTOS/MEDICINA
EPITÉLIO COLUNAR
CILIADO PSEUDOSTRATIFIED
VESTIBULO DE LA LARINGE
GLANDULA SEROMUCOSA
PLIEGUE VENTRICULAR
PLIEGUE VOCAL
VENTRICULO
MUSCULO VOCAL
LARINGE
EPITELIO PSEUDOESTRATICADOS
CILINDRICO CILIADO
MENBRANA BASAL
LAMINA PROPRIA
GLÂNDULAS SEROMUCOSAS
PERICHONDRIO DE CARTILAGEM
CARTILAGEM HIALINA
PAREDE DE LA
TRACHEA
EPITÉLIO COLUNAR
CILIADO
PSEUDOSTRATIFIED
2. MÚSCULO LISO
TECIDO CONJUNTIVO
4. ALVÉOLOS
RESPIRATÓRIOS
BRONQUIOLO
EPITÉLIO DE CÉLULAS
CILIADAS
E
CÉLULAS CLARA
MÚSCULO LISO
TECIDO CONJUNTIVO
CLARA COM
GRÂNULOS
APICAIS
BRONQUIOLO
TERMINAL
BRONQUIOLO
RAMA DE LA ARTERIA PULMONAR
BRONQUIOLO TERMINAL
BRONQUIOLO RESPIRATORIO
CONDUCTO ALVEOLAR
ALVÉOLOSCAMA CAPILAR ALREDEDOR DE
LOS ALVÉOLOS
TEJIDO CONECTIVO
RAMA DE LA VENA PULMONAR
ACINO
PULMONAR
VASO
SANGUÍNEO
BRONQUIOLO
RESPIRATORIO
CONDUCTOS
ALVEOLARES
SACOS
ALVEOLARES
ALVÉOLOS
VESÍCULAS OLFATORIAS
SUSTENTACULA
R
OLFATIVA
BASALES
MUCOSA
OLFATORIA
EPIGLOTIS GLÁNDULAS
SEROMUCOSAS
PLACA
CARTILAGINOS
A
CUERDAS
FALSAS
CORDONES
VERDADEROS
ESPACIO DE
REINKE
LIGAMENTO VOCAL
MÚSCULO
ESQUELÉTICO
VOCAL
LARINGE
MUCOSA
TRAQUEAL
EPITELIO
RESPIRATORIO
CILIADO
SEROMUCOSA
GLÁNDULAS
SUBMUCOSA
CARTÍLAGO TRAQUEAL
BRONQUIOLO
NEUMOCITOS
TIPO 2
NEUMOCITO
TIPO 1
BROQUIOLO
TERMINAL
BRONQUILO
RESPIRATORIO
CONDUCTO
ALVEOLAR
SACO
ALVEOLAR
GRACIAS!!

HISTOLOGIA DEL SISTEMA RESPIRATORIO

  • 1.
  • 2.
    EL APARATO RESPIRATORIOESTÁ CONSTITUIDO POR DOS PULMONES Y UNA SERIE DE VÍAS AÉREAS QUE LOS COMUNICA CON EL EXTERIOR
  • 3.
    FUNCIONES DEL APARATORESPIRATORIO  CONDUCCIÓN DE AIRE  FILTRACIÓN DEL AIRE  INTERCAMBIO DE GASES  FONACIÓN  OLFATO
  • 4.
    LAS VÍAS AÉREASDEL APARATO RESPIRATORIO ESTÁN DIVIDIDAS EN DOS PORCIONES VÍA CONDUCTORA  CAVIDAD NASAL  FARINGE  LARINGE  TRÁQUEA  BRONQUIOS PRINCIPALES  BRONQUIOLOS TERMINALES O CONDUCTORES VIA RESPIRATÓRIA  BRONQUIOLOS RESPIRATORIOS  CONDUCTOS ALVEOLARES  SACOS ALVEOLARES  ALVÉOLOS NESTA VIA QUE OCURRE INTERCAMBIO GASOSO
  • 5.
    CAVIDADES NASAIS YSENOS PARANASALES SON CÁMARAS PARES DE LAS CAVIDADES NASALES SE DIVIDEN EN VESTÍBULOS, REGIONES RESPIRATORIAS Y REGIONES OLFATORIAS.
  • 6.
    VESTÍBULO CONTIENE:  EPITELIO ESTRATIFICADO PLANO PELOS RÍGIDOS(VIBRISAS)  GLÁNDULAS SEBÁCEAS
  • 7.
    SEGMENTO RESPIRATORIO CONTIENE  EPITELIOSEUDOESTRATIFICADO CILÍNDRICO CILIADO, QUE PRESENTAN LAS SIGUIENTES CÉLULAS: CÉLULAS CILIADAS CÉLULAS CALICIFORMES CÉLULAS EN CEPILLO CÉLULAS DE GRÁNULOS PEQUEÑOS CÉLULAS BASALES  CORNETES, QUE TIENEN COMO FUNCIÓN AUMENTAR LA EXTENSIÓN DE LA SUPERFICIE DE LA MUCOSA RESPIRATORIO Y CAUSAR TURBULENCIA EN EL FLUJO DE AÉREO
  • 8.
    SEGMENTO OLFATORIO CONTIENE:  MUCOSAOLFATORIA  EPITELIO OLFATORIO, QUE PRESENTAN LAS SIGUIENTES CÉLULAS:  CÉLULAS OLFATORIAS  CÉLULAS DE SOSTÉN  CÉLULAS EN CEPILLO  CÉLULAS BASALES  GLÁNDULAS DE BOWMAN: SON GLANDULAS OLFATORIA QUE SON CARACTERÍSTICA DISTINTIVA DE LA MUCOSA OLFATORIA, SON GLÁNDULAS TUBULOALVEOLARES SEROSAS RAMIFICADAS QUE ENVÍAN SUS SECRECIONES PROTEICAS HACIA LA
  • 13.
    1. BULBO OLFATORIO 2. PLACA CRIBRIFORME 3.LAMINA PROPRIA 4. EPITÉLIO OLFATÓRIO 5. CÉLULAS BASAIS 6. CÉLULAS DE SUPORTE
  • 14.
    SENOS PARANASALES SON ESPACIOSLLENOS DE AIRE QUE SE COMUNICAN CON LA CAVIDAD NASAL ESTÁN TAPIZADOS POR UN EPITELIO SEUDOESTRATIFICADO CILÍNDRICO CILIADO CON CÉLULAS CALICIFORME
  • 15.
    FARINGE SE DIVIDE EN: RINOFARINGE: NO ESTÁN SUFRIENDO EFECTOS ABRASIVOS DE LOS ALIMENTOS. ESTA REVESTIDA POR UN EPITELIO SEUDOESTRATIFICADO CILÍNDRICO CILIADO CON CÉLULAS CALICIFORMES. ESTA COMUNICADA AL OÍDO MEDIO POR MEDIO DE LAS TROMPAS DE EUSTAQUIO. POSEÍ NÓDULOS LINFÁTICOS SITUADOS EN LAS PAREDES SUPERIOR Y POSTERIOR, DENOMINADOS AMÍGDALA FARÍNGEA.  OROFARINGE Y LARINGOFARINGE: ESTÁN SOBRE EFECTO ABRASIVOS DE LOS
  • 16.
    LARINGE  ES ÓRGANOQUE DA PASO AL AIRE Y TAMBIÉN SIRVE PARA LA FONACIÓN  CONTIENE GLÁNDULAS MUCOSEROSAS MIXTAS  SE DESCRIBE: EPIGLOTIS: TAPIZADO POR UN EPITELIO ESTRATIFICADO PLANO CUERDAS VOCALES, QUE SE DIVIDEN EN DOS TIPOS: VERDADERAS: TAPIZADO POR UN EPITELIO ESTRATIFICADO
  • 18.
  • 19.
    TRAQUEA SIRVE PARA DARPASO AL AIRE LA PARED TRAQUEAL ESTÁ COMPUESTA POR CUATRO CAPAS: MUCOSA: REVESTIDO POR UN EPITELIO SEUDOESTRATIFICADO CILÍNDRICO CILIADO CON CÉLULAS CALICIFORMES, QUE PRESENTA LAS SIGUIENTES CÉLULAS: CÉLULAS CILIADAS, QUE ACTÚA COMO UNA BARREDORA MOCOCILIAR, VEN LA CUAL ELIMINA PARTÍCULAS PEQUEÑAS CÉLULAS MUCOSAS CÉLULAS EN CEPILLO CÉLULAS DE GRÁNULOS PEQUEÑOS CÉLULAS BASALES SUBMUCOSA COMPUESTO POR UN TEJIDO CONJUNTIVO LAXO
  • 25.
    BRONQUIOS PRINCIPALES  PRIMERAMENTESE PRESENTAN EN NÚMERO DE DOS:  BRONQUIO PRINCIPAL DERECHO  BRONQUIO PRINCIPAL IZQUIERDO  PRESENTA UNA ESTRUCTURA SIMILAR A DE LA TRAQUEa, CON UN EPITELIO SEUDOESTRATIFICADO CILÍNDRICO CILIADO CON CÉLULAS CALICIFORMES  LOS BRONQUIOS PRINCIPALES DESPUÉS QUE INGRESAN EN LOS PULMONES, CAMBIAN SUS ANILLOS CARTILAGINOSOS POR PLACAS CARTILAGINOSAS  CONFORME LOS BRONQUIOS EMPIEZAN A SUBDIVIDIRSE Y RAMIFICARSE, CONSECUTIVAMENTE SUS PLACAS CARTILAGINOSAS SE TORNAN CADA VEZ MÁS PEQUEÑAS Y MENOS FRECUENTES. ESTAS PLACAS POR FIN DESAPARECEN EN UN SITIO DONDE
  • 29.
    BRONQUIOLOS TERMINALES O CONDUCTORES SON LAS SEGMENTACIONES DE LA SEGMENTACIONES BRONQUIALES  PRESENTAN UN EPITELIO SEUDOESTRATIFICADO CILÍNDRICO CILIADO SIN CÉLULAS CALICIFORMES  NO PRESENTAN NI PLACAS CARTILAGINOSAS NI GLÁNDULAS
  • 31.
    BRONQUIOLOS RESPIRATORIOS SON LASSEGMENTACIONES DE LOS BRONQUIOLOS RESPIRATORIOS PRESENTAN UN EPITELIO SIMPLES CÚBICO TIENEN COMO FUNCIÓN LA CONDUCCIÓN DE AIRE Y EL INTERCAMBIO GASEOSO LOS LOBULILLOS PULMONARES ESTÁN FORMADOS POR LOS ÁCINOS PULMONARES, QUE A SU VEZ ESTÁN FORMADOS POR: BRONQUIOLOS TERMINALES BRONQUIOLOS RESPIRATORIOS  ALVEOLOS  LA UNIÓN DE UN SOLO BRONQUIOLO
  • 33.
     CONDUCTOS ALVEOLARESCOMUNICA LOS BRONQUIOLOS RESPIRATORIOS A LOS ALVEOLOS Y SACO ALVEOLARES
  • 35.
    CÉLULAS DE CLARA PRESENTANUN CONTORNO LISO CON UN AMICE REDONDEADO O COMO UNA CÚPULA QUE SE PROYECTA HACIA LA LUZ
  • 37.
    ALVÉOLOS ES EL SITIODONDE OCURRE EL INTERCAMBIO CASEOSO ESTA TAPIZADO POR UN EPITELIO SIMPLES PLANO, QUE A SU VEZ SE CONSTITUYE DE LAS SIGUIENTES CÉLULAS:  CÉLULAS ALVEOLARES TIPO I: SON PRODUCIDAS POR LAS CÉLULAS ALVEOLARES TIPO II NO SON CAPACES DE DIVIDIRSE SON DE FORMA PLANA Y TAPIZAN LA MAYOR PARTE DE LA SUPERFICIE ALVEOLAR ESTÁN EN COMUNICACIÓN CON LAS CÉLULAS ALVEOLARES VECINAS A TRAVÉS DE UNIONES OCLUYENTES  CÉLULAS ALVEOLARES TIPO II: SON DE FORMA CÚBICA SON CÉLULAS SECRETORAS DE LA SUSTANCIA SURFACTANTE Y PROGENITORAS DE LAS CÉLULAS
  • 38.
    SUSTANCIA SURFACTANTE  ESTAPRODUCIDA POR LAS CÉLULAS ALVEOLARES TIPO II  TIENE COMO FUNCIÓN: DISMINUIR LA TENSIÓN ALVEOLAR, GRACIAS A UN FOSFOLÍPIDO LLAMADO DIPALMITOILFOSFATIDILCOLINA ELIMINAR MATERIAL EXTRAÑO A NIVEL ALVEOLAR;  LA SUSTANCIA SURFACTANTE ESTÁ COMPUESTA POR PROTEÍNAS: PROTEÍNA SURFACTANTE A PROTEÍNA SURFACTANTE B
  • 39.
    SUSTANCIA SURFACTANTE PROTEÍNA SURFACTANTEA ES LA PRINCIPAL PROTEÍNA DEL SURFACTANTE; REGULA LA PRODUCCIÓN DEL SURFACTANTE POR LAS CÉLULAS ALVEOLARES TIPO II; MODULA LAS RESPUESTAS INMUNES CONTRA VIRUS BACTERIAS Y HONGOS; PROTEÍNA SURFACTANTE B ES RESPONSABLE DE LA ABSORCIÓN DEL SURFACTANTE POR LA SUPERFICIE ALVEOLAR; PROTEÍNA SURFACTANTE C MANTIENE LA DELGADA PELÍCULA DENTRO DE LOS ALVÉOLOS; PROTEÍNA SURFACTANTE D PARTICIPA EN UNA RESPUESTA INFLAMATORIA LOCAL COMO CONSECUENCIA DE UNA LESIÓN PULMONAR;
  • 40.
    BARRERA HEMATOGASEOSA SE ENCUENTRAEN EL TABIQUE ALVEOLAR Y SE CLASIFICA EN DOS TIPOS DE BARRERA: BARRERA HEMATOGASEOSA DELGADA: ES DONDE SE REALIZA MAYOR PARTE DEL INTERCAMBIO GASEOSO Y CONSISTE EN: FINA CAPA DE SURFACTANTE UNA CÉLULA ALVEOLAR TIPO I Y SU LAMINA BASAL UNA CÉLULA ENDOTELIAL CAPILAR Y SU LAMINA BASAL BARRERA HEMATOGASEOSA GRUESA: ES EL SITIO DONDE SE ACUMULA LÍQUIDO INTERSTICIAL POROS ALVEOLARES DE KOHN
  • 41.
    DIAGNOSTICO DE LAMINAS SIDENEIFONSECA DOS SANTOS/MEDICINA
  • 42.
  • 43.
    VESTIBULO DE LALARINGE GLANDULA SEROMUCOSA PLIEGUE VENTRICULAR PLIEGUE VOCAL VENTRICULO MUSCULO VOCAL LARINGE
  • 44.
    EPITELIO PSEUDOESTRATICADOS CILINDRICO CILIADO MENBRANABASAL LAMINA PROPRIA GLÂNDULAS SEROMUCOSAS PERICHONDRIO DE CARTILAGEM CARTILAGEM HIALINA PAREDE DE LA TRACHEA
  • 45.
    EPITÉLIO COLUNAR CILIADO PSEUDOSTRATIFIED 2. MÚSCULOLISO TECIDO CONJUNTIVO 4. ALVÉOLOS RESPIRATÓRIOS BRONQUIOLO
  • 46.
    EPITÉLIO DE CÉLULAS CILIADAS E CÉLULASCLARA MÚSCULO LISO TECIDO CONJUNTIVO CLARA COM GRÂNULOS APICAIS BRONQUIOLO TERMINAL
  • 47.
    BRONQUIOLO RAMA DE LAARTERIA PULMONAR BRONQUIOLO TERMINAL BRONQUIOLO RESPIRATORIO CONDUCTO ALVEOLAR ALVÉOLOSCAMA CAPILAR ALREDEDOR DE LOS ALVÉOLOS TEJIDO CONECTIVO RAMA DE LA VENA PULMONAR ACINO PULMONAR
  • 48.
  • 49.
  • 50.
  • 51.
  • 52.
  • 53.
  • 54.
  • 55.
  • 56.