Capítulo 6
Tejidos conectivos
          Matriz extracelular
       Componentes celulares
                    Células fijas
                Células móviles
                   Fibroblastos
                      Fibrocitos
               Miofibroblastos
                       Pericitos
                     Adipocitos
               Células cebadas
                   Macrófagos
           Células plasmáticas
                     Leucocitos
 Tejido conectivo embrionario
                             TCL
                             TCD
                             TCR
                               TA
TENDON




         TEJIDO CONECTIVO DENSO
         REGULAR( COLAGENA)




         FIBROBLASTOS
FIBROBLASTO
SINTESIS DE MATRIZ
EXTRACELULAR
COLAGENA




           FIBROBLASTO
Fibrocito
Célula cebada
TEJIDO ADIPOSO UNILOCULAR
CELULA ADIPOSA
UNILOCULAR
             LOS PRECURSORES SON LOS LIPOBLASTOS; LLEVA
             ACABO LA SINTESIS, ALMACENAMIENTO Y
             LIBERACION DE GRASAS
ADIPOCITOS UNILOCULAR
ADIPOCITO
TEJIDO ADIPOSO MULTILOCULAR
POSEEN TERMOGENINA
TEJIDO ADIPOSITOS MULTILOCULAR




            MITOCONDRIAS
CELULAS CEBADAS
CELULAS
                             CEBADAS
  e originan de medula ósea inician las reacciones inmmunitarias contiene gránulos de
 eparina (anticoagulante), histamina, proteasas neutras arilsulfatasa y factores
 uimiotacticos que estos se hayan en los gránulos llamados mediadores primarios como
 TD4, LTE4 (leucotrienos), TXA2, TXB2 (tromboxanos) y prostaglandinas PGD2 además de
 itocinas PAF, IL-4, 5, 6 Y TNF-ALFA los mediadores recién sintetizados se conocen como
mediadores secundarios
Células
cebadas
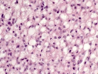
HIGADO




     CELULA DE KUPFFER (MACROFAGO)




                         HEPATOCITOS
MACROFAGO
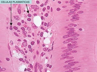
CELULAS PLASMATICAS
CELULAS PLASMATICAS




 C
 A
 R
 A
 T
 U
 L
 A
 D
 E
 R
 E
 L
 O                    PROVIENE DE LINFOCITOS B
 J                    Y ES LA SECRETORA DE LAS
                      INMUNOGLOBULINAS
CELULA
 PLASMATICA




CARATULA DE
RELOJ
Células del mesénquima en un feto humano, HyE.
Gelatina de Wharton (tejido conectivo mucoso) en el cordón umbilical, HyE.
LAMINA PROPIA RODEA A
     UNA SOLA CELULA




Tejido conectivo laxo muy celular en la lámina propia del intestino delgado, HyE.
TEJIDO CONESCTIVO
FIBRO ELASTICO      TRAQUEA
IRREGULAR




                              CARTILAGO
                              HIALINO
COLON




TEJIDO CONECTIVO
DENSO IRREGULAR
TEJIDO CONECTIVO LAXO
MUY CELULAR
TEJIDO CONECTIVO
       DENSO IRREGULAR




Tejido conectivo denso irregular, HyE.
Tejido conectivo denso irregular, HyE.
Tejido conectivo denso irregular, HyE.
TENDON




         Tejido conectivo denso regular colagenoso, HyE.
TENDON




   Tejido conectivo denso regular colagenoso, HyE.
TEJIDO CONECTIVO LAXO
MUY CELULAR




                                                       CORDON
                                                       MEDULAR




 Células reticulares en los senos medulares de un ganglio linfático, HyE.
Fibras reticulares en la pared de los sinusoides hepáticos.
TEJIDO CONECTIVO RETICULAR
TEJIDO CONECTIVO DENSO REGULAR
ELASTICO
FIBRAS ELASTICAS
ARTERIA MUSCULAR




                   MUSCULO




                   FIBRAS
Cap 06-conectivo
Cap 06-conectivo
Cap 06-conectivo

Cap 06-conectivo