UNIVERSIDAD DEL SINU
• HISTOLOGIA I
• Curso 2018
• Dra. Lizette Acosta Ulloa
CONFERENCIA DE TEJIDO CONECTIVO
Frase para reflexionar
Dos grandes enemigos tiene
el hombre libre que le
someten y le llevan a la
esclavitud uno es la duda y
otro las costumbres
Tejido conectivo
SUMARIO:
A. Células del tejido conectivo. Estructura y
Funciones Matriz extracelular. Matriz amorfa y
fibras
B. Tejidos conectivos Tejido Conectivo. Tipos de
Tejido Conectivo. Ubicación y función
C. Tejido cartilaginoso: tipos, características
morfofuncionales generales.
D. Tejido óseo: tipos, características
morfofuncionales generales.
PREGUNTAS
DEFINICION O CONCEPTO DE TEJIDO
CONECTIVO
Definición de tejido
conectivo
El tejido conectivo se caracteriza
morfológicamente por presentar
diversos tipos de células
separadas por una abundante
matriz extracelular (situada en el
espacio que rodea las células ) y
sintetizada por ellas.
TEJIDO CONECTIVO
EMBRIONARIO 1. TEJIDO CONECTIVO
MESENQUIMATOSO
2. TEJIDO CONECTIVO MUCOSO
TEJIDO
CONECTIVO
DEL
ADULTO
1-TEJIDO CONECTIVO
GENERAL O PROPIAMENTE
DICHO.
A- LAXO
B – DENSO 1
REGULAR (
MODELADO)
2 IRREGULAR (
NO MODELADO)
2-TEJIDO
CONECTIVO DE
PROPIEDADES
ESPECIALES
A- ADIPOSO
B- ELASTICO
C - RETICULAR LINFOIDE
D-RETICULAR
HEMATOPOYETICO
MIELOIDE
E- TEJIDO SANGUÍNEO
TEJIDO
CONECTIVO DEL
ADULTO
3- TEJIDO CONECTIVO
DE SOSTEN
A-TEJIDO
CARTILAGINOSO
B- TEJIDO ÓSEO
Definición de tejido
conectivo
Se extiende por todo el
organismo, representa un
soporte estructural y fisiológico.
Deriva del mesodermo.
FUNCIONES
• Sostén
• Relleno
• Nutrición
• Transporte de metabolitos
• Almacenamiento de
sustancias
• Defensa del organismo.
Funciones del tejido
conjuntivo
Proporciona soporte
estructural y relaciona entre
sí a los otros tejidos
 Interviene como medio de
intercambio entre las
células y la circulación
sanguínea y linfática.
Funciones del tejido
conjuntivo
Contribuye a la defensa
y protección del
organismo,
 Constitución de órganos
Estroma órganos macizos
¿Tipos de tejido
conectivo ?
Tejido Conectivo
Existen 2 tipos en general de
tejido conectivo
El tejido conectivo propiamente
dicho, mucoso, areolar, adiposo.
Tejido Conectivo especializado
Cartílago , Hueso, Sanguíneo
MATRIZ EXTRACELULAR
Fibras
COLÁGENAS
RETICULARES
ELÁSTICAS
Sustancia Amorfa
Glucosaminoglicanos
( Sulfatados o no )
Proteoglicanos
Glucoproteinas
adhesivas (Fibronectina,
laminina, vitronectina, tenascina,
osteopontina y la condronectina)
Tenascina ( liquido
tisular )
TIPOS DE COLAGENO
Tipo I , Grueso , PIEL , TENDON ,
HUESO , DENTINA . Resistencia a la
tensión.
Tipo II, Fibrillas dispersas Cartílago ,
Cuerpo vítreo Resistencia a la presión
Tipo III Fibras Reticulares . Piel, tejido
muscular, Órganos linfoides.
Mantenimiento de la estructura de
órganos
Lamina
basal
CLASIFICACIÓN DE LAS
CÉLULAS DE LOS TEJIDOS
CONECTIVOS GENERALES
CLASIFICACIÓN DE LAS CÉLULAS DE
LOS TEJIDOS CONECTIVOS
GENERALES SEGÚN SU FUNCIÓN
CÉLULAS FORMADORAS DE MATRIZ
CÉLULAS QUE PARTICIPAN EN LA DEFENSA
CÉLULAS ALMACENADORAS DE GRASA
 FIBROBLASTO
 CONDROCITOS
 OSTEOCITOS
CÉLULAS FORMADORAS DE
MATRIZ
II. CÉLULAS QUE PARTICIPAN EN LA DEFENSA
 MACRÓFAGOS
 MASTOCITOS O CÉLULAS CEBADAS
 PLASMOCITOS O CÉLULAS PLASMÁTICAS
 LEUCOCITOS: NEUTRÓFILOS
EOSINÓFILOS
LINFOCITOS
III. CÉLULAS ALMACENADORAS DE
GRASA
 ADIPOCITOS
CLASIFICACIÓN DE LAS CÉLULAS DE LOS
TEJIDOS CONECTIVOS GENERALES DE
ACUERDO A LA LOCALIZACIÓN
CÉLULAS FIJAS
Se forman en el propio tejido
Permanecen y realizan sus
funciones , son estables vida
prolongada.
Se forman en la medula
ósea , circulan, por la
sangre migran hacia el
tejido conectivo , tienen
una vida corta.
CÉLULAS EMIGRANTES
células del tejido
conjuntivo
fijas o propias
 fibroblastos, fibrocitos,
Miofibroblastos
adipocitos o células
adiposas
pericitos
 mesenquimatosas
indiferenciada
Células reticulares
Cebadas( mastocitos )
 Macrófagos ( Histiocitos )
Emigrantes
plasmáticas
dendritícas
Macrófagos **
 leucocitos
Mesenquimatosa
indiferenciada
Conservan la potencialidad del
mesénquima
Están localizadas frecuentemente a lo largo de las
paredes de los vasos sanguíneos, particularmente
de los capilares, por lo que son llamadas células
perivasculares o adventicias.
Son semejantes a los fibroblastos o macrófagos
en reposo
Son células de menor tamaño, con citoplasma y
núcleo de forma alargada y cromatina densa
FIBROBLASTOS
1-Es la célula más común del tejido
conjuntivo.
2-Responsable directo de la
elaboración de la matriz extracelular
(amorfa y fibrilar).
Es una célula que se desplaza
lentamente (reparación y
cicatrización de heridas) suele
reproducirse con facilidad.
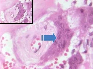
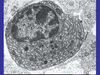
Fotomicrografía electrónica de un
fibroblasto activo.
FIBROBLASTO
• Son las células fijas mas
abundantes del tejido
conectivo.
• Se originan de Células
mesenquimatosas
indiferenciadas.
• Sintetizan la matriz
extracelular
• Se relacionan con las fibras
colágenas , paralelos a el
eje largo de la fibra
FIBROBLASTOS FIBRAS
COLAGENAS
FIBROBLASTO
El aspecto morfológico del fibroblasto depende
del momento funcional. Es una célula
fusiforme. En su mayor actividad de síntesis y
secreción de matriz, presenta una forma
alargada con varias prolongaciones irregulares,
posee un núcleo ovalado, de cromatina fina y
un nucléolo; y un citoplasma ligeramente
basófilo de color pálido.
FIBROBLASTO FUNCION
Células
secretoras de
proteínas
¿ Que organitos están
desarrollados ?
MIOFIBROLBASTO
Características
morfológicas, similares
con el fibroblasto
el citoplasma muestra
abundantes
miofilamentos de actina
y pequeños cuerpos
densos similares a los
que poseen las células
musculares lisas. Es
una célula que posee
capacidad contráctil.
• fibroblastos
modificados
CELULAS ADIPOSAS
Almacenan grasas o lípidos. . Existen dos
tipos de adipocitos:
Células uniloculares : En un solo compartimento
la totalidad de los lípidos almacenados, grasa blanca o
amarillenta.
Adipocito multilocular El citoplasma alberga
abundantes gotitas de lípidos; entre ellas se disponen
numerosas mitocondrias esféricas con crestas tubulares,
grasa parda.
CELULAS ADIPOSAS
CELULAS ADIPOSAS
Las células adiposas, diferenciadas no se
dividen
su incremento se explica por diversos
estímulos, sobre todo nutricionales, que
determinan la formación de nuevos
lipoblastos a partir de las células
mesenquimatosas indiferenciadas durante un
periodo breve de tiempo después del
nacimiento. El aumento del tejido adiposo se
produce por el acumulo de lípido en los
lipoblastos y adipocitos ya formados.
PERICITOS
célula alargada de citoplasma pálido, con
prolongaciones largas y delgadas.
posición entre las células endoteliales de los
capilares sanguíneos y la membrana basal
peri vascular ,rodean con sus prolongaciones, al
capilar.
conservan una relativa potencialidad y, ante
determinados estímulos, pueden originar
fibroblastos y fibras musculares
• PERICITOS • PERICITOS
Células reticulares
TEJIDO CONECTIVO RETICULAR
Es una variedad de tejido conjuntivo
especializado que forma una malla
tridimensional estable, que otorga un
soporte estructural a las células migratorias
de órganos relacionados directamente con
los leucocitos de la sangre como son el
bazo los ganglios linfáticos y la médula
ósea hematopoyética.
Células reticulares
Las células reticulares
fibroblastos especializados,
secretan el colágeno III
CELULAS CEBADAS
MASTOCITOS. Celulas cebadas
Se localizan el tejido conjuntivo, a lo largo
de los vasos sanguíneos.
Debajo del epitelio de los sistemas
respiratorio y digestivo .
FUNCION Procesos inflamatorios ,
Hipersenbilidad reacciones alérgicas .
Fijas
CELULAS CEBADAS
CELULAS
CEBADAS
1- origen de las células
mesenquimatosas
indiferenciadas.
2-forma ovalada, núcleo
esférico de posición central
o excéntrico
3- Citoplasma lleno de
gránulos esféricos basófilos
( histamina)
células del tejido
conjuntivo
 Fibroblastos, fibrocitos,
 Miofibroblastos
 Adipocitos o células adiposas
 Pericitos
 Mesenquimatosas indiferenciada
 Células reticulares
Celulas Cebadas
células del tejido
conjuntivo
Emigrantes
•plasmáticas
•Macrófagos **
• leucocitos
células plasmáticas
Derivadas de los LINFOCITOS B
En los tejidos conjuntivos su vida media es de
10 a 20 días. Su función es sintetizar y secretar
los anticuerpos (proteínas )
inmunoglobulinas. Ig
Su número aumenta en los tejidos con
procesos inflamatorios crónicos (parasitismo).
Abundan en la mucosa digestiva,
incrementándose durante la digestión, en los
órganos genitales durante el embarazo
Células plasmáticas
• Forma redondeada
u ovalada
• Citoplasma
basófilo
• núcleo excéntrico,
redondo y de
heterocromatina
dispuesta en
grumos radiales
• Móviles
Células plasmáticas
La penetración en el organismo de
moléculas extrañas, que reciben el
nombre de antígenos, estimulan la
diferenciación de los linfocitos B en
plasmocitos y la producción por estas
células de anticuerpos, como
respuesta específica a los antígenos.
A-Celulas plasmáticas inflamación crónica
B- Inflamación aguda neutrófilos
C- Intestino delgado eosinofilos
MACROFAGOS
• histiocito. Origen de monocitos ,
provenientes de la medula ósea ( Sistema
fagocitico mononuclear )
• Función Acción fagocítica eliminan
desechos celulares , agentes extraños.
partículas de carbón, bacterias, esporas
de hongos, pequeños parásitos Son
importantes agentes de defensa
•
Macrófagos
 capacidad fagocitica
 movilidad
Constituye un protector celular de importancia
en las respuestas inflamatorias locales.
En estudios realizados más recientemente,
se ha sugerido también que el macrófago
participa en la defensa del organismo
mediante la secreción de interferón y en la
reacción inmunitaria a través de la
colaboración intercelular.
Macrófagos . Diferentes tipos
Macrófagos o histiocitos del tejido conjuntivo laxo y
denso.
Células de Küpffer en los sinusoides hepáticos.
Macrófagos alveolares del pulmón o “células de polvo”.
Células dendríticas de los tejidos linfáticos.
Macrófagos del parénquima esplénico (bazo).
Células de Langerhans relacionadas con los epitelios
planos estratificados Epidermis
Células mesangiales del corpúsculo renal.
La microglia en el tejido nervioso.
Osteoclastos (macrófagos fusionados) del tejido óseo
Macrófagos
Células libres
LEUCOCITOS
Células integrantes de la sangre que abandonan la
circulación y ejercen su acción en el tejido conjuntivo. :
a) los monocitos, que se transformarán en macrófagos
u otras células procesadoras y presentadoras de
antígenos,
b) los linfocitos que, por acción antigénica, darán
origen a dos grandes poblaciones: los linfocitos B y T;
c) los Eosinófilos
d) los neutrófilos.
f) los basófilos
Células
• Fibroblasto Producción de moléculas de
la matriz extracelular.
• Células Plasmáticas Producción de
anticuerpos
• Macrófagos Fagocitosis.
• Cebadas (Mastocitos ) Liberan sustancias
Participan en las reacciones alérgicas.
• Adiposas Almacenamiento de grasa
neutra, reserva de energía producción de
calor.
TEJIDO CONECTIVO
Embrionario
MESENQUIMA MUCOSO
Tejido Conectivo
Adulto
Clasificación
• A. Tejido conectivo embrionario
• Tejido conectivo mesenquimatoso
• 2. Tejido conectivo mucoso
• B. Tejido conectivo del adulto
• 1Tejido conectivo laxo (areolar)
• 2. Tejido conectivo denso a. Tejido
conectivo denso irregular b.Tejido
conectivo denso regular
Clasificación
• Tejido conectivo de propiedades
especiales
• Adiposo
• Tejido Elástico
• Tejido Reticular , linfoide mieloide
• Sangre
Clasificación
Tejido conectivo de Sostén
Tejido Cartilaginoso
Tejido Óseo
TEJIDOS CONECTIVOS
EMBRIONARIOS
TEJIDO CONECTIVO
MESENQUIMATOSO
TEJIDO CONECTIVO
MUCOSO
MESENQUIMA
TEJIDO CONECTIVO
MUCOSO
TEJIDOS CONJUNTIVOS
LAXOS
Tejido conjuntivo denso
irregular
Tejido conjuntivo denso irregular
Tejido conjuntivo denso
regular
Tejido conjuntivo denso
regular
TEJIDO ELASTICO
• Tiene abundancia de fibras elásticas le da
un color amarillo. Gran elasticidad.
• Es poco frecuente se encuentra en los
ligamentos amarillos de la columna
vertebral
• El ligamento suspensorio del pene
VARIEDADES DE TEJIDOS
CARTILAGINOSOS
HIALINO
ELÁSTICO
FIBROSO
CÉLULAS DEL TEJIDO CARTILAGINOSO
 CONDROBLASTOS
 CONDROCITOS
CÉLULAS FORMADORAS DE LA
MATRIZ CARTILAGINOSA
CÉLULAS MADURAS DEL CARTÍLAGO
QUE MANTIENEN LA MATRIZ
COMPONENTES DE LA MATRIZ CARTILAGINOSA
FIBRAS
SUSTANCIA
FUNDAMENTAL
AMORFA
COLÁGENAS TIPO II EN EL HIALINO
ELÁSTICAS EN EL ELÁSTICO
COLÁGENAS TIPO I EN EL FIBROSO
GLUCOSAMINOGLUCANOS
CONDRITÍN SULFATO Y
QUERATÁNSULFATO
ÁCIDO HIALURÓNICO
PROTEOGLUCANOS
GLUCOPROTEÍNAS
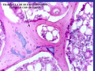
VARIEDADES DE TEJIDOS ÓSEOS
 OSTEONAL O COMPACTO
 TRABECULAR O ESPONJOSO
CÉLULAS DEL TEJIDO ÓSEO
 OSTEOBLASTOS
 OSTEOCITOS
 OSTEOCLASTOS
Células formadoras de hueso
Células que mantienen
la estructura del hueso
Células que realizan la
reabsorción del hueso
COMPOSICIÓN DE LA MATRIZ ÓSEA
ORGÁNICO
INORGÁNICO
50 %
FIBRAS COLÁGENAS TIPO I
95 %
SUSTANCIA
FUNDAMENTAL
PROTEOGLUCANOS
GLUCOPROTEÍNAS
FOSFATO DE CALCIO
CARBONATO DE CALCIO
SALES DE MAGNESIO, POTASIO Y SODIO
FUNCIONES
• Soporte
• Locomoción
• Forma corporal
• Protección Al SNC
• Contiene Medula ósea
• Deposito de calcio
Bibliografía
GARTNER LESLIE. Atlas De Histología. 3ª
Edición. Buenos Aires. Panamericana.1995
Capitulo 6 Tejido Conjuntivo
Capitulo 7 Cartílago y Hueso
Ross.Pawlina Texto y Atlas 6ta Edición
Capitulo 6, 7,8 7 ma edicion
Histología Básica Texto y atlas Junqueira
Capitulo 5
Próximas Actividades
Trabajo en equipos
Equipo 1 Tejido conectivo
Equipo 2. Fibras
Equipo 4 Matriz Amorfa
Equipo 5 Fibroblastos adipocitos
Equipo 6 Macrofagos celulas cebadas Plasmaticas
células del tejido
conjuntivo
fijas o propias
 fibroblastos, fibrocitos,
Miofibroblastos
o células adiposas
adipocitos
pericitos
 mesenquimatosas
indiferenciada
Células reticulares
Cebadas( mastocitos )
 Macrófagos ( Histiocitos )
Emigrantes
plasmáticas
dendritícas
Macrófagos **
 leucocitos
GRACIASGRACIASGRACIAS

Conferencia 4 tejido conectivo 2018

  • 1.
    UNIVERSIDAD DEL SINU •HISTOLOGIA I • Curso 2018 • Dra. Lizette Acosta Ulloa CONFERENCIA DE TEJIDO CONECTIVO
  • 2.
    Frase para reflexionar Dosgrandes enemigos tiene el hombre libre que le someten y le llevan a la esclavitud uno es la duda y otro las costumbres
  • 3.
  • 7.
    SUMARIO: A. Células deltejido conectivo. Estructura y Funciones Matriz extracelular. Matriz amorfa y fibras B. Tejidos conectivos Tejido Conectivo. Tipos de Tejido Conectivo. Ubicación y función C. Tejido cartilaginoso: tipos, características morfofuncionales generales. D. Tejido óseo: tipos, características morfofuncionales generales.
  • 9.
  • 10.
    Definición de tejido conectivo Eltejido conectivo se caracteriza morfológicamente por presentar diversos tipos de células separadas por una abundante matriz extracelular (situada en el espacio que rodea las células ) y sintetizada por ellas.
  • 12.
    TEJIDO CONECTIVO EMBRIONARIO 1.TEJIDO CONECTIVO MESENQUIMATOSO 2. TEJIDO CONECTIVO MUCOSO TEJIDO CONECTIVO DEL ADULTO 1-TEJIDO CONECTIVO GENERAL O PROPIAMENTE DICHO. A- LAXO B – DENSO 1 REGULAR ( MODELADO) 2 IRREGULAR ( NO MODELADO) 2-TEJIDO CONECTIVO DE PROPIEDADES ESPECIALES A- ADIPOSO B- ELASTICO C - RETICULAR LINFOIDE D-RETICULAR HEMATOPOYETICO MIELOIDE E- TEJIDO SANGUÍNEO TEJIDO CONECTIVO DEL ADULTO 3- TEJIDO CONECTIVO DE SOSTEN A-TEJIDO CARTILAGINOSO B- TEJIDO ÓSEO
  • 13.
    Definición de tejido conectivo Seextiende por todo el organismo, representa un soporte estructural y fisiológico. Deriva del mesodermo.
  • 14.
    FUNCIONES • Sostén • Relleno •Nutrición • Transporte de metabolitos • Almacenamiento de sustancias • Defensa del organismo.
  • 15.
    Funciones del tejido conjuntivo Proporcionasoporte estructural y relaciona entre sí a los otros tejidos  Interviene como medio de intercambio entre las células y la circulación sanguínea y linfática.
  • 16.
    Funciones del tejido conjuntivo Contribuyea la defensa y protección del organismo,  Constitución de órganos Estroma órganos macizos
  • 19.
  • 20.
    Tejido Conectivo Existen 2tipos en general de tejido conectivo El tejido conectivo propiamente dicho, mucoso, areolar, adiposo. Tejido Conectivo especializado Cartílago , Hueso, Sanguíneo
  • 21.
    MATRIZ EXTRACELULAR Fibras COLÁGENAS RETICULARES ELÁSTICAS Sustancia Amorfa Glucosaminoglicanos (Sulfatados o no ) Proteoglicanos Glucoproteinas adhesivas (Fibronectina, laminina, vitronectina, tenascina, osteopontina y la condronectina) Tenascina ( liquido tisular )
  • 22.
    TIPOS DE COLAGENO TipoI , Grueso , PIEL , TENDON , HUESO , DENTINA . Resistencia a la tensión. Tipo II, Fibrillas dispersas Cartílago , Cuerpo vítreo Resistencia a la presión Tipo III Fibras Reticulares . Piel, tejido muscular, Órganos linfoides. Mantenimiento de la estructura de órganos
  • 23.
  • 24.
    CLASIFICACIÓN DE LAS CÉLULASDE LOS TEJIDOS CONECTIVOS GENERALES
  • 26.
    CLASIFICACIÓN DE LASCÉLULAS DE LOS TEJIDOS CONECTIVOS GENERALES SEGÚN SU FUNCIÓN CÉLULAS FORMADORAS DE MATRIZ CÉLULAS QUE PARTICIPAN EN LA DEFENSA CÉLULAS ALMACENADORAS DE GRASA
  • 27.
     FIBROBLASTO  CONDROCITOS OSTEOCITOS CÉLULAS FORMADORAS DE MATRIZ
  • 28.
    II. CÉLULAS QUEPARTICIPAN EN LA DEFENSA  MACRÓFAGOS  MASTOCITOS O CÉLULAS CEBADAS  PLASMOCITOS O CÉLULAS PLASMÁTICAS  LEUCOCITOS: NEUTRÓFILOS EOSINÓFILOS LINFOCITOS
  • 29.
    III. CÉLULAS ALMACENADORASDE GRASA  ADIPOCITOS
  • 30.
    CLASIFICACIÓN DE LASCÉLULAS DE LOS TEJIDOS CONECTIVOS GENERALES DE ACUERDO A LA LOCALIZACIÓN CÉLULAS FIJAS Se forman en el propio tejido Permanecen y realizan sus funciones , son estables vida prolongada. Se forman en la medula ósea , circulan, por la sangre migran hacia el tejido conectivo , tienen una vida corta. CÉLULAS EMIGRANTES
  • 31.
    células del tejido conjuntivo fijaso propias  fibroblastos, fibrocitos, Miofibroblastos adipocitos o células adiposas pericitos  mesenquimatosas indiferenciada Células reticulares Cebadas( mastocitos )  Macrófagos ( Histiocitos ) Emigrantes plasmáticas dendritícas Macrófagos **  leucocitos
  • 32.
    Mesenquimatosa indiferenciada Conservan la potencialidaddel mesénquima Están localizadas frecuentemente a lo largo de las paredes de los vasos sanguíneos, particularmente de los capilares, por lo que son llamadas células perivasculares o adventicias. Son semejantes a los fibroblastos o macrófagos en reposo Son células de menor tamaño, con citoplasma y núcleo de forma alargada y cromatina densa
  • 36.
    FIBROBLASTOS 1-Es la célulamás común del tejido conjuntivo. 2-Responsable directo de la elaboración de la matriz extracelular (amorfa y fibrilar). Es una célula que se desplaza lentamente (reparación y cicatrización de heridas) suele reproducirse con facilidad.
  • 38.
    Fotomicrografía electrónica deun fibroblasto activo.
  • 39.
    FIBROBLASTO • Son lascélulas fijas mas abundantes del tejido conectivo. • Se originan de Células mesenquimatosas indiferenciadas. • Sintetizan la matriz extracelular • Se relacionan con las fibras colágenas , paralelos a el eje largo de la fibra
  • 40.
  • 41.
    FIBROBLASTO El aspecto morfológicodel fibroblasto depende del momento funcional. Es una célula fusiforme. En su mayor actividad de síntesis y secreción de matriz, presenta una forma alargada con varias prolongaciones irregulares, posee un núcleo ovalado, de cromatina fina y un nucléolo; y un citoplasma ligeramente basófilo de color pálido.
  • 46.
  • 47.
    MIOFIBROLBASTO Características morfológicas, similares con elfibroblasto el citoplasma muestra abundantes miofilamentos de actina y pequeños cuerpos densos similares a los que poseen las células musculares lisas. Es una célula que posee capacidad contráctil. • fibroblastos modificados
  • 48.
    CELULAS ADIPOSAS Almacenan grasaso lípidos. . Existen dos tipos de adipocitos: Células uniloculares : En un solo compartimento la totalidad de los lípidos almacenados, grasa blanca o amarillenta. Adipocito multilocular El citoplasma alberga abundantes gotitas de lípidos; entre ellas se disponen numerosas mitocondrias esféricas con crestas tubulares, grasa parda.
  • 49.
  • 54.
    CELULAS ADIPOSAS Las célulasadiposas, diferenciadas no se dividen su incremento se explica por diversos estímulos, sobre todo nutricionales, que determinan la formación de nuevos lipoblastos a partir de las células mesenquimatosas indiferenciadas durante un periodo breve de tiempo después del nacimiento. El aumento del tejido adiposo se produce por el acumulo de lípido en los lipoblastos y adipocitos ya formados.
  • 55.
    PERICITOS célula alargada decitoplasma pálido, con prolongaciones largas y delgadas. posición entre las células endoteliales de los capilares sanguíneos y la membrana basal peri vascular ,rodean con sus prolongaciones, al capilar. conservan una relativa potencialidad y, ante determinados estímulos, pueden originar fibroblastos y fibras musculares
  • 56.
  • 57.
    Células reticulares TEJIDO CONECTIVORETICULAR Es una variedad de tejido conjuntivo especializado que forma una malla tridimensional estable, que otorga un soporte estructural a las células migratorias de órganos relacionados directamente con los leucocitos de la sangre como son el bazo los ganglios linfáticos y la médula ósea hematopoyética.
  • 60.
    Células reticulares Las célulasreticulares fibroblastos especializados, secretan el colágeno III
  • 61.
    CELULAS CEBADAS MASTOCITOS. Celulascebadas Se localizan el tejido conjuntivo, a lo largo de los vasos sanguíneos. Debajo del epitelio de los sistemas respiratorio y digestivo . FUNCION Procesos inflamatorios , Hipersenbilidad reacciones alérgicas . Fijas
  • 62.
  • 63.
    CELULAS CEBADAS 1- origen delas células mesenquimatosas indiferenciadas. 2-forma ovalada, núcleo esférico de posición central o excéntrico 3- Citoplasma lleno de gránulos esféricos basófilos ( histamina)
  • 68.
    células del tejido conjuntivo Fibroblastos, fibrocitos,  Miofibroblastos  Adipocitos o células adiposas  Pericitos  Mesenquimatosas indiferenciada  Células reticulares Celulas Cebadas
  • 70.
  • 71.
    células plasmáticas Derivadas delos LINFOCITOS B En los tejidos conjuntivos su vida media es de 10 a 20 días. Su función es sintetizar y secretar los anticuerpos (proteínas ) inmunoglobulinas. Ig Su número aumenta en los tejidos con procesos inflamatorios crónicos (parasitismo). Abundan en la mucosa digestiva, incrementándose durante la digestión, en los órganos genitales durante el embarazo
  • 73.
    Células plasmáticas • Formaredondeada u ovalada • Citoplasma basófilo • núcleo excéntrico, redondo y de heterocromatina dispuesta en grumos radiales • Móviles
  • 74.
    Células plasmáticas La penetraciónen el organismo de moléculas extrañas, que reciben el nombre de antígenos, estimulan la diferenciación de los linfocitos B en plasmocitos y la producción por estas células de anticuerpos, como respuesta específica a los antígenos.
  • 78.
    A-Celulas plasmáticas inflamacióncrónica B- Inflamación aguda neutrófilos C- Intestino delgado eosinofilos
  • 79.
    MACROFAGOS • histiocito. Origende monocitos , provenientes de la medula ósea ( Sistema fagocitico mononuclear ) • Función Acción fagocítica eliminan desechos celulares , agentes extraños. partículas de carbón, bacterias, esporas de hongos, pequeños parásitos Son importantes agentes de defensa •
  • 80.
    Macrófagos  capacidad fagocitica movilidad Constituye un protector celular de importancia en las respuestas inflamatorias locales. En estudios realizados más recientemente, se ha sugerido también que el macrófago participa en la defensa del organismo mediante la secreción de interferón y en la reacción inmunitaria a través de la colaboración intercelular.
  • 84.
    Macrófagos . Diferentestipos Macrófagos o histiocitos del tejido conjuntivo laxo y denso. Células de Küpffer en los sinusoides hepáticos. Macrófagos alveolares del pulmón o “células de polvo”. Células dendríticas de los tejidos linfáticos. Macrófagos del parénquima esplénico (bazo). Células de Langerhans relacionadas con los epitelios planos estratificados Epidermis Células mesangiales del corpúsculo renal. La microglia en el tejido nervioso. Osteoclastos (macrófagos fusionados) del tejido óseo
  • 85.
  • 88.
    Células libres LEUCOCITOS Células integrantesde la sangre que abandonan la circulación y ejercen su acción en el tejido conjuntivo. : a) los monocitos, que se transformarán en macrófagos u otras células procesadoras y presentadoras de antígenos, b) los linfocitos que, por acción antigénica, darán origen a dos grandes poblaciones: los linfocitos B y T; c) los Eosinófilos d) los neutrófilos. f) los basófilos
  • 92.
    Células • Fibroblasto Producciónde moléculas de la matriz extracelular. • Células Plasmáticas Producción de anticuerpos • Macrófagos Fagocitosis. • Cebadas (Mastocitos ) Liberan sustancias Participan en las reacciones alérgicas. • Adiposas Almacenamiento de grasa neutra, reserva de energía producción de calor.
  • 93.
  • 94.
    Clasificación • A. Tejidoconectivo embrionario • Tejido conectivo mesenquimatoso • 2. Tejido conectivo mucoso • B. Tejido conectivo del adulto • 1Tejido conectivo laxo (areolar) • 2. Tejido conectivo denso a. Tejido conectivo denso irregular b.Tejido conectivo denso regular
  • 95.
    Clasificación • Tejido conectivode propiedades especiales • Adiposo • Tejido Elástico • Tejido Reticular , linfoide mieloide • Sangre
  • 96.
    Clasificación Tejido conectivo deSostén Tejido Cartilaginoso Tejido Óseo
  • 97.
  • 98.
  • 99.
  • 100.
  • 101.
  • 102.
  • 104.
  • 106.
  • 107.
    TEJIDO ELASTICO • Tieneabundancia de fibras elásticas le da un color amarillo. Gran elasticidad. • Es poco frecuente se encuentra en los ligamentos amarillos de la columna vertebral • El ligamento suspensorio del pene
  • 119.
  • 120.
    CÉLULAS DEL TEJIDOCARTILAGINOSO  CONDROBLASTOS  CONDROCITOS CÉLULAS FORMADORAS DE LA MATRIZ CARTILAGINOSA CÉLULAS MADURAS DEL CARTÍLAGO QUE MANTIENEN LA MATRIZ
  • 121.
    COMPONENTES DE LAMATRIZ CARTILAGINOSA FIBRAS SUSTANCIA FUNDAMENTAL AMORFA COLÁGENAS TIPO II EN EL HIALINO ELÁSTICAS EN EL ELÁSTICO COLÁGENAS TIPO I EN EL FIBROSO GLUCOSAMINOGLUCANOS CONDRITÍN SULFATO Y QUERATÁNSULFATO ÁCIDO HIALURÓNICO PROTEOGLUCANOS GLUCOPROTEÍNAS
  • 131.
    VARIEDADES DE TEJIDOSÓSEOS  OSTEONAL O COMPACTO  TRABECULAR O ESPONJOSO
  • 132.
    CÉLULAS DEL TEJIDOÓSEO  OSTEOBLASTOS  OSTEOCITOS  OSTEOCLASTOS Células formadoras de hueso Células que mantienen la estructura del hueso Células que realizan la reabsorción del hueso
  • 133.
    COMPOSICIÓN DE LAMATRIZ ÓSEA ORGÁNICO INORGÁNICO 50 % FIBRAS COLÁGENAS TIPO I 95 % SUSTANCIA FUNDAMENTAL PROTEOGLUCANOS GLUCOPROTEÍNAS FOSFATO DE CALCIO CARBONATO DE CALCIO SALES DE MAGNESIO, POTASIO Y SODIO
  • 134.
    FUNCIONES • Soporte • Locomoción •Forma corporal • Protección Al SNC • Contiene Medula ósea • Deposito de calcio
  • 150.
    Bibliografía GARTNER LESLIE. AtlasDe Histología. 3ª Edición. Buenos Aires. Panamericana.1995 Capitulo 6 Tejido Conjuntivo Capitulo 7 Cartílago y Hueso Ross.Pawlina Texto y Atlas 6ta Edición Capitulo 6, 7,8 7 ma edicion Histología Básica Texto y atlas Junqueira Capitulo 5
  • 151.
    Próximas Actividades Trabajo enequipos Equipo 1 Tejido conectivo Equipo 2. Fibras Equipo 4 Matriz Amorfa Equipo 5 Fibroblastos adipocitos Equipo 6 Macrofagos celulas cebadas Plasmaticas
  • 152.
    células del tejido conjuntivo fijaso propias  fibroblastos, fibrocitos, Miofibroblastos o células adiposas adipocitos pericitos  mesenquimatosas indiferenciada Células reticulares Cebadas( mastocitos )  Macrófagos ( Histiocitos ) Emigrantes plasmáticas dendritícas Macrófagos **  leucocitos
  • 153.