CAPITULO 9
Tejido Nervioso

CELULAS
•Neuronas

•Astrocitos
•Oligodendrocitos
•Microglia
•Células ependimarias
•Células de Schwann

MATRIZ
EXTRACELULAR
olfatorio
      olfatorio
      Ganglios vestibulares y cocleares y epitelio




            Ganglios de la raíz dorsal y en algunos
            ganglios de los nervios craneales
Mas común
CISTERNAS
            HIPOLEMALES




         FORMADOS DE RER Y
         POLIRRIBOSOMAS
         AMONTONADOS




ESPINA
SINAPSIS             SINAPSIS      SINAPSIS
AXOSOMÁTICA         AXODENDRITICA   AXOAXONICA




              TERMINALES
              DEL AXON
Dendrita




   Cuerpo celular o
   soma




                Axon


NEURONA MOTORA (FORMA
POLIGONAL)
DENDRITA




Neuronas piramidales. Tinción con azul de toluidina.
DENDRITA
AXON




Neurona piramidal. Método de Golgi.
Célula de Purkinje. Método de Golgi.
                              Golgi
Neurona motora. Tinción de Bodian.
EL CUERPO NEURONAL CONTIENE DIVERSOS GRANULOS COMO DE
MELANINA (DOPAMINA Y NORADRENALINA), LIPOFUSCINA (ACUMULOS
DESPUES DE AÑOS) Y LIPIDOS ADEMAS DE GRANULOS SECRETORES




                                          CUERPO DE
                                          NISSL




Neurona motora. Tinción con tionina.
CELULAS
                                                    SATELITE




Neurona sensitiva. Tinción con HyE. (DE FORMA REDONDA)
Neurona multipolar. Tinción de Cajal.
Mesencéfalo. Demostración inmunohistoquímica de encefalina.
POSEEN 3 TIPOS DE
FILAMENTOS: NEUROFIBRILLAS
(FILAMENTOS INTERMEDIOS),
MICROTUBULOS (MAP-2 Y MAP-
3) Y MICROFILAMENTOS
(MEMBRANA PLASMATICA)




                   NEURONA MOTORA
GANGLIO
CILIAR




          LIPOFUSCINA
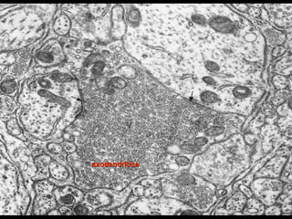
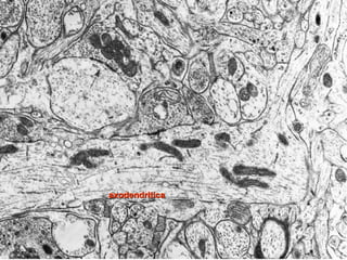
axodendritica       axodendritica




Dendritas corte
transversal         axodendritica




Terminal del axon
axodendritica
axodendritica
ASTROCITO FIBROSO




                    Astrocito Fibroso. Método de Golgi.

                     ELIMINAN IONES Y REMANENTES DEL
                     METABOLISMO NEURONAL CON IONES DE
                     POTASIO K GLUTAMATO Y GABA; Y AYUDA A
                     FORMAR LA BARRERA HEMATOENCEFALICA
                     EN EL SNC AL = QUE EL PROTOPLASMATICO
Astrosito protoplasmático   FORMAN LA MEMBRANA PIAMADRE-
                            GLIAL
Astrocitos fibrosos. Sublimado de oro de Cajal.
Microglia. Impregnación con sulfuro de plata.




SON CELULAS FAGOCITICAS ELIMINAN
DESECHOS Y ESTRUCTURAS DAÑADAS DEL
SNC SON PRESENTADORAS DE ANTIGENO Y
SECRETAN CITOCINAS
Oligodendrocitos interfasciculares. Tinción de Panfield.




HAY DE 2 VARIEDADES DE ESTOS LOS INTERFASICULARES UBICADOS EN
HILERAS COMO ESTOS CONSERVAN LA MIELINA EN EL SNC Y PUEDEN
ENVOLVER VARIOS AXONES A LA VEZ A DIFERENCIA DE LAS CELULAS DE
SCHWANN; EL OTRO OLIGO. ES EL SATELITE QUE SE ENCUENTRA EN LOS
CUERPOS CELULARES DE NEURONAS GRANDES
LINEAS
INTRAPERIODO
EN MEDIO DE 2
LINEAS QUEADA LO
QUE SE LE CONOCE
COMO INTERSTICIO
INTRAPERIODO
OLIGODENDROCITO
CELULAS DE
RECUBRIMIENTO CON
MIELINA DEL SNP SOLO
PUEDEN RECUBRIR UN
AXON A DIFERENCIA DEL
OLIGODENDROCITO




                        AXON




                               PROPIA
CELULAS DE SHWANN
Células ependimarias. Tinción con azul de toluidina.




 CELULAS QUE PUEDEN SER CILIADAS EN
 ALGUNAS PARTES PERO SON LAS CELULAS
 SECRETORAS Y CONSERVADORAS DE EL LCR
 EN EL PLEXO COROIDEO
Plexos coroideos. Tinción con azul de toluidina.
Organización del Tejido Nervioso
 en el Sistema Nervioso Central

           Cerebro
          Cerebelo
        Médula Espinal

           Meninges
CEREBRO
CEREBRO
CEREBRO
Cerebro. Tinción con azul de toluidina.
Cerebro. Tinción con gallocianina-cromalo.
Cerebelo. Tinción de Holzer.
Cerebelo. Tinción con azul de toluidina.
CORTEZA (SUST.GRIS)
 SUST.
 BLANCA


                              PARTE MIELINIZADA
CAPA          CAPA DE
GRANULOSA     CELULAS DE
              PURKINJE                 CAPA MOLECULAR




Cerebelo. Tinción de Cajal.
CORTEZA (SUST.GRIS)




SUST.
BLANCA
SUST GRIS Y
COMISURA GRIS




    SUST.
    BLANCA
ASTAS
VETRALES
(MOTORAS)




            ASTAS
            DORSALES
            (SENSITIVAS
SUST. GRIS
SUST GRIS
CELULAS TRABECULARES
                        (FIBROBLASTOS MODIFICADOS)




CELULAS OSTEOPROGENITORAS (LAXO)




                                                     CAPILARES CONTINUOS
                                                     RODEADOS POR CELULAS
                                                     PIALES
Organización del Tejido Nervioso
en el Sistema Nervioso Periférico

       Ganglios nerviosos
       Nervios periféricos

    Terminaciones nerviosas
Ganglio espinal sensitivo. Tinción con HyE.

CELULAS
SATELITE Y
COLAGENA




   CELULAS DE
   CAPSULAS
   CUBOIDEAS
CELULAS
                                                           SATELITE Y
                                                           COLAGENA



Ganglio espinal sensitivo. Tinción con HyE.


                                              CELULAS DE
                                              CAPSULAS
                                              CUBOIDEAS
Ganglio simpático. Tinción con HyE.
Ganglio parasimpático. Tinción con HyE.
GANGLIO AUTONOMO
epineurio
                         TEJIDO CONECTIVO DENSO
                         IRREGULAR COLAGENOSO

perineurio




                               Nódulos de
                               ranvier
                             ES LA INTERFAZ ENTRE 2 VAINAS DE
                             MIELINA




                         endoneurio
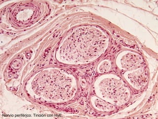
Nervio periférico. Tinción con HyE.
Nervio periférico. Tinción con HyE.
Vainas de mielina en el nervio periférico. Fijación con osmio.
Nervio periférico. Tinción con HyE.
Fibra nerviosa aislada. Fijación con osmio.
Regeneración del axón


•Cambios locales

•Reacción anterógrada

•Reacción y regeneración retrógrados
Corpúsculo sensitivo. Tinción de Bielschowski modificada por Laverentiev.
Corpúsculo sensitivo. Tinción de Bielschowski modificada por Laverentiev.
Corpúsculo de Meissner. Tinción de Bielschowski modificada por Laverentiev.
Corpúsculo de Pacini. Tinción con HyE.

Cap 09-nervioso