Del latín texere             Término empleado por
                             Bichat en el siglo XVIII




                   Tejidos


Tejidos básicos: Son aquellos cuyas células
tienen origen, morfología y función común.
Componentes de los Tejidos



•Células: Varían en forma, tamaño y proporción,
según la función que realiza cada tejido.
•Matriz    extracelular:   Es    un complejo         de
macromoléculas, elaboradas por las células y
exportadas por ellas hacia el espacio intercelular. Está
formada la sustancia fundamental y fibras.
•Líquido tisular: Contiene los componentes solubles
del plasma que atraviesan los capilares sanguíneos y
difunde a través de la matriz extracelular.
Conectivo

          Epitelial
Tejidos
básicos
          Muscular

          Nervioso
TEJIDOS                                  MESÉNQUIMA
    CONECTIVOS                                 MUCOSO
                                      LAXOS    AREOLAR
Es el tejido que                               RETICULAR
forma             una    GENERALES
                                               ADIPOSO
continuidad con los
otros         tejidos,                       REGULAR
conservando de esta                   DENSOS
                                             IRREGULAR
forma la integridad
del cuerpo desde el
punto      de    vista                  ÓSEO
funcional. Se deriva     ESPECIALES    CARTILAGINOSO
del mesodermo. El
tejido conectivo se                    SANGRE *
clasifica en:
FUNCIONES DEL TEJIDOS CONECTIVOS


1- Función de unión, sostén y relleno.

2- Función de nutrición, transporte de
  metabolitos,  almacenamiento      de
  sustancias.

3- Función de defensa del organismo.
Elementos constituyentes

                                                  Líquido
         Matriz extracelular                      tisular
                                        Células

 Sustancia amorfa              Fibras



Glucosaminoglucanos        Colágenas
   Proteoglucanos          Reticulares
   Glucoproteínas           Elásticas
Fibras elásticas
Clasificación de las células de los tejidos conectivos
        generales de acuerdo a la localización



                           FIBROBLASTOS
          CÉLULAS FIJAS
                          ADIPOCITOS

                           CÉLULAS PLASMÁTICAS
                           MACRÓFAGOS
   CÉLULAS EMIGRANTES
                           CÉLULAS CEBADAS
                           LEUCOCITOS
CLASIFICACIÓN DE LAS CÉLULAS DE LOS TEJIDOS
     CONECTIVOS GENERALES SEGÚN SU FUNCIÓN

   CÉLULAS
FORMADORAS DE       FIBROBLASTOS
    MATRIZ

                   - MACRÓFAGOS
  CÉLULAS QUE      - MASTOCITOS O CÉLULAS CEBADAS
PARTICIPAN EN LA   - PLASMOCITOS O CÉLULAS PLASMÁTICAS
    DEFENSA        - LEUCOCITOS:
                   NEUTRÓFILO, EOSINÓFILOS, LINFOCITOS.
    CÉLULAS
ALMACENADORAS         ADIPOCITOS
   DE GRASA
FIBROBLASTOS


- Son las células fijas más abundantes
del tejido conjuntivo.
- Encargados de sintetizar y segregar
los precursores de los componentes
fibrosos y amorfos de la sustancia
intercelular.
-Se hallan distribuidos a lo largo de
los haces de fibras colágenas y en los
cortes histológicos se visualizan
                                       - En ocasiones aparecen
como elementos fusiformes.
                                       gránulos que se tiñen con
-
                                       la reacción del ácido
                                       peryódico de Schiff, que se
                                       cree    sean   precursores
                                       intracelulares    de     los
                                       polisacáridos     de       la
                                       sustancia       intercelular
                                       amorfa.
ADIPOCITOS
- Elementos fijos del T.C.
-Especializadas en la síntesis y en el
almacenamiento de lípidos y constituyen
una de las más importantes reservas
energéticas del organismo.



    En las microfotografías
    electrónicas se observa
    el Aparato de Golgi
    próximo al núcleo y las
    mitocondrias filamentosas
    alrededor de toda la
    circunferencia
    citoplasmática.
PLASMOCITOS O CÉLULAS PLASMÁTICAS
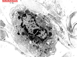
MACRÓFAGOS
MASTOCITOS O CÉLULAS CEBADAS
- Se localizan en pequeños grupos a lo largo
de los vasos sanguíneos de menor calibre.
Se distinguen por el aspecto de su
citoplasma,     destacándose    numerosos
gránulos que se tiñen metacromáticamente.
TEJIDOS                                 MESÉNQUIMA
    CONECTIVOS                                MUCOSO
                                      LAXOS   AREOLAR
Es el tejido que                              RETICULAR
forma             una    GENERALES
                                              ADIPOSO
continuidad con los
otros         tejidos,                       REGULAR
conservando de esta                   DENSOS
                                             IRREGULAR
forma la integridad
del cuerpo desde el
                                       CARTILAGINOSO
punto      de    vista
                                       ÓSEO
funcional. Se deriva     ESPECIALES
del mesodermo. El                      HEMATOPOYÉTICO
tejido conectivo se                    SANGRE *
clasifica en:
MESÉNQUIMA
TEJIDO MUCOSO
TEJIDO RETICULAR
TEJIDO AREOLAR O LAXO COMÚN
TEJIDO ADIPOSO
ADIPOSO
Tejido conectivo laxo
Contiene más células y matriz extracelular que
fibras.
             Tejido conectivo denso
Contiene más fibras y menos células y puede ser:



      Denso Regular         Denso Irregular



Los haces de fibras se     Los haces de fibras están
orientan paralelamente.     orientados en diversas
                                  direcciones
TEJIDO CONECTIVO DENSO REGULAR
TEJIDO CONECTIVO DENSO IRREGULAR
TEJIDO CARTILAGINOSO. CARACTERÍSTICAS.

1. Variedad especial de tejido conjuntivo que está
   constituido principalmente por la         matriz
   cartilaginosa, semejante a un gel.

2. Sus células, los condrocitos, se sitúan en pequeñas
   cavidades denominadas lagunas.

3. Está desprovisto de vasos sanguíneos y linfáticos.

4. Generalmente se encuentra rodeado por una capa
   de tejido conjuntivo denso, el pericondrio.
Pericondrio:
Formado por dos capas de tejido conjuntivo.

La más externa es rica en fibras colágenas y capilares, pero escasa
en células.

La capa interna o capa condrógena o celular del pericondrio
presenta abundantes células y pocas fibras.
La capa interna se encuentra estrechamente aplicada al tejido
cartilaginoso y presenta células mesenquimatosas que se
diferencian en condroblastos, los que a su vez, se diferencian
progresivamente en condrocitos.
Nutrición del Cartílago

Por carecer el cartílago de vascularización, la
nutrición se efectúa mediante la difusión del líquido
tisular a través de la sustancia fundamental, o sea, se
nutre a partir de los capilares de la capa externa del
pericondrio.

Los cartílagos articulares y el fibrocartílago, que
carecen de pericondrio, se nutren del líquido sinovial.

Crecimiento del Cartílago

El crecimiento del cartílago se efectúa mediante dos
tipos de mecanismos: crecimiento por aposición o
exógeno y crecimiento intersticial o endógeno.
VARIEDADES DE TEJIDOS CARTILAGINOSOS



       HIALINO
       ELÁSTICO
       FIBROSO
Tejido Cartilaginoso

                                                         Líquido
            Matriz extracelular                          tisular
                                               Células

 Sustancia amorfa                     Fibras
                                                CONDROBLASTOS
*GLUCOSAMINOGLUCANOS
                                                CONDROCITOS
CONDRITÍN SULFATO Y QUERATÁNSULFATO
ÁCIDO HIALURÓNICO
                        *COLÁGENAS TIPO II EN EL HIALINO
*PROTEOGLUCANOS
                        *ELÁSTICAS EN EL ELÁSTICO
*GLUCOPROTEÍNAS
                        *COLÁGENAS TIPO I EN EL FIBROSO
Cartílago hialino
1. En estado fresco es de color blanco perlado.
2. Tipo de cartílago más frecuente en el organismo.
3. Los condroblastos activos poseen las características de las
   células especializadas en la síntesis de proteínas.
4. En el cartílago maduro la sustancia fundamental se concentra
   alrededor de las lagunas formando la matriz territorial.
5. Se localizan fundamentalmente en cartílagos articulares,
   costales y de nariz, laringe y tráquea.
Cartílago elástico
1. Los condrocitos están incluidos en lagunas.
2. Las células están distribuidas aisladamente o formando
   grupos isogénicos de dos o tres células.
3. La sustancia fundamental se concentra alrededor de las
   lagunas formando la matriz territorial.
4. La matriz presenta abundantes fibras elásticas, que forman
   una red y se colorean con técnica de coloración
   fucsina-resorcina.
5. Crece por aposición e intersticialmente.
6. Se encuentra en los cartílagos del pabellón de la oreja, las
   trompas de Eustaquio, la epiglotis y en algunos otros
   cartílagos de la laringe.
Cartílago fibroso o fibrocartílago:
Contiene numerosos haces paralelos de fibras colágenas y
escasa cantidad de matriz hialina.
Los condrocitos aparecen alineados entre las fibras colágenas.
La sustancia fundamental es muy poco visible, excepto la
matriz territorial que es fina.
El fibrocartílago se localiza en los discos intervertebrales, la
sínfisis del pubis, las zonas de inserción del tendón y los
meniscos de articulaciones
El fibrocartílago carece de pericondrio, por lo que su
crecimiento es intersticial.
Constituye una transición      entre el cartílago y el tejido
conjuntivo denso.
TEJIDOS ÓSEO
1. Variedad especial de tejido conectivo.
2. Posee la notable característica de combinar una gran dureza con
   un alto grado de plasticidad.
3. Su superficie externa está cubierta por el periostio y la interna
   por el endostio.
Periostio
Vaina fibrosa que cubre toda la superficie externa del hueso,
excepto las caras articulares en las que se encuentra cartílago
hialino. Formado por dos capas:
   Externa, formada por tejido fibroso con una red de vasos
   sanguíneos.
   Interna, formada por un tejido conjuntivo más laxo que contiene
   células fusiformes con capacidad para transformarse en
   osteoblastos.
Endostio
Capa que reviste todas las cavidades internas del hueso:
cavidades medulares y sistemas de conductos.
Constituida por tejido reticular con potencialidades osteogénicas y
hematopoyéticas.
Tejido Óseo

                                Líquido
Matriz extracelular             tisular
                      Células


  MATRIZ ÓSEA         OSTEOBLASTOS
                      OSTEOCITOS
                      OSTEOCLASTOS
CÉLULAS DEL TEJIDO ÓSEO


 OSTEOBLASTOS   Células formadoras de hueso

                 Células que mantienen la
 OSTEOCITOS
                   estructura del hueso


 OSTEOCLASTOS     Células que realizan la
                   reabsorción del hueso
SANGRE

Concepto: Es una variedad especializada
de tejido conectivo formada por elementos
figurados, formes o glóbulos sanguíneos
suspendidos en un medio intercelular
líquido que circula en un compartimento
cerrado,    el   sistema   cardiovascular;
realizando importantes funciones .
Neutrófilos
                ERITROCITOS
                                 GRANULOSOS     Eosinófilos

    ELEMENTOS LEUCOCITOS                        Basófilos
    FIGURADOS
S      45-50 %                                   Linfocitos
                              NO GRANULOSOS
A               PLAQUETAS
                                                 Monocitos
N
G              AGUA ( 90 %)       ALBÚMINAS
R              PROTEÍNAS (7 %)    GLOBULINAS
E    PLASMA
                                  FIBRINÓGENO
     50-55 %
               SALES INORGÁNICAS
               COMPUESTOS ORGÁNICOS

        HEMATOCRITO
Clasificación de los leucocitos según la
          presencia de gránulos 2rios

                  NEUTRÓFILOS ( 55-65 %)

 LEUCOCITOS
 GRANULOSOS      EOSINÓFILOS ( 1-3 %)

                  BASÓFILOS ( 0-1 %)


                                           T
                  LINFOCITOS ( 25-40 %)
LEUCOCITOS NO                              B
 GRANULOSOS
                  MONOCITOS ( 2-8 %)

Expo tejidos

  • 1.
    Del latín texere Término empleado por Bichat en el siglo XVIII Tejidos Tejidos básicos: Son aquellos cuyas células tienen origen, morfología y función común.
  • 2.
    Componentes de losTejidos •Células: Varían en forma, tamaño y proporción, según la función que realiza cada tejido. •Matriz extracelular: Es un complejo de macromoléculas, elaboradas por las células y exportadas por ellas hacia el espacio intercelular. Está formada la sustancia fundamental y fibras. •Líquido tisular: Contiene los componentes solubles del plasma que atraviesan los capilares sanguíneos y difunde a través de la matriz extracelular.
  • 3.
    Conectivo Epitelial Tejidos básicos Muscular Nervioso
  • 4.
    TEJIDOS MESÉNQUIMA CONECTIVOS MUCOSO LAXOS AREOLAR Es el tejido que RETICULAR forma una GENERALES ADIPOSO continuidad con los otros tejidos, REGULAR conservando de esta DENSOS IRREGULAR forma la integridad del cuerpo desde el punto de vista ÓSEO funcional. Se deriva ESPECIALES CARTILAGINOSO del mesodermo. El tejido conectivo se SANGRE * clasifica en:
  • 5.
    FUNCIONES DEL TEJIDOSCONECTIVOS 1- Función de unión, sostén y relleno. 2- Función de nutrición, transporte de metabolitos, almacenamiento de sustancias. 3- Función de defensa del organismo.
  • 6.
    Elementos constituyentes Líquido Matriz extracelular tisular Células Sustancia amorfa Fibras Glucosaminoglucanos Colágenas Proteoglucanos Reticulares Glucoproteínas Elásticas
  • 8.
  • 10.
    Clasificación de lascélulas de los tejidos conectivos generales de acuerdo a la localización FIBROBLASTOS CÉLULAS FIJAS ADIPOCITOS CÉLULAS PLASMÁTICAS MACRÓFAGOS CÉLULAS EMIGRANTES CÉLULAS CEBADAS LEUCOCITOS
  • 11.
    CLASIFICACIÓN DE LASCÉLULAS DE LOS TEJIDOS CONECTIVOS GENERALES SEGÚN SU FUNCIÓN CÉLULAS FORMADORAS DE FIBROBLASTOS MATRIZ - MACRÓFAGOS CÉLULAS QUE - MASTOCITOS O CÉLULAS CEBADAS PARTICIPAN EN LA - PLASMOCITOS O CÉLULAS PLASMÁTICAS DEFENSA - LEUCOCITOS: NEUTRÓFILO, EOSINÓFILOS, LINFOCITOS. CÉLULAS ALMACENADORAS ADIPOCITOS DE GRASA
  • 12.
    FIBROBLASTOS - Son lascélulas fijas más abundantes del tejido conjuntivo. - Encargados de sintetizar y segregar los precursores de los componentes fibrosos y amorfos de la sustancia intercelular. -Se hallan distribuidos a lo largo de los haces de fibras colágenas y en los cortes histológicos se visualizan - En ocasiones aparecen como elementos fusiformes. gránulos que se tiñen con - la reacción del ácido peryódico de Schiff, que se cree sean precursores intracelulares de los polisacáridos de la sustancia intercelular amorfa.
  • 13.
    ADIPOCITOS - Elementos fijosdel T.C. -Especializadas en la síntesis y en el almacenamiento de lípidos y constituyen una de las más importantes reservas energéticas del organismo. En las microfotografías electrónicas se observa el Aparato de Golgi próximo al núcleo y las mitocondrias filamentosas alrededor de toda la circunferencia citoplasmática.
  • 14.
  • 15.
  • 16.
    MASTOCITOS O CÉLULASCEBADAS - Se localizan en pequeños grupos a lo largo de los vasos sanguíneos de menor calibre. Se distinguen por el aspecto de su citoplasma, destacándose numerosos gránulos que se tiñen metacromáticamente.
  • 17.
    TEJIDOS MESÉNQUIMA CONECTIVOS MUCOSO LAXOS AREOLAR Es el tejido que RETICULAR forma una GENERALES ADIPOSO continuidad con los otros tejidos, REGULAR conservando de esta DENSOS IRREGULAR forma la integridad del cuerpo desde el CARTILAGINOSO punto de vista ÓSEO funcional. Se deriva ESPECIALES del mesodermo. El HEMATOPOYÉTICO tejido conectivo se SANGRE * clasifica en:
  • 18.
  • 19.
  • 20.
  • 21.
    TEJIDO AREOLAR OLAXO COMÚN
  • 22.
  • 23.
  • 24.
    Tejido conectivo laxo Contienemás células y matriz extracelular que fibras. Tejido conectivo denso Contiene más fibras y menos células y puede ser: Denso Regular Denso Irregular Los haces de fibras se Los haces de fibras están orientan paralelamente. orientados en diversas direcciones
  • 27.
  • 28.
  • 29.
    TEJIDO CARTILAGINOSO. CARACTERÍSTICAS. 1.Variedad especial de tejido conjuntivo que está constituido principalmente por la matriz cartilaginosa, semejante a un gel. 2. Sus células, los condrocitos, se sitúan en pequeñas cavidades denominadas lagunas. 3. Está desprovisto de vasos sanguíneos y linfáticos. 4. Generalmente se encuentra rodeado por una capa de tejido conjuntivo denso, el pericondrio.
  • 30.
    Pericondrio: Formado por doscapas de tejido conjuntivo. La más externa es rica en fibras colágenas y capilares, pero escasa en células. La capa interna o capa condrógena o celular del pericondrio presenta abundantes células y pocas fibras. La capa interna se encuentra estrechamente aplicada al tejido cartilaginoso y presenta células mesenquimatosas que se diferencian en condroblastos, los que a su vez, se diferencian progresivamente en condrocitos.
  • 31.
    Nutrición del Cartílago Porcarecer el cartílago de vascularización, la nutrición se efectúa mediante la difusión del líquido tisular a través de la sustancia fundamental, o sea, se nutre a partir de los capilares de la capa externa del pericondrio. Los cartílagos articulares y el fibrocartílago, que carecen de pericondrio, se nutren del líquido sinovial. Crecimiento del Cartílago El crecimiento del cartílago se efectúa mediante dos tipos de mecanismos: crecimiento por aposición o exógeno y crecimiento intersticial o endógeno.
  • 32.
    VARIEDADES DE TEJIDOSCARTILAGINOSOS  HIALINO  ELÁSTICO  FIBROSO
  • 33.
    Tejido Cartilaginoso Líquido Matriz extracelular tisular Células Sustancia amorfa Fibras CONDROBLASTOS *GLUCOSAMINOGLUCANOS CONDROCITOS CONDRITÍN SULFATO Y QUERATÁNSULFATO ÁCIDO HIALURÓNICO *COLÁGENAS TIPO II EN EL HIALINO *PROTEOGLUCANOS *ELÁSTICAS EN EL ELÁSTICO *GLUCOPROTEÍNAS *COLÁGENAS TIPO I EN EL FIBROSO
  • 34.
    Cartílago hialino 1. Enestado fresco es de color blanco perlado. 2. Tipo de cartílago más frecuente en el organismo. 3. Los condroblastos activos poseen las características de las células especializadas en la síntesis de proteínas. 4. En el cartílago maduro la sustancia fundamental se concentra alrededor de las lagunas formando la matriz territorial. 5. Se localizan fundamentalmente en cartílagos articulares, costales y de nariz, laringe y tráquea.
  • 37.
    Cartílago elástico 1. Loscondrocitos están incluidos en lagunas. 2. Las células están distribuidas aisladamente o formando grupos isogénicos de dos o tres células. 3. La sustancia fundamental se concentra alrededor de las lagunas formando la matriz territorial. 4. La matriz presenta abundantes fibras elásticas, que forman una red y se colorean con técnica de coloración fucsina-resorcina. 5. Crece por aposición e intersticialmente. 6. Se encuentra en los cartílagos del pabellón de la oreja, las trompas de Eustaquio, la epiglotis y en algunos otros cartílagos de la laringe.
  • 41.
    Cartílago fibroso ofibrocartílago: Contiene numerosos haces paralelos de fibras colágenas y escasa cantidad de matriz hialina. Los condrocitos aparecen alineados entre las fibras colágenas. La sustancia fundamental es muy poco visible, excepto la matriz territorial que es fina. El fibrocartílago se localiza en los discos intervertebrales, la sínfisis del pubis, las zonas de inserción del tendón y los meniscos de articulaciones El fibrocartílago carece de pericondrio, por lo que su crecimiento es intersticial. Constituye una transición entre el cartílago y el tejido conjuntivo denso.
  • 42.
    TEJIDOS ÓSEO 1. Variedadespecial de tejido conectivo. 2. Posee la notable característica de combinar una gran dureza con un alto grado de plasticidad. 3. Su superficie externa está cubierta por el periostio y la interna por el endostio. Periostio Vaina fibrosa que cubre toda la superficie externa del hueso, excepto las caras articulares en las que se encuentra cartílago hialino. Formado por dos capas: Externa, formada por tejido fibroso con una red de vasos sanguíneos. Interna, formada por un tejido conjuntivo más laxo que contiene células fusiformes con capacidad para transformarse en osteoblastos. Endostio Capa que reviste todas las cavidades internas del hueso: cavidades medulares y sistemas de conductos. Constituida por tejido reticular con potencialidades osteogénicas y hematopoyéticas.
  • 43.
    Tejido Óseo Líquido Matriz extracelular tisular Células MATRIZ ÓSEA OSTEOBLASTOS OSTEOCITOS OSTEOCLASTOS
  • 44.
    CÉLULAS DEL TEJIDOÓSEO  OSTEOBLASTOS Células formadoras de hueso Células que mantienen la  OSTEOCITOS estructura del hueso  OSTEOCLASTOS Células que realizan la reabsorción del hueso
  • 45.
    SANGRE Concepto: Es unavariedad especializada de tejido conectivo formada por elementos figurados, formes o glóbulos sanguíneos suspendidos en un medio intercelular líquido que circula en un compartimento cerrado, el sistema cardiovascular; realizando importantes funciones .
  • 46.
    Neutrófilos ERITROCITOS GRANULOSOS Eosinófilos ELEMENTOS LEUCOCITOS Basófilos FIGURADOS S 45-50 % Linfocitos NO GRANULOSOS A PLAQUETAS Monocitos N G AGUA ( 90 %) ALBÚMINAS R PROTEÍNAS (7 %) GLOBULINAS E PLASMA FIBRINÓGENO 50-55 % SALES INORGÁNICAS COMPUESTOS ORGÁNICOS HEMATOCRITO
  • 47.
    Clasificación de losleucocitos según la presencia de gránulos 2rios NEUTRÓFILOS ( 55-65 %) LEUCOCITOS GRANULOSOS EOSINÓFILOS ( 1-3 %) BASÓFILOS ( 0-1 %) T LINFOCITOS ( 25-40 %) LEUCOCITOS NO B GRANULOSOS MONOCITOS ( 2-8 %)