DISTEMPER CANINO
Etiología










Virus pantropico, genera un cuadro
neumoenterico y nervioso.
Morbilivirus, Paramixovirus
RNA cadena simple
1 solo serotipo
Varias Cepas (Snyder Hill, A75/17, R252)
Relacionado con Sarampión y Peste Bovina
Sensible al medio ambiente (Virus Envuelto)
Epizootiología
Transmisión







Directa ( ingestión , inhalación)
Por aerosoles secreciones respiratorias,
oculares, orina y heces.
Trasmisión vertical por placenta.
Periodo de Incubación 9 – 14 días.
Diseminación 60- 90 días.
Patogenia
Signología Clínica


Respiratoria







Descarga nasal y ocular.
Tos
Disnea
Neumonía

Ocular





Uveítis anterior
Queratoconjuntivitis seca
Neuritis óptica
Degeneración de la retina
Signología Clínica


Gastrointestinal






Anorexia
Vómitos
Diarrea

Dermatologica



Dermatitis pustular
Hiperqueratosis digital y nasal
Signología Clínica


Neurológica


Apatía



Ataxia



Debilidad o parálisis



Paraplejia



Atrofia muscular



Vocalización



Convulsiones



Signos vestibulares



Mioclonos



Incontinencia



Hipersensibilidad



Dolor y rigidez de cuello



Cambios de comportamiento



Ceguera



Coma
Formas de presentación
PI: 7 – 14 días



Aguda



3-7 primeros días Fiebre y leucopenia.



2º fase febril acompañada de rinitis,
conjuntivitis, anorexia y cuadro neumoenterico
agravado si hay infección secundaria.


Subaguda:
 Encefalomielitis



Crónica:
 Encefalomielitis

multifocal
 Encefalitis crónica del perro viejo
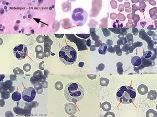
Diagnostico


Examen clínico (Enf. Multisistemica)



Exámenes de laboratorio


Hemograma (Anemia normo-normo, regenerativa, Leucopenia con
linfopenia, trombocitopenia y monocitosis.



Cuerpos de inclusión (conjuntiva, sangre, células transicionales de
vejiga)



FCE, Anticuerpos específicos, Incremento proteínas, pleocitosis (lin,mon,cplas)



Serología
 Elisa IgG e IgM
 Inmunofluorecencia indirecta
 PCR (nucleoproteina NP)
Hemograma


Cambios inespecíficos, solo valor para monitoreo
y pronostico de la enfermedad.



Anemia Normo-Normo, Regenerativa.



Linfopenia absoluta Necrosis tejido linfoide



Trombocitopenia moderada



Monocitosis relativa o absoluta
Tratamiento


Fluidoterapia



Corticoides



Vitamina E < 800 UI/día



Vitamina C 500 mg/día



Complejo B



Antibióticos liposolubles (quinolonas, rifampicina,
metronidazol, cloranfenicol)
Tratamiento


Anticonvulsivantes (diazepam, fenobarbital,
tiopental, propofol)



N – acetilcisteina 35mg/kg Bid x 14 días
Cefalexina 20 – 30 mg/kg Bid x 10 días



Melatonina 3-9 mg/día x 15 días



Azatioprina 1mg/kg Sid x 14 días


Suero Anti-Morbilivirus
Dr. Alson Sears DVM
Distemper canino
Distemper canino
Distemper canino

Distemper canino