Eritrocitos.
Son células pequeñas encargadas del transporte de oxigeno y dióxido de carbono
Contienen en su interior una proteína denominada Hemoglobina.
Alteraciones de los eritrocitos.
El reconocimiento de los eritrocitos normales y los que presentan
alguna alteración en el color y forma nos va a ayudar a dar un
diagnostico adecuado sobre las hematopatías y conocer diferentes
enfermedades que se pueden presentar.
Para eso es necesario conocer el eritrocito desde su formación pasando
por diferentes fases hasta su maduración.
Eritropoyesis.
Es el proceso que corresponde a la generación de eritrocitos, de
acuerdo al tiempo de duración en cada especie
La producción de eritrocitos se realiza en la medula ósea.
Eritropoyetina: hormona fisiológica encargada de regular la
eritropoyesis, es secretada por el parénquima renal.
Fases de maduración del eritrocito
Eritropoyesis
Su cuantificación en la sangre periférica es de gran valor para conocer
la capacidad eritropoyetica de la medula ósea en el estudio de las
anemias.
Características morfológicas.
Los eritrocitos son elementos anucleados de forma redondeada u oval,
con una depresión en el centro.
Las características de su coloración se debe a la hemoglobina
Tienen la forma de disco bicóncavo de 2 um de espesor y un diámetro
de 7 um.
Alteraciones morfológicas de los eritrocitos
Se debe observar el aspecto normal de los eritrocitos en el frotis
Comparar las alteraciones morfológicas eritrocitarias que aparecen
Se consideran:
Normocitos= tamaño normal
Microciticos = tamaño pequeño
Macrociticos= tamaño grande
Alteraciones morfológicas de los eritrocitos
Por los niveles de hemoglobina se consideran:
Normocromico = tinción normal
Hipocromico = tinción disminuida
Hipercromico = tinción acentuada
Reticulocitos Inmaduros
Se deben a la liberación de células eritroides inmaduros hacia la
circulación sanguínea en los casos de anemia.
Se observan en las enfermedades de la médula ósea donde existe daño
del parénquima que afecta a la barrera capilar
También se observan en casos de leucemia
Anisocitosis
Es un término médico que significa que las células observadas en
determinado análisis de un animal son de diferentes tamaños.
Este fenómeno aparece de manera frecuente en la anemia y en otras
enfermedades sanguíneas.
Indica una alteración en el tamaño de las células con respecto a los
demás.
Esta situación se puede dar en patologías de naturaleza displásica
Se presenta como respuesta en anemias de tipo regenerativo
Microcitosis
Los eritrocitos son pequeños.
Tienen un volumen globular medio disminuido
Se observan en casos de anemia por deficiencia de hierro
y piridoxina generalmente.
Macrocitosis
Son eritrocitos de mayor tamaño de los normal
Provocan un incremento del VGM
Se presentan en las anemias de tipo regenerativo.
Megalocitosis
Son hematíes de gran tamaño
Se presenta en anemias macro citicas por la interferencia en la síntesis
de ADN que causa inhibición celular.
Ocurre en casos de deficiencia de vitamina B12 y acido fólico
Alteraciones en la forma de los hematíes.( poiquilocitosis)
1. Esquistocitos.
Se caracteriza por la fragmentación
Eritrocitica.
Se encuentra en coagulación
Intravascular diseminada.
Hemangiosarcona.
Glomerulonefritis.
Fallo cardiaco congestivo
Se presenta en anemias debido a la
pérdida crónica de sangre.
2. Dacriocitos.
Hematíes en forma de lagrima por la incapacidad del eritrocito para
recuperar su forma normal después de haberse deformado en vasos
sanguíneos.
Se observan en llamas con
deficiencia de hierro.
Esplenomegalia
Anemia megaloblastica
Enf. Renal
En hematopoyesis extravascular:
- Mielofifrosis
- Anemia mieloptìsica.
3. Esferocitos.
Hematíes en forma esférica.
Aparecen sin la zona centra clara.
Son considerados microcitos.
Son casi exclusivos de caninos.
Se presentan en las anemias.
de tipo inmune.
Se presentan después de
una transfusión sanguínea.
Se encuentran en anemia hemolítica
Inmunomediada.
4. ovalocitos
Hematìes en forma ovalada, considerados
de tipo normal,
cuando no son tan marcados.
5. Eliptocitos
Hematíes en forma de elipse y delgadas.
En frotis de camélidos es normal
Se observan en enfermedades crónicas
debilitantes que producen anemia producidas
por nematodos.
Anemias por deficiencia de hierro.
6. Drepanocitos
Hematíe en forma de hoz. (hematíe en forma de hoz)
Se presenta por un cambio en la hemoglobina, se conoce como anemia
de células falciformes.
Se presenta episodios de dolor agudo
principalmente de las articulaciones
y extremidades.
7. Dianocitos
Hematíes de aspecto de diana por el aumento de la tinción central.
son células similares de tiro al blanco.
Se presenta en anemias de tipo regenerativo junto con la policromacia
Se puede relacionar con enfermedad renal:
Hepática
Esplénica
8. Estomatocitos
Hematíes en forma de boca.
Son de forma oval hacia el centro.
Se observa en la estomatocitosis
heriditaria del Alaska Malamut y
en enfermedades hepáticas
9. Equinocitos o hematíes crenados.
Son hematíes espiculados
Se observa en anemias debido a
la pérdida crónica de sangre.
10. Keratocitos.
Hematíes en forma de casco.
Se presenta en las anemias
Microangiopaticas.
Hemangioma cavernoso.
Derivan de daos oxidativos de la
Membrana eritrocitaria
formando parte de los cuerpos
de Heinz
11. Acantocitos
Son hematíes en forma de espuela.
Se forman a consecuencia de alteración entre lípido y colesterol en
membrana eritrocitaria
En las anemias debido a la pérdida
crónica de sangre o en enfermedades
caracterizadas por fragmentación eritrocitica.
Células que son retiradas prematuramente
de la circulación sanguínea agudizando
su estado anémico.
Linfoma.
Enfs. Hepáticas
Glomerulonefritis
Alteraciones en la coloración
1. hipocromía.
Hematìe teñido en forma débil, se refiere
a la palidez marcada en la zona central
del hematíe.
Se presenta por la disminución en la
concentración de hemoglobina dentro
de la célula.
Se presenta por deficiencia de hierro
2. Policromacia.
Hematíes jóvenes que se tiñen de color grisáceo
Es una variación en la afinidad eritrocitica
hacia el colorante donde existe un tono azuloso .
Esta asociada con el incremento de la
actividad eritropoyetica como respuesta
a una anemia regenerativa.
3. Anisocromacia
Son los hematíes con falta de uniformidad en la coloración.
Se encuentra en pacientes con anemias carenciales.
4. hipercromacia.
Son los hematíes inmensamente coloreados.
Se presenta en anemias hereditarias y megaloblasticas.
Inclusiones intraeritrocitarias.
Normalmente los hematíes solo contiene hemoglobina.
En algunas ocasiones se pueden encontrar elementos extraños en su
interior.
1.- Cuerpos de Howell Jolly.
Es un residuo nuclear
Consiste en un grupo visible en el interior de los hematíes
Se tiñe de un color que oscila entre el rojo oscuro y el negro
Aparecen en sujetos esplectomizados.
2.Cuerpos de Howell Jolly
3. Cuerpos de Heinz
Son precipitados de hemoglobina
Consiste en pequeñas granulaciones situados en la periferia de los
hematíes.
Se producen en enfermedades
congénitas que comportan una
inestabilidad de la hemoglobina
4. Punteado basófilo.
Agregados ribosómicos originados por una degeneración vacuolar.
Consiste en puntitos basófilos de tamaño variable y dispersos por toda
la superficie del hematíe.
Se produce en las intoxicaciones por plomo, en talasemias y leucemias.
Anemia
Es el descenso del número de eritrocitos, concentración de
hemoglobina y hematocrito por debajo del límite inferior del rango de
referencia para la especie.
Se presenta en las especies domesticas.
La anemia aparece como una alteración frecuente en perros, gatos y
tiene su origen en un problema de base.
Determinación de las causas de la anemia
Como cualquier enfermedad el dx. de la anemia se realiza a partir de:
- La anamnesis.
- Síntomas físicos y
- Resultados de laboratorio.
Síntomas físicos
- Membrana de mucosas pálidas
- Debilidad
- Perdida de resistencia física
- Intolerancia al ejercicio
- Taquicardia y polipnea
- Murmullo cardiaco
- Pulso débil
Resultados de laboratorio.
Se necesita una confirmación laboratorial porque las anemias no
siempre se acompañan de los signos clínicos típicos.
1. El valor del Ht es más fácil y preciso
2. Concentración de Hb y recuento de GR.
3. Se puede usar otros parámetros de lab. Para caracterizar la anemia
y llegar a un dx. Especifico.
Clasificación de anemias
Siempre que sea posible deberá identificarse la causa
A. Clasificación según el VCM y CHCM del eritrocito
1. El VCM clasifica a la anemia en:
Normocítica
Microcítica
Macrocítica
2. La CHCM clasifica a la anemia en:
Normocrómica
Hipocrómica
Hipercrómica
Clasificación de las anemias.
B. Clasificación en función de la respuesta de la medula ósea.
1. Anemia regenerativa.
a. La M.O responde activamente a la anemia aumentando la producción de
eritrocitos
b. Hallazgos que indican la regeneración de eritrocitos
- Policromasia
- Reticulocitos con anisocitosis
- Aumento de VCM, disminución de HCM y CHCM asociado a la
reticulositosis.
- Punteado basófilo de eritrocitos en rumiantes.
Clasificación de anemias.
c. Las especies de máxima respuesta reticulocitica son las que tienen
regeneración mas intensa: HT vuelve a lo normal.
La capacidad de especies para organizar una respuesta regenerativa en
orden decreciente:
Aves
Perros
Gatos
Vaca
Caballo
Clasificación de anemias
e. La regeneración en caballo es difícil de detectar, porque los
reticulocitos no se liberan a la circulación.
2. Anemia no regenerativa.
a. Indica la ausencia de respuesta eritroide en la medula ósea
b. Los caballos liberan reticulocitos a la sangre por lo que en estas
especies todas las anemias aparecen de tipo regenerativa.
c. La policromasia, reticulocitosis y punteado basófilo (rumiantes)
están en bajo numero o ausentes.
Clasificación según los mecanismos fisiopatológicos principales.
1.- Anemia por pérdida de sangre (anemia hemorrágica)
Características por la perdida aguda de sangre.
Hallazgos clínico.
a. Normalmente hay evidencia visual directa de la hemorragia
b. Cuando los análisis de laboratorio nos indican anemia hemorrágica
pero no encontramos evidencia se
considera la posibilidad de sangrados
ocultos.
c. Los signos clínicos depende
de la cantidad de sangre perdida
Clasificación según los mecanismos fisiopatológicos principales
Causas de perdida de sangre.
Hemorragia aguda Hemorragia crónica
Ulceras gastrointestinales Tumores
Defecto de hemostasia Hematuria
Intoxicación por helechos Hemofilia
Coagulación intravascular diseminada Tumores gastrointestinales
Deficiencia de factor X Tumores vasculares
Hemofilia A Y B Parasitismo
Intoxicación por trébol dulce Ancilostomosis
Neoplasias Coccidiosis
Hemangiosarcoma esplénico Hemoncosis
Trombocitopenia Estrongylosis
Traumatismos cirugía Deficiencia de vitamina K
Índices Eritrociticos
Los índices eritrociticos definen el tamaño del glóbulo rojo,
concentración de hemoglobina y el hematocrito.
A partir del recuento total de eritrocitos, contenido de hemoglobina y
volumen del paquete celular, es posible calcular el volumen promedio
y la concentración de hemoglobina de un eritrocito.
Estos valores son importantes para determinar:
El tipo morfológico de anemia y ayudar a
elegir la terapia y a controlar el tratamiento
establecido.
1. Volumen Corpuscular Medio (VCM)
Expresa el volumen promedio del eritrocito individual.
Se calcula con la siguiente fórmula.
Ht % X 10
VCM= -----------------------------------------------------------------
cuenta eritrocitica ( millones de G.R/ microlitro)
VCM.
El VCM se expresa en fentolitros. fl
El VCM determina el tamaño de los glóbulos rojos:
Normocítico = tamaño normal
Macrocítico = tamaño grande
Microcítico = tamaño pequeño
Factores que afectan a los valores del VCM
a) La reticulocitosis es la causa común de la macrocitosis
Los reticulocitos específicamente las formas jóvenes son células
grandes.
b) Los animales inmaduros de la mayoría de las especies tienen
eritrocitos pequeños y microcitos ( vcm bajo).
Se puede evidenciar por una deficiencia de Fe en la dieta de los
animales jóvenes.
c) Los gatos infectados por la leucemia felina tienen eritrocitos grandes
debido a una maduración asincrónica.
Eritrocitos normales e índices eritrociticos de animales.
IE perro gato vaca caballo cerdo cabra llama Cerdo
panzudo
oveja
G.R mill 5.5 a 8.5 5-10 5-10 6-12 5-7 8-18 11-17.5 6-8.25 9-15
G. Blan 17000 20000 12000 12500 22200 18000 29000 45000 15000
Ht 37-55 30-45 24-46 32-48 36-43 22-38 29-39 36.5-51 27-45
Hb g 12-18 8-15 8-15 10-18 9-13 8-12 13-18 11-15 9-15
VCM fl 60-77 39-55 40-60 34-58 52-62 16-25 21-28 46-68 28-40
HCM pg 19-24 13-17 11-17 13-19 17-24 5-8 43-46.6 14-22.3 8-12
CHCM 32-36 30-36 30-36 31-37 29-34 30-36 44.1 28-33 31-34
Plaquetas
Miles
/mm3
200-500 300-700 100-750 100-350 200-500 750 850 650 950
Ejemplos.
Especie: canino
Hemograma. Ht: 43; Hb g%: 13.5 G.R: 6 512 320
Determinar el VCM
Ht% X10 43 x 10 430
VCM= --------------- = --------------- = --------- = 66.15 fl normal.
N° G.R 6.5 6.5
Ejemplos.
Especie: cerdo
Hemograma: Ht %: 25; Hbg%: 10; N° G.R 4 520 300
Determinar
Ht%X 10 25x10 250
VCM = ----------- = ----------- = --------- = 55.55 fl normal
N° G.R 4.5 4.5
Ejemplos
Especie: bovino
Hemograma: Ht%: 26; Hb g% : 5 ; N° G.R: 3 450 000
Determinar el VCM
Ht x 10 26x10 260
VCM=----------- = ------------ = -------- = 86.7 fl (alto )
N° G.r 3 3
2. Hemoglobina Corpuscular Media. HCM
Se expresa en pico gramos (pg)
Es la cantidad de hemoglobina por peso en el eritrocito promedio.
Se calcula con la siguiente fórmula.
Hb g% X 10
HCM= ----------------------------
Nº Glóbulos Rojos
3. Concentración de Hemoglobina Corpuscular Media. CHCM
Es la concentración de hemoglobina en el conjunto de eritrocitos
promedios.
Se calcula con la siguiente fórmula.
Hb g%
CHCM= ----------------- x 100 = % de Hb.
Ht%
La CHCM determina:
- Los niveles de hemoglobina:
- Normocromico : hemoglobina normal
- Hipocromico : hemoglobina disminuida
- Hipercromica: hemoglobina aumentada.
CHCM.
En muchos tipos de anemia un aumento o disminución en el tamaño
promedio de la célula se acompaña un aumento o disminución del
contenido promedio de Hb.
Factores que afectan a la CHCM
A. La hemolisis in vitro o in vivo
B. Tratamiento con oxiglobina generalmente da valores aumentados.
4. Hematocrito.
El hematocrito es el valor que se define por la cantidad del volumen de
la sangre ocupado por los glóbulos rojos, respecto al ocupado por la
sangre total.
Es decir, un hematocrito de 40% quiere decir que el 40% del volumen
de la sangre está compuesto por glóbulos rojos.
4. Hematocrito
La prueba del hematocrito es un tipo de análisis de sangre.
El hematocrito mide la cantidad de sangre compuesta por glóbulos
rojos.
Los glóbulos rojos contienen una proteína llamada hemoglobina que
transporta oxígeno de los pulmones al resto del cuerpo
Método para determinar el hematocrito
El hematocrito (PCV)
se puede determinar por centrifugación de sangre heparinizada en un
tubo capilar (también conocido como un tubo de microhematocrito)
Metodo del tubo de Wintrobe.
a 10 000 rpm durante cinco minutos. ​
Esto separa la sangre en capas.
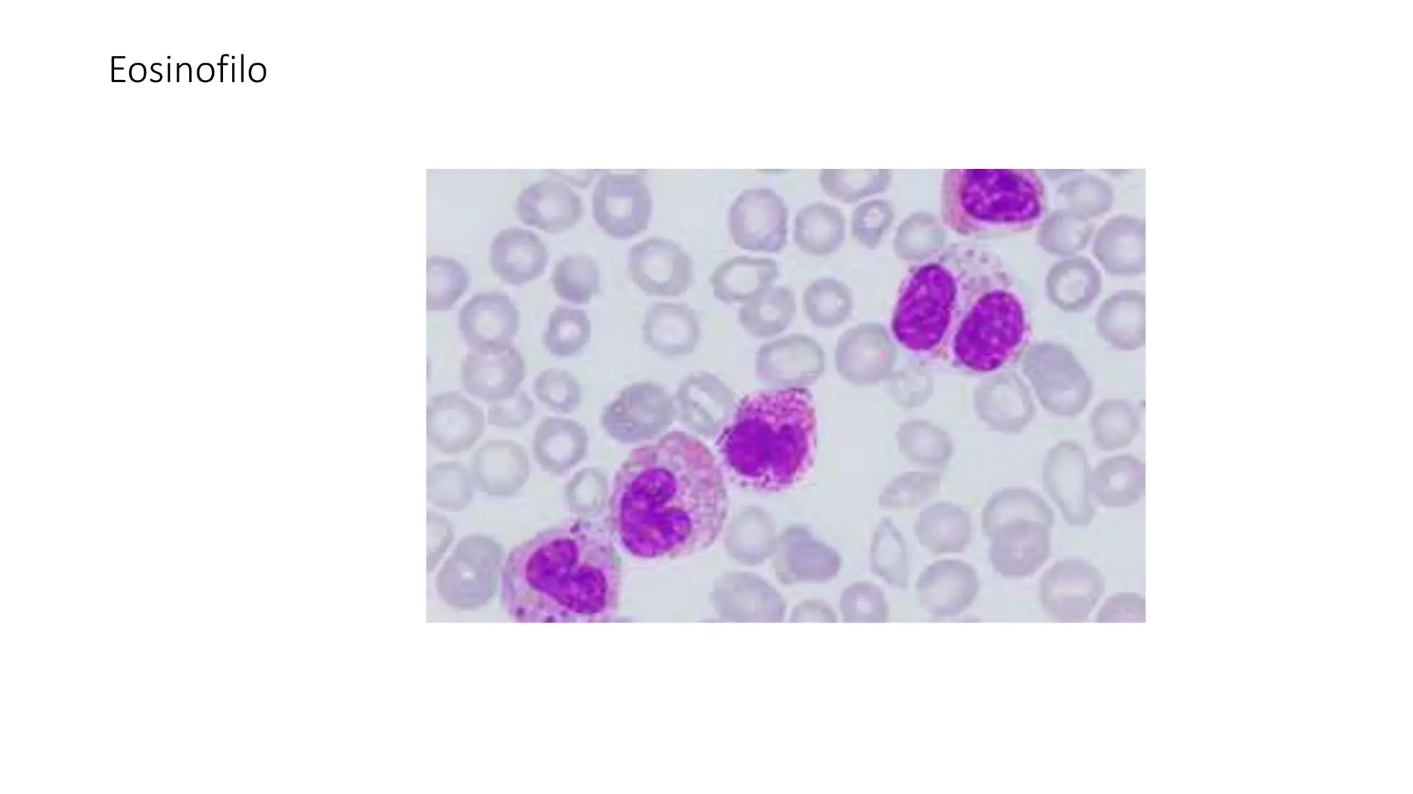
Métodos
Imagen de neutrófilos en la sangre
Imagen de células blancas.
Monocito.
Basofilos
Eosinofilo
Imagen de plaquetas y glóbulos rojos.
HEMOGRAMAS.
Descripción y número de las diversas clases de células que se
encuentran en una cantidad determinada de sangre y de las
proporciones entre ellas.
El hemograma es un examen de sangre que permite realizar un
recuento sanguíneo de las tres células principales: glóbulos blancos,
glóbulos rojos y plaquetas.
HEMOGRAMA
Con un conteo de este tipo de células es posible confirmar el
diagnóstico de algunas enfermedades, según si estas células están
sobre o bajo el rango normal. También permite detectar respuestas
adversas a diferentes tratamientos.
Considerando que cada una de estas células tiene funciones
determinadas, el déficit o exceso de éstas puede ser indicador de
diferentes condiciones, infecciones o patologías.
HEMOGRAMA
Glóbulos blancos o leucocitos:
Ayudan al organismo en el combate de infecciones.
Cuando existe una anormalidad en el recuento de estas células, es
posible que la persona tenga alguna infección o sea portadora de un
virus.
Los glóbulos blancos son los encargados de las defensas del animal por
ello en cuadros de infección están aumentados (leucocitosis), o en
ciertas enfermedades están disminuidos. ( neutropenia)
HEMOGRAMA
Glóbulos rojos:
Para conocer la cantidad de glóbulos rojos se mide la hemoglobina.
Estas células transportan el oxígeno a través de la sangre a todo el
organismo.
Si la hemoglobina está bajo el rango normal, es posible que la persona
padezca anemia.
La cantidad de glóbulos rojos puede ofrecer datos de salud o de la
presencia de una anemia, enfermedades generales, o diferentes tipos
de cáncer. Su disminución produce cansancio y fatiga.
Leer más sobre Glóbulos Rojos. TAREA.
HEMOGRAMA
Plaquetas: son fundamentales para la coagulación y la prevención de
hemorragias. Por lo tanto, si están bajo la curva recomendada, es
posible que sea la causa de distintos episodios de hemorragia o
moretones frecuentes.
La cantidad que se considera normal en los diferentes tipos de células,
varía dependiendo de la especie, macho o hembra y la edad.
Las plaquetas son las células encargadas de parte de la coagulación. Por
ello, si su número disminuye pueden aparecer cuadros de hemorragias
que puede deberse a diferentes problemas y enfermedades.
Por el contrario, su número aumenta en diferentes enfermedades
reumáticas o autoinmunes.
PARA QUE SIRVE EL HEMOGRAMA.
El hemograma es un examen de sangre que evalúa el estado de salud
general y que puede detectar, monitorizar o diagnosticar enfermedades
como anemia, leucemia, neoplasias, trastornos hemorrágicos e
infecciones.
El hemograma se realiza con una muestra de sangre obtenida por
punción venosa, o en un dedo o de oreja en los recién nacidos. NO
requiere ayuno previo, por lo cual se puede realizar en cualquier
momento del día.
HEMOGRAMAS.
¿ QUE BUSCAR?
Inflamación
Cambios por estrés y epinefrina
Necrosis sistémica
Hipersensibilidad sistémica
Inflamación: aguda
crónica tipo I o II ; pronostico malo
Desviación a la izquierda degenerativa o regenerativa
Reacción leucemoide
Pronostico bueno
TENEMOS QUE EVALUAR SI HAY INFLAMACIÓN
Leucocitosis
Buscar una desviación a la izquierda
Monocitosis eosinofilia
ENTONCES:
Leucocitosis
neutrofilia
desviación a la izquierda
monocitosis
ANEMIAS
La anemia en animales es una enfermedad que se presenta cuando el
organismo no cuenta con glóbulos rojos sanos o funcionales en un
número adecuado.
Entre el 40 % y el 60 % son los valores de un perro sano, debajo del 30
% se considera anemia.
Quien produce la anemia
Trastornos nutricionales.
Deficiencia de minerales:
Cu, Co y Fe
Carencia de vitaminas B6, B9, B12 y E.
Se puede deber a intoxicaciones por el elevado consumo de Cu, Zn, Pb,
Se, agua y helecho común.
Como se determina la anemia en animales.
Ante un paciente se debe realizar un examen clínico completo, donde
se revisan mucosas, hidratación, sintomatología reportada y evaluar el
funcionamiento de órganos que pueden indicar la presencia de anemia.
Se deben realizar exámenes de sangre complementarios que evalúan
varios parámetros relacionados con los eritrocitos.
La evaluación de los eritrocitos ser realiza tomando una muestra de
sangre, y almacenándola en un tubo contenedor con anticoagulante y
enviándola a un laboratorio.
Esto permitirá evaluar los siguientes parámetros:
Como se determina la anemia en animales
a.- Hematocrito: Este parámetro indica en porcentaje la masa eritrocitaria relativa,
también llamado Volumen Corpuscular Aglomerado (VCA).
b.- Hemoglobina: evalúa la cantidad de esta proteína transportadora de oxígeno
presente en los eritrocitos contados; en condiciones normales deben ser valores
similares al hematocrito.
c.- Recuento de eritrocitos/reticulocitos: se realiza un conteo manual de eritrocitos
maduros e inmaduros; esto permite evaluar la eritropoyesis medular. Este
parámetro es importante para determinar el tipo y grado de anemia en un
paciente.
Índices Corpusculares Medios.
VCM: indica el tamaño promedio de los eritrocitos en sangre periférica y los
clasifica en macrocíticos, normocíticos y microcíticos.
HCM : mide la cantidad de hemoglobina que hay en cada eritrocito.
CHCM: cuantifica la cantidad de esta proteína por volumen de eritrocitos,
permitiendo su clasificación en eritrocito Hipercrómico, normocrómico o
hipocrómico.
Como se determina la anemia en animales.
De esta manera, un paciente con anemia se puede clasificar de forma
práctica de la siguiente manera:
Anemia regenerativa: macrocítica e hipocrómica
Anemia arregenerativa: normocítica y normocrómica
Anemia por deficiencia de hierro: microcítica e hipocrómica
Anemia por deficiencia de Vitamina B12 y ácido fólico: Macrocítica-
normocrómica: deficiencia de vitamina B12 y ácido fólico
Causas de anemia en Medicina Veterinaria
Las causas de anemia en medicina veterinaria pueden ser muchas y se
clasifican según la respuesta fisiológica de la médula ósea ante el déficit de
eritrocitos, hemoglobina o hematocrito. Se puede encontrar causas
asociadas a las anemias regenerativas (cuando la médula ósea sigue
respondiendo) como:
Hemorragia: es la pérdida de sangre completa que puede ser aguda
(traumas, heridas, cirugías), crónica (parásitos, úlceras) o por una
coagulopatía
Hemólisis: es la destrucción de eritrocitos, que puede ser por deficiencias
nutricionales, inmunomediada, por endoparásitos o trastornos oxidativos,
hereditarios o intoxicaciones.
Pobremente regenerativas asociadas a déficits nutricionales de Hierro o
aminoácidos que dificultan la regeneración de eritrocitos en la médula ósea.
Regenerativas degenerativas son procesos de anemia severos y crónicos que
agotan la producción de eritrocitos maduros en la médula ósea.
Causas de anemia en Medicina Veterinaria
Según las causas revisadas de la anemia, el médico veterinario debe tratar inicialmente la
causa primaria. Por ejemplo, si la causa son parásitos que puedan generar hemorragia o
hemólisis, debe instaurarse el tratamiento antiparasitario correspondiente.
Por otro lado, es frecuente que los animales tengan comorbilidades asociadas al cuadro
clínico. El profesional debe instaurar medidas terapéuticas que ayuden al paciente, como la
terapia de fluidos o el suplemento de minerales, vitaminas y aminoácidos que participan
en la regeneración de eritrocitos.
En este sentido, se ha encontrado que administrar Tiamina (Vitamina B1) es requerido en
casos de deficiencia de esta vitamina, lo cual se evidencia en los animales al presentar
trastornos del sistema nervioso, gastrointestinal y cardiovascular. Su administración
contribuye a normalizar el metabolismo y la producción de energía a nivel celular.
Así mismo, se puede administrar Piridoxina (Vitamina B6) y Cianocobalamina (Vitamina
B12) ya que participan en el metabolismo de proteínas, lípidos.
Las anemias se clasifican en dos grandes grupos.
• Las anemias en perros es una de las causas más comunes en la
consulta veterinaria, este término hace referencia a una disminución
de glóbulos rojos en la sangre y pon tanto a una deficiencia en el
aporte de oxígeno a los tejidos. Sus causas puedes venir dadas por
múltiples factores, a veces primarios y otras veces secundarios. Por
ello para entender todo esto es importante clarificar y afianzar ciertos
conceptos: qué son los glóbulos rojos , de que están formados dichos
glóbulos, cómo y dónde se forman, que tipos de anemias hay , con
que sintomatología cursan , que tratamiento puede recibir en función
de qué tipo de anemia presente nuestro paciente …
Las anemias se clasifican en dos grandes grupos
1.- Anemias regenerativas: son aquellas en las que la médula ósea va a
intentar corregir ese déficit de glóbulo rojos en la sangre. Podemos
distinguir distintos tipos:
a. Anemias hemorrágicas: son aquellas que se caracterizan por una
pérdida significativa del volumen sanguíneo. Podemos encontrarlas de
forma aguda (atropellos) forma crónica (sangrado digestivo,
neoplasias…)
b. Anemias hemolíticas: se produce como consecuencia de la
destrucción prematura de los glóbulos rojos. Puede producirse una
hemolisis intrínseca, cuando se produce un defecto en el propio
glóbulo rojo o una hemolisis extrínseca, en este caso los glóbulos rojos
son sanos, pero se ven destruíos más tarde en el bazo o en la
circulación sanguínea por múltiples factores.
Las anemias se clasifican en dos grandes grupos
c. Anemia hemolítica inmunomediada: es aquella en la que el propio
sistema inmunitario no reconoce los antígenos de los glóbulos rojos
fagocitándolos hasta destruirlos, lo que se considera de origen
idiopático. También puede suceder que exista alguna causa subyacente
como fármacos, tóxicos, procesos inflamatorios, infecciosos…
d. Anemia hemolítica oxidativa: se produce como consecuencia de
lesiones oxidativas de la hemoglobina.
e. Anemia hemolítica microangiopática: se produce una hemolisis de
los eritrocitos por traumatismo intravascular por los vasos sanguíneos
por lesiones o trombos, vasculitis
Las anemias se clasifican en dos grandes grupos
2. Anemias no regenerativas:
a. Anemias por deficiencia de hierro:
b. Anemias por aplasia medular: se produce una reducción de las
células sanguíneas en la medula ósea. Sustituyendo el tejido
hematopoyético en tejido adiposo. Las causas pueden ser numerosas
ya sea por fármacos, tóxicos, tumores, procesos infecciosos,
insuficiencia renal…
La anemia puede ser diagnosticada de manera rápida en un análisis de
sangre, detectando un descenso en los parámetros característicos, pero
lo más complejo es diagnosticar el origen de esa anemia. Para ello se
necesitará un estudio completo del animal.
Anemia en Rumiantes
Anemia en Rumiantes
Los principales problemas en la crianza al pastoreo de los rumiantes
incluyen el manejo erróneo de las pasturas, las ineficientes medidas de
control de los parásitos, la resistencia antihelmíntica y la deficiencia de
nutrientes presentes en los pastos.
Puede originar problemas sanitarios (Keady et al., 2016). Al menos,
veintidós elementos han sido identificados como esenciales para el
crecimiento y salud de los animales.
Estos incluyen macroelementos y microelementos, los cuales
desempeñan cuatro funciones importantes en el organismo:
estructural, fisiológica, catalítica y regulatoria (Radwińska y Żarczyńska,
2014).
Anemia en Rumiantes
Enfermedad Epidemiología Hallazgos clínicos
Leptospirosis Bovinos de todas las edades Fiebre aguda, con tinte rojizo en
orina, hemoglobinuria, aborto
Hemoglobinuria pos parto Vacas de alta producción 4 a 6
semanas pos parto
Hipofosfatemia
Babesiosis Animales jóvenes, principalmente
en área enzooticas con garrapatas
Fiebre aguda, ictericia abortos,
curso de 2 a 3 semanas
Anaplasmosis Animales adultos en áreas
enzooticas con insectos
Ictericia, curso corto sin
hemoglobinuria
Envenenamiento crónico por cobre Cualquier edad por administración
oral a largo plazo de suplementos o
alimentos conteniendo cobre
Severa ictericia sin fiebre ni
hemoglobinuria niveles tóxicos de
cobre en sangre
Envenenamiento por plantas
tóxicas
Bovinos de todas las edades en
pastoreo en zonas endémicas con
plantas tóxicas
Anemia pre aguda sin fiebre
Anemia causada por fármacos Cualquier edad por uso de algunos
fármacos,vía endovenosa o mal uso
por vía parenteral
Moderada hemoglobinuria
Signos clínicos de la anemia en rumiantes
La anemia causa signos clínicos referidos a una disminución del pigmento
rojo hemoglobina, es decir, palidez de las membranas mucosas o ictericia.
Esto origina una disminución de la capacidad de transportar oxígeno
expresada como depresión, letargia, debilidad, intolerancia al ejercicio,
taquicardia, taquipnea, disnea.
En los casos de hemorragias se puede observar epistaxis, hematuria y
melena (Preston, 2015; Katsogiannou et al., 2018).
Las enfermedades crónicas que causan lesión de la médula ósea pueden
manifestar una anemia leve con signos como pérdida de peso en adultos o
disminución de la ganancia de peso en crías y reducción del apetito
(Katsogiannou et al., 2018), pero puede ocurrir postración, convulsiones,
síncope o coma con la anemia severa. La anemia es confirmada identificando
una disminuida concentración de hemoglobina o una reducida concentración
de glóbulos rojos (Boes y Durham, 2017).
Anemia por deficiencia nutricional
Una de las principales causas de anemia en bovinos al pastoreo es la
deficiencia nutricional, debido a la carencia de minerales traza tales
como hierro, cobre, selenio y cobalto, ya que los forrajes naturales
raramente pueden satisfacer todos los requerimientos minerales del
animal (Rahman et al., 2005).
Las deficiencias también pueden resultar por la ingesta de alimento de
baja calidad, absorción o asimilación disminuida en el organismo o
incrementada demanda durante el crecimiento intensivo, preñez y
lactación.
los alimentos y dietas deficientes en nutrientes con un contenido
mineral no balanceado perjudican el desarrollo de los animales
jóvenes, disminuyen el apetito, disminuyen la absorción de nutrientes,
disminuyen la inmunidad e incrementan la susceptibilidad a
enfermedades (Radwińska y Żarczyńska, 2014).
Anemia por parasitismo
El parasitismo puede causar diversos tipos de anemia, según sea el
parásito involucrado. Un estudio realizado por Singh et al. (2014)
indica que las principales causas de anemia en rumiantes fueron la
infestación con endoparásitos, seguida por la infestación con
ectoparásitos y hemoparásitos. Los endoparásitos suelen causar una
anemia de tipo hemorrágica, debido a las lesiones que originan.
Parásitos: Teladorsagia spp. y Ostertagia ostertagia en bovinos a nivel
gastrointestinal, Fasciola hepática a nivel hepático y Paramphistomum
sp. en el abomaso de bovinos y ovinos, causan signos clínicos tales
como palidez de las membranas mucosas, especialmente en la
conjuntiva y debilidad progresiva que aumenta según se incrementa la
pérdida de sangre. En los casos crónicos se observará hipoproteinemia
que puede conducir a edema ventral y general, como ocurre en la
fasciolosis crónica (Besier et al., 2016; Constable et al., 2017).
Anemia por parasitismo
En ovinos, el endoparásito más importante es Haemonchus contortus,
cuyos signos clínicos característicos tales como anemia severa,
intolerancia al ejercicio y edema subcutáneo se relacionan casi
enteramente a las actividades de alimentación de los parásitos adultos
y las etapas larvarias.
Esta enfermedad es común en corderos y cabritos que aún no son
inmunocompetentes, y en borregas y cabras en lactación temprana
debido a la inmunodepresión fisiológica (Besier et al., 2016).
Anemia por Parasitismo
La coccidiosis, puede ocasionar anemia. Eimeria sp. causa serias
lesiones principalmente en terneros de 1 mes de edad y en corderos y
cabritos de 4-6 meses de edad, en condiciones de crianza intensiva con
poca higiene.
Factores estresantes tales como el destete, clima severo, cambios en la
dieta, o manejo, pueden predisponer a la presentación de coccidiosis.
Las coccidias invaden y destruyen las células intestinales del hospedero,
causando anemia, pérdida de electrolitos y una pobre absorción de
nutrientes.
Las lesiones varían desde una hemorragia proliferativa a necrótica
(Khodakaram-Tafti y Hashemnia, 2017).
Anemia por enfermedades
Las enfermedades causan anemia de forma directa o indirecta. Las enteritis
infecciosas en rumiantes causadas por Salmonella spp., Clostridium
perfringens tipo A o paratuberculosis, causan una diarrea con presencia de
sangre (Chigerwe y Heller, 2017). Las úlceras abomasales, la hematuria
enzoótica bovina, la pielonefritis, las hemorragias por tumores, el
envenenamiento con plantas tóxicas y el envenenamiento crónico por cobre
causan anemia (Constable et al., 2017). Leptospira spp. causa lesiones
primarias en el endotelio de los vasos sanguíneos que conducen a isquemia
localizada en órganos tales como riñón e hígado.
Además de la vasculitis, las hemolisinas de Leptospira spp. han sido
implicadas en la patogénesis de la anemia hemolítica que se observa
(Katsogiannou et al., 2018). Corynebacterium renale y Escherichia coli en
vacas pueden causar hematuria (Constable et al., 2017). La enfermedad del
cordero amarillo causada por C. perfringens tipo D origina anemia
hemolítica; C. hemolyticum causa hemoglobinuria en ovinos y bovinos
(Katsogiannou et al., 2018).
Rol de los micronutrientes en la resolución de la anemia
Hierro. Desempeña varias funciones, tales como el transporte de
oxígeno y su almacenamiento, regula la fagocitosis y la producción de
inmunoglobulinas, participa en la respuesta inmune a través de
enzimas que contienen hierro. Las mayores concentraciones de hierro
son halladas dentro de los eritrocitos en forma de hemoglobina,
seguida por las enzimas respiratorias porfirinas, ferritina, mioglobina y
los citocromos (Radwińska y Żarczyńska, 2014). La concentración de
hemoglobina en la sangre de animales saludables está entre 100 a 140
mg/L. La hemoglobina transporta oxígeno desde los pulmones hacia los
tejidos periféricos, y CO2 y protones desde los tejidos periféricos hacia
los pulmones para la excreción (Figura 2) (Preston, 2015; Wu, 2018).
Rol de los micronutrientes en la resolución de la anemia
Cobalto. Es el componente estructural más importante de la vitamina
B12, necesaria para la maduración de los eritrocitos (Rahman et al.,
2005).
Además, cataliza reacciones bioquímicas en varias vías metabólicas,
incluyendo la hidratación, hidrogenación y desulfuración.
Este elemento participa en la biosíntesis de los ácidos nucleicos y
estimula la producción de eritropoyetina en los riñones, requerida para
la eritropoyesis en el organismo.
También es esencial para el óptimo funcionamiento y desarrollo de la
microflora ruminal (Radwińska y Żarczyńska, 2014).
Rol de los micronutrientes en la resolución de la anemia
Nicotinamida. Es un componente de la nicotinamida adenin
dinucleótido y la nicotinamida adenin dinucléotido fosfato, coenzimas
de muchas enzimas oxidoreductasas involucradas en el metabolismo
de los carbohidratos, ácidos grasos, cuerpos cetónicos, aminoácidos y
alcoholes (Wu, 2018).
La deficiencia de nicotinamida causa principalmente pelagra, una
enfermedad caracterizada por severa dermatitis y costras fisuradas,
diarrea y depresión (Wu, 2018).
Rol de los micronutrientes en la resolución de la anemia
Cianocobalamina. La vitamina B12 o cianocobalamina es sintetizada
exclusivamente por microorganismos, no por células animales.
Así, esta vitamina no es necesaria en la dieta de los rumiantes, si ellos
consumen suficientes cantidades de cobalto (Wu, 2018).
También participa en la actividad de la metionina sintetasa, la metil-
malonil-CoA mutasa, la síntesis de ADN, la división celular y la
formación de nuevos eritrocitos (Watson, 2015).
Tratamiento para casos de anemia en rumiantes
Además de asegurar que los animales están libres de parásitos y
enfermedades, se recomienda la suplementación de vitaminas y minerales,
en especial en zonas donde los pastos son deficientes en nutrientes
(Constable et al., 2017).
Se ha demostrado que la suplementación nutricional causa una respuesta
positiva a la resistencia a los parásitos hematófagos (Besier et al., 2016).
Abba et al. (2016) recomiendan el tratamiento adyuvante con
cianocobalamina, hierro, nicotinamida y cobalto para optimizar y apresurar
la corrección de la anemia.
También, la administración de productos que favorecen la formación de
eritrocitos y la producción de hemoglobina pueden ayudar a combatir la
anemia (Rahman et al., 2005).
Si la anemia es causada por una enteritis infecciosa, se debe administrar una
terapia de fluidos y además corregir la pérdida sanguínea y de proteína
(Chigerwe y Heller, 2017).
Causas de la anemia en perros
1.- Anemia hemorrágica: se produce cuando el perro pierde mucha
sangre. Los motivos son varios: una fuerte herida, parásitos externos o
úlceras. La perdida de sangre provoca debilidad en el perro.
2.- Anemia hemolítica: en este caso encontramos dos variantes. Por un
lado, la anemia hemolítica inmunomediada, que es la más común y se
produce porque el propio sistema inmunológico del perro destruye los
glóbulos rojos, impidiendo así que se reproduzcan y produciendo una
falta de los mismos en sangre.
Y por otro lado, la anemia hemolítica congénita, en la que la deficiencia
de glóbulos rojos en el perro se debe a causas hereditarias. La anemia
hemolítica también puede producirse por parásitos intestinales.
Causas de la anemia en perros
3.- Anemia aplástica: se produce cuando la producción de glóbulos
rojos en la médula ósea no compensa la pérdida natural de estas
células, lo que produce un desequilibrio en la cantidad de glóbulos
rojos en sangre.
En este caso, puede ser ocasionada por infecciones, tumores, toxinas…

Eritrocitos las celulas transportadora de exiegeno

  • 1.
    Eritrocitos. Son células pequeñasencargadas del transporte de oxigeno y dióxido de carbono Contienen en su interior una proteína denominada Hemoglobina.
  • 2.
    Alteraciones de loseritrocitos. El reconocimiento de los eritrocitos normales y los que presentan alguna alteración en el color y forma nos va a ayudar a dar un diagnostico adecuado sobre las hematopatías y conocer diferentes enfermedades que se pueden presentar. Para eso es necesario conocer el eritrocito desde su formación pasando por diferentes fases hasta su maduración.
  • 3.
    Eritropoyesis. Es el procesoque corresponde a la generación de eritrocitos, de acuerdo al tiempo de duración en cada especie La producción de eritrocitos se realiza en la medula ósea. Eritropoyetina: hormona fisiológica encargada de regular la eritropoyesis, es secretada por el parénquima renal.
  • 5.
    Fases de maduracióndel eritrocito
  • 6.
    Eritropoyesis Su cuantificación enla sangre periférica es de gran valor para conocer la capacidad eritropoyetica de la medula ósea en el estudio de las anemias. Características morfológicas. Los eritrocitos son elementos anucleados de forma redondeada u oval, con una depresión en el centro. Las características de su coloración se debe a la hemoglobina Tienen la forma de disco bicóncavo de 2 um de espesor y un diámetro de 7 um.
  • 7.
    Alteraciones morfológicas delos eritrocitos Se debe observar el aspecto normal de los eritrocitos en el frotis Comparar las alteraciones morfológicas eritrocitarias que aparecen Se consideran: Normocitos= tamaño normal Microciticos = tamaño pequeño Macrociticos= tamaño grande
  • 8.
    Alteraciones morfológicas delos eritrocitos Por los niveles de hemoglobina se consideran: Normocromico = tinción normal Hipocromico = tinción disminuida Hipercromico = tinción acentuada
  • 9.
    Reticulocitos Inmaduros Se debena la liberación de células eritroides inmaduros hacia la circulación sanguínea en los casos de anemia. Se observan en las enfermedades de la médula ósea donde existe daño del parénquima que afecta a la barrera capilar También se observan en casos de leucemia
  • 10.
    Anisocitosis Es un términomédico que significa que las células observadas en determinado análisis de un animal son de diferentes tamaños. Este fenómeno aparece de manera frecuente en la anemia y en otras enfermedades sanguíneas. Indica una alteración en el tamaño de las células con respecto a los demás. Esta situación se puede dar en patologías de naturaleza displásica Se presenta como respuesta en anemias de tipo regenerativo
  • 11.
    Microcitosis Los eritrocitos sonpequeños. Tienen un volumen globular medio disminuido Se observan en casos de anemia por deficiencia de hierro y piridoxina generalmente.
  • 12.
    Macrocitosis Son eritrocitos demayor tamaño de los normal Provocan un incremento del VGM Se presentan en las anemias de tipo regenerativo.
  • 13.
    Megalocitosis Son hematíes degran tamaño Se presenta en anemias macro citicas por la interferencia en la síntesis de ADN que causa inhibición celular. Ocurre en casos de deficiencia de vitamina B12 y acido fólico
  • 14.
    Alteraciones en laforma de los hematíes.( poiquilocitosis) 1. Esquistocitos. Se caracteriza por la fragmentación Eritrocitica. Se encuentra en coagulación Intravascular diseminada. Hemangiosarcona. Glomerulonefritis. Fallo cardiaco congestivo Se presenta en anemias debido a la pérdida crónica de sangre.
  • 15.
    2. Dacriocitos. Hematíes enforma de lagrima por la incapacidad del eritrocito para recuperar su forma normal después de haberse deformado en vasos sanguíneos. Se observan en llamas con deficiencia de hierro. Esplenomegalia Anemia megaloblastica Enf. Renal En hematopoyesis extravascular: - Mielofifrosis - Anemia mieloptìsica.
  • 16.
    3. Esferocitos. Hematíes enforma esférica. Aparecen sin la zona centra clara. Son considerados microcitos. Son casi exclusivos de caninos. Se presentan en las anemias. de tipo inmune. Se presentan después de una transfusión sanguínea. Se encuentran en anemia hemolítica Inmunomediada.
  • 17.
    4. ovalocitos Hematìes enforma ovalada, considerados de tipo normal, cuando no son tan marcados.
  • 18.
    5. Eliptocitos Hematíes enforma de elipse y delgadas. En frotis de camélidos es normal Se observan en enfermedades crónicas debilitantes que producen anemia producidas por nematodos. Anemias por deficiencia de hierro.
  • 19.
    6. Drepanocitos Hematíe enforma de hoz. (hematíe en forma de hoz) Se presenta por un cambio en la hemoglobina, se conoce como anemia de células falciformes. Se presenta episodios de dolor agudo principalmente de las articulaciones y extremidades.
  • 20.
    7. Dianocitos Hematíes deaspecto de diana por el aumento de la tinción central. son células similares de tiro al blanco. Se presenta en anemias de tipo regenerativo junto con la policromacia Se puede relacionar con enfermedad renal: Hepática Esplénica
  • 21.
    8. Estomatocitos Hematíes enforma de boca. Son de forma oval hacia el centro. Se observa en la estomatocitosis heriditaria del Alaska Malamut y en enfermedades hepáticas
  • 22.
    9. Equinocitos ohematíes crenados. Son hematíes espiculados Se observa en anemias debido a la pérdida crónica de sangre.
  • 23.
    10. Keratocitos. Hematíes enforma de casco. Se presenta en las anemias Microangiopaticas. Hemangioma cavernoso. Derivan de daos oxidativos de la Membrana eritrocitaria formando parte de los cuerpos de Heinz
  • 24.
    11. Acantocitos Son hematíesen forma de espuela. Se forman a consecuencia de alteración entre lípido y colesterol en membrana eritrocitaria En las anemias debido a la pérdida crónica de sangre o en enfermedades caracterizadas por fragmentación eritrocitica. Células que son retiradas prematuramente de la circulación sanguínea agudizando su estado anémico. Linfoma. Enfs. Hepáticas Glomerulonefritis
  • 25.
    Alteraciones en lacoloración 1. hipocromía. Hematìe teñido en forma débil, se refiere a la palidez marcada en la zona central del hematíe. Se presenta por la disminución en la concentración de hemoglobina dentro de la célula. Se presenta por deficiencia de hierro
  • 26.
    2. Policromacia. Hematíes jóvenesque se tiñen de color grisáceo Es una variación en la afinidad eritrocitica hacia el colorante donde existe un tono azuloso . Esta asociada con el incremento de la actividad eritropoyetica como respuesta a una anemia regenerativa.
  • 27.
    3. Anisocromacia Son loshematíes con falta de uniformidad en la coloración. Se encuentra en pacientes con anemias carenciales.
  • 28.
    4. hipercromacia. Son loshematíes inmensamente coloreados. Se presenta en anemias hereditarias y megaloblasticas.
  • 29.
    Inclusiones intraeritrocitarias. Normalmente loshematíes solo contiene hemoglobina. En algunas ocasiones se pueden encontrar elementos extraños en su interior. 1.- Cuerpos de Howell Jolly. Es un residuo nuclear Consiste en un grupo visible en el interior de los hematíes Se tiñe de un color que oscila entre el rojo oscuro y el negro Aparecen en sujetos esplectomizados.
  • 30.
  • 31.
    3. Cuerpos deHeinz Son precipitados de hemoglobina Consiste en pequeñas granulaciones situados en la periferia de los hematíes. Se producen en enfermedades congénitas que comportan una inestabilidad de la hemoglobina
  • 32.
    4. Punteado basófilo. Agregadosribosómicos originados por una degeneración vacuolar. Consiste en puntitos basófilos de tamaño variable y dispersos por toda la superficie del hematíe. Se produce en las intoxicaciones por plomo, en talasemias y leucemias.
  • 33.
    Anemia Es el descensodel número de eritrocitos, concentración de hemoglobina y hematocrito por debajo del límite inferior del rango de referencia para la especie. Se presenta en las especies domesticas. La anemia aparece como una alteración frecuente en perros, gatos y tiene su origen en un problema de base.
  • 34.
    Determinación de lascausas de la anemia Como cualquier enfermedad el dx. de la anemia se realiza a partir de: - La anamnesis. - Síntomas físicos y - Resultados de laboratorio.
  • 35.
    Síntomas físicos - Membranade mucosas pálidas - Debilidad - Perdida de resistencia física - Intolerancia al ejercicio - Taquicardia y polipnea - Murmullo cardiaco - Pulso débil
  • 36.
    Resultados de laboratorio. Senecesita una confirmación laboratorial porque las anemias no siempre se acompañan de los signos clínicos típicos. 1. El valor del Ht es más fácil y preciso 2. Concentración de Hb y recuento de GR. 3. Se puede usar otros parámetros de lab. Para caracterizar la anemia y llegar a un dx. Especifico.
  • 37.
    Clasificación de anemias Siempreque sea posible deberá identificarse la causa A. Clasificación según el VCM y CHCM del eritrocito 1. El VCM clasifica a la anemia en: Normocítica Microcítica Macrocítica 2. La CHCM clasifica a la anemia en: Normocrómica Hipocrómica Hipercrómica
  • 38.
    Clasificación de lasanemias. B. Clasificación en función de la respuesta de la medula ósea. 1. Anemia regenerativa. a. La M.O responde activamente a la anemia aumentando la producción de eritrocitos b. Hallazgos que indican la regeneración de eritrocitos - Policromasia - Reticulocitos con anisocitosis - Aumento de VCM, disminución de HCM y CHCM asociado a la reticulositosis. - Punteado basófilo de eritrocitos en rumiantes.
  • 39.
    Clasificación de anemias. c.Las especies de máxima respuesta reticulocitica son las que tienen regeneración mas intensa: HT vuelve a lo normal. La capacidad de especies para organizar una respuesta regenerativa en orden decreciente: Aves Perros Gatos Vaca Caballo
  • 40.
    Clasificación de anemias e.La regeneración en caballo es difícil de detectar, porque los reticulocitos no se liberan a la circulación. 2. Anemia no regenerativa. a. Indica la ausencia de respuesta eritroide en la medula ósea b. Los caballos liberan reticulocitos a la sangre por lo que en estas especies todas las anemias aparecen de tipo regenerativa. c. La policromasia, reticulocitosis y punteado basófilo (rumiantes) están en bajo numero o ausentes.
  • 41.
    Clasificación según losmecanismos fisiopatológicos principales. 1.- Anemia por pérdida de sangre (anemia hemorrágica) Características por la perdida aguda de sangre. Hallazgos clínico. a. Normalmente hay evidencia visual directa de la hemorragia b. Cuando los análisis de laboratorio nos indican anemia hemorrágica pero no encontramos evidencia se considera la posibilidad de sangrados ocultos. c. Los signos clínicos depende de la cantidad de sangre perdida
  • 42.
    Clasificación según losmecanismos fisiopatológicos principales Causas de perdida de sangre. Hemorragia aguda Hemorragia crónica Ulceras gastrointestinales Tumores Defecto de hemostasia Hematuria Intoxicación por helechos Hemofilia Coagulación intravascular diseminada Tumores gastrointestinales Deficiencia de factor X Tumores vasculares Hemofilia A Y B Parasitismo Intoxicación por trébol dulce Ancilostomosis Neoplasias Coccidiosis Hemangiosarcoma esplénico Hemoncosis Trombocitopenia Estrongylosis Traumatismos cirugía Deficiencia de vitamina K
  • 43.
    Índices Eritrociticos Los índiceseritrociticos definen el tamaño del glóbulo rojo, concentración de hemoglobina y el hematocrito. A partir del recuento total de eritrocitos, contenido de hemoglobina y volumen del paquete celular, es posible calcular el volumen promedio y la concentración de hemoglobina de un eritrocito. Estos valores son importantes para determinar: El tipo morfológico de anemia y ayudar a elegir la terapia y a controlar el tratamiento establecido.
  • 44.
    1. Volumen CorpuscularMedio (VCM) Expresa el volumen promedio del eritrocito individual. Se calcula con la siguiente fórmula. Ht % X 10 VCM= ----------------------------------------------------------------- cuenta eritrocitica ( millones de G.R/ microlitro)
  • 45.
    VCM. El VCM seexpresa en fentolitros. fl El VCM determina el tamaño de los glóbulos rojos: Normocítico = tamaño normal Macrocítico = tamaño grande Microcítico = tamaño pequeño
  • 46.
    Factores que afectana los valores del VCM a) La reticulocitosis es la causa común de la macrocitosis Los reticulocitos específicamente las formas jóvenes son células grandes. b) Los animales inmaduros de la mayoría de las especies tienen eritrocitos pequeños y microcitos ( vcm bajo). Se puede evidenciar por una deficiencia de Fe en la dieta de los animales jóvenes. c) Los gatos infectados por la leucemia felina tienen eritrocitos grandes debido a una maduración asincrónica.
  • 47.
    Eritrocitos normales eíndices eritrociticos de animales. IE perro gato vaca caballo cerdo cabra llama Cerdo panzudo oveja G.R mill 5.5 a 8.5 5-10 5-10 6-12 5-7 8-18 11-17.5 6-8.25 9-15 G. Blan 17000 20000 12000 12500 22200 18000 29000 45000 15000 Ht 37-55 30-45 24-46 32-48 36-43 22-38 29-39 36.5-51 27-45 Hb g 12-18 8-15 8-15 10-18 9-13 8-12 13-18 11-15 9-15 VCM fl 60-77 39-55 40-60 34-58 52-62 16-25 21-28 46-68 28-40 HCM pg 19-24 13-17 11-17 13-19 17-24 5-8 43-46.6 14-22.3 8-12 CHCM 32-36 30-36 30-36 31-37 29-34 30-36 44.1 28-33 31-34 Plaquetas Miles /mm3 200-500 300-700 100-750 100-350 200-500 750 850 650 950
  • 48.
    Ejemplos. Especie: canino Hemograma. Ht:43; Hb g%: 13.5 G.R: 6 512 320 Determinar el VCM Ht% X10 43 x 10 430 VCM= --------------- = --------------- = --------- = 66.15 fl normal. N° G.R 6.5 6.5
  • 49.
    Ejemplos. Especie: cerdo Hemograma: Ht%: 25; Hbg%: 10; N° G.R 4 520 300 Determinar Ht%X 10 25x10 250 VCM = ----------- = ----------- = --------- = 55.55 fl normal N° G.R 4.5 4.5
  • 50.
    Ejemplos Especie: bovino Hemograma: Ht%:26; Hb g% : 5 ; N° G.R: 3 450 000 Determinar el VCM Ht x 10 26x10 260 VCM=----------- = ------------ = -------- = 86.7 fl (alto ) N° G.r 3 3
  • 51.
    2. Hemoglobina CorpuscularMedia. HCM Se expresa en pico gramos (pg) Es la cantidad de hemoglobina por peso en el eritrocito promedio. Se calcula con la siguiente fórmula. Hb g% X 10 HCM= ---------------------------- Nº Glóbulos Rojos
  • 52.
    3. Concentración deHemoglobina Corpuscular Media. CHCM Es la concentración de hemoglobina en el conjunto de eritrocitos promedios. Se calcula con la siguiente fórmula. Hb g% CHCM= ----------------- x 100 = % de Hb. Ht%
  • 53.
    La CHCM determina: -Los niveles de hemoglobina: - Normocromico : hemoglobina normal - Hipocromico : hemoglobina disminuida - Hipercromica: hemoglobina aumentada.
  • 54.
    CHCM. En muchos tiposde anemia un aumento o disminución en el tamaño promedio de la célula se acompaña un aumento o disminución del contenido promedio de Hb.
  • 55.
    Factores que afectana la CHCM A. La hemolisis in vitro o in vivo B. Tratamiento con oxiglobina generalmente da valores aumentados.
  • 56.
    4. Hematocrito. El hematocritoes el valor que se define por la cantidad del volumen de la sangre ocupado por los glóbulos rojos, respecto al ocupado por la sangre total. Es decir, un hematocrito de 40% quiere decir que el 40% del volumen de la sangre está compuesto por glóbulos rojos.
  • 57.
    4. Hematocrito La pruebadel hematocrito es un tipo de análisis de sangre. El hematocrito mide la cantidad de sangre compuesta por glóbulos rojos. Los glóbulos rojos contienen una proteína llamada hemoglobina que transporta oxígeno de los pulmones al resto del cuerpo
  • 58.
    Método para determinarel hematocrito El hematocrito (PCV) se puede determinar por centrifugación de sangre heparinizada en un tubo capilar (también conocido como un tubo de microhematocrito) Metodo del tubo de Wintrobe. a 10 000 rpm durante cinco minutos. ​ Esto separa la sangre en capas.
  • 59.
  • 61.
  • 62.
  • 63.
  • 64.
  • 65.
  • 66.
    Imagen de plaquetasy glóbulos rojos.
  • 67.
    HEMOGRAMAS. Descripción y númerode las diversas clases de células que se encuentran en una cantidad determinada de sangre y de las proporciones entre ellas. El hemograma es un examen de sangre que permite realizar un recuento sanguíneo de las tres células principales: glóbulos blancos, glóbulos rojos y plaquetas.
  • 68.
    HEMOGRAMA Con un conteode este tipo de células es posible confirmar el diagnóstico de algunas enfermedades, según si estas células están sobre o bajo el rango normal. También permite detectar respuestas adversas a diferentes tratamientos. Considerando que cada una de estas células tiene funciones determinadas, el déficit o exceso de éstas puede ser indicador de diferentes condiciones, infecciones o patologías.
  • 69.
    HEMOGRAMA Glóbulos blancos oleucocitos: Ayudan al organismo en el combate de infecciones. Cuando existe una anormalidad en el recuento de estas células, es posible que la persona tenga alguna infección o sea portadora de un virus. Los glóbulos blancos son los encargados de las defensas del animal por ello en cuadros de infección están aumentados (leucocitosis), o en ciertas enfermedades están disminuidos. ( neutropenia)
  • 70.
    HEMOGRAMA Glóbulos rojos: Para conocerla cantidad de glóbulos rojos se mide la hemoglobina. Estas células transportan el oxígeno a través de la sangre a todo el organismo. Si la hemoglobina está bajo el rango normal, es posible que la persona padezca anemia. La cantidad de glóbulos rojos puede ofrecer datos de salud o de la presencia de una anemia, enfermedades generales, o diferentes tipos de cáncer. Su disminución produce cansancio y fatiga. Leer más sobre Glóbulos Rojos. TAREA.
  • 71.
    HEMOGRAMA Plaquetas: son fundamentalespara la coagulación y la prevención de hemorragias. Por lo tanto, si están bajo la curva recomendada, es posible que sea la causa de distintos episodios de hemorragia o moretones frecuentes. La cantidad que se considera normal en los diferentes tipos de células, varía dependiendo de la especie, macho o hembra y la edad. Las plaquetas son las células encargadas de parte de la coagulación. Por ello, si su número disminuye pueden aparecer cuadros de hemorragias que puede deberse a diferentes problemas y enfermedades. Por el contrario, su número aumenta en diferentes enfermedades reumáticas o autoinmunes.
  • 72.
    PARA QUE SIRVEEL HEMOGRAMA. El hemograma es un examen de sangre que evalúa el estado de salud general y que puede detectar, monitorizar o diagnosticar enfermedades como anemia, leucemia, neoplasias, trastornos hemorrágicos e infecciones. El hemograma se realiza con una muestra de sangre obtenida por punción venosa, o en un dedo o de oreja en los recién nacidos. NO requiere ayuno previo, por lo cual se puede realizar en cualquier momento del día.
  • 73.
    HEMOGRAMAS. ¿ QUE BUSCAR? Inflamación Cambiospor estrés y epinefrina Necrosis sistémica Hipersensibilidad sistémica Inflamación: aguda crónica tipo I o II ; pronostico malo Desviación a la izquierda degenerativa o regenerativa Reacción leucemoide Pronostico bueno
  • 74.
    TENEMOS QUE EVALUARSI HAY INFLAMACIÓN Leucocitosis Buscar una desviación a la izquierda Monocitosis eosinofilia ENTONCES: Leucocitosis neutrofilia desviación a la izquierda monocitosis
  • 75.
    ANEMIAS La anemia enanimales es una enfermedad que se presenta cuando el organismo no cuenta con glóbulos rojos sanos o funcionales en un número adecuado. Entre el 40 % y el 60 % son los valores de un perro sano, debajo del 30 % se considera anemia.
  • 76.
    Quien produce laanemia Trastornos nutricionales. Deficiencia de minerales: Cu, Co y Fe Carencia de vitaminas B6, B9, B12 y E. Se puede deber a intoxicaciones por el elevado consumo de Cu, Zn, Pb, Se, agua y helecho común.
  • 77.
    Como se determinala anemia en animales. Ante un paciente se debe realizar un examen clínico completo, donde se revisan mucosas, hidratación, sintomatología reportada y evaluar el funcionamiento de órganos que pueden indicar la presencia de anemia. Se deben realizar exámenes de sangre complementarios que evalúan varios parámetros relacionados con los eritrocitos. La evaluación de los eritrocitos ser realiza tomando una muestra de sangre, y almacenándola en un tubo contenedor con anticoagulante y enviándola a un laboratorio. Esto permitirá evaluar los siguientes parámetros:
  • 78.
    Como se determinala anemia en animales a.- Hematocrito: Este parámetro indica en porcentaje la masa eritrocitaria relativa, también llamado Volumen Corpuscular Aglomerado (VCA). b.- Hemoglobina: evalúa la cantidad de esta proteína transportadora de oxígeno presente en los eritrocitos contados; en condiciones normales deben ser valores similares al hematocrito. c.- Recuento de eritrocitos/reticulocitos: se realiza un conteo manual de eritrocitos maduros e inmaduros; esto permite evaluar la eritropoyesis medular. Este parámetro es importante para determinar el tipo y grado de anemia en un paciente. Índices Corpusculares Medios. VCM: indica el tamaño promedio de los eritrocitos en sangre periférica y los clasifica en macrocíticos, normocíticos y microcíticos. HCM : mide la cantidad de hemoglobina que hay en cada eritrocito. CHCM: cuantifica la cantidad de esta proteína por volumen de eritrocitos, permitiendo su clasificación en eritrocito Hipercrómico, normocrómico o hipocrómico.
  • 79.
    Como se determinala anemia en animales. De esta manera, un paciente con anemia se puede clasificar de forma práctica de la siguiente manera: Anemia regenerativa: macrocítica e hipocrómica Anemia arregenerativa: normocítica y normocrómica Anemia por deficiencia de hierro: microcítica e hipocrómica Anemia por deficiencia de Vitamina B12 y ácido fólico: Macrocítica- normocrómica: deficiencia de vitamina B12 y ácido fólico
  • 80.
    Causas de anemiaen Medicina Veterinaria Las causas de anemia en medicina veterinaria pueden ser muchas y se clasifican según la respuesta fisiológica de la médula ósea ante el déficit de eritrocitos, hemoglobina o hematocrito. Se puede encontrar causas asociadas a las anemias regenerativas (cuando la médula ósea sigue respondiendo) como: Hemorragia: es la pérdida de sangre completa que puede ser aguda (traumas, heridas, cirugías), crónica (parásitos, úlceras) o por una coagulopatía Hemólisis: es la destrucción de eritrocitos, que puede ser por deficiencias nutricionales, inmunomediada, por endoparásitos o trastornos oxidativos, hereditarios o intoxicaciones. Pobremente regenerativas asociadas a déficits nutricionales de Hierro o aminoácidos que dificultan la regeneración de eritrocitos en la médula ósea. Regenerativas degenerativas son procesos de anemia severos y crónicos que agotan la producción de eritrocitos maduros en la médula ósea.
  • 81.
    Causas de anemiaen Medicina Veterinaria Según las causas revisadas de la anemia, el médico veterinario debe tratar inicialmente la causa primaria. Por ejemplo, si la causa son parásitos que puedan generar hemorragia o hemólisis, debe instaurarse el tratamiento antiparasitario correspondiente. Por otro lado, es frecuente que los animales tengan comorbilidades asociadas al cuadro clínico. El profesional debe instaurar medidas terapéuticas que ayuden al paciente, como la terapia de fluidos o el suplemento de minerales, vitaminas y aminoácidos que participan en la regeneración de eritrocitos. En este sentido, se ha encontrado que administrar Tiamina (Vitamina B1) es requerido en casos de deficiencia de esta vitamina, lo cual se evidencia en los animales al presentar trastornos del sistema nervioso, gastrointestinal y cardiovascular. Su administración contribuye a normalizar el metabolismo y la producción de energía a nivel celular. Así mismo, se puede administrar Piridoxina (Vitamina B6) y Cianocobalamina (Vitamina B12) ya que participan en el metabolismo de proteínas, lípidos.
  • 82.
    Las anemias seclasifican en dos grandes grupos. • Las anemias en perros es una de las causas más comunes en la consulta veterinaria, este término hace referencia a una disminución de glóbulos rojos en la sangre y pon tanto a una deficiencia en el aporte de oxígeno a los tejidos. Sus causas puedes venir dadas por múltiples factores, a veces primarios y otras veces secundarios. Por ello para entender todo esto es importante clarificar y afianzar ciertos conceptos: qué son los glóbulos rojos , de que están formados dichos glóbulos, cómo y dónde se forman, que tipos de anemias hay , con que sintomatología cursan , que tratamiento puede recibir en función de qué tipo de anemia presente nuestro paciente …
  • 83.
    Las anemias seclasifican en dos grandes grupos 1.- Anemias regenerativas: son aquellas en las que la médula ósea va a intentar corregir ese déficit de glóbulo rojos en la sangre. Podemos distinguir distintos tipos: a. Anemias hemorrágicas: son aquellas que se caracterizan por una pérdida significativa del volumen sanguíneo. Podemos encontrarlas de forma aguda (atropellos) forma crónica (sangrado digestivo, neoplasias…) b. Anemias hemolíticas: se produce como consecuencia de la destrucción prematura de los glóbulos rojos. Puede producirse una hemolisis intrínseca, cuando se produce un defecto en el propio glóbulo rojo o una hemolisis extrínseca, en este caso los glóbulos rojos son sanos, pero se ven destruíos más tarde en el bazo o en la circulación sanguínea por múltiples factores.
  • 84.
    Las anemias seclasifican en dos grandes grupos c. Anemia hemolítica inmunomediada: es aquella en la que el propio sistema inmunitario no reconoce los antígenos de los glóbulos rojos fagocitándolos hasta destruirlos, lo que se considera de origen idiopático. También puede suceder que exista alguna causa subyacente como fármacos, tóxicos, procesos inflamatorios, infecciosos… d. Anemia hemolítica oxidativa: se produce como consecuencia de lesiones oxidativas de la hemoglobina. e. Anemia hemolítica microangiopática: se produce una hemolisis de los eritrocitos por traumatismo intravascular por los vasos sanguíneos por lesiones o trombos, vasculitis
  • 85.
    Las anemias seclasifican en dos grandes grupos 2. Anemias no regenerativas: a. Anemias por deficiencia de hierro: b. Anemias por aplasia medular: se produce una reducción de las células sanguíneas en la medula ósea. Sustituyendo el tejido hematopoyético en tejido adiposo. Las causas pueden ser numerosas ya sea por fármacos, tóxicos, tumores, procesos infecciosos, insuficiencia renal… La anemia puede ser diagnosticada de manera rápida en un análisis de sangre, detectando un descenso en los parámetros característicos, pero lo más complejo es diagnosticar el origen de esa anemia. Para ello se necesitará un estudio completo del animal.
  • 86.
  • 87.
    Anemia en Rumiantes Losprincipales problemas en la crianza al pastoreo de los rumiantes incluyen el manejo erróneo de las pasturas, las ineficientes medidas de control de los parásitos, la resistencia antihelmíntica y la deficiencia de nutrientes presentes en los pastos. Puede originar problemas sanitarios (Keady et al., 2016). Al menos, veintidós elementos han sido identificados como esenciales para el crecimiento y salud de los animales. Estos incluyen macroelementos y microelementos, los cuales desempeñan cuatro funciones importantes en el organismo: estructural, fisiológica, catalítica y regulatoria (Radwińska y Żarczyńska, 2014).
  • 88.
    Anemia en Rumiantes EnfermedadEpidemiología Hallazgos clínicos Leptospirosis Bovinos de todas las edades Fiebre aguda, con tinte rojizo en orina, hemoglobinuria, aborto Hemoglobinuria pos parto Vacas de alta producción 4 a 6 semanas pos parto Hipofosfatemia Babesiosis Animales jóvenes, principalmente en área enzooticas con garrapatas Fiebre aguda, ictericia abortos, curso de 2 a 3 semanas Anaplasmosis Animales adultos en áreas enzooticas con insectos Ictericia, curso corto sin hemoglobinuria Envenenamiento crónico por cobre Cualquier edad por administración oral a largo plazo de suplementos o alimentos conteniendo cobre Severa ictericia sin fiebre ni hemoglobinuria niveles tóxicos de cobre en sangre Envenenamiento por plantas tóxicas Bovinos de todas las edades en pastoreo en zonas endémicas con plantas tóxicas Anemia pre aguda sin fiebre Anemia causada por fármacos Cualquier edad por uso de algunos fármacos,vía endovenosa o mal uso por vía parenteral Moderada hemoglobinuria
  • 89.
    Signos clínicos dela anemia en rumiantes La anemia causa signos clínicos referidos a una disminución del pigmento rojo hemoglobina, es decir, palidez de las membranas mucosas o ictericia. Esto origina una disminución de la capacidad de transportar oxígeno expresada como depresión, letargia, debilidad, intolerancia al ejercicio, taquicardia, taquipnea, disnea. En los casos de hemorragias se puede observar epistaxis, hematuria y melena (Preston, 2015; Katsogiannou et al., 2018). Las enfermedades crónicas que causan lesión de la médula ósea pueden manifestar una anemia leve con signos como pérdida de peso en adultos o disminución de la ganancia de peso en crías y reducción del apetito (Katsogiannou et al., 2018), pero puede ocurrir postración, convulsiones, síncope o coma con la anemia severa. La anemia es confirmada identificando una disminuida concentración de hemoglobina o una reducida concentración de glóbulos rojos (Boes y Durham, 2017).
  • 90.
    Anemia por deficiencianutricional Una de las principales causas de anemia en bovinos al pastoreo es la deficiencia nutricional, debido a la carencia de minerales traza tales como hierro, cobre, selenio y cobalto, ya que los forrajes naturales raramente pueden satisfacer todos los requerimientos minerales del animal (Rahman et al., 2005). Las deficiencias también pueden resultar por la ingesta de alimento de baja calidad, absorción o asimilación disminuida en el organismo o incrementada demanda durante el crecimiento intensivo, preñez y lactación. los alimentos y dietas deficientes en nutrientes con un contenido mineral no balanceado perjudican el desarrollo de los animales jóvenes, disminuyen el apetito, disminuyen la absorción de nutrientes, disminuyen la inmunidad e incrementan la susceptibilidad a enfermedades (Radwińska y Żarczyńska, 2014).
  • 91.
    Anemia por parasitismo Elparasitismo puede causar diversos tipos de anemia, según sea el parásito involucrado. Un estudio realizado por Singh et al. (2014) indica que las principales causas de anemia en rumiantes fueron la infestación con endoparásitos, seguida por la infestación con ectoparásitos y hemoparásitos. Los endoparásitos suelen causar una anemia de tipo hemorrágica, debido a las lesiones que originan. Parásitos: Teladorsagia spp. y Ostertagia ostertagia en bovinos a nivel gastrointestinal, Fasciola hepática a nivel hepático y Paramphistomum sp. en el abomaso de bovinos y ovinos, causan signos clínicos tales como palidez de las membranas mucosas, especialmente en la conjuntiva y debilidad progresiva que aumenta según se incrementa la pérdida de sangre. En los casos crónicos se observará hipoproteinemia que puede conducir a edema ventral y general, como ocurre en la fasciolosis crónica (Besier et al., 2016; Constable et al., 2017).
  • 93.
    Anemia por parasitismo Enovinos, el endoparásito más importante es Haemonchus contortus, cuyos signos clínicos característicos tales como anemia severa, intolerancia al ejercicio y edema subcutáneo se relacionan casi enteramente a las actividades de alimentación de los parásitos adultos y las etapas larvarias. Esta enfermedad es común en corderos y cabritos que aún no son inmunocompetentes, y en borregas y cabras en lactación temprana debido a la inmunodepresión fisiológica (Besier et al., 2016).
  • 94.
    Anemia por Parasitismo Lacoccidiosis, puede ocasionar anemia. Eimeria sp. causa serias lesiones principalmente en terneros de 1 mes de edad y en corderos y cabritos de 4-6 meses de edad, en condiciones de crianza intensiva con poca higiene. Factores estresantes tales como el destete, clima severo, cambios en la dieta, o manejo, pueden predisponer a la presentación de coccidiosis. Las coccidias invaden y destruyen las células intestinales del hospedero, causando anemia, pérdida de electrolitos y una pobre absorción de nutrientes. Las lesiones varían desde una hemorragia proliferativa a necrótica (Khodakaram-Tafti y Hashemnia, 2017).
  • 95.
    Anemia por enfermedades Lasenfermedades causan anemia de forma directa o indirecta. Las enteritis infecciosas en rumiantes causadas por Salmonella spp., Clostridium perfringens tipo A o paratuberculosis, causan una diarrea con presencia de sangre (Chigerwe y Heller, 2017). Las úlceras abomasales, la hematuria enzoótica bovina, la pielonefritis, las hemorragias por tumores, el envenenamiento con plantas tóxicas y el envenenamiento crónico por cobre causan anemia (Constable et al., 2017). Leptospira spp. causa lesiones primarias en el endotelio de los vasos sanguíneos que conducen a isquemia localizada en órganos tales como riñón e hígado. Además de la vasculitis, las hemolisinas de Leptospira spp. han sido implicadas en la patogénesis de la anemia hemolítica que se observa (Katsogiannou et al., 2018). Corynebacterium renale y Escherichia coli en vacas pueden causar hematuria (Constable et al., 2017). La enfermedad del cordero amarillo causada por C. perfringens tipo D origina anemia hemolítica; C. hemolyticum causa hemoglobinuria en ovinos y bovinos (Katsogiannou et al., 2018).
  • 96.
    Rol de losmicronutrientes en la resolución de la anemia Hierro. Desempeña varias funciones, tales como el transporte de oxígeno y su almacenamiento, regula la fagocitosis y la producción de inmunoglobulinas, participa en la respuesta inmune a través de enzimas que contienen hierro. Las mayores concentraciones de hierro son halladas dentro de los eritrocitos en forma de hemoglobina, seguida por las enzimas respiratorias porfirinas, ferritina, mioglobina y los citocromos (Radwińska y Żarczyńska, 2014). La concentración de hemoglobina en la sangre de animales saludables está entre 100 a 140 mg/L. La hemoglobina transporta oxígeno desde los pulmones hacia los tejidos periféricos, y CO2 y protones desde los tejidos periféricos hacia los pulmones para la excreción (Figura 2) (Preston, 2015; Wu, 2018).
  • 97.
    Rol de losmicronutrientes en la resolución de la anemia Cobalto. Es el componente estructural más importante de la vitamina B12, necesaria para la maduración de los eritrocitos (Rahman et al., 2005). Además, cataliza reacciones bioquímicas en varias vías metabólicas, incluyendo la hidratación, hidrogenación y desulfuración. Este elemento participa en la biosíntesis de los ácidos nucleicos y estimula la producción de eritropoyetina en los riñones, requerida para la eritropoyesis en el organismo. También es esencial para el óptimo funcionamiento y desarrollo de la microflora ruminal (Radwińska y Żarczyńska, 2014).
  • 98.
    Rol de losmicronutrientes en la resolución de la anemia Nicotinamida. Es un componente de la nicotinamida adenin dinucleótido y la nicotinamida adenin dinucléotido fosfato, coenzimas de muchas enzimas oxidoreductasas involucradas en el metabolismo de los carbohidratos, ácidos grasos, cuerpos cetónicos, aminoácidos y alcoholes (Wu, 2018). La deficiencia de nicotinamida causa principalmente pelagra, una enfermedad caracterizada por severa dermatitis y costras fisuradas, diarrea y depresión (Wu, 2018).
  • 99.
    Rol de losmicronutrientes en la resolución de la anemia Cianocobalamina. La vitamina B12 o cianocobalamina es sintetizada exclusivamente por microorganismos, no por células animales. Así, esta vitamina no es necesaria en la dieta de los rumiantes, si ellos consumen suficientes cantidades de cobalto (Wu, 2018). También participa en la actividad de la metionina sintetasa, la metil- malonil-CoA mutasa, la síntesis de ADN, la división celular y la formación de nuevos eritrocitos (Watson, 2015).
  • 100.
    Tratamiento para casosde anemia en rumiantes Además de asegurar que los animales están libres de parásitos y enfermedades, se recomienda la suplementación de vitaminas y minerales, en especial en zonas donde los pastos son deficientes en nutrientes (Constable et al., 2017). Se ha demostrado que la suplementación nutricional causa una respuesta positiva a la resistencia a los parásitos hematófagos (Besier et al., 2016). Abba et al. (2016) recomiendan el tratamiento adyuvante con cianocobalamina, hierro, nicotinamida y cobalto para optimizar y apresurar la corrección de la anemia. También, la administración de productos que favorecen la formación de eritrocitos y la producción de hemoglobina pueden ayudar a combatir la anemia (Rahman et al., 2005). Si la anemia es causada por una enteritis infecciosa, se debe administrar una terapia de fluidos y además corregir la pérdida sanguínea y de proteína (Chigerwe y Heller, 2017).
  • 101.
    Causas de laanemia en perros 1.- Anemia hemorrágica: se produce cuando el perro pierde mucha sangre. Los motivos son varios: una fuerte herida, parásitos externos o úlceras. La perdida de sangre provoca debilidad en el perro. 2.- Anemia hemolítica: en este caso encontramos dos variantes. Por un lado, la anemia hemolítica inmunomediada, que es la más común y se produce porque el propio sistema inmunológico del perro destruye los glóbulos rojos, impidiendo así que se reproduzcan y produciendo una falta de los mismos en sangre. Y por otro lado, la anemia hemolítica congénita, en la que la deficiencia de glóbulos rojos en el perro se debe a causas hereditarias. La anemia hemolítica también puede producirse por parásitos intestinales.
  • 102.
    Causas de laanemia en perros 3.- Anemia aplástica: se produce cuando la producción de glóbulos rojos en la médula ósea no compensa la pérdida natural de estas células, lo que produce un desequilibrio en la cantidad de glóbulos rojos en sangre. En este caso, puede ser ocasionada por infecciones, tumores, toxinas…