INTRODUCCIÓN. RADIOLOGÍA
DE LAS FRACTURAS.
CONCEPTOS. PRINCIPIOS.
Dr. David Caldevilla Bernardo
Médico Radiólogo
Hospital General de Almansa
INTRODUCCIÓN
INTRODUCCIÓN
INTRODUCCIÓN
• Rx simple: primera exploración a realizar
• Antecedentesy valoración clínica: edad,
localización,síntomas, tiempo evolución…
• Aspectos técnicos:
– 2 proyecciones: AP y lateral (90º una de otra)
– Incluir 2 articulaciones adyacentes
– 2 miembros(imágenes comparativas)
– 2 exploraciones sucesivas para ver evolución
INTRODUCCIÓN
LECTURA SISTEMÁTICA
• A: Adecuación de la proyección
• B: análisis de partes Blandas
• C: Contornosóseos
• D: Densidad ósea
CLASIFICACIÓN RADIOGRÁFICA DE LAS FRACTURAS
• Completa-incompleta
• Cerrada-abierta
• Clasificación según fuerza incidente
A. Transversa
B. Oblicua
C. Espiroidea
D. Longitudinal
E. Conminuta
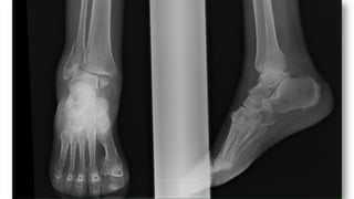
FRACTURA COMPLETA-INCOMPLETA (niños)
Fx EDR + tallo
verde cúbito.
(Fx Skilern)
FRACTURA CERRADA-ABIERTA
FRACTURA TRANSVERSA
FRACTURA OBLICUA
FRACTURA ESPIROIDEA
FRACTURA LONGITUDINAL
FRACTURA CONMINUTA
POR AVULSIÓN
LOCALIZACIÓN ANATÓMICA MUSCULO, TENDÓN, LIGAMENTO
Espina iliaca anterosuperior Tensor de la fascia lata, sartorio
Espina iliaca anteroinferior M recto anterior
Tuberosidad isquiática M isquiotibiales
Sínfisis pubis M aductores
Cresta iliaca M abdominales
Trocanter mayor M glúteos
Trocánter menor M Psoas
Rótula, espina tibial anterior Tendón cuadricipital y/o rotuliano
Platillo tibial lateral(FX Segond) Ligamento colaterallateral
Calcáneo Tendón Aquiles
Base V metatarsiano Tendón peroneo corto
Olécranon Tendón triceps
OTROS CONCEPTOS
• Luxación: Pérdida completa de continuidad entre2 extremos óseos.
Las más frecuentes
– Gleno-humeral
– Codo
– Tobillo
– Articulaciones interfalángicas.
• Subluxación: pérdida parcialde alineación entre 2 caras articulares.
• Diástasis: Separación delos 2 extremos óseos conservándosela
alineación (sínfisis pubis).
• Anquilosis: fusión de extremos articulares.
LUXACIONES
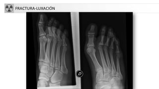
FRACTURA-LUXACIÓN
LUXACIÓN-SUBLUXACION
FRACTURASSINGULARES
• Fx de estrés,
– Fx por fatiga o sobrecarga: fuerzas tolerables pero repetidas sobre hueso sano.
• Fr de la marcha: Metatarsianos.
• Fr de MMII de atletas, corredores y bailarina.
– Fx por insuficiencia: fuerzas normales en un hueso de carga con elasticidad disminuida:
AR, Paget, osteoporosis… (cuello fémur).
• Fx patológica:sobre hueso debilitado.
• Fx infancia (incompletas):
– Tallo verde.
– FX por incurvación ó abombamiento (bowing).
– Rodete o torus.
– Epifisiolisis.
FRACTURA DE ESTRÉS
FRACTURA PATOLÓGICA EN PACIENTE CON MIELOMA
RADIOLOGÍA DE LAS
FRACTURAS DE CINTURA
ESCAPULAR Y HUMERO
Dr. David Caldevilla Bernardo
Médico Radiólogo
Hospital General de Almansa
ANATOMIA DEL HOMBRO
Cuello quirúrgico
Troquiter
Troquín
Acromion
Clavícula A. Coracoides
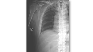
Fx CLAVICULA
• Fx habitualmente en 1/3 medio (85%), por traumatismo indirecto
FRACTURA HUMERO
• 5% de las fracturas del adulto, 75% en 1/3 superior
• Más frecuentes en ancianos (osteoporosis)
• Tratamiento:
• Conservador: cuello quirúrgico con impactación (ancianos)
• Quirúrgico: el resto
• Complicaciones
• Seudoartrosis
• Consolidación defectuosa
• Necrosis avascular
• Lesión nerviosa ó vascular
• Rigidez-capsulitis.
• Fx diáfisis: más frecuente en jóvenes o ancianos con fx patológica
FRACTURA HUMERO
• Clasificación de Neer: relación entre troquín, troquíter,
segmento articular y diáfisis
• Divide las fracturas en función de los desplazamientos de
estos segmentos
• FX desplazada: tiene 2, 3 o 4 segmentos, fractura-luxación,
fractura articular
• Separación >1cm o ángulo >45º
FRACTURA PATOLÓGICA EN PACIENTE CON MIELOMA
FRACTURA ESCAPULA
• Traumatismo directo de alta energía. Se asocia a otras
fracturas-luxaciones de C. escapular ó tórax
(neumotórax…)
• Si no se piensa en esta posible fractura es muy difícil
detectarla
• Si afecta a cuerpo o espina (50%), tratamiento
conservador
• Si se afecta cuello o glenoides: valorar cirugía
• Consolidan a las 6 semanas
ESGUINCE-LUXACIÓN ACROMIOCLAVICULAR
• Traumatismos directos al caer sobre el hombro o
indirectos por apoyo de mano con brazo en extensión
• Se establecen hasta 6 grados, valorando:
– Ligamento acromioclavicular
– Articulación acromioclavicular
– Ligamentos coracoclaviculares
ESGUINCE-LUXACIÓN ACROMIOCLAVICULAR
LUXACIÓN ESTERNO-CLAVICULAR
Si el lado afecto está por encima:
LUXACIÓN ANTERIOR
Si está por debajo:
LUXACIÓN POSTERIOR
LUXACIÓN HOMBRO
• La articulación glenohumeral posee el mayor grado de movilidad del
aparato locomotor
• Mecanismo: abducción forzada acompañada de una rotación
externa del brazo
• En ancianos, suele estar acompañada por la avulsión del troquíter
• Es la articulación que se luxa con más frecuencia
• Tipos
– Luxación anterior: más frecuente. Dolor, impotencia funcional,
parestesias. “Hombro en charretera”. Se asocia a Fx troquíter
– Luxación posterior: más frecuente en ancianos. Muy dolorosa
– Luxación erecta/inferior: “saludo hitleriano”
– Luxación superior: muy rara. Requiere fractura asociada
LUXACIÓN HOMBRO
RADIOLOGÍA DE LAS FRACTURAS
DE CODO, MUÑECA Y MANO
Dr. David Caldevilla Bernardo
Médico Radiólogo
Hospital General de Almansa
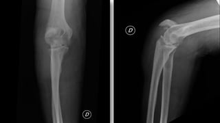
FRACTURA CODO
• Complejas a veces acompañadas de luxaciones
• Tipos:
– Supracondíleas: niños
– Trascondíleas: ancianos
– Intercondíleas: forma de T ó Y con separación de
cóndilos medial y lateral con la diáfisis
– Capitellum: fragmento libre en articulación
– Aisladas: cóndilo, tróclea, epitróclea, epicóndilo…
– Olécranon y apófisis coronoides
– Cabeza radio (30%)
ANATOMÍA
FX CODO RADIO
FX OLECRANON
LUXACIÓN CODO
• Más frecuente después de hombro
• Mecanismo indirecto al caer sobre la mano con codo
en extensión
• Valorar paquete vásculo-nervioso
LUXACIÓN CODO
FRACTURASANTEBRAZO
• Se pueden presentar de forma conjunta (cúbito-radio)
• Fx Galeazzi: Fx diáfisis radial + Luxación radioulnar distal
• Monteggia: Fx cúbito (diafisaria)+Lux cabeza radio
• Complicaciones:
• Sd Volkmann
• Pseudoartrosis y consolidación defectuosa
• Artrosis
• Lesión N. mediano o cubital.
FRACTURA DOBLE ANTEBRAZO
FRACTURA MONTEGGIA
FRACTURA GALEAZZI
FRACTURASDE MUÑECA
• 17% de fracturas atendidas en urgencias (1/4 del total de
fracturas)
• Más frecuente mujeres y osteoporosis
• FX Colles. Criterio: fractura de extremo distal de radio con
angulación dorsal y acortamiento radial, que produce la
típica deformidad en dorso de tenedor
• FX extremidad distal de radio (si no cumple criterios
anteriores).
• Otras FX: Smith, Barton, Hutchinson…
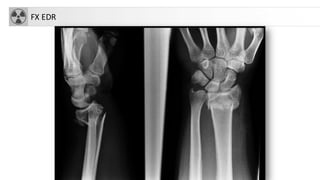
• Genéricamente: FX EDR
ANATOMÍA
Trapezoides
Radio
Cubito
Escafoides
Semilunar
Piramidal
Trapecio
Grande
Ganchoso
FRACTURA COLLES
FRACTURA DE SMITH
FRACTURA DE BARTON
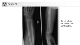
FX SKILLER
FX 1/3 inferior
de radio + tallo
verde cúbito.
FX EDR
FRACTURASCARPO: ESCAFOIDES
• Mecanismo: traumatismo con mano en hiperextensión
• “Fracturas ocultas”
• 4 proyeccionessi alta sospecha clínica
• 2 anteroposterior con puño derradoe inclinación radialydespués
cubital (proyeccion de Sneck)
• Lateral
• Oblicua
• Ante la duda: tratar como si fractura y controlradiológico
evolutivo
FX ESCAFOIDES
FRACTURASMETACARPIANOS
• 30-50% de fracturas de la mano
• Mecanismo: trauma directo
• Más frecuente:FX cuello de V meta: “FX del boxeador”
FX V META
FX V META
FX METAS
FX-LUXACION BENNET
Fragmento del meta en
zona cubital unido a
trapecio, el resto se
desplaza.
FX-LUXACION BENNET
FX LUXACIÓN ROLANDO
Fx de la base conminuta o trazos en
T ó Y
FX FALANGES
• Fx extremo distal última falange (+frecuente). Asocia a
hematoma subungueal
• Fx base falange distal: avulsión
• Avulsión dorsal: puede asociarse a territorio inserción del
extensor: dedo en martillo
FX FALANGES 1 DEDO
FRACTURA 1ª FALANGE
LUXACIÓN DEDOS
RADIOLOGÍA DE LAS
FRACTURAS DEL MIEMBRO
INFERIOR
Dr. David Caldevilla Bernardo
Médico Radiólogo
Hospital General de Almansa
Ileon Sacro
Rama
iliopubiana
Rama
isquiopubiana
Acetabulo
A. obturador
Cabeza femoral
Sínfisis púbica
Art. sacroiliaca
ANATOMÍA
FRACTURASDE PELVIS
• Fracturas de alta energía: politrauma
• Posible implicación vascular y nerviosa
• Pueden implicar la vida del paciente:
embolización
• Asociación a otras lesiones: vejiga, uretra…
FRACTURASDE PELVIS
• Clasificación de Tile
• Tipo I: estables. No interrumpen anillo pélvico(avulsión, Fx
aislada de rama, pala, sacro, coccix)
• Tipo II: Fx homolaterales de ramas pubis, diástasis sinfisis,
subluxaciónsacroiliaca
• Tipo III: complejas
CLASIFICACIÓN DE TILE
FRACTURASDE CADERA
1. Fracturasde cotilo
El hueso coxal o de la cadera se encuentra
formado por:
-Ilion
-Pubis
-Isquion
Todos ellos forman partedel acetábulo,
siendo el techo la parte que mas peso
soporta
2. Fracturasdel extremo proximal del fémur
Trocanter mayor
Espina iliaca anterosuperior
Espina iliaca anteroinferior
Cabeza femoral
Cresta
intertrocanterea
Cuello
anatómico
Cotilo
Ileo
n
FRACTURA DE COTILO
FX EXTREMO PROXIMAL DE FÉMUR
• 33.000 casos nuevos/año
(España)
• Alta morbimortalidad (20-
30% mueren antes de 6
meses)
• Asociadas a envejecimiento.
FX EXTREMO PROXIMAL DE FÉMUR
CLASIFICACIÓN
• Fracturascapitales: raras, asociadas a
luxación
• Fracturascervicales (intraarticulares)
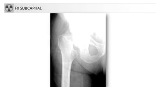
1. subcapitales.
2. transcervicales
3. basicervicales
• 4. Fracturastrocantereas:
• cervicotrocantereas
• pertrocantereas(+frecuente)
• 5. Fracturassubtrocantereas
• Aisladas de trocanter mayor
• Aisladas de trocánter menor
1
2
3
4
5
FX SUBCAPITAL
FX BASICERVICAL
FX PERTROCANTÉREA
FX SUBTROCANTÉREA
FRACTURASDE DIÁFISIS FEMORAL
• Traumatismos de alta energía.
LUXACIONES DE CADERA
CLASIFICACIÓN:
• Posteriores (75%)
-Iliacas o altas (las mas frecuentes)
-Isquiáticas o bajas
• Anteriores (25%)
-obturatrices
-Pubianas
LUXACIÓN DE CADERA
LUXACIÓN DE CADERA PROTÉSICA
FRACTURAS RODILLA,
TOBILLO Y PIE
Dr. David Caldevilla Bernardo
Médico Radiólogo
Hospital General de Almansa
ANATOMIA RADIOLÓGICA RODILLA
Rotula
Espacio retropatelar
Cóndilo interno
Fosa
intercondilea
Espina tibial
Tuberosidad tibial
FRACTURASDE RODILLA
• Fx extremo distal de fémur: accidentes de alta energía
• Fx rótula: trauma directo: fx verticales, conminuta,
marginales, osteocondrales, avulsiones
• Fx extremo proximal tibia
FX DE RÓTULA
• En fase postraumática, ante la
presencia de intenso dolor,
valorar artrocentesis que
producealivio y valorar
contenido evacuado
FRACTURA DE EXTREMO PROXIMAL DE TIBIA
FRACTURA DE EXTREMO PROXIMAL DE TIBIA
FX DIAFISARIAS: TIBIA-PERONE
• Fx tibia: donde más fracturas abiertas se producen
• Fx peroné
FX DIAFISARIAS: TIBIA-PERONE
TOBILLO
ANATOMÍA RADIOLÓGICA
Tibia
Peroné
Astrágalo
Maléolo interno Maleolo
externo
Calcáneo
Escafoide
s
Sustentaculum
tali
Artic transversa tarso
Cuboides
Art subastragalina
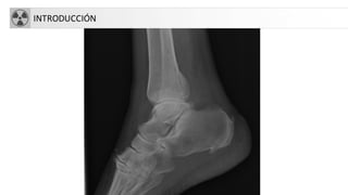
FRACTURASDE TOBILLO
• Fracturas en supinación-rotación externa (60%)
• Fracturas en supinación-aducción (20%)
• Fracturas en pronación-rotación externa y pronación-
abducción (20%)
• Fracturas en pronación-dorsiflexión.
FRACTURASDE TOBILLO
• A. Fractura unimaleolar (de tibiao
peroné)
• B. Fractura bimaleolar
• C. Fractura equivalentebimaleolar
• D. Fractura trimaleolar
• TratamientoQuirúrgico: En lesiones
de dos complejos, fracturas
inestables o desplazadas. Resto: tto
conservador
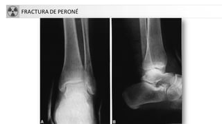
FRACTURA DE PERONÉ
FRACTURA BIMALEOLAR
FRACTURA TRIMALEOLAR
ANATOMÍA DEL PIE
Calcaneo
Astragalo
Escafoides
Cuboides
Cuñas
Sesamoideos
Metas
FRACTURASDEL TARSO
• Astrágalo (3% Fx pie)
• Segundo lugar en fracturas de tarso tras Fx
calcáneo.
• Mecanismo: hiperflexióndorsal pie.
• +Frecuente en cuello astragalino.
• Calcáneo
• Fx más frecuente del tarso y 2% del total.
• 75% intraarticulares.
• Mecanismo: caida de talones.
• Rx: disminuciónángulo de Böhler (normal 25-40º).
FRACTURASDEL TARSO
• Escafoides o navicular.
• Fx de la tuberosidad
• Fx con avulsión de la cortical
• Fx por sobrecarga
FX-LUXACIÓN ASTRÁGALO
FRACTURA CALCÁNEO
FX ESCAFOIDES
FRACTURA DE CUBOIDES
FRACTURASDEL PIE
• Fractura-luxación de Lisfranc:
• Se localiza entre las 3 cuñas y el cuboides y los 5 metatarsianos
• No siempre es fácil el Dx radiológico
• Fracturas de los metatarsianos
• Más frecuente 5º meta
FRACTURA LUXACIÓN DE LISFRANC
FRACTURA 5 META
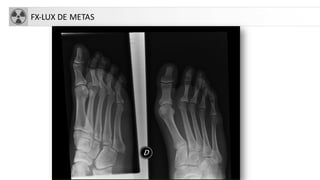
FX-LUX DE METAS
FRACTURAS DE COLUMNA
CERVICAL
Dr. David Caldevilla Bernardo
Médico Radiólogo
Hospital General de Almansa
ANATOMÍA RADIOLÓGICA
C2
Cuerpo
vertebral
Masas
laterales
Facetas
articulares
Lamina
Pedículo
A espinosa
Evaluación columna cervical:Alineación
• Anterior de los cuerpos
vertebrales
• Posterior de los cuerpos
vertebrales
• Posterior del canal
medular
• Puntas de los procesos
espinosos
C1
C2
C3
C4
C7
C6
C5
BUSCAR DESALINEACIONES.EVALUAR LAS 4 LÍNEAS PARALELAS
1. Línea vertebral anterior
2. Línea vertebral posterior
3. L. espinolaminar. Margen post
del canal medular
4. Puntos que unen las espinosas
C1
C2
C3
C4
C7
C6
C5
Línea vertebral
anterior
Línea vertebral
posterior
Línea
espinolaminar
Línea
espinosa
posterior
COLUMNA CERVICAL
• Una serie adecuada incluye:
• Proyección lateral de columnacervical con
rayo horizontal
• Deben visualizarse:
• Base de cráneo
• 7 vértebras cervicales.Valorar tracción de
hombros.
• 1ª vértebra torácica si es posible
• AP
• Proyección de odontoidescon boca abierta
• Sin movilizar al paciente
MECANISMO DE LESIÓN
• Flexión: segmento cervical superior (C1-C2)
• Extensión: segmento cervical inferior (C3-C7)
• Flexión lateral
• Rotación
• Compresión axial.
INDICACIONESDE TC Y RM.
• TC:
• Valoración de lesiones complejas o dudosas.
• Detección de esquirlas óseas en el canal raquídeo.
• Si hay indicaciónurgente de TC (politrauma) no hacer Rx
simples.
• RM:
• Afectación del canal.
• Síntomas neurológicos.
• Lesiones ligamentosas.
INTERPRETACIÓN DE LA RX.
ABCD
A: adecuada-alineada
B: hueso
C: cartílago
D: disco
S: tejidos blandos
Alineación atlanto-occipital
• El margen anterior del agujero magno debe estar
alineado con la odontoides
• Una línea desde el clivus debe llegar a la
odontoides
• El margen posterior del agujero magno se debe
alinear con la línea espinolaminar de C1
• La ratio de :Basion – la línea espinolaminar de
C1 y Epistion - cortex posterior del arcoanterior
de C1 suele ser de 0.6 a1.0, con la media de 0.8.
Una ratio mayor que 1.0 implica luxación
craneo-cervical anterior
Basion
Epistion
ÁREA C1-C2
• Arco anterior del atlas no
está separado más de 2,5-3
mm de C2.
• (niños 5mm).
• Separación mayor hace
sospechar ruptura del
ligamento transverso.
PARTES BLANDAS
• Valorar hematoma por FX
valorar espacios:
• E. Nasofaríngeo (C1)=10mm
• E. Retrofaríngeo (C2-C4)= 5-7mm
• Retrotraqueal (C5-C7)= 22mm ó
(< 1 cuerpo vertebral).
Nasofaríngeo
Retrofaríngeo
Retrotraqueal
PROYECCIÓN ODONTOIDEA
• Adecuado: Odontoides y bordes laterales de C1 y C2
• Alineación: Cóndilos occipitales sobre las carillas
articulares superiores del atlas
• La distancia de la odontoides a las masas laterales de C1
igual bilateral
• El borde de masas lat de C1 alineadas con los márgenes
de la carilla art superior de C2
• Márgenes óseos
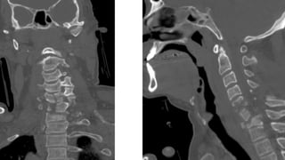
FX DE JEFFERSON. FX COMPLEJA DE ATLAS
• Cae un objeto directamente sobre la cabeza.
Compresión vertical.
• Se desplazan las masas laterales.
• Se fractura el arco ant y post de C1.
• Se rompe el anillo óseo en varios fragmentos.
• RX: Las masas laterales se extienden más allá de los
márgenes del cuerpo de C2.
FX DE ODONTOIDES
• Angulación anterior de la odontoides en la lateral.
• Línea de Fx.
• Aumento de partes blandas prevertebral.
FX DE ODONTOIDES
FX DE HANGMAN O DEL AHORCADO
• Hiperextensión y tracción.
• Fx bilateral de los elementos posteriores de C2.
• Avulsiónde la esquina antero- inferior de C2
• Desplaza ant el cuerpo de C2 respecto a C3.
• Aumento de tej. prevertebrales.
• Fx inestable y grave.
• No suelen tener daño neurológico.
• Evoluciona bien.
SUBLUXACIÓN ANTERIOR
• Flexión.
• Rotura del complejo ligamentoso posterior.
• Perdida de la lordosis normal.
• Desplazamiento anterior de cuerpo vertebral
• Ûespacio interespinosas.
• Inicialmenteestable por contractura muscular pero se
asocia con inestabilidadretardada.20-50%.
LUXACIÓN INTERFACETARIABILATERAL.
• Flexión.
• Rotura del complejo lig. posterior y del anterior
frecuentemente.
• Las art. interapofisarias se luxan.
• Las art. interapofisarias de la vertebra sup. son anteriores
a la de la inferior.
• Desplazamiento anterior del cuerpo vertebral.
BILATERAL (inestable)
• Se rompe el complejo lig ant
y post.
FX DE COLUMNA
DORSOLUMBAR
Dr. David Caldevilla Bernardo
Médico Radiólogo
Hospital General de Almansa
ANATOMÍA DORSAL
ANATOMÍA LUMBAR
Cuerpo
Pedículo
A. transversa
Carilla articular inferior
Carilla articular superior
A. espinosa
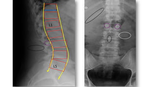
ANATOMÍA LUMBAR
• Los c. Vertebrales › de altura caudalmente.
• Los espacios discales también hasta L5-S1 que es < que
L4-L5.
• Alineación .
• Márgenes.
• No olvidar: Pedículos, espinosas y sacro. Costillas.
• Lesiones similares en dorsal y en lumbar.
• La mayoría 2/3 desde D12 –L2.
L5
L1
FX DORSOLUMBARES
• 75%. Fx flexión-compresión axial
• Estables
• Múltiple Fx en distintos niveles,
se asocian a FX con estallido en
un 50%
• Perdida de altura sólo, no se
puede distinguir Fx aguda ó
crónica
FX DORSOLUMBARES (CONT)
• Acuñamiento ó depresión del platillo superior del
cuerpo vertebral +/- rotura de la línea post.
• Elementos posteriores están intactos
• Puede haber fragmentos óseos en el canal
raquídeo
• Indicado el TC para valorar el canal pq hay deficit
neurológico en un 65%
FX -LUXACIÓN
• Flexión-compresión axial y rotación.20%
• Más fr. en D12-L1
• Fx de cuerpo vertebral y elementos posteriores
• Desplazamiento ant de cuerpo vertebral
• Inestables.Lesión neurológica
TRAUMATISMO POR CINTURÓN DE SEGURIDAD.
• Hiperflexión. àFx horizontal
• Fx lumbares altas. L1-L2
• Rotura elementosposterioresy ligamentos y compresión
anterior del cuerpo vertebral
• FX de SMITH: Fx parte post cuerpo vertebral
• Fx de CHANCE: Fx horizontal : ap. espinosa, pedículosy
cuerpo vertebral
FX APÓFISIS TRANSVERSAS
• Frecuentesy múltiples
• Las de L5 se asocian a Fx de pelvis
•FX ELEMENTOS POSTERIORES
• Raras
• Hiperextensión
ESPONDILOLISIS
• Defecto óseo de la parte
interauricular
• Congénita, postraumática??
• Atletas jóvenesen L5
• Incidental, sin significación clínica?
• Signo del “Collar de perro”
ESPONDILOLISIS

Fracturas Oseas RAYOS X PRESENTACION7.pdf

  • 1.
    INTRODUCCIÓN. RADIOLOGÍA DE LASFRACTURAS. CONCEPTOS. PRINCIPIOS. Dr. David Caldevilla Bernardo Médico Radiólogo Hospital General de Almansa
  • 2.
  • 3.
  • 4.
    INTRODUCCIÓN • Rx simple:primera exploración a realizar • Antecedentesy valoración clínica: edad, localización,síntomas, tiempo evolución… • Aspectos técnicos: – 2 proyecciones: AP y lateral (90º una de otra) – Incluir 2 articulaciones adyacentes – 2 miembros(imágenes comparativas) – 2 exploraciones sucesivas para ver evolución
  • 7.
    INTRODUCCIÓN LECTURA SISTEMÁTICA • A:Adecuación de la proyección • B: análisis de partes Blandas • C: Contornosóseos • D: Densidad ósea
  • 8.
    CLASIFICACIÓN RADIOGRÁFICA DELAS FRACTURAS • Completa-incompleta • Cerrada-abierta • Clasificación según fuerza incidente A. Transversa B. Oblicua C. Espiroidea D. Longitudinal E. Conminuta
  • 9.
    FRACTURA COMPLETA-INCOMPLETA (niños) FxEDR + tallo verde cúbito. (Fx Skilern)
  • 10.
  • 11.
  • 12.
  • 13.
  • 14.
  • 15.
  • 16.
    POR AVULSIÓN LOCALIZACIÓN ANATÓMICAMUSCULO, TENDÓN, LIGAMENTO Espina iliaca anterosuperior Tensor de la fascia lata, sartorio Espina iliaca anteroinferior M recto anterior Tuberosidad isquiática M isquiotibiales Sínfisis pubis M aductores Cresta iliaca M abdominales Trocanter mayor M glúteos Trocánter menor M Psoas Rótula, espina tibial anterior Tendón cuadricipital y/o rotuliano Platillo tibial lateral(FX Segond) Ligamento colaterallateral Calcáneo Tendón Aquiles Base V metatarsiano Tendón peroneo corto Olécranon Tendón triceps
  • 17.
    OTROS CONCEPTOS • Luxación:Pérdida completa de continuidad entre2 extremos óseos. Las más frecuentes – Gleno-humeral – Codo – Tobillo – Articulaciones interfalángicas. • Subluxación: pérdida parcialde alineación entre 2 caras articulares. • Diástasis: Separación delos 2 extremos óseos conservándosela alineación (sínfisis pubis). • Anquilosis: fusión de extremos articulares.
  • 18.
  • 19.
  • 20.
  • 21.
    FRACTURASSINGULARES • Fx deestrés, – Fx por fatiga o sobrecarga: fuerzas tolerables pero repetidas sobre hueso sano. • Fr de la marcha: Metatarsianos. • Fr de MMII de atletas, corredores y bailarina. – Fx por insuficiencia: fuerzas normales en un hueso de carga con elasticidad disminuida: AR, Paget, osteoporosis… (cuello fémur). • Fx patológica:sobre hueso debilitado. • Fx infancia (incompletas): – Tallo verde. – FX por incurvación ó abombamiento (bowing). – Rodete o torus. – Epifisiolisis.
  • 22.
  • 23.
    FRACTURA PATOLÓGICA ENPACIENTE CON MIELOMA
  • 24.
    RADIOLOGÍA DE LAS FRACTURASDE CINTURA ESCAPULAR Y HUMERO Dr. David Caldevilla Bernardo Médico Radiólogo Hospital General de Almansa
  • 25.
    ANATOMIA DEL HOMBRO Cuelloquirúrgico Troquiter Troquín Acromion Clavícula A. Coracoides
  • 26.
    Fx CLAVICULA • Fxhabitualmente en 1/3 medio (85%), por traumatismo indirecto
  • 27.
    FRACTURA HUMERO • 5%de las fracturas del adulto, 75% en 1/3 superior • Más frecuentes en ancianos (osteoporosis) • Tratamiento: • Conservador: cuello quirúrgico con impactación (ancianos) • Quirúrgico: el resto • Complicaciones • Seudoartrosis • Consolidación defectuosa • Necrosis avascular • Lesión nerviosa ó vascular • Rigidez-capsulitis. • Fx diáfisis: más frecuente en jóvenes o ancianos con fx patológica
  • 28.
    FRACTURA HUMERO • Clasificaciónde Neer: relación entre troquín, troquíter, segmento articular y diáfisis • Divide las fracturas en función de los desplazamientos de estos segmentos • FX desplazada: tiene 2, 3 o 4 segmentos, fractura-luxación, fractura articular • Separación >1cm o ángulo >45º
  • 32.
    FRACTURA PATOLÓGICA ENPACIENTE CON MIELOMA
  • 33.
    FRACTURA ESCAPULA • Traumatismodirecto de alta energía. Se asocia a otras fracturas-luxaciones de C. escapular ó tórax (neumotórax…) • Si no se piensa en esta posible fractura es muy difícil detectarla • Si afecta a cuerpo o espina (50%), tratamiento conservador • Si se afecta cuello o glenoides: valorar cirugía • Consolidan a las 6 semanas
  • 36.
    ESGUINCE-LUXACIÓN ACROMIOCLAVICULAR • Traumatismosdirectos al caer sobre el hombro o indirectos por apoyo de mano con brazo en extensión • Se establecen hasta 6 grados, valorando: – Ligamento acromioclavicular – Articulación acromioclavicular – Ligamentos coracoclaviculares
  • 37.
  • 38.
    LUXACIÓN ESTERNO-CLAVICULAR Si ellado afecto está por encima: LUXACIÓN ANTERIOR Si está por debajo: LUXACIÓN POSTERIOR
  • 39.
    LUXACIÓN HOMBRO • Laarticulación glenohumeral posee el mayor grado de movilidad del aparato locomotor • Mecanismo: abducción forzada acompañada de una rotación externa del brazo • En ancianos, suele estar acompañada por la avulsión del troquíter • Es la articulación que se luxa con más frecuencia • Tipos – Luxación anterior: más frecuente. Dolor, impotencia funcional, parestesias. “Hombro en charretera”. Se asocia a Fx troquíter – Luxación posterior: más frecuente en ancianos. Muy dolorosa – Luxación erecta/inferior: “saludo hitleriano” – Luxación superior: muy rara. Requiere fractura asociada
  • 40.
  • 43.
    RADIOLOGÍA DE LASFRACTURAS DE CODO, MUÑECA Y MANO Dr. David Caldevilla Bernardo Médico Radiólogo Hospital General de Almansa
  • 44.
    FRACTURA CODO • Complejasa veces acompañadas de luxaciones • Tipos: – Supracondíleas: niños – Trascondíleas: ancianos – Intercondíleas: forma de T ó Y con separación de cóndilos medial y lateral con la diáfisis – Capitellum: fragmento libre en articulación – Aisladas: cóndilo, tróclea, epitróclea, epicóndilo… – Olécranon y apófisis coronoides – Cabeza radio (30%)
  • 45.
  • 46.
  • 47.
  • 48.
    LUXACIÓN CODO • Másfrecuente después de hombro • Mecanismo indirecto al caer sobre la mano con codo en extensión • Valorar paquete vásculo-nervioso
  • 49.
  • 50.
    FRACTURASANTEBRAZO • Se puedenpresentar de forma conjunta (cúbito-radio) • Fx Galeazzi: Fx diáfisis radial + Luxación radioulnar distal • Monteggia: Fx cúbito (diafisaria)+Lux cabeza radio • Complicaciones: • Sd Volkmann • Pseudoartrosis y consolidación defectuosa • Artrosis • Lesión N. mediano o cubital.
  • 51.
  • 52.
  • 53.
  • 54.
    FRACTURASDE MUÑECA • 17%de fracturas atendidas en urgencias (1/4 del total de fracturas) • Más frecuente mujeres y osteoporosis • FX Colles. Criterio: fractura de extremo distal de radio con angulación dorsal y acortamiento radial, que produce la típica deformidad en dorso de tenedor • FX extremidad distal de radio (si no cumple criterios anteriores). • Otras FX: Smith, Barton, Hutchinson… • Genéricamente: FX EDR
  • 55.
  • 56.
  • 58.
  • 59.
  • 60.
    FX SKILLER FX 1/3inferior de radio + tallo verde cúbito.
  • 61.
  • 62.
    FRACTURASCARPO: ESCAFOIDES • Mecanismo:traumatismo con mano en hiperextensión • “Fracturas ocultas” • 4 proyeccionessi alta sospecha clínica • 2 anteroposterior con puño derradoe inclinación radialydespués cubital (proyeccion de Sneck) • Lateral • Oblicua • Ante la duda: tratar como si fractura y controlradiológico evolutivo
  • 63.
  • 64.
    FRACTURASMETACARPIANOS • 30-50% defracturas de la mano • Mecanismo: trauma directo • Más frecuente:FX cuello de V meta: “FX del boxeador”
  • 65.
  • 66.
  • 67.
  • 68.
    FX-LUXACION BENNET Fragmento delmeta en zona cubital unido a trapecio, el resto se desplaza.
  • 69.
  • 70.
    FX LUXACIÓN ROLANDO Fxde la base conminuta o trazos en T ó Y
  • 71.
    FX FALANGES • Fxextremo distal última falange (+frecuente). Asocia a hematoma subungueal • Fx base falange distal: avulsión • Avulsión dorsal: puede asociarse a territorio inserción del extensor: dedo en martillo
  • 72.
  • 73.
  • 74.
  • 75.
    RADIOLOGÍA DE LAS FRACTURASDEL MIEMBRO INFERIOR Dr. David Caldevilla Bernardo Médico Radiólogo Hospital General de Almansa
  • 76.
    Ileon Sacro Rama iliopubiana Rama isquiopubiana Acetabulo A. obturador Cabezafemoral Sínfisis púbica Art. sacroiliaca ANATOMÍA
  • 77.
    FRACTURASDE PELVIS • Fracturasde alta energía: politrauma • Posible implicación vascular y nerviosa • Pueden implicar la vida del paciente: embolización • Asociación a otras lesiones: vejiga, uretra…
  • 78.
    FRACTURASDE PELVIS • Clasificaciónde Tile • Tipo I: estables. No interrumpen anillo pélvico(avulsión, Fx aislada de rama, pala, sacro, coccix) • Tipo II: Fx homolaterales de ramas pubis, diástasis sinfisis, subluxaciónsacroiliaca • Tipo III: complejas
  • 79.
  • 80.
    FRACTURASDE CADERA 1. Fracturasdecotilo El hueso coxal o de la cadera se encuentra formado por: -Ilion -Pubis -Isquion Todos ellos forman partedel acetábulo, siendo el techo la parte que mas peso soporta 2. Fracturasdel extremo proximal del fémur
  • 81.
    Trocanter mayor Espina iliacaanterosuperior Espina iliaca anteroinferior Cabeza femoral Cresta intertrocanterea Cuello anatómico Cotilo Ileo n
  • 82.
  • 83.
    FX EXTREMO PROXIMALDE FÉMUR • 33.000 casos nuevos/año (España) • Alta morbimortalidad (20- 30% mueren antes de 6 meses) • Asociadas a envejecimiento.
  • 84.
    FX EXTREMO PROXIMALDE FÉMUR CLASIFICACIÓN • Fracturascapitales: raras, asociadas a luxación • Fracturascervicales (intraarticulares) 1. subcapitales. 2. transcervicales 3. basicervicales • 4. Fracturastrocantereas: • cervicotrocantereas • pertrocantereas(+frecuente) • 5. Fracturassubtrocantereas • Aisladas de trocanter mayor • Aisladas de trocánter menor 1 2 3 4 5
  • 85.
  • 86.
  • 87.
  • 88.
  • 89.
    FRACTURASDE DIÁFISIS FEMORAL •Traumatismos de alta energía.
  • 90.
    LUXACIONES DE CADERA CLASIFICACIÓN: •Posteriores (75%) -Iliacas o altas (las mas frecuentes) -Isquiáticas o bajas • Anteriores (25%) -obturatrices -Pubianas
  • 91.
  • 92.
  • 93.
    FRACTURAS RODILLA, TOBILLO YPIE Dr. David Caldevilla Bernardo Médico Radiólogo Hospital General de Almansa
  • 94.
    ANATOMIA RADIOLÓGICA RODILLA Rotula Espacioretropatelar Cóndilo interno Fosa intercondilea Espina tibial Tuberosidad tibial
  • 95.
    FRACTURASDE RODILLA • Fxextremo distal de fémur: accidentes de alta energía • Fx rótula: trauma directo: fx verticales, conminuta, marginales, osteocondrales, avulsiones • Fx extremo proximal tibia
  • 96.
    FX DE RÓTULA •En fase postraumática, ante la presencia de intenso dolor, valorar artrocentesis que producealivio y valorar contenido evacuado
  • 97.
    FRACTURA DE EXTREMOPROXIMAL DE TIBIA
  • 98.
    FRACTURA DE EXTREMOPROXIMAL DE TIBIA
  • 99.
    FX DIAFISARIAS: TIBIA-PERONE •Fx tibia: donde más fracturas abiertas se producen • Fx peroné
  • 100.
  • 101.
    TOBILLO ANATOMÍA RADIOLÓGICA Tibia Peroné Astrágalo Maléolo internoMaleolo externo Calcáneo Escafoide s Sustentaculum tali Artic transversa tarso Cuboides Art subastragalina
  • 102.
    FRACTURASDE TOBILLO • Fracturasen supinación-rotación externa (60%) • Fracturas en supinación-aducción (20%) • Fracturas en pronación-rotación externa y pronación- abducción (20%) • Fracturas en pronación-dorsiflexión.
  • 103.
    FRACTURASDE TOBILLO • A.Fractura unimaleolar (de tibiao peroné) • B. Fractura bimaleolar • C. Fractura equivalentebimaleolar • D. Fractura trimaleolar • TratamientoQuirúrgico: En lesiones de dos complejos, fracturas inestables o desplazadas. Resto: tto conservador
  • 104.
  • 105.
  • 106.
  • 107.
  • 108.
    FRACTURASDEL TARSO • Astrágalo(3% Fx pie) • Segundo lugar en fracturas de tarso tras Fx calcáneo. • Mecanismo: hiperflexióndorsal pie. • +Frecuente en cuello astragalino. • Calcáneo • Fx más frecuente del tarso y 2% del total. • 75% intraarticulares. • Mecanismo: caida de talones. • Rx: disminuciónángulo de Böhler (normal 25-40º).
  • 109.
    FRACTURASDEL TARSO • Escafoideso navicular. • Fx de la tuberosidad • Fx con avulsión de la cortical • Fx por sobrecarga
  • 110.
  • 111.
  • 112.
  • 113.
  • 114.
    FRACTURASDEL PIE • Fractura-luxaciónde Lisfranc: • Se localiza entre las 3 cuñas y el cuboides y los 5 metatarsianos • No siempre es fácil el Dx radiológico • Fracturas de los metatarsianos • Más frecuente 5º meta
  • 115.
  • 116.
  • 117.
  • 118.
    FRACTURAS DE COLUMNA CERVICAL Dr.David Caldevilla Bernardo Médico Radiólogo Hospital General de Almansa
  • 119.
  • 120.
  • 121.
    Evaluación columna cervical:Alineación •Anterior de los cuerpos vertebrales • Posterior de los cuerpos vertebrales • Posterior del canal medular • Puntas de los procesos espinosos C1 C2 C3 C4 C7 C6 C5
  • 122.
    BUSCAR DESALINEACIONES.EVALUAR LAS4 LÍNEAS PARALELAS 1. Línea vertebral anterior 2. Línea vertebral posterior 3. L. espinolaminar. Margen post del canal medular 4. Puntos que unen las espinosas C1 C2 C3 C4 C7 C6 C5 Línea vertebral anterior Línea vertebral posterior Línea espinolaminar Línea espinosa posterior
  • 123.
    COLUMNA CERVICAL • Unaserie adecuada incluye: • Proyección lateral de columnacervical con rayo horizontal • Deben visualizarse: • Base de cráneo • 7 vértebras cervicales.Valorar tracción de hombros. • 1ª vértebra torácica si es posible • AP • Proyección de odontoidescon boca abierta • Sin movilizar al paciente
  • 124.
    MECANISMO DE LESIÓN •Flexión: segmento cervical superior (C1-C2) • Extensión: segmento cervical inferior (C3-C7) • Flexión lateral • Rotación • Compresión axial.
  • 125.
    INDICACIONESDE TC YRM. • TC: • Valoración de lesiones complejas o dudosas. • Detección de esquirlas óseas en el canal raquídeo. • Si hay indicaciónurgente de TC (politrauma) no hacer Rx simples. • RM: • Afectación del canal. • Síntomas neurológicos. • Lesiones ligamentosas.
  • 126.
    INTERPRETACIÓN DE LARX. ABCD A: adecuada-alineada B: hueso C: cartílago D: disco S: tejidos blandos
  • 127.
    Alineación atlanto-occipital • Elmargen anterior del agujero magno debe estar alineado con la odontoides • Una línea desde el clivus debe llegar a la odontoides • El margen posterior del agujero magno se debe alinear con la línea espinolaminar de C1 • La ratio de :Basion – la línea espinolaminar de C1 y Epistion - cortex posterior del arcoanterior de C1 suele ser de 0.6 a1.0, con la media de 0.8. Una ratio mayor que 1.0 implica luxación craneo-cervical anterior Basion Epistion
  • 128.
    ÁREA C1-C2 • Arcoanterior del atlas no está separado más de 2,5-3 mm de C2. • (niños 5mm). • Separación mayor hace sospechar ruptura del ligamento transverso.
  • 129.
    PARTES BLANDAS • Valorarhematoma por FX valorar espacios: • E. Nasofaríngeo (C1)=10mm • E. Retrofaríngeo (C2-C4)= 5-7mm • Retrotraqueal (C5-C7)= 22mm ó (< 1 cuerpo vertebral). Nasofaríngeo Retrofaríngeo Retrotraqueal
  • 130.
    PROYECCIÓN ODONTOIDEA • Adecuado:Odontoides y bordes laterales de C1 y C2 • Alineación: Cóndilos occipitales sobre las carillas articulares superiores del atlas • La distancia de la odontoides a las masas laterales de C1 igual bilateral • El borde de masas lat de C1 alineadas con los márgenes de la carilla art superior de C2 • Márgenes óseos
  • 131.
    FX DE JEFFERSON.FX COMPLEJA DE ATLAS • Cae un objeto directamente sobre la cabeza. Compresión vertical. • Se desplazan las masas laterales. • Se fractura el arco ant y post de C1. • Se rompe el anillo óseo en varios fragmentos. • RX: Las masas laterales se extienden más allá de los márgenes del cuerpo de C2.
  • 134.
    FX DE ODONTOIDES •Angulación anterior de la odontoides en la lateral. • Línea de Fx. • Aumento de partes blandas prevertebral.
  • 135.
  • 136.
    FX DE HANGMANO DEL AHORCADO • Hiperextensión y tracción. • Fx bilateral de los elementos posteriores de C2. • Avulsiónde la esquina antero- inferior de C2 • Desplaza ant el cuerpo de C2 respecto a C3. • Aumento de tej. prevertebrales. • Fx inestable y grave. • No suelen tener daño neurológico. • Evoluciona bien.
  • 138.
    SUBLUXACIÓN ANTERIOR • Flexión. •Rotura del complejo ligamentoso posterior. • Perdida de la lordosis normal. • Desplazamiento anterior de cuerpo vertebral • Ûespacio interespinosas. • Inicialmenteestable por contractura muscular pero se asocia con inestabilidadretardada.20-50%.
  • 141.
    LUXACIÓN INTERFACETARIABILATERAL. • Flexión. •Rotura del complejo lig. posterior y del anterior frecuentemente. • Las art. interapofisarias se luxan. • Las art. interapofisarias de la vertebra sup. son anteriores a la de la inferior. • Desplazamiento anterior del cuerpo vertebral.
  • 142.
    BILATERAL (inestable) • Serompe el complejo lig ant y post.
  • 143.
    FX DE COLUMNA DORSOLUMBAR Dr.David Caldevilla Bernardo Médico Radiólogo Hospital General de Almansa
  • 144.
  • 145.
    ANATOMÍA LUMBAR Cuerpo Pedículo A. transversa Carillaarticular inferior Carilla articular superior A. espinosa
  • 146.
    ANATOMÍA LUMBAR • Losc. Vertebrales › de altura caudalmente. • Los espacios discales también hasta L5-S1 que es < que L4-L5. • Alineación . • Márgenes. • No olvidar: Pedículos, espinosas y sacro. Costillas. • Lesiones similares en dorsal y en lumbar. • La mayoría 2/3 desde D12 –L2.
  • 147.
  • 148.
    FX DORSOLUMBARES • 75%.Fx flexión-compresión axial • Estables • Múltiple Fx en distintos niveles, se asocian a FX con estallido en un 50% • Perdida de altura sólo, no se puede distinguir Fx aguda ó crónica
  • 149.
    FX DORSOLUMBARES (CONT) •Acuñamiento ó depresión del platillo superior del cuerpo vertebral +/- rotura de la línea post. • Elementos posteriores están intactos • Puede haber fragmentos óseos en el canal raquídeo • Indicado el TC para valorar el canal pq hay deficit neurológico en un 65%
  • 151.
    FX -LUXACIÓN • Flexión-compresiónaxial y rotación.20% • Más fr. en D12-L1 • Fx de cuerpo vertebral y elementos posteriores • Desplazamiento ant de cuerpo vertebral • Inestables.Lesión neurológica
  • 152.
    TRAUMATISMO POR CINTURÓNDE SEGURIDAD. • Hiperflexión. àFx horizontal • Fx lumbares altas. L1-L2 • Rotura elementosposterioresy ligamentos y compresión anterior del cuerpo vertebral • FX de SMITH: Fx parte post cuerpo vertebral • Fx de CHANCE: Fx horizontal : ap. espinosa, pedículosy cuerpo vertebral
  • 153.
    FX APÓFISIS TRANSVERSAS •Frecuentesy múltiples • Las de L5 se asocian a Fx de pelvis •FX ELEMENTOS POSTERIORES • Raras • Hiperextensión
  • 154.
    ESPONDILOLISIS • Defecto óseode la parte interauricular • Congénita, postraumática?? • Atletas jóvenesen L5 • Incidental, sin significación clínica? • Signo del “Collar de perro”
  • 155.