Fracturas
“Una fractura es la perdida de la
continuidad normal del tejido óseo. Es
a consecuencia de golpes, fuerzas o
tracciones cuyas intensidades superen
la elasticidad del hueso.”
Clasificación de las fracturas
• Etiología
• Exposición

• Ubicación en el hueso
• Localización en el cuerpo humano

• Gravedad
Etiología
• Patológicas
• Traumáticas

• Por fatiga de marcha o estrés
• Obstétricas
Exposición
• Cerrada
• Abierta / Expuesta
Ubicación en el hueso
• Epifisaria
• Metafisaria

• Diafisaria

METAFISIS
Localización en el cuerpo
• Craneal
• Vertebral

• Clavicular
• Humeral

•…
Gravedad
• Fisura / Fractura de trozo capilar
• Con desplazamiento

• Incompleta
Fracturas del Miembro Superior
Clavícula
Omóplato
Fracturas Proximales del húmero
•Fx de troquiter
•Fx de troquin
•Fx infratuberosas
Fractura de troquiter
• Fx desplazada altera la función en cuanto a
movilidad activa y pasiva.
• Activa: se lesiona el manguito rotador
• Pasiva: limitación de los arcos de movilidad.
Fractura de troquin
• Produce desprendimiento de la inserción del
subescapular.
• Dessplazada afecta labio externo de la corredera
bicipital.
• Dx, rx ap y lateral.
Fracturas de eje medio del húmero

• No afectan la articulación o la región
metafisiaria proximal y distal
• Fracturas por encima de la inserción del pectoral
mayor : Abducción y rotación externa del
húmero proximal
• Fracturas por debajo del pectoral mayor y
debajo del deltoides.: Aducción del fragmento
proximal y desplazamiento lateral y proximal
por acción del deltoides.
Clasificación de fractura humeral
•
•
•
•
•
•
•

Abiertas
Cerradas
Transversales
Oblicuas
Espirales
Segmentarias
Conminutas
Mecanismos de lesión
•
•
•
•

Traumatismo directo
Fuerza de torsión
Caída sobre el brazo
Traumatismo penetrante
Objetivos del tratamiento
• Ortopédicos: alineamiento y estabilidad
• Reabilitación: Amplitud del movimiento,
fuerza muscular y objetivos musculares.
• Tiempo previsto para la consolidación
ósea: 8. 12 semanas
• Duración prevista para la consolidación
ósea: 12- 16 semanas
Objetivos ortopédicos
• Alineamiento

• Estabilidad
Objetivo de rehabilitación
• Amplitud de movimiento
•
•
•
•
•
•

Fuerza muscular: intentar alcanzar la fueza 5/5:
Pectoral mayor: aductor del hombro
Deltoide: flexor, extensor y aductor del hombro
Bíceps: flexor del codo y flexor del hombro
Tríceps: extensor del codo
Métodos de tratamiento
• Se basarán sistema de distribución de carga o
sistema de protección de carga
• Inmovilización con férula
• Vendaje funcional
• Clavo / vástago intramedular
• Placa de fijación
• Fijador externo
Inmovilización con férula
• Biomecánica: distribución utiliza fuerza de los
tejidos y la integridad de las partes blandas
• Forma de consolidación ósea: secundaria.
• Indicaciones: Antes del fortalecimiento
funcional
Aplicación de férula o tablilla
Vendaje funcional
• Biomecánicos : D.C, utiliza fuerzas tisulares
hidráulicas que mantienen alineación
• Forma de consolidación: secundaria.
• Indicacíones: Fracturas cerradas.
Clavo /vástago intramedular
• Es un sistema de protección de cargas.
• Consolidación: Forma callo óseo.
• Indicaciones: Clavo intramedular.
Complicaciones
• Lesión nerviosa:Parálisis del nervio radial da
caída de la muñeca y parálisis de los extensores
metacarpofalángicos.
• Falta de unión: se recurre a injerto óseo y la
fijación interna.
Consideraciones especiales de fractura
• Fx Abiertas: Fijación externa
• Fx. Patológicas: Vástago intramedular.
• Pacientes politraumatizados: vástago y
placa( permite carga de peso de 4-6 semanas)
• Rigidez articular: Vendaje funcional y la
intervención quirúrgica.
Fracturas distales del húmero
• Afectan a las metáfisis pueden o no extenderse a
la superficie articular.
Fracturas intraarticulares
 Columna simple: Cóndilo medial y
lateral
 Dos columnas: Intercondíliea en T y Y
Fracturas extraarticulares
• Extracapsular: Supracondílea y la epicondílea
medial y lateral
• flexión: desplazamiento anterior del extremo
distal y de la art. Del codo
• Extensión: Desplazamiento posterior de la
parte distal del húmero.
• Intracapsular: transcondílea.
Fractura de epitróclea
Mecanismo de lesión
• Fx intraarticulares: compresión a través del
codo.
• Fx supracondílea y transcondílea : Caída
sobre el brazo recto o traumatismo en codo.
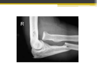
Fractura supracondílea
• Radiología: Proyección lateral del codo
inclinado y desviado hacia atrás.
•
• Estrés en valgo
• Traumatismo directo
• Tratamiento ortopédico
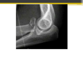
Fractura de epicóndilo
• Estrés en varo
• Traumatismo directo
• Tratamiento: ortopédico y qx.
Fracturas Intraarticulares
Fracturas en T o Y
• Mediana edad
• Fuerza axial
• Traumatismo directo en codo flexionado en 90
grados.
Clasificación Ao
• Tipo I: Fx bicondílea sin conminución
• Tipo II: Fx bicondílea con conminución
articular
• Tipo III: Fx bicondílea con conminución
articular y en columnas óseas supracondíleas.
FRACTURAS DE LA FISIS RADIAL
PROXIMAL Y EL CUELLO DEL RADIO
INCIDENCIA
Lámina epifisaria proximal 5% de todas las lesiones de fisis
4.5-10% de las de codo
En promedio se producen a los 10 -13 años de edad

MECANISMO DE LA
LESIÓN
CLASIFICACIÓN.
Por
luxación
el codo

Lesión
en valgo
Con base en
su
mecanismo
de lesión.

Desplazamiento de la cabeza radial
DIAGNÓSTICO
Radiografías del extremo proximal del radio anteroposterior y lateromedial

Siempre buscar otras
fracturas→ de
epitróclea, olecranon
o proximal del cubito.
Reducción
cerrada
Inmovilizació
n

DESPLAZAMIENTO
MODERADO

SIN
DESPLAZAMIENTO O
CON MINIMO
DESPLAZAMIENTO

Reducción
abierta

MUY DESPLAZADAS.

TRATAMIENTO
FRACTURAS DE OLECRANON
VIOLENCIA
DIRECTA

VIOLENCIA
INDIRECTA

• caída sobre el
codo

• codo es
flexionado
súbitamente
contra el tríceps
que se opone
TRATAMIENTO → inmovilización del codo con
enyesado largo del brazo por 4-6 semanas.
TRATAMIENTO →
reducción abierta
reparación de tejidos
blandos y fijación con un
alambre
FRACTURA DE MONTEGGIA
CLASIFICACIÓN.
TIPO I O EN EXTENSIÓN.

85% de los casos

cabeza del radio
luxada hacia
delante con
angulación
palmar de la
diafisis del cúbito
TIPO II O POR FLEXIÓN.

10% de los casos.

Cabeza radial
luxada hacia atrás
con angulación
dorsal de la diáfisis
del cubito
fracturada.
Se produce con el codo en
flexión y el antebrazo en
pronación neutral o
supinación.
TIPO III

5% De los casos.

Se desconoce la
mecánica de la
patología

luxación de la cabeza radial
hacia afuera y fractura de la
diáfisis cubital
DIAGNÓSTICO

Codo inflamado, esquemótico y duele a la presión
La cabeza del radio se palpa anterior, posterior o externo
a su sitio normal.
Radiografías que incluyan codo y muñeca
anteroposteriores y laterales
Tipo I

TRATAMIENTO

Enyesado de 5-7 semanas.

Reducción cerrada.
Tipo II
Tipo III
Fractura mediodiafisaria aislada, por golpe. Se trata con yeso
Fx del tercio medio del cúbito con luxación (ant, post o lat.de la
cabeza radial
Fx del tercio distal del radio con luxación de articulación radiocubital
distal.
Se reduce el radio y se fija
con una placa.
Es importante reducción completa de Fx de antebrazo ya que
unión defectuosa conlleva a pérdida de supinación, pronación…






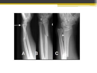
Fractura de la metáfisis distal del radio
A 3 ó 4 cm de superficie articular
Angulación volar de la punta de la fractura
Desplazamiento dorsal del fragmento distal
Puede o no incluir a estiloides cubital
 Caída sobre la mano en hiperextensión
Mantener la longitud radial

 De 6 a 8 semanas
En pacientes con poco desplazamiento o mínima conminución
En Fx conminutas, desplazadas o abiertas no subsidarias de
reducción cerrada ni fijación interna.
Usada en Fx con desplazamiento articular
Yeso postoperatorio según estabilidad
Fracturas de carpo y mano
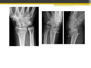
Fracturas del escafoides
• Es la fractura más
frecuente del carpo con
un 60-70%.
• Estables e inestables
• Durante una caida con la
mano en flexion dorsal.
• Puede ser invisible los
primeros dias.
• Paciente post-traumatismo con dolor a la presion en la region.
• 2 semanas despues se pide radiologia AP, lateeral y oblicua.
Clinica
• Dolor y pérdida de la potencia de presa de la mano.
• A la palpación aparece dolor al presionar sobre la
tabaquera anatómica y ligera tumefacción.
• A la Percusion sobre la cabeza del tercer
metacarpiano es dolorosa cuando la muñeca se
coloca en inclinación radial(signo de Hirsch).
Tratamiento
• Desplazamiento poco frecuente, si existe,
reducirlo.
• Yeso tipo Böhler.
• Se inmoviliza la muñeca en posicion de
“sostener un vaso”
• Se retira el yeso 6 semanas despues y se
toma otra radiografia.
• Si a las 18 sem no se consolida se da tx qx
con injerto oseo
Para fracturas desplazadas:
Complicaciones
•
•
•
•

Necrosis avascular.
Falta de union precoz.(bordes esclerosados)
Seudoartrosis antigua.
atrosis
Fracturas metacarpianas
• Estables o inestables.
• Fractura a la altura de la
base, de la diafisis o del
cuello.
Fractura de Bennett

• Fractura intraarticular con dos
fragmentos en la base del
metacarpiano del pulgar.
• Articulación trapeciometacarpiana

Fractura de
Rolando

• Fractura intraarticular con tres
fragmentos.
• Base del primer metacarpiano
• Dificil de reducir.

Fractura inversa de
Rolando

• Fractura intraarticular con tres
fragmentos.
• Base del quinto metacarpiano.
Bennett
Rolando
Fractura del Boxeador
• Cuello del quinto metacarpiano
Tratamiento
• Ferula de diafisis: 6 sem.
El resto 3-4 sem

• Reduccion cerrada y
agujas percutaneas 3-4
sem.
• Reduccion abierta y
fijacion interna. Férula 1
o 2 sem.

• 4-6 semanas para la
consolidacion osea.
Fracturas de falanges
• Traumatismo directo.

Articulares

Por avulsion +
lig.colateral.
diafisiarias

Extraarticulare
s

Diafisiarias o
afectan al
cuello de la
falange
• Fractura de dedo en
martillo: Tendon extesor
lesionado
• Deformidad de boutonniere:
Rotura del mecanismo
extensor o una fractura por
avulsion dorsal en la base de
la falange media
Fractura del esquiador o dedo del
guardabosques
• Trauma en abducción
forzada de la
articulación
metacarpofalángica del
pulgar, que produce
esguince del ligamento
colateral ulnar. En
algunos casos se asocia
con fractura de la base
del 1º metacarpiano.

Fracturas de miembro toracico todo