Fracturas Generalidades Dr. William Salazar Loconi Servicio de Radiología Hospital Naylamp - EsSalud Universidad  Nacional “Pedro Ruiz Gallo” Facultad de Medicina  Humana Departamento Académico de Ciencias Clínicas
Definición Se llama fractura a la rotura  o pérdida de la solución de continuidad  de un hueso . Luxación. Desplazamiento local y permanente de los extremos óseos de una articulación, que origina perdida de contacto entre los mismos. Esguince. Distensión o rotura completa/incompleta de un ligamento o conjunto de estos, en tres grados I, II y III.
 
 
Mecanismo Tensión. Las fracturas son transversales. Rotación. Espirales. Compresión. Característicamente oblicuas. Angulación. Transversas. Angulación más compresión. Genera fractura de dos componentes: transversal y oblicuo (45º). Conminuta. Con múltiples líneas de fracturas.
 
 
Formas de Presentación FORMAS DE PRESENTACIÓN Tipos Configuración Posición fragmentaria Localización Tercio Proximal Medio Inferior Intra artic. Epifisiaria Diafisiaria Infancia Aposición Buena, acabalgamiento, distracción En tallo verde En “torus” En tubo de plomo Por curvamiento Diafisiarias Epifisiarias Cerrada y abierta Incompleta Conminuta Impactada Avulsión Oblicuas Espiral Vertical Transversas
 
 
 
 
 
 
Tipos Fractura acorde. Causada por traumatismo brusco en un hueso sano. Fractura de stress. Debido a stress repetitivo sobre la zona (de fatiga o de marcha). Causas. Atletas (pubis, tibia). Bailarinas de ballet (tibia, tercio medio). Tosedor crónico (costillas bajas). Golfista (costilla). Cargador de bultos (primera costilla). Corredor de larga distancia (peroné distal, tibia). Fractura de marcha (metatarsianos). Paracaidista (peroné proximal). Trabajador de pala (apófisis espinosas cervicodorsales).
Tipos Fractura patológica.  Causa local (carcinoma metastásico), suelen ocurrir a nivel de los cuerpos vertebrales, 1/3 proximal del fémur y ½ proximal del húmero.  Causa generalizada (osteoporosis senil), con afectación fundamental en los cuerpos vertebrales dorsales y lumbares, así como el cuello del fémur. Enfermedad local. Tumores benignos. Encondroma. Tumores  malignos. Ca. Metastásico. Infección. Osteomielitis. Otros. Quiste simple. Displasia fibrosa. Granuloma eosinófilo. Lesiones difusas. Congénitas. Ostg. Imp. Adquiridas. Varios.
Cuadro clínico Dolor Impotencia funcional Deformidad Crepitación Movilidad anormal
Cuadro Comparativo Chasquido (ruido producido por roce de los fragmentos óseos) CREPITACION Amorotamiento o enrojecimiento de la zona lesionada. ENROJECIMIENTO Relativo al tipo de desgarro. En el sitio de la lesión producida por la acumulación de líquidos (plasma) como respuesta a trauma. INFLAMACION Gran incapacidad. Relativo al grado de esguince. Imposibilidad de movimiento Incapacidad de  movimiento. IMPOTENCIA FUNCIONAL Dolor súbito con sensación de tirón. Localizado en la articulación, aumenta al tacto. Localizado en la articulación, aumenta con el movimiento y la inflamación. Localizado en la zona lesionada que aumenta con el movimiento DOLOR DESGARROS ESGUINCES LUXACIONES FRACTURAS
Estudio radiológico Ninguna zona de sospecha de fractura debe tener menos de dos proyecciones con 90º entre sí. En los huesos largos (pareja en extremidades), se deben incluir ambos en su totalidad. En fracturas de extremidades son a veces necesarias proyecciones del lado normal (niños).
Estudio radiológico El mecanismo de dolor referido puede equivocar en cuanto a la situación de la fractura, de importancia en lesiones de cadera y rodilla. Las proyecciones tangenciales son importantes en algunos huesos (planos). Deben incluirse las articulaciones más próximas a la fractura. En fracturas articulares, el estudio deberá incluir radiografías en AP, L, y ambas oblicuas, para detectar posibles fracturas verticales que pueden afectar a la superficie articular.
10% NORMAL Valoración clínica No hay deformidad palpable Domicilio Deformidad palpable o herida penetrante Cráneo simple TAC, si la fx cruza ramas de la meníngea media Sospecha Fx base Estudio simple proyecciones para base TAC Examen neurológico anormal Sospecha de lesión 60% Agresiones 17% Acc. Autom Otras
                                                                                                                                                      
I. Pasa a través de la porción media del maxilar superior II. Piramidal, cruza al etmoides oblicuamente. III. Supracigomatica, comienza en la zona nasal con extension al etmoides.
De importancia por el daño neurológico que pueden causar Fx estables Fx inestables
 
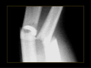
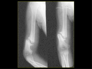
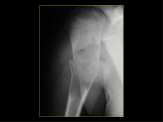
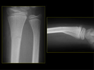
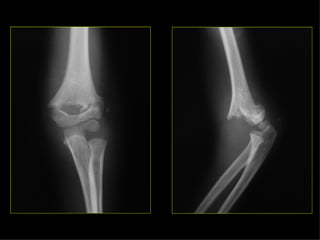
HOMBRO BRAZO CODO ANTEBRAZO MUÑECA MANO Monteggia Colles Fx escafoides
 
 
 
 
 
 
 
 
ESTABLES INESTABLES Fx Malgaigne En libro abierto En asa de cubo En horcajadas Fx por avulsión Del ala iliaca Del sacro Fx aisladas de las ramas pélvicas
 
                                                                                              
 
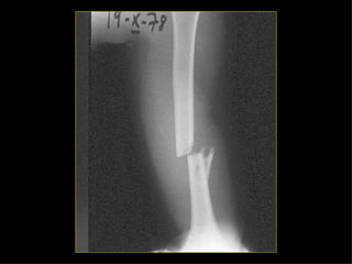
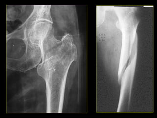
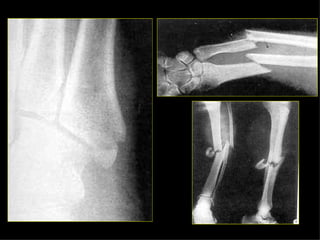
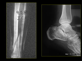
CADERA FEMUR RODILLA PIERNA TOBILLO PIE Eversión Inversión
 
 
 
 
 
Curación de la fractura Formación del callo. Fase inflamatoria. Producción de hematoma que se coagula y a las 18 a 20 hs de la lesión el periostio prolifera. Fase reparativa. El coágulo se reorganiza, prolifera tejido celular osteogénico (periostio y endostio). Finalmente aparece el callo primario. Fase de remodelación. Recomposición de la arqutitectura que se ajusta a las líneas de stress del hueso.
Factores que influyen en el ritmo de reparación Edad. Grado de traumatismo local. Vascularización de los fragmentos fracturarios. Separación de los fragmentos. Separación de los fragmentos. Situación intra articular de la fractura. Infección.
Curación de las fracturas. A la izquierda, callo fibroso: tejido   granulatorio, sangre (puntos negros) y material necrótico (óvalos negros). A la derecha, callo óseo (interno) y cartilaginoso (externo), ambos transitorios.                                                        
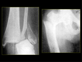
Complicaciones De la propia fractura. Unión retrasada. No unión. Mala unión. Necrosis aséptica. Acortamiento. Infección. Asociadas. Lesión vascular. Contractura isquémica de Volkman. Gangrena gaseosa. Enf. Tromboembólica Embolismo graso
 
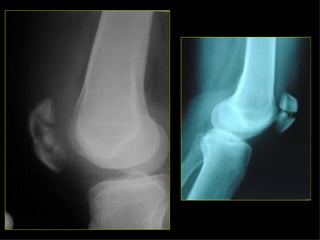
Complicaciones Tardias Atrofia de Sudeck. Miositis osificante. Artrosis. Sinostosis.
Gracias

Generalidades de la FRACTURAS

  • 1.
    Fracturas Generalidades Dr.William Salazar Loconi Servicio de Radiología Hospital Naylamp - EsSalud Universidad Nacional “Pedro Ruiz Gallo” Facultad de Medicina Humana Departamento Académico de Ciencias Clínicas
  • 2.
    Definición Se llamafractura a la rotura o pérdida de la solución de continuidad de un hueso . Luxación. Desplazamiento local y permanente de los extremos óseos de una articulación, que origina perdida de contacto entre los mismos. Esguince. Distensión o rotura completa/incompleta de un ligamento o conjunto de estos, en tres grados I, II y III.
  • 3.
  • 4.
  • 5.
    Mecanismo Tensión. Lasfracturas son transversales. Rotación. Espirales. Compresión. Característicamente oblicuas. Angulación. Transversas. Angulación más compresión. Genera fractura de dos componentes: transversal y oblicuo (45º). Conminuta. Con múltiples líneas de fracturas.
  • 6.
  • 7.
  • 8.
    Formas de PresentaciónFORMAS DE PRESENTACIÓN Tipos Configuración Posición fragmentaria Localización Tercio Proximal Medio Inferior Intra artic. Epifisiaria Diafisiaria Infancia Aposición Buena, acabalgamiento, distracción En tallo verde En “torus” En tubo de plomo Por curvamiento Diafisiarias Epifisiarias Cerrada y abierta Incompleta Conminuta Impactada Avulsión Oblicuas Espiral Vertical Transversas
  • 9.
  • 10.
  • 11.
  • 12.
  • 13.
  • 14.
  • 15.
    Tipos Fractura acorde.Causada por traumatismo brusco en un hueso sano. Fractura de stress. Debido a stress repetitivo sobre la zona (de fatiga o de marcha). Causas. Atletas (pubis, tibia). Bailarinas de ballet (tibia, tercio medio). Tosedor crónico (costillas bajas). Golfista (costilla). Cargador de bultos (primera costilla). Corredor de larga distancia (peroné distal, tibia). Fractura de marcha (metatarsianos). Paracaidista (peroné proximal). Trabajador de pala (apófisis espinosas cervicodorsales).
  • 16.
    Tipos Fractura patológica. Causa local (carcinoma metastásico), suelen ocurrir a nivel de los cuerpos vertebrales, 1/3 proximal del fémur y ½ proximal del húmero. Causa generalizada (osteoporosis senil), con afectación fundamental en los cuerpos vertebrales dorsales y lumbares, así como el cuello del fémur. Enfermedad local. Tumores benignos. Encondroma. Tumores malignos. Ca. Metastásico. Infección. Osteomielitis. Otros. Quiste simple. Displasia fibrosa. Granuloma eosinófilo. Lesiones difusas. Congénitas. Ostg. Imp. Adquiridas. Varios.
  • 17.
    Cuadro clínico DolorImpotencia funcional Deformidad Crepitación Movilidad anormal
  • 18.
    Cuadro Comparativo Chasquido(ruido producido por roce de los fragmentos óseos) CREPITACION Amorotamiento o enrojecimiento de la zona lesionada. ENROJECIMIENTO Relativo al tipo de desgarro. En el sitio de la lesión producida por la acumulación de líquidos (plasma) como respuesta a trauma. INFLAMACION Gran incapacidad. Relativo al grado de esguince. Imposibilidad de movimiento Incapacidad de movimiento. IMPOTENCIA FUNCIONAL Dolor súbito con sensación de tirón. Localizado en la articulación, aumenta al tacto. Localizado en la articulación, aumenta con el movimiento y la inflamación. Localizado en la zona lesionada que aumenta con el movimiento DOLOR DESGARROS ESGUINCES LUXACIONES FRACTURAS
  • 19.
    Estudio radiológico Ningunazona de sospecha de fractura debe tener menos de dos proyecciones con 90º entre sí. En los huesos largos (pareja en extremidades), se deben incluir ambos en su totalidad. En fracturas de extremidades son a veces necesarias proyecciones del lado normal (niños).
  • 20.
    Estudio radiológico Elmecanismo de dolor referido puede equivocar en cuanto a la situación de la fractura, de importancia en lesiones de cadera y rodilla. Las proyecciones tangenciales son importantes en algunos huesos (planos). Deben incluirse las articulaciones más próximas a la fractura. En fracturas articulares, el estudio deberá incluir radiografías en AP, L, y ambas oblicuas, para detectar posibles fracturas verticales que pueden afectar a la superficie articular.
  • 21.
    10% NORMAL Valoraciónclínica No hay deformidad palpable Domicilio Deformidad palpable o herida penetrante Cráneo simple TAC, si la fx cruza ramas de la meníngea media Sospecha Fx base Estudio simple proyecciones para base TAC Examen neurológico anormal Sospecha de lesión 60% Agresiones 17% Acc. Autom Otras
  • 22.
  • 23.
    I. Pasa através de la porción media del maxilar superior II. Piramidal, cruza al etmoides oblicuamente. III. Supracigomatica, comienza en la zona nasal con extension al etmoides.
  • 24.
    De importancia porel daño neurológico que pueden causar Fx estables Fx inestables
  • 25.
  • 26.
    HOMBRO BRAZO CODOANTEBRAZO MUÑECA MANO Monteggia Colles Fx escafoides
  • 27.
  • 28.
  • 29.
  • 30.
  • 31.
  • 32.
  • 33.
  • 34.
  • 35.
    ESTABLES INESTABLES FxMalgaigne En libro abierto En asa de cubo En horcajadas Fx por avulsión Del ala iliaca Del sacro Fx aisladas de las ramas pélvicas
  • 36.
  • 37.
  • 38.
  • 39.
    CADERA FEMUR RODILLAPIERNA TOBILLO PIE Eversión Inversión
  • 40.
  • 41.
  • 42.
  • 43.
  • 44.
  • 45.
    Curación de lafractura Formación del callo. Fase inflamatoria. Producción de hematoma que se coagula y a las 18 a 20 hs de la lesión el periostio prolifera. Fase reparativa. El coágulo se reorganiza, prolifera tejido celular osteogénico (periostio y endostio). Finalmente aparece el callo primario. Fase de remodelación. Recomposición de la arqutitectura que se ajusta a las líneas de stress del hueso.
  • 46.
    Factores que influyenen el ritmo de reparación Edad. Grado de traumatismo local. Vascularización de los fragmentos fracturarios. Separación de los fragmentos. Separación de los fragmentos. Situación intra articular de la fractura. Infección.
  • 47.
    Curación de lasfracturas. A la izquierda, callo fibroso: tejido granulatorio, sangre (puntos negros) y material necrótico (óvalos negros). A la derecha, callo óseo (interno) y cartilaginoso (externo), ambos transitorios.                                                        
  • 48.
    Complicaciones De lapropia fractura. Unión retrasada. No unión. Mala unión. Necrosis aséptica. Acortamiento. Infección. Asociadas. Lesión vascular. Contractura isquémica de Volkman. Gangrena gaseosa. Enf. Tromboembólica Embolismo graso
  • 49.
  • 50.
    Complicaciones Tardias Atrofiade Sudeck. Miositis osificante. Artrosis. Sinostosis.
  • 51.