DR. DANIEL EDUARDO RIVAS CAMPOS
DR. DANIEL EDUARDO RIVAS CAMPOS
ZACATECAS, ZAC.
ZACATECAS, ZAC. CICLO 2007
CICLO 2007
UNIDAD DE MEDICINA HUMANA
UNIDAD DE MEDICINA HUMANA
Y CIENCIAS DE LA SALUD U.A.Z
Y CIENCIAS DE LA SALUD U.A.Z
FRACTURAS DE ANTEBRAZO
• Fractura de Montegia
• Fractura de Galeazzi
• Fractura Essex-Lopresti
• Fractura Nightstick
FRACTURAS DE MONTEGGIA
FRACTURAS DE MONTEGGIA
• Descrita por Monteggia en 1814
Descrita por Monteggia en 1814
• Desplazamiento de extremo proximal
Desplazamiento de extremo proximal
del radio asociado a la fractura de ulna.
del radio asociado a la fractura de ulna.
• No incluye las fracturas del Olécranon
No incluye las fracturas del Olécranon
• Mecanismo variado, la contusión directa o
Mecanismo variado, la contusión directa o
la caída con la mano extendida
la caída con la mano extendida
Fracturas de Monteggia
Fracturas de Monteggia
Caracteristas Radiológicas
Caracteristas Radiológicas
• El diagnóstico de fractura de ulna
El diagnóstico de fractura de ulna
usualmente No es difícil
usualmente No es difícil
• La luxación proximal de radio con
La luxación proximal de radio con
frecuencia se pasa por alto
frecuencia se pasa por alto
• La luxación de la cabeza de radio
La luxación de la cabeza de radio
comúnmente ocurre en la dirección de
comúnmente ocurre en la dirección de
la angulaciòn de la fractura de ulna
la angulaciòn de la fractura de ulna
Fracturas de Monteggia
Fracturas de Monteggia
Fractura de GALEAZZI
Fractura de GALEAZZI
• Descrito por Galeazzi en 1943
Descrito por Galeazzi en 1943
• También referido como lo inverso a la
También referido como lo inverso a la
Fractura de Monteggia
Fractura de Monteggia
• Fractura del radio con la luxación de
Fractura del radio con la luxación de
articulación radio-ulnar distal
articulación radio-ulnar distal
• Mecanismo variado, la contusión directa o
Mecanismo variado, la contusión directa o
la caída con la mano extendida
la caída con la mano extendida
Fractura de GALEAZZI
Fractura de GALEAZZI
Caracteristas Radiológicas
Caracteristas Radiológicas
• Al igual que la Fractura de Monteggia, la
Al igual que la Fractura de Monteggia, la
fractura no es de difícil Diagnóstico.
fractura no es de difícil Diagnóstico.
• La luxación de la articulación radio-ulnar
La luxación de la articulación radio-ulnar
distal NO es evidente.
distal NO es evidente.
• Observar la desproporción en la longitud
Observar la desproporción en la longitud
de los huesos, ensanchamiento de la
de los huesos, ensanchamiento de la
articulación, superponiéndose en AP, ò la
articulación, superponiéndose en AP, ò la
angulaciòn entre los dos huesos
angulaciòn entre los dos huesos
Fractura de GALEAZZI
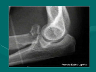
Fractura Essex-Lopresti
Fractura Essex-Lopresti
• Fractura conminuida de la cabeza
Fractura conminuida de la cabeza
radial asociada con subluxacion de la
radial asociada con subluxacion de la
articulacion radioulnar distal
articulacion radioulnar distal
• Usualmente asociado con la desviacion
Usualmente asociado con la desviacion
radial de la mano
radial de la mano
• En las fracturas conminutas
En las fracturas conminutas
de la cabeza de radio debe ser
de la cabeza de radio debe ser
indispensable una examen radiológico
indispensable una examen radiológico
de la muñeca
de la muñeca
Fractura Essex-Lopresti
Fractura Essex-Lopresti
Fractura Essex-Lopresti
Fractura Essex-Lopresti
Fractura del vigilante
Fractura del vigilante
( Nightstick )
( Nightstick )
• Fractura aislada de la diafisis de la
Fractura aislada de la diafisis de la
ulna
ulna
• Como resultado de un golpe directo
Como resultado de un golpe directo
sobre el antebrazo
sobre el antebrazo
• Ocurre cuando se trata de proteger
Ocurre cuando se trata de proteger
la cabeza del golpe por un objeto
la cabeza del golpe por un objeto
contundente
contundente
Fractura del vigilante
Fractura del vigilante
( Nightstick )
( Nightstick )
Características Radiográficas
Características Radiográficas:
:
• C
Comúnmente en tercio distal
omúnmente en tercio distal
• Usualmente transverso, puede tener
Usualmente transverso, puede tener
tercer fragmento en ala de mariposa
tercer fragmento en ala de mariposa
• Es común la luxación lateral segmento
Es común la luxación lateral segmento
proximal de radio
proximal de radio
Fractura del vigilante
Fractura del vigilante
Tratamiento de Fracturas de antebrazo
Tratamiento de Fracturas de antebrazo
• En los niños
En los niños es
es reducción
reducción cerrada e
cerrada e
inmovilización con yeso braquiopalmar
inmovilización con yeso braquiopalmar
• La inmovilización se mantiene por 4 a
La inmovilización se mantiene por 4 a
6 semanas según la edad del niño y
6 semanas según la edad del niño y
la evolución de la consolidación ósea.
la evolución de la consolidación ósea.
Tratamiento De Fracturas De Antebrazo
Tratamiento De Fracturas De Antebrazo
• En el adulto el tratamiento de elección es
En el adulto el tratamiento de elección es
quirúrgico.
quirúrgico.
• Las fracturas del antebrazo
Las fracturas del antebrazo se
se pueden
pueden
reducirse pero son difíciles de contener y no
reducirse pero son difíciles de contener y no
es raro que, lograda una reducción
es raro que, lograda una reducción
anatómica, ésta se DESPLACE aun dentro
anatómica, ésta se DESPLACE aun dentro
del yeso.
del yeso.
• L
La inmovilización prolongada puede llevar a
a inmovilización prolongada puede llevar a
RIGIDECES IRREVERSIBLES DEL CODO.
RIGIDECES IRREVERSIBLES DEL CODO.
• El RETARDO DE CONSOLIDACIÓN y la
El RETARDO DE CONSOLIDACIÓN y la
PSEUDOARTROSIS son también más
PSEUDOARTROSIS son también más
frecuentes en los tratamientos ortopédicos
frecuentes en los tratamientos ortopédicos
que en los quirúrgicos en el adulto
que en los quirúrgicos en el adulto.
.
COMPLICACIONES DE LAS FRACTURAS DEL
COMPLICACIONES DE LAS FRACTURAS DEL
ANTEBRAZO
ANTEBRAZO
• La más frecuente es la limitación de la
La más frecuente es la limitación de la
pronosupinación si no se ha logrado una
pronosupinación si no se ha logrado una
reducción anatómica.
reducción anatómica.
• La fractura expuesta.
La fractura expuesta.
• Síndrome compartamental.
Síndrome compartamental.
• Retardo de consolidación y pseudoartrosis.
Retardo de consolidación y pseudoartrosis.
• Callos viciosos y sinostosis radiocubital
Callos viciosos y sinostosis radiocubital
postraumática
postraumática con
con limitan gravemente
limitan gravemente de
de
la pronosupinación.
la pronosupinación.

FX_DE_ANTEBRAZO_2.ppt........... .. .mm .

  • 1.
    DR. DANIEL EDUARDORIVAS CAMPOS DR. DANIEL EDUARDO RIVAS CAMPOS ZACATECAS, ZAC. ZACATECAS, ZAC. CICLO 2007 CICLO 2007 UNIDAD DE MEDICINA HUMANA UNIDAD DE MEDICINA HUMANA Y CIENCIAS DE LA SALUD U.A.Z Y CIENCIAS DE LA SALUD U.A.Z
  • 2.
    FRACTURAS DE ANTEBRAZO •Fractura de Montegia • Fractura de Galeazzi • Fractura Essex-Lopresti • Fractura Nightstick
  • 3.
    FRACTURAS DE MONTEGGIA FRACTURASDE MONTEGGIA • Descrita por Monteggia en 1814 Descrita por Monteggia en 1814 • Desplazamiento de extremo proximal Desplazamiento de extremo proximal del radio asociado a la fractura de ulna. del radio asociado a la fractura de ulna. • No incluye las fracturas del Olécranon No incluye las fracturas del Olécranon • Mecanismo variado, la contusión directa o Mecanismo variado, la contusión directa o la caída con la mano extendida la caída con la mano extendida
  • 4.
    Fracturas de Monteggia Fracturasde Monteggia Caracteristas Radiológicas Caracteristas Radiológicas • El diagnóstico de fractura de ulna El diagnóstico de fractura de ulna usualmente No es difícil usualmente No es difícil • La luxación proximal de radio con La luxación proximal de radio con frecuencia se pasa por alto frecuencia se pasa por alto • La luxación de la cabeza de radio La luxación de la cabeza de radio comúnmente ocurre en la dirección de comúnmente ocurre en la dirección de la angulaciòn de la fractura de ulna la angulaciòn de la fractura de ulna
  • 5.
  • 6.
    Fractura de GALEAZZI Fracturade GALEAZZI • Descrito por Galeazzi en 1943 Descrito por Galeazzi en 1943 • También referido como lo inverso a la También referido como lo inverso a la Fractura de Monteggia Fractura de Monteggia • Fractura del radio con la luxación de Fractura del radio con la luxación de articulación radio-ulnar distal articulación radio-ulnar distal • Mecanismo variado, la contusión directa o Mecanismo variado, la contusión directa o la caída con la mano extendida la caída con la mano extendida
  • 7.
    Fractura de GALEAZZI Fracturade GALEAZZI Caracteristas Radiológicas Caracteristas Radiológicas • Al igual que la Fractura de Monteggia, la Al igual que la Fractura de Monteggia, la fractura no es de difícil Diagnóstico. fractura no es de difícil Diagnóstico. • La luxación de la articulación radio-ulnar La luxación de la articulación radio-ulnar distal NO es evidente. distal NO es evidente. • Observar la desproporción en la longitud Observar la desproporción en la longitud de los huesos, ensanchamiento de la de los huesos, ensanchamiento de la articulación, superponiéndose en AP, ò la articulación, superponiéndose en AP, ò la angulaciòn entre los dos huesos angulaciòn entre los dos huesos
  • 8.
  • 9.
    Fractura Essex-Lopresti Fractura Essex-Lopresti •Fractura conminuida de la cabeza Fractura conminuida de la cabeza radial asociada con subluxacion de la radial asociada con subluxacion de la articulacion radioulnar distal articulacion radioulnar distal • Usualmente asociado con la desviacion Usualmente asociado con la desviacion radial de la mano radial de la mano • En las fracturas conminutas En las fracturas conminutas de la cabeza de radio debe ser de la cabeza de radio debe ser indispensable una examen radiológico indispensable una examen radiológico de la muñeca de la muñeca
  • 10.
  • 11.
  • 12.
    Fractura del vigilante Fracturadel vigilante ( Nightstick ) ( Nightstick ) • Fractura aislada de la diafisis de la Fractura aislada de la diafisis de la ulna ulna • Como resultado de un golpe directo Como resultado de un golpe directo sobre el antebrazo sobre el antebrazo • Ocurre cuando se trata de proteger Ocurre cuando se trata de proteger la cabeza del golpe por un objeto la cabeza del golpe por un objeto contundente contundente
  • 13.
    Fractura del vigilante Fracturadel vigilante ( Nightstick ) ( Nightstick ) Características Radiográficas Características Radiográficas: : • C Comúnmente en tercio distal omúnmente en tercio distal • Usualmente transverso, puede tener Usualmente transverso, puede tener tercer fragmento en ala de mariposa tercer fragmento en ala de mariposa • Es común la luxación lateral segmento Es común la luxación lateral segmento proximal de radio proximal de radio
  • 14.
  • 15.
    Tratamiento de Fracturasde antebrazo Tratamiento de Fracturas de antebrazo • En los niños En los niños es es reducción reducción cerrada e cerrada e inmovilización con yeso braquiopalmar inmovilización con yeso braquiopalmar • La inmovilización se mantiene por 4 a La inmovilización se mantiene por 4 a 6 semanas según la edad del niño y 6 semanas según la edad del niño y la evolución de la consolidación ósea. la evolución de la consolidación ósea.
  • 16.
    Tratamiento De FracturasDe Antebrazo Tratamiento De Fracturas De Antebrazo • En el adulto el tratamiento de elección es En el adulto el tratamiento de elección es quirúrgico. quirúrgico. • Las fracturas del antebrazo Las fracturas del antebrazo se se pueden pueden reducirse pero son difíciles de contener y no reducirse pero son difíciles de contener y no es raro que, lograda una reducción es raro que, lograda una reducción anatómica, ésta se DESPLACE aun dentro anatómica, ésta se DESPLACE aun dentro del yeso. del yeso. • L La inmovilización prolongada puede llevar a a inmovilización prolongada puede llevar a RIGIDECES IRREVERSIBLES DEL CODO. RIGIDECES IRREVERSIBLES DEL CODO. • El RETARDO DE CONSOLIDACIÓN y la El RETARDO DE CONSOLIDACIÓN y la PSEUDOARTROSIS son también más PSEUDOARTROSIS son también más frecuentes en los tratamientos ortopédicos frecuentes en los tratamientos ortopédicos que en los quirúrgicos en el adulto que en los quirúrgicos en el adulto. .
  • 18.
    COMPLICACIONES DE LASFRACTURAS DEL COMPLICACIONES DE LAS FRACTURAS DEL ANTEBRAZO ANTEBRAZO • La más frecuente es la limitación de la La más frecuente es la limitación de la pronosupinación si no se ha logrado una pronosupinación si no se ha logrado una reducción anatómica. reducción anatómica. • La fractura expuesta. La fractura expuesta. • Síndrome compartamental. Síndrome compartamental. • Retardo de consolidación y pseudoartrosis. Retardo de consolidación y pseudoartrosis. • Callos viciosos y sinostosis radiocubital Callos viciosos y sinostosis radiocubital postraumática postraumática con con limitan gravemente limitan gravemente de de la pronosupinación. la pronosupinación.