FRACTURAS DE CODO Y ANTEBRAZO Dr. Rodrigo Marin Plaza Traumatologo  HCUM - Temuco   Hospital San Jose de Victoria
OBSTACULOS : ANATOMIA COMPLEJA FRACTURAS  INTRAARTICULARES FRACTURAS Y LESIONES ASOCIADAS TASA COMPLICACIONES SIGNIFICATIVA
A  FAVOR : *  DESARROLLO IMAGENOLOGIA *  MEJORIA  EN  TECNICA  Q / IMPLANTES *  MOVILIZACION  PRECOZ *  REHABILITACION TEMPRANA
ANATOMIA
 
 
NERVIO  INTEROSEO  POSTERIOR
Representa el 7% de todas la fx. Pronostico dependerá de: parte anatómica involucrada, grado de desplazamiento y tratamiento efectuado
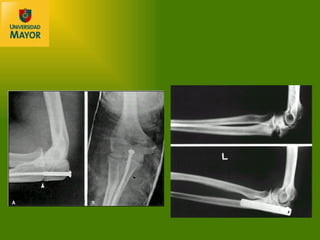
FRACTURAS DEL OLECRANON. Bastante común en codo  desconocen incidencia %?. Mecanismo: golpe directo o caída.
Clasificación: Intraarticulares.  Razgo transverso, sea simple o complejo. Razgo oblicuo Conminutas, que poseen lesiones asociadas como extensión a distal de la FX. o  lesión de la cúpula radial. Extraarticulares. Fx avulsivas de la punta del olecranon.
Clasificación: No desplazadas , manejo ortopédico con cabestrillo o yeso a 90° por 3 a 4 semanas. Desplazadas : deben diferenciarse en estables o no estables. Estables : con conminución menor al 60%, OTS de neutralización (Banda de tensión) y si hay mas del 60% de conminucion, se reseca y OTS con placa. Inestables :  no conminuta, OTS con placa Conminuta: neutralización y placa.
 
 
 
Complicaciones. Neuropraxia del cubital Perdida de movilidad Artrosis post traumática Pseudoartrtosis Inestabilidad.
Tratamiento  La mayoría de las veces Obenque ( alambres con amarra en 8)
 
FRACTURAS DE CÚPULA RADIAL 33% lesiones del codo presentan Fx cúpula. 2-5% todas las FX. 85% de las Fx de la cúpula ocurren entre 20 y 60 años.  Más común en mujeres 2:1
Mecanismo:   Por caídas con apoyo en la mano  pronada  y algo de flexión del codo, o por un estrés en valgo con lesión asociada del colateral medial.  Como mecanismo directo es más raro.
Clínica   dolor  aumento de volumen,  hemartrosis palpable en el triángulo externo formado entre el epicondilo, el olecranon y la cabeza radial  si hay dudas de Fx se puede puncionar y evaluar la presencia de glóbulos de grasa que certifica el Dg. de Fx
Clasificación: MASON  Tipo 1: no desplazada sea un segmento de la cúpula o en su base con el radio. Tipo 2 fragmento desplazado. Tipo 3 conminuta. Agregada después la Tipo 4: fx cabeza radial mas luxación del codo.
 
Extirpación fragmentos chicos. Resección completa de la cúpula. Reducción más OTS interna Prótesis, de regulares resultados. Tratamiento:
El 60 % de la carga por el codo pasa por la cúpula y esta a su vez es un importante estabilizador en valgo del codo.  Así la cupulectomia total se reserva para solo casos fuera de tratamiento.
Tipo 1: manejo ortopédico algunos lo puncionan con lidocaina y movilizan precozmente. Tipo 2 : si desplazamiento menor de 3-4 mm o superficie articular dañada es menor de 30% no se opera y las otras son Qx. OTS. Tipo 3: extirpación completa y prótesis sí esta disponible. Tratamiento:
Tipo 2 y 3 desplazada Bloqueo articular y fx desplazada. Grandes fragmentos Intraarticulares libres. Fx desplazada asociada a Fx olecranon, lesión lig colateral medial etc. Indicación Qx
Luxación del codo 10% Fx condilos Fx olecranon Fx coronoides. Lesión lig. Colateral medial. 5% lesión Essex-Lopresti: lesión radio cubital distal. Lesión de membrana interosea y fx cúpula radial. Lesiones asociadas:
En el adulto son producidas por traumatismos violentos, ya sea indirecto o directo. El estudio radiológico debe incluir ambas articulaciones vecinas. Tratamiento universal Restaurar anatom ía – espacio interóseo Fijación estable – movilización precoz FRACTURAS Y LUXOFRACTURAS DE ANTEBRAZO
Inicialmente se trataban con métodos cerrados, pero los malos resultados obligaron a buscar mejores alternativas  Los resultados cambiaron con los principios AO, con tasas de no unión menores a 5%. Actualmente las tasas de consolidación son de 97-98%.  FRACTURAS Y LUXOFRACTURAS DE ANTEBRAZO
CLASIFICACION: AO/ASIF Sólo describe tipo de rasgo y huesos comprometidos No considera grado de desplazamiento ni angulación No considera compromiso de partes blandas Engorroso (27 subtipos) – variabilidad interobservador FRACTURAS Y LUXOFRACTURAS DE ANTEBRAZO
A B C
EVALUACION CLINICA Frecuente escenario de lesiones múltiples Complicaciones sistémicas Complicaciones locales Evaluación clínica-radiológica de antebrazo, codo y muñeca
LESIONES LIGAMENTOSAS ASOCIADAS luxofractura de Galeazzi Fractura diafisiaria radio o antebrazo asociada a luxación radioulnar distal Signos radiográficos de compromiso RUD: Fractura base estiloides ulnar Aumento espacio articular en AP Incongruencia radioulnar en lateral Acortamiento radial  >5 mm
LESIONES LIGAMENTOSAS ASOCIADAS luxofractura de Monteggia Considerar lesiones equivalentes a las clásicas de Bado: Luxación anterior cabeza radial  + fractura diafisiaria ulnar angulada a anterior. Equivalente: fractura diafisiaria ulnar  + fractura c úpula o cuello radial Luxación posterior o posterolateral cabeza radial  + fractura diafisiaria ulnar angulada a posterior. Equivalente: luxaci ón posterior de codo  + fractura diafisiaria ulnar + fractura cúpula o cuello radial Luxación lateral o anterolateral cabeza radial  + fractura metafisiaria ulnar proximal Luxación anterior cabeza radial + fractura diafisiaria tercio proximal antebrazo
Signos radiológicos de congruencia RUP: Línea axial por diáfisis radial y cabeza, debe alinearse con capitellum en ambas proyecciones Doble línea cabeza radial en proyección lateral, con antebrazo supinado
TRATAMIENTO ortop édico Sólo reservado para ulna aislada, bajo las siguientes condiciones: Dos tercios distales Descartar lesión ligamentosa asociada Angulación no mayor a 10° Desplazamiento  <50% Uso de brace funcional No requiere maniobras de reducción
TRATAMIENTO ortop édico Radio aislado: Considerar sólo en fracturas por arma de fuego, en que hay ausencia de angulación, desplazamiento y lesiones ligamentosas asociadas. Lenihan MR et al. JOT, 1992
TRATAMIENTO quirúrgico AO/ASIF: placa compresiva DCP Gold standard: cerradas y expuestas tipo I, II, IIIA Consolidación  >96% Satisfacci ón  > 85% Infecci ón  <3% Anderson LD et al. JBJS-A, 1975 Chapman MW et al. JBJS-A, 1989 Moed BR et al. JBJS-A, 1986
TRATAMIENTO luxofracturas Requieren reducci ón anatómica de fractura (AO/ASIF) para adecuada reducción articular En la mayoría se logra reducción indirecta estable, permitiendo movilización precoz Irreductibilidad o inestabilidad, muchas veces se debe a falta de reducción anatómica En caso contrario: reducción articular abierta Inestabilidad ARUD residual: inmovilización en supinación por 6 semanas. Rara vez se requieren agujas Reckling FW. JBJS-A, 1982 Strehle J et al.CORR,1993 Grace TG et al. JBJS-A,1980
COMPLICACIONES sinostosis radioulnar Incidencia: 3% (0-11) Factores de riesgo: Fractura de ambos huesos al mismo nivel Trauma de alta energía TEC Infección Ambos huesos por el mismo abordaje (Boyd) Cirugía  >2 ° semana Injerto óseo cerca de membrana interósea Tornillos que protruyan hacia la misma
FIN

Fracturas de codo y antebrazo

  • 1.
    FRACTURAS DE CODOY ANTEBRAZO Dr. Rodrigo Marin Plaza Traumatologo HCUM - Temuco Hospital San Jose de Victoria
  • 2.
    OBSTACULOS : ANATOMIACOMPLEJA FRACTURAS INTRAARTICULARES FRACTURAS Y LESIONES ASOCIADAS TASA COMPLICACIONES SIGNIFICATIVA
  • 3.
    A FAVOR: * DESARROLLO IMAGENOLOGIA * MEJORIA EN TECNICA Q / IMPLANTES * MOVILIZACION PRECOZ * REHABILITACION TEMPRANA
  • 4.
  • 5.
  • 6.
  • 7.
    NERVIO INTEROSEO POSTERIOR
  • 8.
    Representa el 7%de todas la fx. Pronostico dependerá de: parte anatómica involucrada, grado de desplazamiento y tratamiento efectuado
  • 9.
    FRACTURAS DEL OLECRANON.Bastante común en codo desconocen incidencia %?. Mecanismo: golpe directo o caída.
  • 10.
    Clasificación: Intraarticulares. Razgo transverso, sea simple o complejo. Razgo oblicuo Conminutas, que poseen lesiones asociadas como extensión a distal de la FX. o lesión de la cúpula radial. Extraarticulares. Fx avulsivas de la punta del olecranon.
  • 11.
    Clasificación: No desplazadas, manejo ortopédico con cabestrillo o yeso a 90° por 3 a 4 semanas. Desplazadas : deben diferenciarse en estables o no estables. Estables : con conminución menor al 60%, OTS de neutralización (Banda de tensión) y si hay mas del 60% de conminucion, se reseca y OTS con placa. Inestables : no conminuta, OTS con placa Conminuta: neutralización y placa.
  • 12.
  • 13.
  • 14.
  • 15.
    Complicaciones. Neuropraxia delcubital Perdida de movilidad Artrosis post traumática Pseudoartrtosis Inestabilidad.
  • 16.
    Tratamiento Lamayoría de las veces Obenque ( alambres con amarra en 8)
  • 17.
  • 18.
    FRACTURAS DE CÚPULARADIAL 33% lesiones del codo presentan Fx cúpula. 2-5% todas las FX. 85% de las Fx de la cúpula ocurren entre 20 y 60 años. Más común en mujeres 2:1
  • 19.
    Mecanismo: Por caídas con apoyo en la mano pronada y algo de flexión del codo, o por un estrés en valgo con lesión asociada del colateral medial. Como mecanismo directo es más raro.
  • 20.
    Clínica dolor aumento de volumen, hemartrosis palpable en el triángulo externo formado entre el epicondilo, el olecranon y la cabeza radial si hay dudas de Fx se puede puncionar y evaluar la presencia de glóbulos de grasa que certifica el Dg. de Fx
  • 21.
    Clasificación: MASON Tipo 1: no desplazada sea un segmento de la cúpula o en su base con el radio. Tipo 2 fragmento desplazado. Tipo 3 conminuta. Agregada después la Tipo 4: fx cabeza radial mas luxación del codo.
  • 22.
  • 23.
    Extirpación fragmentos chicos.Resección completa de la cúpula. Reducción más OTS interna Prótesis, de regulares resultados. Tratamiento:
  • 24.
    El 60 %de la carga por el codo pasa por la cúpula y esta a su vez es un importante estabilizador en valgo del codo. Así la cupulectomia total se reserva para solo casos fuera de tratamiento.
  • 25.
    Tipo 1: manejoortopédico algunos lo puncionan con lidocaina y movilizan precozmente. Tipo 2 : si desplazamiento menor de 3-4 mm o superficie articular dañada es menor de 30% no se opera y las otras son Qx. OTS. Tipo 3: extirpación completa y prótesis sí esta disponible. Tratamiento:
  • 26.
    Tipo 2 y3 desplazada Bloqueo articular y fx desplazada. Grandes fragmentos Intraarticulares libres. Fx desplazada asociada a Fx olecranon, lesión lig colateral medial etc. Indicación Qx
  • 27.
    Luxación del codo10% Fx condilos Fx olecranon Fx coronoides. Lesión lig. Colateral medial. 5% lesión Essex-Lopresti: lesión radio cubital distal. Lesión de membrana interosea y fx cúpula radial. Lesiones asociadas:
  • 28.
    En el adultoson producidas por traumatismos violentos, ya sea indirecto o directo. El estudio radiológico debe incluir ambas articulaciones vecinas. Tratamiento universal Restaurar anatom ía – espacio interóseo Fijación estable – movilización precoz FRACTURAS Y LUXOFRACTURAS DE ANTEBRAZO
  • 29.
    Inicialmente se tratabancon métodos cerrados, pero los malos resultados obligaron a buscar mejores alternativas Los resultados cambiaron con los principios AO, con tasas de no unión menores a 5%. Actualmente las tasas de consolidación son de 97-98%. FRACTURAS Y LUXOFRACTURAS DE ANTEBRAZO
  • 30.
    CLASIFICACION: AO/ASIF Sólodescribe tipo de rasgo y huesos comprometidos No considera grado de desplazamiento ni angulación No considera compromiso de partes blandas Engorroso (27 subtipos) – variabilidad interobservador FRACTURAS Y LUXOFRACTURAS DE ANTEBRAZO
  • 31.
  • 32.
    EVALUACION CLINICA Frecuenteescenario de lesiones múltiples Complicaciones sistémicas Complicaciones locales Evaluación clínica-radiológica de antebrazo, codo y muñeca
  • 33.
    LESIONES LIGAMENTOSAS ASOCIADASluxofractura de Galeazzi Fractura diafisiaria radio o antebrazo asociada a luxación radioulnar distal Signos radiográficos de compromiso RUD: Fractura base estiloides ulnar Aumento espacio articular en AP Incongruencia radioulnar en lateral Acortamiento radial >5 mm
  • 34.
    LESIONES LIGAMENTOSAS ASOCIADASluxofractura de Monteggia Considerar lesiones equivalentes a las clásicas de Bado: Luxación anterior cabeza radial + fractura diafisiaria ulnar angulada a anterior. Equivalente: fractura diafisiaria ulnar + fractura c úpula o cuello radial Luxación posterior o posterolateral cabeza radial + fractura diafisiaria ulnar angulada a posterior. Equivalente: luxaci ón posterior de codo + fractura diafisiaria ulnar + fractura cúpula o cuello radial Luxación lateral o anterolateral cabeza radial + fractura metafisiaria ulnar proximal Luxación anterior cabeza radial + fractura diafisiaria tercio proximal antebrazo
  • 35.
    Signos radiológicos decongruencia RUP: Línea axial por diáfisis radial y cabeza, debe alinearse con capitellum en ambas proyecciones Doble línea cabeza radial en proyección lateral, con antebrazo supinado
  • 36.
    TRATAMIENTO ortop édicoSólo reservado para ulna aislada, bajo las siguientes condiciones: Dos tercios distales Descartar lesión ligamentosa asociada Angulación no mayor a 10° Desplazamiento <50% Uso de brace funcional No requiere maniobras de reducción
  • 37.
    TRATAMIENTO ortop édicoRadio aislado: Considerar sólo en fracturas por arma de fuego, en que hay ausencia de angulación, desplazamiento y lesiones ligamentosas asociadas. Lenihan MR et al. JOT, 1992
  • 38.
    TRATAMIENTO quirúrgico AO/ASIF:placa compresiva DCP Gold standard: cerradas y expuestas tipo I, II, IIIA Consolidación >96% Satisfacci ón > 85% Infecci ón <3% Anderson LD et al. JBJS-A, 1975 Chapman MW et al. JBJS-A, 1989 Moed BR et al. JBJS-A, 1986
  • 39.
    TRATAMIENTO luxofracturas Requierenreducci ón anatómica de fractura (AO/ASIF) para adecuada reducción articular En la mayoría se logra reducción indirecta estable, permitiendo movilización precoz Irreductibilidad o inestabilidad, muchas veces se debe a falta de reducción anatómica En caso contrario: reducción articular abierta Inestabilidad ARUD residual: inmovilización en supinación por 6 semanas. Rara vez se requieren agujas Reckling FW. JBJS-A, 1982 Strehle J et al.CORR,1993 Grace TG et al. JBJS-A,1980
  • 40.
    COMPLICACIONES sinostosis radioulnarIncidencia: 3% (0-11) Factores de riesgo: Fractura de ambos huesos al mismo nivel Trauma de alta energía TEC Infección Ambos huesos por el mismo abordaje (Boyd) Cirugía >2 ° semana Injerto óseo cerca de membrana interósea Tornillos que protruyan hacia la misma
  • 41.