Dra. Hipatia Arroyo L.
MOLUSCO CONTAGIOSO
DERMATOLOGÍA
HGZ 1 TLAXCALA
Molusco contagioso
 Poxviridae
 Molluscipoxvirus
 Humanos (chimpance y caballo)
 DNA linear doble hélice
 200-300nm
J Infect Dis 1988;158
Historia
 1817 Bateman descripción de lesiones
 1841 Henderson y Paterson “cuerpos de molusco”
 1905 Juliusberg transmisión por fomites
 1911 gránulos de Lipshutz
Epidemiología
 Regiones tropicales
 Niños (varones)
 Adultos sexualmente activos
 Pacientes inmunocomprometidos
 1960…….. Incidencia incrementada
 15-29 años de edad
 SIDA prevalencia 5-18%
 recuento CD4
Tipos
 VMC I
 VMC II
 VMC III
 VCM IV
lesiones genitales
y no genitales
Patogenesis
 Transmisión piel-piel
 Autoinoculación
 Fomites
 P. incubación 1 sem – meses
 No puede cultivarse
Patogenesis
 Hiperplasia e hipertrofia de los QC
 Incremento del indice de división celular
 Aumento receptores para el FCE
 Crecimiento viral en epidermis
 Síntesis viral en en las capas de Malpighi y granulosa
 Ausencia de células inmunocompetentes
Patogenesis
 Genes de CMV alteran mecanismos
inmunes
 Homólogo CMH I
 interfiere presentación de péptidos del VMC
 Homólogo de la quimiocina
 inhibe la inflamación
 Homólogo de la peroxidasa de glutatión
 Protege del daño oxidativo
 …..un cuarto gen inhibe apoptosis normal QC
contacto sexual no contacto sexual
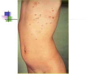
Manifestaciones clínicas
 pápula circunscritas
 firme
 umbilicada
 translucidas o
amarillentas
 3-6 mm 3 cm
Molusco gigante solitario
 10% reacción
eccematosa
 core lechoso
perioral
< 30
lesiones
SIDA
 Prevalencia 5-18%
 Curso progresivo
 disminución de
CD4+
 células de
langerhans
Asociaciones
 Inmunocomprometidos
 Albercas
 Dermatitis atópica
 Piel eccematosa
 Alteración inmunidad celular
 Neoplasias
 Sarcoma
 Leucemia linfocitica crónica
Diagnóstico
 Clínico
 Histopatología
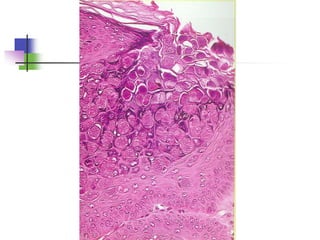
Histopatología
 Lóbulos de
epidermis
 Cráter central
Lendrum´s phloxine
tartazine
Laboratorio
 Ac anti-molusco IFI
 69% pacientes con lesiones visible
 PCR
Diagnóstico diferencial
 Siringomas
 Nevos intradérmicos
 Piodermia
 Enfermedad de Darier
 Queratoacantoma
 Verrugas
 Varicela
 Papilomas
 CBC
 Liquen plano
 Criptococosis
 Histoplasmosis
Tratamiento
Remisión espontánea
6 meses- 5 años
 Reducir el riesgo de transmisión
 Prevenir autoinoculación
 Mejorar calidad de vida
 Exéresis de la lesión
 cirugía
 daño epidérmico
Tratamiento
 Mecánicos
 curetaje
 crioterapia
 Oral
 Cimetidina
 griseofulvina 500 mg/dia 4-6 sem
 Cidovir
 Laser dióxido de carbono
 luz pulsada
 Terapia fotodinámica
 Ac. 5 aminolevulínico
 Tópico
 Cantaridina 0.9%
 Tretinoina
 Fenol
 Acido tricloroacético al 25-50%
 Tintura de yodo 1%
 Solución de yodo más ac salicílico
 Pasta de nitrato de plata
 Crema liberadora oxido nitrico
 Hidroxido de potasio
 Podofilotoxina y podofilina
 imiquimod
J Am Acad Dermatol 47(4 (Part 2)) S 221-24
Tratamiento
Mecánicos
 Curetaje
 Crioterapia
 Efectivos
 Dolor múltiples visitas
J Am Acad Dermatol 47(4 (Part 2)) S 221-24
Cantaridina .9%
1-3 sesiones
 Silverberg y cols 300 pacientes
 90% pacientes aclaramiento de las
lesiones
J Am Acad Dermatol 2000;43:503-7
Podofilotoxina 0.5%
 Estudio doble ciego, placebo controlado.
 Hombres 10-26 años 1x2 3 dias/ sem
 92% curación no recurrencias a 9 meses.
Dermatology 1994;189:65-8.
Imiquimod 5%
 INF alfa, IL y FNT
 Actividad celular citotóxica
 Migración de células de Langerhans a nódulos
línfaticos
 72-85% aclaramiento de las lesiones
 6-12 semanas de tratamiento aplic. diaria
J Am Acad Dermatol 47(4 (Part 2)) S 221-24
cimetidina
 Bloqueador H2
 Inhibe cel T supresoras
 Proliferación linfocítica
 40mg/kg/día
Pediatr Dermatol 1996;13:310-2

200272247-MOLUSCO-CONTAGIOSO.ppt