AUTOINSTRUCTIVO S10-1
Una mujer de 43 años con
antecedentes de 5 años de náuseas
intermitentes, vómitos, y dolor
epigástrico tiene un examen
endoscópico que revela gástrico
eritema y erosiones. El aspecto
microscópico de una muestra de
biopsia es mostrado.
1. ¿Cuál es su diagnóstico?
2. ¿Qué citocinas aumentan?
3. ¿Qué genes microbianos
contribuyen a la patogenia?
4. ¿Están estos organismos presentes
en el duodeno?
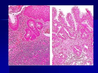
Un hombre de 33 años con una historia de diarrea crónica de 5 años ha perdido recientemente 6 kg y se
fatiga crónicamente. Una muestra de biopsia de su yeyuno (arriba ) se compara con una muestra de biopsia
yeyunal normal (abajo). Después de cambio en la dieta, mejora.
1. ¿Cuál es su diagnóstico?
2. ¿Qué pruebas serológicas pueden ayudar en el diagnóstico?
3. ¿Cuál fue el cambio en la dieta?
4. ¿Qué condición de la piel puede acompañar a esta enfermedad?
Una mujer de 74 años con sangre oculta
en las heces tiene un nivel de hematocrito
de 35,7% (nl 35% a 46%), un MCV de 79
fL [fL=fentolitro=10-15 L] (nl 78 a 102 fL),
y recuentos de plaquetas y glóbulos
blancos normal . Se muestran los
hallazgos pertinentes en la colonoscopia.
1. ¿Cuáles son los dos diagnósticos que
puedes hacer?
2. Explique los hallazgos de laboratorio.
APARATO GASTROINTESTINAL
MALFORMACIONES
CONGENITAS
 ATRESIA: ausencia de luz. El aparato
digestivo normal es un tubo
desarrollado a partir de cordones de
células embrionarias. Si las células de
localización central no experimentan
apoptosis, la luz no se llega a formar,
por lo tanto no se puede atravesar.
 La atresia esofágica con fístula
traqueoesofágica es la malformación
congénita más frecuente. El alimento no
puede llegar al estómago porque la luz
esofágica termina en un fondo de saco
ciego. Los alimentos que atraviesan a la
fístula llegan a la traquea y producen
atragantamiento y tos. Los síntomas
aparecen poco después del parto.
Corrección quirúrgica inmediata.
Fístula
 Conexión entre el esófago y la tráquea o un bronquio
principal; el material deglutido o el líquido gástrico
penetra en el aparato respiratorio.
Hernia diafragmática
 Se produce cuando la formación incompleta del
diafragma permite que las vísceras abdominales se
hernien en la cavidad toráccica.
Onfalocele
 Aparece cuando el cierre de la musculatura abdominal es
incompleto y las vísceras abdominales se hernian en un
saco membranoso ventral.
Gastrosquisis
 Afecta a todas las capas de la pared abdominal,
desde peritoneo hasta la piel
Divertículo de Meckel
 Es una excrecencia ciega del tubo digestivo que está
recubierta de mucosa, que comunica con la luz y que
contiene 3 capas de la pared intestinal. Se presenta en el
ileon. Consecuencia del fracaso de la involución del
conducto vitelino.
Estenosis pilorica
 Se presenta en la segunda o tercera
semana de vida como regurgitación de
nueva aparición y vómitos en
escopetaso no biliares persistente.
Hiperplasia de la muscular propia
pilórica que obstruye el tracto de
salida del estómago.
Enfermedad de Hirschsprung
 Ausencia de células ganglionares en el
segmento intestinal afectado. El recto
siempre se afecta. La región
aganglionar puede estar normal o
contraída mientras que el colon
proximal con inervación normal va
sufriendo una dilatación progresiva
hasta llegar a megacolon.
ESÓFAGO
Obstrucción esofágica
 Para que se produzca la deglución debe
existir una onda coordinada de
contracciones peristálticas, su ausencia da
lugar a un sindrome que se denomina
esófago de cascanueces.
 Espasmo esofágico difuso
 Divertículo de Zenker (Faringoesofágico):
los divertículos son evaginaciones de la
pared del tubo digestivo, aparece en la
parte superior del esóafago probablemente
debido a disfunción motora.
DIVERTICULO
DIVERTICULO
Esofagitis
 Se describe tres grupos de causa:
1. Esofagitis (E) infecciosa.
2. E. química. La más frecuente. HCl regurgitado
del estómago es la causa más frecuente de
esofagitis en el reflujo del contenido gástrico hacia
el esófago.
3. Manifestación de otras enfermedades. ( pénfigo,
enfermedad de Crohn)
Esófago de Barrett
 Es un tipo de metaplasia esofágica.
Frecuente en el segmento inferior del
esófago.
 Se observa un epitelio cilíndrico
parecido al gástrico o intestinal en lugar
del epitelio escamoso del esófago. Se
desarrolla adenocarcinoma que es
precedido por displasia.
Tumores esofágicos
 Adenocarcinoma: es frecuente encontrar un esófago
de Barrett adyacente al tumor.
 Carcinoma epidermoide. Consumo de
alcohol y tabaco.
 Displasia escamosa y carcinoma in situ.
 Puede invadir el árbol respiratorio, la
aorta , el mediastino y el pericardio.
ESTÓMAGO
Gastritis
 La gastritis aguda se inicia típicamente
con erosiones poco profundas de la
mucosa.
 Son causadas por los (Gastritis erosiva
aguda) AINES, alcohol, ácidos y
álcalis, stress, isquemia mucosa
secundaria al shock, sepsis.
Gastritis crónica
 La gastritis crónica no erosiva puede
deberse a mecanismos inmunológicos,
infecciones o ingesta prolongada de
fármacos, alcohol o tabaco.
 Gastritis crónica no erosiva
 Gastritis crónica de tipo A (gastritis
autoinmunitaria)
 Gastritis crónica de tipo B (gastritis
asociada a Helicobacter pylori
 Gastritis hipertrófica (enfermedad de
Menetrier), la mucosa gástrica presenta
pliegues gigantes
 Otras: gastritis eosinofílica, linfocitaria y
granulomatosa.
Complicaciones de
gastritis crónica
 La enfermedad ulcerosa péptica
 Atrofia mucosa y metaplasia intestinal.
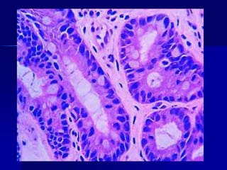
 Displasia
A. Hay un infiltrado linfoplasmocítico denso superficial en la lámina propia. B. Agregado linfoide; cuando está presente,
es altamente sugestivo de Helicobacter. C. Los neutrófilos se encuentran dispersos en el infiltrado de la lámina propia y
pueden penetrar el epitelio glandular. D. La tinción de Warthin- Starry resalta los pequeños organismos curvilíneos en la
superficie foveolar
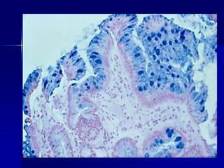
GASTRITIS AUTOINMUNITARIA A. El cuerpo gástrico es atrófico y
carente de células parietales. Hay metaplasia intestinal (células caliciformes,
flechas) y metaplasia seudopilórica (puntas de flecha). B. En otras partes del
cuerpo hay micronódulos compuestos de células similares a las
enterocromafines (ECF) (flechas).
ENFERMEDADAD ULCEROSA PEPTICA
Se refiere la destrucción focal de la mucosa del estómago distal y el
duodeno proximal. Está causado por secreciones gástricas. La incidencia
y prevalencia de úlceras duodenales ha disminuido mucho en los últimos
30 años.
Son muchas las características clínicas y epidemiológicas que distinguen
las úlceras gástricas de las duodenales; los factores comunes que las
agrupan son la secreción gástrica de ácido clorhídrico y la infección
por H. pylori. Los fármacos, como los AINE, reducen la secreción de
prostaglandinas y lesionan la barrera mucosa. El alcohol, las comidas
especiadas y las sustancias que inducen la secreción de ácido pueden
influir en la patogenia. El tratamiento antiácido y la supresión del ácido
gástrico con bloqueantes de la histamina-2 inducen la curación de las
úlceras. No existen pruebas de que la modificación de la dieta ayude a
tratar la úlcera
Perforación gástrica aguda en un
paciente que acude por aire
libre debajo del diafragma.
A. Defecto mucoso con bordes
limpios.
B. La base de la úlcera necrótica
está compuesta por tejido de
granulación.
Factores gástricos y duodenales en la patogenia de ulceras pépticas duodenales
Pólipos Gástricos
Pólipo hiperplásico P. Hiperpl. Ulcerado P. Glándulas Fundicas Adenomas Gástricos
Adenocarcinoma gástrico
 Infección por H. pylori
 Gastritis crónica atrófica con metaplasia
intestinal.
 Post - gastrectomía
 Pólipos adenomatosos gástricos
 Tumores exofíticos, ulcerativos, infiltrantes
difusos.
 Metastatizan en los ganglios linfáticos locales.
Ganglio de Virchow. Hígado. Pulmón.
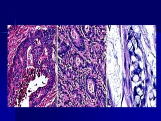
Adenocarcinoma gástrico.
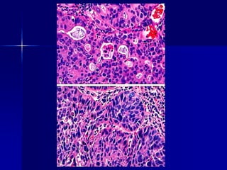
A. Adenocarcinoma de tipo
intestinal compuesto por células
cilíndricas y formadoras de glándulas
que infiltran a través del estroma
desmoplásico.
B.En los tumores infiltrantes,
las células en anillo de sello (difuso)
pueden ser reconocidas por sus grandes
vacuolas de mucina citoplásmica y sus
núcleos delgados falciformes,
desplazados hacia la periferia.
Obsérvese la ausencia de formación de
glándulas
Otros:
 LINFOMA: También denominados
MALT. H. pylori.
 El tumor del estroma del tracto
gastrointestinal.CD 117 y CD 34
 Tumores carcinoides.
 Lipomas
LINFOMA
TUMOR CARCINOIDE DIGESTIVO (CARCINOMA NEUROENDOCRINO)
Tumor GI del estroma
Intestino delgado y Colon
Obstrucción intestinal
 Hernias, adherencias intestinales,
intususcepción y el vólvulo son las
causas del 80 % de las obstrucciones
mecánicas, los tumores y el infarto son
responsables de sólo el 10 a 15 %.
 Dolor, distensión abdominal, vómitos y
estreñimiento.
Obstrucción Intestinal dentro
de una Hernia Inguinal
Intususcepción
ISQUEMIA
Angiodisplasia
 Se caracteriza por vasos sanguíneos
mal formados en la submucosa y la
mucosa. Es más frecuente en el ciego o
colon derecho.
Malabsorción y diarrea
 Se caracteriza por absorción inadecuadas de
grasas, vitaminas liposolubles, proteínas ,
hidratos de carbono, electrolitos, minerales
y agua.
 Las causas más frecuentes son la
enfermedad celiaca, pancreatitis crónica y la
enfermedad de Crohn.
 La enfermedad celiaca: trastorno
inflamatorio mediado por linfocitos T.
Mejora con la restricción del trigo en la dieta
(gliadina)
*La enfermedad presenta una base genética:
-Se describe una tendencia familiar: el 15% de los familiares de primer grado
puede estar afectado.
-Se identifica HLA-B6 en un 80% de los pacientes afectados.
* Se encuentra un trastorno intestinal parecido en hermanos no afectados.
-La sensibilidad al gluten influye en la patogenia:
-Un 90% de los pacientes tiene anticuerpos frente a la gliadina.
-La dieta sin gluten alivia los síntomas
*La biopsia intestinal es fundamental para el diagnóstico y muestra cambios
típicos en la mucosa, que se pueden revertir con una dieta exenta de gluten.
*La curva de edad tiene dos picos máximos. Los síntomas suelen aparecer
en la infancia y luego desaparecen, para volver a aparecer en las décadas
quinta y sexta de la vida.
El sistema inmunitario está implicado y puede tener importancia patogénica:
Es frecuente la asociación con la dermatitis herpetiforme mediada por
inmunoglobulina A.
Autoanticuerpos: para su detección se emplean los anticuerpos frente al
endomisio (90%); es frecuente encontrar anticuerpos frente a la
transglutaminasa tisular.
El linfoma intestinal es una complicación tardía que aparee en el 10% de
los pacientes
Enfermedad Celíaca. T:núcleo de linfocito T comparar con E: núcleo de célula epitelial
Características
de las
enterocolitis
bacterianas
Campylobacter jejuni
Yersinia
E.Coli enterohemorrágico
E.Coli enteroinvasiva
Enterocolitis Bacteriana
COLITIS POR CLOSTRIDIUM DIFFICILE
Colon cubierto por seudomembranas marronáceas
ENFERMEDDAD DE WHIPPLE.
Tropheryma wippelii
ENTERITIS INFECCIOSA. A. Las características histológicas de la enteritis vírica consisten en un mayor número de
linfocitos intraepiteliales y de la lámina propia e hiperplasia de las criptas. B. Infiltrados eosinófilos difusos en la
infección parasitaria. Este caso fue producido por Ascaris (recuadro superior), pero Strongyloides (recuadro inferior)
podría ocasionar una reacción tisular parecida. C. La esquistosomiasis puede provocar una reacción inflamatoria a los
huevos atrapados dentro de la lámina propia. D. Entamoeba histo/ytica en una muestra de biopsia de colon.
Obsérvense algunos microorganismos que ingieren eritrocitos (flecha). E. Giardia lamblia, que está presente en el
espacio luminal sobre vellosidades de aspecto casi normal, se pasa por alto con facilidad. F. Los
microorganismos de Cryptosporidium se ven como pequeñas esferas azules que parecen estar en la parte superior del
borde en cepillo, pero en realidad están rodeados por una fina capa de citoplasma de la célula huésped.
Sindrome del intestino irritable
 Dolor abdominal crónico recidivante,
distensión y cambios en los hábitos
intestinales.
 La evaluación macro y microscópica es
normal en la mayoría de los pacientes
afectados, por lo tanto el dx es clínico.
 La patogenia es poco conocida
Enfermedad Inflamatoria Intestinal
La enfermedad inflamatoria intestinal (EII) es una
afección crónica debida a interacciones complejas entre
la microbiota intestinal y la inmunidad del huésped en
individuos genéticamente predispuestos, que conduce a
una activación inmunitaria inadecuada de la mucosa.
Comprende a:
 ENFERMEDAD DE CROHN. Enfermedad
inflamatoria granulomatosa que afecta
cualquier porción del tubo digestivo pero
con mayor frecuencia al intestino
delgado y al colon.
 COLITIS ULCERATIVA. Sin formación de
granulomas. Afecta únicamente a la
mucosa del colon.
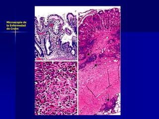
Enf. de Crohn
Microscopía de
la Enfermedad
de Crohn
Colitis Ulcerativa
Microscopía de la Colitis
Ulcerativa
Diverticulitis
 Inflamación de un divertículo después
de su obstrucción o perforación.
 La debilidad focal de la pared intestinal
(en los puntos de penetración de
vasos sanguíneos) permite la
evaginación de la mucosa cuando hay
un aumento de la presión intraluminal
debido a un aumento de las
contracciones peristálticas.
Pólipos
 Pólipos no neoplásicos: inflamatorio,
hiperplásico ,
hamartomatoso(P.juveniles, Sindrome
de Peutz-Jeghers, Sindrome de
Cronkhite-Canada)
 Pólipos neoplásicos: adenoma tubular,
tubulovelloso, velloso.
Poliposis Juvenil
Pólipo
Hiperplásico
Adenomas de colon
Tumores
Adenocarcinoma.
Es el más frecuente del tracto digestivo.
Existe una secuencia adenoma-carcinoma.
Los factores de riesgo no se comprenden bien, pero la mayoría se
relacionan con la alimentación:
Alta ingesta de calorías, que provoca obesidad.
Bajo contenido en fibra de la dieta con estreñimiento.
Alto contenido en grasa y azúcares refinados (posibles carcinógenos)
Las regiones del intestino grueso donde se producen los carcinomas:
Rectosigmoide, el 40%.
Colon descendente, el 15%.
Ciego y colon ascendente, el 35%.
Colon transverso, el 10%.
Carcinoma colorrectal
Hemorroides
 Son dilataciones varicosas del plexo
venoso submucoso anal y perianal,
afecta al 5 % de los adultos. Se asocia
con estreñimiento, estasis venosa
durante la gestación y cirrosis.
 Se puede producir trombosis
secundaria, estrangulación o
ulceración formación de fisuras.
Cavidad Peritoneal
 Enfermedad Inflamatoria: se puede producir peritonitis
estéril por el vertido de bilis o de enzimas pancreáticas.
 Intervenciones quirúrgicas: cuerpo extraño
 Endometriosis
 Se puede producir infecciones peritoneales bacterianas
por apendicitis, ulcera péptica, diverticulitis,
estrangulación intestinal, salpingitis aguda.
 Tumores: T. primarios: mesotelioma y tumor
desmoplásico de células redondas pequeñas.
Los tumores secundarios son frecuentes y pueden
corresponder a cualquier forma de cáncer avanzado

APARATO GASTROINTESTINALLLLLLLLLLLL.pptx

  • 1.
    AUTOINSTRUCTIVO S10-1 Una mujerde 43 años con antecedentes de 5 años de náuseas intermitentes, vómitos, y dolor epigástrico tiene un examen endoscópico que revela gástrico eritema y erosiones. El aspecto microscópico de una muestra de biopsia es mostrado. 1. ¿Cuál es su diagnóstico? 2. ¿Qué citocinas aumentan? 3. ¿Qué genes microbianos contribuyen a la patogenia? 4. ¿Están estos organismos presentes en el duodeno?
  • 2.
    Un hombre de33 años con una historia de diarrea crónica de 5 años ha perdido recientemente 6 kg y se fatiga crónicamente. Una muestra de biopsia de su yeyuno (arriba ) se compara con una muestra de biopsia yeyunal normal (abajo). Después de cambio en la dieta, mejora. 1. ¿Cuál es su diagnóstico? 2. ¿Qué pruebas serológicas pueden ayudar en el diagnóstico? 3. ¿Cuál fue el cambio en la dieta? 4. ¿Qué condición de la piel puede acompañar a esta enfermedad?
  • 3.
    Una mujer de74 años con sangre oculta en las heces tiene un nivel de hematocrito de 35,7% (nl 35% a 46%), un MCV de 79 fL [fL=fentolitro=10-15 L] (nl 78 a 102 fL), y recuentos de plaquetas y glóbulos blancos normal . Se muestran los hallazgos pertinentes en la colonoscopia. 1. ¿Cuáles son los dos diagnósticos que puedes hacer? 2. Explique los hallazgos de laboratorio.
  • 4.
  • 5.
    MALFORMACIONES CONGENITAS  ATRESIA: ausenciade luz. El aparato digestivo normal es un tubo desarrollado a partir de cordones de células embrionarias. Si las células de localización central no experimentan apoptosis, la luz no se llega a formar, por lo tanto no se puede atravesar.
  • 8.
     La atresiaesofágica con fístula traqueoesofágica es la malformación congénita más frecuente. El alimento no puede llegar al estómago porque la luz esofágica termina en un fondo de saco ciego. Los alimentos que atraviesan a la fístula llegan a la traquea y producen atragantamiento y tos. Los síntomas aparecen poco después del parto. Corrección quirúrgica inmediata.
  • 9.
    Fístula  Conexión entreel esófago y la tráquea o un bronquio principal; el material deglutido o el líquido gástrico penetra en el aparato respiratorio.
  • 10.
    Hernia diafragmática  Seproduce cuando la formación incompleta del diafragma permite que las vísceras abdominales se hernien en la cavidad toráccica.
  • 11.
    Onfalocele  Aparece cuandoel cierre de la musculatura abdominal es incompleto y las vísceras abdominales se hernian en un saco membranoso ventral.
  • 12.
    Gastrosquisis  Afecta atodas las capas de la pared abdominal, desde peritoneo hasta la piel
  • 13.
    Divertículo de Meckel Es una excrecencia ciega del tubo digestivo que está recubierta de mucosa, que comunica con la luz y que contiene 3 capas de la pared intestinal. Se presenta en el ileon. Consecuencia del fracaso de la involución del conducto vitelino.
  • 14.
    Estenosis pilorica  Sepresenta en la segunda o tercera semana de vida como regurgitación de nueva aparición y vómitos en escopetaso no biliares persistente. Hiperplasia de la muscular propia pilórica que obstruye el tracto de salida del estómago.
  • 16.
    Enfermedad de Hirschsprung Ausencia de células ganglionares en el segmento intestinal afectado. El recto siempre se afecta. La región aganglionar puede estar normal o contraída mientras que el colon proximal con inervación normal va sufriendo una dilatación progresiva hasta llegar a megacolon.
  • 18.
  • 19.
    Obstrucción esofágica  Paraque se produzca la deglución debe existir una onda coordinada de contracciones peristálticas, su ausencia da lugar a un sindrome que se denomina esófago de cascanueces.  Espasmo esofágico difuso  Divertículo de Zenker (Faringoesofágico): los divertículos son evaginaciones de la pared del tubo digestivo, aparece en la parte superior del esóafago probablemente debido a disfunción motora.
  • 20.
  • 21.
  • 22.
    Esofagitis  Se describetres grupos de causa: 1. Esofagitis (E) infecciosa. 2. E. química. La más frecuente. HCl regurgitado del estómago es la causa más frecuente de esofagitis en el reflujo del contenido gástrico hacia el esófago. 3. Manifestación de otras enfermedades. ( pénfigo, enfermedad de Crohn)
  • 23.
    Esófago de Barrett Es un tipo de metaplasia esofágica. Frecuente en el segmento inferior del esófago.  Se observa un epitelio cilíndrico parecido al gástrico o intestinal en lugar del epitelio escamoso del esófago. Se desarrolla adenocarcinoma que es precedido por displasia.
  • 30.
    Tumores esofágicos  Adenocarcinoma:es frecuente encontrar un esófago de Barrett adyacente al tumor.
  • 31.
     Carcinoma epidermoide.Consumo de alcohol y tabaco.  Displasia escamosa y carcinoma in situ.  Puede invadir el árbol respiratorio, la aorta , el mediastino y el pericardio.
  • 36.
  • 37.
    Gastritis  La gastritisaguda se inicia típicamente con erosiones poco profundas de la mucosa.  Son causadas por los (Gastritis erosiva aguda) AINES, alcohol, ácidos y álcalis, stress, isquemia mucosa secundaria al shock, sepsis.
  • 38.
    Gastritis crónica  Lagastritis crónica no erosiva puede deberse a mecanismos inmunológicos, infecciones o ingesta prolongada de fármacos, alcohol o tabaco.  Gastritis crónica no erosiva  Gastritis crónica de tipo A (gastritis autoinmunitaria)  Gastritis crónica de tipo B (gastritis asociada a Helicobacter pylori
  • 39.
     Gastritis hipertrófica(enfermedad de Menetrier), la mucosa gástrica presenta pliegues gigantes  Otras: gastritis eosinofílica, linfocitaria y granulomatosa.
  • 40.
    Complicaciones de gastritis crónica La enfermedad ulcerosa péptica  Atrofia mucosa y metaplasia intestinal.  Displasia
  • 42.
    A. Hay uninfiltrado linfoplasmocítico denso superficial en la lámina propia. B. Agregado linfoide; cuando está presente, es altamente sugestivo de Helicobacter. C. Los neutrófilos se encuentran dispersos en el infiltrado de la lámina propia y pueden penetrar el epitelio glandular. D. La tinción de Warthin- Starry resalta los pequeños organismos curvilíneos en la superficie foveolar
  • 43.
    GASTRITIS AUTOINMUNITARIA A.El cuerpo gástrico es atrófico y carente de células parietales. Hay metaplasia intestinal (células caliciformes, flechas) y metaplasia seudopilórica (puntas de flecha). B. En otras partes del cuerpo hay micronódulos compuestos de células similares a las enterocromafines (ECF) (flechas).
  • 44.
    ENFERMEDADAD ULCEROSA PEPTICA Serefiere la destrucción focal de la mucosa del estómago distal y el duodeno proximal. Está causado por secreciones gástricas. La incidencia y prevalencia de úlceras duodenales ha disminuido mucho en los últimos 30 años. Son muchas las características clínicas y epidemiológicas que distinguen las úlceras gástricas de las duodenales; los factores comunes que las agrupan son la secreción gástrica de ácido clorhídrico y la infección por H. pylori. Los fármacos, como los AINE, reducen la secreción de prostaglandinas y lesionan la barrera mucosa. El alcohol, las comidas especiadas y las sustancias que inducen la secreción de ácido pueden influir en la patogenia. El tratamiento antiácido y la supresión del ácido gástrico con bloqueantes de la histamina-2 inducen la curación de las úlceras. No existen pruebas de que la modificación de la dieta ayude a tratar la úlcera
  • 45.
    Perforación gástrica agudaen un paciente que acude por aire libre debajo del diafragma. A. Defecto mucoso con bordes limpios. B. La base de la úlcera necrótica está compuesta por tejido de granulación.
  • 46.
    Factores gástricos yduodenales en la patogenia de ulceras pépticas duodenales
  • 47.
    Pólipos Gástricos Pólipo hiperplásicoP. Hiperpl. Ulcerado P. Glándulas Fundicas Adenomas Gástricos
  • 48.
    Adenocarcinoma gástrico  Infecciónpor H. pylori  Gastritis crónica atrófica con metaplasia intestinal.  Post - gastrectomía  Pólipos adenomatosos gástricos  Tumores exofíticos, ulcerativos, infiltrantes difusos.  Metastatizan en los ganglios linfáticos locales. Ganglio de Virchow. Hígado. Pulmón.
  • 50.
    Adenocarcinoma gástrico. A. Adenocarcinomade tipo intestinal compuesto por células cilíndricas y formadoras de glándulas que infiltran a través del estroma desmoplásico. B.En los tumores infiltrantes, las células en anillo de sello (difuso) pueden ser reconocidas por sus grandes vacuolas de mucina citoplásmica y sus núcleos delgados falciformes, desplazados hacia la periferia. Obsérvese la ausencia de formación de glándulas
  • 51.
    Otros:  LINFOMA: Tambiéndenominados MALT. H. pylori.  El tumor del estroma del tracto gastrointestinal.CD 117 y CD 34  Tumores carcinoides.  Lipomas
  • 52.
  • 53.
    TUMOR CARCINOIDE DIGESTIVO(CARCINOMA NEUROENDOCRINO)
  • 54.
    Tumor GI delestroma
  • 55.
  • 56.
    Obstrucción intestinal  Hernias,adherencias intestinales, intususcepción y el vólvulo son las causas del 80 % de las obstrucciones mecánicas, los tumores y el infarto son responsables de sólo el 10 a 15 %.  Dolor, distensión abdominal, vómitos y estreñimiento.
  • 58.
    Obstrucción Intestinal dentro deuna Hernia Inguinal Intususcepción
  • 59.
  • 60.
    Angiodisplasia  Se caracterizapor vasos sanguíneos mal formados en la submucosa y la mucosa. Es más frecuente en el ciego o colon derecho.
  • 62.
    Malabsorción y diarrea Se caracteriza por absorción inadecuadas de grasas, vitaminas liposolubles, proteínas , hidratos de carbono, electrolitos, minerales y agua.  Las causas más frecuentes son la enfermedad celiaca, pancreatitis crónica y la enfermedad de Crohn.  La enfermedad celiaca: trastorno inflamatorio mediado por linfocitos T. Mejora con la restricción del trigo en la dieta (gliadina)
  • 63.
    *La enfermedad presentauna base genética: -Se describe una tendencia familiar: el 15% de los familiares de primer grado puede estar afectado. -Se identifica HLA-B6 en un 80% de los pacientes afectados. * Se encuentra un trastorno intestinal parecido en hermanos no afectados. -La sensibilidad al gluten influye en la patogenia: -Un 90% de los pacientes tiene anticuerpos frente a la gliadina. -La dieta sin gluten alivia los síntomas *La biopsia intestinal es fundamental para el diagnóstico y muestra cambios típicos en la mucosa, que se pueden revertir con una dieta exenta de gluten. *La curva de edad tiene dos picos máximos. Los síntomas suelen aparecer en la infancia y luego desaparecen, para volver a aparecer en las décadas quinta y sexta de la vida.
  • 64.
    El sistema inmunitarioestá implicado y puede tener importancia patogénica: Es frecuente la asociación con la dermatitis herpetiforme mediada por inmunoglobulina A. Autoanticuerpos: para su detección se emplean los anticuerpos frente al endomisio (90%); es frecuente encontrar anticuerpos frente a la transglutaminasa tisular. El linfoma intestinal es una complicación tardía que aparee en el 10% de los pacientes
  • 65.
    Enfermedad Celíaca. T:núcleode linfocito T comparar con E: núcleo de célula epitelial
  • 66.
  • 67.
  • 68.
    COLITIS POR CLOSTRIDIUMDIFFICILE Colon cubierto por seudomembranas marronáceas
  • 69.
  • 70.
    ENTERITIS INFECCIOSA. A.Las características histológicas de la enteritis vírica consisten en un mayor número de linfocitos intraepiteliales y de la lámina propia e hiperplasia de las criptas. B. Infiltrados eosinófilos difusos en la infección parasitaria. Este caso fue producido por Ascaris (recuadro superior), pero Strongyloides (recuadro inferior) podría ocasionar una reacción tisular parecida. C. La esquistosomiasis puede provocar una reacción inflamatoria a los huevos atrapados dentro de la lámina propia. D. Entamoeba histo/ytica en una muestra de biopsia de colon. Obsérvense algunos microorganismos que ingieren eritrocitos (flecha). E. Giardia lamblia, que está presente en el espacio luminal sobre vellosidades de aspecto casi normal, se pasa por alto con facilidad. F. Los microorganismos de Cryptosporidium se ven como pequeñas esferas azules que parecen estar en la parte superior del borde en cepillo, pero en realidad están rodeados por una fina capa de citoplasma de la célula huésped.
  • 71.
    Sindrome del intestinoirritable  Dolor abdominal crónico recidivante, distensión y cambios en los hábitos intestinales.  La evaluación macro y microscópica es normal en la mayoría de los pacientes afectados, por lo tanto el dx es clínico.  La patogenia es poco conocida
  • 72.
    Enfermedad Inflamatoria Intestinal Laenfermedad inflamatoria intestinal (EII) es una afección crónica debida a interacciones complejas entre la microbiota intestinal y la inmunidad del huésped en individuos genéticamente predispuestos, que conduce a una activación inmunitaria inadecuada de la mucosa. Comprende a:
  • 73.
     ENFERMEDAD DECROHN. Enfermedad inflamatoria granulomatosa que afecta cualquier porción del tubo digestivo pero con mayor frecuencia al intestino delgado y al colon.  COLITIS ULCERATIVA. Sin formación de granulomas. Afecta únicamente a la mucosa del colon.
  • 76.
  • 77.
  • 78.
  • 79.
    Microscopía de laColitis Ulcerativa
  • 80.
    Diverticulitis  Inflamación deun divertículo después de su obstrucción o perforación.  La debilidad focal de la pared intestinal (en los puntos de penetración de vasos sanguíneos) permite la evaginación de la mucosa cuando hay un aumento de la presión intraluminal debido a un aumento de las contracciones peristálticas.
  • 84.
    Pólipos  Pólipos noneoplásicos: inflamatorio, hiperplásico , hamartomatoso(P.juveniles, Sindrome de Peutz-Jeghers, Sindrome de Cronkhite-Canada)  Pólipos neoplásicos: adenoma tubular, tubulovelloso, velloso.
  • 85.
  • 86.
  • 87.
  • 88.
    Tumores Adenocarcinoma. Es el másfrecuente del tracto digestivo. Existe una secuencia adenoma-carcinoma. Los factores de riesgo no se comprenden bien, pero la mayoría se relacionan con la alimentación: Alta ingesta de calorías, que provoca obesidad. Bajo contenido en fibra de la dieta con estreñimiento. Alto contenido en grasa y azúcares refinados (posibles carcinógenos)
  • 89.
    Las regiones delintestino grueso donde se producen los carcinomas: Rectosigmoide, el 40%. Colon descendente, el 15%. Ciego y colon ascendente, el 35%. Colon transverso, el 10%.
  • 92.
  • 95.
    Hemorroides  Son dilatacionesvaricosas del plexo venoso submucoso anal y perianal, afecta al 5 % de los adultos. Se asocia con estreñimiento, estasis venosa durante la gestación y cirrosis.  Se puede producir trombosis secundaria, estrangulación o ulceración formación de fisuras.
  • 96.
    Cavidad Peritoneal  EnfermedadInflamatoria: se puede producir peritonitis estéril por el vertido de bilis o de enzimas pancreáticas.  Intervenciones quirúrgicas: cuerpo extraño  Endometriosis  Se puede producir infecciones peritoneales bacterianas por apendicitis, ulcera péptica, diverticulitis, estrangulación intestinal, salpingitis aguda.  Tumores: T. primarios: mesotelioma y tumor desmoplásico de células redondas pequeñas. Los tumores secundarios son frecuentes y pueden corresponder a cualquier forma de cáncer avanzado