CASO CLINICO
Caso clínico
Femenina de 77 años de edad acude al servicio de urgencias por cuadro clínico de 2
meses de evolución, empeorado en la ultima semana, caracterizado dolor
abdominal difuso de intensidad leve a moderada asociado a ictericia, coluria,
astenia y adinamia; además de esto refiere perdida de peso de aprox 8 kg en 3
meses.
Antecedentes personales:
• Qx niega
• Px: demencia senil
• Alergia: niega
Caso clínico
• Exploración física:
Sv TA 110/70 mmhg FC 88 lpm FR 18 rpm T 37 °C
Piel y mucosas: tinte ictérico generalizado
Cardio-pulmonar: sin alteraciones
Abdomen: dolor a la palpación en hipocondrio derecho y epigastrio, sin signos
de irritación peritoneal.
Neurológico sin alteraciones
Cuadro hemático:
Leu: 6.300
Hgb 10.7
Hcto 32%
VCM 86.1
Plq 456000
Glicemia 100
Crea 0.40
AST 99 UI/l (13-39 mg/dl)
ALT 132 UI/l (7-52)
F. Alcalina 394 (34-104)
B total 11.58 mg/dl
B directa 6.83 mg/dl
B indirecta 4.75 mg/dl
Amilasa 26 UI/l
FICHA RADIOLOGICA
• 200184139
ADENOCARCINOMA DE
PANCREAS
ADP DE PANCREAS
• La incidencia es del 8-10 casos por 100.000 habitantes/año, representa el
segundo tumor maligno gastrointestinal en frecuencia.
• Es la cuarta causa de muerte por cáncer en adultos varones (después de
pulmón, próstata y colorrectal) y mujeres (después de pulmón, mama y
colorrectal).
• Su incidencia aumenta entre 60-80 años
ADP DE PANCREAS
CA PANCREATICO
Las pruebas empleadas en el estudio de los pacientes con neoplasia de páncreas
son:
•Ecografía
•TCMC
•RM
•Ecoendoscopia
•PET-TC
CA PANCREATICO
TCMC:
•Presenta mayor resolución espacial.
•Su precisión es cercana al 100% para el diagnóstico de no resecabilidad.
•Su precisión es menor en el diagnóstico del tumor potencialmente resecable.
RM:
•Ofrece un mayor contraste de tejidos y se considera que es una técnica similar o
superiora la TC en el diagnóstico del tumor y en la valoración de la extensión
peripancreática.
•Presenta menor sensibilidad que la TC en el diagnóstico de la afectación
vascular y peritoneal.
CA PANCREATICO
• Ecografía:
•Los tumores de páncreas se aprecian como masas sólidas e hipoecogénicas, mal delimitadas.
Presentan pobre vascularización en el estudio Doppler y escaso realce con contraste ecográfico.
•Si se localizan en la cabeza, producen obstrucción y dilatación secundaria de la vía biliar y del
conducto pancreático(“signo de doble conducto”).
• TCMC:
Es la prueba más empleada para la estadificación del cáncer de páncreas, con
una sensibilidad del 89-97%.
Técnica:
• Adquisición a corte fino (0,5-1 mm).
• Estudio sin contrate iv: detección de
calcificaciones y confirmar el realce tras el
contraste iv.
• Estudio con contraste iv (3-5 ml/s) en
diferentes fases:
◦ Fase pancreática (40-50 seg): pico de realce
del parénquima pancreático y permite la
valoración de los vasos arteriales.
◦ Fase portal (60-70 seg): maximiza el realce del
hígado para la identificación de metástasis y
permite la opacificación correcta de la vena
mesentérica superior, la vena esplénica y la
vena porta.
◦ Fase tardía (4 minutos).
Los objetivos de la TC con contraste iv
son:
 Permitir una mayor diferencia de
atenuación tumor-páncreas normal.
 Conseguir una adecuada
opacificación de las arterias y
venas peripancreáticas para
valorar la afectación vascular.
 Detección de metástasis hepáticas.
Localización de la
lesión:
•Cabeza-proceso
uncinado (65%)
•Cuerpo (20-25%)
•Cola (10-20%)
Tamaño del tumor:
•Permite
estadificar y
valorar la
respuesta tras el
tratamiento en el
seguimiento
Densidad tras la
administración de
contraste iv:
• Hipodensa: la
mayoría de los
tumores.
• Isodensa (10%): es
más frecuente que
los tumores sean
isodensos al resto
del parénquima
pancreático cuando
su tamaño ≤2 cm.
(a) Neoplasia de cabeza de páncreas, isodensa al parénquima pancreático. (b) Tumor de
cuerpo-cola de páncreas, hipodenso, con dilatación del conducto pancreático principal. (c)Tumor de
cabeza-cuello de páncreas, ligeramente hipodenso. (d) Neoplasia pancreática en cuerpo-cola,
hipodensa.
EVALUACION VASCULAR
• La invasión vascular es relativamente frecuente (21-64%)
• La infiltración tumoral venosa es más frecuente que la arterial [VMS infiltrada con
más frecuencia]
EVALUACION VASCULAR
• Evaluación arterial
EVALUACION VASCULAR
• Evaluación venosa
Evaluación ganglionar
• La afectación ganglionar
locorregional es un factor
pronóstico de mala
supervivencia en el ACDP.
• Los ganglios afectados fuera
del área de drenaje tumoral,
como los de localización
aortocava o paraaórtica, se
considerarán enfermedad
metastásica a distancia
Los criterios de sospecha
de infiltración tumoral
ganglionar incluyen: eje
menor superior a 1 cm,
morfología
redondeada,
heterogeneidad o necrosis
Metástasis a distancia:
 Hígado (40% - 60%): el diagnóstico de las metástasis hepáticas es sencillo en
lesiones grandes. Aparecen como masas sólidas hipovasculares similares al
tumor primario. Si los hallazgos no son concluyentes está indicada la biopsia
percutánea.
 Peritoneo: la carcinomatosis peritoneal es frecuente en los pacientes con
adenocarcinoma de páncreas avanzado. En la TC se observa como ascitis,
engrosamiento y realce del peritoneo, engrosamiento nodular de la pared del
intestino por implantes en la serosa e infiltración del omento por tejido blando.
La TC diagnostica solo al 80% de los pacientes con metástasis peritoneales en
la cirugía.
 Pulmón.
 Hueso: las metástasis óseas suelen ocurrir de forma tardía en el curso de la
enfermedad
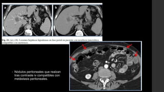
• Nódulos peritoneales que realzan
tras contraste iv compatibles con
metástasis peritoneales.
Invasión perineural:
 Se define como la infiltración tumoral a lo largo de los fascículos perineurales.
Está presente en el 53-100% de los pacientes con adenocarcinoma de
páncreas. No se emplea para la estadificación, pero condiciona el pronóstico, ya
que es una causa importante de márgenes de resección quirúrgicos positivos y
aumenta las tasas de recurrencia.
 Se identifica como tejido confluente de similar atenuación al tumor pancreático
que se extiende a lo largo de las vías conocidas de los plexos perineurales
directamente en contigüidad con el tumor primario.
 Hay que diferenciar la invasión perineural del la invasión linfática precoz con
patrón “reticular”. A veces, una extensa invasión linfática tardía puede presentar
un aspecto confluente y no siempre se puede distinguir de la invasión
perineural.
Signos radiológicos:
 aumento de densidad difuso e irregular del tejido graso retropancreático o bien
del tejido graso que rodea principalmente a la AMS
 afectación del tejido graso retroperitoneal adyacente al ACDP en forma de
retícula gruesa o de pequeños nódulos es altamente predictivo de invasión
perineural
Sistemas de estadificación
• Estadificación TNM
• Estadio anatómico y grupos pronóstico:
 Estadio I: tumoresT1-T2 sin metástasis
ganglionares o a distancia.
 Estadio IIA: T3 en ausencia de metástasis
ganglionares o a distancia.
 Estadio IIB: T1-T3 con metástasis
ganglionares regional espero sin
metástasis a distantica.
 Estadio III: T4 (con afectación del tronco
celíaco o de la arteria mesentérica
superior) sin metástasis.
 Estadio IV: presencia de metástasis a
distancia.
ESTADIFICACION NCCN
Enfermedad claramente
resecable (estadios I y II de la
AJCC)
Enfermedad claramente
irresecable (estadios III y IV
de la AJCC):
Enfermedad resecable
borderline o resecable
marginal
• No metástasis evidentes.
• No adenopatías
evidentes.
• El tumor no contacta con
los vasos (salvo en el caso
de la arteria
gastroduodenal en los
tumores de la cabeza)
• Presenta de metástasis
a distancia.
• Adenopatías fuera del
campo quirúrgico.
• Afectación
circunferencial >180º
de AMS, TC u origen de
la AHC (impediría la
colocación de un injerto
arterial).
• No existen metástasis a
distancia.
• Afectación venosa en
corto segmento con posible
reconstrucción.
• Afectación de TC y AMS
limitada a contacto ≤ 180º
• Afectación de la AHC
>180º en un segmento
corto
CA P.pptx

CA P.pptx

  • 1.
  • 2.
    Caso clínico Femenina de77 años de edad acude al servicio de urgencias por cuadro clínico de 2 meses de evolución, empeorado en la ultima semana, caracterizado dolor abdominal difuso de intensidad leve a moderada asociado a ictericia, coluria, astenia y adinamia; además de esto refiere perdida de peso de aprox 8 kg en 3 meses. Antecedentes personales: • Qx niega • Px: demencia senil • Alergia: niega
  • 3.
    Caso clínico • Exploraciónfísica: Sv TA 110/70 mmhg FC 88 lpm FR 18 rpm T 37 °C Piel y mucosas: tinte ictérico generalizado Cardio-pulmonar: sin alteraciones Abdomen: dolor a la palpación en hipocondrio derecho y epigastrio, sin signos de irritación peritoneal. Neurológico sin alteraciones Cuadro hemático: Leu: 6.300 Hgb 10.7 Hcto 32% VCM 86.1 Plq 456000 Glicemia 100 Crea 0.40 AST 99 UI/l (13-39 mg/dl) ALT 132 UI/l (7-52) F. Alcalina 394 (34-104) B total 11.58 mg/dl B directa 6.83 mg/dl B indirecta 4.75 mg/dl Amilasa 26 UI/l
  • 4.
  • 5.
  • 6.
    ADP DE PANCREAS •La incidencia es del 8-10 casos por 100.000 habitantes/año, representa el segundo tumor maligno gastrointestinal en frecuencia. • Es la cuarta causa de muerte por cáncer en adultos varones (después de pulmón, próstata y colorrectal) y mujeres (después de pulmón, mama y colorrectal). • Su incidencia aumenta entre 60-80 años
  • 7.
  • 8.
    CA PANCREATICO Las pruebasempleadas en el estudio de los pacientes con neoplasia de páncreas son: •Ecografía •TCMC •RM •Ecoendoscopia •PET-TC
  • 9.
    CA PANCREATICO TCMC: •Presenta mayorresolución espacial. •Su precisión es cercana al 100% para el diagnóstico de no resecabilidad. •Su precisión es menor en el diagnóstico del tumor potencialmente resecable. RM: •Ofrece un mayor contraste de tejidos y se considera que es una técnica similar o superiora la TC en el diagnóstico del tumor y en la valoración de la extensión peripancreática. •Presenta menor sensibilidad que la TC en el diagnóstico de la afectación vascular y peritoneal.
  • 10.
    CA PANCREATICO • Ecografía: •Lostumores de páncreas se aprecian como masas sólidas e hipoecogénicas, mal delimitadas. Presentan pobre vascularización en el estudio Doppler y escaso realce con contraste ecográfico. •Si se localizan en la cabeza, producen obstrucción y dilatación secundaria de la vía biliar y del conducto pancreático(“signo de doble conducto”).
  • 11.
    • TCMC: Es laprueba más empleada para la estadificación del cáncer de páncreas, con una sensibilidad del 89-97%. Técnica: • Adquisición a corte fino (0,5-1 mm). • Estudio sin contrate iv: detección de calcificaciones y confirmar el realce tras el contraste iv. • Estudio con contraste iv (3-5 ml/s) en diferentes fases: ◦ Fase pancreática (40-50 seg): pico de realce del parénquima pancreático y permite la valoración de los vasos arteriales. ◦ Fase portal (60-70 seg): maximiza el realce del hígado para la identificación de metástasis y permite la opacificación correcta de la vena mesentérica superior, la vena esplénica y la vena porta. ◦ Fase tardía (4 minutos). Los objetivos de la TC con contraste iv son:  Permitir una mayor diferencia de atenuación tumor-páncreas normal.  Conseguir una adecuada opacificación de las arterias y venas peripancreáticas para valorar la afectación vascular.  Detección de metástasis hepáticas.
  • 12.
    Localización de la lesión: •Cabeza-proceso uncinado(65%) •Cuerpo (20-25%) •Cola (10-20%) Tamaño del tumor: •Permite estadificar y valorar la respuesta tras el tratamiento en el seguimiento Densidad tras la administración de contraste iv: • Hipodensa: la mayoría de los tumores. • Isodensa (10%): es más frecuente que los tumores sean isodensos al resto del parénquima pancreático cuando su tamaño ≤2 cm. (a) Neoplasia de cabeza de páncreas, isodensa al parénquima pancreático. (b) Tumor de cuerpo-cola de páncreas, hipodenso, con dilatación del conducto pancreático principal. (c)Tumor de cabeza-cuello de páncreas, ligeramente hipodenso. (d) Neoplasia pancreática en cuerpo-cola, hipodensa.
  • 13.
    EVALUACION VASCULAR • Lainvasión vascular es relativamente frecuente (21-64%) • La infiltración tumoral venosa es más frecuente que la arterial [VMS infiltrada con más frecuencia]
  • 14.
  • 15.
  • 16.
    Evaluación ganglionar • Laafectación ganglionar locorregional es un factor pronóstico de mala supervivencia en el ACDP. • Los ganglios afectados fuera del área de drenaje tumoral, como los de localización aortocava o paraaórtica, se considerarán enfermedad metastásica a distancia Los criterios de sospecha de infiltración tumoral ganglionar incluyen: eje menor superior a 1 cm, morfología redondeada, heterogeneidad o necrosis
  • 17.
    Metástasis a distancia: Hígado (40% - 60%): el diagnóstico de las metástasis hepáticas es sencillo en lesiones grandes. Aparecen como masas sólidas hipovasculares similares al tumor primario. Si los hallazgos no son concluyentes está indicada la biopsia percutánea.  Peritoneo: la carcinomatosis peritoneal es frecuente en los pacientes con adenocarcinoma de páncreas avanzado. En la TC se observa como ascitis, engrosamiento y realce del peritoneo, engrosamiento nodular de la pared del intestino por implantes en la serosa e infiltración del omento por tejido blando. La TC diagnostica solo al 80% de los pacientes con metástasis peritoneales en la cirugía.  Pulmón.  Hueso: las metástasis óseas suelen ocurrir de forma tardía en el curso de la enfermedad
  • 18.
    • Nódulos peritonealesque realzan tras contraste iv compatibles con metástasis peritoneales.
  • 19.
    Invasión perineural:  Sedefine como la infiltración tumoral a lo largo de los fascículos perineurales. Está presente en el 53-100% de los pacientes con adenocarcinoma de páncreas. No se emplea para la estadificación, pero condiciona el pronóstico, ya que es una causa importante de márgenes de resección quirúrgicos positivos y aumenta las tasas de recurrencia.  Se identifica como tejido confluente de similar atenuación al tumor pancreático que se extiende a lo largo de las vías conocidas de los plexos perineurales directamente en contigüidad con el tumor primario.  Hay que diferenciar la invasión perineural del la invasión linfática precoz con patrón “reticular”. A veces, una extensa invasión linfática tardía puede presentar un aspecto confluente y no siempre se puede distinguir de la invasión perineural.
  • 20.
    Signos radiológicos:  aumentode densidad difuso e irregular del tejido graso retropancreático o bien del tejido graso que rodea principalmente a la AMS  afectación del tejido graso retroperitoneal adyacente al ACDP en forma de retícula gruesa o de pequeños nódulos es altamente predictivo de invasión perineural
  • 21.
  • 22.
    • Estadio anatómicoy grupos pronóstico:  Estadio I: tumoresT1-T2 sin metástasis ganglionares o a distancia.  Estadio IIA: T3 en ausencia de metástasis ganglionares o a distancia.  Estadio IIB: T1-T3 con metástasis ganglionares regional espero sin metástasis a distantica.  Estadio III: T4 (con afectación del tronco celíaco o de la arteria mesentérica superior) sin metástasis.  Estadio IV: presencia de metástasis a distancia.
  • 23.
    ESTADIFICACION NCCN Enfermedad claramente resecable(estadios I y II de la AJCC) Enfermedad claramente irresecable (estadios III y IV de la AJCC): Enfermedad resecable borderline o resecable marginal • No metástasis evidentes. • No adenopatías evidentes. • El tumor no contacta con los vasos (salvo en el caso de la arteria gastroduodenal en los tumores de la cabeza) • Presenta de metástasis a distancia. • Adenopatías fuera del campo quirúrgico. • Afectación circunferencial >180º de AMS, TC u origen de la AHC (impediría la colocación de un injerto arterial). • No existen metástasis a distancia. • Afectación venosa en corto segmento con posible reconstrucción. • Afectación de TC y AMS limitada a contacto ≤ 180º • Afectación de la AHC >180º en un segmento corto

Notas del editor

  • #7 El adenocarcinoma pancreátic (ADP), se considera uno de los cánceres de peor pronóstico El cáncer de páncreas rara vez se diagnostica en personas menores de 40 años
  • #8 El 90% de las neoplasias del páncreas exocrino son adenocarcinomas (Tabla I). El 70% de los adenocarcinomas de páncreas se localizan a nivel de cabeza del páncreas, y el 30% restantes a nivel de cuerpo y cola Estos últimos generalmente se presentan en estadios avanzados con presencia de metástasis hepáticas 1. Antecedentes familiares de cáncer de páncreas: 5-10% de los cánceres pancreáticos son hereditarios (5). 2. Edad avanzada (> 60 años): el 80% de los casos se producen entre los 60 y los 80 años de edad, siendo la edad media al diagnóstico de unos 65 años. El cáncer de páncreas es raro en personas menores de 45 años. 3. Tabaquismo: el efecto nocivo del tabaco se debe a las aminas aromáticas presentes en le humo de tabaco (6). 4. Sexo: el cáncer de páncreas es más frecuente en los varones, sin embargo en los no fumadores no hay predominio sexual. 5. Exposición ocupacional: es más frecuente entre los trabajadores de la industria petroquímica, en relación con una mayor exposición a las aminas aromáticas. 6. Obesidad: parece aumentar el riesgo de cáncer de páncreas (7). 7. Dieta rica en grasas, pescado y carnes fritas, y pobre en frutas y vegetales (8). 8. Pancreatitis crónica: la pancreatitis crónica aumenta el riesgo de padecer cáncer de páncreas con un riesgo acumulado de 4% a los 20 años. Las pancreatitis crónicas hereditarias tienen un mayor riesgo de malignización (9). 9. El consumo de café y alcohol no son factores de riesgo de cáncer de páncreas (10). 10. Lesiones premalignas: el cistoadenoma mucinoso es el que tiene un mayor riesgo de malignización. 11. Gastrectomía parcial: puede aumentar el riesgo de cáncer de páncreas a los 15-20 años.
  • #9 Existen distintas técnicas de imagen implicadas en la estadificación del ACDP Las pruebas empleadas para estudio y estadificación de las neoplasias pancreáticas son: Aunque todas ellas tienen papeles complementarios entre sí, en la actualidad, la TCMD es la técnica de imagen inicial de elección recomendada La TC juega el papel más relevante en el diagnóstico y la estadificación de las neoplasias pancreáticas. Se complementa con la ecoendoscopia, que es una técnica más sensible para el diagnóstico precoz y que permite realizar una Toma de muestra de la lesión para su estudio mediante PAAF (punción-aspiraciónconagujafina) aportando información relevante para la estadificación.
  • #10 TCMC y RM: Las técnicas de imagen han asumido un papel crucial en la estadificación de los pacientes con neoplasia pancreática en busca de un tratamiento adecuado. Para ello, las pruebas que se emplean son: Dada la alta capacidad de estos tumores de metastatizar precozmente, es necesario que el intervalo de tiempo transcurrido entre la realización de la TC de diagnóstico/estadificación y la intervención quirúrgica sea el menor posible. Algunos estudios recomiendan que este período no exceda los 25 días
  • #11 Es con gran frecuencia la herramienta de primera línea diagnóstica en los pacientes con ictericia y dolor Abdominal Su diagnóstico es más difícil cuando se localizan en el cuerpo y cola, por la interposición de gas. Figuras1y2 La sensibilidad y precisión diagnóstica de la ecografía depende de la experiencia del radiólogo, el grado de progresión de la enfermedad y el morfotipo de lospacientes (S=50-90%)
  • #12 Diversos factores influyen en el realce parenquimatoso pancreático, incluyendo aspectos técnicos como la generación de TC utilizada; factores relacionados con el material de contraste como el volumen, la concentración de yodo y el flujo de inyección; o bien características del propio paciente, como la edad, el peso y la función cardíaca
  • #13 LOCALIZACION Es importante porque determina el tipo de cirugía (pancreaticoduodenectomía o pancreatectomía parcial). DENSIDAD En este caso hay que buscar signos indirectos que sugieran la existencia de neoplasia (interrupción y dilatación del conducto pancreático, efecto masa,convexidad anormal del contorno del páncrea s, atrofia pancreática).
  • #14 1-El estudio de estadificación por imagen del ACDP tiene principalmente dos propósitos: la evaluación de la extensión tumoral local, basada en la relación del tumor con los vasos peripancreáticos, y la detección de enfermedad metastásica a distancia La invasión vascular es uno de los mayores determinantes de resecabilidad en el cáncer de páncreas. 2- no existe consenso global sobre la infiltración perivascular pero clásicamente se describe como infiltacion >180 o mas del 50% de la circunferencia se considera altamente específico de invasión. Por el contrario, cuando el contacto es inferior al 50%, puede existir o no infiltración, pero esto no debe contraindicar la cirugía. Para mejorar la precisión de esta valoración, estos criterios basados en la contigüidad entre el tumor y el vaso deben combinarse con otros signos radiológicos como son: irregularidad del contorno parietal del vaso, deformidad (signo de la lágrima en las venas), disminución focal del calibre del vaso o trombosis 1- En ausencia de metástasis a distancia, la presencia y el grado de contacto entre el tumor y los vasos peripancreáticos determinarán la resecabilidad quirúrgica. 2-La infiltración tumoral venosa es más frecuente que la arterial debido a que el mayor grosor y rigidez parietal de las arterias hace que estas sean más resistentes a dicha infiltración 3- Para mejorar la precisión de esta valoración, estos criterios basados en la contigüidad entre el tumor y el vaso deben combinarse con otros signos radiológicos como son: irregularidad del contorno parietal del vaso, deformidad (signo de la lágrima en las venas), disminución focal del calibre del vaso o trombosis
  • #15 La invasión tumoral de un tronco arterial de gran calibre como el tronco celíaco (TrC), la AMS o la AHC, debe ser analizada cuidadosamente, ya que constituye la base de la decisión quirúrgica.
  • #16 La invasión vascular exclusivamente venosa en muchas ocasiones no representa una contraindicación para la cirugía debido a la posibilidad actual de realizar reconstrucciones venosas, que dependerán de la experiencia quirúrgica de cada centro.
  • #17 Sin embargo, la identificación por imagen de ganglios locorregionales sospechosos de infiltración tumoral no supone una contraindicación de cirugía con intención curativa, ya que los ganglios linfáticos que se encuentran en el área de drenaje tumoral incluidos en el campo quirúrgico serán resecados con el tumor primario Los criterios de sospecha de infiltración tumoral ganglionar incluyen: eje menor superior a 1 cm, morfología redondeada, heterogeneidad o necrosis central
  • #18 Entre el 40% y el 60% de los pacientes con ACDP presentan al diagnóstico. El hígado es la localización más frecuente, seguida de peritoneo, pulmón y hueso; las metástasis óseas aparecen en etapas tardías de la enfermedad
  • #19 Nódulos peritoneales que realzan tras contraste iv compatibles con metástasis peritoneales
  • #20 La invasión perineural se considera actualmente uno de los factores pronósticos más importantes en el ACDP La propagación de las células cancerígenas a través de las estructuras linfáticas perineurales localizadas dorsalmente al páncreas y que se extienden alrededor de los vasos mesentéricos es una de las principales causas de recurrencia tumoral local tras resecciones con intención curativa
  • #22 Los objetivos de los sitema de estadificación es valorar la extensión y pronostico de la enfermedad, el mas utilizado en la del comité conjunto estado unidense del cáncer donde toma en cuenta el tumor primario (T), la presencia de adenopatías (N) y de metástasis(M). El sistema de estadificación TNM , propuesto por el AJCC47, incluye información preoperatoria del tumor obtenida mediante TC o RM, pero también valora información postoperatoria resultante de la evaluación anatomopatológica. Estadificación TNM de las neoplasias pancreáticas: El sistema más empleado en la actualidad es el de la American Joint Committee on Cancer (AJCC), que valora
  • #23 Estadio I: tumoresT1-T2 sin metástasis ganglionares o a distancia. Estadio muy precoz de la enfermedad y es difícil encontrar pacientes en este grupo. Estadio IIA: T3 en ausencia de metástasis ganglionares o a distancia. Se trata de las lesiones típicamente resecables. Estadio IIB: T1-T3 con metástasis ganglionares regional espero sin metástasis a distantica. También son lesiones típicamente resecables Estadio III: T4 (con afectación del tronco celíaco o de la arteria mesentérica superior) sin metástasis. Se consideran tumores localmente avanzados. Estadio IV: presencia de metástasis a distancia. Aunque los pacientes con tumores T1 tienen mejor pronóstico que los T2, la diferenciación entre estos grupos tiene poco impacto en el manejo terapéutico, ya que son enfermedades potencialmente resecables. Sí es importante es distinguir T3 de T1 T2 y T3 de T4. Los pacientes con tumores T3 pueden o no presentar enfermedad resecable en función de la destreza y las preferencias del equipo quirúrgico, mientras que los pacientes con neoplasias T4 presentan enfermedad irresecable. Como veremos a continuación, la clave en la estadificación T es la identificación de la invasiónvascular del tumor.
  • #24 Otro sistema de clasificación, basado en los hallazgos de imagen preoperatorios, ampliamente recomendado y extendido en la práctica clínica, es el propuesto por la NCCN La guía oncológica del adenocarcinoma de páncreas de la National Comprehensive Cancer Network (NCCN) describe una clasificación según criterios radiológicos y divide a los pacientes en tres grupos: