CARDIOPATÍA
ISQUÉMICA
JUNIO 2015
CARDIOPATÍA ISQUÉMICA
(enfermedad cardiaca coronaria)
• Se refiere a un grupo de
síndromes con estrecha relación
que se deben al desequilibrio entre
la demanda de oxígeno del
miocardio y suministro de sangre.
La causa más común de
Cardiopatía Isquémica
• Es una reducción del suministro de sangre a las
arterias coronarias por aterosclerosis de dichas
arterias.
• El 90% de los casos es causada por lesiones
ateroescleróticas obstructivas de las arterias
coronarias por eso lleva el nombre de arteriopatía
coronaria o cardiopatía coronaria.
Epidemiología
• Es la principal causa de muerte en el mundo para
hombre y mujeres (7 millones de cada año).
PRINCIPALES CAUSAS DE MORTALIDAD 2013
•Según la proporción y la gravedad de
estenosis de la arteria coronaria y de la
respuesta miocárdica puede
presentarse 1 de 4 síndromes.
• Varias formas de Angina de pecho, en donde la isquemia
no tiene la intensidad para provocar infarto, pero puede
ser precursor.
• Angina estable
• Angina de Prinzmetal
• Angina inestable
• Infarto agudo al miocardio. La forma más importante de
cardiopatía isquémica
• Muerte Súbita cardiaca
• Cardiopatía Isquémica crónica con insuficiencia cardiaca
congestiva
INFARTO DE MIOCARDIO
•El infarto del miocardio, también conocido
como ataque al corazón, es la forma mas
importante de cardiopatía isquémica.
Factores de riesgo
NO MODIFICABLES
■ Aumento de la edad
■ Sexo masculino
■ Antecedentes fam.
■ Alteraciones genéticas
POSIBLEMENTE
MODIFICABLES
■ Hiperlipidemia
■ Hipertesión arterial
■ Tabaquismo
■ Diabetes mellitus
MENORES DUDOSOS
O NO CUANTIFICADOS
■ Obesidad
■ Inactividad física
■ Estrés
■ Homocisteína
■ Dieta rica en C.H.
■ Consumo de alcohol
■ Consumo de grasa saturada
■ Déficit posmenopáusico de
estrógenos
• Ateroesclerosis coronaria
• Descendente Anterior Izquierda (40-
50%)→PAVI, PATIV, Punta
• Coronaria derecha(30-40%)
• Circunfleja izquierda (15-20%)→PLVI
Patogenia infarto transmural
•El primer fenómeno es un cambio
brusco de la placa ateromatosa
(ruptura) que se manifiesta por
hemorragia dentro de la placa,
erosión, ulceración o fistulización.
•Al quedar descubierto el colágeno
subendotelial y el contenido de la
placa necrosada, se produce adhesión,
agregación, y liberación de factores
agregantes de las plaquetas como el
tromboxano A2, serotonina, factores
plaquetarios 3 y 4.
•Se estimula el vasoespasmo.
• Otros factores activan
la via extrinseca de la
coagulacion y aumenta
el tamaño del trombo.
• Con frecuencia el
trombo evoluciona y en
cuestion de minutos
obstruye totalmente la
luz del vaso coronario
En un 10% el infarto se debe a otros
mecanismos:
•VASOESPASMO: aislado intenso y
bastante prolongado con o sin
ateroesclerosis coronaria y acompañado
quizá de agregación plaquetaria.
Patogenia
•EMBOLIA: procedente de la aurícula
izquierda y asociada a fibrilación auricular,
causada por un trombo mural del
hemicardio izquierdo, una endocarditis
vegetante o bien de una embolia paradójica
procedente de hemicardio derecho o de las
venas periféricas.
Patogenia
•Inexplicable: En dos tercios
aproximadamente de estos casos no hay
signos angiograficos de obstrucción de las
coronarias.
•A veces, esto puede deberse a
enfermedades raras de los pequeños vasos
coronarios intramurales, a afecciones
hematológicas como las
hemoglobinopatías, y otros procesos.
Respuesta del miocardio
•El resultado de la obstrucción
coronaria es la perdida del riego
sanguíneo esencial para el miocardio.
Consecuencias
•Interrupción de la glucolisis aerobia
(comienzo de la Glucolisis anaerobia)
•Producción insuficiente de ATP
•Acumulación de productos de
degradación nocivos (acido láctico).
•Como la función miocárdica es
sumamente sensible a la isquemia
intensa, en los 60 seg siguientes a la
misma se produce un descenso
acusado de la contractilidad capaz de
desencadenar una insuficiencia
cardiaca.
Diagnóstico de IM de acuerdo a las
medición de proteínas miocárdicas
Oclusión Arterial En Infarto Del
Miocardio
INFARTO TRANSMURAL
•La mayoría de infartos de miocardio son
transamurales, en los que la necrosis
isquémica afecta todo o casi todo el
espesor de la pared ventricular, siguiendo la
distribución de una arteria coronaria.
INFARTO TRANSMURAL
•Este tipo de infarto suele asociarse a una
ateroesclerosis coronaria crónica.
•A cambios bruscos de la placa de ateroma y
a una trombosis totalmente obstructiva.
Infarto transmural reciente posterolateral de ventrículo
izquierdo e infarto antiguo (tinción de cloruro de
trifeniltetrazoilo)
INFARTO SUBENDOCÁRDICO
•Es un área de necrosis isquémica que solo
afecta un tercio o como mucho la mitad de
la pared interna de la pared ventricular y
que se extiende lateralmente mas allá del
territorio irrigado por una sola arteria
coronaria
Histología normal
Se aprecia en las primeras 24 h, se observan necrosis en bandas de contracción ,
pérdida de estriaciones tranversales y núcleos no claramente visibles, mioglobina
inespecífica, CK:MB y troponina más específicos de lesión muscular cardíaca.
Tricrómico de Masson, infarto de 1 día de evolución.
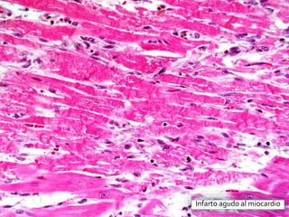
Infarto agudo al miocardio
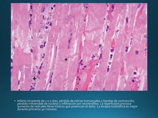
• Infarto incipiente de 1 o 2 días, pérdida de estrias tranversales y bandas de contracción,
pérdida irreversible de núcleos y infiltración por neuntrofilos. La reperfusión provoca
aumento de radicales libres tóxicos que potencian el daño. La terapia trobolítica es mejor
durante primeros 30 minutos.
• Infarto de 3 o 4 días. Inflamación aguda extensa, con
neutrófilos, fibras miocárdicas en proceso de necrosis
coagulativa. Elevación de CKMB
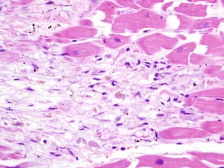
INFARTO ANTIGUO
Infarto al final de la primera semana, cicatrización, capilares numerosos, fibroblastos,
macrófagos con hemosiderina. Tejido de granulación no contráctil
• 2 o 3 semanas, cicatrización en zona de necrosis, deposito de
colágeno extenso que rodea fibras cardiacas sobrevivientes
COMPLICACIONES DE IM
• Disfunción contráctil
• Arritmias
• Ruptura miocárdica
• Pericarditis
• Extensión del infarto
• Infarto VD
• Formación de Trombos
• Aneurisma ventricular
• Disfunción de músculos papilares
• Insuficiencia cardiaca crónica
CARDIOPATÍA ISQUÉMICA2.pptx
CARDIOPATÍA ISQUÉMICA2.pptx
CARDIOPATÍA ISQUÉMICA2.pptx
CARDIOPATÍA ISQUÉMICA2.pptx
CARDIOPATÍA ISQUÉMICA2.pptx
CARDIOPATÍA ISQUÉMICA2.pptx

CARDIOPATÍA ISQUÉMICA2.pptx

  • 1.
  • 2.
    CARDIOPATÍA ISQUÉMICA (enfermedad cardiacacoronaria) • Se refiere a un grupo de síndromes con estrecha relación que se deben al desequilibrio entre la demanda de oxígeno del miocardio y suministro de sangre.
  • 3.
    La causa máscomún de Cardiopatía Isquémica • Es una reducción del suministro de sangre a las arterias coronarias por aterosclerosis de dichas arterias. • El 90% de los casos es causada por lesiones ateroescleróticas obstructivas de las arterias coronarias por eso lleva el nombre de arteriopatía coronaria o cardiopatía coronaria.
  • 4.
    Epidemiología • Es laprincipal causa de muerte en el mundo para hombre y mujeres (7 millones de cada año).
  • 5.
    PRINCIPALES CAUSAS DEMORTALIDAD 2013
  • 6.
    •Según la proporcióny la gravedad de estenosis de la arteria coronaria y de la respuesta miocárdica puede presentarse 1 de 4 síndromes.
  • 7.
    • Varias formasde Angina de pecho, en donde la isquemia no tiene la intensidad para provocar infarto, pero puede ser precursor. • Angina estable • Angina de Prinzmetal • Angina inestable • Infarto agudo al miocardio. La forma más importante de cardiopatía isquémica • Muerte Súbita cardiaca • Cardiopatía Isquémica crónica con insuficiencia cardiaca congestiva
  • 8.
    INFARTO DE MIOCARDIO •Elinfarto del miocardio, también conocido como ataque al corazón, es la forma mas importante de cardiopatía isquémica.
  • 9.
    Factores de riesgo NOMODIFICABLES ■ Aumento de la edad ■ Sexo masculino ■ Antecedentes fam. ■ Alteraciones genéticas POSIBLEMENTE MODIFICABLES ■ Hiperlipidemia ■ Hipertesión arterial ■ Tabaquismo ■ Diabetes mellitus MENORES DUDOSOS O NO CUANTIFICADOS ■ Obesidad ■ Inactividad física ■ Estrés ■ Homocisteína ■ Dieta rica en C.H. ■ Consumo de alcohol ■ Consumo de grasa saturada ■ Déficit posmenopáusico de estrógenos
  • 10.
    • Ateroesclerosis coronaria •Descendente Anterior Izquierda (40- 50%)→PAVI, PATIV, Punta • Coronaria derecha(30-40%) • Circunfleja izquierda (15-20%)→PLVI
  • 11.
    Patogenia infarto transmural •Elprimer fenómeno es un cambio brusco de la placa ateromatosa (ruptura) que se manifiesta por hemorragia dentro de la placa, erosión, ulceración o fistulización.
  • 16.
    •Al quedar descubiertoel colágeno subendotelial y el contenido de la placa necrosada, se produce adhesión, agregación, y liberación de factores agregantes de las plaquetas como el tromboxano A2, serotonina, factores plaquetarios 3 y 4. •Se estimula el vasoespasmo.
  • 18.
    • Otros factoresactivan la via extrinseca de la coagulacion y aumenta el tamaño del trombo. • Con frecuencia el trombo evoluciona y en cuestion de minutos obstruye totalmente la luz del vaso coronario
  • 19.
    En un 10%el infarto se debe a otros mecanismos: •VASOESPASMO: aislado intenso y bastante prolongado con o sin ateroesclerosis coronaria y acompañado quizá de agregación plaquetaria.
  • 20.
    Patogenia •EMBOLIA: procedente dela aurícula izquierda y asociada a fibrilación auricular, causada por un trombo mural del hemicardio izquierdo, una endocarditis vegetante o bien de una embolia paradójica procedente de hemicardio derecho o de las venas periféricas.
  • 21.
    Patogenia •Inexplicable: En dostercios aproximadamente de estos casos no hay signos angiograficos de obstrucción de las coronarias. •A veces, esto puede deberse a enfermedades raras de los pequeños vasos coronarios intramurales, a afecciones hematológicas como las hemoglobinopatías, y otros procesos.
  • 22.
    Respuesta del miocardio •Elresultado de la obstrucción coronaria es la perdida del riego sanguíneo esencial para el miocardio.
  • 23.
    Consecuencias •Interrupción de laglucolisis aerobia (comienzo de la Glucolisis anaerobia) •Producción insuficiente de ATP •Acumulación de productos de degradación nocivos (acido láctico).
  • 24.
    •Como la funciónmiocárdica es sumamente sensible a la isquemia intensa, en los 60 seg siguientes a la misma se produce un descenso acusado de la contractilidad capaz de desencadenar una insuficiencia cardiaca.
  • 27.
    Diagnóstico de IMde acuerdo a las medición de proteínas miocárdicas
  • 28.
    Oclusión Arterial EnInfarto Del Miocardio
  • 36.
    INFARTO TRANSMURAL •La mayoríade infartos de miocardio son transamurales, en los que la necrosis isquémica afecta todo o casi todo el espesor de la pared ventricular, siguiendo la distribución de una arteria coronaria.
  • 37.
    INFARTO TRANSMURAL •Este tipode infarto suele asociarse a una ateroesclerosis coronaria crónica. •A cambios bruscos de la placa de ateroma y a una trombosis totalmente obstructiva.
  • 41.
    Infarto transmural recienteposterolateral de ventrículo izquierdo e infarto antiguo (tinción de cloruro de trifeniltetrazoilo)
  • 42.
    INFARTO SUBENDOCÁRDICO •Es unárea de necrosis isquémica que solo afecta un tercio o como mucho la mitad de la pared interna de la pared ventricular y que se extiende lateralmente mas allá del territorio irrigado por una sola arteria coronaria
  • 44.
  • 45.
    Se aprecia enlas primeras 24 h, se observan necrosis en bandas de contracción , pérdida de estriaciones tranversales y núcleos no claramente visibles, mioglobina inespecífica, CK:MB y troponina más específicos de lesión muscular cardíaca.
  • 46.
    Tricrómico de Masson,infarto de 1 día de evolución.
  • 47.
  • 49.
    • Infarto incipientede 1 o 2 días, pérdida de estrias tranversales y bandas de contracción, pérdida irreversible de núcleos y infiltración por neuntrofilos. La reperfusión provoca aumento de radicales libres tóxicos que potencian el daño. La terapia trobolítica es mejor durante primeros 30 minutos.
  • 50.
    • Infarto de3 o 4 días. Inflamación aguda extensa, con neutrófilos, fibras miocárdicas en proceso de necrosis coagulativa. Elevación de CKMB
  • 51.
  • 54.
    Infarto al finalde la primera semana, cicatrización, capilares numerosos, fibroblastos, macrófagos con hemosiderina. Tejido de granulación no contráctil
  • 56.
    • 2 o3 semanas, cicatrización en zona de necrosis, deposito de colágeno extenso que rodea fibras cardiacas sobrevivientes
  • 58.
    COMPLICACIONES DE IM •Disfunción contráctil • Arritmias • Ruptura miocárdica • Pericarditis • Extensión del infarto • Infarto VD • Formación de Trombos • Aneurisma ventricular • Disfunción de músculos papilares • Insuficiencia cardiaca crónica