Incrustar presentación



























































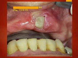
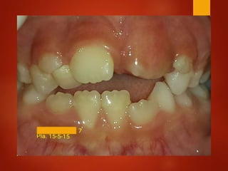
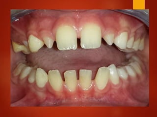
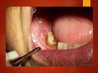
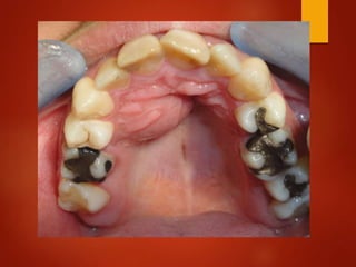
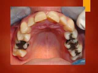
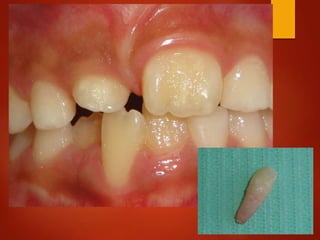
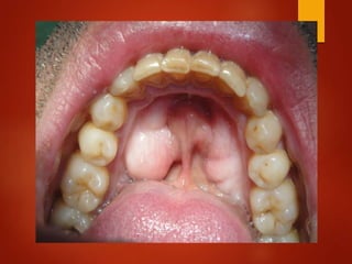
El documento es un registro médico odontológico que muestra las fechas de las visitas de un paciente al centro de salud El Raval, incluyendo exámenes y tratamientos realizados como la extracción de cálculos salivales en abril y mayo de 2012.


























































