CÁNCER INVASOR DE LA
VULVA
BIBILIOGRAFÍA
› Hoffman, Barbara L., et al. Williams gynecology. cGraw-Hill
Education, 2016.
› Centers for Disease Control and Prevention. Genital HPV Infection
– Fact Sheet. 2017.
› Rasmussen, C. L., Sand, F. L., Hoffmann Frederiksen, M., Kaae
Andersen, K. & Kjaer, S. K. (2017, 16 noviembre). Does HPV status
influence survival after vulvar cancer? International Journal of
Cancer, 142(6), 1158-1165. https://doi.org/10.1002/ijc.31139
› CUNNINGHAM G., MACDONALD P.,GANT N. Williams Obstetricia.
20a edición. Argentina: Editorial Medica Panamericana, 1999
CRECIMIENTO DE CÉLULAS CANCEROSAS
Los tumores se caracterizan por un patrón de
crecimiento tipo Gompertz. En pocas palabras, la
masa tumoral requiere tiempos cada vez más
prolongados para duplicar su tamaño conforme crece.
• Microscópico e impalpable=crecimiento exponencial
• Conforme crece, el número de células que se
multiplican disminuye
Hoffman, Barbara L., et al. Williams gynecology. cGraw-
Hill Education, 2016.
SÍFILIS
Es una ITS causada por la espiroqueta Treponema pallidum,
Mujeres con mayor riesgo:
› Grupos socioeconómicos más bajos.
› Adolescentes con inicio precoz de relaciones sexuales.
› Gran número de parejas sexuales.
Hoffman, Barbara L., et al. Williams gynecology. cGraw-
Hill Education, 2016.
La historia natural de la sífilis en pacientes no tratadas se
divide en cuatro etapas:
1. Sífilis primaria
2. Sífilis secundaria
3. Sífilis latente
4. Sífilis terciaria
Hoffman, Barbara L., et al. Williams gynecology. cGraw-
Hill Education, 2016.
Sífilis primaria
La lesión principal de la infección se denomina chancro.
› Úlcera aislada no dolorosa
› Bordes redondeados y elevados
› Base íntegra
Se localizan generalmente en el cuello uterino, la vagina o la vulva;
también pueden aparecer en la boca o alrededor del ano.
Aparece 10 días-12 semanas después del contacto
Incubación de tres semanas.
Sin tratamiento, las lesiones se curan espontáneamente en seis
semanas.
Hoffman, Barbara L., et al. Williams gynecology. cGraw-
Hill Education, 2016.
Sífilis secundaria
Esta fase se acompaña de bacteriemia aparece entre seis
semanas y seis meses después del chancro.
Su signo principal son los condilomas.
› Eritema maculopapular
› Se extiende por todo el cuerpo
› En zonas húmedas y calientes genera placas color rosado o
grisáceo
› Muy infecciosas
Hoffman, Barbara L., et al. Williams gynecology. cGraw-
Hill Education, 2016.
Diagnóstico
› Microscopía de campo oscuro
› Prueba directa de anticuerpos fluorescentes en un exudado
› Examen de la reagina plasmática rápida
› Absorción de anticuerpos treponémicos fluorescentes.
Hoffman, Barbara L., et al. Williams gynecology. cGraw-
Hill Education, 2016.
Tratamiento
› Penicilina benzatínica
› Citas cada seis meses para valoración clínica y pruebas
serológicas.
• Adultos y adolescentes: la dosis recomendada es de 2 400
000 UI administrada en dosis única vía IM
• Niño: la dosis recomendada es de 50 000 UI/kg /día IM en
dosis única hasta un máximo de 2 400 000 UI
Hoffman, Barbara L., et al. Williams gynecology. cGraw-
Hill Education, 2016.
VIRUS DEL PAPILOMA HUMANO (VPH)
› Virus de ADN de doble cadena simple con una cápside
proteínica.
› Infecta predominantemente células del epiteio escamoso o
metaplásico.
Factores de riesgo:
Número de parejas sexuales
Edad temprana en que ocurrió el primer coito.
Hoffman, Barbara L., et al. Williams gynecology. cGraw-
Hill Education, 2016.
FORMAS DE TRANSMISIÓN DE VPH
› Casi todas las infecciones de VPH genitales son consecuencia
de relaciones sexuales
› La infección cervicouterina de alto riesgo comúnmente se
debe a actos sexuales penetrantes.
› En mujeres sin actividad sexual puede ser causado por el uso
de tampones o penetración digital
› Existe la probabilidad de infecciones boca/genital y
mano/genital
Hoffman, Barbara L., et al. Williams gynecology. cGraw-
Hill Education, 2016.
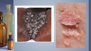
TIPOS DE VPH DE BAJO RIESGO
› Algunos tipos de VPH
causan verrugas en o
alrededor de los genitales y
el ano. Debido a que estos
tipos de VPH muy rara vez
se convierten en cáncer, se
les llama virus “de bajo
riesgo”
Hoffman, Barbara L., et al. Williams gynecology. cGraw-
Hill Education, 2016.
TIPOS DE VPH DE ALTO RIESGO
› Son llamados de “alto
riesgo” puesto que causan
cáncer con el paso del
tiempo. Los tipos más
comunes de VPH de alto
riesgo incluyen los tipos 16
y 18 del virus.
Hoffman, Barbara L., et al. Williams gynecology. cGraw-
Hill Education, 2016.
RESULTADOS DE LA INFECCIÓN POR VPH
La infección por HPV en genitales origina diversos desenlaces.
La infección puede ser latente o expresa. Aún más, la
expresión puede ser productiva y originar la formación de
nuevos virus o de tipo neoplásico, que ocasione enfermedad
preinvasora o cancerosa
› La infección puede ser transitoria o persistente con la
aparición de neoplasias o sin ellas (displasia o cáncer)
› La neoplasia es el último resultado de la infección
Hoffman, Barbara L., et al. Williams gynecology. cGraw-
Hill Education, 2016.
PREVALENCIA
› La prevalencia puntual en mujeres de 14 a 59 años es de 27%
según datos de una prueba de cribado
› Alcanza su máximo entre los 20 y 24 años de edad (45%)
› La infección subclínica es mucho más frecuente que la
infección clínica.
Hoffman, Barbara L., et al. Williams gynecology. cGraw-
Hill Education, 2016.
DIAGNÓSTICO
› El diagnóstico seguro se podrá hacer únicamente por la
detección directa del ADN del VPH .
› Es posible entrever la presencia de infección por HPV por el
aspecto de las lesiones clínicas y los resultados de estudios
citológicos, histológicos y colposcópicos, todos los cuales
generan datos subjetivos y a menudo inexactos. Además,
tampoco es fiable el método serológico y con ello es
imposible diferenciar una infección pasada de otra actual
Hoffman, Barbara L., et al. Williams gynecology. cGraw-
Hill Education, 2016.
TRATAMIENTO
Se selecciona el método según el tamaño, sitio y número de
verrugas existentes.
› Eliminación mecánica
› Inmunomoduladores tópicos
› Coagulación química o térmica
› No existe un tratamiento eficaz contra la infección subclínica
Hoffman, Barbara L., et al. Williams gynecology. cGraw-
Hill Education, 2016.
VACUNAS
› La obtención reciente y constante de vacunas constituye el
elemento promisorio de mayor importancia para evitar la
infección por HPV y tal vez para limitar o revertir sus secuelas
en personas infectadas.
Hoffman, Barbara L., et al. Williams gynecology. cGraw-
Hill Education, 2016.
LESIONES PREINVASORAS DE LA VULVA
› Se sabe que 90% de los cánceres de vulva son escamosos y
en algunos casos surge en forma lenta, inicialmente con
cambios epiteliales precancerosos llamados neoplasia
intraepitelial vulvar (VIN)
› VIN no es análogo obligadamente con CIV, porque la vulva no
tiene una zona de transformación, es un órgano
queratinizado
Hoffman, Barbara L., et al. Williams gynecology. cGraw-
Hill Education, 2016.
DIAGNÓSTICO
La VIN puede ser
asintomática y se
identifica en la
exploración ginecológica
de rutina o durante
valoración de la imagen
citológica anormal de
material cervicouterino
o vaginal.
Hoffman, Barbara L., et al. Williams gynecology. cGraw-
Hill Education, 2016.
TRATAMIENTO
› Extirpación local
› No siempre se necesita la
cirugía (VIN de grado bajo)
› La extirpación local amplia
puede desfigurar el
aspecto de la zona y a
veces obliga a realizar
cirugía plástica o injertos
de piel
Hoffman, Barbara L., et al. Williams gynecology. cGraw-
Hill Education, 2016.
› Ablación
› Laser de CO2
› A pesar de buenos resultados estéticos, no permite la
valoración de la pieza quirúrgica
› Antes de practicarla se necesita descartar la presencia de un
carcinoma invasor.
Hoffman, Barbara L., et al. Williams gynecology. cGraw-
Hill Education, 2016.
CÁNCER INVASOR DE LA VULVA
Es un cáncer poco común; comprende el 5% de las neoplasias
del aparato reproductor de la mujer.
› Es predominante en mujeres mayores, aunque también se ha
observado en premenopáusicas
› 2.5 casos por 100.000 mujeres
ANATOMÍA
La vulva comprende:
› Monte de venus
› Labios (mayores y menores)
› Clítoris
› Vestíbulo
› Bulbos vestibulares
› Glándulas vestibulares o de Bartholin
› Glándulas menores, pauretrales o de Skene
› Orificios uretral y vaginal
El cáncer vulvar puede
abarcar cualquiera de
estas estructuras.
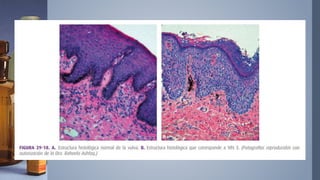
SUBTIPOS HISTOLÓGICOS
La mayor parte de las neoplasias de la vulva provienen del
epitelio pavimentoso
› Este no posee una zona de transformación identificable.
› Razón por la cual las neoplasias epidermoides aparecen en la
llamada línea de Hart.
› Borde entre el epitelio pavimentoso estratificado y
queratinizado de la vulva que está en sentido externo, y la
mucosa no queratinizada que está en sentido interno.
FACTORES DE RIESGO
› Bajo estado socioeconómico
› Comportamientos sexuales de alto riesgo
› Infección por VPH
› Tabaquismo
INFECCIÓN POR VPH
La identificación de HPV constituye un factor más importante
de riesgo de cáncer vulvar si coexiste con otros factores como
el tabaquismo y la infección de virus de herpes simple (HSV)
› Las mujeres fumadoras con el antecedente de verrugas en
genitales tienen un riesgo 35 veces mayor de presentar
cáncer vulvar que aquellas sin los dos.
VIRUS DE HERPES SIMPLE
Se ha demostrado que el VHS tiene un vínculo con el cáncer
vulvar, tal vínculo sobresale si existe la combinación con otros
factores coexistentes como el tabaquismo.
INMUNODEPRESIÓN
La inmunodepresión crónica se ha vinculado de manera
indirecta con el cáncer vulvar, y de manera específica los
índiques de ataque de esta neoplasia han aumentado en
mujeres con VIH. Una explicación posible sería la relación de
VIH y los subtipos de VPH de alto riesgo.
Sin embargo el cáncer vulvar no constituye una neoplasia
“definitoria del VIH”.
LIQUEN ESCLEROSO
Se trata de una inflamación vulvar crónica particularmente
relacionada con la génesis del cáncer vulvar.
Los queratinocitos afectados en el liquen muestran un
fenotipo proliferativo y pueden poseer marcadores de
progresión neoplásica.
Se ha observado que los cánceres de vulva que coexisten con
liquen aparecen en mujeres mayores.
NEOPLASIA INTRAEPITELIAL VULVAR
› No hay certeza de la evolución natural de VIN 3.
› Muchas de las lesiones de VIN 3 no evolucionan, pero
algunos señalamientos han mostrado que en un pequeño
porcentaje de mujeres con más de 30 años de vida, las
lesiones no tratadas evolucionan hasta llegar al cáncer
invasor, en una media de 4 años
SÍNTOMAS
El cuadro inicial con VIN y cáncer de vulva incluye el prurito y
una lesión visible.
Las manifestaciones iniciales incluyen:
› Dolor
› Hemorragia
› Úlceras
Estos signos pueden aparecer semanas o meses antes del
diagnóstico.
DIAGNÓSTICO
Valoración inicial de la lesión
En el comienzo de la vulvoscopía se aplica ácido acético al 3%
durante 5 minutos a la vulva; después se debe revisar
sistemáticamente toda la vulva y la piel perianal.
Las lesiones pueden ser:
Sobresalientes
Ulceradas
Hiperpigmentadas
Verrugosas
VALORACIÓN DE LA PACIENTE DE CÁNCER
En esta etapa del diagnóstico, la exploración física detallada
comprende medir el tumor primario y valorar su extensión a
otras áreas.
Si de imposibilita la exploración física por molestias de la
paciente, se realiza la exploración bajo anestesia, que incluye
cistouretroscopía o proctosigmoidoscopía.
Ambos métodos se aplican si hay sospecha de que el tumor
invadió la uretra, vejiga o el conducto anal
En mujeres con masas neoplásicas de mayor tamaño se
recomiendan estudios por tomografía computarizada (TC),
resonancia magnética (RM) o tomografía por emisión
positrónica (PET) en busca de invasión local, afectación de
ganglios linfáticos o metástasis a distancia.
ESTADIFICACIÓN
ESTADIO CARACTERÍSTICAS
I Tumor circunscrito a la vulva
IA Lesiones ≤2 cm de diámetro confinadas a la vulva o el perineo y con invasión de estroma ≤1mm, sin
metástasis ganglionares.
IB Lesiones >2 cm de diámetro o con invasión de estroma >1mm, confinadas a la vulva o al perineo, sin
metástasis ganglionares.
II Tumores de cualquier tamaño que se extienden a estructuras perineales vecinas (tercio inferior de la
uretra, de la vagina o el ano) sin metástasis ganglionares.
III Tumor de cualquier tamaño con extensión (o sin ella) a estructuras perineales vecinas (tercios inferiores
de uretra o vagina; ano) con metástasis a ganglios linfáticos inguinocrurales
IIIA i. Con metástasis en un ganglio linfático (≥5 mm), o
ii. Metástasis en 1 o 2 ganglios linfáticos (<5 mm)
IIIB i. Con metástasis a dos o más ganglios linfáticos (≤5mm), o
ii. Metástasis a tres o más ganglios linfáticos (<5 mm)
IIIC Con metástasis a ganglios y propagación extracapsular
IV El tumor invadió otras estructuras regionales (2/3 superiores de la uretra o de la vagina) o distantes
IVA El tumor invadió cualquiera de las siguientes zonas:
Mitad superior de la uretra, de la mucosa vaginal o de ambas estructuras, mucosa de vejiga y recto o
ganglios fijados a hueso pélvico, o
Ganglios linfáticos inguinocrurales fijos o ulcerados
IVB Cualquier metástasis a distancia que incluya los ganglios pélvicos
PRONÓSTICO Y FACTORES PRONÓSTICOS
Las cifras de supervivencia quinquenal abarcan:
› 70 a 90% en estadios I Y II
› 50% en estadio III
› 15% en estadio IV
Factores:
Tamaño de la lesión, profundidad de invasión, afectación de
ganglios, morfología ganglionar, afectación del espacio
ganglionar linfático y el estado de los bordes quirúrgicos.
METÁSTASIS EN GANGLIOS LINFÁTICOS
La metástasis en ganglios linfáticos constituye el elemento de
mayor importancia en el cáncer vulvar, pues tal afectación
disminuye la supervivencia a largo plazo (50%)
› El estado ganglionar se valora por ablación quirúrgica y el
estudio histopatológico
BORDES OPERATORIOS
Por costumbre, se busca que el margen quirúrgico sea de 1 a 2
cm sin tejido tumoral
› Estudios demuestran que el margen quirúrgico sin tumor ≥8
mm produjo una cifra grande de control local.
› Si el margen es < 8mm existe la posibilidad de 23 a 48% de
reaparición de la neoplasia.
Por tales razones, en las lesiones cerca del clítoris, el ano, la
uretra o la vagina se recurre al margen quirúrgico de 1cm sin
células tumorales, para conservar las características
anatómicas y obtener una ablación óptima.
INVASIÓN DEL ESPACIO VASCULAR LINFÁTICO
› Se denomina así a la identificación histológica de células
tumorales dentro de vasos linfáticos.
Es un elemento que anticipa la reaparición temprana de la
neoplasia
TRATAMIENTO
› MÉTODOS QUIRÚRGICOS
› Ablación local amplia
(vulvectomía parcial
simple)
› Vulvectomías radicales
(parcial y completa)
› La ablación local amplia permite obtener bordes operatorios
de 1 a 2 cm alrededor de la lesión; el borde cutáneo
profundo corresponde a la aponeurosis perineal superficial
› En la vulvectomía radical parcial se extirpan del todo los
segmentos de la vulva con neoplasia, sin importar el sitio
donde estén; los bordes cutáneos son de 1 a 2cm y se dirige
en sentido profundo hasta la membrana perineal.
› En la vulvectomía radical completa se procura que los bordes
quirúrgicos sean de 1 a 2 cm alrededor de los grander
tumores, y la disección se completa hasta llegar a la
membrana perineal
TUMORES MICROINVASORES (ESTADIO IA)
Las lesiones de este estadio tienen 2cm aproximadamente,
están circunscritas a la vulva o al perineo y la invasión del
estroma no excede de 1mm; poseen un riesgo casi nulo de
metástasis inguinales.
› Las pacientes con tumores de este estadio tienden a tener
menor edad y presentan enfermedad multifocal relacionada
a VPH
CÁNCERES VULVARES INCIPIENTES (ESTADIOS IB
A II)
› En estas lesiones, el tratamiento operatorio se inclina por un
procedimiento más conservador. Las lesiones que miden ≤2
cm de diámetro pero que invaden >1mm corresponden al
estadio IB, y pueden ser tratadas con vulvectomía radical
parcial
› Las lesiones >2cm con extensión a estructuras inferiores del
perineo (estadio II) se tratan con una ablación parcial radical
de mayor magnitud, llamada hemivulvectomía anterior con
uretrectomía distal y linfadenectomía inguinocrural bilateral.
CÁNCER VULVAR DE ESTADIO III
Estos cánceres comprenden la metástasis en ganglios.
Las mujeres con cáncer primario extirpable que haya enviado
metástasis a los ganglios inguinales se benefician de la
radiación pélvica y de la ingle, en el posoperatorio.
En forma típica, los ciclos de radiación comienzan 3 a 4
semanas después de la cirugía para permitir la cicatrización
adecuada.
CÁNCER VULVAR DE ESTADIO IVA
En este estadio los cánceres avanzados localmente abarcan la
zona superior de la uretra, la mucosa de la vejiga o del recto, o
los huesos pélvicos, y a veces se acompañan de metástasis en
ganglios inguinales o de ganglios ulcerados y fijos.
Pueden ser tratados con cirugía primaria radical.
Los cánceres no extirpables pueden ser tratados con
quimiorradiación para llevar la ablación al mínimo.
BIOPSIA DEL GANGLIO CENTINELA
El principio básico de este procedimiento es que el primer
ganglio linfático que recibe linfa del sitio de la neoplasia, que
se puede denominar ganglio linfático centinela, debe ser el
primer sitio de propagación de las células cancerosas por vasos
linfáticos.
En consecuencia, si el ganglio centinela no tiene metástasis,
ello equivaldría a que no hay tal propagación por vía linfática
en toda la cuenca de drenaje linfático.
VIGILANCIA
› Después del tratamiento primario, las pacientes son
sometidas a palpación de ganglios inguinales y tacto
ginecológico cada 3 meses los primeros 2 a 3 años. Después
exploraciones de vigilancia cada 6 meses hasta completar un
total de 5 años.
› Se puede tomar material de biopsia en caso de que surjan
áreas “dudosas”
RECIDIVAS
Recidivas vulvares
› Son las más comunes, por lo regular la mejor opción es una
nueva ablación operatoria, si son de menor tamaño es
apropiada la vulvectomía radical parcial, para las de mayor
tamaño, se aplica la vulvectomía radical completa.
› En mujeres no elegibles para cirugía cabe recurrir a la
radiación con haz externo.
Recidivas a distancia
Las recidivas en ganglios inguinales conllevan a un mal
pronóstico y casi siempre son precursoras de la muerte. Son
pocas las mujeres que viven al final del primer año de haber
presentado este diagnóstico.
Se puede brindar quimioterapia paliativa a mujeres con
metástasis a pelvis o a distancia, sin embargo son escasos los
casos que brindan una paliación eficaz.
TRATAMIENTO DURANTE EL EMBARAZO
› Se presentan rara vez, su incidencia es de 1 caso por 20,000
partos.
› Puede realizarse la vulvectomía radical completa o parcial
después del primer trimestre; después del tercer trimestre el
incremento del número de vasos de los genitales agrava la
morbilidad.
› Si el diagnóstico se hace a finales del tercer trimestre, la
cirugía definitiva debe realizarse después del parto, que es
recomendado 2 a 3 semanas posteriores.
OTRAS NEOPLASIAS VULVARES
› Melanoma
› Carcinoma basocelular
› Sarcoma vulvar
› Carcinoma de la glándula de Bartholin
› Enfermedad de Paget
› Metástasis cancerosas en la vulva
MELANOMA
› Ocupa el segundo lugar entre los cánceres de este órgano
› Su incidencia abarca entre los 50 a 80 años de edad.
› Afecta con mayor frecuencia a mujeres de raza blanca.
› Surge más a menudo en labios o en el clítoris.
› Se identifican tres tipos:
– Superficial maligno
– Nodular
– Acral lentiginoso
CARCINOMA
BASOCELULAR
Abarca 2% de todos los
cánceres vulvares
Se detecta en mujeres
mayores (ancianas)
Surge regularmente en labios
mayores
Se caracteriza por
hipopigmentación y prurito
Se recomienda la extirpación
por ablación local amplia y
dejar como mínimo un borde
operatorio de 1 cm.
SARCOMA VULVAR
› Los tipos histológicos más frecuentes son:
– Leiomiosarcoma
– Histiocitoma fibroso maligno
– Sarcoma epitelioide
– Tumor rabdoide maligno
› Aparecen en forma de masas aisladas en labios mayores,
clítoris o glándulas de Bartholin
› Su tratamiento recomendado es la cirugía primaria seguida de
radioterapia, quimioterapia o ambas.
› https://www.obgyn.theclinics.com/article/S0889-
8545(18)30096-2/fulltext
› https://journals.lww.com/jlgtd/Abstract/2022/07000/Risk_of_
Development_of_Vulvar_Cancer_in_Women_With.9.aspx
› https://www.scielo.org.mx/scielo.php?pid=S1870-
72032019000300305&script=sci_arttext
› http://www.revistas.unjbg.edu.pe/index.php/rmb/article/vie
w/1512
› https://www.sciencedirect.com/science/article/abs/pii/S1283
081X21454779

CÁNCER INVASOR DE LA VULVA.pptx

  • 1.
  • 2.
    BIBILIOGRAFÍA › Hoffman, BarbaraL., et al. Williams gynecology. cGraw-Hill Education, 2016. › Centers for Disease Control and Prevention. Genital HPV Infection – Fact Sheet. 2017. › Rasmussen, C. L., Sand, F. L., Hoffmann Frederiksen, M., Kaae Andersen, K. & Kjaer, S. K. (2017, 16 noviembre). Does HPV status influence survival after vulvar cancer? International Journal of Cancer, 142(6), 1158-1165. https://doi.org/10.1002/ijc.31139 › CUNNINGHAM G., MACDONALD P.,GANT N. Williams Obstetricia. 20a edición. Argentina: Editorial Medica Panamericana, 1999
  • 3.
    CRECIMIENTO DE CÉLULASCANCEROSAS Los tumores se caracterizan por un patrón de crecimiento tipo Gompertz. En pocas palabras, la masa tumoral requiere tiempos cada vez más prolongados para duplicar su tamaño conforme crece. • Microscópico e impalpable=crecimiento exponencial • Conforme crece, el número de células que se multiplican disminuye Hoffman, Barbara L., et al. Williams gynecology. cGraw- Hill Education, 2016.
  • 4.
    SÍFILIS Es una ITScausada por la espiroqueta Treponema pallidum, Mujeres con mayor riesgo: › Grupos socioeconómicos más bajos. › Adolescentes con inicio precoz de relaciones sexuales. › Gran número de parejas sexuales. Hoffman, Barbara L., et al. Williams gynecology. cGraw- Hill Education, 2016.
  • 5.
    La historia naturalde la sífilis en pacientes no tratadas se divide en cuatro etapas: 1. Sífilis primaria 2. Sífilis secundaria 3. Sífilis latente 4. Sífilis terciaria Hoffman, Barbara L., et al. Williams gynecology. cGraw- Hill Education, 2016.
  • 6.
    Sífilis primaria La lesiónprincipal de la infección se denomina chancro. › Úlcera aislada no dolorosa › Bordes redondeados y elevados › Base íntegra Se localizan generalmente en el cuello uterino, la vagina o la vulva; también pueden aparecer en la boca o alrededor del ano. Aparece 10 días-12 semanas después del contacto Incubación de tres semanas. Sin tratamiento, las lesiones se curan espontáneamente en seis semanas. Hoffman, Barbara L., et al. Williams gynecology. cGraw- Hill Education, 2016.
  • 8.
    Sífilis secundaria Esta fasese acompaña de bacteriemia aparece entre seis semanas y seis meses después del chancro. Su signo principal son los condilomas. › Eritema maculopapular › Se extiende por todo el cuerpo › En zonas húmedas y calientes genera placas color rosado o grisáceo › Muy infecciosas Hoffman, Barbara L., et al. Williams gynecology. cGraw- Hill Education, 2016.
  • 10.
    Diagnóstico › Microscopía decampo oscuro › Prueba directa de anticuerpos fluorescentes en un exudado › Examen de la reagina plasmática rápida › Absorción de anticuerpos treponémicos fluorescentes. Hoffman, Barbara L., et al. Williams gynecology. cGraw- Hill Education, 2016.
  • 11.
    Tratamiento › Penicilina benzatínica ›Citas cada seis meses para valoración clínica y pruebas serológicas. • Adultos y adolescentes: la dosis recomendada es de 2 400 000 UI administrada en dosis única vía IM • Niño: la dosis recomendada es de 50 000 UI/kg /día IM en dosis única hasta un máximo de 2 400 000 UI Hoffman, Barbara L., et al. Williams gynecology. cGraw- Hill Education, 2016.
  • 12.
    VIRUS DEL PAPILOMAHUMANO (VPH) › Virus de ADN de doble cadena simple con una cápside proteínica. › Infecta predominantemente células del epiteio escamoso o metaplásico. Factores de riesgo: Número de parejas sexuales Edad temprana en que ocurrió el primer coito. Hoffman, Barbara L., et al. Williams gynecology. cGraw- Hill Education, 2016.
  • 13.
    FORMAS DE TRANSMISIÓNDE VPH › Casi todas las infecciones de VPH genitales son consecuencia de relaciones sexuales › La infección cervicouterina de alto riesgo comúnmente se debe a actos sexuales penetrantes. › En mujeres sin actividad sexual puede ser causado por el uso de tampones o penetración digital › Existe la probabilidad de infecciones boca/genital y mano/genital Hoffman, Barbara L., et al. Williams gynecology. cGraw- Hill Education, 2016.
  • 14.
    TIPOS DE VPHDE BAJO RIESGO › Algunos tipos de VPH causan verrugas en o alrededor de los genitales y el ano. Debido a que estos tipos de VPH muy rara vez se convierten en cáncer, se les llama virus “de bajo riesgo” Hoffman, Barbara L., et al. Williams gynecology. cGraw- Hill Education, 2016.
  • 15.
    TIPOS DE VPHDE ALTO RIESGO › Son llamados de “alto riesgo” puesto que causan cáncer con el paso del tiempo. Los tipos más comunes de VPH de alto riesgo incluyen los tipos 16 y 18 del virus. Hoffman, Barbara L., et al. Williams gynecology. cGraw- Hill Education, 2016.
  • 17.
    RESULTADOS DE LAINFECCIÓN POR VPH La infección por HPV en genitales origina diversos desenlaces. La infección puede ser latente o expresa. Aún más, la expresión puede ser productiva y originar la formación de nuevos virus o de tipo neoplásico, que ocasione enfermedad preinvasora o cancerosa › La infección puede ser transitoria o persistente con la aparición de neoplasias o sin ellas (displasia o cáncer) › La neoplasia es el último resultado de la infección Hoffman, Barbara L., et al. Williams gynecology. cGraw- Hill Education, 2016.
  • 18.
    PREVALENCIA › La prevalenciapuntual en mujeres de 14 a 59 años es de 27% según datos de una prueba de cribado › Alcanza su máximo entre los 20 y 24 años de edad (45%) › La infección subclínica es mucho más frecuente que la infección clínica. Hoffman, Barbara L., et al. Williams gynecology. cGraw- Hill Education, 2016.
  • 19.
    DIAGNÓSTICO › El diagnósticoseguro se podrá hacer únicamente por la detección directa del ADN del VPH . › Es posible entrever la presencia de infección por HPV por el aspecto de las lesiones clínicas y los resultados de estudios citológicos, histológicos y colposcópicos, todos los cuales generan datos subjetivos y a menudo inexactos. Además, tampoco es fiable el método serológico y con ello es imposible diferenciar una infección pasada de otra actual Hoffman, Barbara L., et al. Williams gynecology. cGraw- Hill Education, 2016.
  • 20.
    TRATAMIENTO Se selecciona elmétodo según el tamaño, sitio y número de verrugas existentes. › Eliminación mecánica › Inmunomoduladores tópicos › Coagulación química o térmica › No existe un tratamiento eficaz contra la infección subclínica Hoffman, Barbara L., et al. Williams gynecology. cGraw- Hill Education, 2016.
  • 21.
    VACUNAS › La obtenciónreciente y constante de vacunas constituye el elemento promisorio de mayor importancia para evitar la infección por HPV y tal vez para limitar o revertir sus secuelas en personas infectadas. Hoffman, Barbara L., et al. Williams gynecology. cGraw- Hill Education, 2016.
  • 22.
    LESIONES PREINVASORAS DELA VULVA › Se sabe que 90% de los cánceres de vulva son escamosos y en algunos casos surge en forma lenta, inicialmente con cambios epiteliales precancerosos llamados neoplasia intraepitelial vulvar (VIN) › VIN no es análogo obligadamente con CIV, porque la vulva no tiene una zona de transformación, es un órgano queratinizado Hoffman, Barbara L., et al. Williams gynecology. cGraw- Hill Education, 2016.
  • 24.
    DIAGNÓSTICO La VIN puedeser asintomática y se identifica en la exploración ginecológica de rutina o durante valoración de la imagen citológica anormal de material cervicouterino o vaginal. Hoffman, Barbara L., et al. Williams gynecology. cGraw- Hill Education, 2016.
  • 25.
    TRATAMIENTO › Extirpación local ›No siempre se necesita la cirugía (VIN de grado bajo) › La extirpación local amplia puede desfigurar el aspecto de la zona y a veces obliga a realizar cirugía plástica o injertos de piel Hoffman, Barbara L., et al. Williams gynecology. cGraw- Hill Education, 2016.
  • 26.
    › Ablación › Laserde CO2 › A pesar de buenos resultados estéticos, no permite la valoración de la pieza quirúrgica › Antes de practicarla se necesita descartar la presencia de un carcinoma invasor. Hoffman, Barbara L., et al. Williams gynecology. cGraw- Hill Education, 2016.
  • 27.
    CÁNCER INVASOR DELA VULVA Es un cáncer poco común; comprende el 5% de las neoplasias del aparato reproductor de la mujer. › Es predominante en mujeres mayores, aunque también se ha observado en premenopáusicas › 2.5 casos por 100.000 mujeres
  • 28.
    ANATOMÍA La vulva comprende: ›Monte de venus › Labios (mayores y menores) › Clítoris › Vestíbulo › Bulbos vestibulares › Glándulas vestibulares o de Bartholin › Glándulas menores, pauretrales o de Skene › Orificios uretral y vaginal El cáncer vulvar puede abarcar cualquiera de estas estructuras.
  • 29.
    SUBTIPOS HISTOLÓGICOS La mayorparte de las neoplasias de la vulva provienen del epitelio pavimentoso › Este no posee una zona de transformación identificable. › Razón por la cual las neoplasias epidermoides aparecen en la llamada línea de Hart. › Borde entre el epitelio pavimentoso estratificado y queratinizado de la vulva que está en sentido externo, y la mucosa no queratinizada que está en sentido interno.
  • 31.
    FACTORES DE RIESGO ›Bajo estado socioeconómico › Comportamientos sexuales de alto riesgo › Infección por VPH › Tabaquismo
  • 32.
    INFECCIÓN POR VPH Laidentificación de HPV constituye un factor más importante de riesgo de cáncer vulvar si coexiste con otros factores como el tabaquismo y la infección de virus de herpes simple (HSV) › Las mujeres fumadoras con el antecedente de verrugas en genitales tienen un riesgo 35 veces mayor de presentar cáncer vulvar que aquellas sin los dos.
  • 33.
    VIRUS DE HERPESSIMPLE Se ha demostrado que el VHS tiene un vínculo con el cáncer vulvar, tal vínculo sobresale si existe la combinación con otros factores coexistentes como el tabaquismo.
  • 34.
    INMUNODEPRESIÓN La inmunodepresión crónicase ha vinculado de manera indirecta con el cáncer vulvar, y de manera específica los índiques de ataque de esta neoplasia han aumentado en mujeres con VIH. Una explicación posible sería la relación de VIH y los subtipos de VPH de alto riesgo. Sin embargo el cáncer vulvar no constituye una neoplasia “definitoria del VIH”.
  • 35.
    LIQUEN ESCLEROSO Se tratade una inflamación vulvar crónica particularmente relacionada con la génesis del cáncer vulvar. Los queratinocitos afectados en el liquen muestran un fenotipo proliferativo y pueden poseer marcadores de progresión neoplásica. Se ha observado que los cánceres de vulva que coexisten con liquen aparecen en mujeres mayores.
  • 36.
    NEOPLASIA INTRAEPITELIAL VULVAR ›No hay certeza de la evolución natural de VIN 3. › Muchas de las lesiones de VIN 3 no evolucionan, pero algunos señalamientos han mostrado que en un pequeño porcentaje de mujeres con más de 30 años de vida, las lesiones no tratadas evolucionan hasta llegar al cáncer invasor, en una media de 4 años
  • 37.
    SÍNTOMAS El cuadro inicialcon VIN y cáncer de vulva incluye el prurito y una lesión visible. Las manifestaciones iniciales incluyen: › Dolor › Hemorragia › Úlceras Estos signos pueden aparecer semanas o meses antes del diagnóstico.
  • 38.
    DIAGNÓSTICO Valoración inicial dela lesión En el comienzo de la vulvoscopía se aplica ácido acético al 3% durante 5 minutos a la vulva; después se debe revisar sistemáticamente toda la vulva y la piel perianal. Las lesiones pueden ser: Sobresalientes Ulceradas Hiperpigmentadas Verrugosas
  • 39.
    VALORACIÓN DE LAPACIENTE DE CÁNCER En esta etapa del diagnóstico, la exploración física detallada comprende medir el tumor primario y valorar su extensión a otras áreas. Si de imposibilita la exploración física por molestias de la paciente, se realiza la exploración bajo anestesia, que incluye cistouretroscopía o proctosigmoidoscopía. Ambos métodos se aplican si hay sospecha de que el tumor invadió la uretra, vejiga o el conducto anal
  • 40.
    En mujeres conmasas neoplásicas de mayor tamaño se recomiendan estudios por tomografía computarizada (TC), resonancia magnética (RM) o tomografía por emisión positrónica (PET) en busca de invasión local, afectación de ganglios linfáticos o metástasis a distancia.
  • 41.
  • 42.
    ESTADIO CARACTERÍSTICAS I Tumorcircunscrito a la vulva IA Lesiones ≤2 cm de diámetro confinadas a la vulva o el perineo y con invasión de estroma ≤1mm, sin metástasis ganglionares. IB Lesiones >2 cm de diámetro o con invasión de estroma >1mm, confinadas a la vulva o al perineo, sin metástasis ganglionares. II Tumores de cualquier tamaño que se extienden a estructuras perineales vecinas (tercio inferior de la uretra, de la vagina o el ano) sin metástasis ganglionares. III Tumor de cualquier tamaño con extensión (o sin ella) a estructuras perineales vecinas (tercios inferiores de uretra o vagina; ano) con metástasis a ganglios linfáticos inguinocrurales IIIA i. Con metástasis en un ganglio linfático (≥5 mm), o ii. Metástasis en 1 o 2 ganglios linfáticos (<5 mm) IIIB i. Con metástasis a dos o más ganglios linfáticos (≤5mm), o ii. Metástasis a tres o más ganglios linfáticos (<5 mm) IIIC Con metástasis a ganglios y propagación extracapsular IV El tumor invadió otras estructuras regionales (2/3 superiores de la uretra o de la vagina) o distantes IVA El tumor invadió cualquiera de las siguientes zonas: Mitad superior de la uretra, de la mucosa vaginal o de ambas estructuras, mucosa de vejiga y recto o ganglios fijados a hueso pélvico, o Ganglios linfáticos inguinocrurales fijos o ulcerados IVB Cualquier metástasis a distancia que incluya los ganglios pélvicos
  • 43.
    PRONÓSTICO Y FACTORESPRONÓSTICOS Las cifras de supervivencia quinquenal abarcan: › 70 a 90% en estadios I Y II › 50% en estadio III › 15% en estadio IV Factores: Tamaño de la lesión, profundidad de invasión, afectación de ganglios, morfología ganglionar, afectación del espacio ganglionar linfático y el estado de los bordes quirúrgicos.
  • 44.
    METÁSTASIS EN GANGLIOSLINFÁTICOS La metástasis en ganglios linfáticos constituye el elemento de mayor importancia en el cáncer vulvar, pues tal afectación disminuye la supervivencia a largo plazo (50%) › El estado ganglionar se valora por ablación quirúrgica y el estudio histopatológico
  • 45.
    BORDES OPERATORIOS Por costumbre,se busca que el margen quirúrgico sea de 1 a 2 cm sin tejido tumoral › Estudios demuestran que el margen quirúrgico sin tumor ≥8 mm produjo una cifra grande de control local. › Si el margen es < 8mm existe la posibilidad de 23 a 48% de reaparición de la neoplasia. Por tales razones, en las lesiones cerca del clítoris, el ano, la uretra o la vagina se recurre al margen quirúrgico de 1cm sin células tumorales, para conservar las características anatómicas y obtener una ablación óptima.
  • 46.
    INVASIÓN DEL ESPACIOVASCULAR LINFÁTICO › Se denomina así a la identificación histológica de células tumorales dentro de vasos linfáticos. Es un elemento que anticipa la reaparición temprana de la neoplasia
  • 47.
    TRATAMIENTO › MÉTODOS QUIRÚRGICOS ›Ablación local amplia (vulvectomía parcial simple) › Vulvectomías radicales (parcial y completa)
  • 48.
    › La ablaciónlocal amplia permite obtener bordes operatorios de 1 a 2 cm alrededor de la lesión; el borde cutáneo profundo corresponde a la aponeurosis perineal superficial › En la vulvectomía radical parcial se extirpan del todo los segmentos de la vulva con neoplasia, sin importar el sitio donde estén; los bordes cutáneos son de 1 a 2cm y se dirige en sentido profundo hasta la membrana perineal. › En la vulvectomía radical completa se procura que los bordes quirúrgicos sean de 1 a 2 cm alrededor de los grander tumores, y la disección se completa hasta llegar a la membrana perineal
  • 50.
    TUMORES MICROINVASORES (ESTADIOIA) Las lesiones de este estadio tienen 2cm aproximadamente, están circunscritas a la vulva o al perineo y la invasión del estroma no excede de 1mm; poseen un riesgo casi nulo de metástasis inguinales. › Las pacientes con tumores de este estadio tienden a tener menor edad y presentan enfermedad multifocal relacionada a VPH
  • 51.
    CÁNCERES VULVARES INCIPIENTES(ESTADIOS IB A II) › En estas lesiones, el tratamiento operatorio se inclina por un procedimiento más conservador. Las lesiones que miden ≤2 cm de diámetro pero que invaden >1mm corresponden al estadio IB, y pueden ser tratadas con vulvectomía radical parcial › Las lesiones >2cm con extensión a estructuras inferiores del perineo (estadio II) se tratan con una ablación parcial radical de mayor magnitud, llamada hemivulvectomía anterior con uretrectomía distal y linfadenectomía inguinocrural bilateral.
  • 52.
    CÁNCER VULVAR DEESTADIO III Estos cánceres comprenden la metástasis en ganglios. Las mujeres con cáncer primario extirpable que haya enviado metástasis a los ganglios inguinales se benefician de la radiación pélvica y de la ingle, en el posoperatorio. En forma típica, los ciclos de radiación comienzan 3 a 4 semanas después de la cirugía para permitir la cicatrización adecuada.
  • 53.
    CÁNCER VULVAR DEESTADIO IVA En este estadio los cánceres avanzados localmente abarcan la zona superior de la uretra, la mucosa de la vejiga o del recto, o los huesos pélvicos, y a veces se acompañan de metástasis en ganglios inguinales o de ganglios ulcerados y fijos. Pueden ser tratados con cirugía primaria radical. Los cánceres no extirpables pueden ser tratados con quimiorradiación para llevar la ablación al mínimo.
  • 54.
    BIOPSIA DEL GANGLIOCENTINELA El principio básico de este procedimiento es que el primer ganglio linfático que recibe linfa del sitio de la neoplasia, que se puede denominar ganglio linfático centinela, debe ser el primer sitio de propagación de las células cancerosas por vasos linfáticos. En consecuencia, si el ganglio centinela no tiene metástasis, ello equivaldría a que no hay tal propagación por vía linfática en toda la cuenca de drenaje linfático.
  • 56.
    VIGILANCIA › Después deltratamiento primario, las pacientes son sometidas a palpación de ganglios inguinales y tacto ginecológico cada 3 meses los primeros 2 a 3 años. Después exploraciones de vigilancia cada 6 meses hasta completar un total de 5 años. › Se puede tomar material de biopsia en caso de que surjan áreas “dudosas”
  • 57.
    RECIDIVAS Recidivas vulvares › Sonlas más comunes, por lo regular la mejor opción es una nueva ablación operatoria, si son de menor tamaño es apropiada la vulvectomía radical parcial, para las de mayor tamaño, se aplica la vulvectomía radical completa. › En mujeres no elegibles para cirugía cabe recurrir a la radiación con haz externo.
  • 58.
    Recidivas a distancia Lasrecidivas en ganglios inguinales conllevan a un mal pronóstico y casi siempre son precursoras de la muerte. Son pocas las mujeres que viven al final del primer año de haber presentado este diagnóstico. Se puede brindar quimioterapia paliativa a mujeres con metástasis a pelvis o a distancia, sin embargo son escasos los casos que brindan una paliación eficaz.
  • 59.
    TRATAMIENTO DURANTE ELEMBARAZO › Se presentan rara vez, su incidencia es de 1 caso por 20,000 partos. › Puede realizarse la vulvectomía radical completa o parcial después del primer trimestre; después del tercer trimestre el incremento del número de vasos de los genitales agrava la morbilidad. › Si el diagnóstico se hace a finales del tercer trimestre, la cirugía definitiva debe realizarse después del parto, que es recomendado 2 a 3 semanas posteriores.
  • 60.
    OTRAS NEOPLASIAS VULVARES ›Melanoma › Carcinoma basocelular › Sarcoma vulvar › Carcinoma de la glándula de Bartholin › Enfermedad de Paget › Metástasis cancerosas en la vulva
  • 61.
    MELANOMA › Ocupa elsegundo lugar entre los cánceres de este órgano › Su incidencia abarca entre los 50 a 80 años de edad. › Afecta con mayor frecuencia a mujeres de raza blanca. › Surge más a menudo en labios o en el clítoris. › Se identifican tres tipos: – Superficial maligno – Nodular – Acral lentiginoso
  • 63.
    CARCINOMA BASOCELULAR Abarca 2% detodos los cánceres vulvares Se detecta en mujeres mayores (ancianas) Surge regularmente en labios mayores Se caracteriza por hipopigmentación y prurito Se recomienda la extirpación por ablación local amplia y dejar como mínimo un borde operatorio de 1 cm.
  • 64.
    SARCOMA VULVAR › Lostipos histológicos más frecuentes son: – Leiomiosarcoma – Histiocitoma fibroso maligno – Sarcoma epitelioide – Tumor rabdoide maligno › Aparecen en forma de masas aisladas en labios mayores, clítoris o glándulas de Bartholin › Su tratamiento recomendado es la cirugía primaria seguida de radioterapia, quimioterapia o ambas.
  • 68.
    › https://www.obgyn.theclinics.com/article/S0889- 8545(18)30096-2/fulltext › https://journals.lww.com/jlgtd/Abstract/2022/07000/Risk_of_ Development_of_Vulvar_Cancer_in_Women_With.9.aspx ›https://www.scielo.org.mx/scielo.php?pid=S1870- 72032019000300305&script=sci_arttext › http://www.revistas.unjbg.edu.pe/index.php/rmb/article/vie w/1512 › https://www.sciencedirect.com/science/article/abs/pii/S1283 081X21454779