Incrustar presentación
Descargar para leer sin conexión














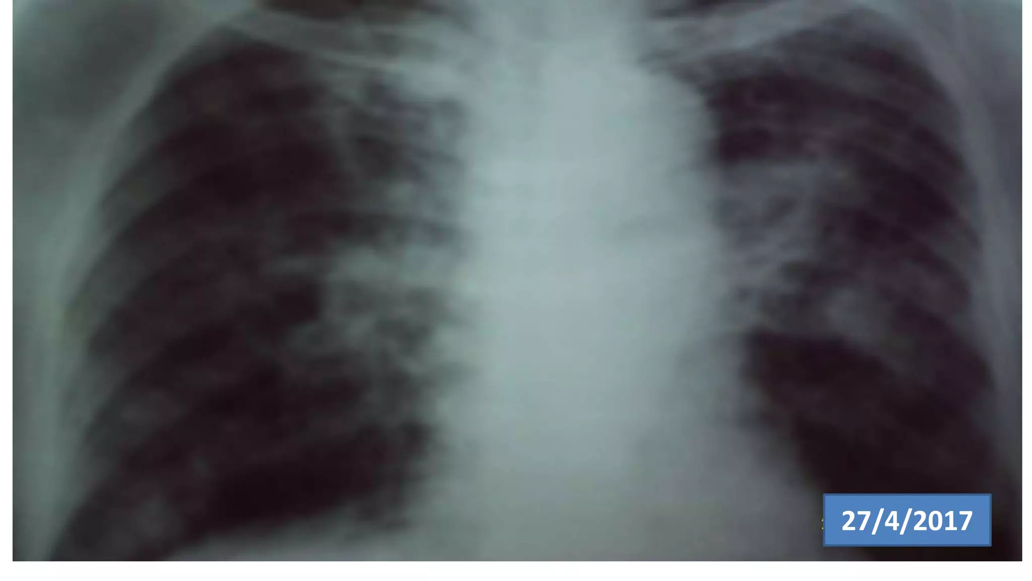
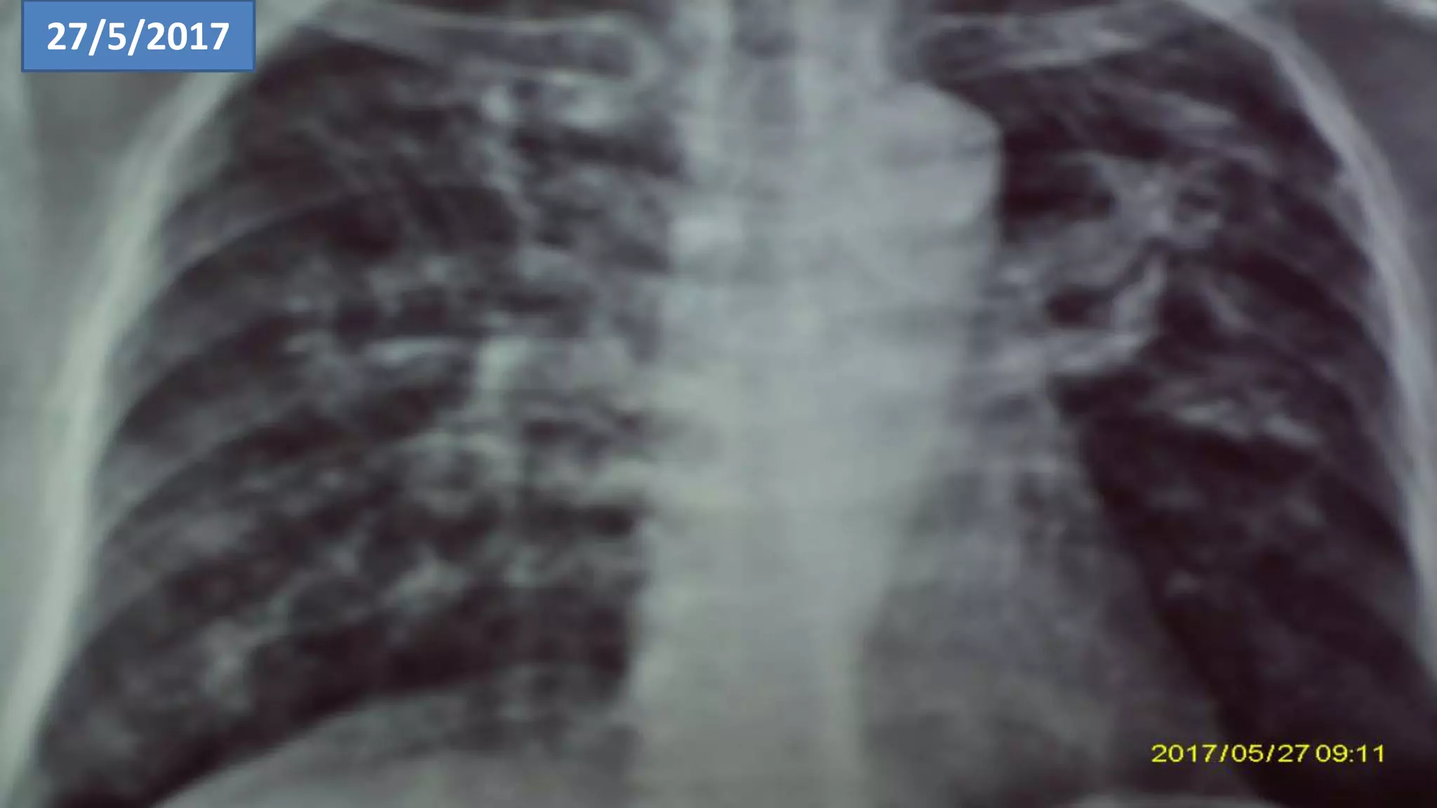
El documento presenta el caso de un paciente de 73 años con tuberculosis pulmonar que recibió tratamiento convencional enriquecido con medicina complementaria, incluyendo magnetoterapia y fitoterapia. Después de un mes, se observó una notable mejora bacteriológica y radiográfica, desde la negativización del bacilo de Koch en el esputo hasta un acelerado proceso de cicatrización en los pulmones. El paciente también mostró mejoría clínica, disminuyendo síntomas como tos y disnea, y aumentando de peso.












