IMÁGENES DE LA
GLANDULA MAMARIA
Dr. Johan Alberto Durán Guerrero
Médico Radiólogo
Departamento de Imágenes Diagnósticas
Facultad de Medicina
Universidad Nacional de Colombia
Aproximación diagnóstica al cáncer de seno
2
OBJETIVOS
✔ Dar a conocer los principales aspectos epidemiológicos del cáncer
de seno y el rol de las imágenes en su manejo integral.
✔ Exponer las indicaciones y el rendimiento diagnóstico de cada
modalidad de imagen en el abordaje del cáncer de seno.
✔ Presentar el BIRADS como una herramienta para estandarizar los
reportes e interpretaciones de estudios por imagen de la mama
facilitando la toma de decisiones.
• 22% de todos los cánceres en mujeres en el
mundo.
• 1 de cada 8 mujeres sufrirán de cáncer de seno
durante su vida.
• 8686 casos nuevos / año en Colombia
• 2.649 muertes / año
EPIDEMIOLOGÍA
• Edad: 10
• Densidad mamaria : 5
• Cáncer seno contralateral : 4
• Exposición a radiación ionizante: 3
• Historia familiar en primer grado : 2
• No lactancia y no paridad. 2
• Hormonas exogenas, reemplazo, anticonceptivos: 1-2
FACTORES DE RIESGO
I. Anatómicos
• Ecografía.
• Mamografía.
• Resonancia Magnética
con contraste (RM).
• Tomosintesis.
MODALIDADES DIAGNÓSTICAS
II. Funcionales
• RM (Espectroscopia,
perfusion y difusión).
7
MAMOGRAFÍA
• Costo razonable.
• Bajo riesgo.
• Fácil acceso.
• Tecnología y operador dependientes.
• Alta sensibilidad: (90%) y moderada
especificidad: (80%).
MAMOGRAFÍA
• El mayor rol de la mamografía es la detección temprana del
cáncer de seno en mujeres asintomáticas.
• No existe prueba o conjunto de pruebas diagnósticas que
pueda descartar con 100% de seguridad un cáncer de seno.
MAMOGRAFÍA
Proyección craneo-caudal (CC)
Proyección mediolateral-olblicua (MLO)
• Tomar mamografía anual iniciando desde los 40 años.
• A menor edad ( 35 años) con factores de riesgo.
• Finalización : se debe continuar si la mujer posee un estado de
salud razonablemente bueno y puede ser candidata a
tratamiento (aprox. 10 años de expectativa de sobrevida).
✔ Recomendaciones del Colegio Americano de Radiología
TAMIZAJE MAMOGRÁFICO
Reducción mortalidad global : 15-20 %
– Guia de practica clínica para el
diagnostico, manejo y
seguimiento del cáncer de
seno. MPS – Colciencias –
INC. 2013
TAMIZAJE MAMOGRÁFICO
EN COLOMBIA
RECOMENDACIONES DE TAMIZAJE
PARA COLOMBIA
• Orientada para país en vías de desarrollo.
• Detección temprana (estadios I y II).
• Autoexamen de la mama no se recomienda como
tamización.
✔ Examen clínico de la mama anual.
✔ Mamografía: cada dos años de 50 – 69 años.
SEMIOLOGIA MAMOGRÁFICA
1. Masas.
2. Microcalcificaciones
3. Asimetrias
4. Distorsión de la arquitectura
SEMIOLOGIA MAMOGRÁFICA
1. Masas.
2. Microcalcificaciones
3. Asimetrias
4. Distorsión de la arquitectura
• FDA : 2011 como adyuvante a la
mamografía
• Principio de la tomografía lineal
• Uso en senos densos reduce falsos
negativos
• Incremento en la dosis de radiación
• Mayor tiempo de estudio
NUEVAS TECNOLOGIAS:
TOMOSÍNTESIS
1
8
1
9
Sistema BIRADS
Sistema de Informes y Registro de Datos de Imagen de la Mama
5 Ed. 2013
BIRADS - Objetivos
• Estandarizar la presentación de Informes
mamográficos.
• Reduce la confusión en la Interpretación de
Imágenes Mamarias.
• Facilita en Seguimiento de resultados.
• Herramienta de Garantía de Calidad.
• Instrumento de investigación y auditoria.
TRANSITORIO
BIRADS 0: VALORACIÓN INCOMPLETA. Se requieren imágenes
adicionales para valoración adecuada.
CATEGORIAS BIRADS
1: MAMOGRAFIA NEGATIVA. Control anual.
2: CAMBIOS BENIGNOS. Control anual.
3: HALLAZGOS PROBABLEMENTE BENIGNOS. Estudios de control
(6,12 y 18 meses). Malignidad : < 2 %.
4: ANORMALIDAD SOSPECHOSA. Biopsia. Malignidad: 2-95 %.
4A: 2-10%. 4B:10-50%. 4C:50-95%
5: ALTAMENTE SOSPECHOSO DE MALIGNIDAD. Biopsia. Malignidad:
> 95 %.
6: MALIGNIDAD CONOCIDA. Control.
CATEGORIAS BIRADS
Birads – 0 Valoración incompleta
Birads 1 – Mamografía Negativa
Birads 2 – Hallazgos benignos
Birads 3 - Hallazgos
probablemente benignos
MLO
CC
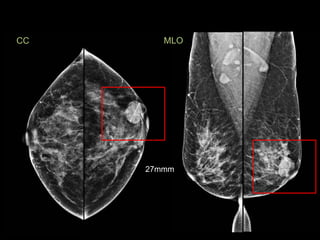
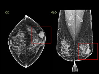
Birads 4 - Sospechoso de
malignidad
Nódulo palpable
MLO
CC
MLO
CC
27mmm
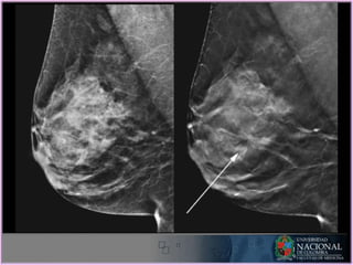
Birads 4 - Sospechoso de
malignidad
Carcinoma mucinoso
Birads 5 - Altamente sugestivo de
malignidad
3
3
ECOGRAFÍA
ECOGRAFIA - Técnica
Se recomienda transductores
lineales de alta frecuencia,
“no menores de 12 MHz”(
que consiga una penetración
hasta la pared torácica
adecuada para la evaluación
de la mama).
12 MHz
Indicaciones:
1. Exámen diagnóstico:
• Jóvenes menores 40 años.
• Lactancia y embarazo.
• Procesos inflamatorios o infecciosos
• Mama masculina.
• Evaluación de prótesis.
• Seguimiento de lesiones benignas.
ECOGRAFIA - Indicaciones
Mujer de 55 años Mujer de 35 años
Hombre de 71 años
Hombre de 71 años
ECOGRAFIA - Indicaciones
Indicaciones:
2. Prueba complementaria:
• Caracterizar alteración mamográfica (90 % diferencia
quístico de solido).
• Valorar alteración identificada en una sola proyección
mamográfica.
ECOGRAFIA - Indicaciones
Indicaciones:
3. Guía de procedimientos:
• Biopsias con aguja fina (BACAF).
• Biopsias con aguja gruesa (Trucut).
• Marcación con arpón.
• Drenaje de colecciones.
LOCALIZACIÓN
Derecho Izquierdo
Profundidad de la lesión Distancia desde el pezón
• Bajo costo.
• Uso extensivo.
• Fácil acceso y realización.
• Capacidad multiplanar.
• Excelente para guía de
procedimientos.
FORTALEZAS
• Operador dependiente.
• Tecnología dependiente. Mínimo trasductor lineal de
12 MHz.
• NO CARACTERIZA las microcalcificaciones.
• Baja sensibilidad en cáncer : 48 %.
• No es método de tamizaje.
DEBILIDADES
4
6
RESONANCIA MAGNÉTICA
RESONANCIA MAGNÉTICA
• Obtención de imagen médica de las glandulas mamarias,
empleando la suceptibilidad magnética de los atomos.
• Pilares :
– Anatomicas: (BI-RADS). Captacion de contraste
(Angiogenesis).
– Funcionales: Espectroscopia - Perfusión.
• Sensibilidad: 95-97 %. Especificidad: 75 %.
RM - Indicaciones
• Estadiaje de la enfermedad. Multifocalidad.
Compromiso ganglionar.
• Detección temprana (pacientes con alto riesgo).
• Seguimiento quimioterapia.
• Extensión a la pared del tórax.
• Integridad de los implantes (Prótesis).
RM - Limitaciones
• Cáncer y enfermedad inflamatoria se sobrelapan. Falsos
positivos.
• No detecta microcalcificaciones.
• Obesidad.
• Artefactos.
– Implantes u otros objetos de metal
– Movimiento del paciente.
• Costo alto. Requiere contraste.
1. El cáncer de seno es la patología oncológica más
frecuente en las mujeres. 1 de cada 8 sufrirá cáncer
de seno durante su vida.
2. Mamografía: Es la prueba de tamizaje por su alta
sensibilidad. El BI-RADS es una herramienta para
estandarizar los informes radiológicos y orientar la
conducta.
jadurang@unal.edu.co
CONCLUSIONES
3. Ecografía: Su principal papel es como estudio
complementario. Permite diferenciar lesiones quísticas de
nódulos solidos y estudiar senos densos.
4. RM: Estadiaje del cáncer de seno / Tamizaje en mujer de
alto riesgo.
jadurang@unal.edu.co
CONCLUSIONES

Imágenes de la glándula mamaria.pptx.pdf

  • 1.
    IMÁGENES DE LA GLANDULAMAMARIA Dr. Johan Alberto Durán Guerrero Médico Radiólogo Departamento de Imágenes Diagnósticas Facultad de Medicina Universidad Nacional de Colombia Aproximación diagnóstica al cáncer de seno
  • 2.
    2 OBJETIVOS ✔ Dar aconocer los principales aspectos epidemiológicos del cáncer de seno y el rol de las imágenes en su manejo integral. ✔ Exponer las indicaciones y el rendimiento diagnóstico de cada modalidad de imagen en el abordaje del cáncer de seno. ✔ Presentar el BIRADS como una herramienta para estandarizar los reportes e interpretaciones de estudios por imagen de la mama facilitando la toma de decisiones.
  • 3.
    • 22% detodos los cánceres en mujeres en el mundo. • 1 de cada 8 mujeres sufrirán de cáncer de seno durante su vida. • 8686 casos nuevos / año en Colombia • 2.649 muertes / año EPIDEMIOLOGÍA
  • 5.
    • Edad: 10 •Densidad mamaria : 5 • Cáncer seno contralateral : 4 • Exposición a radiación ionizante: 3 • Historia familiar en primer grado : 2 • No lactancia y no paridad. 2 • Hormonas exogenas, reemplazo, anticonceptivos: 1-2 FACTORES DE RIESGO
  • 6.
    I. Anatómicos • Ecografía. •Mamografía. • Resonancia Magnética con contraste (RM). • Tomosintesis. MODALIDADES DIAGNÓSTICAS II. Funcionales • RM (Espectroscopia, perfusion y difusión).
  • 7.
  • 8.
    • Costo razonable. •Bajo riesgo. • Fácil acceso. • Tecnología y operador dependientes. • Alta sensibilidad: (90%) y moderada especificidad: (80%). MAMOGRAFÍA
  • 9.
    • El mayorrol de la mamografía es la detección temprana del cáncer de seno en mujeres asintomáticas. • No existe prueba o conjunto de pruebas diagnósticas que pueda descartar con 100% de seguridad un cáncer de seno. MAMOGRAFÍA
  • 11.
    Proyección craneo-caudal (CC) Proyecciónmediolateral-olblicua (MLO)
  • 12.
    • Tomar mamografíaanual iniciando desde los 40 años. • A menor edad ( 35 años) con factores de riesgo. • Finalización : se debe continuar si la mujer posee un estado de salud razonablemente bueno y puede ser candidata a tratamiento (aprox. 10 años de expectativa de sobrevida). ✔ Recomendaciones del Colegio Americano de Radiología TAMIZAJE MAMOGRÁFICO Reducción mortalidad global : 15-20 %
  • 13.
    – Guia depractica clínica para el diagnostico, manejo y seguimiento del cáncer de seno. MPS – Colciencias – INC. 2013 TAMIZAJE MAMOGRÁFICO EN COLOMBIA
  • 14.
    RECOMENDACIONES DE TAMIZAJE PARACOLOMBIA • Orientada para país en vías de desarrollo. • Detección temprana (estadios I y II). • Autoexamen de la mama no se recomienda como tamización. ✔ Examen clínico de la mama anual. ✔ Mamografía: cada dos años de 50 – 69 años.
  • 15.
    SEMIOLOGIA MAMOGRÁFICA 1. Masas. 2.Microcalcificaciones 3. Asimetrias 4. Distorsión de la arquitectura
  • 16.
    SEMIOLOGIA MAMOGRÁFICA 1. Masas. 2.Microcalcificaciones 3. Asimetrias 4. Distorsión de la arquitectura
  • 17.
    • FDA :2011 como adyuvante a la mamografía • Principio de la tomografía lineal • Uso en senos densos reduce falsos negativos • Incremento en la dosis de radiación • Mayor tiempo de estudio NUEVAS TECNOLOGIAS: TOMOSÍNTESIS
  • 18.
  • 19.
  • 20.
    Sistema BIRADS Sistema deInformes y Registro de Datos de Imagen de la Mama 5 Ed. 2013
  • 21.
    BIRADS - Objetivos •Estandarizar la presentación de Informes mamográficos. • Reduce la confusión en la Interpretación de Imágenes Mamarias. • Facilita en Seguimiento de resultados. • Herramienta de Garantía de Calidad. • Instrumento de investigación y auditoria.
  • 22.
    TRANSITORIO BIRADS 0: VALORACIÓNINCOMPLETA. Se requieren imágenes adicionales para valoración adecuada. CATEGORIAS BIRADS
  • 23.
    1: MAMOGRAFIA NEGATIVA.Control anual. 2: CAMBIOS BENIGNOS. Control anual. 3: HALLAZGOS PROBABLEMENTE BENIGNOS. Estudios de control (6,12 y 18 meses). Malignidad : < 2 %. 4: ANORMALIDAD SOSPECHOSA. Biopsia. Malignidad: 2-95 %. 4A: 2-10%. 4B:10-50%. 4C:50-95% 5: ALTAMENTE SOSPECHOSO DE MALIGNIDAD. Biopsia. Malignidad: > 95 %. 6: MALIGNIDAD CONOCIDA. Control. CATEGORIAS BIRADS
  • 24.
    Birads – 0Valoración incompleta
  • 25.
    Birads 1 –Mamografía Negativa
  • 26.
    Birads 2 –Hallazgos benignos
  • 27.
    Birads 3 -Hallazgos probablemente benignos
  • 28.
    MLO CC Birads 4 -Sospechoso de malignidad Nódulo palpable
  • 29.
  • 30.
  • 31.
    Birads 4 -Sospechoso de malignidad Carcinoma mucinoso
  • 32.
    Birads 5 -Altamente sugestivo de malignidad
  • 33.
  • 34.
    ECOGRAFIA - Técnica Serecomienda transductores lineales de alta frecuencia, “no menores de 12 MHz”( que consiga una penetración hasta la pared torácica adecuada para la evaluación de la mama). 12 MHz
  • 35.
    Indicaciones: 1. Exámen diagnóstico: •Jóvenes menores 40 años. • Lactancia y embarazo. • Procesos inflamatorios o infecciosos • Mama masculina. • Evaluación de prótesis. • Seguimiento de lesiones benignas. ECOGRAFIA - Indicaciones
  • 36.
    Mujer de 55años Mujer de 35 años
  • 37.
  • 38.
  • 39.
    ECOGRAFIA - Indicaciones Indicaciones: 2.Prueba complementaria: • Caracterizar alteración mamográfica (90 % diferencia quístico de solido). • Valorar alteración identificada en una sola proyección mamográfica.
  • 41.
    ECOGRAFIA - Indicaciones Indicaciones: 3.Guía de procedimientos: • Biopsias con aguja fina (BACAF). • Biopsias con aguja gruesa (Trucut). • Marcación con arpón. • Drenaje de colecciones.
  • 43.
    LOCALIZACIÓN Derecho Izquierdo Profundidad dela lesión Distancia desde el pezón
  • 44.
    • Bajo costo. •Uso extensivo. • Fácil acceso y realización. • Capacidad multiplanar. • Excelente para guía de procedimientos. FORTALEZAS
  • 45.
    • Operador dependiente. •Tecnología dependiente. Mínimo trasductor lineal de 12 MHz. • NO CARACTERIZA las microcalcificaciones. • Baja sensibilidad en cáncer : 48 %. • No es método de tamizaje. DEBILIDADES
  • 46.
  • 47.
    RESONANCIA MAGNÉTICA • Obtenciónde imagen médica de las glandulas mamarias, empleando la suceptibilidad magnética de los atomos. • Pilares : – Anatomicas: (BI-RADS). Captacion de contraste (Angiogenesis). – Funcionales: Espectroscopia - Perfusión. • Sensibilidad: 95-97 %. Especificidad: 75 %.
  • 48.
    RM - Indicaciones •Estadiaje de la enfermedad. Multifocalidad. Compromiso ganglionar. • Detección temprana (pacientes con alto riesgo). • Seguimiento quimioterapia. • Extensión a la pared del tórax. • Integridad de los implantes (Prótesis).
  • 50.
    RM - Limitaciones •Cáncer y enfermedad inflamatoria se sobrelapan. Falsos positivos. • No detecta microcalcificaciones. • Obesidad. • Artefactos. – Implantes u otros objetos de metal – Movimiento del paciente. • Costo alto. Requiere contraste.
  • 51.
    1. El cáncerde seno es la patología oncológica más frecuente en las mujeres. 1 de cada 8 sufrirá cáncer de seno durante su vida. 2. Mamografía: Es la prueba de tamizaje por su alta sensibilidad. El BI-RADS es una herramienta para estandarizar los informes radiológicos y orientar la conducta. jadurang@unal.edu.co CONCLUSIONES
  • 52.
    3. Ecografía: Suprincipal papel es como estudio complementario. Permite diferenciar lesiones quísticas de nódulos solidos y estudiar senos densos. 4. RM: Estadiaje del cáncer de seno / Tamizaje en mujer de alto riesgo. jadurang@unal.edu.co CONCLUSIONES