HOSPITAL CENTRAL NORTE PEMEX
Dr. Alfonso Pérez Ruíz R1 IDXyTX
BIRADS
US, MASTOGRAFIA, RM
SISTEMA ACR BI-RADS
• El sistema de Informes y Registro de datos de imagen de la mama
ACR BI-RADS es el producto de la colaboración entre miembros de
varios comités: Colegio Americano de Radiología (ACR), Instituto
Nacional de Cáncer, Colegio Americano de Cirujanos, Colegio
Americano de Patólogos, entre otros
• 1992
• 1993,96,98 y 2003
• 2006
OBJETIVO
• Herramienta útil que ayuda al control de calidad
diseñada para estandarizar los informes mamográficos,
reducir la confusión en la interpretación y facilitar el
control posterior.
• Reportes claros, comprensibles y decisivos
• Unificar criterios entre radiólogos y clínicos (vigilancia o
biopsia)
1. Léxico (Nomenclatura) del estudio de la
mama
2. Sistema de informes
1. Indicación del estudio
2. Composición de la mama
3. Hallazgos (nódulos o
calcificaciones) y sus
características
4. Comparación con estudios previos
5. Valoración final (incluyendo grado
de importancia y recomendaciones
pertinentes)
MASTOGRAFIA
MASTOGRAFIA DE ESTCRUTINIO
• Mujeres de 40 a 49 años con dos o más factores de riesgo
(anual o cada 2 años)
• Anual a toda mujer de 50 años o más por indicación médica
y con autorización de la interesada
• A toda mujer con un familiar (madre o hermana) con cáncer
de mama antes de los 40 años, realizar 10 años antes de la
edad en que se presentó el cáncer en el familiar
MASTOGRAFIA
MASTOGRAFÍA DIAGNÓSTICA
• Mujeres con signos y síntomas clínicos que
sugieren cáncer de mama o quienes necesitan
una evaluación adicional debido a un examen
mamográfico de detección anormal.
MASTOGRAFÍA DIAGNÓSTICA
• INTERROGATORIO Y EXPLORACIÓN FÍSICA
• Factores de riesgo
• Signos y síntomas
• Tratamientos
• Estudios previos
• EXPLORACIÓN FÍSICA
• PROYECCIONES ADICIONALES
• Craneocaudal exagerada
• Prolongación axilar
• Latero medial o mediolateral
• Compresión localizada
• Magnificación
• SEGUNDA OPINIÓN
• Opinión emitida (escrita o verbal) por otro médico
radiólogo
MASTOGRAFÍA
ESTUDIOS PREVIOS
• Comparar
ULTRASONIDO
• Mamas densas
• Caracterización de nódulo palpable mastográficamente no
visible
• Caracterización de nódulo mastográficamente visible
• Caracterización de asimetría focal
• Aplicación de Doppler
• Biopsia
IRM Cicatrices, implantes, multicentricidad, multifocalidad, respuesta
a tratamiento, recidiva, antecedente BRCA 1,2
ULTRASONIDO
• Mujeres menores de 40 años
• Autoexploración anormar
• Mas barato y accesible
• Complementario a mastografia
RM
• Poco común su uso
• Mas caro
• Ventaja: RM + contraste = mayor sensibilidad
para Ca infiltrante
PATRÓN DE TEJIDO
MAMARIO
PATRÓN DEL TEJIDO GLANDULAR
MAMOGRÁFICO (COMPOSICIÓN
TISULAR MAMARIA):
1. Fibroadiposo escasa cantidad(- 25 %
glándula)
2. Fibroglandular moderada cantidad (25-50%
glándula)
3. Densidad heterogénea (51-75% glándula)
4. Extremadamente denso(+ 75% glándula)
FIBROGLANDULAR ESCASA CANTIDAD
FIBROGLANDULAR MODERADA CANTIDAD
HETEROGENEAMENTE DENSO
EXTREMADAMENTE DENSO
PATRÓN DEL TEJIDO GLANDULAR
ECOGRÁFICO:
1. Ecoestructura homogénea grasa
2. Ecoestructura homogénea
fibroglandular
3. Ecoestructura heterogénea
NOMENCLATURA
Forma
REDONDA OVALADA LOBULADA IRREGULAR
CIRCUNSCRITOS BORROSOS MICROLOBULADO MAL DEFINIDOS ESPICULADOS
Bordes/Márgenes
Lesión ocupante de espacio visible en dos proyecciones.
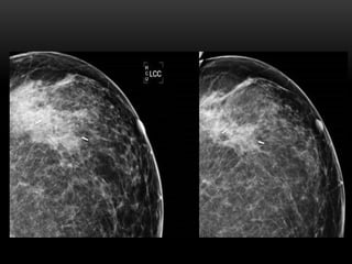
Nódulos (mamografía)
Densidad
• Baja densidad sin contenido graso
• Baja densidad con contenido graso
• Isodenso
• Alta densidad
Localización y número
Nódulos (mamografía)
Nódulos (mamografía)
Forma
Ovalada
Redondeada
Irregular
Orientación
Paralela
No paralela
Márgenes
Circunscritos
No circunscritos
Límites de la lesión
Interfase abrupta
Halo ecogénico
Patrón ecogénico
Anecogénico
Hiperecogénico
Complejo
Hipoecogénico
Isoecogénico
Hallazgos acústicos
posteriores
Sin hallazgos
posteriores
Refuerzo posterior
Sombra acústica
Mixto
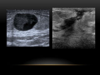
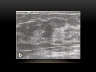
Nódulos (ecografía)
CSE CSI
CIICIE
Plano superficial
Plano
medio
Plano
profundoPlano
retroareolar
12
1
2
3
4
8
9
10
11
Planomedio
Planoanterior
Planoposterior
Plano
retroareolar
A B C
Mama derecha
UBICACIÓN DE LA LESIÓN
Nódulos (ecografía)
ASIMETRIA (MASTOGRAFIA)
• Posible imagen nodular que se visualiza en una sola proyección,
sin bordes convexos
CALCIFICACIONES BENIGNAS
CALCIFICACIONES BENIGNAS
CAMBIOS POSTQUIRÚRGICOS
CALCIFICACIONES BENIGNAS
CALCIFICACIÓN ANULAR
CALCIFICACIONES CON
SOSPECHA INTERMEDIA
Calcificaciones sospechosas
de malignidad
Calcificaciones sospechosas de malignidad
Calcificaciones de aspecto maligno
Calcificaciones sugestivas de malignidad
DISTRIBUCIÓN DE
CALCIFICACIONES
Área focal del tejido fibroglandular que aparece espiculado sin masa, pero retrae el parenquima
normal
PostQx: Permanece estable o disminuye. Si aumenta sospecha de malignidad.
Distorsión de la arquitectura
Casos especiales Hallazgos asociados
• Estructura tubular
asimétrica/conducto
solitario dilatado
• Ganglios linfáticos
intramamarios
• Asimetría global
• Asimetría focal
• Retracción cutánea
• Retracción del pezón
• Engrosamiento cutáneo
• Engrosamiento trabecular
• Lesión cutánea
• Adenopatias axilares
Casos especiales y hallazgos asociados
(mamografía)
Casos especiales y hallazgos asociados
Engrosamiento trabecular
Retracción cutánea Engrosamiento cutáneo
Casos especiales y hallazgos asociados
Asimetría global
Asimetría focal
MICROQUISTES
AGRUPADOS
QUISTES
COMPLICADOS
NODULOS EN O SOBRE LA PIEL
CUERPOS EXTRAÑOS
Podemos encontrar:
• Clips
• Catéteres
• Silicona
• metal
• otros
BIRADS
BIRADS 0
Probabilidad de carcinoma: No determinada.
Semiología: Hallazgos no clasificables por no disponer de la
información necesaria para su categorización final.
Recomendación y manejo diagnóstico: estudio complementario con
proyecciones mamográficas o ecografía , repetición de estudios si son
técnicas incorrectas y/o comparaciones con exploraciones previas para
su categorización definitiva.
Consideraciones: Es aplicable únicamente en cribado. No debería
utilizarse en un entorno diagnóstico
BIRADS 1
Probabilidad de carcinoma: No incrementada
Semiología: Mama normal, sin hallazgos
relevantes
Recomendación y manejo diagnóstico:
Evaluación a intervalos normales
BIRADS 2
• Semiología:
• Nódulos solitarios o múltiples forma (redondeada, oval o lobulada) márgenes circunscritos,
con calcificaciones groseras (fibroadenoma calcificado), en cascara de huevo o con
contenido graso (lipoma, quistes oleosos, galactoceles, hamartomas y ganglios
intramamarios).
• Microcalcificaciones típicamente benignas
• Distorsión de la arquitectura en clara relación con cicatriz postquirúrgica.
• Quistes simples.
Recomendación y manejo diagnóstico: Evaluación a intervalos normales
BIRADS 3
Semiología:
• Nódulo sólido único de forma redondeada, oval o lobulada, márgenes
circunscritos, densidad mamográfica igual al parénquima e
hipoecogénico en ecografía, con orientación paralela (eje vertical
menor que el transversal). Incluye nódulos con márgenes ocultos en
mamografía, siempre que se confirmen como circunscritos en
ecografía.
• Quiste complicado no palpable, quiste complejo y cumulo de
microquistes
• Microcalcificaciones puntiformes agrupadas.
• Asimetría focal NO PALPABLE.
• Para su asignación es preciso valoración completa
por imagen, y por definición se excluyen las
lesiones palpables
• Seguimiento a intervalo corto (mamografía
unilateral a los 6 meses y bilateral a los 12 y 24)
• En caso de aumento es recomendable una biopsia
BIRADS 4
• Aquellas lesiones que van a requerir intervencionismo.
Rango de probabilidad muy amplio (2 – 95%)
• 4 a baja sospecha de malignidad
• 4 b riesgo intermedio de malignidad
• 4 c riesgo moderado de malignidad
• La acción recomendad es la biopsia
CATEGORIA BI-RADS: 4A
Probabilidad de carcinoma: 2-10%
Semiología:
•La lesión más representativa de este grupo
sería la masa palpable parcialmente
circunscrita y en ecografía sugiere
fibroadenoma.
•Quiste complicado palpable.
•Absceso.
BIRADS 4B
Semiología:
• Nódulo microlobulado
• Nódulo con márgenes borrosos
• Distorsión de la arquitectura
• Microcalcificaciones amorfas
BIRADS 4C
• Semiología:
• Nódulo irregular y margenes mal definidos
• Calcificaciones pleomórficas finas
• Probabilidad de carcinoma: 51-94%
Recomendación y manejo diagnóstico
En todos los casos se recomienda estudio histológico.
La actitud tras la punción depende de la congruencia radiopatológica y la
categoría de sospecha:
Biopsia quirúrgica; en resultados de benignidad no congruentes con la sospecha
en imagen en las subcategorías 4B-4C y en todos los resultados histológicos de
alto riesgo.
Seguimiento a corto plazo; en resultados de benignidad en la subcategoría 4A y
en las 4B-C que se consideren congruentes (mismo protocolo que en lesiones
probablemente benignas)
BIRADS 5
• Semiología:
• Nódulo irregular y/o márgenes espiculados, con o sin microcalcificaciones asociadas
• Microcalcificaciones lineales ramificadas
• Recomendaciones y manejo diagnóstico:
• Estudio histológico en todos los casos BAG/BAV
Probabilidad de carcinoma: Mayor de 95%
BIRADS 6
Semiología:
• Categoría asignada a cualquier tipo de lesión en la
que ya exista una confirmación histológica de
malignidad
Recomendación y manejo diagnóstico:
• Estadificación y planificación terapéutica
Informe estructurado
Debe recoger los siguientes apartados:
• Técnicas dx e intervencionistas realizadas
• Motivo del examen
• Composición tisular de la mama
• Descripción de los hallazgos relevantes que incluya la semiología y la
correlación (entre las distintas técnicas)
• Impresión dx (categoría BI-RADS)
• Actitud recomendada en función del grado de sospecha
En lo posible un informe único
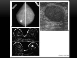
RESONANCIA MAGNETICA
EN MAMA
• La RM es una técnica con elevada
sensibilidad pero con una especificidad
limitada en el diagnóstico del cáncer
invasor de mama.
• Numerosos estudios avalan su utilidad en
el manejo de la patología mamaria,
especialmente en la estadificación pre-
quirúrgica del cáncer de mama.
INDICACIONES DE RM EN MAMA
1. Valoración de posible multicentricidad en la misma mama o en la contralateral
2. Determinar extensión preoperatoria de un tumor conocido.
3. Monitorización de la quimioterapia neoadyuvante.
4. Búsqueda de tumor primario con MX axilar
5. Estudio de posible enfermedad residual tras cirugía conservadora o
tumorectomía.
6. Valoración de pacientes con implantes mamarios.
7. Caracterización de lesiones no diagnosticadas con otras técnicas de imagen.
8. Estudio de posibles recurrencias del cáncer de mama.
9. Marcaje prequirúrgico mediante RM de mama.
10. Pacientes con alto riesgo individual de Ca de mama.
TERMINOLOGÍA
1 - FOCO:
• Minúsculo punto de realce, captación puntiforme (< 5
mm) que debido a su pequeño tamaño no puede ser
caracterizada morfológicamente
• Pueden ser múltiples
• Antes llamados objetos brillantes no identificados de la
mama
2 - MASA:
• lesión tridimensional ocupante de espacio.
• Se definen:
• - morfología: redonda, ovalada, lobulada, irregular
• - margen: liso o bien definido, irregular o
impreciso, espiculado
• - captación interna: homogénea, heterogénea, en
anillo, con septos internos hipocaptantes, con septos
internos hipercaptantes, captación central.
- REALCE NO NODULAR, NO MASA
• área de captación que puede afectar a una región pequeña o
grande dentro de la mama, con frecuencia con tejido fibroglandular
normal intercalado.
Se describirá
• - distribución:
focal, lineal, ductal, regional, segmentaria, múltiple, difusa
• - patrón de captación:
homogénea, heterogénea, punteada, agrupada o
confluente, reticular o dendrítica
• - simetría (respecto a la mama contralateral)
• - adenopatías
• - invasión m. pectoral
• - invasión pared costal
• - hematoma/sangre
• - vacío de señal (artefacto)
• - quiste
pueden aparecer aislados o
asociados a una captación anómala
• - retracción o inversión del
pezón
• - hiperseñal ductal
• - retracción piel
• - engrosamiento cutáneo
• - invasión piel
• - edema
4 - HALLAZGOS ASOCIADOS:
5.- LOCALIZACIÓN
• MAMA
• CUADRANTE
• PROFUNDIDAD
6 - CINÉTICA DE CAPTACIÓN:
se distinguen dos fases
• - fase inicial: hasta los primeros 2 min. o hasta que la curva
empiece a cambiar. En esta fase la captación puede ser
lenta, media o rápida.
• - fase tardía: en la que la captación puede continuar
ascendiendo (persistente), permanecer estable (en meseta) o
disminuir (lavado)
CATEGORIAS DE EVALUACION BIRADS EN
RM DE MAMA
BIRADS 0
• Son necesarios los estudios adicionales,
• Realizar nuevamente una RM con adecuada técnica,
correlacionar hallazgos.
BIRADS 1
• No se visualizan realces anormales
• Mamas simétricas
• Control periódico
• No se visualizan nodulos o áreas sospechosas
Birads 2
• Hallazgos benignos
• No captan contraste, como fibroadenomas hialinizados, quistes
• Lesiones que contengan grasa, como quistes
oleosos, lipomas, galactoceles,
BIRADS 3
• Hallazgo pbe benigno,
• Seguimiento a corto plazo
Birads 4
• Hallazgo sospechoso de malignidad
• Debe considerarse la biopsia
• Lesiones que no tienen características morfológicas típicas
BIRADS 5
• Altamente sospechosos de malignidad
• Tomar la conducta adecuada
BIRADS 6
Biopsia conocida, malignidad comprobada
Birads
Birads
Birads

Birads

  • 1.
    HOSPITAL CENTRAL NORTEPEMEX Dr. Alfonso Pérez Ruíz R1 IDXyTX BIRADS US, MASTOGRAFIA, RM
  • 2.
    SISTEMA ACR BI-RADS •El sistema de Informes y Registro de datos de imagen de la mama ACR BI-RADS es el producto de la colaboración entre miembros de varios comités: Colegio Americano de Radiología (ACR), Instituto Nacional de Cáncer, Colegio Americano de Cirujanos, Colegio Americano de Patólogos, entre otros • 1992 • 1993,96,98 y 2003 • 2006
  • 3.
    OBJETIVO • Herramienta útilque ayuda al control de calidad diseñada para estandarizar los informes mamográficos, reducir la confusión en la interpretación y facilitar el control posterior. • Reportes claros, comprensibles y decisivos • Unificar criterios entre radiólogos y clínicos (vigilancia o biopsia)
  • 4.
    1. Léxico (Nomenclatura)del estudio de la mama 2. Sistema de informes 1. Indicación del estudio 2. Composición de la mama 3. Hallazgos (nódulos o calcificaciones) y sus características 4. Comparación con estudios previos 5. Valoración final (incluyendo grado de importancia y recomendaciones pertinentes)
  • 5.
    MASTOGRAFIA MASTOGRAFIA DE ESTCRUTINIO •Mujeres de 40 a 49 años con dos o más factores de riesgo (anual o cada 2 años) • Anual a toda mujer de 50 años o más por indicación médica y con autorización de la interesada • A toda mujer con un familiar (madre o hermana) con cáncer de mama antes de los 40 años, realizar 10 años antes de la edad en que se presentó el cáncer en el familiar
  • 6.
    MASTOGRAFIA MASTOGRAFÍA DIAGNÓSTICA • Mujerescon signos y síntomas clínicos que sugieren cáncer de mama o quienes necesitan una evaluación adicional debido a un examen mamográfico de detección anormal.
  • 7.
    MASTOGRAFÍA DIAGNÓSTICA • INTERROGATORIOY EXPLORACIÓN FÍSICA • Factores de riesgo • Signos y síntomas • Tratamientos • Estudios previos • EXPLORACIÓN FÍSICA • PROYECCIONES ADICIONALES • Craneocaudal exagerada • Prolongación axilar • Latero medial o mediolateral • Compresión localizada • Magnificación • SEGUNDA OPINIÓN • Opinión emitida (escrita o verbal) por otro médico radiólogo
  • 8.
    MASTOGRAFÍA ESTUDIOS PREVIOS • Comparar ULTRASONIDO •Mamas densas • Caracterización de nódulo palpable mastográficamente no visible • Caracterización de nódulo mastográficamente visible • Caracterización de asimetría focal • Aplicación de Doppler • Biopsia IRM Cicatrices, implantes, multicentricidad, multifocalidad, respuesta a tratamiento, recidiva, antecedente BRCA 1,2
  • 9.
    ULTRASONIDO • Mujeres menoresde 40 años • Autoexploración anormar • Mas barato y accesible • Complementario a mastografia
  • 10.
    RM • Poco comúnsu uso • Mas caro • Ventaja: RM + contraste = mayor sensibilidad para Ca infiltrante
  • 11.
  • 12.
    PATRÓN DEL TEJIDOGLANDULAR MAMOGRÁFICO (COMPOSICIÓN TISULAR MAMARIA): 1. Fibroadiposo escasa cantidad(- 25 % glándula) 2. Fibroglandular moderada cantidad (25-50% glándula) 3. Densidad heterogénea (51-75% glándula) 4. Extremadamente denso(+ 75% glándula)
  • 13.
  • 14.
  • 15.
  • 16.
  • 18.
    PATRÓN DEL TEJIDOGLANDULAR ECOGRÁFICO: 1. Ecoestructura homogénea grasa 2. Ecoestructura homogénea fibroglandular 3. Ecoestructura heterogénea
  • 22.
  • 23.
    Forma REDONDA OVALADA LOBULADAIRREGULAR CIRCUNSCRITOS BORROSOS MICROLOBULADO MAL DEFINIDOS ESPICULADOS Bordes/Márgenes Lesión ocupante de espacio visible en dos proyecciones. Nódulos (mamografía)
  • 24.
    Densidad • Baja densidadsin contenido graso • Baja densidad con contenido graso • Isodenso • Alta densidad Localización y número Nódulos (mamografía)
  • 25.
  • 28.
    Forma Ovalada Redondeada Irregular Orientación Paralela No paralela Márgenes Circunscritos No circunscritos Límitesde la lesión Interfase abrupta Halo ecogénico Patrón ecogénico Anecogénico Hiperecogénico Complejo Hipoecogénico Isoecogénico Hallazgos acústicos posteriores Sin hallazgos posteriores Refuerzo posterior Sombra acústica Mixto Nódulos (ecografía)
  • 29.
  • 30.
  • 31.
    ASIMETRIA (MASTOGRAFIA) • Posibleimagen nodular que se visualiza en una sola proyección, sin bordes convexos
  • 32.
  • 34.
  • 35.
  • 36.
  • 37.
  • 38.
  • 39.
  • 40.
  • 41.
  • 42.
  • 43.
    Área focal deltejido fibroglandular que aparece espiculado sin masa, pero retrae el parenquima normal PostQx: Permanece estable o disminuye. Si aumenta sospecha de malignidad. Distorsión de la arquitectura
  • 45.
    Casos especiales Hallazgosasociados • Estructura tubular asimétrica/conducto solitario dilatado • Ganglios linfáticos intramamarios • Asimetría global • Asimetría focal • Retracción cutánea • Retracción del pezón • Engrosamiento cutáneo • Engrosamiento trabecular • Lesión cutánea • Adenopatias axilares Casos especiales y hallazgos asociados (mamografía)
  • 46.
    Casos especiales yhallazgos asociados Engrosamiento trabecular Retracción cutánea Engrosamiento cutáneo
  • 48.
    Casos especiales yhallazgos asociados Asimetría global Asimetría focal
  • 49.
  • 50.
  • 51.
    NODULOS EN OSOBRE LA PIEL
  • 52.
    CUERPOS EXTRAÑOS Podemos encontrar: •Clips • Catéteres • Silicona • metal • otros
  • 53.
  • 55.
    BIRADS 0 Probabilidad decarcinoma: No determinada. Semiología: Hallazgos no clasificables por no disponer de la información necesaria para su categorización final. Recomendación y manejo diagnóstico: estudio complementario con proyecciones mamográficas o ecografía , repetición de estudios si son técnicas incorrectas y/o comparaciones con exploraciones previas para su categorización definitiva. Consideraciones: Es aplicable únicamente en cribado. No debería utilizarse en un entorno diagnóstico
  • 57.
    BIRADS 1 Probabilidad decarcinoma: No incrementada Semiología: Mama normal, sin hallazgos relevantes Recomendación y manejo diagnóstico: Evaluación a intervalos normales
  • 59.
    BIRADS 2 • Semiología: •Nódulos solitarios o múltiples forma (redondeada, oval o lobulada) márgenes circunscritos, con calcificaciones groseras (fibroadenoma calcificado), en cascara de huevo o con contenido graso (lipoma, quistes oleosos, galactoceles, hamartomas y ganglios intramamarios). • Microcalcificaciones típicamente benignas • Distorsión de la arquitectura en clara relación con cicatriz postquirúrgica. • Quistes simples. Recomendación y manejo diagnóstico: Evaluación a intervalos normales
  • 62.
    BIRADS 3 Semiología: • Nódulosólido único de forma redondeada, oval o lobulada, márgenes circunscritos, densidad mamográfica igual al parénquima e hipoecogénico en ecografía, con orientación paralela (eje vertical menor que el transversal). Incluye nódulos con márgenes ocultos en mamografía, siempre que se confirmen como circunscritos en ecografía. • Quiste complicado no palpable, quiste complejo y cumulo de microquistes • Microcalcificaciones puntiformes agrupadas. • Asimetría focal NO PALPABLE.
  • 63.
    • Para suasignación es preciso valoración completa por imagen, y por definición se excluyen las lesiones palpables • Seguimiento a intervalo corto (mamografía unilateral a los 6 meses y bilateral a los 12 y 24) • En caso de aumento es recomendable una biopsia
  • 67.
    BIRADS 4 • Aquellaslesiones que van a requerir intervencionismo. Rango de probabilidad muy amplio (2 – 95%) • 4 a baja sospecha de malignidad • 4 b riesgo intermedio de malignidad • 4 c riesgo moderado de malignidad • La acción recomendad es la biopsia
  • 68.
    CATEGORIA BI-RADS: 4A Probabilidadde carcinoma: 2-10% Semiología: •La lesión más representativa de este grupo sería la masa palpable parcialmente circunscrita y en ecografía sugiere fibroadenoma. •Quiste complicado palpable. •Absceso.
  • 70.
    BIRADS 4B Semiología: • Nódulomicrolobulado • Nódulo con márgenes borrosos • Distorsión de la arquitectura • Microcalcificaciones amorfas
  • 74.
    BIRADS 4C • Semiología: •Nódulo irregular y margenes mal definidos • Calcificaciones pleomórficas finas • Probabilidad de carcinoma: 51-94%
  • 77.
    Recomendación y manejodiagnóstico En todos los casos se recomienda estudio histológico. La actitud tras la punción depende de la congruencia radiopatológica y la categoría de sospecha: Biopsia quirúrgica; en resultados de benignidad no congruentes con la sospecha en imagen en las subcategorías 4B-4C y en todos los resultados histológicos de alto riesgo. Seguimiento a corto plazo; en resultados de benignidad en la subcategoría 4A y en las 4B-C que se consideren congruentes (mismo protocolo que en lesiones probablemente benignas)
  • 78.
    BIRADS 5 • Semiología: •Nódulo irregular y/o márgenes espiculados, con o sin microcalcificaciones asociadas • Microcalcificaciones lineales ramificadas • Recomendaciones y manejo diagnóstico: • Estudio histológico en todos los casos BAG/BAV Probabilidad de carcinoma: Mayor de 95%
  • 84.
    BIRADS 6 Semiología: • Categoríaasignada a cualquier tipo de lesión en la que ya exista una confirmación histológica de malignidad Recomendación y manejo diagnóstico: • Estadificación y planificación terapéutica
  • 86.
    Informe estructurado Debe recogerlos siguientes apartados: • Técnicas dx e intervencionistas realizadas • Motivo del examen • Composición tisular de la mama • Descripción de los hallazgos relevantes que incluya la semiología y la correlación (entre las distintas técnicas) • Impresión dx (categoría BI-RADS) • Actitud recomendada en función del grado de sospecha En lo posible un informe único
  • 87.
  • 88.
    • La RMes una técnica con elevada sensibilidad pero con una especificidad limitada en el diagnóstico del cáncer invasor de mama. • Numerosos estudios avalan su utilidad en el manejo de la patología mamaria, especialmente en la estadificación pre- quirúrgica del cáncer de mama.
  • 89.
    INDICACIONES DE RMEN MAMA 1. Valoración de posible multicentricidad en la misma mama o en la contralateral 2. Determinar extensión preoperatoria de un tumor conocido. 3. Monitorización de la quimioterapia neoadyuvante. 4. Búsqueda de tumor primario con MX axilar 5. Estudio de posible enfermedad residual tras cirugía conservadora o tumorectomía. 6. Valoración de pacientes con implantes mamarios. 7. Caracterización de lesiones no diagnosticadas con otras técnicas de imagen. 8. Estudio de posibles recurrencias del cáncer de mama. 9. Marcaje prequirúrgico mediante RM de mama. 10. Pacientes con alto riesgo individual de Ca de mama.
  • 90.
  • 91.
    1 - FOCO: •Minúsculo punto de realce, captación puntiforme (< 5 mm) que debido a su pequeño tamaño no puede ser caracterizada morfológicamente • Pueden ser múltiples • Antes llamados objetos brillantes no identificados de la mama
  • 92.
    2 - MASA: •lesión tridimensional ocupante de espacio. • Se definen: • - morfología: redonda, ovalada, lobulada, irregular • - margen: liso o bien definido, irregular o impreciso, espiculado • - captación interna: homogénea, heterogénea, en anillo, con septos internos hipocaptantes, con septos internos hipercaptantes, captación central.
  • 93.
    - REALCE NONODULAR, NO MASA • área de captación que puede afectar a una región pequeña o grande dentro de la mama, con frecuencia con tejido fibroglandular normal intercalado. Se describirá • - distribución: focal, lineal, ductal, regional, segmentaria, múltiple, difusa • - patrón de captación: homogénea, heterogénea, punteada, agrupada o confluente, reticular o dendrítica • - simetría (respecto a la mama contralateral)
  • 94.
    • - adenopatías •- invasión m. pectoral • - invasión pared costal • - hematoma/sangre • - vacío de señal (artefacto) • - quiste pueden aparecer aislados o asociados a una captación anómala • - retracción o inversión del pezón • - hiperseñal ductal • - retracción piel • - engrosamiento cutáneo • - invasión piel • - edema 4 - HALLAZGOS ASOCIADOS:
  • 95.
    5.- LOCALIZACIÓN • MAMA •CUADRANTE • PROFUNDIDAD
  • 96.
    6 - CINÉTICADE CAPTACIÓN: se distinguen dos fases • - fase inicial: hasta los primeros 2 min. o hasta que la curva empiece a cambiar. En esta fase la captación puede ser lenta, media o rápida. • - fase tardía: en la que la captación puede continuar ascendiendo (persistente), permanecer estable (en meseta) o disminuir (lavado)
  • 97.
    CATEGORIAS DE EVALUACIONBIRADS EN RM DE MAMA
  • 98.
    BIRADS 0 • Sonnecesarios los estudios adicionales, • Realizar nuevamente una RM con adecuada técnica, correlacionar hallazgos.
  • 99.
    BIRADS 1 • Nose visualizan realces anormales • Mamas simétricas • Control periódico • No se visualizan nodulos o áreas sospechosas Birads 2 • Hallazgos benignos • No captan contraste, como fibroadenomas hialinizados, quistes • Lesiones que contengan grasa, como quistes oleosos, lipomas, galactoceles,
  • 100.
    BIRADS 3 • Hallazgopbe benigno, • Seguimiento a corto plazo Birads 4 • Hallazgo sospechoso de malignidad • Debe considerarse la biopsia • Lesiones que no tienen características morfológicas típicas
  • 101.
    BIRADS 5 • Altamentesospechosos de malignidad • Tomar la conducta adecuada BIRADS 6 Biopsia conocida, malignidad comprobada