Anatomia Patologica
Inflamación Crónica
Dr Jesús Téllez
Concepto
Inflamación de duración prolongada ( semanas y meses) ocurriendo
simultáneamente la inflamación activa, destrucción tisular e intentos de
reparación, pudiendo surgir de una inflamación aguda o de forma insidiosa,
solapada y asintomática, siendo esta última causa de inflamación crónica la que
provoca daño celular en enfermedades invalidantes ejemplo artritis reumatoide,
ateroesclerosis, tuberculosis y neuropatías crónicas entre otras.
Causas:
1. Infecciones crónicas por microorganismos tales como:
bacilo tuberculoso, treponema pallidum (agente causal
de la sífilis ) y ciertos virus ,hongos y parásitos . Estos
organismos son de baja toxicidad y evocan una
reacción inmune llamada hipersensibilidad
retardada . La respuesta inflamatoria a veces
desarrolla un patrón especifico denominado reacción
granulomatosa .
Causas:
2. Exposición prolongada a agentes potencialmente tóxicos , ya sean exógenos o
endógenos. . Un ejemplo de un agente exógeno son las partículas de silicio,
material no degradable que cuando es inhalado por períodos prolongados ocasiona
una inflamación pulmonar crónica denominada silicosis . Aterosclerosis se piensa
que puede ser una inflamación crónica de la pared arterial, inducida, al menos en
parte por componentes lipidos tóxicos del plasma (endógenos)
Causas:
Autoinmunidad . Bajo ciertas condiciones , se desarrollan
reacciones inmunitarias contra tejidos del propio
individuo lo que origina enfermedades autoinmunes. En
estas enfermedades los auto antígenos evocan una
reacción inmunológica mantenida que provocan un daño
inflamatorio crónico del tejido
▪ En contraste con la inflamación aguda , la cual se manifiesta por cambios
vasculares, edema e infiltración predominantemente de neutrófilos, la inflamación
crónica se caracteriza por :
1. Infiltrado de células mononucleares , que incluyen macrófagos, linfocitos, y
células plasmáticas.
2. La destrucción tisular inducida por el agente ofensivo de manera persistente o
mediante las células inflamatorias.
3. Intentos de curación mediante por sustitución de tejido conectivo que
reemplaza al tejido dañado, que se logra por proliferación de vasos
sanguíneos pequeños (angiogénesis ) y fibrosis
Características morfológicas del infiltrado inflamatorio crónico.
Células Inflamatorias
Crónicas
▪ Macrófago: Los macrófagos, las células predominantes en la inflamación
crónica, son células tisulares derivadas de los monocitos de la sangre circulante
cuando la abandonan. Normalmente, los macrófagos aparecen dispersos por la
mayor parte de los tejidos conjuntivos y también se encuentran en órganos como
el hígado (donde se denominan células de Kupffer), el bazo y los ganglios linfáticos
(donde se conocen como histiocitosis del seno), el sistema nervioso central (células
de la microglia) y los pulmones (macrófagos alveolares). En conjunto, estas células
constituyen el denominado sistema mononuclear-fagocíco
Monocitos: se desarrollan a partir de precursores medulares y circulan en la
sangre durante 1 día aproximadamente.
Bajo la influencia de las moléculas de adhesión y las quimiocinas, migran al foco de
lesión a las 24-48 h del comienzo de la inflamación aguda.
Cuando los monocitos alcanzan el tejido extravascular, sufren transformación a
macrófagos, que son algo más grandes y viven más tiempo, además de presentar
una mayor capacidad fagocítica que los monocitos de la sangre.
Funciones de los Macrófagos
• Los macrófagos, al igual que los otros tipos de fagocitos, los neutrófilos, ingieren y
eliminan microbios y tejidos muertos. Dado que los macrófagos responden a las señales
activadoras generadas por los linfocitos T,
• Los macrófagos inician el proceso de reparación tisular y participan en la formación de
cicatrices y la fibrosis.
• Los macrófagos secretan mediadores de la inflamación, como citocinas (TNF, IL-1,
quimiocinas, etc.) y eicosanoides. Estas células resultan, de este modo, fundamentales en el
inicio y la propagación de todas las reacciones inflamatorias.
• Los macrófagos muestran antígenos a los linfocitos T y responden a las señales que estas
células generan, lo que establece un circuito de retroalimentación clave para la defensa.
Los linfocitos se movilizan ante cualquier estímulo inmunitario específico (p. ej.,
infecciones), así como durante la inflamación no inmunitaria (p. ej., en la necrosis isquémica o
los traumatismos)
En los tejidos, los linfocitos B pueden dar lugar a las células plasmáticas, secretorias de
anticuerpos, y los linfocitos T CD4* son activados para secretar citocinas.
Dada su capacidad para secretar citocinas, los linfocitos T CD4* inducen la inflamación y
condicionan la naturaleza de la reacción inflamatoria.
• Los linfocitos Th1 producen la citocina IFN-7, que activa a los macrófagos por la vía
clásica.
• Los linfocitos T h2 secretan IL 4 , IL-5 e IL-13, que reclutan y activan los eosinófilos y son
responsables de la vía alternativa de activación de los macrófagos.
• Los linfocitos Th17 secretan IL-17 y otras citocinas, que inducen la secreción de las
quimiocinas responsables del reclutamiento de los neutrófilos y los monocitos hacia el
lugar de reacción.
Otras células de la inflamación
crónica
▪ Incluyen:
Células plasmáticas
Eosinófilos
Mastocitos
1. Las células plasmáticas derivan de los linfocitos B activados produciendo anticuerpos
dirigidos a anfígenos persistentes en el sitio de la inflamación o contra componentes a
alterados de los tejidos.
2. Los eosinófilos son abundantes en las reacciones inflamatorias mediadas por IgE y en
infecciones por parásitos
3. Los Mastocitos son abundantes en todo tejido conectivo participando en
inflamaciones agudas y en las crónicas
Inflamación Granulomatosa
Patrón diferente de reacción inflamatoria crónica que se caracteriza por acumulación focal de
macrófagos activados que pueden desarrollar una apariencia semejante a un epitelio,
encontrándose en un número limitado de infecciones mediadas inmunológicamente.
Ej. tuberculosis, sarcoidosis, enfermedad por arañazo de gato, linfogranuloma inguinal, lepra,
sífilis, brucelosis, algunos hongos y reacciones por lípidos irritantes.
El granuloma es un foco de inflamación crónica con presencia de macrófagos que se
transforman en células semejantes en células epiteliales (células epiteliodes) las cuales se
encuentran rodeadas por células mononucleares (linfocitos y Células plasmáticas). Las
células epiteliodes se unen y forman las células gigantes
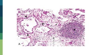
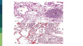
Tuberculosis
Granuloma
Granuloma Pulmonar
Necrosis caseosa
Imagen de una necrosis caseosa, rodeada de linfocitos
Muchas Gracias!!!

INFLAMACION CRONICA (1..............).pptx

  • 1.
  • 2.
    Concepto Inflamación de duraciónprolongada ( semanas y meses) ocurriendo simultáneamente la inflamación activa, destrucción tisular e intentos de reparación, pudiendo surgir de una inflamación aguda o de forma insidiosa, solapada y asintomática, siendo esta última causa de inflamación crónica la que provoca daño celular en enfermedades invalidantes ejemplo artritis reumatoide, ateroesclerosis, tuberculosis y neuropatías crónicas entre otras.
  • 3.
    Causas: 1. Infecciones crónicaspor microorganismos tales como: bacilo tuberculoso, treponema pallidum (agente causal de la sífilis ) y ciertos virus ,hongos y parásitos . Estos organismos son de baja toxicidad y evocan una reacción inmune llamada hipersensibilidad retardada . La respuesta inflamatoria a veces desarrolla un patrón especifico denominado reacción granulomatosa .
  • 4.
    Causas: 2. Exposición prolongadaa agentes potencialmente tóxicos , ya sean exógenos o endógenos. . Un ejemplo de un agente exógeno son las partículas de silicio, material no degradable que cuando es inhalado por períodos prolongados ocasiona una inflamación pulmonar crónica denominada silicosis . Aterosclerosis se piensa que puede ser una inflamación crónica de la pared arterial, inducida, al menos en parte por componentes lipidos tóxicos del plasma (endógenos)
  • 5.
    Causas: Autoinmunidad . Bajociertas condiciones , se desarrollan reacciones inmunitarias contra tejidos del propio individuo lo que origina enfermedades autoinmunes. En estas enfermedades los auto antígenos evocan una reacción inmunológica mantenida que provocan un daño inflamatorio crónico del tejido
  • 6.
    ▪ En contrastecon la inflamación aguda , la cual se manifiesta por cambios vasculares, edema e infiltración predominantemente de neutrófilos, la inflamación crónica se caracteriza por : 1. Infiltrado de células mononucleares , que incluyen macrófagos, linfocitos, y células plasmáticas. 2. La destrucción tisular inducida por el agente ofensivo de manera persistente o mediante las células inflamatorias. 3. Intentos de curación mediante por sustitución de tejido conectivo que reemplaza al tejido dañado, que se logra por proliferación de vasos sanguíneos pequeños (angiogénesis ) y fibrosis Características morfológicas del infiltrado inflamatorio crónico.
  • 8.
    Células Inflamatorias Crónicas ▪ Macrófago:Los macrófagos, las células predominantes en la inflamación crónica, son células tisulares derivadas de los monocitos de la sangre circulante cuando la abandonan. Normalmente, los macrófagos aparecen dispersos por la mayor parte de los tejidos conjuntivos y también se encuentran en órganos como el hígado (donde se denominan células de Kupffer), el bazo y los ganglios linfáticos (donde se conocen como histiocitosis del seno), el sistema nervioso central (células de la microglia) y los pulmones (macrófagos alveolares). En conjunto, estas células constituyen el denominado sistema mononuclear-fagocíco
  • 10.
    Monocitos: se desarrollana partir de precursores medulares y circulan en la sangre durante 1 día aproximadamente. Bajo la influencia de las moléculas de adhesión y las quimiocinas, migran al foco de lesión a las 24-48 h del comienzo de la inflamación aguda. Cuando los monocitos alcanzan el tejido extravascular, sufren transformación a macrófagos, que son algo más grandes y viven más tiempo, además de presentar una mayor capacidad fagocítica que los monocitos de la sangre.
  • 12.
    Funciones de losMacrófagos • Los macrófagos, al igual que los otros tipos de fagocitos, los neutrófilos, ingieren y eliminan microbios y tejidos muertos. Dado que los macrófagos responden a las señales activadoras generadas por los linfocitos T, • Los macrófagos inician el proceso de reparación tisular y participan en la formación de cicatrices y la fibrosis. • Los macrófagos secretan mediadores de la inflamación, como citocinas (TNF, IL-1, quimiocinas, etc.) y eicosanoides. Estas células resultan, de este modo, fundamentales en el inicio y la propagación de todas las reacciones inflamatorias. • Los macrófagos muestran antígenos a los linfocitos T y responden a las señales que estas células generan, lo que establece un circuito de retroalimentación clave para la defensa.
  • 13.
    Los linfocitos semovilizan ante cualquier estímulo inmunitario específico (p. ej., infecciones), así como durante la inflamación no inmunitaria (p. ej., en la necrosis isquémica o los traumatismos) En los tejidos, los linfocitos B pueden dar lugar a las células plasmáticas, secretorias de anticuerpos, y los linfocitos T CD4* son activados para secretar citocinas. Dada su capacidad para secretar citocinas, los linfocitos T CD4* inducen la inflamación y condicionan la naturaleza de la reacción inflamatoria. • Los linfocitos Th1 producen la citocina IFN-7, que activa a los macrófagos por la vía clásica. • Los linfocitos T h2 secretan IL 4 , IL-5 e IL-13, que reclutan y activan los eosinófilos y son responsables de la vía alternativa de activación de los macrófagos. • Los linfocitos Th17 secretan IL-17 y otras citocinas, que inducen la secreción de las quimiocinas responsables del reclutamiento de los neutrófilos y los monocitos hacia el lugar de reacción.
  • 15.
    Otras células dela inflamación crónica ▪ Incluyen: Células plasmáticas Eosinófilos Mastocitos 1. Las células plasmáticas derivan de los linfocitos B activados produciendo anticuerpos dirigidos a anfígenos persistentes en el sitio de la inflamación o contra componentes a alterados de los tejidos. 2. Los eosinófilos son abundantes en las reacciones inflamatorias mediadas por IgE y en infecciones por parásitos 3. Los Mastocitos son abundantes en todo tejido conectivo participando en inflamaciones agudas y en las crónicas
  • 16.
    Inflamación Granulomatosa Patrón diferentede reacción inflamatoria crónica que se caracteriza por acumulación focal de macrófagos activados que pueden desarrollar una apariencia semejante a un epitelio, encontrándose en un número limitado de infecciones mediadas inmunológicamente. Ej. tuberculosis, sarcoidosis, enfermedad por arañazo de gato, linfogranuloma inguinal, lepra, sífilis, brucelosis, algunos hongos y reacciones por lípidos irritantes. El granuloma es un foco de inflamación crónica con presencia de macrófagos que se transforman en células semejantes en células epiteliales (células epiteliodes) las cuales se encuentran rodeadas por células mononucleares (linfocitos y Células plasmáticas). Las células epiteliodes se unen y forman las células gigantes
  • 18.
  • 19.
  • 20.
  • 23.
    Necrosis caseosa Imagen deuna necrosis caseosa, rodeada de linfocitos
  • 25.