Caso tomográfico
Revisión bibliográfica
Instituto Autónomo Hospital Universitario De Los Andes
Postgrado de Radiología y Diagnóstico por Imágenes
Dr. Nelson Zavala RIII
Dr. Victor Giler RII
Dr. José Adolfo Pincay RI
Dr. Gabriel Duarte RI
Mérida, Agosto de 2023
C.J.D.G. Edad: 7 años.
FI:
07/06/2023
HC: 1229139
Historia clínica
Motivo de consulta
CEFALEA
Enfermedad actual
Ø Paciente escolar masculino de 7 años de edad, natural de
Mérida y procedente de Tucaní, cuya madre refiere IEA hace
aproximadamente 5 meses, caracterizado por presentar
telangiectasias aracniformes faciales de aparición progresiva
en región frontal y nasal, palidez mucocutánea y hemoptisis
frecuentes, que posteriormente se acompaña de episodios de
cefaleas de leve intensidad intermitentes que ceden a la
automedicación de acetaminofén, cuyos episodios se
exacerban en intensidad durante la última semana, por lo que
acude a facultativo de su localidad y en vista de no mejoría de
los síntomas refieren a esta institución donde evalúan y deciden
su ingreso el 07 de junio del 2023.
Antecedentes:
PERINATALES NEONATALES
DESARROLLO
PSICOMOTRIZ INMUNIZACIONES
PERSONALES FAMILIARES
Examen físico
SIGNOS VITALES:
P/A:
116/80 mmHg
Frecuencia
cardiaca:
99 lpm
Frecuencia
respiratoria:
20 RpM
Temperatura:
37.2 grados
Saturación:
• 96%
Aspecto: Paciente en condiciones clínicas estable, afebril,
palidez cutáneo mucosa, normocéfalo, pupilas isocóricas
normorreactivas a la luz, telangiectasias en región frontal y
nasal central.
Mucosa oral: Húmeda, hidratada.
Cuello: Móvil, simétrico, adenopatías palpables en región
cervical bilateral, no doloroso a la movilización.
Tórax: Simétrico, normoexpansivo, sin signos de
dificultad respiratoria. Murmullo vesicular conservado,.
RsCsRs, normofonéticos.
Abdomen: Plano, RsHs presentes, blando, depresible, no
doloroso a la palpación, no se palpan masas ni
visceromegalias.
Genitales externos: masculinos normoconfigurados.
Extremidades: MsSs e MsIs con fuera muscular
conservada, eutróficas, sin edema, pulsos periféricos
presentes de amplitud normal.
Neurológico: Vigil, consciente, orientado en tiempo y
espacio, Glasgow 15/15.
LABORATORIOS DE INGRESO
LABORATORIOS 07-06-2023 VALORES NORMALES
Hb (g/dl) 10.3 gr/dl 12 – 17 g/dl
HTC 31 % 40 – 50 %
VCM 70 80 – 100 mc/ml
HCM 28 23 – 31 pg
Leucocitos 9,800 4.500 – 10.000 mm3
Neutrófilos
segmentados
57 % 50-65 %
Linfocitos 40 % 20 – 45 %
Eosinófilos 4 % 1 – 6 %
Plaquetas 308,000 150 – 400 x mm3
Glucosa 92 70 - 100 mg/dl
LABORATORIOS 10-06-2023 VALORES NORMALES
HB (g/dl) 10.5 12 – 17 g/dl
HTC 31 % 40 – 50 %
VCM 71 80 – 100 mc/ml
HCM 28 23 – 31 pg
Leucocitos 9,400 4.500 – 10.000 mm3
Neutrófilos
segmentados
55 % 50-65 %
Linfocitos 30 % 20 – 45 %
Eosinófilos 4 % 1 – 6 %
Plaquetas 307,000 150 – 400 x mm3
Glucosa 87 70 - 100 mg/dl
Laboratorios
intrahospitalarios
Laboratorios
intrahospitalarios
LABORATORIOS 14 – 06 - 2023
MARCADORES TUMORALES: RESULTADO REFERENCIA
 CORTISOL 124.0 mg/l 50 – 230 mg/l
 ANTÍGENO CARCINOEMBRIONARIO. 3,1 ng/ml < 10 ng/ml
 ALFAFETOPROTEINA 4,3 ng/ml < 20 ng/ml
 BHCG 4,1 UI/ml 0,1 – 5,7 UI/ml
ESTUDIOS REALIZADOS:
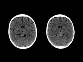
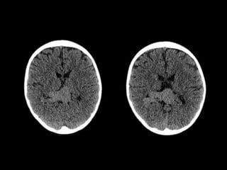
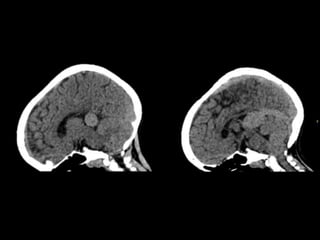
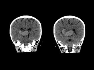
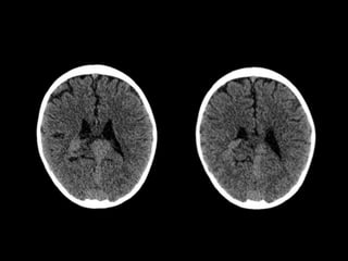
TC CEREBRAL SIMPLE
08-06-2023.
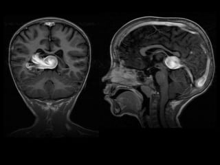
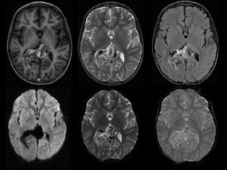
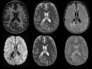
RNM CEREBRAL
20-06-2023.
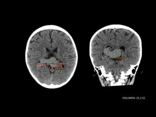
TC SIMPLE DE CRANEO
08/06/2023
CORTE
AXIAL
CORTE
CORONAL
CORTE
SAGITAL
VOLUMEN: 25,1 CC
Lesión ocupante de espacio extraaxial
supratentorial a nivel de cisterna cuadrigeminal.
CONCLUSIONES:
RMN DE CRÁNEO
20/06/2023
ADQUISICIÓN AXIAL
T1 T2 FLAIR
DWI ADC EG
ADQUISICIÓN AXIAL.
T1 CC
ANGIO TOF
3D
 Malformación arterio-venosa cerebral con
dilatación aneurismática de la vena de galeno vs
aneurisma de la vena de galeno vs fístula
arteriovenosa pial. Escala de Spetzler – Martin 5
puntos.
 Pansinusopatía.
 Hipertrofia turbinal.
CONCLUSIONES:
MALFORMACIONES VASCULARES
Consideraciones generales
Las malformaciones cerebrovasculares (MCV) constituyen un
grupo heterogéneo de enfermedades. Las estructuras
anatómicas involucradas son:
Arterias
Capilares
Venas
Nomenclatura de las MCV
 Los hemangiomas
tienen la capacidad
de formar vasos
Se aceptan dos grupos fundamentales de anomalías vasculares:
• MALFORMACIONES VASCULARES:
alteraciones del desarrollo.
• LOCALIZACIÓN: parénquima
cerebral.
• HEMANGIOMAS: verdaderas
neoplasias.
• LOCALIZACIÓN: cráneo, meninges y
senos venosos durales.
 Las MAV están
presentes desde el
nacimiento. No
proliferan
Epidemiología
• Las anomalías vasculares representan aproximadamente el 1% de
todos las masas intracraneales.
1
• Prevalencia de 1.5-1.8 casos por cada 100.000 personas/año,
aproximadamente.
2
• Se calcula que las MCV provocan aproximadamente el 5% de todas
las hemorragias intracraneales no traumáticas.
3
• Se detectan MCV hasta en el 8-10% de los pacientes que se someten
a estudios de imagen. La mayoría de ellas (malformaciones venosas y
capilares) son asintomáticas y constituyen hallazgos casuales.
4
Embriología
El desarrollo del sistema vascular fetal humano depende de dos
procesos interrelacionados: vasculogénesis y angiogénesis.
• Se ha propuesto un enfoque embrionario «metamérico» .
• Relaciones conocidas que existen entre algunas malformaciones
cerebrales y cutáneas.
CLASIFICACIÓN DE LOS «SÍNDROMES METAMÉRICOS ARTERIALES
CEREBRALES» O «CAMS»
Clasificación embriológica
CAMS I: grupo prosencefálico medial con afectación de la nariz y el
hipotálamo.
CAMS II: grupo prosencefálico lateral con compromiso de lóbulo
occipital, quiasma óptico, tracto óptico, tálamo, retina y maxilar.
CAMS III: grupo rombencéfalo con afectación de cerebelo,
protuberancia y mandíbula.
Los radiólogos endovasculares han propuesto un sistema funcional
y muy práctico que permite clasificar todas las MCV en dos
categorías básicas:
Clasificación funcional
MCV CON CONEXIONES ARTERIOVENOSAS:
comprende las malformaciones y fístulas
arteriovenosas.
MCV SIN CONEXIONES ARTERIOVENOSAS:
malformaciones venosas, capilares y
cavernosas.
Conceptos de importancia
 MVC DE ALTO FLUJO
o MAV CON NIDO
o MAV SIN NIDO:
FISTULAS
 MVC DE BAJO FLUJO
o CAVERNOMAS,
TELANGIECTASIAS Y
ANOMALÍAS DEL
DESARROLLO VENOSO:
SON MENOS
AGRESIVAS
Anatomía macroscópica de las
MAV
Malformación Arteriovenosa
Cerebral
Conceptos generales
Abreviaturas
• Malformación arteriovenosa
(MAV)
Definiciones
• Malformación vascular pial con
comunicación directa arteria ->
vena, sin interposición de un
lecho capilar.
Malformación Arteriovenosa
Cerebral
Mejor indicio
diagnóstico
«Bolsa de gusanos»
> efecto de masa
MIP CTA
Malformación Arteriovenosa
Cerebral
Localización
o Supratentoriales (85%).
o Fosa posterior (15%) .
o El 98% solitarias, esporádicas.
o Las MAV múltiples son poco
frecuentes, generalmente como
parte de un síndrome.
Malformación Arteriovenosa
Cerebral
Morfología
TRES COMPONENTES
Arterias nutricias dilatadas
Nido de conductos vasculares
dilatados y muy apretados
Venas de drenaje dilatadas
Malformación Arteriovenosa Cerebral
Morfología
Malformación Arteriovenosa Cerebral
Hallazgos en TC
TC sin contraste
Puede ser normal (si la MAV es muy
pequeña)
Vasos serpenteantes
isodensos/hiperdensos
Hemorragia de MAV -> hemorragia
parenquimatosa/intraventricular > >
hemorragia subaracnoidea
Masas de difícil caracterización con valores
de atenuación similares al parénquima
circundante
Malformación Arteriovenosa Cerebral
Hallazgos en TC sin contraste
TC con contraste
Realce marcado de arterias
nutricias, nido y venas de
drenaje
Malformación Arteriovenosa Cerebral
Hallazgos en TC con contraste
Malformación Arteriovenosa Cerebral
Hallazgos en TC con contraste
Malformación Arteriovenosa Cerebral
Hallazgos en RM
Hallazgos en RM
Potenciación en T1
o La señal varía dependiendo de la velocidad
y la dirección del flujo, y de la presencia o
antigüedad de la hemorragia.
o Masa/conglomerada : «panal» de vacíos de
flujo .
Potenciación en T2
o Red de vacíos de señal serpenteantes, en
«panal de abejas» .
o Hemorragia variable.
o Tejido cerebral escaso o inexistente en el
interior del nido.
Malformación Arteriovenosa Cerebral
Hallazgos en RM T1
Malformación Arteriovenosa Cerebral
Hallazgos en RM T2
Malformación Arteriovenosa Cerebral
Hallazgos en RM
Hallazgos en RM
FLAIR
o Vacíos de flujo ± señal elevada circundante
(gliosis)
En T1 con contraste (en T1 C)
o Realce muy marcado del nido y las venas de
drenaje
o El flujo rápido puede no mostrar realce (<<vacío
de flujo»)
ARM
o Muy útil para visualización macroscópica del
flujo, tras la embolización/radioterapia
Malformación Arteriovenosa Cerebral
Hallazgos en RM FLAIR
Malformación Arteriovenosa Cerebral
Hallazgos en RM T1 + C
Malformación Arteriovenosa Cerebral
Hallazgos en ARM
Malformación Arteriovenosa Cerebral
Hallazgos en angiografía
ASD
La ASD es la secuencia que mejor muestra
la angioarquitectura interna
Muestra los tres componentes de las MAV
En el 27-32% de los casos se observa
vascularización arterial «doble» (pial y
dural)
Malformación Arteriovenosa Cerebral
Hallazgos en ASD
Estadificación, gradación y clasificación
Escala de Spetzler-Martin
• Pequeño « 3 cm) = 1
• Mediano (3-6 cm) = 2
• Grande (> 6 cm) = 3
TAMAÑO
• En una zona «no elocuente» = 0
• En cerebro «elocuente» = 1
LOCALIZACIÓN
• Sólo superficial = 0
• Profundo = 1
DRENAJE VENOSO
Estadificación, gradación y clasificación
Escala de Spetzler-Martin
MALFORMACIÓN ANEURISMÁTICA DE LA
VENA DE GALENO
Conceptos generales
Abreviaturas
• Malformación aneurismática de
la vena de Galeno (MAVG).
• «Aneurisma» de la vena de
Galeno, variz galénica.
Definiciones
• Fístula arteriovenosa (FAV) entre
las arterias coroideas profundas y
la vena prosencefálica media
(VPM) embrionaria de Markowski .
• El flujo elevado a través de la VPM
impide la formación de la vena de
Galeno.
Características
Generales
• Mejor indicio diagnóstico: variz (VPM) de
gran tamaño en la línea media de un
neonato/lactante.
• Localización: cisterna de la placa
cuadrigémina.
• Tamaño: de pocos centímetros a varios
centímetros.
• Morfología: variz tubular > esférica
Malformación aneurismática de la Vena de Galeno
Estudios de imagen
Malformación aneurismática de la Vena de Galeno
Epidemiología
• Estas malformaciones representan menos del 1-2 % de todas las
malformaciones vasculares intracraneales.
1
• A su vez, son la causa del 30 % de las malformaciones vasculares
cerebrales que se presentan en pacientes pediátricos.
2
• Representa actualmente la principal patología diagnosticada en
período prenatal del grupo de las MAV cerebrales.
3
• Mayor incidencia en el sexo masculino.
4
Hallazgos en
US
Ecografía de escala de grises
o Masa de predominio hipoecogénica en la
línea media.
Doppler en color
o Flujo turbulento en el interior de la VPM.
Ecografía antenatal
o La MAVG se identifica en el tercer trimestre .
Malformación aneurismática de la Vena de Galeno
Estudios de imagen
Malformación aneurismática de la Vena de Galeno
Hallazgos en US
Malformación aneurismática de la Vena de Galeno
Hallazgos en US
Hallazgos en TC
TC SIN CONTRASTE
o VPM ligeramente hiperdensa con el cerebro.
o Hidrocefalia.
o Hipodensidad y Ca++ de la sustancia blanca (SB)
subcortical ---> isquemia venosa crónica.
o Hemorragia intracraneal poco frecuente.
TC + C
o Realce vascular de arterias nutricias y VPM.
ATC
o Excelente definición angiográfíca de la MAVG
Malformación aneurismática de la Vena de Galeno
Estudios de imagen
Malformación aneurismática de la Vena de Galeno
Hallazgos en TC
Malformación aneurismática de la Vena de Galeno
Hallazgos en TC + C
Malformación aneurismática de la Vena de Galeno
Hallazgos en ATC
Hallazgos en RM
Potenciación en T1
o VPM: vacíos de flujo o imagen heterogénea por flujo
rápido o turbulento.
o Artefacto de fase por flujo rápido y turbulento.
o Focos hiperintensos en el interior del cerebro: Ca++,
isquemia.
Potenciación en T2
o VPM: vacío de flujo o imagen heterogénea por flujo
rápido o turbulento.
o Vacíos de flujo de las arterias nutricias en torno al
VPM.
o Los focos isquémicos no se visualizan bien en el
cerebro infantil sin mielinizar.
Malformación aneurismática de la Vena de Galeno
Estudios de imagen
Malformación aneurismática de la Vena de Galeno
Hallazgos en RM T1
Malformación aneurismática de la Vena de Galeno
Hallazgos en RM T2
Malformación aneurismática de la Vena de Galeno
Hallazgos en RM T1 + C
Conceptos generales
Abreviaturas
• Fístula arteriovenosa pial (FAVp)
Definiciones
• Malformación vascular pial con
comunicación arteriovenosa (AV)
directa
• Sin interposición de lecho capilar
o nido
FÍSTULA ARTERIOVENOSA PIAL
Características
Generales
• Mejor indicio diagnóstico:
o Arterias dilatadas, venas sin nido focal.
• Localización:
o Aunque se denominan «piales», pueden
localizarse en la superficie o el interior del
cerebro o en los epéndimos.
o Pueden formarse en cualquier lugar del
cerebro o la médula espinal.
o Raras veces en la fosa posterior
FÍSTULA ARTERIOVENOSA PIAL
Hallazgos en TC
TC SIN CONTRASTE
o Vasos serpenteantes isodensos/hiperdensos.
o Ca++ variable en la pared de la vena o las venas de
drenaje.
ATC
o Se visualizan la(s) arteria(s) nutricia(s) y las venas
de drenaje.
FÍSTULA ARTERIOVENOSA PIAL
Estudios de imagen
FÍSTULA ARTERIOVENOSA PIAL
Hallazgos en TC + C
Hallazgos en RM
Potenciación en T1
o Vacíos de flujo o imagen heterogénea por
flujo rápido o turbulento.
o Artefacto de fase por flujo rápido y
turbulento.
Potenciación en T2
o Vacíos de flujo serpenteantes y dilatados
o Hemorragia variable
FÍSTULA ARTERIOVENOSA PIAL
Estudios de imagen
FÍSTULA ARTERIOVENOSA PIAL
Hallazgos en RM T1 + C
FÍSTULA ARTERIOVENOSA PIAL
Hallazgos en ASD
Bibliografía
1. Sarigecili, Esra & Caglar, Ezgi & Yildiz, Altan & Okuyaz, Cetin. (2019). A rare
concurrence: gelastic seizures in a patient with right temporal nongalenic pial
arteriovenous fistula. Child's Nervous System. 35. 10.1007/s00381-019-04068-5.
2. Lee, J.S., Oh, C.W., Bang, J., Kwon, O., & Hwang, G. (2012). Intracranial Pial Arteriovenous
Fistula Presenting with Hemorrhage: A Case Report. Journal of Cerebrovascular and
Endovascular Neurosurgery, 14, 305 - 308.
3. S.W. Hetts, K. Keenan, H.J. Fullerton, W.L. Young, J.D. English, N. Gupta, C.F. Dowd, R.T.
Higashida, M.T. Lawton and V.V. Halbach
4. American Journal of Neuroradiology October 2012, 33 (9) 1710-1719; DOI:
https://doi.org/10.3174/ajnr.A3194
5. Bokhari MR, Bokhari SRA. Arteriovenous Malformation of the Brain. [Updated 2023
Apr 24]. In: StatPearls [Internet]. Treasure Island (FL): StatPearls Publishing; 2023
Jan-. Available from: https://www.ncbi.nlm.nih.gov/books/NBK430744/
6. Volny, Ondrej. (2015). microRNA in cerebrovascular diseases (in microRNA : Medical
Evidence. Switzerland: Springer International Publishing, 2015. Advances in
Experimental Medicine and Biology. ISBN 978-3-319-22670-5. doi:10.1007/978-3-
319-22671-2.). 10.13140/RG.2.1.1697.1607.
7. 3. Osborn A. El Encéfalo: Diagnóstico por imagen, patología y anatomía.Madrid:
Editorial Médica Panamericana; 2018.
Gracias

MALFORMACIONES CEREBRALES VASCULARES.pptx

  • 1.
    Caso tomográfico Revisión bibliográfica InstitutoAutónomo Hospital Universitario De Los Andes Postgrado de Radiología y Diagnóstico por Imágenes Dr. Nelson Zavala RIII Dr. Victor Giler RII Dr. José Adolfo Pincay RI Dr. Gabriel Duarte RI Mérida, Agosto de 2023
  • 3.
    C.J.D.G. Edad: 7años. FI: 07/06/2023 HC: 1229139 Historia clínica
  • 4.
  • 5.
    Enfermedad actual Ø Pacienteescolar masculino de 7 años de edad, natural de Mérida y procedente de Tucaní, cuya madre refiere IEA hace aproximadamente 5 meses, caracterizado por presentar telangiectasias aracniformes faciales de aparición progresiva en región frontal y nasal, palidez mucocutánea y hemoptisis frecuentes, que posteriormente se acompaña de episodios de cefaleas de leve intensidad intermitentes que ceden a la automedicación de acetaminofén, cuyos episodios se exacerban en intensidad durante la última semana, por lo que acude a facultativo de su localidad y en vista de no mejoría de los síntomas refieren a esta institución donde evalúan y deciden su ingreso el 07 de junio del 2023.
  • 6.
  • 7.
    Examen físico SIGNOS VITALES: P/A: 116/80mmHg Frecuencia cardiaca: 99 lpm Frecuencia respiratoria: 20 RpM Temperatura: 37.2 grados Saturación: • 96%
  • 8.
    Aspecto: Paciente encondiciones clínicas estable, afebril, palidez cutáneo mucosa, normocéfalo, pupilas isocóricas normorreactivas a la luz, telangiectasias en región frontal y nasal central. Mucosa oral: Húmeda, hidratada. Cuello: Móvil, simétrico, adenopatías palpables en región cervical bilateral, no doloroso a la movilización.
  • 9.
    Tórax: Simétrico, normoexpansivo,sin signos de dificultad respiratoria. Murmullo vesicular conservado,. RsCsRs, normofonéticos. Abdomen: Plano, RsHs presentes, blando, depresible, no doloroso a la palpación, no se palpan masas ni visceromegalias. Genitales externos: masculinos normoconfigurados.
  • 10.
    Extremidades: MsSs eMsIs con fuera muscular conservada, eutróficas, sin edema, pulsos periféricos presentes de amplitud normal. Neurológico: Vigil, consciente, orientado en tiempo y espacio, Glasgow 15/15.
  • 11.
    LABORATORIOS DE INGRESO LABORATORIOS07-06-2023 VALORES NORMALES Hb (g/dl) 10.3 gr/dl 12 – 17 g/dl HTC 31 % 40 – 50 % VCM 70 80 – 100 mc/ml HCM 28 23 – 31 pg Leucocitos 9,800 4.500 – 10.000 mm3 Neutrófilos segmentados 57 % 50-65 % Linfocitos 40 % 20 – 45 % Eosinófilos 4 % 1 – 6 % Plaquetas 308,000 150 – 400 x mm3 Glucosa 92 70 - 100 mg/dl
  • 12.
    LABORATORIOS 10-06-2023 VALORESNORMALES HB (g/dl) 10.5 12 – 17 g/dl HTC 31 % 40 – 50 % VCM 71 80 – 100 mc/ml HCM 28 23 – 31 pg Leucocitos 9,400 4.500 – 10.000 mm3 Neutrófilos segmentados 55 % 50-65 % Linfocitos 30 % 20 – 45 % Eosinófilos 4 % 1 – 6 % Plaquetas 307,000 150 – 400 x mm3 Glucosa 87 70 - 100 mg/dl Laboratorios intrahospitalarios
  • 13.
    Laboratorios intrahospitalarios LABORATORIOS 14 –06 - 2023 MARCADORES TUMORALES: RESULTADO REFERENCIA  CORTISOL 124.0 mg/l 50 – 230 mg/l  ANTÍGENO CARCINOEMBRIONARIO. 3,1 ng/ml < 10 ng/ml  ALFAFETOPROTEINA 4,3 ng/ml < 20 ng/ml  BHCG 4,1 UI/ml 0,1 – 5,7 UI/ml
  • 14.
    ESTUDIOS REALIZADOS: TC CEREBRALSIMPLE 08-06-2023. RNM CEREBRAL 20-06-2023.
  • 15.
    TC SIMPLE DECRANEO 08/06/2023
  • 16.
  • 20.
  • 23.
  • 26.
  • 27.
    Lesión ocupante deespacio extraaxial supratentorial a nivel de cisterna cuadrigeminal. CONCLUSIONES:
  • 28.
  • 29.
    ADQUISICIÓN AXIAL T1 T2FLAIR DWI ADC EG
  • 32.
  • 35.
  • 38.
     Malformación arterio-venosacerebral con dilatación aneurismática de la vena de galeno vs aneurisma de la vena de galeno vs fístula arteriovenosa pial. Escala de Spetzler – Martin 5 puntos.  Pansinusopatía.  Hipertrofia turbinal. CONCLUSIONES:
  • 39.
    MALFORMACIONES VASCULARES Consideraciones generales Lasmalformaciones cerebrovasculares (MCV) constituyen un grupo heterogéneo de enfermedades. Las estructuras anatómicas involucradas son: Arterias Capilares Venas
  • 40.
    Nomenclatura de lasMCV  Los hemangiomas tienen la capacidad de formar vasos Se aceptan dos grupos fundamentales de anomalías vasculares: • MALFORMACIONES VASCULARES: alteraciones del desarrollo. • LOCALIZACIÓN: parénquima cerebral. • HEMANGIOMAS: verdaderas neoplasias. • LOCALIZACIÓN: cráneo, meninges y senos venosos durales.  Las MAV están presentes desde el nacimiento. No proliferan
  • 41.
    Epidemiología • Las anomalíasvasculares representan aproximadamente el 1% de todos las masas intracraneales. 1 • Prevalencia de 1.5-1.8 casos por cada 100.000 personas/año, aproximadamente. 2 • Se calcula que las MCV provocan aproximadamente el 5% de todas las hemorragias intracraneales no traumáticas. 3 • Se detectan MCV hasta en el 8-10% de los pacientes que se someten a estudios de imagen. La mayoría de ellas (malformaciones venosas y capilares) son asintomáticas y constituyen hallazgos casuales. 4
  • 42.
    Embriología El desarrollo delsistema vascular fetal humano depende de dos procesos interrelacionados: vasculogénesis y angiogénesis.
  • 43.
    • Se hapropuesto un enfoque embrionario «metamérico» . • Relaciones conocidas que existen entre algunas malformaciones cerebrales y cutáneas. CLASIFICACIÓN DE LOS «SÍNDROMES METAMÉRICOS ARTERIALES CEREBRALES» O «CAMS» Clasificación embriológica CAMS I: grupo prosencefálico medial con afectación de la nariz y el hipotálamo. CAMS II: grupo prosencefálico lateral con compromiso de lóbulo occipital, quiasma óptico, tracto óptico, tálamo, retina y maxilar. CAMS III: grupo rombencéfalo con afectación de cerebelo, protuberancia y mandíbula.
  • 44.
    Los radiólogos endovasculareshan propuesto un sistema funcional y muy práctico que permite clasificar todas las MCV en dos categorías básicas: Clasificación funcional MCV CON CONEXIONES ARTERIOVENOSAS: comprende las malformaciones y fístulas arteriovenosas. MCV SIN CONEXIONES ARTERIOVENOSAS: malformaciones venosas, capilares y cavernosas.
  • 45.
    Conceptos de importancia MVC DE ALTO FLUJO o MAV CON NIDO o MAV SIN NIDO: FISTULAS  MVC DE BAJO FLUJO o CAVERNOMAS, TELANGIECTASIAS Y ANOMALÍAS DEL DESARROLLO VENOSO: SON MENOS AGRESIVAS
  • 46.
  • 47.
    Malformación Arteriovenosa Cerebral Conceptos generales Abreviaturas •Malformación arteriovenosa (MAV) Definiciones • Malformación vascular pial con comunicación directa arteria -> vena, sin interposición de un lecho capilar.
  • 48.
  • 49.
    Malformación Arteriovenosa Cerebral Localización o Supratentoriales(85%). o Fosa posterior (15%) . o El 98% solitarias, esporádicas. o Las MAV múltiples son poco frecuentes, generalmente como parte de un síndrome.
  • 50.
    Malformación Arteriovenosa Cerebral Morfología TRES COMPONENTES Arteriasnutricias dilatadas Nido de conductos vasculares dilatados y muy apretados Venas de drenaje dilatadas
  • 51.
  • 52.
    Malformación Arteriovenosa Cerebral Hallazgosen TC TC sin contraste Puede ser normal (si la MAV es muy pequeña) Vasos serpenteantes isodensos/hiperdensos Hemorragia de MAV -> hemorragia parenquimatosa/intraventricular > > hemorragia subaracnoidea Masas de difícil caracterización con valores de atenuación similares al parénquima circundante
  • 53.
  • 54.
    TC con contraste Realcemarcado de arterias nutricias, nido y venas de drenaje Malformación Arteriovenosa Cerebral Hallazgos en TC con contraste
  • 55.
  • 56.
    Malformación Arteriovenosa Cerebral Hallazgosen RM Hallazgos en RM Potenciación en T1 o La señal varía dependiendo de la velocidad y la dirección del flujo, y de la presencia o antigüedad de la hemorragia. o Masa/conglomerada : «panal» de vacíos de flujo . Potenciación en T2 o Red de vacíos de señal serpenteantes, en «panal de abejas» . o Hemorragia variable. o Tejido cerebral escaso o inexistente en el interior del nido.
  • 57.
  • 58.
  • 59.
    Malformación Arteriovenosa Cerebral Hallazgosen RM Hallazgos en RM FLAIR o Vacíos de flujo ± señal elevada circundante (gliosis) En T1 con contraste (en T1 C) o Realce muy marcado del nido y las venas de drenaje o El flujo rápido puede no mostrar realce (<<vacío de flujo») ARM o Muy útil para visualización macroscópica del flujo, tras la embolización/radioterapia
  • 60.
  • 61.
  • 62.
  • 63.
    Malformación Arteriovenosa Cerebral Hallazgosen angiografía ASD La ASD es la secuencia que mejor muestra la angioarquitectura interna Muestra los tres componentes de las MAV En el 27-32% de los casos se observa vascularización arterial «doble» (pial y dural)
  • 64.
  • 65.
    Estadificación, gradación yclasificación Escala de Spetzler-Martin • Pequeño « 3 cm) = 1 • Mediano (3-6 cm) = 2 • Grande (> 6 cm) = 3 TAMAÑO • En una zona «no elocuente» = 0 • En cerebro «elocuente» = 1 LOCALIZACIÓN • Sólo superficial = 0 • Profundo = 1 DRENAJE VENOSO
  • 66.
    Estadificación, gradación yclasificación Escala de Spetzler-Martin
  • 67.
    MALFORMACIÓN ANEURISMÁTICA DELA VENA DE GALENO Conceptos generales Abreviaturas • Malformación aneurismática de la vena de Galeno (MAVG). • «Aneurisma» de la vena de Galeno, variz galénica. Definiciones • Fístula arteriovenosa (FAV) entre las arterias coroideas profundas y la vena prosencefálica media (VPM) embrionaria de Markowski . • El flujo elevado a través de la VPM impide la formación de la vena de Galeno.
  • 68.
    Características Generales • Mejor indiciodiagnóstico: variz (VPM) de gran tamaño en la línea media de un neonato/lactante. • Localización: cisterna de la placa cuadrigémina. • Tamaño: de pocos centímetros a varios centímetros. • Morfología: variz tubular > esférica Malformación aneurismática de la Vena de Galeno Estudios de imagen
  • 69.
    Malformación aneurismática dela Vena de Galeno Epidemiología • Estas malformaciones representan menos del 1-2 % de todas las malformaciones vasculares intracraneales. 1 • A su vez, son la causa del 30 % de las malformaciones vasculares cerebrales que se presentan en pacientes pediátricos. 2 • Representa actualmente la principal patología diagnosticada en período prenatal del grupo de las MAV cerebrales. 3 • Mayor incidencia en el sexo masculino. 4
  • 70.
    Hallazgos en US Ecografía deescala de grises o Masa de predominio hipoecogénica en la línea media. Doppler en color o Flujo turbulento en el interior de la VPM. Ecografía antenatal o La MAVG se identifica en el tercer trimestre . Malformación aneurismática de la Vena de Galeno Estudios de imagen
  • 71.
    Malformación aneurismática dela Vena de Galeno Hallazgos en US
  • 72.
    Malformación aneurismática dela Vena de Galeno Hallazgos en US
  • 73.
    Hallazgos en TC TCSIN CONTRASTE o VPM ligeramente hiperdensa con el cerebro. o Hidrocefalia. o Hipodensidad y Ca++ de la sustancia blanca (SB) subcortical ---> isquemia venosa crónica. o Hemorragia intracraneal poco frecuente. TC + C o Realce vascular de arterias nutricias y VPM. ATC o Excelente definición angiográfíca de la MAVG Malformación aneurismática de la Vena de Galeno Estudios de imagen
  • 74.
    Malformación aneurismática dela Vena de Galeno Hallazgos en TC
  • 75.
    Malformación aneurismática dela Vena de Galeno Hallazgos en TC + C
  • 76.
    Malformación aneurismática dela Vena de Galeno Hallazgos en ATC
  • 77.
    Hallazgos en RM Potenciaciónen T1 o VPM: vacíos de flujo o imagen heterogénea por flujo rápido o turbulento. o Artefacto de fase por flujo rápido y turbulento. o Focos hiperintensos en el interior del cerebro: Ca++, isquemia. Potenciación en T2 o VPM: vacío de flujo o imagen heterogénea por flujo rápido o turbulento. o Vacíos de flujo de las arterias nutricias en torno al VPM. o Los focos isquémicos no se visualizan bien en el cerebro infantil sin mielinizar. Malformación aneurismática de la Vena de Galeno Estudios de imagen
  • 78.
    Malformación aneurismática dela Vena de Galeno Hallazgos en RM T1
  • 79.
    Malformación aneurismática dela Vena de Galeno Hallazgos en RM T2
  • 80.
    Malformación aneurismática dela Vena de Galeno Hallazgos en RM T1 + C
  • 81.
    Conceptos generales Abreviaturas • Fístulaarteriovenosa pial (FAVp) Definiciones • Malformación vascular pial con comunicación arteriovenosa (AV) directa • Sin interposición de lecho capilar o nido FÍSTULA ARTERIOVENOSA PIAL
  • 82.
    Características Generales • Mejor indiciodiagnóstico: o Arterias dilatadas, venas sin nido focal. • Localización: o Aunque se denominan «piales», pueden localizarse en la superficie o el interior del cerebro o en los epéndimos. o Pueden formarse en cualquier lugar del cerebro o la médula espinal. o Raras veces en la fosa posterior FÍSTULA ARTERIOVENOSA PIAL
  • 83.
    Hallazgos en TC TCSIN CONTRASTE o Vasos serpenteantes isodensos/hiperdensos. o Ca++ variable en la pared de la vena o las venas de drenaje. ATC o Se visualizan la(s) arteria(s) nutricia(s) y las venas de drenaje. FÍSTULA ARTERIOVENOSA PIAL Estudios de imagen
  • 84.
  • 85.
    Hallazgos en RM Potenciaciónen T1 o Vacíos de flujo o imagen heterogénea por flujo rápido o turbulento. o Artefacto de fase por flujo rápido y turbulento. Potenciación en T2 o Vacíos de flujo serpenteantes y dilatados o Hemorragia variable FÍSTULA ARTERIOVENOSA PIAL Estudios de imagen
  • 86.
  • 87.
  • 88.
    Bibliografía 1. Sarigecili, Esra& Caglar, Ezgi & Yildiz, Altan & Okuyaz, Cetin. (2019). A rare concurrence: gelastic seizures in a patient with right temporal nongalenic pial arteriovenous fistula. Child's Nervous System. 35. 10.1007/s00381-019-04068-5. 2. Lee, J.S., Oh, C.W., Bang, J., Kwon, O., & Hwang, G. (2012). Intracranial Pial Arteriovenous Fistula Presenting with Hemorrhage: A Case Report. Journal of Cerebrovascular and Endovascular Neurosurgery, 14, 305 - 308. 3. S.W. Hetts, K. Keenan, H.J. Fullerton, W.L. Young, J.D. English, N. Gupta, C.F. Dowd, R.T. Higashida, M.T. Lawton and V.V. Halbach 4. American Journal of Neuroradiology October 2012, 33 (9) 1710-1719; DOI: https://doi.org/10.3174/ajnr.A3194 5. Bokhari MR, Bokhari SRA. Arteriovenous Malformation of the Brain. [Updated 2023 Apr 24]. In: StatPearls [Internet]. Treasure Island (FL): StatPearls Publishing; 2023 Jan-. Available from: https://www.ncbi.nlm.nih.gov/books/NBK430744/ 6. Volny, Ondrej. (2015). microRNA in cerebrovascular diseases (in microRNA : Medical Evidence. Switzerland: Springer International Publishing, 2015. Advances in Experimental Medicine and Biology. ISBN 978-3-319-22670-5. doi:10.1007/978-3- 319-22671-2.). 10.13140/RG.2.1.1697.1607. 7. 3. Osborn A. El Encéfalo: Diagnóstico por imagen, patología y anatomía.Madrid: Editorial Médica Panamericana; 2018.
  • 89.

Notas del editor

  • #6 Perdida de peso de 12 kg en 3 meses.
  • #7 PERINATALES: Producto de madre de 22 años. Gestas II. Embarazo controlado por médico GO en 7 ocasiones, finalizando su gestación con cesárea segmentaria a las 38 S.G. debido a deseo de esterilización. Niega infecciones en el embarazo. NEONATALES: Respiro y lloro al nacer. Peso adecuado al nacimiento de 3130 gramos. Talla adecuada al nacimiento 49 cm. APGAR al minuto – cinco min. 9-10 puntos. ALIMENTACIÓN: Lactancia materna exclusiva hasta los 6 meses y luego alimentación complementaria con sopas, jugos, compotas, incorporado a la dieta familiar a los 12 meses. DESARROLLO PSICOMOTRIZ: Sostén cefálico: 2 meses, Gateo: 7 meses, Sedestación: 8 meses, Bipedestación: 11 meses, Camino: 12 meses, Primera palabra 9 meses. INMUNIZACIONES: Esquema de vacunación completo. (No presenta carnet PAI). PERSONALES: Niega asma, convulsiones o alergias a medicamentos. FAMILIARES: Padre : 25 años APS, Madre: 22 años APS, Hermano: APS, Abuela materna: HTA, Abuelo paterno: DM.
  • #9 EMPEZANDO CADA PARRAFO DEBE HABER MAYUSCULAS CUANDO TERMINA CADA PARRA CON PUNTO
  • #11 EMPEZANDO CADA PARRAFO DEBE HABER MAYUSCULAS CUANDO TERMINA CADA PARRA CON PUNTO
  • #14 miliunidades internacionales por mililitro (mUI/ml)
  • #15 FECHAS DE LOS ESTUDIOS
  • #18 A NIVEL DE LA CISTERNA CUADRIGEMINAL SE OBSERBA UNA LOE ISOECOICA EN RELACION A ESTRUCTURAS ADYACENTES, QUE TIENE UN COMPORTAMIENTO EXPANSIVO HACIA EL LADO DERECHO, EN EL SIGUIENTE CORTE EVIDENCIAMOS COMO ESTE PROCESO ESTA EJERCIENDO COMPRENSION SOBRE EL ASTA OCCIPITAL DEL VENTRICULO LATERAL DERECHO
  • #19 VEMOS COMO SIGUE SU EXPANSION HACIA EL LADO DERECHO Y COMO TAMBIEN COMPROMETE PARCIALMENTE EL ASTA OCCIPITAL IZQUIERDO SIN APRECIAR UNA VENTRICULOMEGALIA, RESTO DEL PARENQUIMA CEREBRAL SIN ALTERACIONES Y ESTRUCTURAS OSEAS CONSERVADAS.
  • #20 Nucleo caudado Putamen talamo
  • #30 PONDERADA. cisterna de la placa cuadrigémina
  • #31 CORTE EN GANGLIOS BASALES
  • #32 CORTE EN CUERPO DE VENTRICULOS LATERALES
  • #33 PONDERADA.
  • #36 PONDERADA.
  • #39 ALTO RIESGO QUIRURGICO BOLSA DE GUSANOS O MARAÑA DE VACIO DE SEÑAL. SERPENTEANTES EN PANAL DE AVEJAS DEPENDE DE LA VELOCIDAD Y DIRECCION DEL FLUJO Estadificación, gradación y clasificación • Escala de Spetzler-Martin La suma de los siguientes parámetros permite evaluar el riesgo quirúrgico de 1 a 5 • Tamaño - Pequeño « 3 cm) =1 - Mediano (3-6 cm) =2 - Grande (> 6 cm) =3 • Localización - En una zona «no elocuente» = O - En cerebro «elocuente» = 1 - Zonas «elocuentes» = corteza sensoriomotora, corteza visual, hipotálamo, tálamo, cápsula interna, tronco del encéfalo, pedúnculos cerebelosos, núcleos profundos • Drenaje venoso - Sólo superficial =O - Profundo =1
  • #40 ada vaso arterial consta de tres capas concéntricas:1​ Interna o íntima: constituida por el endotelio (un epitelio simple plano), una lámina basal y una capa conjuntiva subendotelial. La íntima está presente en todos los vasos (arterias o venas) y su composición es idéntica en todos. La clasificación de los vasos depende por tanto de la descripción histológica de las otras dos capas. Media: compuesta por fibras musculares lisas dispuestas de forma concéntrica, fibras elásticas y fibras de colágeno, en proporción variable según el tipo de arteria. En las arterias, la media es una capa de aspecto compacto y de espesor regular. Externa o adventicia: formada por tejido conjuntivo laxo, compuesto fundamentalmente por fibroblastos y colágeno. En arterias de diámetro superior a 1 mm (milímetro), la nutrición de estas túnicas o capas corre a cargo de los vasa vasorum; su inervación, de los nervi vasorum (fenómenos vasomotores). Como las arterias, las venas están formadas por tres capas:1​ Interna, íntima o endotelial; los límites entre esta capa y la siguiente están con frecuencia mal definidas. Media o muscular; poco desarrollada en las venas, y con algo de tejido elástico. Constituida sobre todo de tejido conjuntivo, con algunas fibras musculares lisas dispuestas concéntricamente. Externa o adventicia, que forma la mayor parte de la pared venosa. Formada por tejido conjuntivo laxo que contiene haces de fibras de colágeno y haces de células musculares dispuestas longitudinalmente.
  • #43 La vasculogénesis es la formación embriológica de: células endoteliales a partir de sus células precursoras mesodérmicas, y de la neovascularización. Los primeros vasos que se desarrollan en el embrión son formados a través de procesos de vasculogénesis, y posteriormente la angiogénesis es responsable de la mayoría del desarrollo de los vasos sanguíneos durante el embarazo y también en la enfermedad.
  • #49 MIP CTA confirms the presence of a left temporal lobe arteriovenous malformation (AVM) which appears to receive the vast majority of its supply from the left middle cerebral artery. Contribution from the posterior cerebral artery is although likely via the lateral posterior choroidal arteries. 
  • #52 Digital subtraction angiogram of CAVM image. ARTERIA CEREBRAL MEDIA
  • #54 TC SIMPLE DE CRANEO CORTE AXIAL VENTANA PAREQUIMATOSA
  • #56 TC CONTRASTADA AXIAL PARENQUIMATOSA ANGIOTOMOGRAFIA MIP
  • #64 delineate location, number of feeding vessels and pattern of drainage
  • #65  Arteriovenous malformation on digital subtraction angiography (DSA). DSA represents a gold standard in a diagnostic management of AVM. It is widely used to delineate location, number of feeding vessels and pattern of drainage. AVM on the angiogram appears as a packed mass of enlarged feeding arteries ( white arrow heads ) that supply the central nidus ( open arrow ). Scans present a 19-year-old patient with AVM in the parieto-occipital region. The nidus is fed by vessels from carotid artery and vertebrobasilar circulation. Dilated veins ( black arrow heads ) drain the nidus into the superior sagittal sinus and transverse sinus. Abnormal venous opacification in arterial phase of DSA represents evidence for pathological shunting; ( left ) Lateral view of the AVM showing feeding arteries arising from branches of the middle cerebral artery (anterior circulation); ( middle ) Lateral view showing draining veins into the superior sagittal and transverse sinus; ( right ) Anteroposterior view showing feeding arteries arising from the posterior cerebral artery (vertebrobasilar circulation). ACA anterior cerebral artery, BA basilar artery, ICA internal carotid artery, PCA posterior cerebral artery, TR transverse sinus, SAG superior sagittal sinus, SIG sigmoid sinus