IMAGENOLOGÍA DE LA
TUBERCULOSIS
tuberculosis
“ Enfermedad infecciosa crónica pulmonar y
extrapulmonar, adquirida mediante inhalación
en la estructura alveolar del pulmón de
núcleos de gotitas que contienen el bacilo de
la TBC (mycobacterium tuberculosis); se
caracteriza por períodos de infección
temprana (a menudo asintomática), latencia y
potencial recurrencia.
Tuberculosis
Patogénesis
• Bacilo se implanta en bronquiolo o alveolo.
• Respuesta monocitaria a las 48 h por
macrófagos alveolares.
• Crece lentamente: cada 25 a 32 horas dentro
del macrófago.
• No hay respuesta inmediata del huésped por
carecer de endotoxinas.
• Diseminación linfática a ganglios linfáticos
hiliares, y luego vía sanguínea a otros sitios.
• Macrófagos y Linfocitos T activados forman
granulomas que limitan la propagación.
Liberación de mediadores.
• Respuesta inmune celular aparece de 2 a 12
semanas (103
-104
bacilos)
• Bacilos en centro del granuloma (necrótico).
Pequeño número puede permanecer viable.
• Presencia de complejo primario de Ghon o
inaparente.
SIGNOS RADIOLÓGICOS
• El complejo primario de Ghon es la presencia de una
pequeña zona radiopaca (que corresponde a la
primo infección), ubicada por debajo de la clavícula
derecha, junto a una calcificación a nivel de los
ganglios linfáticos hiliares, unidos estos dos procesos
por un trazo lineal de linfáticos radiopacos.
Nódulos de Simon
• Los nódulos de Simon son formaciones
nodulares apicales bilaterales y simétricas que
aparecen en periodos inmediatos a la
primoinfección y se producen mediante
siembras por vía hematógena a partir del
complejo primario.
Infiltrados
• Su manifestación característica de infiltrado
tipo nuboso o moteado de estructura nodular.
• Estos infiltrados muchas veces están unidos al
hilio por imágenes lineales o cordonales.
• Están lesiones persisten durante unos meses
y con frecuencia dejan como residuo un
pequeño grupo de nódulos calcificados.
Infiltrado precoz tuberculoso
• Esta forma de tuberculosis es la más frecuente
en el adulto. La imagen del infiltrado precoz
suele ser de 3-10 cm de diámetro, tiene unos
límites imprecisos y borrosos y su localización
preferentemente es a nivel subclavicular.
Se trata de una lesión intensamente
inflamatoria con necrosis caseosa
central.
• Una imagen característica es la “imagen en
tienda de campaña”, de forma triangular,
radiopaca a nivel de las bases pulmonares y
que hasta la actualidad se sigue discutiendo si
es que corresponde a una retracción pleural o
a una Atelectasia. Esta imagen puede estar
rodeada por fibrosis.
cavitación
• La cavitación típica de la Tb. es una zona
radiolúcida en el centro con una pared radiopaca,
localizada sobre todo en los vértices pulmonares
(mayor presión de oxígeno).
• Dependiendo de la cavidad esta puede
cicatrizarse y desaparecer; cuando dicha cavidad
se fibrosa se puede producir desviación de las
estructuras vecinas, en otros casos la cavidad se
convierte en una bulla enfisematosa pudiendo
romperse y originar neumotórax.
La zona central radiolúcida
corresponde al trasudado
que se desprende del
proceso inflamatorio
Tuberculoma
• Se trata de un nódulo solitario, único ó
múltiple, de aspecto redondeado u ovalado,
de unos 3-6 cm de diámetro.
La imagen está muy bien delimitada por
un gruesa capa hialina y en su interior
existe necrosis caseosa.
Tuberculosis fibrocaseosa
Es la tisis común del adulto, Afecta
comúnmente a los campos superiores,
siempre es unilateral y su imagen no es
uniforme ni homogénea
La constituyen lesiones inflamatorias +
necrosis + cavernas.
Su distribución es lobulillar y su
diseminación es siempre broncógena. Las
cavernas tienen gruesas paredes, muy
bien delimitadas y con una imagen gruesa
lineal hacia el hilio.
TBC PRIMARIA
INFECCIÓN LOBAR: condensación homogénea,
densa y bien definida, limitada a un segmento
a un nódulo aunque la afectación puede ser
más extensa.. La TPP casi siempre tiene
adenopatías acompañantes.
Condensación basal izquierda con mala respuesta a tratamiento como neumonía
bacteriana adquirida en la comunidad.
TBC PRIMARIA :
PRESENTACIÓN GANGLIONAR :
• las adenopatías es prácticamente
patognomónica de la fase primaria de la
enfermedad, (90%)
• el grupo mas frecuentemente afectado es el
traqueo bronquial derecho.
• La combinación de una lesión neumónica
lobar con adenopatías es muy típica de
tuberculosis (complejo primario)
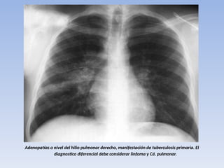
Adenopatías a nivel del hilio pulmonar derecho, manifestación de tuberculosis primaria. El
diagnostico diferencial debe considerar linfoma y Cá. pulmonar.
TUBERCULOSIS MILIAR
• resultado de la diseminación hematógena
• fases iniciales, normal. una semana
después ,presencia de un halo difuso, mal
definido en ambos pulmones y
posteriormente la imagen típica de nódulos
pulmonares miliares bien definidos.
• Afectación es de todos los campos
pulmonares, existen adenopatías hiliares
Patrón miliar. Pequeños micromódulos de 1 a 3 mm. distribuidos difusamente en ambos
campos pulmonares.
AFECTACIÓN PLEURAL
10% de los casos, mas frecuentes entre los 15 a
30 años primaria.
El Derrame Pleural tiende acumularse
lentamente y sin dolor, la mayoría son
unilaterales.
El resultado final es la presencia de una
restitución total del espacio pleural o
simplemente del ángulo costofrenico
Derrame pleural basal. El estudio del líquido pleural demostró tuberculosis. La presencia
de un derrame pleural en un paciente joven relativamente asintomático es altamente
sugerente de tuberculosis.
TBC SECUNDARIA
• Mas común en los adultos
• área de afectación mas frecuente son los lob.
Sup. y tendencia bilateral
• Cavitación frecuente(37-75%)por necrosis
• Ausencia de linfoadenopatías
Condensación del lóbulo superior derecho, lugar frecuente de afectación en la tuberculosis post-
primaria.
Condensaciones múltiples, con un área sugerente de excavación, como manifestación de
tuberculosis.
Bibliografía
• http://web.udl.es/usuaris/w4137451/copia
%20webresp/teoria/t13/tema.htm
• http://www.worldlingo.com/ma/enwiki/es/
Tuberculosis_radiology
• Dr. De Witle, Dr. E. Van De Velde (1990):
Radiodiagnóstico Fundamental. ED. Edición
Pueblo y Educación. La Habana, Cuba.
• Monnier J.P (1985): Manual de
Radiodiagnóstico. ED. Edición Revolucionaria. La
Habana, Cuba.

radiologadelatuberculosis-101024143231-phpapp02 (3).ppt

  • 1.
  • 2.
    tuberculosis “ Enfermedad infecciosacrónica pulmonar y extrapulmonar, adquirida mediante inhalación en la estructura alveolar del pulmón de núcleos de gotitas que contienen el bacilo de la TBC (mycobacterium tuberculosis); se caracteriza por períodos de infección temprana (a menudo asintomática), latencia y potencial recurrencia.
  • 3.
    Tuberculosis Patogénesis • Bacilo seimplanta en bronquiolo o alveolo. • Respuesta monocitaria a las 48 h por macrófagos alveolares. • Crece lentamente: cada 25 a 32 horas dentro del macrófago. • No hay respuesta inmediata del huésped por carecer de endotoxinas. • Diseminación linfática a ganglios linfáticos hiliares, y luego vía sanguínea a otros sitios.
  • 4.
    • Macrófagos yLinfocitos T activados forman granulomas que limitan la propagación. Liberación de mediadores. • Respuesta inmune celular aparece de 2 a 12 semanas (103 -104 bacilos) • Bacilos en centro del granuloma (necrótico). Pequeño número puede permanecer viable. • Presencia de complejo primario de Ghon o inaparente.
  • 6.
    SIGNOS RADIOLÓGICOS • Elcomplejo primario de Ghon es la presencia de una pequeña zona radiopaca (que corresponde a la primo infección), ubicada por debajo de la clavícula derecha, junto a una calcificación a nivel de los ganglios linfáticos hiliares, unidos estos dos procesos por un trazo lineal de linfáticos radiopacos.
  • 9.
    Nódulos de Simon •Los nódulos de Simon son formaciones nodulares apicales bilaterales y simétricas que aparecen en periodos inmediatos a la primoinfección y se producen mediante siembras por vía hematógena a partir del complejo primario.
  • 11.
    Infiltrados • Su manifestacióncaracterística de infiltrado tipo nuboso o moteado de estructura nodular. • Estos infiltrados muchas veces están unidos al hilio por imágenes lineales o cordonales. • Están lesiones persisten durante unos meses y con frecuencia dejan como residuo un pequeño grupo de nódulos calcificados.
  • 12.
    Infiltrado precoz tuberculoso •Esta forma de tuberculosis es la más frecuente en el adulto. La imagen del infiltrado precoz suele ser de 3-10 cm de diámetro, tiene unos límites imprecisos y borrosos y su localización preferentemente es a nivel subclavicular.
  • 13.
    Se trata deuna lesión intensamente inflamatoria con necrosis caseosa central.
  • 14.
    • Una imagencaracterística es la “imagen en tienda de campaña”, de forma triangular, radiopaca a nivel de las bases pulmonares y que hasta la actualidad se sigue discutiendo si es que corresponde a una retracción pleural o a una Atelectasia. Esta imagen puede estar rodeada por fibrosis.
  • 15.
    cavitación • La cavitacióntípica de la Tb. es una zona radiolúcida en el centro con una pared radiopaca, localizada sobre todo en los vértices pulmonares (mayor presión de oxígeno). • Dependiendo de la cavidad esta puede cicatrizarse y desaparecer; cuando dicha cavidad se fibrosa se puede producir desviación de las estructuras vecinas, en otros casos la cavidad se convierte en una bulla enfisematosa pudiendo romperse y originar neumotórax.
  • 16.
    La zona centralradiolúcida corresponde al trasudado que se desprende del proceso inflamatorio
  • 17.
    Tuberculoma • Se tratade un nódulo solitario, único ó múltiple, de aspecto redondeado u ovalado, de unos 3-6 cm de diámetro.
  • 18.
    La imagen estámuy bien delimitada por un gruesa capa hialina y en su interior existe necrosis caseosa.
  • 19.
    Tuberculosis fibrocaseosa Es latisis común del adulto, Afecta comúnmente a los campos superiores, siempre es unilateral y su imagen no es uniforme ni homogénea La constituyen lesiones inflamatorias + necrosis + cavernas. Su distribución es lobulillar y su diseminación es siempre broncógena. Las cavernas tienen gruesas paredes, muy bien delimitadas y con una imagen gruesa lineal hacia el hilio.
  • 20.
    TBC PRIMARIA INFECCIÓN LOBAR:condensación homogénea, densa y bien definida, limitada a un segmento a un nódulo aunque la afectación puede ser más extensa.. La TPP casi siempre tiene adenopatías acompañantes.
  • 21.
    Condensación basal izquierdacon mala respuesta a tratamiento como neumonía bacteriana adquirida en la comunidad.
  • 22.
    TBC PRIMARIA : PRESENTACIÓNGANGLIONAR : • las adenopatías es prácticamente patognomónica de la fase primaria de la enfermedad, (90%) • el grupo mas frecuentemente afectado es el traqueo bronquial derecho. • La combinación de una lesión neumónica lobar con adenopatías es muy típica de tuberculosis (complejo primario)
  • 23.
    Adenopatías a niveldel hilio pulmonar derecho, manifestación de tuberculosis primaria. El diagnostico diferencial debe considerar linfoma y Cá. pulmonar.
  • 24.
    TUBERCULOSIS MILIAR • resultadode la diseminación hematógena • fases iniciales, normal. una semana después ,presencia de un halo difuso, mal definido en ambos pulmones y posteriormente la imagen típica de nódulos pulmonares miliares bien definidos. • Afectación es de todos los campos pulmonares, existen adenopatías hiliares
  • 25.
    Patrón miliar. Pequeñosmicromódulos de 1 a 3 mm. distribuidos difusamente en ambos campos pulmonares.
  • 26.
    AFECTACIÓN PLEURAL 10% delos casos, mas frecuentes entre los 15 a 30 años primaria. El Derrame Pleural tiende acumularse lentamente y sin dolor, la mayoría son unilaterales. El resultado final es la presencia de una restitución total del espacio pleural o simplemente del ángulo costofrenico
  • 27.
    Derrame pleural basal.El estudio del líquido pleural demostró tuberculosis. La presencia de un derrame pleural en un paciente joven relativamente asintomático es altamente sugerente de tuberculosis.
  • 28.
    TBC SECUNDARIA • Mascomún en los adultos • área de afectación mas frecuente son los lob. Sup. y tendencia bilateral • Cavitación frecuente(37-75%)por necrosis • Ausencia de linfoadenopatías
  • 29.
    Condensación del lóbulosuperior derecho, lugar frecuente de afectación en la tuberculosis post- primaria.
  • 30.
    Condensaciones múltiples, conun área sugerente de excavación, como manifestación de tuberculosis.
  • 32.
    Bibliografía • http://web.udl.es/usuaris/w4137451/copia %20webresp/teoria/t13/tema.htm • http://www.worldlingo.com/ma/enwiki/es/ Tuberculosis_radiology •Dr. De Witle, Dr. E. Van De Velde (1990): Radiodiagnóstico Fundamental. ED. Edición Pueblo y Educación. La Habana, Cuba. • Monnier J.P (1985): Manual de Radiodiagnóstico. ED. Edición Revolucionaria. La Habana, Cuba.