SEGUNDO SEMESTRE
HISTOLOGIA II
Explicar las características morfofuncionales del sistema
vascular linfático aplicando los modelos de célula y de
tejido, utilizando esquemas, microfotografías y láminas
histológicas en situaciones problemáticas conocidas o
nuevas.
-Tema 6:
Sistema vascular linfático. Linfa.Vasos
linfáticos, características
morfofuncionales. Nódulos linfáticos,
ganglios linfáticos, bazo y timo:
características morfofuncionales.
-Objetivos específicos:
Está integrado por:
1- Los vasos linfáticos.
2- Los órganos linfáticos.
3- La linfa.
Sistema vascular linfático.
Linfa:
1- Líquido con características particulares que
se encuentra en movimiento dentro del sistema de
tubos, pero sin constituir una verdadera
circulación, puesto que su movimiento es
unidireccional.
2- La composición es similar a la del líquido
tisular, pero contiene linfocitos, corpúsculos de
grasa y proteínas.
3- Algunos órganos linfáticos están interpuestos
en el recorrido de los vasos linfáticos y proveen
de linfocitos a la linfa.
Vasos linfáticos.
1-Tienen su origen en los espacios de tejido
conectivo en terminaciones ciegas, como
capilares anastomosados, y también como
evaginaciones o yemas de las venas.
2- Su contenido, la linfa, la transportan en una
sola dirección.
3- Ellos drenan en el tejido conectivo, coloides
y moléculas de gran tamaño, cosa que no
pueden hacer los capilares sanguíneos.
Los capilares linfáticos:
1- Tienen una pared formada por una sola capa
de células endoteliales.
2- No poseen membrana basal y sólo presentan
fibras colágenas y reticulares que se adhieren
a la pared.
3- La carencia de membrana basal explica en
parte la capacidad que presentan para absorber
macromoléculas.
4- Forman una verdadera red de gran complejidad
y terminan en los vasos colectores.
Vasos colectores:
1-Tienen estructura parecida a la de las venas.
2- Integrados por tres capas: íntima, media y
adventicia.
3- La íntima o interna está constituida por el endotelio
y las fibras elásticas.
4- La media está formada principalmente por fibra
muscular lisa en disposición circular y oblicua.
5- La adventicia se presenta generalmente algo
desarrollada y con fibras musculares lisas.
Los vasos colectores tienen más cantidad de
válvulas, las cuales se encuentran más próximas que
las observadas en las venas.
Estas válvulas están formadas por dos láminas que
sobresalen en la luz del vaso colector y que no son
más que repliegues del endotelio reforzados por
algunas fibras de tejido conectivo procedente de la
íntima.
La linfa concluye su recorrido en los gruesos troncos
linfáticos (conducto linfático derecho y conducto
torácico), que presentan una estructura muy
parecida a la de una vena, pero con una capa media
más desarrollada y con células musculares lisas
dispuestas en haces longitudinales y circulares.
Órganos linfáticos.
1- Nódulos linfáticos.
2- Ganglios linfáticos.
3- Bazo.
4-Timo.
Los tejidos linfáticos y mieloide son
tejidos hematopoyéticos
(formadores de células de la sangre),
pero sólo consideraremos al tejido
linfático, el cual no es realmente un
tejido primario, sino solamente una
variedad del tejido conectivo en que
predominan, como componentes:
fibras y células reticulares, y células
libres, principalmente linfocitos que
se localizan entre las mallas de tejido
reticular.
A este tejido le está encomendada una función
muy importante, producir linfocitos que pueden
transformarse y actuar como células
inmunológicas, en respuesta a los antígenos, y
que constituyen por tanto una barrera defensiva
de gran valor para nuestro organismo.
En el tejido linfático se retienen y fagocitan todas
las partículas extrañas, incluyendo bacterias
arrastradas por la linfa.
El tejido linfático lo podemos encontrar en el
organismo de dos formas: difusa y organizada.
El tejido linfático difuso se localiza
principalmente en la lámina propia de la
mucosa de algunos sistemas, como son el
digestivo y el respiratorio.
La forma organizada, nódulo linfático, puede
encontrarse diseminado por el organismo en el
tejido conectivo de los sistemas respiratorio,
digestivo y urinario, y también formando parte
de órganos específicos como son: ganglios
linfáticos, bazo y timo.
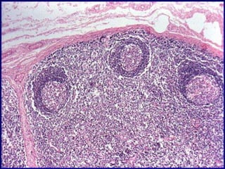
Nódulos linfáticos.
1- Se encuentran diseminados por nuestro organismo.
2- En el tejido conjuntivo laxo y particularmente debajo de
los epitelios húmedos (vías respiratorias superiores, tubo
digestivo, vías urinarias, etc.) adopta la forma de pequeños
depósitos de tejido linfático llamados nódulos no
encapsulados, debido a que no están rodeados por la cápsula
de tejido conectivo.También se les denomina nódulos
primarios.
3- Los nódulos primarios son verdaderas unidades
estructurales de tejido linfoide, y forman una barreara de
defensa en nuestro organismo.
4- Se pueden encontrar solitarios o agrupados, y el
tamaño es generalmente pequeño (0,5-3 mm de diámetro).
5- En algunos nódulos grandes puede existir una zona
central más clara, denominada centro germinativo, la cual
se forma cuando hay una respuesta antigénica y constituye
una zona de proliferación de linfoblastos y linfocitos.
6- El centro germinativo de un nódulo linfático se
denomina nódulo secundario.
7- Cuando los nódulos son numerosos tienden a confluir,
como en el intestino delgado, específicamente en el
íleon, donde forman una estructura especial que recibe el
nombre de placas de Peyer. Este tejido en cortes teñidos
con H/E tiene un color manifiestamente azul intenso, lo
cual se debe a la gran cantidad de células basófilas que
posee.
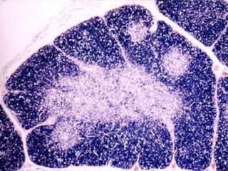
Ganglios linfáticos.
1- Son los únicos órganos linfoides interpuestos en el curso
de los vasos linfáticos.
2- Abundan principalmente en axilas, región inguinal, parte
anterior del cuello, pelvis y abdomen.
3- El tamaño varía notablemente desde un milímetro a un
centímetro.
4- Con frecuencia tienen forma arriñonada y, en este caso,
en la parte convexa se encuentran en distintos puntos los
linfáticos aferentes, y por la parte cóncava se encuentra el
hilio, con las arterias y venas, y los nervios y vasos
linfáticos eferentes.
5- Los linfáticos aferentes portan la linfa para su
filtración, privándola de partículas extrañas y
microorganismos y enriqueciéndola al mismo tiempo con
células de la sangre, principalmente leucocitos no
granulosos; todo ello sale del ganglio por l parte cóncava a
través de los linfáticos eferentes.
Todos los linfáticos aferentes
como los eferentes están
provistos de válvulas, lo
cual impide que la linfa
circule en sentido retrógrado.
Ganglio:
1- Cápsula.
2- Corteza.
3- Médula.
Cápsula:
1- Es de tejido conectivo denso que
contiene fibras colágenas, elásticas
y algunos miocitos lisos.
2- Emite con regularidad tabiques de
tejido conjuntivo al interior del
ganglio, los cuales se anastomosan
entre sí y sirven de soporte a los
vasos sanguíneos.
Si damos a un ganglio un corte trasversal a
nivel del hilio, podremos apreciar una región
externa, cortical y obscura (corteza) y una
región más clara, central (médula).
La corteza tiene poco espesor y está formada
por folículos linfoides o nódulos primarios que
presentan, según el estado funcional, centros
germinativos.
Los folículos se hallan separados de la cápsula
por una malla reticular gruesa, en la cual están
suspendidas células reticulares.
Esta zona, por debajo de la cápsula, se denomina seno
subcapsular.
Estos espacios, cuando se sitúan entre los nódulos y los
tabiques, reciben el nombre de senos corticales, y los
observados en la médula, senos medulares.
Dichos senos constituyen una zona densa, a través de
la cual se filtra con facilidad la linfa que llega por los
linfáticos aferentes y penetra profundamente en el
ganglio entre las mallas gruesas, situadas entre los
nódulos y trabéculas.
Como los nódulos tienen una red fina, no permiten tan
fácilmente, el paso de la linfa, como la malla gruesa.
La linfa termina saliendo por los linfáticos eferentes.
En el interior del ganglio existe una red de fibras reticulares
que forman una malla más fina en la zona medular y que
sirve de soporte a los cordones medulares, que es la
organización que toma el tejido linfático en esa zona.
En los folículos los linfocitos pequeños se hallan
localizados hacia la periferia.
En la parte central, más clara, hay células
grandes de núcleos grandes: linfoblastos y
linfocitos (grandes).
La mayoría de estas células proliferan
activamente, de aquí que esta parte del folículo
se denomine centro de multiplicación.
En la parte central del folículo se encuentran
también macrófagos.
Entre las células de los cordones medulares se hallan
células plasmáticas y linfocitos medianos.
Integran también la médula los senos medulares, en los
cuales a las células reticulares que forman sus paredes
se les denomina células reticuloendoteliales, estas
presentan propiedades fagocíticas, y pueden liberarse,
adoptar una forma redondeada y convertirse en
macrófagos libres.
La contracción de las células musculares lisas, tanto de
la cápsula como las de los tabiques, contribuye al
movimiento de la linfa.
La importancia de los ganglios linfáticos
está dada por sus funciones:
1- Ser órganos productores de linfocitos.
2- Participar en la elaboración de anticuerpos.
3- Filtrar la linfa reteniendo y fagocitando
sustancias extrañas.
Bazo.
1- Es el mayor de los órganos linfoides, situado
en la cavidad abdominal.
2- Varía mucho su volumen de acuerdo con la
cantidad de sangre que retenga en su interior y
según su actividad hematopoyética que realice.
3- Su color purpúreo depende de la cantidad de
sangre que contiene.
4- Es una víscera blanda y muy friable, lo cual
tiene importancia en los traumatismos
abdominales.
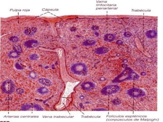
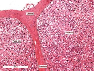
Bazo:
1- Estroma
-Cápsula. (de tejido conectivo).
-Tabiques.
-Armazón reticular.
2- Parénquima
-Pulpa esplénica:
.Blanca
.Roja
Cápsula:
1- Tiene células de músculo liso
y fibras colágenas y elásticas.
2- Es lisa externamente, debido a
que está cubierta por una túnica
serosa peritoneal con células
mesoteliales.
Las trabéculas (tabiques):
1- Son de tejido conectivo y se
extienden hacia la sustancia del
órgano desde el hilio, que es la
parte del bazo en que hay una
identación profunda y por donde
entra y sale la sangre.
2- Algunas trabéculas parten de la
cápsula.
Armazón del bazo:
Está formada por fibras reticulares
que constituyen una verdadera trama
intertrabecular.
Pulpa blanca:
1- Es productora de linfocitos.
2- Se encuentra rodeando a la adventicia
de las arterias.
3- Adopta dos disposiciones:
- Forma cilindros o vainas linfáticas periarteriales.
- Nódulos linfáticos.
Pulpa roja:
1- Es más blanda que la blanca.
2- Ocupa todo el resto del parénquima que no está formado
por pulpa blanca.
3- Efectúa una acción filtrante de la sangre.
4- Se dice que es el sitio donde se examina la viabilidad
de los hematíes.
5- Está formada por cordones anastomosados de células,
cordones de Billroth, separados por senos venosos amplios
e interconectados.
6- Los cordones están constituidos por fibras reticulares
que sirven de soporte, eritrocitos, leucocitos, y células
fagocitarias (macrófagos).
7- Los eritrocitos son los responsables del color rojo de
la pulpa. Algunos de estos se pueden encontrar en estado
de degeneración o destrucción.
Vasos sanguíneos y circulación:
(Arteria esplénica)
1- Arterias trabeculares.
2- Arteriola central.
3- Arteriola pulpar.
4- Arteriola elipsoidal.
5- Capilar arterial.
6- Seno venoso.
7- Vena de la pulpa.
8- Vena trabecular.
Vasos sanguíneos y circulación:
- La arteria esplénica y sus venas satélites se
dividen en el interior del bazo, en forma
abanicada, en distintas ramas (6-8).
- Pasan a las trabéculas y se denominan arterias
trabeculares.
- Las arterias trabeculares se adentran en el
parénquima esplénico.
- Aquí la adventicia adquiere carácter de tejido
reticular y constituye un “manguito” o vaina de
tejido linfoide periarteriolar, el cual la
acompañará en su recorrido.
- Esta vaina linfoide está impregnada de
linfocitos y en determinados lugares forma
verdaderos folículos linfoides que reciben
el nombre de corpúsculos de Malpighi, los
cuales son atravesados por la arteria algo
excéntricamente, aunque reciben el nombre
de arteriolas centrales.
- La periferia de los folículos está
formada por una red de fibras reticulares
gruesas, mientras que en la parte central
las fibras son más finas y más claras en
su tinción.
Se estima que los linfocitos T procedentes del
timo se instalan en las vainas o manguitos
linfáticos de la pulpa blanca, hacia la zona
marginal externa.
Los linfocitos B se sitúan en la región central
hacia la arteriola central. Estos pueden formar
centros germinativos si se inicia una respuesta
humoral en ese órgano por parte de los
antígenos que circulan en la sangre.
Las arteriolas centrales se ramifican para
formar una red capilar en las zonas marginales.
- Las arterias o arteriolas al entrar en la
pulpa reciben el nombre de pulpares.
- Luego se estrechan y forman las arteriolas
elipsoides que terminan en capilares muy
finos de endotelio continuo, nombrados
peniciliados.
- Las venas continúan por las trabéculas
hasta llegar a la cápsula periférica.
- Los senos venosos forman un sistema de
conductos irregulares que se anastomosan en
la pulpa.
Circulación sanguínea a través
de la pulpa roja:
(Antiguamente)
1- Circulación abierta: La sangre que corre por los
capilares se vacía en el retículo de la pulpa y se filtra
poco a poco hacia los sinusoides venosos.
2- Circulación cerrada: La sangre pasa directamente de
los vasos arteriales a los sinusoides, por existir
continuidad morfológica entre ambos vasos.
Actualmente:
Se plantea la circulación cerrada en el
bazo colapsado y la circulación abierta en
el bazo distendido.
Sin embargo, se ha observado que todas las
terminaciones de los vasos arteriales se
cierran en las sinusoides de la pulpa
roja, por lo que se plantea la teoría de
la circulación cerrada para él.
Funciones del bazo:
1- Como órgano hematopoyético, produce linfocitos que se forman
principalmente en la pulpa y en sus nódulos.
2- Es en principal lugar donde los antígenos de la sangre
activan a los linfocitos para convertirlos en células
inmunológicamente competentes. Estos linfocitos proceden
principalmente del timo.
3- En situaciones de stress puede influir en la cantidad de
sangre circulante, enviando, por contracción de la musculatura
lisa de la cápsula y las trabéculas un mayor volumen de sangre
al torrente circulatorio.
4- En ciertas condiciones patológicas, actúa como órgano
hematopoyético. Puede producir las células hemáticas que
ordinariamente produce la médula ósea.
5- Debido a la abundancia de macrófagos que presenta, actúa en
el filtrado de la sangre, destruye bacterias, partículas
extrañas, eritrocitos, y aprovechando el hierro y los pigmentos
de la hemoglobina para su recirculación.
Timo.
1- El timo es un órgano linfático localizado en el tórax
por detrás de la parte superior del esternón.
2- Su forma es aproximadamente triangular, y presenta la
parte superior más delgada y dirigida hacia el cuello.
3- Es un órgano bilobulado y cada lóbulo está formado por
múltiples lobulillos que poseen corteza y médula.
4- Es linfoepitelial, donde los linfocitos y el epitelio
forman un complejo común y están en estrecha relación.
5- Cada uno de los lóbulos está rodeado por una delgada
cápsula de tejido conjuntivo que emite hacia el interior
tabiques, los cuales forman trabéculas que dividen a los
lóbulos en múltiples lobulillos incompletos, pues el
tejido conectivo permite cierta comunicación ente los
lobulillos. Todo ello constituye el estroma del órgano.
- La trama de sostén interna del órgano está
constituida por un tipo de célula especial, las
llamadas células reticuloepiteliales, formadoras
de una red que deja espacios entre las
prolongaciones de las células.
- Estas prolongaciones se unen por Desmosomas.
- Los espacios dejados entre las células
reticuloepiteliales son ocupados por células de
la serie linfocítica.
- La disposición de la red es diferente en la
corteza y en la médula.
- En la corteza es muy abierta, dejando espacios
grandes entre las células.
- En la médula forma un sistema de láminas
anastomosadas incompletamente.
- La corteza es la parte periférica y se encuentra
densamente infiltrada de linfocitos, mientras que
en la parte central, la médula, no contiene
tantos.
- La corteza está infiltrada de linfocitos que
rellenan la trama reticuloepitelial,
enmascarándola y proporcionándole a dicha región
un aspecto característico de coloración oscura.
A los linfocitos del timo se le denominan
timocitos; Estos son linfocitos T que
pueden salir del timo llevado por la
circulación hasta nódulos linfáticos,
ganglios linfáticos y bazo, donde ocupan
ciertas posiciones denominadas áreas
dependientes del timo.
Allí estos linfocitos están en
condiciones para entrar en contacto con
determinados antígenos.
La médula tiene un color más claro y deja
apreciar la red de células
reticuloepiteliales.
En el interior de la sustancia medular están
situadas unas formaciones acidófilas que
reciben el nombre de corpúsculos tímicos o de
Hanssall, y están constituidos por
estructuras de células epiteliales dispuestas
concéntricamente que sufren en la parte
central del corpúsculo, alteraciones de
carácter degenerativo: núcleos pignóticos,
material hialínico y queratinización.
Barrera hemotímica:
Existen 3 componentes que tendrán que ser vencidos por un
antígeno para poder ponerse en contacto con un linfocito
en la sustancia cortical.
1- La pared capilar y su membrana basal.
2- El espacio perivascular existente que posiblemente
contiene líquido tisular y macrófagos, los cuales
captarían estos antígenos.
3- La barrera epitelial (células epiteloides y su
membrana basal) la cual tendrían que atravesar los
antígenos para entrar en la zona donde se forman los
linfocitos.
Involución:
- El timo alcanza su mayor desarrollo en los primeros años de
vida y hasta la pubertad, en la cual comienza su involución.
- Esto trae implícita la pérdida gradual de linfocitos,
particularmente de la corteza.
- Posteriormente se pierden los límites entre corteza y médula.
Todo va siendo sustituido por tejido conectivo y graso.
- No obstante pueden encontrarse restos linfoides en el tejido
retroesternal, incluso en edad avanzada.
- También puede ocurrir una involución accidental en
determinadas enfermedades, pero en estos casos ello puede ello
puede ser temporal y reversible.
Funciones:
1- Controla la función inmunológica de otros órganos linfoides
(ganglios, bazo y nódulos).
2- Envía linfocitos por el torrente circulatorio que se
adentran en los órganos linfoides periféricos (ganglios y
bazo).
3- Es posible que produzca un factor hormonal estimulante del
desarrollo de los órganos linfoides periféricos (secreción de
las células epiteliales del timo).
4- A pesar de contribuir y controlar el desarrollo de los otros
órganos linfoides, no participa directamente en las distintas
funciones específicas del sistema linfoide:
- No produce anticuerpos.
- No ejerce función de filtración característica de los
órganos linfoides.
5- Parece desempeñar una función importante en la
diferenciación de Mastocitos.
Gracias.

Sistema Linfoide acomodado.pptx

  • 1.
  • 2.
    Explicar las característicasmorfofuncionales del sistema vascular linfático aplicando los modelos de célula y de tejido, utilizando esquemas, microfotografías y láminas histológicas en situaciones problemáticas conocidas o nuevas. -Tema 6: Sistema vascular linfático. Linfa.Vasos linfáticos, características morfofuncionales. Nódulos linfáticos, ganglios linfáticos, bazo y timo: características morfofuncionales. -Objetivos específicos:
  • 3.
    Está integrado por: 1-Los vasos linfáticos. 2- Los órganos linfáticos. 3- La linfa. Sistema vascular linfático.
  • 5.
    Linfa: 1- Líquido concaracterísticas particulares que se encuentra en movimiento dentro del sistema de tubos, pero sin constituir una verdadera circulación, puesto que su movimiento es unidireccional. 2- La composición es similar a la del líquido tisular, pero contiene linfocitos, corpúsculos de grasa y proteínas. 3- Algunos órganos linfáticos están interpuestos en el recorrido de los vasos linfáticos y proveen de linfocitos a la linfa.
  • 7.
    Vasos linfáticos. 1-Tienen suorigen en los espacios de tejido conectivo en terminaciones ciegas, como capilares anastomosados, y también como evaginaciones o yemas de las venas. 2- Su contenido, la linfa, la transportan en una sola dirección. 3- Ellos drenan en el tejido conectivo, coloides y moléculas de gran tamaño, cosa que no pueden hacer los capilares sanguíneos.
  • 9.
    Los capilares linfáticos: 1-Tienen una pared formada por una sola capa de células endoteliales. 2- No poseen membrana basal y sólo presentan fibras colágenas y reticulares que se adhieren a la pared. 3- La carencia de membrana basal explica en parte la capacidad que presentan para absorber macromoléculas. 4- Forman una verdadera red de gran complejidad y terminan en los vasos colectores.
  • 10.
    Vasos colectores: 1-Tienen estructuraparecida a la de las venas. 2- Integrados por tres capas: íntima, media y adventicia. 3- La íntima o interna está constituida por el endotelio y las fibras elásticas. 4- La media está formada principalmente por fibra muscular lisa en disposición circular y oblicua. 5- La adventicia se presenta generalmente algo desarrollada y con fibras musculares lisas.
  • 11.
    Los vasos colectorestienen más cantidad de válvulas, las cuales se encuentran más próximas que las observadas en las venas. Estas válvulas están formadas por dos láminas que sobresalen en la luz del vaso colector y que no son más que repliegues del endotelio reforzados por algunas fibras de tejido conectivo procedente de la íntima. La linfa concluye su recorrido en los gruesos troncos linfáticos (conducto linfático derecho y conducto torácico), que presentan una estructura muy parecida a la de una vena, pero con una capa media más desarrollada y con células musculares lisas dispuestas en haces longitudinales y circulares.
  • 12.
    Órganos linfáticos. 1- Nóduloslinfáticos. 2- Ganglios linfáticos. 3- Bazo. 4-Timo.
  • 14.
    Los tejidos linfáticosy mieloide son tejidos hematopoyéticos (formadores de células de la sangre), pero sólo consideraremos al tejido linfático, el cual no es realmente un tejido primario, sino solamente una variedad del tejido conectivo en que predominan, como componentes: fibras y células reticulares, y células libres, principalmente linfocitos que se localizan entre las mallas de tejido reticular.
  • 15.
    A este tejidole está encomendada una función muy importante, producir linfocitos que pueden transformarse y actuar como células inmunológicas, en respuesta a los antígenos, y que constituyen por tanto una barrera defensiva de gran valor para nuestro organismo. En el tejido linfático se retienen y fagocitan todas las partículas extrañas, incluyendo bacterias arrastradas por la linfa. El tejido linfático lo podemos encontrar en el organismo de dos formas: difusa y organizada.
  • 16.
    El tejido linfáticodifuso se localiza principalmente en la lámina propia de la mucosa de algunos sistemas, como son el digestivo y el respiratorio. La forma organizada, nódulo linfático, puede encontrarse diseminado por el organismo en el tejido conectivo de los sistemas respiratorio, digestivo y urinario, y también formando parte de órganos específicos como son: ganglios linfáticos, bazo y timo.
  • 17.
    Nódulos linfáticos. 1- Seencuentran diseminados por nuestro organismo. 2- En el tejido conjuntivo laxo y particularmente debajo de los epitelios húmedos (vías respiratorias superiores, tubo digestivo, vías urinarias, etc.) adopta la forma de pequeños depósitos de tejido linfático llamados nódulos no encapsulados, debido a que no están rodeados por la cápsula de tejido conectivo.También se les denomina nódulos primarios. 3- Los nódulos primarios son verdaderas unidades estructurales de tejido linfoide, y forman una barreara de defensa en nuestro organismo.
  • 18.
    4- Se puedenencontrar solitarios o agrupados, y el tamaño es generalmente pequeño (0,5-3 mm de diámetro). 5- En algunos nódulos grandes puede existir una zona central más clara, denominada centro germinativo, la cual se forma cuando hay una respuesta antigénica y constituye una zona de proliferación de linfoblastos y linfocitos. 6- El centro germinativo de un nódulo linfático se denomina nódulo secundario. 7- Cuando los nódulos son numerosos tienden a confluir, como en el intestino delgado, específicamente en el íleon, donde forman una estructura especial que recibe el nombre de placas de Peyer. Este tejido en cortes teñidos con H/E tiene un color manifiestamente azul intenso, lo cual se debe a la gran cantidad de células basófilas que posee.
  • 21.
    Ganglios linfáticos. 1- Sonlos únicos órganos linfoides interpuestos en el curso de los vasos linfáticos. 2- Abundan principalmente en axilas, región inguinal, parte anterior del cuello, pelvis y abdomen. 3- El tamaño varía notablemente desde un milímetro a un centímetro. 4- Con frecuencia tienen forma arriñonada y, en este caso, en la parte convexa se encuentran en distintos puntos los linfáticos aferentes, y por la parte cóncava se encuentra el hilio, con las arterias y venas, y los nervios y vasos linfáticos eferentes. 5- Los linfáticos aferentes portan la linfa para su filtración, privándola de partículas extrañas y microorganismos y enriqueciéndola al mismo tiempo con células de la sangre, principalmente leucocitos no granulosos; todo ello sale del ganglio por l parte cóncava a través de los linfáticos eferentes.
  • 23.
    Todos los linfáticosaferentes como los eferentes están provistos de válvulas, lo cual impide que la linfa circule en sentido retrógrado.
  • 24.
  • 27.
    Cápsula: 1- Es detejido conectivo denso que contiene fibras colágenas, elásticas y algunos miocitos lisos. 2- Emite con regularidad tabiques de tejido conjuntivo al interior del ganglio, los cuales se anastomosan entre sí y sirven de soporte a los vasos sanguíneos.
  • 28.
    Si damos aun ganglio un corte trasversal a nivel del hilio, podremos apreciar una región externa, cortical y obscura (corteza) y una región más clara, central (médula). La corteza tiene poco espesor y está formada por folículos linfoides o nódulos primarios que presentan, según el estado funcional, centros germinativos. Los folículos se hallan separados de la cápsula por una malla reticular gruesa, en la cual están suspendidas células reticulares.
  • 29.
    Esta zona, pordebajo de la cápsula, se denomina seno subcapsular. Estos espacios, cuando se sitúan entre los nódulos y los tabiques, reciben el nombre de senos corticales, y los observados en la médula, senos medulares. Dichos senos constituyen una zona densa, a través de la cual se filtra con facilidad la linfa que llega por los linfáticos aferentes y penetra profundamente en el ganglio entre las mallas gruesas, situadas entre los nódulos y trabéculas.
  • 30.
    Como los nódulostienen una red fina, no permiten tan fácilmente, el paso de la linfa, como la malla gruesa. La linfa termina saliendo por los linfáticos eferentes. En el interior del ganglio existe una red de fibras reticulares que forman una malla más fina en la zona medular y que sirve de soporte a los cordones medulares, que es la organización que toma el tejido linfático en esa zona.
  • 31.
    En los folículoslos linfocitos pequeños se hallan localizados hacia la periferia. En la parte central, más clara, hay células grandes de núcleos grandes: linfoblastos y linfocitos (grandes). La mayoría de estas células proliferan activamente, de aquí que esta parte del folículo se denomine centro de multiplicación. En la parte central del folículo se encuentran también macrófagos.
  • 32.
    Entre las célulasde los cordones medulares se hallan células plasmáticas y linfocitos medianos. Integran también la médula los senos medulares, en los cuales a las células reticulares que forman sus paredes se les denomina células reticuloendoteliales, estas presentan propiedades fagocíticas, y pueden liberarse, adoptar una forma redondeada y convertirse en macrófagos libres. La contracción de las células musculares lisas, tanto de la cápsula como las de los tabiques, contribuye al movimiento de la linfa.
  • 33.
    La importancia delos ganglios linfáticos está dada por sus funciones: 1- Ser órganos productores de linfocitos. 2- Participar en la elaboración de anticuerpos. 3- Filtrar la linfa reteniendo y fagocitando sustancias extrañas.
  • 34.
    Bazo. 1- Es elmayor de los órganos linfoides, situado en la cavidad abdominal. 2- Varía mucho su volumen de acuerdo con la cantidad de sangre que retenga en su interior y según su actividad hematopoyética que realice. 3- Su color purpúreo depende de la cantidad de sangre que contiene. 4- Es una víscera blanda y muy friable, lo cual tiene importancia en los traumatismos abdominales.
  • 35.
    Bazo: 1- Estroma -Cápsula. (detejido conectivo). -Tabiques. -Armazón reticular. 2- Parénquima -Pulpa esplénica: .Blanca .Roja
  • 38.
    Cápsula: 1- Tiene célulasde músculo liso y fibras colágenas y elásticas. 2- Es lisa externamente, debido a que está cubierta por una túnica serosa peritoneal con células mesoteliales.
  • 40.
    Las trabéculas (tabiques): 1-Son de tejido conectivo y se extienden hacia la sustancia del órgano desde el hilio, que es la parte del bazo en que hay una identación profunda y por donde entra y sale la sangre. 2- Algunas trabéculas parten de la cápsula.
  • 42.
    Armazón del bazo: Estáformada por fibras reticulares que constituyen una verdadera trama intertrabecular.
  • 43.
    Pulpa blanca: 1- Esproductora de linfocitos. 2- Se encuentra rodeando a la adventicia de las arterias. 3- Adopta dos disposiciones: - Forma cilindros o vainas linfáticas periarteriales. - Nódulos linfáticos.
  • 45.
    Pulpa roja: 1- Esmás blanda que la blanca. 2- Ocupa todo el resto del parénquima que no está formado por pulpa blanca. 3- Efectúa una acción filtrante de la sangre. 4- Se dice que es el sitio donde se examina la viabilidad de los hematíes. 5- Está formada por cordones anastomosados de células, cordones de Billroth, separados por senos venosos amplios e interconectados. 6- Los cordones están constituidos por fibras reticulares que sirven de soporte, eritrocitos, leucocitos, y células fagocitarias (macrófagos). 7- Los eritrocitos son los responsables del color rojo de la pulpa. Algunos de estos se pueden encontrar en estado de degeneración o destrucción.
  • 46.
    Vasos sanguíneos ycirculación: (Arteria esplénica) 1- Arterias trabeculares. 2- Arteriola central. 3- Arteriola pulpar. 4- Arteriola elipsoidal. 5- Capilar arterial. 6- Seno venoso. 7- Vena de la pulpa. 8- Vena trabecular.
  • 47.
    Vasos sanguíneos ycirculación: - La arteria esplénica y sus venas satélites se dividen en el interior del bazo, en forma abanicada, en distintas ramas (6-8). - Pasan a las trabéculas y se denominan arterias trabeculares. - Las arterias trabeculares se adentran en el parénquima esplénico. - Aquí la adventicia adquiere carácter de tejido reticular y constituye un “manguito” o vaina de tejido linfoide periarteriolar, el cual la acompañará en su recorrido.
  • 49.
    - Esta vainalinfoide está impregnada de linfocitos y en determinados lugares forma verdaderos folículos linfoides que reciben el nombre de corpúsculos de Malpighi, los cuales son atravesados por la arteria algo excéntricamente, aunque reciben el nombre de arteriolas centrales. - La periferia de los folículos está formada por una red de fibras reticulares gruesas, mientras que en la parte central las fibras son más finas y más claras en su tinción.
  • 50.
    Se estima quelos linfocitos T procedentes del timo se instalan en las vainas o manguitos linfáticos de la pulpa blanca, hacia la zona marginal externa. Los linfocitos B se sitúan en la región central hacia la arteriola central. Estos pueden formar centros germinativos si se inicia una respuesta humoral en ese órgano por parte de los antígenos que circulan en la sangre. Las arteriolas centrales se ramifican para formar una red capilar en las zonas marginales.
  • 51.
    - Las arteriaso arteriolas al entrar en la pulpa reciben el nombre de pulpares. - Luego se estrechan y forman las arteriolas elipsoides que terminan en capilares muy finos de endotelio continuo, nombrados peniciliados. - Las venas continúan por las trabéculas hasta llegar a la cápsula periférica. - Los senos venosos forman un sistema de conductos irregulares que se anastomosan en la pulpa.
  • 52.
    Circulación sanguínea através de la pulpa roja: (Antiguamente) 1- Circulación abierta: La sangre que corre por los capilares se vacía en el retículo de la pulpa y se filtra poco a poco hacia los sinusoides venosos. 2- Circulación cerrada: La sangre pasa directamente de los vasos arteriales a los sinusoides, por existir continuidad morfológica entre ambos vasos.
  • 53.
    Actualmente: Se plantea lacirculación cerrada en el bazo colapsado y la circulación abierta en el bazo distendido. Sin embargo, se ha observado que todas las terminaciones de los vasos arteriales se cierran en las sinusoides de la pulpa roja, por lo que se plantea la teoría de la circulación cerrada para él.
  • 55.
    Funciones del bazo: 1-Como órgano hematopoyético, produce linfocitos que se forman principalmente en la pulpa y en sus nódulos. 2- Es en principal lugar donde los antígenos de la sangre activan a los linfocitos para convertirlos en células inmunológicamente competentes. Estos linfocitos proceden principalmente del timo. 3- En situaciones de stress puede influir en la cantidad de sangre circulante, enviando, por contracción de la musculatura lisa de la cápsula y las trabéculas un mayor volumen de sangre al torrente circulatorio. 4- En ciertas condiciones patológicas, actúa como órgano hematopoyético. Puede producir las células hemáticas que ordinariamente produce la médula ósea. 5- Debido a la abundancia de macrófagos que presenta, actúa en el filtrado de la sangre, destruye bacterias, partículas extrañas, eritrocitos, y aprovechando el hierro y los pigmentos de la hemoglobina para su recirculación.
  • 56.
    Timo. 1- El timoes un órgano linfático localizado en el tórax por detrás de la parte superior del esternón. 2- Su forma es aproximadamente triangular, y presenta la parte superior más delgada y dirigida hacia el cuello. 3- Es un órgano bilobulado y cada lóbulo está formado por múltiples lobulillos que poseen corteza y médula. 4- Es linfoepitelial, donde los linfocitos y el epitelio forman un complejo común y están en estrecha relación. 5- Cada uno de los lóbulos está rodeado por una delgada cápsula de tejido conjuntivo que emite hacia el interior tabiques, los cuales forman trabéculas que dividen a los lóbulos en múltiples lobulillos incompletos, pues el tejido conectivo permite cierta comunicación ente los lobulillos. Todo ello constituye el estroma del órgano.
  • 58.
    - La tramade sostén interna del órgano está constituida por un tipo de célula especial, las llamadas células reticuloepiteliales, formadoras de una red que deja espacios entre las prolongaciones de las células. - Estas prolongaciones se unen por Desmosomas. - Los espacios dejados entre las células reticuloepiteliales son ocupados por células de la serie linfocítica. - La disposición de la red es diferente en la corteza y en la médula.
  • 59.
    - En lacorteza es muy abierta, dejando espacios grandes entre las células. - En la médula forma un sistema de láminas anastomosadas incompletamente. - La corteza es la parte periférica y se encuentra densamente infiltrada de linfocitos, mientras que en la parte central, la médula, no contiene tantos. - La corteza está infiltrada de linfocitos que rellenan la trama reticuloepitelial, enmascarándola y proporcionándole a dicha región un aspecto característico de coloración oscura.
  • 61.
    A los linfocitosdel timo se le denominan timocitos; Estos son linfocitos T que pueden salir del timo llevado por la circulación hasta nódulos linfáticos, ganglios linfáticos y bazo, donde ocupan ciertas posiciones denominadas áreas dependientes del timo. Allí estos linfocitos están en condiciones para entrar en contacto con determinados antígenos.
  • 62.
    La médula tieneun color más claro y deja apreciar la red de células reticuloepiteliales. En el interior de la sustancia medular están situadas unas formaciones acidófilas que reciben el nombre de corpúsculos tímicos o de Hanssall, y están constituidos por estructuras de células epiteliales dispuestas concéntricamente que sufren en la parte central del corpúsculo, alteraciones de carácter degenerativo: núcleos pignóticos, material hialínico y queratinización.
  • 65.
    Barrera hemotímica: Existen 3componentes que tendrán que ser vencidos por un antígeno para poder ponerse en contacto con un linfocito en la sustancia cortical. 1- La pared capilar y su membrana basal. 2- El espacio perivascular existente que posiblemente contiene líquido tisular y macrófagos, los cuales captarían estos antígenos. 3- La barrera epitelial (células epiteloides y su membrana basal) la cual tendrían que atravesar los antígenos para entrar en la zona donde se forman los linfocitos.
  • 66.
    Involución: - El timoalcanza su mayor desarrollo en los primeros años de vida y hasta la pubertad, en la cual comienza su involución. - Esto trae implícita la pérdida gradual de linfocitos, particularmente de la corteza. - Posteriormente se pierden los límites entre corteza y médula. Todo va siendo sustituido por tejido conectivo y graso. - No obstante pueden encontrarse restos linfoides en el tejido retroesternal, incluso en edad avanzada. - También puede ocurrir una involución accidental en determinadas enfermedades, pero en estos casos ello puede ello puede ser temporal y reversible.
  • 67.
    Funciones: 1- Controla lafunción inmunológica de otros órganos linfoides (ganglios, bazo y nódulos). 2- Envía linfocitos por el torrente circulatorio que se adentran en los órganos linfoides periféricos (ganglios y bazo). 3- Es posible que produzca un factor hormonal estimulante del desarrollo de los órganos linfoides periféricos (secreción de las células epiteliales del timo). 4- A pesar de contribuir y controlar el desarrollo de los otros órganos linfoides, no participa directamente en las distintas funciones específicas del sistema linfoide: - No produce anticuerpos. - No ejerce función de filtración característica de los órganos linfoides. 5- Parece desempeñar una función importante en la diferenciación de Mastocitos.
  • 68.